JavaScript is disabled in your browser. Please enable JavaScript to view this website.
AB215263

Anti-MEK1 + MEK2 抗体 [EPR16667] - BSA and Azide free

Anti-MEK1 + MEK2 antibody [EPR16667] - BSA and Azide free

Be the first to review this product! Submit a review

|

(2 Publications)

Rabbit Recombinant Monoclonal MEK1 antibody. Carrier free. Suitable for ICC/IF, IP, WB, Flow Cyt (Intra), IHC-P and reacts with Mouse, Human, Rat samples. Cited in 2 publications.

別名を表示する

MEK1, PRKMK1, MAP2K1, Dual specificity mitogen-activated protein kinase kinase 1, MAP kinase kinase 1, MAPKK 1, MKK1, ERK activator kinase 1, MAPK/ERK kinase 1, MEK 1

9 Images
Flow Cytometry (Intracellular) - Anti-MEK1 + MEK2 antibody [EPR16667] - BSA and Azide free (AB215263)
  • Flow Cyt (Intra)

Unknown

Flow Cytometry (Intracellular) - Anti-MEK1 + MEK2 antibody [EPR16667] - BSA and Azide free (AB215263)

Clone EPR16667 (ab215263) has been successfully conjugated by Abcam. This image was generated using Anti-MEK1 + MEK2 antibody [EPR16667] (PE). Please refer to ab225265 for protocol details.

Overlay histogram showing A431 cells stained with ab225265 (red line). The cells were fixed with 80% methanol (5 min) and then permeabilized with 0.1% PBS-Triton X-100 for 15 min. The cells were then incubated in 1x PBS / 10% normal goat serum to block non-specific protein-protein interactions followed by the antibody (ab225265, 1/1000 dilution) for 30 min at 22°C.

Isotype control antibody (black line) was Rabbit IgG (monoclonal) Phycoerythrin (ab209478) used at the same concentration and conditions as the primary antibody. Unlabelled sample (blue line) was also used as a control.

Acquisition of >5,000 events were collected using a 50 mW Yellow/Green laser (561nm) and 586/15 bandpass filter.

This antibody gave a positive signal in A431 cells fixed with 4% formaldehyde (10 min)/permeabilized with 0.1% PBS-Triton X-100 for 15 min used under the same conditions.

Immunocytochemistry/ Immunofluorescence - Anti-MEK1 + MEK2 antibody [EPR16667] - BSA and Azide free (AB215263)
  • ICC/IF

Lab

Immunocytochemistry/ Immunofluorescence - Anti-MEK1 + MEK2 antibody [EPR16667] - BSA and Azide free (AB215263)

Clone EPR16667 (ab215263) has been successfully conjugated by Abcam. This image was generated using Anti-MEK1 + MEK2 antibody [EPR16667] (Alexa Fluor® 488). Please refer to ab200177 for protocol details.

ab200177 staining MEK1 + MEK2 in A431 cells. The cells were fixed with 4% formaldehyde (10 min), permeabilized with 0.1% Triton X-100 for 5 minutes and then blocked with 1% BSA/10% normal goat serum/0.3M glycine in 0.1% PBS-Tween for 1h. The cells were then incubated overnight at +4°C with ab200177 at a 1/100 dilution (shown in green) and ab195889, Mouse monoclonal to alpha Tubulin (Alexa Fluor® 594), at a 1/250 dilution (shown in red). Nuclear DNA was labelled with DAPI (shown in blue).

Image was taken with a confocal microscope (Leica-Microsystems, TCS SP8).

Immunohistochemistry (Formalin/PFA-fixed paraffin-embedded sections) - Anti-MEK1 + MEK2 antibody [EPR16667] - BSA and Azide free (AB215263)
  • IHC-P

Supplier Data

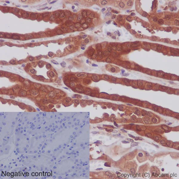
Immunohistochemistry (Formalin/PFA-fixed paraffin-embedded sections) - Anti-MEK1 + MEK2 antibody [EPR16667] - BSA and Azide free (AB215263)

Immunohistochemical analysis of paraffin-embedded Human renal medulla tissue labeling MEK1 + MEK2 with ab178876 at 1/500 dilution, followed by prediluted HRP Polymer for Rabbit/Mouse IgG. Renal tubule epithelial cells show strong cytoplasmic staining with some additional nuclear staining. Counter stained with Hematoxylin.

Negative control : Using PBS instead of primary ab, secondary ab is prediluted HRP Polymer for Rabbit/Mouse IgG.

This data was developed using the same antibody clone in a different buffer formulation containing PBS, BSA, glycerol, and sodium azide (ab178876).

Perform heat mediated antigen retrieval with Tris/EDTA buffer pH 9.0 before commencing with IHC staining protocol.

Flow Cytometry (Intracellular) - Anti-MEK1 + MEK2 antibody [EPR16667] - BSA and Azide free (AB215263)
  • Flow Cyt (Intra)

Lab

Flow Cytometry (Intracellular) - Anti-MEK1 + MEK2 antibody [EPR16667] - BSA and Azide free (AB215263)

ab178876 staining MEK1 + MEK2 in the human cell line HeLa (human cervix adenocarcinoma) by intracellular flow cytometry. Cells were fixed with 4% paraformaldehyde, permabilised with 90% methanol and the sample was incubated with the primary antibody at a dilution of 1/100. A goat anti rabbit IgG (Alexa Fluor® 488) at a dilution of 1/2000 was used as the secondary antibody.

Isoytype control : Rabbit monoclonal IgG (Black)

Unlabelled control : Cell without incubation with primary antibody and secondary antibody (Blue)

This data was developed using the same antibody clone in a different buffer formulation containing PBS, BSA, glycerol, and sodium azide (ab178876).

Immunoprecipitation - Anti-MEK1 + MEK2 antibody [EPR16667] - BSA and Azide free (AB215263)
  • IP

Supplier Data

Immunoprecipitation - Anti-MEK1 + MEK2 antibody [EPR16667] - BSA and Azide free (AB215263)

MEK1 + MEK2 was immunoprecipitated from 1mg of HeLa (Human epithelial cells from cervix adenocarcinoma) whole cell extract with ab178876 at 1/120 dilution. Western blot was performed from the immunoprecipitate using ab178876 at 1/1000 dilution. Anti-Rabbit IgG (HRP), specific to the non-reduced form of IgG, was used as secondary antibody at 1/1500 dilution. Lane 1 : HeLa whole cell extract. Lane 2 : PBS instead of HeLa whole cell extract.

Blocking and dilution buffer and concentration : 5% NFDM/TBST.

This data was developed using the same antibody clone in a different buffer formulation containing PBS, BSA, glycerol, and sodium azide (ab178876).

All lanes:

Immunoprecipitation - Anti-MEK1 + MEK2 antibody [EPR16667] (<a href='/products/primary-antibodies/mek1-mek2-antibody-epr16667-ab178876'>ab178876</a>)

Predicted band size: 43 kDa

false

Immunohistochemistry (Formalin/PFA-fixed paraffin-embedded sections) - Anti-MEK1 + MEK2 antibody [EPR16667] - BSA and Azide free (AB215263)
  • IHC-P

Supplier Data

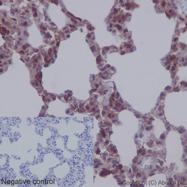
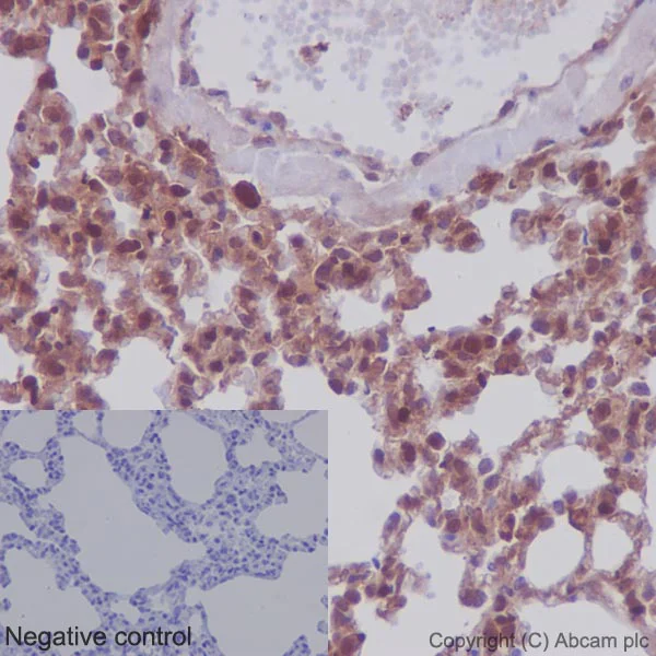
Immunohistochemistry (Formalin/PFA-fixed paraffin-embedded sections) - Anti-MEK1 + MEK2 antibody [EPR16667] - BSA and Azide free (AB215263)

Immunohistochemical analysis of paraffin-embedded Rat lung tissue labeling MEK1 + MEK2 with ab178876 at 1/500 dilution, followed by prediluted HRP Polymer for Rabbit/Mouse IgG. Alveolar epithelial cells show strong cytoplasmic staining with some additional nuclear staining. Counter stained with Hematoxylin.

Negative control : Using PBS instead of primary ab, secondary ab is prediluted HRP Polymer for Rabbit/Mouse IgG.

This data was developed using the same antibody clone in a different buffer formulation containing PBS, BSA, glycerol, and sodium azide (ab178876).

Perform heat mediated antigen retrieval with Tris/EDTA buffer pH 9.0 before commencing with IHC staining protocol.

Immunohistochemistry (Formalin/PFA-fixed paraffin-embedded sections) - Anti-MEK1 + MEK2 antibody [EPR16667] - BSA and Azide free (AB215263)
  • IHC-P

Supplier Data

Immunohistochemistry (Formalin/PFA-fixed paraffin-embedded sections) - Anti-MEK1 + MEK2 antibody [EPR16667] - BSA and Azide free (AB215263)

Immunohistochemical analysis of paraffin-embedded Mouse lung tissue labeling MEK1 + MEK2 with ab178876 at 1/500 dilution, followed by prediluted HRP Polymer for Rabbit/Mouse IgG. Alveolar epithelial cells show strong cytoplasmic staining with some additional nuclear staining. Counter stained with Hematoxylin.

Negative control : Using PBS instead of primary ab, secondary ab is prediluted HRP Polymer for Rabbit/Mouse IgG.

This data was developed using the same antibody clone in a different buffer formulation containing PBS, BSA, glycerol, and sodium azide (ab178876).

Perform heat mediated antigen retrieval with Tris/EDTA buffer pH 9.0 before commencing with IHC staining protocol.

Immunocytochemistry/ Immunofluorescence - Anti-MEK1 + MEK2 antibody [EPR16667] - BSA and Azide free (AB215263)
  • ICC/IF

Supplier Data

Immunocytochemistry/ Immunofluorescence - Anti-MEK1 + MEK2 antibody [EPR16667] - BSA and Azide free (AB215263)

Immunofluorescent analysis of 4% paraformaldehyde-fixed, 0.1% Triton X-100 permeabilized NIH/3T3 (Mouse embyro fibroblast cells) cells labeling MEK1 + MEK2 with ab178876 at 1/100 dilution, followed by Goat anti-rabbit IgG (Alexa Fluor® 488) (ab150077) secondary antibody at 1/200 dilution (green). Cytoplasmic staining on NIH/3T3 cell line is observed. The nuclear counter stain is DAPI (blue). Tubulin is detected with ab7291 (anti-Tubulin mouse mAb) at 1/500 dilution and ab150120 (AlexaFluor®594 Goat anti-Mouse secondary) at 1/500 dilution (red).
The negative controls are as follows;
1. ab178876 at 1/100 dilution followed by ab150120 (AlexaFluor®594 Goat anti-Mouse secondary) at 1/500 dilution.
2. ab7291 (anti-Tubulin mouse mAb) at 1/500 dilution followed by ab150077 (Alexa Fluor®488 Goat Anti-Rabbit IgG H&L) at 1/200 dilution.

This data was developed using the same antibody clone in a different buffer formulation containing PBS, BSA, glycerol, and sodium azide (ab178876).

Western blot - Anti-MEK1 + MEK2 antibody [EPR16667] - BSA and Azide free (AB215263)
  • WB

Lab

Western blot - Anti-MEK1 + MEK2 antibody [EPR16667] - BSA and Azide free (AB215263)

This data was developed using the same antibody clone in a different buffer formulation (ab178876).

Lanes 1 - 4 : Merged signal (red and green). Green - ab178876 observed at 45 kDa. Red - loading control ab8245 (Mouse anti-GAPDH antibody [6C5]) observed at 37kDa.

ab178876 was shown to react with MEK2 in wild-type HEK-293T cells in western blot with loss of signal observed in MAP2K2 knockout sample. Wild-type HEK-293T and MAP2K2 knockout cell lysates were subjected to SDS-PAGE. Membranes were blocked in 3% milk in TBS-T (0.1% Tween®) before incubation with ab178876 and ab8245 (Mouse anti-GAPDH antibody [6C5]) overnight at 4°C at a 1 in 20000 dilution and a 1 in 20000 dilution respectively. Blots were incubated with Goat anti-Rabbit IgG H&L (IRDye® 800CW) preabsorbed (ab216773) and Goat anti-Mouse IgG H&L (IRDye® 680RD) preabsorbed (ab216776) secondary antibodies at 1 in 20000 dilution for 1 hour at room temperature before imaging.

All lanes:

Western blot - Anti-MEK1 + MEK2 antibody [EPR16667] (<a href='/products/primary-antibodies/mek1-mek2-antibody-epr16667-ab178876'>ab178876</a>) at 1/20000 dilution

Lane 1:

Wild-type HEK-293T cell lysate at 20 µg

Lane 2:

MAP2K2 knockout HEK293T cell lysate at 20 µg

Lane 3:

Jurkat cell lysate at 20 µg

Lane 4:

Daudi cell lysate at 20 µg

Predicted band size: 43 kDa

Observed band size: 45 kDa

false

関連する標識済み抗体及び組成の異なる製品 (8)

  • Unconjugated

    Anti-MEK1 + MEK2 antibody [EPR16667]

  • 617 Alexa Fluor® 594

    Alexa Fluor® 594 Anti-MEK1 + MEK2 antibody [EPR16667]

  • 519 Alexa Fluor® 488

    Alexa Fluor® 488 Anti-MEK1 + MEK2 antibody [EPR16667]

  • 660 APC

    APC Anti-MEK1 + MEK2 antibody [EPR16667]

  • 578 PE

    PE Anti-MEK1 + MEK2 antibody [EPR16667]

  • 565 Alexa Fluor® 555

    Alexa Fluor® 555 Anti-MEK1 + MEK2 antibody [EPR16667]

  • HRP

    HRP Anti-MEK1 + MEK2 antibody [EPR16667]

  • Carrier free

    Anti-MEK1 antibody [EPR16667] - BSA and Azide free (Capture)

Key facts

宿主種

Rabbit

クローン性

Monoclonal

クローン番号

EPR16667

アイソタイプ

IgG

キャリアフリー

Yes

交差種

Mouse, Rat, Human

アプリケーション

WB, Flow Cyt (Intra), ICC/IF, IHC-P, IP

applications

免疫原

The exact immunogen used to generate this antibody is proprietary information.

Reactivity data

{ "title": "Reactivity Data", "filters": { "stats": ["", "Species", "Dilution Info", "Notes"], "tabs": { "all-applications": {"fullname" : "All Applications", "shortname": "All Applications"}, "ICCIF" : {"fullname" : "Immunocytochemistry/ Immunofluorescence", "shortname":"ICC/IF"}, "IP" : {"fullname" : "Immunoprecipitation", "shortname":"IP"}, "WB" : {"fullname" : "Western blot", "shortname":"WB"}, "FlowCytIntra" : {"fullname" : "Flow Cytometry (Intracellular)", "shortname":"Flow Cyt (Intra)"}, "IHCP" : {"fullname" : "Immunohistochemistry (Formalin/PFA-fixed paraffin-embedded sections)", "shortname":"IHC-P"} }, "product-promise": { "all": "all", "testedAndGuaranteed": "tested", "guaranteed": "expected", "predicted": "predicted", "notRecommended": "not-recommended" } }, "values": { "Human": { "ICCIF-species-checked": "guaranteed", "ICCIF-species-dilution-info": "", "ICCIF-species-notes": "", "IP-species-checked": "testedAndGuaranteed", "IP-species-dilution-info": "", "IP-species-notes": "<p></p>", "WB-species-checked": "testedAndGuaranteed", "WB-species-dilution-info": "", "WB-species-notes": "<p></p>", "FlowCytIntra-species-checked": "testedAndGuaranteed", "FlowCytIntra-species-dilution-info": "", "FlowCytIntra-species-notes": "<p><a href='/products/primary-antibodies/rabbit-igg-monoclonal-epr25a-isotype-control-low-endotoxin-azide-free-ab199376'>ab199376</a> - Rabbit monoclonal IgG, is suitable for use as an isotype control with this antibody.</p>", "IHCP-species-checked": "testedAndGuaranteed", "IHCP-species-dilution-info": "", "IHCP-species-notes": "<p></p> Perform heat-mediated antigen retrieval with Tris/EDTA buffer pH 9.0 before commencing with IHC staining protocol." }, "Mouse": { "ICCIF-species-checked": "testedAndGuaranteed", "ICCIF-species-dilution-info": "", "ICCIF-species-notes": "<p></p>", "IP-species-checked": "guaranteed", "IP-species-dilution-info": "", "IP-species-notes": "", "WB-species-checked": "testedAndGuaranteed", "WB-species-dilution-info": "", "WB-species-notes": "<p></p>", "FlowCytIntra-species-checked": "guaranteed", "FlowCytIntra-species-dilution-info": "", "FlowCytIntra-species-notes": "", "IHCP-species-checked": "testedAndGuaranteed", "IHCP-species-dilution-info": "", "IHCP-species-notes": "<p></p> Perform heat-mediated antigen retrieval with Tris/EDTA buffer pH 9.0 before commencing with IHC staining protocol." }, "Rat": { "ICCIF-species-checked": "guaranteed", "ICCIF-species-dilution-info": "", "ICCIF-species-notes": "", "IP-species-checked": "guaranteed", "IP-species-dilution-info": "", "IP-species-notes": "", "WB-species-checked": "testedAndGuaranteed", "WB-species-dilution-info": "", "WB-species-notes": "<p></p>", "FlowCytIntra-species-checked": "guaranteed", "FlowCytIntra-species-dilution-info": "", "FlowCytIntra-species-notes": "", "IHCP-species-checked": "testedAndGuaranteed", "IHCP-species-dilution-info": "", "IHCP-species-notes": "<p></p> Perform heat-mediated antigen retrieval with Tris/EDTA buffer pH 9.0 before commencing with IHC staining protocol." } } }

製品の詳細

ab215263 is the carrier-free version of ab178876.

Patented technology
Our RabMAb® technology is a patented hybridoma-based technology for making rabbit monoclonal antibodies. For details on our patents, please refer to RabMAb® patents.

What are the advantages of a recombinant monoclonal antibody?
This product is a recombinant monoclonal antibody, which offers several advantages including:

  • - High batch-to-batch consistency and reproducibility
  • - Improved sensitivity and specificity
  • - Long-term security of supply
  • - Animal-free batch production

For more information, read more on recombinant antibodies.

Conjugation ready
Our carrier-free antibodies are typically supplied in a PBS-only formulation, purified and free of BSA, sodium azide and glycerol. This conjugation-ready format is designed for use with fluorochromes, metal isotopes, oligonucleotides, and enzymes, which makes them ideal for antibody labelling, functional and cell-based assays, flow-based assays (e.g. mass cytometry) and Multiplex Imaging applications.

Use our conjugation kits for antibody conjugates that are ready-to-use in as little as 20 minutes with 1 minute hands-on-time and 100% antibody recovery: available for fluorescent dyes, HRP, biotin and gold.

Compatibility
This product is compatible with the Maxpar® Antibody Labeling Kit from Fluidigm, without the need for antibody preparation. Maxpar® is a trademark of Fluidigm Canada Inc.

出荷温度及び保存条件

製品の状態
Liquid
精製方法
Affinity purification Protein A
バッファー組成
pH: 7.2 - 7.4 Constituents: PBS
出荷温度
Blue Ice
短期保存温度
+4°C
長期保存温度
+4°C
保管に関する情報
Do Not Freeze

補足情報

This supplementary information is collated from multiple sources and compiled automatically.

MEK1 and MEK2 also known as MAP2K1 and MAP2K2 respectively are dual-specificity kinases that play roles in signaling pathways mediating cellular responses. MEK1 and MEK2 have molecular weights of approximately 45kDa. They are expressed in various tissues including the heart brain and skeletal muscles reflecting their widespread function within the organism. These proteins are often referred collectively as the MEK1/2 complex due to their shared and overlapping roles in cell signaling.
Biological function summary

MEK1 and MEK2 are integral parts of the mitogen-activated protein kinase (MAPK) signaling cascade. MEK1/2 phosphorylate and activate the ERK1/2 kinases which transmit signals from the cell surface to the nucleus regulating gene expression and cell fate decisions. The MEK1/2 proteins also act in concert with other kinases and substrates forming signaling complexes that ensure specific and regulated cellular outcomes.

Pathways

MEK1 and MEK2 play key roles within the MAPK/ERK pathway a critical signaling mechanism for cell division and survival. They also link to the RAS/MAPK pathway involved in transmitting signals from membrane receptors to the nucleus. In these pathways MEK1/2 interact with proteins like RAF kinases and ERK1/2 propagating signals that influence cellular growth and differentiation.

MEK1 and MEK2 are implicated in cancer and neurological disorders. Abnormal activity of the MEK1/2 proteins often due to mutations can lead to uncontrolled cell proliferation contributing to the development of cancers such as melanoma. In neurological disorders dysregulation of MEK1/2 signaling relates to conditions like neuro-cardio-facial-cutaneous syndromes. These proteins interact with other key players in these diseases such as mutant RAF proteins in melanoma highlighting their critical roles in disease mechanisms.

製品プロトコール

For this product, it's our understanding that no specific protocols are required. You can visit:

ターゲットの情報

Dual specificity protein kinase which acts as an essential component of the MAP kinase signal transduction pathway. Binding of extracellular ligands such as growth factors, cytokines and hormones to their cell-surface receptors activates RAS and this initiates RAF1 activation. RAF1 then further activates the dual-specificity protein kinases MAP2K1/MEK1 and MAP2K2/MEK2. Both MAP2K1/MEK1 and MAP2K2/MEK2 function specifically in the MAPK/ERK cascade, and catalyze the concomitant phosphorylation of a threonine and a tyrosine residue in a Thr-Glu-Tyr sequence located in the extracellular signal-regulated kinases MAPK3/ERK1 and MAPK1/ERK2, leading to their activation and further transduction of the signal within the MAPK/ERK cascade. Activates BRAF in a KSR1 or KSR2-dependent manner; by binding to KSR1 or KSR2 releases the inhibitory intramolecular interaction between KSR1 or KSR2 protein kinase and N-terminal domains which promotes KSR1 or KSR2-BRAF dimerization and BRAF activation (PubMed : 29433126). Depending on the cellular context, this pathway mediates diverse biological functions such as cell growth, adhesion, survival and differentiation, predominantly through the regulation of transcription, metabolism and cytoskeletal rearrangements. One target of the MAPK/ERK cascade is peroxisome proliferator-activated receptor gamma (PPARG), a nuclear receptor that promotes differentiation and apoptosis. MAP2K1/MEK1 has been shown to export PPARG from the nucleus. The MAPK/ERK cascade is also involved in the regulation of endosomal dynamics, including lysosome processing and endosome cycling through the perinuclear recycling compartment (PNRC), as well as in the fragmentation of the Golgi apparatus during mitosis.
See full target information MAP2K1

追加のターゲット

MAP2K2

文献 (2)

Recent publications for all applications. Explore the full list and refine your search

General physiology and biophysics 39:229-237 PubMed32525816

2020

The circRNA-MYLK plays oncogenic roles in the Hep-2 cell line by sponging microRNA-145-5p.

Applications

Unspecified application

Species

Unspecified reactive species

Yao Chen,Yanmei Wang,Yanmei Li,Xuechan Li,Tiejun Yuan,Shuqin Yang,Xiaoyan Sun

Experimental and therapeutic medicine 16:282-290 PubMed29896251

2018

Overexpression of indoleamine 2, 3-dioxygenase contributes to the repair of human airway epithelial cells inhibited by dexamethasone via affecting the MAPK/ERK signaling pathway.

Applications

Unspecified application

Species

Unspecified reactive species

Shanshan Jia,Pin Guo,Xiangjin Ge,Huanhuan Wu,Junhua Lu,Xiaofang Fan
View all publications

Abcam product promise

当社は、高品質な試薬を通じてお客様の研究を力強くサポートすることをお約束いたします。ご使用いただく各段階で、常にお客様をサポートできる体制を整えております。万が一、製品が期待通りに機能しない場合は、「Abcam Product Promise」による当社保証制度に基づき、安心してご利用いただけます。
保証に関する詳細については利用規約をご確認ください。

Please note: All products are 'FOR RESEARCH USE ONLY. NOT FOR USE IN DIAGNOSTIC OR THERAPEUTIC PROCEDURES'.

For licensing inquiries, please contact partnerships@abcam.com