JavaScript is disabled in your browser. Please enable JavaScript to view this website.
AB228144

Anti-Mesothelin 抗体 [SP74] - C-terminal, prediluted

Anti-Mesothelin antibody [SP74] - C-terminal, prediluted

Be the first to review this product! Submit a review

|

(2 Publications)

Rabbit Recombinant Monoclonal Mesothelin antibody. C-terminal. Suitable for IHC-P and reacts with Human samples. Cited in 2 publications.

別名を表示する

MPF, MSLN, Mesothelin, CAK1 antigen, Pre-pro-megakaryocyte-potentiating factor

3 Images
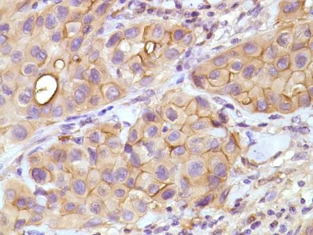
Immunohistochemistry (Formalin/PFA-fixed paraffin-embedded sections) - Anti-Mesothelin antibody [SP74] - C-terminal, prediluted (AB228144)
  • IHC-P

Supplier Data

Immunohistochemistry (Formalin/PFA-fixed paraffin-embedded sections) - Anti-Mesothelin antibody [SP74] - C-terminal, prediluted (AB228144)

Formalin-fixed, paraffin-embedded human mesothelioma tissue stained for Mesothelin using ab228144 in immunohistochemical analysis.

Immunohistochemistry (Formalin/PFA-fixed paraffin-embedded sections) - Anti-Mesothelin antibody [SP74] - C-terminal, prediluted (AB228144)
  • IHC-P

Supplier Data

Immunohistochemistry (Formalin/PFA-fixed paraffin-embedded sections) - Anti-Mesothelin antibody [SP74] - C-terminal, prediluted (AB228144)

Formalin-fixed, paraffin-embedded human mesothelioma tissue stained for Mesothelin using ab228144 in immunohistochemical analysis.

Immunohistochemistry (Formalin/PFA-fixed paraffin-embedded sections) - Anti-Mesothelin antibody [SP74] - C-terminal, prediluted (AB228144)
  • IHC-P

Supplier Data

Immunohistochemistry (Formalin/PFA-fixed paraffin-embedded sections) - Anti-Mesothelin antibody [SP74] - C-terminal, prediluted (AB228144)

Formalin-fixed, paraffin-embedded human ovarian adenocarcinoma tissue stained for Mesothelin using ab228144 in immunohistochemical analysis.

関連する標識済み抗体及び組成の異なる製品 (8)

Key facts

宿主種

Rabbit

クローン性

Monoclonal

クローン番号

SP74

アイソタイプ

IgG

キャリアフリー

No

交差種

Human

アプリケーション

IHC-P

applications

免疫原

The exact immunogen used to generate this antibody is proprietary information.

Reactivity data

{ "title": "Reactivity Data", "filters": { "stats": ["", "Species", "Dilution Info", "Notes"], "tabs": { "all-applications": {"fullname" : "All Applications", "shortname": "All Applications"}, "IHCP" : {"fullname" : "Immunohistochemistry (Formalin/PFA-fixed paraffin-embedded sections)", "shortname":"IHC-P"} }, "product-promise": { "all": "all", "testedAndGuaranteed": "tested", "guaranteed": "expected", "predicted": "predicted", "notRecommended": "not-recommended" } }, "values": { "Human": { "IHCP-species-checked": "testedAndGuaranteed", "IHCP-species-dilution-info": "1/1", "IHCP-species-notes": "<p>Pre-diluted / ready to use.</p>" }, "Pig": { "IHCP-species-checked": "predicted", "IHCP-species-dilution-info": "", "IHCP-species-notes": "" } } }

出荷温度及び保存条件

製品の状態
Liquid
精製方法
Affinity purification Protein A/G
精製に関する特記事項
Purified from TCS by protein A/G.
バッファー組成
pH: 7.6 Preservative: 0.1% Sodium azide Constituents: Tris buffered saline, 1% BSA
出荷温度
Blue Ice
長期保存温度
+4°C
分注に関する情報
Upon delivery aliquot
保管に関する情報
Do Not Freeze

製品プロトコール

For this product, it's our understanding that no specific protocols are required. You can visit:

ターゲットの情報

Membrane-anchored forms may play a role in cellular adhesion.. Megakaryocyte-potentiating factor (MPF) potentiates megakaryocyte colony formation in vitro.
See full target information MSLN

文献 (2)

Recent publications for all applications. Explore the full list and refine your search

Molecular neurodegeneration 20:59 PubMed40389989

2025

Mutations in NEK1 cause ciliary dysfunction as a novel pathogenic mechanism in amyotrophic lateral sclerosis.

Applications

Unspecified application

Species

Unspecified reactive species

Min-Young Noh,Seong-Il Oh,Young-Eun Kim,Sun Joo Cha,Wonjae Sung,Ki-Wook Oh,Yurim Park,Ji Young Mun,Chang-Seok Ki,Minyeop Nahm,Seung Hyun Kim

PloS one 10:e0125255 PubMed25955027

2015

Initiation and characterization of small cell lung cancer patient-derived xenografts from ultrasound-guided transbronchial needle aspirates.

Applications

Unspecified application

Species

Unspecified reactive species

Wade C Anderson,Michael B Boyd,Jorge Aguilar,Brett Pickell,Amy Laysang,Marybeth A Pysz,Sheila Bheddah,Johanna Ramoth,Brian C Slingerland,Scott J Dylla,Edmundo R Rubio
View all publications

Abcam product promise

当社は、高品質な試薬を通じてお客様の研究を力強くサポートすることをお約束いたします。ご使用いただく各段階で、常にお客様をサポートできる体制を整えております。万が一、製品が期待通りに機能しない場合は、「Abcam Product Promise」による当社保証制度に基づき、安心してご利用いただけます。
保証に関する詳細については利用規約をご確認ください。

Please note: All products are 'FOR RESEARCH USE ONLY. NOT FOR USE IN DIAGNOSTIC OR THERAPEUTIC PROCEDURES'.

For licensing inquiries, please contact partnerships@abcam.com