JavaScript is disabled in your browser. Please enable JavaScript to view this website.
AB224809

Anti-MBD4/MED1 抗体

Anti-MBD4/MED1 antibody

Be the first to review this product! Submit a review

|

(1 Publication)

Rabbit Polyclonal MBD4/MED1 antibody. Suitable for IHC-P, IP, WB and reacts with Human samples. Cited in 1 publication. Immunogen corresponding to Synthetic Peptide within Human MBD4 aa 1-50.

別名を表示する

MED1, MBD4, Methyl-CpG-binding domain protein 4, Methyl-CpG-binding endonuclease 1, Methyl-CpG-binding protein MBD4, Mismatch-specific DNA N-glycosylase

3 Images
Western blot - Anti-MBD4/MED1 antibody (AB224809)
  • WB

Supplier Data

Western blot - Anti-MBD4/MED1 antibody (AB224809)

All lanes:

Western blot - Anti-MBD4/MED1 antibody (ab224809) at 0.04 µg/mL

Lane 1:

HeLa (human epithelial cell line from cervix adenocarcinoma) whole cell lysate at 50 µg

Lane 2:

HeLa (human epithelial cell line from cervix adenocarcinoma) whole cell lysate at 15 µg

Lane 3:

HeLa (human epithelial cell line from cervix adenocarcinoma) whole cell lysate at 5 µg

Predicted band size: 66 kDa

true

Exposure time: 3min

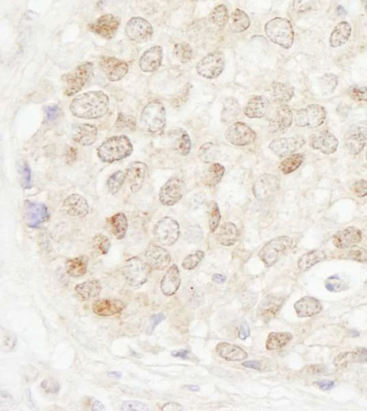
Immunohistochemistry (Formalin/PFA-fixed paraffin-embedded sections) - Anti-MBD4/MED1 antibody (AB224809)
  • IHC-P

Supplier Data

Immunohistochemistry (Formalin/PFA-fixed paraffin-embedded sections) - Anti-MBD4/MED1 antibody (AB224809)

Formalin-fixed, paraffin-embedded human breast carcinoma tissue stained for MBD4/MED1 using ab224809 at 1/200 dilution in immunohistochemical analysis. Detection : DAB staining.

Immunoprecipitation - Anti-MBD4/MED1 antibody (AB224809)
  • IP

Supplier Data

Immunoprecipitation - Anti-MBD4/MED1 antibody (AB224809)

MBD4/MED1 was immunoprecipitated from HeLa (human epithelial cell line from cervix adenocarcinoma) whole cell lysate (1 mg for IP, 20% of IP loaded) with ab224809 at 3 μg/mg lysate. Western blot was performed from the immunoprecipitate using ab224809 at 0.1 μg/ml.

Lane 1 : ab224809 IP in HeLa whole cell lysate.

Lane 2 : Control IgG IP in HeLa whole cell lysate.

Detection : Chemiluminescence with exposure time of 10 seconds.

All lanes:

Immunoprecipitation - Anti-MBD4/MED1 antibody (ab224809)

Predicted band size: 66 kDa

false

Key facts

宿主種

Rabbit

クローン性

Polyclonal

アイソタイプ

IgG

キャリアフリー

No

交差種

Human

アプリケーション

IHC-P, IP, WB

applications

免疫原

Synthetic Peptide within Human MBD4 aa 1-50. The exact immunogen used to generate this antibody is proprietary information.

O95243

Reactivity data

{ "title": "Reactivity Data", "filters": { "stats": ["", "Species", "Dilution Info", "Notes"], "tabs": { "all-applications": {"fullname" : "All Applications", "shortname": "All Applications"}, "IHCP" : {"fullname" : "Immunohistochemistry (Formalin/PFA-fixed paraffin-embedded sections)", "shortname":"IHC-P"}, "IP" : {"fullname" : "Immunoprecipitation", "shortname":"IP"}, "WB" : {"fullname" : "Western blot", "shortname":"WB"} }, "product-promise": { "all": "all", "testedAndGuaranteed": "tested", "guaranteed": "expected", "predicted": "predicted", "notRecommended": "not-recommended" } }, "values": { "Human": { "IHCP-species-checked": "testedAndGuaranteed", "IHCP-species-dilution-info": "1/100 - 1/500", "IHCP-species-notes": "<p></p> Perform heat-mediated antigen retrieval with citrate buffer pH 6 before commencing with IHC staining protocol.", "IP-species-checked": "testedAndGuaranteed", "IP-species-dilution-info": "2-5 µg/mg of lysate", "IP-species-notes": "<p></p>", "WB-species-checked": "testedAndGuaranteed", "WB-species-dilution-info": "1/2000 - 1/10000", "WB-species-notes": "<p></p>" } } }

出荷温度及び保存条件

製品の状態
Liquid
精製方法
Affinity purification Immunogen
精製に関する特記事項
ab224809 was affinity purified using an epitope specific to MBD4/MED1 immobilized on solid support.
バッファー組成
pH: 6.8 - 7.4 Preservative: 0.09% Sodium azide Constituents: Tris buffered saline, 0.1% BSA
出荷温度
Blue Ice
短期保存期間
1-2 weeks
短期保存温度
+4°C
長期保存温度
-20°C
分注に関する情報
Upon delivery aliquot
保管に関する情報
Avoid freeze / thaw cycle

補足情報

This supplementary information is collated from multiple sources and compiled automatically.

The MBD4 protein also known as MED1 is essential in DNA repair and gene regulation. MBD4 contains a methyl-CpG-binding domain allowing it to bind specifically to methylated DNA. The protein has a molecular weight of about 63 kDa. It is expressed in various tissues with higher levels in bone marrow and lymphoid tissues. MBD4 can recognize and excise mismatched T/G base pairs at methylated CpG sites which is important for maintaining genomic stability.
Biological function summary

MBD4 participates in the protection of genome integrity. It is involved in the DNA demethylation process ensuring proper gene expression patterns. MBD4 functions as part of complex DNA repair machinery. By working with other repair proteins MBD4 facilitates the correction of errors arising during DNA replication and demethylation reducing the risk of mutation accumulation and genomic instability.

Pathways

MBD4 plays a significant role in the base excision repair (BER) pathway. This pathway is key for correcting DNA damage caused by deamination and other forms of DNA alteration. In the BER pathway MBD4 cooperates with proteins like DNA glycosylases to identify and remove incorrect bases from the DNA strand. MBD4 also interacts with transcriptional regulation pathways influencing how genes are expressed in response to changes in the epigenetic landscape.

The malfunction of MBD4 links to colorectal cancer and other forms of cancer. Deficiency or mutations in the MBD4 gene increase the likelihood of mutation accumulation leading to tumorigenesis. MBD4's interactions with other proteins involved in DNA repair such as MLH1 highlight its role in maintaining DNA integrity. Genetic instability from impaired MBD4 function could trigger or exacerbate progression of cancerous conditions.

製品プロトコール

For this product, it's our understanding that no specific protocols are required. You can visit:

ターゲットの情報

Mismatch-specific DNA N-glycosylase involved in DNA repair. Has thymine glycosylase activity and is specific for G : T mismatches within methylated and unmethylated CpG sites. Can also remove uracil or 5-fluorouracil in G : U mismatches. Has no lyase activity. Was first identified as methyl-CpG-binding protein.
See full target information MBD4

文献 (1)

Recent publications for all applications. Explore the full list and refine your search

NPJ precision oncology 6:81 PubMed36323843

2022

Cytidine analogs are synthetic lethal with base excision repair default due to MBD4 deficiency.

Applications

Unspecified application

Species

Unspecified reactive species

Thomas Chabot,Fariba Nemati,Aurélie Herbette,Alexandre Demeyer,Stéphane Dayot,Olivier Ganier,Samar Alsafadi,Sophie Gardrat,Pascale Mariani,Marie Luporsi,Maxime Corbé,Vincent Servois,Nathalie Cassoux,Didier Decaudin,Sergio Roman Roman,Elaine Del Nery,Sophie Piperno-Neumann,Marc-Henri Stern,Manuel Rodrigues
View all publications

Abcam product promise

当社は、高品質な試薬を通じてお客様の研究を力強くサポートすることをお約束いたします。ご使用いただく各段階で、常にお客様をサポートできる体制を整えております。万が一、製品が期待通りに機能しない場合は、「Abcam Product Promise」による当社保証制度に基づき、安心してご利用いただけます。
保証に関する詳細については利用規約をご確認ください。

関連製品

Select an associated product type
Alternative Product
Primary Antibodies

AB227625

Anti-MBD4/MED1 antibody

primary-antibodies

mbd4-med1-antibody-ab227625

0

(0 reviews)

Alternative Product
Primary Antibodies

AB191037

Anti-MBD4/MED1 antibody - C-terminal

primary-antibodies

mbd4-med1-antibody-c-terminal-ab191037

0

(0 reviews)

Alternative Product
Primary Antibodies

AB264217

Anti-MBD4/MED1 antibody

primary-antibodies

mbd4-med1-antibody-ab264217

0

(0 reviews)

Please note: All products are 'FOR RESEARCH USE ONLY. NOT FOR USE IN DIAGNOSTIC OR THERAPEUTIC PROCEDURES'.

For licensing inquiries, please contact partnerships@abcam.com