JavaScript is disabled in your browser. Please enable JavaScript to view this website.
AB96849

Anti-MCM7/PRL 抗体

Anti-MCM7/PRL antibody

  • JP Deleterious:医薬用外劇物

Be the first to review this product! Submit a review

|

(2 Publications)

Rabbit Polyclonal MCM7/PRL antibody. Suitable for IP, ChIP, WB, IHC-P, ICC/IF and reacts with Human samples. Cited in 2 publications. Immunogen corresponding to Recombinant Fragment Protein within Human MCM7 aa 1-300.

別名を表示する

CDC47, MCM2, MCM7, DNA replication licensing factor MCM7, CDC47 homolog, P1.1-MCM3

5 Images
Immunocytochemistry/ Immunofluorescence - Anti-MCM7/PRL antibody (AB96849)
  • ICC/IF

Unknown

Immunocytochemistry/ Immunofluorescence - Anti-MCM7/PRL antibody (AB96849)

Immunofluorescence analysis of paraformaldehyde-fixed HeLa cells using ab96849 at 1/200 dilution (1).Merged with DNA probe (2).

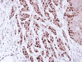
Immunohistochemistry (Formalin/PFA-fixed paraffin-embedded sections) - Anti-MCM7/PRL antibody (AB96849)
  • IHC-P

Unknown

Immunohistochemistry (Formalin/PFA-fixed paraffin-embedded sections) - Anti-MCM7/PRL antibody (AB96849)

Immunohistochemical analysis of paraffin-embedded Cal27 Xenograft using ab96849 at 1/100 dilution.

Immunoprecipitation - Anti-MCM7/PRL antibody (AB96849)
  • IP

Supplier Data

Immunoprecipitation - Anti-MCM7/PRL antibody (AB96849)

MCM7 was immunoprecipitated from 40 μg of HeLa whole cell lysate with ab96849 at 1/1000 dilution. EasyBlot anti-rabbit IgG, was used as secondary antibody.
Lane 1 : 40 μg HeLa whole cell extract (Input).
Lane 2 : Control with 4 μg of preimmune Rabbit IgG.
Lane 3 : Immunoprecipitation of MCM7 protein by 4 μg MCM7 antibody [N2C2], Internal.

7.5 % SDS-PAGE

All lanes:

Immunoprecipitation - Anti-MCM7/PRL antibody (ab96849)

Predicted band size: 81 kDa

false

ChIP - Anti-MCM7/PRL antibody (AB96849)
  • ChIP

Supplier Data

ChIP - Anti-MCM7/PRL antibody (AB96849)

Cross-linked ChIP was performed with HeLa chromatin extract and 5 μg of either control rabbit IgG or anti-MCM7 antibody. The precipitated DNA was detected by PCR with primer set targeting to Myc promoter.

Western blot - Anti-MCM7/PRL antibody (AB96849)
  • WB

Unknown

Western blot - Anti-MCM7/PRL antibody (AB96849)

7.5% SDS PAGE

All lanes:

Western blot - Anti-MCM7/PRL antibody (ab96849) at 1/1000 dilution

All lanes:

H1299 whole cell lysate at 30 µg

Predicted band size: 81 kDa

false

Key facts

宿主種

Rabbit

クローン性

Polyclonal

アイソタイプ

IgG

キャリアフリー

No

交差種

Human

アプリケーション

IP, ChIP, IHC-P, ICC/IF, WB

applications

免疫原

Recombinant Fragment Protein within Human MCM7 aa 1-300. The exact immunogen used to generate this antibody is proprietary information.

P33993

Reactivity data

{ "title": "Reactivity Data", "filters": { "stats": ["", "Species", "Dilution Info", "Notes"], "tabs": { "all-applications": {"fullname" : "All Applications", "shortname": "All Applications"}, "IP" : {"fullname" : "Immunoprecipitation", "shortname":"IP"}, "ChIP" : {"fullname" : "ChIP", "shortname":"ChIP"}, "WB" : {"fullname" : "Western blot", "shortname":"WB"}, "IHCP" : {"fullname" : "Immunohistochemistry (Formalin/PFA-fixed paraffin-embedded sections)", "shortname":"IHC-P"}, "ICCIF" : {"fullname" : "Immunocytochemistry/ Immunofluorescence", "shortname":"ICC/IF"} }, "product-promise": { "all": "all", "testedAndGuaranteed": "tested", "guaranteed": "expected", "predicted": "predicted", "notRecommended": "not-recommended" } }, "values": { "Human": { "IP-species-checked": "testedAndGuaranteed", "IP-species-dilution-info": "1/100 - 1/250", "IP-species-notes": "<p></p>", "ChIP-species-checked": "testedAndGuaranteed", "ChIP-species-dilution-info": "", "ChIP-species-notes": "<p></p>", "WB-species-checked": "testedAndGuaranteed", "WB-species-dilution-info": "1/500 - 1/3000", "WB-species-notes": "<p></p>", "IHCP-species-checked": "testedAndGuaranteed", "IHCP-species-dilution-info": "1/100 - 1/1000", "IHCP-species-notes": "<p></p>", "ICCIF-species-checked": "testedAndGuaranteed", "ICCIF-species-dilution-info": "1/100 - 1/1000", "ICCIF-species-notes": "<p></p>" }, "Mouse": { "IP-species-checked": "predicted", "IP-species-dilution-info": "", "IP-species-notes": "", "ChIP-species-checked": "predicted", "ChIP-species-dilution-info": "", "ChIP-species-notes": "", "WB-species-checked": "predicted", "WB-species-dilution-info": "", "WB-species-notes": "", "IHCP-species-checked": "predicted", "IHCP-species-dilution-info": "", "IHCP-species-notes": "", "ICCIF-species-checked": "predicted", "ICCIF-species-dilution-info": "", "ICCIF-species-notes": "" }, "Rat": { "IP-species-checked": "predicted", "IP-species-dilution-info": "", "IP-species-notes": "", "ChIP-species-checked": "predicted", "ChIP-species-dilution-info": "", "ChIP-species-notes": "", "WB-species-checked": "predicted", "WB-species-dilution-info": "", "WB-species-notes": "", "IHCP-species-checked": "predicted", "IHCP-species-dilution-info": "", "IHCP-species-notes": "", "ICCIF-species-checked": "predicted", "ICCIF-species-dilution-info": "", "ICCIF-species-notes": "" }, "Cow": { "IP-species-checked": "predicted", "IP-species-dilution-info": "", "IP-species-notes": "", "ChIP-species-checked": "predicted", "ChIP-species-dilution-info": "", "ChIP-species-notes": "", "WB-species-checked": "predicted", "WB-species-dilution-info": "", "WB-species-notes": "", "IHCP-species-checked": "predicted", "IHCP-species-dilution-info": "", "IHCP-species-notes": "", "ICCIF-species-checked": "predicted", "ICCIF-species-dilution-info": "", "ICCIF-species-notes": "" } } }

出荷温度及び保存条件

製品の状態
Liquid
精製方法
Affinity purification Immunogen
バッファー組成
pH: 7 Preservative: 0.01% Thimerosal (merthiolate) Constituents: 10% Glycerol (glycerin, glycerine), 1.21% Tris, 0.75% Glycine
出荷温度
Blue Ice
短期保存期間
1-2 weeks
短期保存温度
+4°C
長期保存温度
-20°C
分注に関する情報
Upon delivery aliquot
保管に関する情報
Avoid freeze / thaw cycle

補足情報

This supplementary information is collated from multiple sources and compiled automatically.

The MCM7 (Minichromosome Maintenance Complex Component 7) also known as PRL serves an important mechanical role in DNA replication. It is part of the MCM2-7 complex a helicase essential for the initiation and elongation phases of DNA replication. MCM7 has a molecular mass of approximately 81 kDa and is found expressed in the nucleus of proliferating cells. It is essential for unwinding the DNA helix preparing it for replication.
Biological function summary

MCM7 is involved in maintaining genomic stability and ensuring accurate DNA replication. As part of the larger MCM2-7 hexameric complex it collaborates with other members to form the core component of the pre-replicative complex (pre-RC). By loading onto replication origins MCM7 helps license the DNA for duplication. This function contributes to cell cycle progression particularly the S phase where DNA synthesis occurs.

Pathways

MCM7 plays an important role in DNA replication-related signaling pathways. It functions within the cell cycle and DNA replication pathways interacting closely with other essential proteins like CDC45 and GINS complex. These partnerships facilitate the transition from the G1 to the S phase triggering the replication machinery's activation and ensuring cell division processes continue smoothly.

MCM7 has been associated with various cancers including breast and prostate cancer. Aberrant expression or dysregulation of MCM7 contributes to uncontrolled cell proliferation linking it to tumorigenesis. Also MCM7 interacts with proteins such as cyclin D1 in certain oncogenic pathways emphasizing its role in the progression of cancerous conditions. Understanding these interactions offers insights into potential therapeutic targets for cancer treatment.

製品プロトコール

For this product, it's our understanding that no specific protocols are required. You can visit:

ターゲットの情報

Acts as a component of the MCM2-7 complex (MCM complex) which is the replicative helicase essential for 'once per cell cycle' DNA replication initiation and elongation in eukaryotic cells. Core component of CDC45-MCM-GINS (CMG) helicase, the molecular machine that unwinds template DNA during replication, and around which the replisome is built (PubMed : 25661590, PubMed : 32453425, PubMed : 34694004, PubMed : 34700328, PubMed : 35585232, PubMed : 9305914). The active ATPase sites in the MCM2-7 ring are formed through the interaction surfaces of two neighboring subunits such that a critical structure of a conserved arginine finger motif is provided in trans relative to the ATP-binding site of the Walker A box of the adjacent subunit. The six ATPase active sites, however, are likely to contribute differentially to the complex helicase activity (PubMed : 32453425). Required for S-phase checkpoint activation upon UV-induced damage.
See full target information MCM7

文献 (2)

Recent publications for all applications. Explore the full list and refine your search

The Tohoku journal of experimental medicine : PubMed40738669

2025

Histone Lactylation Promotes Proliferation and Migration of TNBC Cells via Upregulating MCM7 Transcription.

Applications

Unspecified application

Species

Unspecified reactive species

Fei Xiao,Chaoxian Wang,Sili Jin,Ziran Zhang,Xingxia Yang,Guangfa Xia

Cell reports 7:575-587 PubMed24726359

2014

The RBBP6/ZBTB38/MCM10 axis regulates DNA replication and common fragile site stability.

Applications

WB

Species

Unspecified reactive species

Benoit Miotto,Moredreck Chibi,Ping Xie,Stéphane Koundrioukoff,Hanlie Moolman-Smook,David Pugh,Michelle Debatisse,Fuchu He,Lingqiang Zhang,Pierre-Antoine Defossez
View all publications

Abcam product promise

当社は、高品質な試薬を通じてお客様の研究を力強くサポートすることをお約束いたします。ご使用いただく各段階で、常にお客様をサポートできる体制を整えております。万が一、製品が期待通りに機能しない場合は、「Abcam Product Promise」による当社保証制度に基づき、安心してご利用いただけます。
保証に関する詳細については利用規約をご確認ください。

Please note: All products are 'FOR RESEARCH USE ONLY. NOT FOR USE IN DIAGNOSTIC OR THERAPEUTIC PROCEDURES'.

For licensing inquiries, please contact partnerships@abcam.com