JavaScript is disabled in your browser. Please enable JavaScript to view this website.
AB19306

Anti-Melanopsin 抗体

Anti-Melanopsin antibody

Be the first to review this product! Submit a review

|

(8 Publications)

Rabbit Polyclonal Melanopsin antibody. Suitable for WB, IHC-P, ICC/IF and reacts with Human, Rat, Mouse samples. Cited in 8 publications. Immunogen corresponding to Synthetic Peptide within Rat Melanopsin aa 1-50.

別名を表示する

MOP, OPN4, Melanopsin, Opsin-4

2 Images
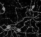
Immunocytochemistry/ Immunofluorescence - Anti-Melanopsin antibody (AB19306)
  • ICC/IF

Unknown

Immunocytochemistry/ Immunofluorescence - Anti-Melanopsin antibody (AB19306)

Immunofluorescence and immunocytochemistry staining of Melanopsin in rat retinal ganglion cells (RGCs) can be performed using ab19306.

Western blot - Anti-Melanopsin antibody (AB19306)
  • WB

Unknown

Western blot - Anti-Melanopsin antibody (AB19306)

By Western blot, this antibody detects ~53 and ~85 kDa proteins representing overexpressed unglycosylated and glycosylated rat melanopsin from HEK 293 cells.

All lanes:

Western blot - Anti-Melanopsin antibody (ab19306)

Predicted band size: 52 kDa

false

Key facts

宿主種

Rabbit

クローン性

Polyclonal

アイソタイプ

IgG

キャリアフリー

No

交差種

Rat, Human, Mouse

アプリケーション

WB, ICC/IF, IHC-P

applications

免疫原

Synthetic Peptide within Rat Melanopsin aa 1-50. The exact immunogen used to generate this antibody is proprietary information.

Q8R456

Reactivity data

{ "title": "Reactivity Data", "filters": { "stats": ["", "Species", "Dilution Info", "Notes"], "tabs": { "all-applications": {"fullname" : "All Applications", "shortname": "All Applications"}, "WB" : {"fullname" : "Western blot", "shortname":"WB"}, "IHCP" : {"fullname" : "Immunohistochemistry (Formalin/PFA-fixed paraffin-embedded sections)", "shortname":"IHC-P"}, "ICCIF" : {"fullname" : "Immunocytochemistry/ Immunofluorescence", "shortname":"ICC/IF"} }, "product-promise": { "all": "all", "testedAndGuaranteed": "tested", "guaranteed": "expected", "predicted": "predicted", "notRecommended": "not-recommended" } }, "values": { "Human": { "WB-species-checked": "testedAndGuaranteed", "WB-species-dilution-info": "0.1-0.2 µg/mL", "WB-species-notes": "<p>Endogenous melanopsin is expressed at low levels making it difficult to detect. We recommend running a positive control and conducting experiments on samples overexpressing melanopsin protein.</p>", "IHCP-species-checked": "guaranteed", "IHCP-species-dilution-info": "", "IHCP-species-notes": "<p></p>", "ICCIF-species-checked": "guaranteed", "ICCIF-species-dilution-info": "", "ICCIF-species-notes": "" }, "Mouse": { "WB-species-checked": "predicted", "WB-species-dilution-info": "", "WB-species-notes": "", "IHCP-species-checked": "guaranteed", "IHCP-species-dilution-info": "", "IHCP-species-notes": "<p></p>", "ICCIF-species-checked": "predicted", "ICCIF-species-dilution-info": "", "ICCIF-species-notes": "" }, "Rat": { "WB-species-checked": "guaranteed", "WB-species-dilution-info": "", "WB-species-notes": "", "IHCP-species-checked": "guaranteed", "IHCP-species-dilution-info": "", "IHCP-species-notes": "<p></p>", "ICCIF-species-checked": "testedAndGuaranteed", "ICCIF-species-dilution-info": "10 µg/mL", "ICCIF-species-notes": "<p></p>" } } }

出荷温度及び保存条件

製品の状態
Liquid
精製方法
Affinity purification Immunogen
バッファー組成
Preservative: 0.05% Sodium azide Constituents: PBS, 0.1% BSA
出荷温度
Blue Ice
短期保存温度
+4°C
長期保存温度
-20°C
分注に関する情報
Upon delivery aliquot
保管に関する情報
Avoid freeze / thaw cycle

製品プロトコール

For this product, it's our understanding that no specific protocols are required. You can visit:

ターゲットの情報

Photoreceptor that binds cis-retinaldehydes (PubMed : 15674244). Contributes to pupillar reflex, photoentrainment and other non-image forming responses to light (By similarity). May be involved in the optokinetic visual tracking response (By similarity). May be involved in the regulation of retinal hyaloid vessel growth and regression (By similarity).
See full target information OPN4

文献 (8)

Recent publications for all applications. Explore the full list and refine your search

Nature communications 15:5501 PubMed38951486

2024

Prefrontal cortex neurons encode ambient light intensity differentially across regions and layers.

Applications

Unspecified application

Species

Unspecified reactive species

Elyashiv Zangen,Shira Hadar,Christopher Lawrence,Mustafa Obeid,Hala Rasras,Ella Hanzin,Ori Aslan,Eyal Zur,Nadav Schulcz,Daniel Cohen-Hatab,Yona Samama,Sarah Nir,Yi Li,Irina Dobrotvorskia,Shai Sabbah

European journal of histochemistry : EJH 67: PubMed36786079

2023

Effects of artificial light with different spectral composition on eye axial growth in juvenile guinea pigs.

Applications

Unspecified application

Species

Unspecified reactive species

Xinyu Xu,Jiayu Shi,Chuanwei Zhang,Lixin Shi,Yujie Bai,Wei Shi,Yuliang Wang

Frontiers in neurology 8:417 PubMed28871236

2017

Non-Visual Photopigments Effects of Constant Light-Emitting Diode Light Exposure on the Inner Retina of Wistar Rats.

Applications

Unspecified application

Species

Unspecified reactive species

María M Benedetto,Mario E Guido,María A Contin

Methods in molecular biology (Clifton, N.J.) 1642:181-194 PubMed28815501

2017

Immunohistochemical Procedures for Characterizing the Retinal Expression Patterns of Cre Driver Mouse Lines.

Applications

Unspecified application

Species

Unspecified reactive species

Qi Lu,Zhuo-Hua Pan

The Journal of physiology 595:3497-3514 PubMed28402052

2017

Vasopressin casts light on the suprachiasmatic nucleus.

Applications

Unspecified application

Species

Unspecified reactive species

Takahiro Tsuji,Andrew J Allchorne,Meng Zhang,Chiharu Tsuji,Vicky A Tobin,Rafael Pineda,Androniki Raftogianni,Javier E Stern,Valery Grinevich,Gareth Leng,Mike Ludwig

PloS one 11:e0157226 PubMed27295136

2016

Classical Photoreceptors Are Primarily Responsible for the Pupillary Light Reflex in Mouse.

Applications

Unspecified application

Species

Unspecified reactive species

Varsha Jain,Ipsit Srivastava,Shriya Palchaudhuri,Manvi Goel,Sumit K Sinha-Mahapatra,Narender K Dhingra

Molecular medicine reports 13:321-6 PubMed26572076

2015

Overexpression of melanopsin in the retina restores visual function in Royal College of Surgeons rats.

Applications

Unspecified application

Species

Unspecified reactive species

Mingming Liu,Jiaman Dai,Wenyi Liu,Chongjian Zhao,Zheng Qin Yin

The European journal of neuroscience 30:1527-36 PubMed19821841

2009

Loss of photic entrainment at low illuminances in rats with acute photoreceptor degeneration.

Applications

Unspecified application

Species

Unspecified reactive species

Domitille L Boudard,Jorge Mendoza,David Hicks
View all publications

Abcam product promise

当社は、高品質な試薬を通じてお客様の研究を力強くサポートすることをお約束いたします。ご使用いただく各段階で、常にお客様をサポートできる体制を整えております。万が一、製品が期待通りに機能しない場合は、「Abcam Product Promise」による当社保証制度に基づき、安心してご利用いただけます。
保証に関する詳細については利用規約をご確認ください。

Please note: All products are 'FOR RESEARCH USE ONLY. NOT FOR USE IN DIAGNOSTIC OR THERAPEUTIC PROCEDURES'.

For licensing inquiries, please contact partnerships@abcam.com