JavaScript is disabled in your browser. Please enable JavaScript to view this website.
AB53094

Anti-MGLUR8 抗体

Anti-MGLUR8 antibody

Be the first to review this product! Submit a review

|

(3 Publications)

Rabbit Polyclonal MGLUR8 antibody. Suitable for WB, IHC-P and reacts with Mouse, Human samples. Cited in 3 publications. Immunogen corresponding to Synthetic Peptide within Human GRM8.

別名を表示する

GPRC1H, MGLUR8, GRM8, Metabotropic glutamate receptor 8, mGluR8

2 Images
Western blot - Anti-MGLUR8 antibody (AB53094)
  • WB

Unknown

Western blot - Anti-MGLUR8 antibody (AB53094)

All lanes:

Western blot - Anti-MGLUR8 antibody (ab53094) at 1/300 dilution

Lane 1:

Mouse brain extract

Lane 2:

Mouse brain extract with peptide

Predicted band size: 102 kDa

Observed band size: 102 kDa

false

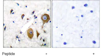
Immunohistochemistry (Formalin/PFA-fixed paraffin-embedded sections) - Anti-MGLUR8 antibody (AB53094)
  • IHC-P

Unknown

Immunohistochemistry (Formalin/PFA-fixed paraffin-embedded sections) - Anti-MGLUR8 antibody (AB53094)

Immunohistochemical analysis of paraffin-embedded human brain tissue in the presence (right) and absence (left) of blocking peptide, using ab53094 at 1/50 dilution.

Key facts

宿主種

Rabbit

クローン性

Polyclonal

アイソタイプ

IgG

キャリアフリー

No

交差種

Mouse, Human

アプリケーション

WB, IHC-P

applications

免疫原

Synthetic Peptide within Human GRM8. The exact immunogen used to generate this antibody is proprietary information.

O00222

Reactivity data

{ "title": "Reactivity Data", "filters": { "stats": ["", "Species", "Dilution Info", "Notes"], "tabs": { "all-applications": {"fullname" : "All Applications", "shortname": "All Applications"}, "WB" : {"fullname" : "Western blot", "shortname":"WB"}, "IHCP" : {"fullname" : "Immunohistochemistry (Formalin/PFA-fixed paraffin-embedded sections)", "shortname":"IHC-P"} }, "product-promise": { "all": "all", "testedAndGuaranteed": "tested", "guaranteed": "expected", "predicted": "predicted", "notRecommended": "not-recommended" } }, "values": { "Human": { "WB-species-checked": "guaranteed", "WB-species-dilution-info": "", "WB-species-notes": "", "IHCP-species-checked": "testedAndGuaranteed", "IHCP-species-dilution-info": "", "IHCP-species-notes": "<p></p>" }, "Mouse": { "WB-species-checked": "testedAndGuaranteed", "WB-species-dilution-info": "1/300 - 1/1000", "WB-species-notes": "<p></p>", "IHCP-species-checked": "guaranteed", "IHCP-species-dilution-info": "", "IHCP-species-notes": "" } } }

出荷温度及び保存条件

製品の状態
Liquid
精製方法
Affinity purification Immunogen
精製に関する特記事項
ab53094 was affinity purified from rabbit antiserum by affinity chromatography using epitope specific immunogen.
バッファー組成
pH: 7.4 Preservative: 0.02% Sodium azide Constituents: PBS, 50% Glycerol (glycerin, glycerine), 0.87% Sodium chloride
出荷温度
Blue Ice
短期保存温度
+4°C
長期保存温度
-20°C
保管に関する情報
Stable for 12 months at -20°C

補足情報

This supplementary information is collated from multiple sources and compiled automatically.

The metabotropic glutamate receptor 8 (mGluR8) also known as GRM8 is a G-protein coupled receptor with an approximate molecular mass of 105 kDa. This receptor is involved in neurotransmitter signaling and plays a significant role in synaptic transmission by regulating the release of neurotransmitters. mGluR8 is mostly expressed in the brain specifically in regions related to sensory perception and modulation such as the retina olfactory bulb and various other brain areas.
Biological function summary

MGluR8 impacts neuronal excitability by modulating synaptic plasticity. It is often found as part of a dimerized complex with other mGluR proteins affecting intracellular signaling cascades. The receptor functions largely through inhibition of the cyclic AMP pathway making it a critical regulator in glutamatergic signaling. mGluR8’s activity serves as an important control point for maintaining the balance of excitatory neurotransmission within the central nervous system.

Pathways

MGluR8 is intricately connected to glutamatergic synaptic transmission and the cAMP signaling pathway. Through its role in these pathways mGluR8 interacts with proteins such as adenylate cyclase and other mGluR family members modulating downstream signaling events. These interactions position mGluR8 as an important element in neural communication processes influencing learning and memory functions.

MGluR8 has been associated with neurodegenerative diseases like Alzheimer's and psychiatric disorders such as anxiety. Its regulatory role in glutamatergic neurotransmission links it to pathologies characterized by excitotoxicity and altered synaptic plasticity. Interactions between mGluR8 and other proteins like presenilin-1 in Alzheimer's disease shed light on its potential as a therapeutic target for modulating disease progression.

製品プロトコール

For this product, it's our understanding that no specific protocols are required. You can visit:

ターゲットの情報

G-protein coupled receptor for glutamate. Ligand binding causes a conformation change that triggers signaling via guanine nucleotide-binding proteins (G proteins) and modulates the activity of down-stream effectors, such as adenylate cyclase. Signaling inhibits adenylate cyclase activity.
See full target information GRM8

文献 (3)

Recent publications for all applications. Explore the full list and refine your search

Journal of oncology 2021:8002087 PubMed34950209

2021

Metabotropic Glutamate Receptor 8 Is Regulated by miR-33a-5p and Functions as an Oncogene in Breast Cancer.

Applications

Unspecified application

Species

Unspecified reactive species

Chunxu Zhang,Shuang Xie,Shouxin Yuan,Yuanhao Zhang,Yunhu Bai,Lijia Chu,Zuyin Wu,Ninghui Guo,Quanhui Wang,Jixin Zhang

Cancer letters 432:1-16 PubMed29885518

2018

An endogenous and ectopic expression of metabotropic glutamate receptor 8 (mGluR8) inhibits proliferation and increases chemosensitivity of human neuroblastoma and glioma cells.

Applications

Unspecified application

Species

Unspecified reactive species

Danuta Jantas,Beata Grygier,Sławomir Gołda,Jakub Chwastek,Justyna Zatorska,Magdalena Tertil

Brain pathology (Zurich, Switzerland) 26:334-43 PubMed26222673

2015

Integrating Molecular Subclassification of Medulloblastomas into Routine Clinical Practice: A Simplified Approach.

Applications

Unspecified application

Species

Unspecified reactive species

Kavneet Kaur,Aanchal Kakkar,Anupam Kumar,Supriya Mallick,Pramod K Julka,Deepak Gupta,Ashish Suri,Vaishali Suri,Mehar C Sharma,Chitra Sarkar
View all publications

Abcam product promise

当社は、高品質な試薬を通じてお客様の研究を力強くサポートすることをお約束いたします。ご使用いただく各段階で、常にお客様をサポートできる体制を整えております。万が一、製品が期待通りに機能しない場合は、「Abcam Product Promise」による当社保証制度に基づき、安心してご利用いただけます。
保証に関する詳細については利用規約をご確認ください。

関連製品

Select an associated product type
Alternative Product
Primary Antibodies

AB233791

Anti-MGLUR8 antibody [4C1C1]

primary-antibodies

mglur8-antibody-4c1c1-ab233791

0

(0 reviews)

Please note: All products are 'FOR RESEARCH USE ONLY. NOT FOR USE IN DIAGNOSTIC OR THERAPEUTIC PROCEDURES'.

For licensing inquiries, please contact partnerships@abcam.com