JavaScript is disabled in your browser. Please enable JavaScript to view this website.
AB227810

Anti-Mesothelin 抗体 [EPR19025-42] - BSA and Azide free

Anti-Mesothelin antibody [EPR19025-42] - BSA and Azide free

Be the first to review this product! Submit a review

|

(1 Publication)

Rabbit Recombinant Monoclonal Mesothelin antibody. Carrier free. Suitable for IP, Flow Cyt, WB, IHC-P and reacts with Human samples. Cited in 1 publication.

別名を表示する

MPF, MSLN, Mesothelin, CAK1 antigen, Pre-pro-megakaryocyte-potentiating factor

6 Images
Flow Cytometry - Anti-Mesothelin antibody [EPR19025-42] - BSA and Azide free (AB227810)
  • Flow Cyt

Supplier Data

Flow Cytometry - Anti-Mesothelin antibody [EPR19025-42] - BSA and Azide free (AB227810)

Flow cytometric analysis of HeLa (human epithelial cell line from cervix adenocarcinoma) cell line labeling Mesothelin with ab196235 at 1/50 dilution (red) compared with a Rabbit IgG, monoclonal [EPR25A] - Isotype Control (ab172730) (black) and an unlabeled control (cells without incubation with primary antibody and secondary antibody) (blue). Goat Anti-Rabbit IgG H&L (Alexa Fluor® 488) (ab150077) at 1/2000 dilution was used as the secondary antibody.

Total viable cells were gated for the image.

This data was developed using the same antibody clone in a different buffer formulation containing PBS, BSA, glycerol, and sodium azide (ab196235).

Immunohistochemistry (Formalin/PFA-fixed paraffin-embedded sections) - Anti-Mesothelin antibody [EPR19025-42] - BSA and Azide free (AB227810)
  • IHC-P

Supplier Data

Immunohistochemistry (Formalin/PFA-fixed paraffin-embedded sections) - Anti-Mesothelin antibody [EPR19025-42] - BSA and Azide free (AB227810)

Immunohistochemical analysis of paraffin-embedded human ovarian adenocarcinoma tissue labeling Mesothelin with ab196235 at 1/1500 dilution, followed by Goat Anti-Rabbit IgG H&L (HRP) Ready to use. Cytoplasmic staining on tumor cells of human ovarian adenocarcinoma (PMID : 17945478). Counter stained with Hematoxylin.

Secondary antibody only control : Used PBS instead of primary antibody, secondary antibody is Goat Anti-Rabbit IgG H&L (HRP) Ready to use.

This data was developed using the same antibody clone in a different buffer formulation containing PBS, BSA, glycerol, and sodium azide (ab196235).

Perform heat mediated antigen retrieval with Tris/EDTA buffer pH 9.0 before commencing with IHC staining protocol.

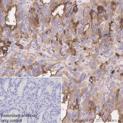
Immunohistochemistry (Formalin/PFA-fixed paraffin-embedded sections) - Anti-Mesothelin antibody [EPR19025-42] - BSA and Azide free (AB227810)
  • IHC-P

Supplier Data

Immunohistochemistry (Formalin/PFA-fixed paraffin-embedded sections) - Anti-Mesothelin antibody [EPR19025-42] - BSA and Azide free (AB227810)

Immunohistochemical analysis of paraffin-embedded human mesothelioma tissue labeling Mesothelin with ab196235 at 1/1500 dilution, followed by Goat Anti-Rabbit IgG H&L (HRP) Ready to use. Membranous and cytoplasmic staining on human mesothelioma (PMID : 17945478). Counter stained with Hematoxylin.

Secondary antibody only control : Used PBS instead of primary antibody, secondary antibody is Goat Anti-Rabbit IgG H&L (HRP) Ready to use.

This data was developed using the same antibody clone in a different buffer formulation containing PBS, BSA, glycerol, and sodium azide (ab196235).

Perform heat mediated antigen retrieval with Tris/EDTA buffer pH 9.0 before commencing with IHC staining protocol.

Flow Cytometry - Anti-Mesothelin antibody [EPR19025-42] - BSA and Azide free (AB227810)
  • Flow Cyt

Lab

Flow Cytometry - Anti-Mesothelin antibody [EPR19025-42] - BSA and Azide free (AB227810)

This data was developed using the same antibody clone in a different buffer formulation containing PBS, BSA, glycerol, and sodium azide (ab196235).

Flow cytometry overlay histogram showing left HeLa positive cells and right negative PC3 stained with ab196235 (red line). The cells were incubated in 1x PBS containing 10% normal goat serum to block non-specific protein-protein interactionfollowed by the antibody (ab196235) (1x 106 in 100μl at 5.0 μg/ml (1/410)) for 30min on ice.

The secondary antibody Goat Anti-Rabbit IgG H&L (Alexa Fluor® 488) preadsorbed was incubated at 1/4000 for 30min on ice

Isotype control antibody (black line) was Recombinant Rabbit IgG, monoclonal [EPR25A] - Isotype Control used at the same concentration and conditions as the primary antibody. Unlabelled sample (blue line) was also used as a control.

Acquisition of >5000 events were collected using a 50 mW Blue laser (488nm) and 525/40 bandpass filter.

Immunoprecipitation - Anti-Mesothelin antibody [EPR19025-42] - BSA and Azide free (AB227810)
  • IP

Supplier Data

Immunoprecipitation - Anti-Mesothelin antibody [EPR19025-42] - BSA and Azide free (AB227810)

Mesothelin was immunoprecipitated from 0.35 mg of HeLa (human epithelial cell line from cervix adenocarcinoma) lysate with ab196235 at 1/30 dilution. Western blot was performed from the immunoprecipitate using ab196235 at 1/1000 dilution. VeriBlot for IP Detection Reagent (HRP) (ab131366), was used for detection at 1/10000 dilution.

Lane 1 : HeLa whole cell lysate 10 μg (Input).

Lane 2 : ab196235 IP in HeLa whole cell lysate.

Lane 3 : Rabbit monoclonal IgG (ab172730) instead of ab196235 in HeLa whole cell lysate.

Exposure time : 3 minutes.

Blocking and dilution buffer and concentration : 5% NFDM/TBST.

This data was developed using the same antibody clone in a different buffer formulation containing PBS, BSA, glycerol, and sodium azide (ab196235).

All lanes:

Immunoprecipitation - Anti-Mesothelin antibody [EPR19025-42] (<a href='/products/primary-antibodies/mesothelin-antibody-epr19025-42-ab196235'>ab196235</a>)

Predicted band size: 69 kDa

Observed band size: 40 kDa,69 kDa

false

Western blot - Anti-Mesothelin antibody [EPR19025-42] - BSA and Azide free (AB227810)
  • WB

Lab

Western blot - Anti-Mesothelin antibody [EPR19025-42] - BSA and Azide free (AB227810)

This data was developed using the same antibody clone in a different buffer formulation containing PBS, BSA, glycerol, and sodium azide (ab196235).

False colour image of Western blot : Anti-Mesothelin antibody [EPR19025-42] staining at 1/1000 dilution, shown in green; Mouse anti-GAPDH antibody [6C5] (ab8245) loading control staining at 1/20000 dilution, shown in red. In Western blot, ab196235 was shown to bind specifically to Mesothelin. First, samples were run on an SDS-PAGE gel then transferred onto a nitrocellulose membrane. Membranes were blocked in 3 % milk in TBS-0.1 % Tween® 20 (TBS-T) before incubation with primary antibodies overnight at 4°C. Blots were washed four times in TBS-T, incubated with secondary antibodies for 1 h at room temperature, washed again four times then imaged. Secondary antibodies used were Goat anti-Rabbit IgG H&L (IRDye® 800CW) preabsorbed (ab216773) and Goat anti-Mouse IgG H&L (IRDye® 680RD) preabsorbed (ab216776) at 1/20000 dilution.

All lanes:

Western blot - Anti-Mesothelin antibody [EPR19025-42] (<a href='/products/primary-antibodies/mesothelin-antibody-epr19025-42-ab196235'>ab196235</a>) at 1/1000 dilution

Lane 1:

OVCAR-3 cell lysate at 20 µg

Lane 2:

HeLa cell lysate at 20 µg

Lane 3:

A549 cell lysate at 20 µg

Lane 4:

PC-3 cell lysate at 20 µg

Predicted band size: 69 kDa

Observed band size: 45 kDa

false

関連する標識済み抗体及び組成の異なる製品 (5)

  • Unconjugated

    Anti-Mesothelin antibody [EPR19025-42]

  • 519 Alexa Fluor® 488

    Alexa Fluor® 488 Anti-Mesothelin antibody [EPR19025-42]

  • 578 PE

    PE Anti-Mesothelin antibody [EPR19025-42]

  • Carrier free

    Anti-Mesothelin antibody [EPR19025-42] - BSA and Azide free (Capture)

  • 665 Alexa Fluor® 647

    Alexa Fluor® 647 Anti-Mesothelin antibody [EPR19025-42]

Key facts

宿主種

Rabbit

クローン性

Monoclonal

クローン番号

EPR19025-42

アイソタイプ

IgG

キャリアフリー

Yes

交差種

Human

アプリケーション

WB, Flow Cyt, IP, IHC-P

applications

免疫原

The exact immunogen used to generate this antibody is proprietary information.

Reactivity data

{ "title": "Reactivity Data", "filters": { "stats": ["", "Species", "Dilution Info", "Notes"], "tabs": { "all-applications": {"fullname" : "All Applications", "shortname": "All Applications"}, "IP" : {"fullname" : "Immunoprecipitation", "shortname":"IP"}, "FlowCyt" : {"fullname" : "Flow Cytometry", "shortname":"Flow Cyt"}, "WB" : {"fullname" : "Western blot", "shortname":"WB"}, "IHCP" : {"fullname" : "Immunohistochemistry (Formalin/PFA-fixed paraffin-embedded sections)", "shortname":"IHC-P"} }, "product-promise": { "all": "all", "testedAndGuaranteed": "tested", "guaranteed": "expected", "predicted": "predicted", "notRecommended": "not-recommended" } }, "values": { "Human": { "IP-species-checked": "testedAndGuaranteed", "IP-species-dilution-info": "", "IP-species-notes": "<p></p>", "FlowCyt-species-checked": "testedAndGuaranteed", "FlowCyt-species-dilution-info": "", "FlowCyt-species-notes": "<p></p>", "WB-species-checked": "testedAndGuaranteed", "WB-species-dilution-info": "", "WB-species-notes": "<p></p>", "IHCP-species-checked": "testedAndGuaranteed", "IHCP-species-dilution-info": "", "IHCP-species-notes": "<p></p>" } } }

製品の詳細

ab227810 is the carrier-free version of ab196235.

Patented technology
Our RabMAb® technology is a patented hybridoma-based technology for making rabbit monoclonal antibodies. For details on our patents, please refer to RabMAb® patents.

What are the advantages of a recombinant monoclonal antibody?
This product is a recombinant monoclonal antibody, which offers several advantages including:

  • - High batch-to-batch consistency and reproducibility
  • - Improved sensitivity and specificity
  • - Long-term security of supply
  • - Animal-free batch production

For more information, read more on recombinant antibodies.

Conjugation ready
Our carrier-free antibodies are typically supplied in a PBS-only formulation, purified and free of BSA, sodium azide and glycerol. This conjugation-ready format is designed for use with fluorochromes, metal isotopes, oligonucleotides, and enzymes, which makes them ideal for antibody labelling, functional and cell-based assays, flow-based assays (e.g. mass cytometry) and Multiplex Imaging applications.

Use our conjugation kits for antibody conjugates that are ready-to-use in as little as 20 minutes with 1 minute hands-on-time and 100% antibody recovery: available for fluorescent dyes, HRP, biotin and gold.

Compatibility
This product is compatible with the Maxpar® Antibody Labeling Kit from Fluidigm, without the need for antibody preparation. Maxpar® is a trademark of Fluidigm Canada Inc.

出荷温度及び保存条件

製品の状態
Liquid
精製方法
Affinity purification Protein A
バッファー組成
pH: 7.2 - 7.4 Constituents: PBS
出荷温度
Blue Ice
短期保存温度
+4°C
長期保存温度
+4°C
保管に関する情報
Do Not Freeze

製品プロトコール

For this product, it's our understanding that no specific protocols are required. You can visit:

ターゲットの情報

Membrane-anchored forms may play a role in cellular adhesion.. Megakaryocyte-potentiating factor (MPF) potentiates megakaryocyte colony formation in vitro.
See full target information MSLN

文献 (1)

Recent publications for all applications. Explore the full list and refine your search

Autophagy 20:1072-1097 PubMed38050963

2023

deficiency exacerbates podocyte injury and autophagy disorder by targeting in diabetic nephropathy.

Applications

Unspecified application

Species

Unspecified reactive species

Xueqi Liu,Ling Jiang,Hanxu Zeng,Li Gao,Shanshan Guo,Chaoyi Chen,Xinran Liu,Mengya Zhang,Lijuan Ma,Yuanyuan Li,Xiangming Qi,Yonggui Wu
View all publications

Abcam product promise

当社は、高品質な試薬を通じてお客様の研究を力強くサポートすることをお約束いたします。ご使用いただく各段階で、常にお客様をサポートできる体制を整えております。万が一、製品が期待通りに機能しない場合は、「Abcam Product Promise」による当社保証制度に基づき、安心してご利用いただけます。
保証に関する詳細については利用規約をご確認ください。

Please note: All products are 'FOR RESEARCH USE ONLY. NOT FOR USE IN DIAGNOSTIC OR THERAPEUTIC PROCEDURES'.

For licensing inquiries, please contact partnerships@abcam.com