JavaScript is disabled in your browser. Please enable JavaScript to view this website.
AB4458

Anti-MCM6 抗体

Anti-MCM6 antibody

4

(1 Review)

|

(5 Publications)

Rabbit Polyclonal MCM6 antibody. Suitable for IHC-P, WB and reacts with Human samples. Cited in 5 publications. Immunogen corresponding to Synthetic Peptide within Human MCM6.

別名を表示する

DNA replication licensing factor MCM6, p105MCM, MCM6

3 Images
Immunohistochemistry (Formalin/PFA-fixed paraffin-embedded sections) - Anti-MCM6 antibody (AB4458)
  • IHC-P

Unknown

Immunohistochemistry (Formalin/PFA-fixed paraffin-embedded sections) - Anti-MCM6 antibody (AB4458)

IHC image of ab4458 staining in normal human skin formalin fixed paraffin embedded tissue section, performed on a Leica BondTM system using the standard protocol F. The section was pre-treated using heat mediated antigen retrieval with sodium citrate buffer (pH6, epitope retrieval solution 1) for 20 mins. The section was then incubated with ab4458, 5µg/ml, for 15 mins at room temperature and detected using an HRP conjugated compact polymer system. DAB was used as the chromogen. The section was then counterstained with haematoxylin and mounted with DPX.

For other IHC staining systems (automated and non-automated) customers should optimize variable parameters such as antigen retrieval conditions, primary antibody concentration and antibody incubation times.

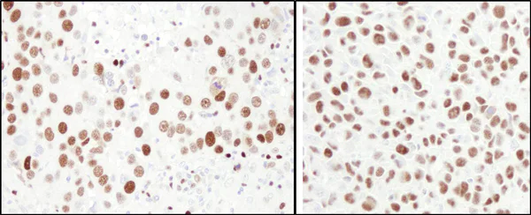
Immunohistochemistry (Formalin/PFA-fixed paraffin-embedded sections) - Anti-MCM6 antibody (AB4458)
  • IHC-P

Unknown

Immunohistochemistry (Formalin/PFA-fixed paraffin-embedded sections) - Anti-MCM6 antibody (AB4458)

Immunohistochemistry (Formalin/PFA-fixed paraffin-embedded sections) analysis of human breast carcinoma (left) and mouse squamous cell carcinoma (right) tissues labelling MCM6 with ab4458 at 1/1000 (1µg/ml). Detection : DAB.

Western blot - Anti-MCM6 antibody (AB4458)
  • WB

Unknown

Western blot - Anti-MCM6 antibody (AB4458)

All lanes:

Western blot - Anti-MCM6 antibody (ab4458) at 0.2 µg/mL

All lanes:

RIPA extract from HeLa whole cell lysate at 50 µg

Predicted band size: 93 kDa

false

Key facts

宿主種

Rabbit

クローン性

Polyclonal

アイソタイプ

IgG

キャリアフリー

No

交差種

Human

アプリケーション

IHC-P, WB

applications

免疫原

Synthetic Peptide within Human MCM6. The exact immunogen used to generate this antibody is proprietary information.

Q14566

Reactivity data

{ "title": "Reactivity Data", "filters": { "stats": ["", "Species", "Dilution Info", "Notes"], "tabs": { "all-applications": {"fullname" : "All Applications", "shortname": "All Applications"}, "IHCP" : {"fullname" : "Immunohistochemistry (Formalin/PFA-fixed paraffin-embedded sections)", "shortname":"IHC-P"}, "WB" : {"fullname" : "Western blot", "shortname":"WB"} }, "product-promise": { "all": "all", "testedAndGuaranteed": "tested", "guaranteed": "expected", "predicted": "predicted", "notRecommended": "not-recommended" } }, "values": { "Human": { "IHCP-species-checked": "testedAndGuaranteed", "IHCP-species-dilution-info": "5 µg/mL", "IHCP-species-notes": "<p></p>", "WB-species-checked": "testedAndGuaranteed", "WB-species-dilution-info": "1/2000 - 1/10000", "WB-species-notes": "<p></p>" }, "Rat": { "IHCP-species-checked": "predicted", "IHCP-species-dilution-info": "", "IHCP-species-notes": "", "WB-species-checked": "predicted", "WB-species-dilution-info": "", "WB-species-notes": "" }, "Chimpanzee": { "IHCP-species-checked": "predicted", "IHCP-species-dilution-info": "", "IHCP-species-notes": "", "WB-species-checked": "predicted", "WB-species-dilution-info": "", "WB-species-notes": "" }, "Cow": { "IHCP-species-checked": "predicted", "IHCP-species-dilution-info": "", "IHCP-species-notes": "", "WB-species-checked": "predicted", "WB-species-dilution-info": "", "WB-species-notes": "" }, "Dog": { "IHCP-species-checked": "predicted", "IHCP-species-dilution-info": "", "IHCP-species-notes": "", "WB-species-checked": "predicted", "WB-species-dilution-info": "", "WB-species-notes": "" }, "Gorilla": { "IHCP-species-checked": "predicted", "IHCP-species-dilution-info": "", "IHCP-species-notes": "", "WB-species-checked": "predicted", "WB-species-dilution-info": "", "WB-species-notes": "" }, "Guinea pig": { "IHCP-species-checked": "predicted", "IHCP-species-dilution-info": "", "IHCP-species-notes": "", "WB-species-checked": "predicted", "WB-species-dilution-info": "", "WB-species-notes": "" }, "Horse": { "IHCP-species-checked": "predicted", "IHCP-species-dilution-info": "", "IHCP-species-notes": "", "WB-species-checked": "predicted", "WB-species-dilution-info": "", "WB-species-notes": "" }, "Orangutan": { "IHCP-species-checked": "predicted", "IHCP-species-dilution-info": "", "IHCP-species-notes": "", "WB-species-checked": "predicted", "WB-species-dilution-info": "", "WB-species-notes": "" }, "Rhesus monkey": { "IHCP-species-checked": "predicted", "IHCP-species-dilution-info": "", "IHCP-species-notes": "", "WB-species-checked": "predicted", "WB-species-dilution-info": "", "WB-species-notes": "" } } }

出荷温度及び保存条件

製品の状態
Liquid
精製方法
Affinity purification Immunogen
バッファー組成
pH: 7 - 8 Preservative: 0.1% Sodium azide Constituents: PBS, 1.815% Tris, 1.764% Sodium citrate
出荷温度
Blue Ice
短期保存温度
+4°C
長期保存温度
-20°C
分注に関する情報
Upon delivery aliquot
保管に関する情報
Avoid freeze / thaw cycle

補足情報

This supplementary information is collated from multiple sources and compiled automatically.

The target known as MCM6 or Minichromosome Maintenance Complex Component 6 is a part of a group of proteins providing essential functions during DNA replication initiation. MCM6 is a part of the hexameric MCM2-7 complex which operates as a helicase that unwinds DNA to facilitate fork progression. This protein has an approximate molecular weight of 92 kDa. MCM6 expresses in dividing cells across different tissues particularly in cells with high proliferative rates like those in the bone marrow and gastrointestinal tract.
Biological function summary

The functions of MCM6 contribute to the precise control of DNA replication and overall cell cycle regulation. The protein forms a part of the MCM2-7 complex playing a significant role in the S phase to ensure DNA replication occurs at the right time. Additionally the MCM complex acts as a primary licensing factor for replication origins preventing re-replication. MCM6 also interacts with other proteins like CDC45 and GINS to form the CMG complex a critical component for replication fork stability and duplication.

Pathways

MCM6 contributes significantly within the DNA replication and cell cycle pathways. As a component of the MCM2-7 complex it supports the unwinding of DNA which is a prerequisite for replication to initiate. MCM6 is related to proteins like CDC6 and ORC which are integral to the assembly of the pre-replication complex facilitating the initiation of DNA synthesis. This integration into core cellular mechanisms highlights its importance in genomic stability.

Mutations or deregulation of MCM6 have links to cancerous growths and genomic instability disorders. The aberrant expression of MCM6 is often observed in cancers such as colorectal and breast cancer where it contributes to unchecked cellular proliferation. MCM6 correlates with oncogenic proteins like MYC which can amplify abnormal cell cycle progression. Understanding the mechanistic contributions of MCM6 in these conditions assists in developing therapeutic strategies targeting these pathways.

製品プロトコール

For this product, it's our understanding that no specific protocols are required. You can visit:

ターゲットの情報

Acts as a component of the MCM2-7 complex (MCM complex) which is the replicative helicase essential for 'once per cell cycle' DNA replication initiation and elongation in eukaryotic cells. Core component of CDC45-MCM-GINS (CMG) helicase, the molecular machine that unwinds template DNA during replication, and around which the replisome is built (PubMed : 16899510, PubMed : 32453425, PubMed : 34694004, PubMed : 34700328, PubMed : 35585232, PubMed : 9305914). The active ATPase sites in the MCM2-7 ring are formed through the interaction surfaces of two neighboring subunits such that a critical structure of a conserved arginine finger motif is provided in trans relative to the ATP-binding site of the Walker A box of the adjacent subunit. The six ATPase active sites, however, are likely to contribute differentially to the complex helicase activity (PubMed : 32453425).
See full target information MCM6

文献 (5)

Recent publications for all applications. Explore the full list and refine your search

Journal of Cancer 10:4488-4498 PubMed31528213

2019

CDK5RAP3 Inhibits the Translocation of MCM6 to Influence the Prognosis in Gastric Cancer.

Applications

Unspecified application

Species

Unspecified reactive species

Qi-Yue Chen,Li-Chao Liu,Jia-Bin Wang,Jian-Wei Xie,Jian-Xian Lin,Jun Lu,Long-Long Cao,Mi Lin,Ru-Hong Tu,Chang-Ming Huang,Ping Li,Chao-Hui Zheng

Neoplasia (New York, N.Y.) 16:694-709 PubMed25246271

2014

Deregulation of the replisome factor MCMBP prompts oncogenesis in colorectal carcinomas through chromosomal instability.

Applications

Unspecified application

Species

Human

Mauricio Quimbaya,Eric Raspé,Geertrui Denecker,Bram De Craene,Ria Roelandt,Wim Declercq,Xavier Sagaert,Lieven De Veylder,Geert Berx

Biochimica et biophysica acta 1843:2432-7 PubMed25003315

2014

The MUC1 mucin regulates the tumorigenic properties of human esophageal adenocarcinomatous cells.

Applications

Unspecified application

Species

Unspecified reactive species

Caroline Gronnier,Emilie Bruyère,Fatima Lahdaoui,Nicolas Jonckheere,Michaël Perrais,Emmanuelle Leteurtre,Guillaume Piessen,Christophe Mariette,Isabelle Van Seuningen

Mammalian genome : official journal of the Interna 22:506-17 PubMed21611832

2011

A reduction of licensed origins reveals strain-specific replication dynamics in mice.

Applications

WB

Species

Mouse

Tsuyoshi Kawabata,Satoru Yamaguchi,Tavanna Buske,Spencer W Luebben,Marsha Wallace,Ilze Matise,John C Schimenti,Naoko Shima

PLoS genetics 6:e1000817 PubMed20090939

2010

The MCM-binding protein ETG1 aids sister chromatid cohesion required for postreplicative homologous recombination repair.

Applications

WB

Species

Human

Naoki Takahashi,Mauricio Quimbaya,Veit Schubert,Tim Lammens,Klaas Vandepoele,Ingo Schubert,Minami Matsui,Dirk Inzé,Geert Berx,Lieven De Veylder
View all publications

Abcam product promise

当社は、高品質な試薬を通じてお客様の研究を力強くサポートすることをお約束いたします。ご使用いただく各段階で、常にお客様をサポートできる体制を整えております。万が一、製品が期待通りに機能しない場合は、「Abcam Product Promise」による当社保証制度に基づき、安心してご利用いただけます。
保証に関する詳細については利用規約をご確認ください。

Please note: All products are 'FOR RESEARCH USE ONLY. NOT FOR USE IN DIAGNOSTIC OR THERAPEUTIC PROCEDURES'.

For licensing inquiries, please contact partnerships@abcam.com