JavaScript is disabled in your browser. Please enable JavaScript to view this website.
AB33918

Anti-MEKK2 抗体 [EP626Y]

Anti-MEKK2 antibody [EP626Y]

5

(2 Reviews)

|

(23 Publications)

Rabbit Recombinant Monoclonal MEKK2 antibody. Suitable for WB, ICC/IF, IP, IHC-Fr, Flow Cyt (Intra), IHC-P and reacts with Human, Mouse, Rat samples. Cited in 23 publications.

別名を表示する

MAPKKK2, MEKK2, MAP3K2, Mitogen-activated protein kinase kinase kinase 2, MAPK/ERK kinase kinase 2, MEK kinase 2, MEKK 2

15 Images
Immunohistochemistry (Formalin/PFA-fixed paraffin-embedded sections) - Anti-MEKK2 antibody [EP626Y] (AB33918)
  • IHC-P

Supplier Data

Immunohistochemistry (Formalin/PFA-fixed paraffin-embedded sections) - Anti-MEKK2 antibody [EP626Y] (AB33918)

ab33918 staining MEKK2 in mouse cerebral cortex tissue sections by Immunohistochemistry (IHC-P - paraformaldehyde-fixed, paraffin-embedded sections). Tissue was fixed with paraformaldehyde and antigen retrieval was by heat mediation in a EDTA buffer. Samples were incubated with primary antibody at a dilution of 1/100. A goat anti-rabbit IgG H&L (HRP) ab97051 was used as the secondary antibody at a dilution of 1/500.

Negative control 1 : PBS in place of primary antibody.

Western blot - Anti-MEKK2 antibody [EP626Y] (AB33918)
  • WB

Lab

Western blot - Anti-MEKK2 antibody [EP626Y] (AB33918)

Lanes 1- 2 : Merged signal (red and green). Green - ab33918 observed at 75 kDa. Red - Anti-GAPDH antibody [6C5] - Loading Control (ab8245) observed at 37 kDa.

ab33918 was shown to react with MEKK2 in wild-type HeLa cells in western blot. Loss of signal was observed when knockout cell line ab264944 (knockout cell lysate ab257520) was used. Wild-type HeLa and MAP3K2 knockout HeLa cell lysates were subjected to SDS-PAGE. Membrane was blocked for 1 hour at room temperature in 0.1% TBST with 3% non-fat dried milk. ab33918 and Anti-GAPDH antibody [6C5] - Loading Control (ab8245) were incubated overnight at 4°C at a 1 in 10000 dilution and a 1 in 20000 dilution respectively. Blots were developed with Goat anti-Rabbit IgG H&L (IRDye®800CW) preadsorbed (ab216773) and Goat anti-Mouse IgG H&L (IRDye®680RD) preadsorbed (ab216776) secondary antibodies at 1 in 20000 dilution for 1 hour at room temperature before imaging.

All lanes:

Western blot - Anti-MEKK2 antibody [EP626Y] (ab33918) at 1/10000 dilution

Lane 1:

Wild-type HeLa cell lysate at 20 µg

Lane 2:

MAP3K2 knockout HeLa cell lysate at 20 µg

Lane 2:

Western blot - Human MAP3K2 (MEKK2) knockout HeLa cell line (<a href='/products/cell-lines/human-map3k2-mekk2-knockout-hela-cell-line-ab264944'>ab264944</a>)

Predicted band size: 70 kDa

Observed band size: 75 kDa

false

Western blot - Anti-MEKK2 antibody [EP626Y] (AB33918)
  • WB

Lab

Western blot - Anti-MEKK2 antibody [EP626Y] (AB33918)

Lanes 1- 2 : Merged signal (red and green). Green - ab33918 observed at 75 kDa. Red - Anti-GAPDH antibody [6C5] - Loading Control (ab8245) observed at 37 kDa.

ab33918 was shown to react with MEKK2 in wild-type A549 cells in western blot. Loss of signal was observed when knockout cell line ab267153 (knockout cell lysate ab257522) was used. Wild-type A549 and MAP3K2 knockout A549 cell lysates were subjected to SDS-PAGE. Membrane was blocked for 1 hour at room temperature in 0.1% TBST with 3% non-fat dried milk. ab33918 and Anti-GAPDH antibody [6C5] - Loading Control (ab8245) overnight at 4°C at a 1 in 10000 dilution and a 1 in 20000 dilution respectively. Blots were developed with Goat anti-Rabbit IgG H&L (IRDye®800CW) preadsorbed (ab216773) and Goat anti-Mouse IgG H&L (IRDye®680RD) preadsorbed (ab216776) secondary antibodies at 1 in 20000 dilution for 1 hour at room temperature before imaging.

All lanes:

Western blot - Anti-MEKK2 antibody [EP626Y] (ab33918) at 1/10000 dilution

Lane 1:

Wild-type A549 cell lysate at 20 µg

Lane 2:

MAP3K2 knockout A549 cell lysate at 20 µg

Lane 2:

Western blot - Human MAP3K2 (MEKK2) knockout A549 cell line (<a href='/products/cell-lines/human-map3k2-mekk2-knockout-a549-cell-line-ab267153'>ab267153</a>)

Predicted band size: 70 kDa

Observed band size: 75 kDa

false

Flow Cytometry (Intracellular) - Anti-MEKK2 antibody [EP626Y] (AB33918)
  • Flow Cyt (Intra)

Supplier Data

Flow Cytometry (Intracellular) - Anti-MEKK2 antibody [EP626Y] (AB33918)

ab33918 staining MEKK2 in Jurkat (human acute T cell leukemia) cellsby intracellular flow cytometry. Cells were fixed with 4% paraformaldehyde and the sample was incubated with the primary antibody at a dilution of 1/120. A goat anti rabbit IgG (Alexa Fluor® 488) at a dilution of 1/500 was used as the secondary antibody.

Isoytype control : Rabbit monoclonal IgG (Black)

Unlabelled control : Cell without incubation with primary antibody and secondary antibody (Blue)

Flow Cytometry (Intracellular) - Anti-MEKK2 antibody [EP626Y] (AB33918)
  • Flow Cyt (Intra)

Supplier Data

Flow Cytometry (Intracellular) - Anti-MEKK2 antibody [EP626Y] (AB33918)

Overlay histogram showing HepG2 cells stained with unpurified ab33918 (red line). The cells were fixed with 80% methanol (5 min) and then permeabilized with 0.1% PBS-Tween for 20 min. The cells were then incubated in 1x PBS / 10% normal goat serum / 0.3M glycine to block non-specific protein-protein interactions followed by the antibody (ab33918, 1/50 dilution) for 30 min at 22°C. The secondary antibody used was DyLight® 488 goat anti-rabbit IgG (H+L) (ab96899) at 1/500 dilution for 30 min at 22°C. Isotype control antibody (black line) was rabbit IgG (monoclonal) (1μg/1x106 cells) used under the same conditions. Acquisition of >5,000 events was performed.

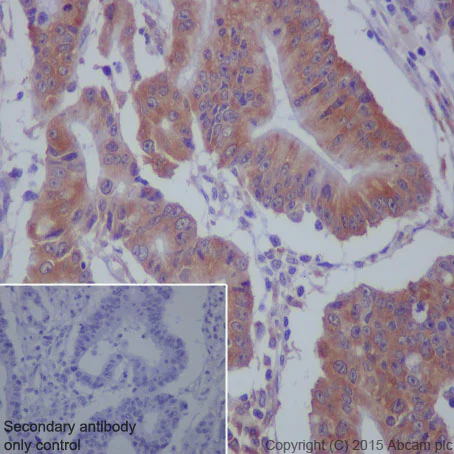
Immunohistochemistry (Formalin/PFA-fixed paraffin-embedded sections) - Anti-MEKK2 antibody [EP626Y] (AB33918)
  • IHC-P

Supplier Data

Immunohistochemistry (Formalin/PFA-fixed paraffin-embedded sections) - Anti-MEKK2 antibody [EP626Y] (AB33918)

ab33918 staining MEKK2 in human colon carcinoma tissue sections by Immunohistochemistry (IHC-P - paraformaldehyde-fixed, paraffin-embedded sections). Tissue was fixed with paraformaldehyde and antigen retrieval was by heat mediation in a EDTA buffer. Samples were incubated with primary antibody at a dilution of 1/100. A goat anti-rabbit IgG H&L (HRP) ab97051 was used as the secondary antibody at a dilution of 1/500.

Negative control 1 : PBS in place of primary antibody.

Immunocytochemistry/ Immunofluorescence - Anti-MEKK2 antibody [EP626Y] (AB33918)
  • ICC/IF

Supplier Data

Immunocytochemistry/ Immunofluorescence - Anti-MEKK2 antibody [EP626Y] (AB33918)

ab33918 staining MEKK2 in MCF-7 (human breast carcinoma) cells by ICC/IF (Immunocytochemistry/immunofluorescence). Cells were fixed with 4% Paraformaldehyde and permeabilized with 0.1% Triton X-100. Samples were incubated with primary antibody at a dilution of 1/100. A goat anti rabbit IgG (Alexa Fluor® 488) (ab150077) was used as the secondary antibody at a dilution of 1/1000. ab7291 and ab150120 were used as counterstains for primary antibody ab75748 and secondary antibody ab150077 respectively and DAPI was used as a nuclear counterstain.

Negative control 1 : Rabbit primary antibody and anti-mouse secondary antibody (ab150120)
Negative control 2 : Mouse primary antibody (ab7291) and anti-rabbit secondary antibody (ab150077)

Immunohistochemistry (Formalin/PFA-fixed paraffin-embedded sections) - Anti-MEKK2 antibody [EP626Y] (AB33918)
  • IHC-P

Supplier Data

Immunohistochemistry (Formalin/PFA-fixed paraffin-embedded sections) - Anti-MEKK2 antibody [EP626Y] (AB33918)

ab33918 staining MEKK2 in rat cerebral cortex tissue sections by Immunohistochemistry (IHC-P - paraformaldehyde-fixed, paraffin-embedded sections). Tissue was fixed with paraformaldehyde and antigen retrieval was by heat mediation in a EDTA buffer. Samples were incubated with primary antibody at a dilution of 1/100. A goat anti-rabbit IgG H&L (HRP) ab97051 was used as the secondary antibody at a dilution of 1/500.

Negative control 1 : PBS in place of primary antibody.

Immunoprecipitation - Anti-MEKK2 antibody [EP626Y] (AB33918)
  • IP

Supplier Data

Immunoprecipitation - Anti-MEKK2 antibody [EP626Y] (AB33918)

MEKK2 was immunoprecipitated using 0.5mg HepG2 whole cell extract, 10μg of unpurified Rabbit monoclonal [EP626Y] to MEKK2 and 50μl of protein G magnetic beads (+). No antibody was added to the control (-).
The antibody was incubated under agitation with Protein G beads for 10min, HepG2 whole cell extract lysate diluted in RIPA buffer was added to each sample and incubated for a further 10min under agitation.
Proteins were eluted by addition of 40μl SDS loading buffer and incubated for 10min at 70oC; 10μl of each sample was separated on a SDS PAGE gel, transferred to a nitrocellulose membrane, blocked with 5% BSA and probed with ab33918.
Secondary : Mouse monoclonal [SB62a] Secondary Antibody to Rabbit IgG light chain (HRP) (ab99697) .
Band : 75kDa : MEKK2.

All lanes:

Immunoprecipitation - Anti-MEKK2 antibody [EP626Y] (ab33918)

Predicted band size: 70 kDa

false

Immunoprecipitation - Anti-MEKK2 antibody [EP626Y] (AB33918)
  • IP

Supplier Data

Immunoprecipitation - Anti-MEKK2 antibody [EP626Y] (AB33918)

ab33918 immunoprecipitating MEKK2. 10μg of cell lysate was incubated with primary antibody at a dilution of 1/40 and VeriBlot for IP Detection Reagent (HRP) (ab131366) at a dilution of 1/10000.

Lane 1 : HepG2 (human hepatocellular carcinoma) whole cell lysate (10ug)
Lane 2 : HepG2 (human hepatocellular carcinoma) whole cell lysate
Lane 3 : Rabbit monoclonal IgG (ab172730) instead of ab33918 in HepG2 (human hepatocellular carcinoma) whole cell lysate

All lanes:

Immunoprecipitation - Anti-MEKK2 antibody [EP626Y] (ab33918)

Predicted band size: 70 kDa

false

Western blot - Anti-MEKK2 antibody [EP626Y] (AB33918)
  • WB

Supplier Data

Western blot - Anti-MEKK2 antibody [EP626Y] (AB33918)

Lane 1 : Wild-type HAP1 cell lysate (20 μg)
Lane 2 : MEKK2 knockout HAP1 cell lysate (20 μg)
Lane 3 : HeLa cell lysate (20 μg)
Lane 4 : Human breast carcinoma lysate (20 μg)
Lanes 1 - 4 : Merged signal (red and green). Green - ab33918 observed at 75 kDa. Red - loading control, ab8245, observed at 37 kDa.
ab33918 was shown to recognize MEKK2 when MEKK2 knockout samples were used, along with additional cross-reactive bands. Wild-type and MEKK2 knockout samples were subjected to SDS-PAGE. ab33918 and ab8245 (loading control to GAPDH) were both diluted 1/10 000 and incubated overnight at 4°C. Blots were developed with Goat anti-Rabbit IgG H&L (IRDye® 800CW) preadsorbed (ab216773) andGoat anti-Mouse IgG H&L (IRDye® 680RD) preadsorbed (ab216776) secondary antibodies at 1/10000 dilution for 1 h at room temperature before imaging.

All lanes:

Western blot - Anti-MEKK2 antibody [EP626Y] (ab33918)

Predicted band size: 70 kDa

false

Western blot - Anti-MEKK2 antibody [EP626Y] (AB33918)
  • WB

Lab

Western blot - Anti-MEKK2 antibody [EP626Y] (AB33918)

Lanes 1- 2 : Merged signal (red and green). Green - ab33918 observed at 75 kDa. Red - Anti-GAPDH antibody [6C5] - Loading Control (ab8245) observed at 37 kDa.

ab33918 was shown to react with MEKK2 in wild-type A549 cells in western blot. Loss of signal was observed when knockout cell line ab267152 (knockout cell lysate ab257521) was used. Wild-type A549 and MAP3K2 knockout A549 cell lysates were subjected to SDS-PAGE. Membrane was blocked for 1 hour at room temperature in 0.1% TBST with 3% non-fat dried milk. ab33918 and Anti-GAPDH antibody [6C5] - Loading Control (ab8245) overnight at 4°C at a 1 in 10000 dilution and a 1 in 20000 dilution respectively. Blots were developed with Goat anti-Rabbit IgG H&L (IRDye®800CW) preadsorbed (ab216773) and Goat anti-Mouse IgG H&L (IRDye®680RD) preadsorbed (ab216776) secondary antibodies at 1 in 20000 dilution for 1 hour at room temperature before imaging.

All lanes:

Western blot - Anti-MEKK2 antibody [EP626Y] (ab33918) at 1/10000 dilution

Lane 1:

Wild-type A549 cell lysate at 20 µg

Lane 2:

MAP3K2 knockout A549 cell lysate at 20 µg

Lane 2:

Western blot - Human MAP3K2 (MEKK2) knockout A549 cell line (<a href='/products/cell-lines/human-map3k2-mekk2-knockout-a549-cell-line-ab267152'>ab267152</a>)

Predicted band size: 70 kDa

Observed band size: 75 kDa

false

Western blot - Anti-MEKK2 antibody [EP626Y] (AB33918)
  • WB

Lab

Western blot - Anti-MEKK2 antibody [EP626Y] (AB33918)

All lanes:

Western blot - Anti-MEKK2 antibody [EP626Y] (ab33918) at 1/20000 dilution

All lanes:

K562 (human chronic myelogenous leukemia) whole cell lysate at 10 µg

Secondary

All lanes:

Goat Anti-Rabbit IgG, (H+L), Peroxidase conjugated (<a href='/products/secondary-antibodies/goat-rabbit-igg-h-l-hrp-ab97051'>ab97051</a>) at 1/20000 dilution

Predicted band size: 70 kDa

false

Western blot - Anti-MEKK2 antibody [EP626Y] (AB33918)
  • WB

Lab

Western blot - Anti-MEKK2 antibody [EP626Y] (AB33918)

All lanes:

Western blot - Anti-MEKK2 antibody [EP626Y] (ab33918) at 1/20000 dilution

Lane 1:

C6 (rat glioma) whole cell lysate at 20 µg

Lane 2:

NIH/3T3 (mouse embryo) whole cell lysate at 20 µg

Secondary

All lanes:

Western blot - Goat Anti-Rabbit IgG H&L (HRP) (<a href='/products/secondary-antibodies/goat-rabbit-igg-h-l-hrp-ab97051'>ab97051</a>) at 1/20000 dilution

Predicted band size: 70 kDa

false

Western blot - Anti-MEKK2 antibody [EP626Y] (AB33918)
  • WB

Lab

Western blot - Anti-MEKK2 antibody [EP626Y] (AB33918)

All lanes:

Western blot - Anti-MEKK2 antibody [EP626Y] (ab33918) at 1/20000 dilution

Lane 1:

Jurkat (human acute T cell leukemia) whole cell lysate at 20 µg

Lane 2:

HeLa (human cervix adenocarcinoma) whole cell lysate at 20 µg

Secondary

All lanes:

Western blot - Goat Anti-Rabbit IgG H&L (HRP) (<a href='/products/secondary-antibodies/goat-rabbit-igg-h-l-hrp-ab97051'>ab97051</a>) at 1/20000 dilution

Predicted band size: 70 kDa

Observed band size: 70 kDa

false

関連する標識済み抗体及び組成の異なる製品 (3)

  • 665 Alexa Fluor® 647

    Alexa Fluor® 647 Anti-MEKK2 antibody [EP626Y]

  • 578 PE

    PE Anti-MEKK2 antibody [EP626Y]

  • Carrier free

    Anti-MEKK2 antibody [EP626Y] - BSA and Azide free

Key facts

宿主種

Rabbit

クローン性

Monoclonal

クローン番号

EP626Y

アイソタイプ

IgG

キャリアフリー

No

交差種

Mouse, Rat, Human

アプリケーション

IP, ICC/IF, Flow Cyt (Intra), WB, IHC-Fr, IHC-P

applications

免疫原

The exact immunogen used to generate this antibody is proprietary information.

Reactivity data

{ "title": "Reactivity Data", "filters": { "stats": ["", "Species", "Dilution Info", "Notes"], "tabs": { "all-applications": {"fullname" : "All Applications", "shortname": "All Applications"}, "WB" : {"fullname" : "Western blot", "shortname":"WB"}, "ICCIF" : {"fullname" : "Immunocytochemistry/ Immunofluorescence", "shortname":"ICC/IF"}, "IP" : {"fullname" : "Immunoprecipitation", "shortname":"IP"}, "IHCFr" : {"fullname" : "Immunohistochemistry (Frozen sections)", "shortname":"IHC-Fr"}, "FlowCytIntra" : {"fullname" : "Flow Cytometry (Intracellular)", "shortname":"Flow Cyt (Intra)"}, "IHCP" : {"fullname" : "Immunohistochemistry (Formalin/PFA-fixed paraffin-embedded sections)", "shortname":"IHC-P"} }, "product-promise": { "all": "all", "testedAndGuaranteed": "tested", "guaranteed": "expected", "predicted": "predicted", "notRecommended": "not-recommended" } }, "values": { "Human": { "WB-species-checked": "testedAndGuaranteed", "WB-species-dilution-info": "1/10000 - 1/50000", "WB-species-notes": "<p></p>", "ICCIF-species-checked": "testedAndGuaranteed", "ICCIF-species-dilution-info": "1/250 - 1/500", "ICCIF-species-notes": "<p></p>", "IP-species-checked": "testedAndGuaranteed", "IP-species-dilution-info": "1/40", "IP-species-notes": "<p></p>", "IHCFr-species-checked": "guaranteed", "IHCFr-species-dilution-info": "", "IHCFr-species-notes": "<p></p>", "FlowCytIntra-species-checked": "testedAndGuaranteed", "FlowCytIntra-species-dilution-info": "1/50 - 1/120", "FlowCytIntra-species-notes": "<p><a href='/products/primary-antibodies/rabbit-igg-monoclonal-epr25a-isotype-control-ab172730'>ab172730</a> - Rabbit monoclonal IgG, is suitable for use as an isotype control with this antibody.</p>", "IHCP-species-checked": "testedAndGuaranteed", "IHCP-species-dilution-info": "1/100", "IHCP-species-notes": "<p></p> Perform heat-mediated antigen retrieval with Tris/EDTA buffer pH 9.0 before commencing with IHC staining protocol." }, "Mouse": { "WB-species-checked": "testedAndGuaranteed", "WB-species-dilution-info": "", "WB-species-notes": "<p></p>", "ICCIF-species-checked": "guaranteed", "ICCIF-species-dilution-info": "", "ICCIF-species-notes": "", "IP-species-checked": "guaranteed", "IP-species-dilution-info": "", "IP-species-notes": "", "IHCFr-species-checked": "guaranteed", "IHCFr-species-dilution-info": "", "IHCFr-species-notes": "<p></p>", "FlowCytIntra-species-checked": "guaranteed", "FlowCytIntra-species-dilution-info": "", "FlowCytIntra-species-notes": "", "IHCP-species-checked": "testedAndGuaranteed", "IHCP-species-dilution-info": "1/100", "IHCP-species-notes": "<p></p> Perform heat-mediated antigen retrieval with Tris/EDTA buffer pH 9.0 before commencing with IHC staining protocol." }, "Rat": { "WB-species-checked": "testedAndGuaranteed", "WB-species-dilution-info": "1/10000 - 1/50000", "WB-species-notes": "<p></p>", "ICCIF-species-checked": "guaranteed", "ICCIF-species-dilution-info": "", "ICCIF-species-notes": "", "IP-species-checked": "guaranteed", "IP-species-dilution-info": "", "IP-species-notes": "", "IHCFr-species-checked": "guaranteed", "IHCFr-species-dilution-info": "", "IHCFr-species-notes": "<p></p>", "FlowCytIntra-species-checked": "guaranteed", "FlowCytIntra-species-dilution-info": "", "FlowCytIntra-species-notes": "", "IHCP-species-checked": "testedAndGuaranteed", "IHCP-species-dilution-info": "1/100", "IHCP-species-notes": "<p></p> Perform heat-mediated antigen retrieval with Tris/EDTA buffer pH 9.0 before commencing with IHC staining protocol." } } }

製品の詳細

Patented technology
Our RabMAb® technology is a patented hybridoma-based technology for making rabbit monoclonal antibodies. For details on our patents, please refer to RabMAb® patents.

What are the advantages of a recombinant monoclonal antibody?
This product is a recombinant monoclonal antibody, which offers several advantages including:

  • - High batch-to-batch consistency and reproducibility
  • - Improved sensitivity and specificity
  • - Long-term security of supply
  • - Animal-free batch production

For more information, read more on recombinant antibodies.

出荷温度及び保存条件

製品の状態
Liquid
精製方法
Affinity purification Protein A
バッファー組成
pH: 7.2 - 7.4 Preservative: 0.01% Sodium azide Constituents: 59% PBS, 40% Glycerol (glycerin, glycerine), 0.05% BSA
出荷温度
Blue Ice
短期保存期間
1-2 weeks
短期保存温度
+4°C
長期保存温度
-20°C
分注に関する情報
Upon delivery aliquot
保管に関する情報
Avoid freeze / thaw cycle

補足情報

This supplementary information is collated from multiple sources and compiled automatically.

MEKK2 also known as MAP3K2 is a kinase enzyme with an approximate mass of 70 kDa. It functions as part of the MAP kinase signaling pathway where it phosphorylates downstream proteins playing an essential role in transmitting signals within cells. This protein is mainly expressed in tissues such as the brain heart and liver. It acts by activating specific MAP kinase pathways facilitating various cellular responses to external stimuli.
Biological function summary

This kinase serves as a critical mediator in cellular processes like proliferation differentiation and apoptosis. MEKK2 forms part of larger signaling complexes including the MAP3K complex where it regulates multiple cellular activities. Through its kinase activity MEKK2 passes on signals that affect gene expression and cellular stress responses impacting how cells react to their environment.

Pathways

MEKK2 functions prominently in the MAPK signaling and NF-kB pathways. These pathways involve signal transduction mechanisms that MEKK2 influences through its interactions with related proteins such as MEK5 and ERK5. By modulating these pathways MEKK2 participates in a variety of cellular responses including inflammation and immune responses.

MEKK2 has associations with conditions like cancer and inflammatory diseases. Aberrant expression of MEKK2 can affect the behavior of cancer cells due to its influence on the MAPK pathway's signaling leading to unchecked cell growth. Additionally MEKK2 interacts with proteins like NF-kB which are important in inflammation thereby implicating it in disorders related to immune system dysfunctions.

製品プロトコール

For this product, it's our understanding that no specific protocols are required. You can visit:

ターゲットの情報

Component of a protein kinase signal transduction cascade. Regulates the JNK and ERK5 pathways by phosphorylating and activating MAP2K5 and MAP2K7 (By similarity). Plays a role in caveolae kiss-and-run dynamics.
See full target information MAP3K2

文献 (23)

Recent publications for all applications. Explore the full list and refine your search

Microbiology spectrum 12:e0045324 PubMed38814079

2024

The Inc Tri1 interacts with TRAF7 to displace native TRAF7 interacting partners.

Applications

Unspecified application

Species

Unspecified reactive species

Clara M Herrera,Eleanor McMahon,Danielle L Swaney,Jessica Sherry,Khavong Pha,Kathleen Adams-Boone,Jeffrey R Johnson,Nevan J Krogan,Meredith Stevers,David Solomon,Cherilyn Elwell,Joanne Engel

International heart journal 64:442-452 PubMed37258120

2023

Regulation of a Novel CircTRRAP/miR-761/MAP3K2 CeRNA Cascade in Inflammation, Apoptosis, and Oxidative Stress in Human AC16 Cardiomyocytes under Hypoxia Conditions.

Applications

Unspecified application

Species

Unspecified reactive species

Wei Xu,Lei Qian,Xiaoyan Yuan,Yong Lu

Cells 12: PubMed36980305

2023

VEGF Stimulates Activation of ERK5 in the Absence of C-Terminal Phosphorylation Preventing Nuclear Localization and Facilitating AKT Activation in Endothelial Cells.

Applications

Unspecified application

Species

Unspecified reactive species

Anil Kumar Mondru,Mohammad A Aljasir,Ahmed Alrumayh,Gopika N Nithianandarajah,Katie Ahmed,Jurgen Muller,Christopher E P Goldring,Bettina Wilm,Michael J Cross

Histology and histopathology 38:1029-1041 PubMed36533720

2022

CircRNA PDE3B regulates tumorigenicity via the miR-136-5p/MAP3K2 axis of esophageal squamous cell carcinoma.

Applications

Unspecified application

Species

Unspecified reactive species

Wei Yue,Yiwang Ye,Baokun Chen,Da Wu,He Wang,Gang Hui

The EMBO journal 41:e111650 PubMed35899396

2022

ZAKβ is activated by cellular compression and mediates contraction-induced MAP kinase signaling in skeletal muscle.

Applications

Unspecified application

Species

Unspecified reactive species

Cathrine Nordgaard,Anna Constance Vind,Amy Stonadge,Rasmus Kjøbsted,Goda Snieckute,Pedro Antas,Melanie Blasius,Marie Sofie Reinert,Ana Martinez Del Val,Dorte Breinholdt Bekker-Jensen,Peter Haahr,Yekaterina A Miroshnikova,Abdelghani Mazouzi,Sarah Falk,Emeline Perrier-Groult,Christopher Tiedje,Xiang Li,Jens Rithamer Jakobsen,Nicolas Oldenburg Jørgensen,Jørgen Fp Wojtaszewski,Frederic Mallein-Gerin,Jesper Løvind Andersen,Cristian Pablo Pennisi,Christoffer Clemmensen,Moustapha Kassem,Abbas Jafari,Thijn Brummelkamp,Vivian Sw Li,Sara A Wickström,Jesper Velgaard Olsen,Gonzalo Blanco,Simon Bekker-Jensen

Bioengineered 13:13801-13814 PubMed35707845

2022

MiR-20a-5p facilitates cartilage repair in osteoarthritis via suppressing mitogen-activated protein kinase kinase kinase 2.

Applications

Unspecified application

Species

Unspecified reactive species

Jiazhi Liu,Guo Tang,Wenjun Liu,Yi Zhou,Cunyi Fan,Wei Zhang

Histology and histopathology 37:863-877 PubMed35352818

2022

CircRNA circBACH1 facilitates hepatitis B virus replication and hepatoma development by regulating the miR-200a-3p/MAP3K2 axis.

Applications

Unspecified application

Species

Unspecified reactive species

Na Du,Kailin Li,Yu Wang,Bo Song,Xuan Zhou,Shaoqiong Duan

Proceedings of the National Academy of Sciences of the United States of America 118: PubMed34911761

2021

MEKK3-TGFβ crosstalk regulates inward arterial remodeling.

Applications

Unspecified application

Species

Unspecified reactive species

Hanqiang Deng,Yanying Xu,Xiaoyue Hu,Zhen W Zhuang,Yuzhou Chang,Yewei Wang,Aglaia Ntokou,Martin A Schwartz,Bing Su,Michael Simons

Technology in cancer research & treatment 19:1533033820957006 PubMed33000678

2020

Down-Regulation of AHNAK2 Inhibits Cell Proliferation, Migration and Invasion Through Inactivating the MAPK Pathway in Lung Adenocarcinoma.

Applications

Unspecified application

Species

Unspecified reactive species

Dong-Wei Wang,Hai-Zheng Zheng,Na Cha,Xiao-Jie Zhang,Min Zheng,Ming-Ming Chen,Li-Xiang Tian

BMC pulmonary medicine 20:163 PubMed32513149

2020

MIR205HG acts as a ceRNA to expedite cell proliferation and progression in lung squamous cell carcinoma via targeting miR-299-3p/MAP3K2 axis.

Applications

Unspecified application

Species

Unspecified reactive species

Limin Liu,Yulei Li,Ruifang Zhang,Chun Li,Jing Xiong,Yuan Wei
View all publications

Abcam product promise

当社は、高品質な試薬を通じてお客様の研究を力強くサポートすることをお約束いたします。ご使用いただく各段階で、常にお客様をサポートできる体制を整えております。万が一、製品が期待通りに機能しない場合は、「Abcam Product Promise」による当社保証制度に基づき、安心してご利用いただけます。
保証に関する詳細については利用規約をご確認ください。

Please note: All products are 'FOR RESEARCH USE ONLY. NOT FOR USE IN DIAGNOSTIC OR THERAPEUTIC PROCEDURES'.

For licensing inquiries, please contact partnerships@abcam.com