JavaScript is disabled in your browser. Please enable JavaScript to view this website.
AB196235

Anti-Mesothelin 抗体 [EPR19025-42]

Anti-Mesothelin antibody [EPR19025-42]

Be the first to review this product! Submit a review

|

(7 Publications)

Rabbit Recombinant Monoclonal Mesothelin antibody. Suitable for IP, Flow Cyt, WB, IHC-P and reacts with Human samples. Cited in 7 publications.

別名を表示する

MPF, MSLN, Mesothelin, CAK1 antigen, Pre-pro-megakaryocyte-potentiating factor

7 Images
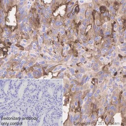
Immunohistochemistry (Formalin/PFA-fixed paraffin-embedded sections) - Anti-Mesothelin antibody [EPR19025-42] (AB196235)
  • IHC-P

Supplier Data

Immunohistochemistry (Formalin/PFA-fixed paraffin-embedded sections) - Anti-Mesothelin antibody [EPR19025-42] (AB196235)

Immunohistochemical analysis of paraffin-embedded human ovarian adenocarcinoma tissue labeling Mesothelin with ab196235 at 1/1500 dilution, followed by Goat Anti-Rabbit IgG H&L (HRP) Ready to use. Cytoplasmic staining on tumor cells of human ovarian adenocarcinoma (PMID : 17945478). Counter stained with Hematoxylin.

Secondary antibody only control : Used PBS instead of primary antibody, secondary antibody is Goat Anti-Rabbit IgG H&L (HRP) Ready to use.

Perform heat mediated antigen retrieval with Tris/EDTA buffer pH 9.0 before commencing with IHC staining protocol.

Flow Cytometry - Anti-Mesothelin antibody [EPR19025-42] (AB196235)
  • Flow Cyt

Supplier Data

Flow Cytometry - Anti-Mesothelin antibody [EPR19025-42] (AB196235)

Flow cytometric analysis of HeLa (human epithelial cell line from cervix adenocarcinoma) cell line labeling Mesothelin with ab196235 at 1/50 dilution (red) compared with a Rabbit IgG, monoclonal [EPR25A] - Isotype Control (ab172730) (black) and an unlabeled control (cells without incubation with primary antibody and secondary antibody) (blue). Goat Anti-Rabbit IgG H&L (Alexa Fluor® 488) (ab150077) at 1/2000 dilution was used as the secondary antibody.

Total viable cells were gated for the image.

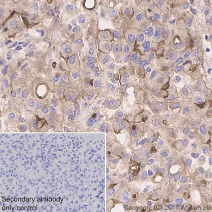
Immunohistochemistry (Formalin/PFA-fixed paraffin-embedded sections) - Anti-Mesothelin antibody [EPR19025-42] (AB196235)
  • IHC-P

Supplier Data

Immunohistochemistry (Formalin/PFA-fixed paraffin-embedded sections) - Anti-Mesothelin antibody [EPR19025-42] (AB196235)

Immunohistochemical analysis of paraffin-embedded human mesothelioma tissue labeling Mesothelin with ab196235 at 1/1500 dilution, followed by Goat Anti-Rabbit IgG H&L (HRP) Ready to use. Membranous and cytoplasmic staining on human mesothelioma (PMID : 17945478). Counter stained with Hematoxylin.

Secondary antibody only control : Used PBS instead of primary antibody, secondary antibody is Goat Anti-Rabbit IgG H&L (HRP) Ready to use.

Perform heat mediated antigen retrieval with Tris/EDTA buffer pH 9.0 before commencing with IHC staining protocol.

Flow Cytometry - Anti-Mesothelin antibody [EPR19025-42] (AB196235)
  • Flow Cyt

Lab

Flow Cytometry - Anti-Mesothelin antibody [EPR19025-42] (AB196235)

Flow cytometry overlay histogram showing left HeLa positive cells and right negative PC3 stained with ab196235 (red line). The cells were incubated in 1x PBS containing 10% normal goat serum to block non-specific protein-protein interactionfollowed by the antibody (ab196235) (1x 106 in 100μl at 5.0 μg/ml (1/410)) for 30min on ice.

The secondary antibody Goat Anti-Rabbit IgG H&L (Alexa Fluor® 488) preadsorbed was incubated at 1/4000 for 30min on ice

Isotype control antibody (black line) was Recombinant Rabbit IgG, monoclonal [EPR25A] - Isotype Control used at the same concentration and conditions as the primary antibody. Unlabelled sample (blue line) was also used as a control.

Acquisition of >5000 events were collected using a 50 mW Blue laser (488nm) and 525/40 bandpass filter.

Immunoprecipitation - Anti-Mesothelin antibody [EPR19025-42] (AB196235)
  • IP

Supplier Data

Immunoprecipitation - Anti-Mesothelin antibody [EPR19025-42] (AB196235)

Mesothelin was immunoprecipitated from 0.35 mg of HeLa (human epithelial cell line from cervix adenocarcinoma) lysate with ab196235 at 1/30 dilution. Western blot was performed from the immunoprecipitate using ab196235 at 1/1000 dilution. VeriBlot for IP Detection Reagent (HRP) (ab131366), was used for detection at 1/10000 dilution.

Lane 1 : HeLa whole cell lysate 10 μg (Input).

Lane 2 : ab196235 IP in HeLa whole cell lysate.

Lane 3 : Rabbit monoclonal IgG (ab172730) instead of ab196235 in HeLa whole cell lysate.

Exposure time : 3 minutes.

Blocking and dilution buffer and concentration : 5% NFDM/TBST.

All lanes:

Immunoprecipitation - Anti-Mesothelin antibody [EPR19025-42] (ab196235)

Predicted band size: 69 kDa

Observed band size: 40 kDa,69 kDa

false

Western blot - Anti-Mesothelin antibody [EPR19025-42] (AB196235)
  • WB

Supplier Data

Western blot - Anti-Mesothelin antibody [EPR19025-42] (AB196235)

Blocking/Dilution buffer : 5% NFDM/TBST.

The molecular mass is consistent with what has been described in the literature (PMID : 24146039).

All lanes:

Western blot - Anti-Mesothelin antibody [EPR19025-42] (ab196235) at 1/1000 dilution

Lane 1:

Human ovary cancer lysate at 20 µg

Lane 2:

HeLa (human epithelial cell line from cervix adenocarcinoma) cell lysate at 20 µg

Secondary

Lane 1:

Western blot - VeriBlot for IP Detection Reagent (HRP) (<a href='/products/reagents/veriblot-for-ip-detection-reagent-hrp-ab131366'>ab131366</a>) at 1/4000 dilution

Lane 2:

Western blot - Goat Anti-Rabbit IgG H&L (HRP) (<a href='/products/secondary-antibodies/goat-rabbit-igg-h-l-hrp-ab97051'>ab97051</a>) at 1/100000 dilution

Predicted band size: 69 kDa

Observed band size: 40 kDa,69 kDa

true

Exposure time: 30s

Western blot - Anti-Mesothelin antibody [EPR19025-42] (AB196235)
  • WB

Lab

Western blot - Anti-Mesothelin antibody [EPR19025-42] (AB196235)

False colour image of Western blot : Anti-Mesothelin antibody [EPR19025-42] staining at 1/1000 dilution, shown in green; Mouse anti-GAPDH antibody [6C5] (ab8245) loading control staining at 1/20000 dilution, shown in red. In Western blot, ab196235 was shown to bind specifically to Mesothelin. First, samples were run on an SDS-PAGE gel then transferred onto a nitrocellulose membrane. Membranes were blocked in 3 % milk in TBS-0.1 % Tween® 20 (TBS-T) before incubation with primary antibodies overnight at 4°C. Blots were washed four times in TBS-T, incubated with secondary antibodies for 1 h at room temperature, washed again four times then imaged. Secondary antibodies used were Goat anti-Rabbit IgG H&L (IRDye® 800CW) preabsorbed (ab216773) and Goat anti-Mouse IgG H&L (IRDye® 680RD) preabsorbed (ab216776) at 1/20000 dilution.

All lanes:

Western blot - Anti-Mesothelin antibody [EPR19025-42] (ab196235) at 1/1000 dilution

Lane 1:

OVCAR-3 cell lysate at 20 µg

Lane 2:

HeLa cell lysate at 20 µg

Lane 3:

A549 cell lysate at 20 µg

Lane 4:

PC-3 cell lysate at 20 µg

Predicted band size: 69 kDa

Observed band size: 45 kDa

false

関連する標識済み抗体及び組成の異なる製品 (5)

  • 578 PE

    PE Anti-Mesothelin antibody [EPR19025-42]

  • Carrier free

    Anti-Mesothelin antibody [EPR19025-42] - BSA and Azide free

  • 665 Alexa Fluor® 647

    Alexa Fluor® 647 Anti-Mesothelin antibody [EPR19025-42]

  • 519 Alexa Fluor® 488

    Alexa Fluor® 488 Anti-Mesothelin antibody [EPR19025-42]

  • Carrier free

    Anti-Mesothelin antibody [EPR19025-42] - BSA and Azide free (Capture)

Key facts

宿主種

Rabbit

クローン性

Monoclonal

クローン番号

EPR19025-42

アイソタイプ

IgG

キャリアフリー

No

交差種

Human

アプリケーション

WB, IP, IHC-P, Flow Cyt

applications

免疫原

The exact immunogen used to generate this antibody is proprietary information.

Reactivity data

{ "title": "Reactivity Data", "filters": { "stats": ["", "Species", "Dilution Info", "Notes"], "tabs": { "all-applications": {"fullname" : "All Applications", "shortname": "All Applications"}, "IP" : {"fullname" : "Immunoprecipitation", "shortname":"IP"}, "FlowCyt" : {"fullname" : "Flow Cytometry", "shortname":"Flow Cyt"}, "WB" : {"fullname" : "Western blot", "shortname":"WB"}, "IHCP" : {"fullname" : "Immunohistochemistry (Formalin/PFA-fixed paraffin-embedded sections)", "shortname":"IHC-P"} }, "product-promise": { "all": "all", "testedAndGuaranteed": "tested", "guaranteed": "expected", "predicted": "predicted", "notRecommended": "not-recommended" } }, "values": { "Human": { "IP-species-checked": "testedAndGuaranteed", "IP-species-dilution-info": "1/30", "IP-species-notes": "<p></p>", "FlowCyt-species-checked": "testedAndGuaranteed", "FlowCyt-species-dilution-info": "1/50", "FlowCyt-species-notes": "<p></p>", "WB-species-checked": "testedAndGuaranteed", "WB-species-dilution-info": "1/1000", "WB-species-notes": "<p></p>", "IHCP-species-checked": "testedAndGuaranteed", "IHCP-species-dilution-info": "1/1500", "IHCP-species-notes": "<p></p>" } } }

製品の詳細

Patented technology
Our RabMAb® technology is a patented hybridoma-based technology for making rabbit monoclonal antibodies. For details on our patents, please refer to RabMAb® patents.

What are the advantages of a recombinant monoclonal antibody?
This product is a recombinant monoclonal antibody, which offers several advantages including:

  • - High batch-to-batch consistency and reproducibility
  • - Improved sensitivity and specificity
  • - Long-term security of supply
  • - Animal-free batch production

For more information, read more on recombinant antibodies.

出荷温度及び保存条件

製品の状態
Liquid
精製方法
Affinity purification Protein A
バッファー組成
pH: 7.2 - 7.4 Preservative: 0.01% Sodium azide Constituents: PBS, 40% Glycerol (glycerin, glycerine), 0.05% BSA
出荷温度
Blue Ice
短期保存期間
1-2 weeks
短期保存温度
+4°C
長期保存温度
-20°C
分注に関する情報
Upon delivery aliquot
保管に関する情報
Avoid freeze / thaw cycle

製品プロトコール

For this product, it's our understanding that no specific protocols are required. You can visit:

ターゲットの情報

Membrane-anchored forms may play a role in cellular adhesion.. Megakaryocyte-potentiating factor (MPF) potentiates megakaryocyte colony formation in vitro.
See full target information MSLN

文献 (7)

Recent publications for all applications. Explore the full list and refine your search

Nature communications 16:7889 PubMed40849430

2025

Mesothelin-directed protein-drug conjugates for mesothelin-low solid tumor therapy.

Applications

Unspecified application

Species

Unspecified reactive species

Ying Wang,Jiayao Yan,Lin Li,Tianran Chen,Jingyi Guo,Lei Lei,Siwen Wu,Lijing Zhu,Xiaotong Chen,Baorui Liu

The Journal of experimental medicine 222: PubMed40227192

2025

Enhanced TLR7-dependent production of type I interferon by pDCs underlies pandemic chilblains.

Applications

Unspecified application

Species

Unspecified reactive species

Fanny Saidoune,Danyel Lee,Jeremy Di Domizio,Corentin Le Floc'h,Raphael Jenelten,Jérémie Le Pen,Vincent Bondet,Ana Joncic,Marie-Anne Morren,Vivien Béziat,Shen-Ying Zhang,Emmanuelle Jouanguy,Darragh Duffy,Charles M Rice,Curdin Conrad,Jacques Fellay,Jean-Laurent Casanova,Michel Gilliet,Ahmad Yatim

Advanced science (Weinheim, Baden-Wurttemberg, Germany) 12:e2407976 PubMed39887656

2025

Targeting Mesothelin Enhances Personalized Neoantigen Vaccine Induced Antitumor Immune Response in Orthotopic Pancreatic Cancer Mouse Models.

Applications

Unspecified application

Species

Unspecified reactive species

Zhixiong Cai,Zhenli Li,Wenting Zhong,Fangzhou Lin,Xiuqing Dong,Honghao Ye,Yutong Guo,Geng Chen,Xiaoling Yu,Haijun Yu,Ruijing Tang,Xiaolong Liu

The European respiratory journal 63: PubMed38212075

2024

Single-cell transcriptomic analysis of human pleura reveals stromal heterogeneity and informs models of mesothelioma.

Applications

Unspecified application

Species

Unspecified reactive species

Joanna Obacz,Jose Antonio Valer,Reshma Nibhani,Taylor S Adams,Jonas C Schupp,Niki Veale,Amanah Lewis-Wade,Jasper Flint,John Hogan,Giuseppe Aresu,Aman S Coonar,Adam Peryt,Giulia Biffi,Naftali Kaminski,Hayley Francies,Doris M Rassl,Mathew J Garnett,Robert C Rintoul,Stefan J Marciniak

Frontiers in oncology 13:1239957 PubMed38162496

2024

BME-free primary patient-specific organoids obtained with a one-day mimicking method to replicate the corresponding tumor for personalized treatment options.

Applications

Unspecified application

Species

Unspecified reactive species

Yan Zhu,Zhechun Ding,Yini Wang,Qing Wu,Dongmei Chen,Luanhong Wang,Yuancheng Li,Yao Yao,Jiman Huang,Yun Li,Xiaojing Wang,Yanchun Lin,Tian Guan,Haoyu Zeng,Congzhu Li

Cell metabolism 34:1342-1358.e7 PubMed36070682

2022

ATF3 and CH25H regulate effector trogocytosis and anti-tumor activities of endogenous and immunotherapeutic cytotoxic T lymphocytes.

Applications

Unspecified application

Species

Unspecified reactive species

Zhen Lu,Noreen McBrearty,Jinyun Chen,Vivek S Tomar,Hongru Zhang,Gianluca De Rosa,Aiwen Tan,Aalim M Weljie,Daniel P Beiting,Zhen Miao,Subin S George,Allison Berger,Gurpanna Saggu,J Alan Diehl,Constantinos Koumenis,Serge Y Fuchs

International journal of medical sciences 17:422-427 PubMed32174772

2020

Overexpression of Mesothelin in Pancreatic Ductal Adenocarcinoma (PDAC).

Applications

Unspecified application

Species

Unspecified reactive species

Kai Le,Jia Wang,Tao Zhang,Yifan Guo,Hong Chang,Siyuan Wang,Bin Zhu
View all publications

Abcam product promise

当社は、高品質な試薬を通じてお客様の研究を力強くサポートすることをお約束いたします。ご使用いただく各段階で、常にお客様をサポートできる体制を整えております。万が一、製品が期待通りに機能しない場合は、「Abcam Product Promise」による当社保証制度に基づき、安心してご利用いただけます。
保証に関する詳細については利用規約をご確認ください。

Please note: All products are 'FOR RESEARCH USE ONLY. NOT FOR USE IN DIAGNOSTIC OR THERAPEUTIC PROCEDURES'.

For licensing inquiries, please contact partnerships@abcam.com