JavaScript is disabled in your browser. Please enable JavaScript to view this website.
AB137062

Anti-Melanoma gp100 抗体 [EPR4864]

Anti-Melanoma gp100 antibody [EPR4864]

5

(1 Review)

|

(11 Publications)

Anti-Melanoma gp100 antibody [EPR4864] (ab137062) is a rabbit monoclonal antibody detecting Melanoma gp100 in Western Blot, IHC-P. Suitable for Human.

- Biophysical QC for unrivalled batch-batch consistency
- Over 10 publications

別名を表示する

D12S53E, PMEL17, SILV, PMEL, Melanocyte protein PMEL, ME20-M, Melanocyte protein Pmel 17, Melanocytes lineage-specific antigen GP100, Melanoma-associated ME20 antigen, P1, P100, Premelanosome protein, Silver locus protein homolog, ME20M

8 Images
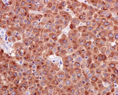
Immunohistochemistry (Formalin/PFA-fixed paraffin-embedded sections) - Anti-Melanoma gp100 antibody [EPR4864] (AB137062)
  • IHC-P

Lab

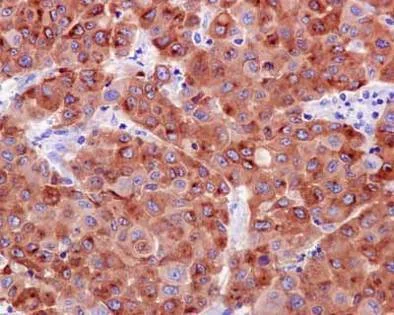
Immunohistochemistry (Formalin/PFA-fixed paraffin-embedded sections) - Anti-Melanoma gp100 antibody [EPR4864] (AB137062)

Immunohistochemical staining of paraffin embedded human melanoma with purified ab137062 at a working dilution of 1 in 400. The secondary antibody used is a HRP polymer for rabbit IgG. The sample is counter-stained with hematoxylin. Antigen retrieval was perfomed using Tris-EDTA buffer, pH 9.0.

Immunohistochemistry (Formalin/PFA-fixed paraffin-embedded sections) - Anti-Melanoma gp100 antibody [EPR4864] (AB137062)
  • IHC-P

Lab

Immunohistochemistry (Formalin/PFA-fixed paraffin-embedded sections) - Anti-Melanoma gp100 antibody [EPR4864] (AB137062)

Immunohistochemical staining of paraffin embedded human melanoma with unpurified ab137062 at a working dilution of 1 in 50. The secondary antibody used is a HRP polymer for rabbit IgG. The sample is counter-stained with hematoxylin. Antigen retrieval was perfomed using Tris-EDTA buffer, pH 9.0.

Western blot - Anti-Melanoma gp100 antibody [EPR4864] (AB137062)
  • WB

Unknown

Western blot - Anti-Melanoma gp100 antibody [EPR4864] (AB137062)

All lanes:

Western blot - Anti-Melanoma gp100 antibody [EPR4864] (ab137062) at 1/1000 dilution

All lanes:

Human melanoma tissue lysate at 10 µg

Secondary

All lanes:

HRP labelled Goat anti-Rabbit IgG at 1/2000 dilution

Predicted band size: 70 kDa

false

Western blot - Anti-Melanoma gp100 antibody [EPR4864] (AB137062)
  • WB

Lab

Western blot - Anti-Melanoma gp100 antibody [EPR4864] (AB137062)

Blocking buffer : 5% NFDM/TBST

Dilution buffer : 5% NFDM/TBST

All lanes:

Western blot - Anti-Melanoma gp100 antibody [EPR4864] (ab137062) at 1/10000 dilution

All lanes:

Human melanoma tissue lysate at 10 µg

Secondary

All lanes:

HRP goat anti-rabbit (H+L) at 1/1000 dilution

Predicted band size: 70 kDa

Observed band size: 100 kDa,26 kDa

false

Immunohistochemistry (Formalin/PFA-fixed paraffin-embedded sections) - Anti-Melanoma gp100 antibody [EPR4864] (AB137062)
  • IHC-P

Unknown

Immunohistochemistry (Formalin/PFA-fixed paraffin-embedded sections) - Anti-Melanoma gp100 antibody [EPR4864] (AB137062)

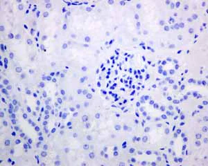
Immunohistochemical analysis using unpurified ab137062 showing negative staining in normal kidney tissue.

Perform heat mediated antigen retrieval before commencing with IHC staining protocol.

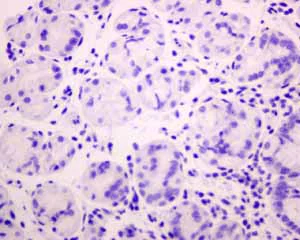
Immunohistochemistry (Formalin/PFA-fixed paraffin-embedded sections) - Anti-Melanoma gp100 antibody [EPR4864] (AB137062)
  • IHC-P

Unknown

Immunohistochemistry (Formalin/PFA-fixed paraffin-embedded sections) - Anti-Melanoma gp100 antibody [EPR4864] (AB137062)

Immunohistochemical analysis using unpurified ab137062 showing negative staining in normal stomach tissue.

Perform heat mediated antigen retrieval before commencing with IHC staining protocol.

Immunohistochemistry (Formalin/PFA-fixed paraffin-embedded sections) - Anti-Melanoma gp100 antibody [EPR4864] (AB137062)
  • IHC-P

Unknown

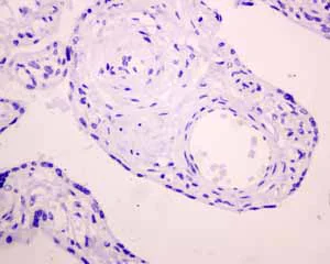
Immunohistochemistry (Formalin/PFA-fixed paraffin-embedded sections) - Anti-Melanoma gp100 antibody [EPR4864] (AB137062)

Immunohistochemical analysis using unpurified ab137062 showing negative staining in placenta tissue.

Perform heat mediated antigen retrieval before commencing with IHC staining protocol.

Immunohistochemistry (Formalin/PFA-fixed paraffin-embedded sections) - Anti-Melanoma gp100 antibody [EPR4864] (AB137062)
  • IHC-P

Unknown

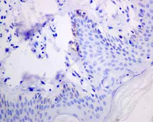
Immunohistochemistry (Formalin/PFA-fixed paraffin-embedded sections) - Anti-Melanoma gp100 antibody [EPR4864] (AB137062)

Immunohistochemical analysis using unpurifed ab137062 showing negative staining in normal skin tissue.

Perform heat mediated antigen retrieval before commencing with IHC staining protocol.

関連する標識済み抗体及び組成の異なる製品 (9)

  • HRP

    HRP Anti-Melanoma gp100 antibody [EPR4864]

  • Carrier free

    Anti-Melanoma gp100 antibody [EPR4864] - BSA and Azide free

  • 565 Alexa Fluor® 555

    Alexa Fluor® 555 Anti-Melanoma gp100 antibody [EPR4864]

  • 665 Alexa Fluor® 647

    Alexa Fluor® 647 Anti-Melanoma gp100 antibody [EPR4864]

  • 578 PE

    PE Anti-Melanoma gp100 antibody [EPR4864]

  • 660 APC

    APC Anti-Melanoma gp100 antibody [EPR4864]

  • 617 Alexa Fluor® 594

    Alexa Fluor® 594 Anti-Melanoma gp100 antibody [EPR4864]

  • 519 Alexa Fluor® 488

    Alexa Fluor® 488 Anti-Melanoma gp100 antibody [EPR4864]

  • 775 Alexa Fluor® 750

    Alexa Fluor® 750 Anti-Melanoma gp100 antibody [EPR4864]

Key facts

宿主種

Rabbit

クローン性

Monoclonal

クローン番号

EPR4864

アイソタイプ

IgG

キャリアフリー

No

交差種

Human

アプリケーション

IHC-P, WB

applications

免疫原

The exact immunogen used to generate this antibody is proprietary information.

Reactivity data

{ "title": "Reactivity Data", "filters": { "stats": ["", "Species", "Dilution Info", "Notes"], "tabs": { "all-applications": {"fullname" : "All Applications", "shortname": "All Applications"}, "IHCP" : {"fullname" : "Immunohistochemistry (Formalin/PFA-fixed paraffin-embedded sections)", "shortname":"IHC-P"}, "ICCIF" : {"fullname" : "Immunocytochemistry/ Immunofluorescence", "shortname":"ICC/IF"}, "IP" : {"fullname" : "Immunoprecipitation", "shortname":"IP"}, "WB" : {"fullname" : "Western blot", "shortname":"WB"} }, "product-promise": { "all": "all", "testedAndGuaranteed": "tested", "guaranteed": "expected", "predicted": "predicted", "notRecommended": "not-recommended" } }, "values": { "Human": { "IHCP-species-checked": "testedAndGuaranteed", "IHCP-species-dilution-info": "1/400", "IHCP-species-notes": "<p><strong>For unpurified, use 1/50 - 1/100.</strong></p> Perform heat-mediated antigen retrieval before commencing with IHC staining protocol.", "ICCIF-species-checked": "notRecommended", "ICCIF-species-dilution-info": "", "ICCIF-species-notes": "<p></p>", "IP-species-checked": "notRecommended", "IP-species-dilution-info": "", "IP-species-notes": "<p></p>", "WB-species-checked": "testedAndGuaranteed", "WB-species-dilution-info": "1/1000 - 1/10000", "WB-species-notes": "<p><strong>For unpurified, use 1/1000 - 1/2000.</strong></p>" } } }

製品の詳細

What is this antibody validated in?
Anti-Melanoma gp100 antibody [EPR4864] (ab137062) is a rabbit recombinant monoclonal antibody and is validated for use in Western Blot (WB), Immunohistochemistry (IHC-P) in Human samples.

What is the molecular weight of Melanoma gp100?
Anti-Melanoma gp100 [EPR4864] (ab137062) specifically detects a band for Melanoma gp100 (UniProt: P40967) at a molecular weight of 70kDa.

Trusted by the scientific community
Anti-Melanoma gp100 [EPR4864] (ab137062) was first used in a scientific publication in 2012 and has been cited over 10 times in peer-reviewed journals.

Trial sizes available!
Test your antibody or perform pre-screening before committing to a larger quantity. Sold in 10µl. Discover our selection of trial-size antibodies.

Other related products
We have a range of other formats of antibody clone [EPR4864] also available for your convenience: ab137062, Carrier free - ab190913, HRP - ab206094, APC - ab319326, PE - ab319463, Alexa Fluor® 488 - ab319583, Alexa Fluor® 647 - ab319689, Alexa Fluor® 594 - ab319819, Alexa Fluor® 555 - ab319960, Alexa Fluor® 750 - ab321106

Species reactivity
Mouse, Rat: We have preliminary internal testing data to indicate this antibody may not react with these species.
Please contact us for more information.

Patented technology
Our RabMAb® technology is a patented hybridoma-based technology for making rabbit monoclonal antibodies. For details on our patents, please refer to RabMAb® patents.

What are the advantages of a recombinant monoclonal antibody?
This product is a recombinant monoclonal antibody, which offers several advantages including:

  • - High batch-to-batch consistency and reproducibility
  • - Improved sensitivity and specificity
  • - Long-term security of supply
  • - Animal-free batch production

For more information, read more on recombinant antibodies.

出荷温度及び保存条件

製品の状態
Liquid
精製方法
Affinity purification Protein A
バッファー組成
pH: 7.2 - 7.4 Preservative: 0.01% Sodium azide Constituents: PBS, 40% Glycerol (glycerin, glycerine), 0.05% BSA
出荷温度
Blue Ice
短期保存温度
+4°C
長期保存温度
-20°C

製品プロトコール

For this product, it's our understanding that no specific protocols are required. You can visit:

ターゲットの情報

Forms physiological amyloids that play a central role in melanosome morphogenesis and pigmentation. The maturation of unpigmented premelanosomes from stage I to II is marked by assembly of processed amyloidogenic fragments into parallel fibrillar sheets, which elongate the vesicle into a striated ellipsoidal shape. In pigmented stage III and IV melanosomes, the amyloid matrix serves as a platform where eumelanin precursors accumulate at high local concentrations for pigment formation. May prevent pigmentation-associated toxicity by sequestering toxic reaction intermediates of eumelanin biosynthesis pathway.. Represents a potent melanoma-specific antigen. Among melanoma non-mutated self-peptides, G9-154 (KTWGQYWQV), G9-209 (ITDQVPFSV) and G9-280 (YLEPGPVTA), appear to act as immunodominant common epitopes that stimulate anti-tumor immune response mediated by HLA-A-restricted cytotoxic T cells.
See full target information PMEL

文献 (11)

Recent publications for all applications. Explore the full list and refine your search

SLAS technology 29:100106 PubMed37657710

2023

A semi-automated pipeline for quantifying drusen-like deposits in human induced pluripotent stem cell-derived retinal pigment epithelium cells.

Applications

Unspecified application

Species

Unspecified reactive species

Jenna Hall,Maciej Daniszewski,Shane Cheung,Kalyan Shobhana,Himeesh Kumar,Helena H Liang,Henry Beetham,Ellie Cho,Carla Abbott,Alex W Hewitt,Kaylene J Simpson,Robyn H Guymer,Daniel Paull,Alice Pébay,Grace E Lidgerwood

Nature communications 13:4233 PubMed35882847

2022

Transcriptomic and proteomic retinal pigment epithelium signatures of age-related macular degeneration.

Applications

Unspecified application

Species

Unspecified reactive species

Anne Senabouth,Maciej Daniszewski,Grace E Lidgerwood,Helena H Liang,Damián Hernández,Mehdi Mirzaei,Stacey N Keenan,Ran Zhang,Xikun Han,Drew Neavin,Louise Rooney,Maria Isabel G Lopez Sanchez,Lerna Gulluyan,Joao A Paulo,Linda Clarke,Lisa S Kearns,Vikkitharan Gnanasambandapillai,Chia-Ling Chan,Uyen Nguyen,Angela M Steinmann,Rachael A McCloy,Nona Farbehi,Vivek K Gupta,David A Mackey,Guy Bylsma,Nitin Verma,Stuart MacGregor,Matthew J Watt,Robyn H Guymer,Joseph E Powell,Alex W Hewitt,Alice Pébay

Regenerative therapy 19:24-34 PubMed35059477

2022

Addition of Chk1 inhibitor and BMP4 cooperatively promotes retinal tissue formation in self-organizing human pluripotent stem cell differentiation culture.

Applications

Unspecified application

Species

Unspecified reactive species

Suguru Yamasaki,Atsushi Kuwahara,Akiyoshi Kishino,Toru Kimura,Masayo Takahashi,Michiko Mandai

Scientific reports 11:7730 PubMed33833328

2021

Identification of critical amino acid residues in the regulatory N-terminal domain of PMEL.

Applications

Unspecified application

Species

Unspecified reactive species

Susan M Mitchell,Morven Graham,Xinran Liu,Ralf M Leonhardt

Methods in molecular biology (Clifton, N.J.) 2265:213-222 PubMed33704717

2021

Multi-Marker Immunomagnetic Enrichment of Circulating Melanoma Cells.

Applications

Unspecified application

Species

Unspecified reactive species

Aaron B Beasley,Emmanuel Acheampong,Weitao Lin,Elin S Gray

Scientific reports 9:6101 PubMed30988362

2019

Repeat domain-associated O-glycans govern PMEL fibrillar sheet architecture.

Applications

Unspecified application

Species

Unspecified reactive species

Morven Graham,Athanasia C Tzika,Susan M Mitchell,Xinran Liu,Ralf M Leonhardt

Cell cycle (Georgetown, Tex.) 17:844-857 PubMed29623762

2018

Degraded melanocores are incompetent to protect epidermal keratinocytes against UV damage.

Applications

Unspecified application

Species

Unspecified reactive species

Wen-Juan Yi,Meng-Yun Su,Ying Shi,Shan Jiang,Shi-Zheng Xu,Tie-Chi Lei

Investigative ophthalmology & visual science 59:1374-1383 PubMed29625461

2018

Allogeneic iPSC-Derived RPE Cell Graft Failure Following Transplantation Into the Subretinal Space in Nonhuman Primates.

Applications

Unspecified application

Species

Macaque monkey

Trevor J McGill,Jonathan Stoddard,Lauren M Renner,Ilhem Messaoudi,Kapil Bharti,Shoukhrat Mitalipov,Andreas Lauer,David J Wilson,Martha Neuringer

The Journal of investigative dermatology 138:171-178 PubMed28842328

2017

Melanocytes Sense Blue Light and Regulate Pigmentation through Opsin-3.

Applications

Unspecified application

Species

Unspecified reactive species

Claire Regazzetti,Laura Sormani,Delphine Debayle,Françoise Bernerd,Meri K Tulic,Gian Marco De Donatis,Bérengère Chignon-Sicard,Stéphane Rocchi,Thierry Passeron

Translational vision science & technology 6:17 PubMed28626601

2017

Long-Term Efficacy of GMP Grade Xeno-Free hESC-Derived RPE Cells Following Transplantation.

Applications

IHC-P

Species

Rat

Trevor J McGill,Osnat Bohana-Kashtan,Jonathan W Stoddard,Michael D Andrews,Neelay Pandit,Lior R Rosenberg-Belmaker,Ofer Wiser,Limor Matzrafi,Eyal Banin,Benjamin Reubinoff,Nir Netzer,Charles Irving
View all publications

Abcam product promise

当社は、高品質な試薬を通じてお客様の研究を力強くサポートすることをお約束いたします。ご使用いただく各段階で、常にお客様をサポートできる体制を整えております。万が一、製品が期待通りに機能しない場合は、「Abcam Product Promise」による当社保証制度に基づき、安心してご利用いただけます。
保証に関する詳細については利用規約をご確認ください。

Please note: All products are 'FOR RESEARCH USE ONLY. NOT FOR USE IN DIAGNOSTIC OR THERAPEUTIC PROCEDURES'.

For licensing inquiries, please contact partnerships@abcam.com