JavaScript is disabled in your browser. Please enable JavaScript to view this website.
AB4459

Anti-MCM4 抗体

Anti-MCM4 antibody

5

(1 Review)

|

(36 Publications)

Rabbit Polyclonal MCM4 antibody. Suitable for IHC-P, WB, ICC/IF and reacts with Human, Mouse, Xenopus laevis samples. Cited in 36 publications. Immunogen corresponding to Synthetic Peptide within Human MCM4 aa 750-800.

別名を表示する

CDC21, MCM4, DNA replication licensing factor MCM4, CDC21 homolog, P1-CDC21

5 Images
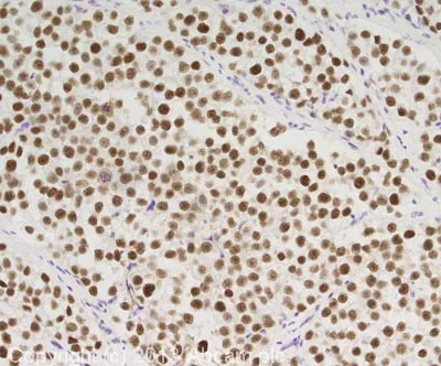
Immunohistochemistry (Formalin/PFA-fixed paraffin-embedded sections) - Anti-MCM4 antibody (AB4459)
  • IHC-P

Supplier Data

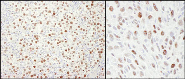
Immunohistochemistry (Formalin/PFA-fixed paraffin-embedded sections) - Anti-MCM4 antibody (AB4459)

Immunohistochemistry (Formalin/PFA-fixed paraffin-embedded sections) analysis of human testicular seminoma (left) and mouse squamous cell carcinoma (right) tissues labelling MCM4 with ab4459 at 1/1000 (1µg/ml). Detection : DAB.

Immunohistochemistry (Formalin/PFA-fixed paraffin-embedded sections) - Anti-MCM4 antibody (AB4459)
  • IHC-P

Lab

Immunohistochemistry (Formalin/PFA-fixed paraffin-embedded sections) - Anti-MCM4 antibody (AB4459)

IHC image of MCM4 staining in human testis formalin fixed paraffin embedded tissue section, performed on a Leica Bond system using the standard protocol F. The section was pre-treated using heat mediated antigen retrieval with sodium citrate buffer (pH6, epitope retrieval solution 1) for 20 mins. The section was then incubated with ab4459, 1μg/ml, for 15 mins at room temperature and detected using an HRP conjugated compact polymer system. DAB was used as the chromogen. The section was then counterstained with haematoxylin and mounted with DPX.

For other IHC staining systems (automated and non-automated) customers should optimize variable parameters such as antigen retrieval conditions, primary antibody concentration and antibody incubation times.

Immunocytochemistry/ Immunofluorescence - Anti-MCM4 antibody (AB4459)
  • ICC/IF

Unknown

Immunocytochemistry/ Immunofluorescence - Anti-MCM4 antibody (AB4459)

ICC/IF image of ab4459 stained HeLa cells. The cells were 4% formaldehyde fixed (10 min) and then incubated in 1%BSA / 10% normal goat serum / 0.3M glycine in 0.1% PBS-Tween for 1h to permeabilise the cells and block non-specific protein-protein interactions. The cells were then incubated with the antibody (ab4459, 1µg/ml) overnight at +4°C. The secondary antibody (green) was Alexa Fluor® 488 goat anti-rabbit IgG (H+L) used at a 1/1000 dilution for 1h. Alexa Fluor® 594 WGA was used to label plasma membranes (red) at a 1/200 dilution for 1h. DAPI was used to stain the cell nuclei (blue) at a concentration of 1.43µM.

Western blot - Anti-MCM4 antibody (AB4459)
  • WB

Unknown

Western blot - Anti-MCM4 antibody (AB4459)

HeLa cell RIPA extract incubated with 0.2 μg/ml of ab4459 for 1 hour. HeLa cell RIPA extract incubated with 0.2 µg/ml of ab4459 for 1 hour.

All lanes:

Western blot - Anti-MCM4 antibody (ab4459)

Predicted band size: 97 kDa

false

Western blot - Anti-MCM4 antibody (AB4459)
  • WB

Unknown

Western blot - Anti-MCM4 antibody (AB4459)

This image is an edited version of an image received courtesy of an Abreview submitted by Jason DeHart on 22 August 2005. We do not have any further information relating to this image.

All lanes:

Western blot - Anti-MCM4 antibody (ab4459) at 1/2000 dilution

All lanes:

HeLa nuclear cell lysate at 20 µg

Secondary

All lanes:

Goat anti rabbit HRP at 1/5000 dilution

Predicted band size: 97 kDa

false

Key facts

宿主種

Rabbit

クローン性

Polyclonal

アイソタイプ

IgG

キャリアフリー

No

交差種

Mouse, Human, Xenopus laevis

アプリケーション

IHC-P, ICC/IF, WB

applications

免疫原

Synthetic Peptide within Human MCM4 aa 750-800. The exact immunogen used to generate this antibody is proprietary information.

P33991

Reactivity data

{ "title": "Reactivity Data", "filters": { "stats": ["", "Species", "Dilution Info", "Notes"], "tabs": { "all-applications": {"fullname" : "All Applications", "shortname": "All Applications"}, "IHCP" : {"fullname" : "Immunohistochemistry (Formalin/PFA-fixed paraffin-embedded sections)", "shortname":"IHC-P"}, "IP" : {"fullname" : "Immunoprecipitation", "shortname":"IP"}, "WB" : {"fullname" : "Western blot", "shortname":"WB"}, "ICCIF" : {"fullname" : "Immunocytochemistry/ Immunofluorescence", "shortname":"ICC/IF"} }, "product-promise": { "all": "all", "testedAndGuaranteed": "tested", "guaranteed": "expected", "predicted": "predicted", "notRecommended": "not-recommended" } }, "values": { "Human": { "IHCP-species-checked": "testedAndGuaranteed", "IHCP-species-dilution-info": "1/1000", "IHCP-species-notes": "<p></p> Perform heat-mediated antigen retrieval with citrate buffer pH 6 before commencing with IHC staining protocol.", "IP-species-checked": "notRecommended", "IP-species-dilution-info": "", "IP-species-notes": "<p></p>", "WB-species-checked": "testedAndGuaranteed", "WB-species-dilution-info": "1/2000 - 1/10000", "WB-species-notes": "<p></p>", "ICCIF-species-checked": "testedAndGuaranteed", "ICCIF-species-dilution-info": "1 µg/mL", "ICCIF-species-notes": "<p></p>" }, "Mouse": { "IHCP-species-checked": "testedAndGuaranteed", "IHCP-species-dilution-info": "1/1000", "IHCP-species-notes": "<p></p> Perform heat-mediated antigen retrieval with citrate buffer pH 6 before commencing with IHC staining protocol.", "IP-species-checked": "notRecommended", "IP-species-dilution-info": "", "IP-species-notes": "<p></p>", "WB-species-checked": "guaranteed", "WB-species-dilution-info": "1/2000 - 1/10000", "WB-species-notes": "<p></p>", "ICCIF-species-checked": "guaranteed", "ICCIF-species-dilution-info": "", "ICCIF-species-notes": "" }, "Chimpanzee": { "IHCP-species-checked": "predicted", "IHCP-species-dilution-info": "", "IHCP-species-notes": "", "IP-species-checked": "notRecommended", "IP-species-dilution-info": "", "IP-species-notes": "", "WB-species-checked": "predicted", "WB-species-dilution-info": "", "WB-species-notes": "", "ICCIF-species-checked": "predicted", "ICCIF-species-dilution-info": "", "ICCIF-species-notes": "" }, "Cow": { "IHCP-species-checked": "predicted", "IHCP-species-dilution-info": "", "IHCP-species-notes": "", "IP-species-checked": "notRecommended", "IP-species-dilution-info": "", "IP-species-notes": "", "WB-species-checked": "predicted", "WB-species-dilution-info": "", "WB-species-notes": "", "ICCIF-species-checked": "predicted", "ICCIF-species-dilution-info": "", "ICCIF-species-notes": "" }, "Drosophila melanogaster": { "IHCP-species-checked": "predicted", "IHCP-species-dilution-info": "", "IHCP-species-notes": "", "IP-species-checked": "notRecommended", "IP-species-dilution-info": "", "IP-species-notes": "", "WB-species-checked": "predicted", "WB-species-dilution-info": "", "WB-species-notes": "", "ICCIF-species-checked": "predicted", "ICCIF-species-dilution-info": "", "ICCIF-species-notes": "" }, "Elephant": { "IHCP-species-checked": "predicted", "IHCP-species-dilution-info": "", "IHCP-species-notes": "", "IP-species-checked": "notRecommended", "IP-species-dilution-info": "", "IP-species-notes": "", "WB-species-checked": "predicted", "WB-species-dilution-info": "", "WB-species-notes": "", "ICCIF-species-checked": "predicted", "ICCIF-species-dilution-info": "", "ICCIF-species-notes": "" }, "Gorilla": { "IHCP-species-checked": "predicted", "IHCP-species-dilution-info": "", "IHCP-species-notes": "", "IP-species-checked": "notRecommended", "IP-species-dilution-info": "", "IP-species-notes": "", "WB-species-checked": "predicted", "WB-species-dilution-info": "", "WB-species-notes": "", "ICCIF-species-checked": "predicted", "ICCIF-species-dilution-info": "", "ICCIF-species-notes": "" }, "Guinea pig": { "IHCP-species-checked": "predicted", "IHCP-species-dilution-info": "", "IHCP-species-notes": "", "IP-species-checked": "notRecommended", "IP-species-dilution-info": "", "IP-species-notes": "", "WB-species-checked": "predicted", "WB-species-dilution-info": "", "WB-species-notes": "", "ICCIF-species-checked": "predicted", "ICCIF-species-dilution-info": "", "ICCIF-species-notes": "" }, "Horse": { "IHCP-species-checked": "predicted", "IHCP-species-dilution-info": "", "IHCP-species-notes": "", "IP-species-checked": "notRecommended", "IP-species-dilution-info": "", "IP-species-notes": "", "WB-species-checked": "predicted", "WB-species-dilution-info": "", "WB-species-notes": "", "ICCIF-species-checked": "predicted", "ICCIF-species-dilution-info": "", "ICCIF-species-notes": "" }, "Opossum": { "IHCP-species-checked": "predicted", "IHCP-species-dilution-info": "", "IHCP-species-notes": "", "IP-species-checked": "notRecommended", "IP-species-dilution-info": "", "IP-species-notes": "", "WB-species-checked": "predicted", "WB-species-dilution-info": "", "WB-species-notes": "", "ICCIF-species-checked": "predicted", "ICCIF-species-dilution-info": "", "ICCIF-species-notes": "" }, "Orangutan": { "IHCP-species-checked": "predicted", "IHCP-species-dilution-info": "", "IHCP-species-notes": "", "IP-species-checked": "notRecommended", "IP-species-dilution-info": "", "IP-species-notes": "", "WB-species-checked": "predicted", "WB-species-dilution-info": "", "WB-species-notes": "", "ICCIF-species-checked": "predicted", "ICCIF-species-dilution-info": "", "ICCIF-species-notes": "" }, "Rabbit": { "IHCP-species-checked": "predicted", "IHCP-species-dilution-info": "", "IHCP-species-notes": "", "IP-species-checked": "notRecommended", "IP-species-dilution-info": "", "IP-species-notes": "", "WB-species-checked": "predicted", "WB-species-dilution-info": "", "WB-species-notes": "", "ICCIF-species-checked": "predicted", "ICCIF-species-dilution-info": "", "ICCIF-species-notes": "" }, "Rhesus monkey": { "IHCP-species-checked": "predicted", "IHCP-species-dilution-info": "", "IHCP-species-notes": "", "IP-species-checked": "notRecommended", "IP-species-dilution-info": "", "IP-species-notes": "", "WB-species-checked": "predicted", "WB-species-dilution-info": "", "WB-species-notes": "", "ICCIF-species-checked": "predicted", "ICCIF-species-dilution-info": "", "ICCIF-species-notes": "" }, "Xenopus laevis": { "IHCP-species-checked": "guaranteed", "IHCP-species-dilution-info": "1/1000", "IHCP-species-notes": "<p></p> Perform heat-mediated antigen retrieval with citrate buffer pH 6 before commencing with IHC staining protocol.", "IP-species-checked": "notRecommended", "IP-species-dilution-info": "", "IP-species-notes": "<p></p>", "WB-species-checked": "guaranteed", "WB-species-dilution-info": "1/2000 - 1/10000", "WB-species-notes": "<p></p>", "ICCIF-species-checked": "guaranteed", "ICCIF-species-dilution-info": "1 µg/mL", "ICCIF-species-notes": "<p></p>" } } }

出荷温度及び保存条件

製品の状態
Liquid
精製方法
Affinity purification Immunogen
バッファー組成
pH: 7 - 8 Preservative: 0.1% Sodium azide Constituents: PBS, 1.815% Tris, 1.764% Sodium citrate
出荷温度
Blue Ice
短期保存温度
+4°C
長期保存温度
-20°C
分注に関する情報
Upon delivery aliquot
保管に関する情報
Avoid freeze / thaw cycle

補足情報

This supplementary information is collated from multiple sources and compiled automatically.

MCM4 or Minichromosome Maintenance Complex Component 4 is a part of the MCM2-7 complex which is essential for the initiation and progression of DNA replication. It has a molecular mass of approximately 95 kDa. MCM4 functions as a DNA helicase unwinding DNA strands to allow replication forks to progress. This protein is expressed in various tissues with higher levels detected in dividing cells indicating its role in cell proliferation.
Biological function summary

MCM4 is a critical player in cell cycle regulation as it participates in the formation of the pre-replicative complex during the G1 phase of the cell cycle. Its function becomes evident as it interacts within the MCM2-7 hexameric complex important for helicase activity and stability. This complex prevents DNA re-replication within a single cell cycle ensuring the maintenance of genomic integrity.

Pathways

Several cellular mechanisms engage MCM4 particularly the DNA replication and cell cycle pathways. MCM4 associates with proteins like CDC45 and GINS within the CMG complex facilitating the activation and elongation phases of DNA replication. This relationship places MCM4 at the heart of orchestrating proper DNA synthesis and mitotic entry.

Researchers have linked MCM4 abnormalities to cancer progression and genomic instability. Overexpression or mutations in MCM4 disrupts normal replication processes heightening the risk for various cancers including breast and ovarian cancer. It also demonstrates interaction with the tumor suppressor protein p53 suggesting its involvement in processes that underpin malignancies linked to failed checkpoint control.

製品プロトコール

For this product, it's our understanding that no specific protocols are required. You can visit:

ターゲットの情報

Acts as a component of the MCM2-7 complex (MCM complex) which is the replicative helicase essential for 'once per cell cycle' DNA replication initiation and elongation in eukaryotic cells. Core component of CDC45-MCM-GINS (CMG) helicase, the molecular machine that unwinds template DNA during replication, and around which the replisome is built (PubMed : 16899510, PubMed : 25661590, PubMed : 32453425, PubMed : 34694004, PubMed : 34700328, PubMed : 35585232, PubMed : 9305914). The active ATPase sites in the MCM2-7 ring are formed through the interaction surfaces of two neighboring subunits such that a critical structure of a conserved arginine finger motif is provided in trans relative to the ATP-binding site of the Walker A box of the adjacent subunit. The six ATPase active sites, however, are likely to contribute differentially to the complex helicase activity (PubMed : 16899510, PubMed : 25661590, PubMed : 32453425, PubMed : 9305914).
See full target information MCM4

文献 (36)

Recent publications for all applications. Explore the full list and refine your search

Nature 627:204-211 PubMed38383787

2024

Targeted protein degradation via intramolecular bivalent glues.

Applications

Unspecified application

Species

Unspecified reactive species

Oliver Hsia,Matthias Hinterndorfer,Angus D Cowan,Kentaro Iso,Tasuku Ishida,Ramasubramanian Sundaramoorthy,Mark A Nakasone,Hana Imrichova,Caroline Schätz,Andrea Rukavina,Koraljka Husnjak,Martin Wegner,Alejandro Correa-Sáez,Conner Craigon,Ryan Casement,Chiara Maniaci,Andrea Testa,Manuel Kaulich,Ivan Dikic,Georg E Winter,Alessio Ciulli

EMBO reports 25:876-901 PubMed38177925

2024

FANCJ DNA helicase is recruited to the replisome by AND-1 to ensure genome stability.

Applications

Unspecified application

Species

Unspecified reactive species

Ana Boavida,Luisa Mr Napolitano,Diana Santos,Giuseppe Cortone,Nanda K Jegadesan,Silvia Onesti,Dana Branzei,Francesca M Pisani

Nature communications 14:8049 PubMed38081811

2023

RIF1 regulates early replication timing in murine B cells.

Applications

Unspecified application

Species

Unspecified reactive species

Daniel Malzl,Mihaela Peycheva,Ali Rahjouei,Stefano Gnan,Kyle N Klein,Mariia Nazarova,Ursula E Schoeberl,David M Gilbert,Sara C B Buonomo,Michela Di Virgilio,Tobias Neumann,Rushad Pavri

The EMBO journal 42:e114131 PubMed37458194

2023

Novel role of DONSON in CMG helicase assembly during vertebrate DNA replication initiation.

Applications

Unspecified application

Species

Unspecified reactive species

Yoshitami Hashimoto,Kota Sadano,Nene Miyata,Haruka Ito,Hirofumi Tanaka

Nature 606:197-203 PubMed35585235

2022

MCM complexes are barriers that restrict cohesin-mediated loop extrusion.

Applications

Unspecified application

Species

Unspecified reactive species

Bart J H Dequeker,Matthias J Scherr,Hugo B Brandão,Johanna Gassler,Sean Powell,Imre Gaspar,Ilya M Flyamer,Aleksandar Lalic,Wen Tang,Roman Stocsits,Iain F Davidson,Jan-Michael Peters,Karl E Duderstadt,Leonid A Mirny,Kikuë Tachibana

eLife 11: PubMed35438632

2022

MCMBP promotes the assembly of the MCM2-7 hetero-hexamer to ensure robust DNA replication in human cells.

Applications

Unspecified application

Species

Unspecified reactive species

Yuichiro Saito,Venny Santosa,Kei-Ichiro Ishiguro,Masato T Kanemaki

Life science alliance 5: PubMed35292537

2022

Mre11 exonuclease activity promotes irreversible mitotic progression under replication stress.

Applications

Unspecified application

Species

Unspecified reactive species

Yoshitami Hashimoto,Hirofumi Tanaka

Current protocols 1:e219 PubMed34370399

2021

Targeted Protein Depletion Using the Auxin-Inducible Degron 2 (AID2) System.

Applications

Unspecified application

Species

Unspecified reactive species

Yuichiro Saito,Masato T Kanemaki

Scientific reports 11:3761 PubMed33580144

2021

Arsenic hexoxide has differential effects on cell proliferation and genome-wide gene expression in human primary mammary epithelial and MCF7 cells.

Applications

Unspecified application

Species

Unspecified reactive species

Donguk Kim,Na Yeon Park,Keunsoo Kang,Stuart K Calderwood,Dong-Hyung Cho,Ill Ju Bae,Heeyoun Bunch

OncoTargets and therapy 13:12015-12025 PubMed33244243

2020

Huaier Suppresses the Hepatocellular Carcinoma Cell Cycle by Regulating Minichromosome Maintenance Proteins.

Applications

Unspecified application

Species

Unspecified reactive species

Yongjie Niu,Liang Shan,Han Gao,Congcong Zhang,Zijun Qian,Zhixian Wang,Xin Xu,Xiao Zhang,Jiayi Wang,Lifang Ma,Liyun Chen,Yongchun Yu
View all publications

Abcam product promise

当社は、高品質な試薬を通じてお客様の研究を力強くサポートすることをお約束いたします。ご使用いただく各段階で、常にお客様をサポートできる体制を整えております。万が一、製品が期待通りに機能しない場合は、「Abcam Product Promise」による当社保証制度に基づき、安心してご利用いただけます。
保証に関する詳細については利用規約をご確認ください。

Please note: All products are 'FOR RESEARCH USE ONLY. NOT FOR USE IN DIAGNOSTIC OR THERAPEUTIC PROCEDURES'.

For licensing inquiries, please contact partnerships@abcam.com