JavaScript is disabled in your browser. Please enable JavaScript to view this website.
AB2828

Anti-MeCP2 抗体

Anti-MeCP2 antibody

4

(27 Reviews)

|

(97 Publications)

Anti-MeCP2 antibody (ab2828) is a rabbit polyclonal antibody detecting MeCP2 in Western Blot, IHC-P, ICC/IF. Suitable for Human, Mouse, Rat.

- Over 90 publications
- Trusted since 2003

別名を表示する

Methyl-CpG-binding protein 2, MeCp-2 protein, MeCp2, MECP2

5 Images
Western blot - Anti-MeCP2 antibody (AB2828)
  • WB

Unknown

Western blot - Anti-MeCP2 antibody (AB2828)

Western blot using ab2828 on HeLa cells. Western blot using ab2828 on HeLa cells.

All lanes:

Western blot - Anti-MeCP2 antibody (ab2828)

Predicted band size: 52 kDa

false

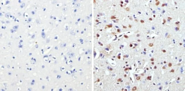
Immunohistochemistry (Formalin/PFA-fixed paraffin-embedded sections) - Anti-MeCP2 antibody (AB2828)
  • IHC-P

Supplier Data

Immunohistochemistry (Formalin/PFA-fixed paraffin-embedded sections) - Anti-MeCP2 antibody (AB2828)

Immunohistochemistry analysis of rat brain tissue staining MeCP2 with ab2828 (dilution 1/1000 in 3 % BSA-PBS). To expose target proteins, antigen retrieval was performed using 10mM sodium citrate (pH 6.0), microwaved for 8-15 min. Following antigen retrieval, tissues were blocked in 3% H2O2-methanol for 15 min at room temperature, washed with ddH2O and PBS, and then probed with ab2828 overnight at 4°C in a humidified chamber. Tissues were washed extensively in PBST and detection was performed using an HRP-conjugated secondary antibody followed by colorimetric detection using a DAB kit. Tissues were counterstained with hematoxylin and dehydrated with ethanol and xylene to prep for mounting.

Immunocytochemistry/ Immunofluorescence - Anti-MeCP2 antibody (AB2828)
  • ICC/IF

Supplier Data

Immunocytochemistry/ Immunofluorescence - Anti-MeCP2 antibody (AB2828)

Immunocytochemistry/Immunoflorescence of C2C12 cells labeling Methyl CpG Binding Protein 2 (green) with ab2828 at a dilution of 1/200. Cells with primary antibody (right) compared to negative control without primary antibody (left). Formalin-fixed cells were permeabilized with 0.1% Triton X-100 in TBS for 5-10 minutes and blocked with 3% BSA-PBS for 30 minutes at room temperature.Cells were probed with polyclonal antibody in 3% BSA-PBS and incubated overnight at 4°C in a humidified chamber. Cells were washed with PBST and incubated with a DyLight-conjugated secondary antibody in PBS at room temperature in the dark. Actin was stained using Alexa Fluor 554 (red) and nuclei were stained with Hoechst or DAPI (blue).

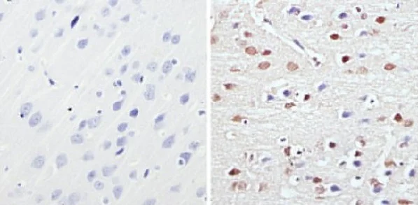
Immunohistochemistry (Formalin/PFA-fixed paraffin-embedded sections) - Anti-MeCP2 antibody (AB2828)
  • IHC-P

Unknown

Immunohistochemistry (Formalin/PFA-fixed paraffin-embedded sections) - Anti-MeCP2 antibody (AB2828)

Immunohistochemistry analysis of mouse brain tissue staining MeCP2 with ab2828 (dilution 1/1000 in 3 % BSA-PBS). To expose target proteins, antigen retrieval was performed using 10mM sodium citrate (pH 6.0), microwaved for 8-15 min. Following antigen retrieval, tissues were blocked in 3% H2O2-methanol for 15 min at room temperature, washed with ddH2O and PBS, and then probed with ab2828 overnight at 4°C in a humidified chamber. Tissues were washed extensively in PBST and detection was performed using an HRP-conjugated secondary antibody followed by colorimetric detection using a DAB kit. Tissues were counterstained with hematoxylin and dehydrated with ethanol and xylene to prep for mounting.

Immunocytochemistry/ Immunofluorescence - Anti-MeCP2 antibody (AB2828)
  • ICC/IF

Unknown

Immunocytochemistry/ Immunofluorescence - Anti-MeCP2 antibody (AB2828)

Immunocytochemistry/Immunoflorescence of C6 cells labeling Methyl CpG Binding Protein 2 (green) with ab2828 at a dilution of 1/200. Cells with primary antibody (right) compared to negative control without primary antibody (left). Formalin-fixed cells were permeabilized with 0.1% Triton X-100 in TBS for 5-10 minutes and blocked with 3% BSA-PBS for 30 minutes at room temperature.Cells were probed with polyclonal antibody in 3% BSA-PBS and incubated overnight at 4°C in a humidified chamber. Cells were washed with PBST and incubated with a DyLight-conjugated secondary antibody in PBS at room temperature in the dark. Nuclei were stained with Hoechst or DAPI (blue). Images were taken at a magnification of 60x.

Key facts

宿主種

Rabbit

クローン性

Polyclonal

アイソタイプ

IgG

キャリアフリー

No

交差種

Mouse, Rat, Human

アプリケーション

WB, IHC-P, ICC/IF

applications

免疫原

Synthetic Peptide within Mouse Mecp2 aa 1-50. The exact immunogen used to generate this antibody is proprietary information.

Q9Z2D6

特異性

This antibody detects methyl CpG binding protein 2 (MeCP2).

Reactivity data

{ "title": "Reactivity Data", "filters": { "stats": ["", "Species", "Dilution Info", "Notes"], "tabs": { "all-applications": {"fullname" : "All Applications", "shortname": "All Applications"}, "WB" : {"fullname" : "Western blot", "shortname":"WB"}, "IHCP" : {"fullname" : "Immunohistochemistry (Formalin/PFA-fixed paraffin-embedded sections)", "shortname":"IHC-P"}, "ICCIF" : {"fullname" : "Immunocytochemistry/ Immunofluorescence", "shortname":"ICC/IF"} }, "product-promise": { "all": "all", "testedAndGuaranteed": "tested", "guaranteed": "expected", "predicted": "predicted", "notRecommended": "not-recommended" } }, "values": { "Human": { "WB-species-checked": "testedAndGuaranteed", "WB-species-dilution-info": "1/1500", "WB-species-notes": "<p>Recent lots of product ab2828 should detect the untruncated protein in human samples, 75 kDa band. Earlier lots detected the truncated version (55 kDa) in human and mouse samples. However in mouse samples, only a 55 kDa band is detected by all lots of the antibody. The difference between the earlier lots and the more recent lots is the antibodies were derived from different rabbits.</p>", "IHCP-species-checked": "guaranteed", "IHCP-species-dilution-info": "", "IHCP-species-notes": "", "ICCIF-species-checked": "guaranteed", "ICCIF-species-dilution-info": "", "ICCIF-species-notes": "" }, "Mouse": { "WB-species-checked": "guaranteed", "WB-species-dilution-info": "", "WB-species-notes": "", "IHCP-species-checked": "testedAndGuaranteed", "IHCP-species-dilution-info": "1/200 - 1/2000", "IHCP-species-notes": "<p></p>", "ICCIF-species-checked": "testedAndGuaranteed", "ICCIF-species-dilution-info": "1/100 - 1/200", "ICCIF-species-notes": "<p></p>" }, "Rat": { "WB-species-checked": "guaranteed", "WB-species-dilution-info": "", "WB-species-notes": "", "IHCP-species-checked": "testedAndGuaranteed", "IHCP-species-dilution-info": "1/200 - 1/2000", "IHCP-species-notes": "<p></p>", "ICCIF-species-checked": "testedAndGuaranteed", "ICCIF-species-dilution-info": "1/100 - 1/200", "ICCIF-species-notes": "<p></p>" }, "Amphibian": { "WB-species-checked": "predicted", "WB-species-dilution-info": "", "WB-species-notes": "", "IHCP-species-checked": "predicted", "IHCP-species-dilution-info": "", "IHCP-species-notes": "", "ICCIF-species-checked": "predicted", "ICCIF-species-dilution-info": "", "ICCIF-species-notes": "" }, "Cynomolgus monkey": { "WB-species-checked": "predicted", "WB-species-dilution-info": "", "WB-species-notes": "", "IHCP-species-checked": "predicted", "IHCP-species-dilution-info": "", "IHCP-species-notes": "", "ICCIF-species-checked": "predicted", "ICCIF-species-dilution-info": "", "ICCIF-species-notes": "" }, "Primates": { "WB-species-checked": "predicted", "WB-species-dilution-info": "", "WB-species-notes": "", "IHCP-species-checked": "predicted", "IHCP-species-dilution-info": "", "IHCP-species-notes": "", "ICCIF-species-checked": "predicted", "ICCIF-species-dilution-info": "", "ICCIF-species-notes": "" } } }

製品の詳細

What is this antibody validated in?
Anti-MeCP2 antibody (ab2828) is a rabbit polyclonal antibody and is validated for use in Western Blot (WB), Immunohistochemistry (IHC-P), Immunocytochemistry/immunofluorescence (ICC/IF) in Human, Mouse, Rat samples.

What is the molecular weight of MeCP2?
Anti-MeCP2 (ab2828) specifically detects a band for MeCP2 (UniProt: Q9Z2D6) at a molecular weight of 52.4kDa.

Trusted by the scientific community
Anti-MeCP2 (ab2828) was first used in a scientific publication in 2003 and has been cited over 90 times in peer-reviewed journals.

Reviewed by scientists
Anti-MeCP2 (ab2828) has over 25 independent reviews from customers.

出荷温度及び保存条件

製品の状態
Liquid
精製方法
Affinity purification Immunogen
バッファー組成
Preservative: 0.05% Sodium azide Constituents: 99% PBS, 0.1% BSA
出荷温度
Blue Ice
短期保存期間
1-2 weeks
短期保存温度
+4°C
長期保存温度
-20°C
分注に関する情報
Upon delivery aliquot
保管に関する情報
Avoid freeze / thaw cycle

製品プロトコール

For this product, it's our understanding that no specific protocols are required. You can visit:

ターゲットの情報

Chromosomal protein that binds to methylated DNA. It can bind specifically to a single methyl-CpG pair. It is not influenced by sequences flanking the methyl-CpGs. Mediates transcriptional repression through interaction with histone deacetylase and the corepressor SIN3A. Binds both 5-methylcytosine (5mC) and 5-hydroxymethylcytosine (5hmC)-containing DNA, with a preference for 5-methylcytosine (5mC).
See full target information MECP2

文献 (97)

Recent publications for all applications. Explore the full list and refine your search

PLoS pathogens 21:e1012972 PubMed40063648

2025

Unidirectional recruitment between MeCP2 and KSHV-encoded LANA revealed by CRISPR/Cas9 recruitment assay.

Applications

Unspecified application

Species

Unspecified reactive species

Ido Lavi,Supriya Bhattacharya,Ankita Awase,Ola Orgil,Nir Avital,Guy Journo,Vyacheslav Gurevich,Meir Shamay

Nature neuroscience 27:1274-1284 PubMed38773348

2024

LINE-1 retrotransposons contribute to mouse PV interneuron development.

Applications

Unspecified application

Species

Unspecified reactive species

Gabriela O Bodea,Juan M Botto,Maria E Ferreiro,Francisco J Sanchez-Luque,Jose de Los Rios Barreda,Jay Rasmussen,Muhammed A Rahman,Laura R Fenlon,Natasha Jansz,Carolina Gubert,Patricia Gerdes,Liviu-Gabriel Bodea,Prabha Ajjikuttira,Darwin J Da Costa Guevara,Linda Cumner,Charles C Bell,Peter Kozulin,Victor Billon,Santiago Morell,Marie-Jeanne H C Kempen,Chloe J Love,Karabi Saha,Lucy M Palmer,Adam D Ewing,Dhanisha J Jhaveri,Sandra R Richardson,Anthony J Hannan,Geoffrey J Faulkner

eLife 12: PubMed38747706

2024

Mecp2 fine-tunes quiescence exit by targeting nuclear receptors.

Applications

Unspecified application

Species

Unspecified reactive species

Jun Yang,Shitian Zou,Zeyou Qiu,Mingqiang Lai,Qing Long,Huan Chen,Ping Lin Lai,Sheng Zhang,Zhi Rao,Xiaoling Xie,Yan Gong,Anling Liu,Mangmang Li,Xiaochun Bai

Molecular neurobiology 61:7830-7844 PubMed38429622

2024

The Alpha-Synuclein Gene (SNCA) is a Genomic Target of Methyl-CpG Binding Protein 2 (MeCP2)-Implications for Parkinson's Disease and Rett Syndrome.

Applications

Unspecified application

Species

Unspecified reactive species

Ina Schmitt,Bernd O Evert,Amit Sharma,Hassan Khazneh,Chris Murgatroyd,Ullrich Wüllner

Heliyon 9:e22784 PubMed38090003

2023

and protect against decreased KCC2 expression induced by the lipopolysaccharide treatment in PC-12 cells and improve behavioral abnormalities in male mice.

Applications

Unspecified application

Species

Unspecified reactive species

Kazuo Tomita,Yukiko Oohara,Kento Igarashi,Junichi Kitanaka,Nobue Kitanaka,Koh-Ichi Tanaka,Mehryar Habibi Roudkenar,Amaneh Mohammadi Roushandeh,Mitsutaka Sugimura,Tomoaki Sato

Genes & development 37:883-900 PubMed37890975

2023

A novel pathogenic mutation of MeCP2 impairs chromatin association independent of protein levels.

Applications

Unspecified application

Species

Unspecified reactive species

Jian Zhou,Claudia Cattoglio,Yingyao Shao,Harini P Tirumala,Carlo Vetralla,Sameer S Bajikar,Yan Li,Hu Chen,Qi Wang,Zhenyu Wu,Bing Tang,Mahla Zahabiyon,Aleksandar Bajic,Xiangling Meng,Jack J Ferrie,Anel LaGrone,Ping Zhang,Jean J Kim,Jianrong Tang,Zhandong Liu,Xavier Darzacq,Nathaniel Heintz,Robert Tjian,Huda Y Zoghbi

Histochemistry and cell biology 160:407-418 PubMed37532885

2023

Demethylation in promoter region of severely damaged hepatocytes enhances chemokine receptor CXCR4 gene expression.

Applications

Unspecified application

Species

Unspecified reactive species

Chihiro Ito,Ryuma Haraguchi,Kohei Ogawa,Miku Iwata,Riko Kitazawa,Yasutsugu Takada,Sohei Kitazawa

Cell reports 42:112148 PubMed36827184

2023

DDX47, MeCP2, and other functionally heterogeneous factors protect cells from harmful R loops.

Applications

Unspecified application

Species

Unspecified reactive species

Esther Marchena-Cruz,Lola P Camino,Jay Bhandari,Sónia Silva,José Javier Marqueta-Gracia,Shahad A Amdeen,Cristina Guillén-Mendoza,María L García-Rubio,José M Calderón-Montaño,Xiaoyu Xue,Rosa Luna,Andrés Aguilera

Proceedings of the National Academy of Sciences of the United States of America 120:e2213075120 PubMed36791098

2023

The HP1α protein is mandatory to repress the circadian clock and its output genes during the 12 h period of transcriptional repression.

Applications

Unspecified application

Species

Unspecified reactive species

Nisha Misra,Manohar Damara,Pierre Chambon

International journal of molecular sciences 23: PubMed36430969

2022

Modeling RTT Syndrome by iPSC-Derived Neurons from Male and Female Patients with Heterogeneously Severe Hot-Spot MECP2 Variants.

Applications

Unspecified application

Species

Unspecified reactive species

Sara Perego,Valentina Alari,Gianluca Pietra,Andrea Lamperti,Alessandro Vimercati,Nicole Camporeale,Maria Garzo,Francesca Cogliati,Donatella Milani,Aglaia Vignoli,Angela Peron,Lidia Larizza,Tommaso Pizzorusso,Silvia Russo
View all publications

Abcam product promise

当社は、高品質な試薬を通じてお客様の研究を力強くサポートすることをお約束いたします。ご使用いただく各段階で、常にお客様をサポートできる体制を整えております。万が一、製品が期待通りに機能しない場合は、「Abcam Product Promise」による当社保証制度に基づき、安心してご利用いただけます。
保証に関する詳細については利用規約をご確認ください。

Please note: All products are 'FOR RESEARCH USE ONLY. NOT FOR USE IN DIAGNOSTIC OR THERAPEUTIC PROCEDURES'.

For licensing inquiries, please contact partnerships@abcam.com