JavaScript is disabled in your browser. Please enable JavaScript to view this website.
AB227572

Anti-Mast Cell Tryptase 抗体 [EPR8476] - BSA and Azide free

Anti-Mast Cell Tryptase antibody [EPR8476] - BSA and Azide free

Be the first to review this product! Submit a review

|

(1 Publication)

Rabbit Recombinant Monoclonal TRYB1 antibody. Carrier free. Suitable for IHC-P and reacts with Human samples. Cited in 1 publication.

別名を表示する

TPS1, TPS2, TPSB1, TPSAB1, Tryptase alpha/beta-1, Tryptase-1, Tryptase I, Tryptase alpha-1

4 Images
Immunohistochemistry (Formalin/PFA-fixed paraffin-embedded sections) - Anti-Mast Cell Tryptase antibody [EPR8476] - BSA and Azide free (AB227572)
  • IHC-P

Unknown

Immunohistochemistry (Formalin/PFA-fixed paraffin-embedded sections) - Anti-Mast Cell Tryptase antibody [EPR8476] - BSA and Azide free (AB227572)

Immunohistochemistry (Formalin/PFA-fixed paraffin-embedded sections) analysis of Human stomach tissue sections labeling Mast Cell Tryptase with Purified ab134932 at 1 : 5000 dilution (0.65 μg/ml). Heat mediated antigen retrieval was performed using ab93684 (Tris/EDTA buffer, pH 9.0). ImmunoHistoProbe one step HRP Polymer (ready to use)was used as the secondary antibody. Negative control : PBS instead of the primary antibody. Hematoxylin was used as a counterstain.
This data was developed using the same antibody clone in a different buffer formulation containing PBS, BSA, glycerol, and sodium azide (ab134932)

Immunohistochemistry (Formalin/PFA-fixed paraffin-embedded sections) - Anti-Mast Cell Tryptase antibody [EPR8476] - BSA and Azide free (AB227572)
  • IHC-P

Unknown

Immunohistochemistry (Formalin/PFA-fixed paraffin-embedded sections) - Anti-Mast Cell Tryptase antibody [EPR8476] - BSA and Azide free (AB227572)

This IHC data was generated using the same anti-Mast Cell Tryptase antibody clone, EPR8476, in a different buffer formulation (cat# ab134932).

Immunohistochemical analysis of paraffin-embedded, formalin-fixed Human colon tissue, labelling Mast Cell Tryptase using ab134932 at a 1/500 dilution.

Heat mediated antigen retrieval was performed with citrate buffer pH 6 before commencing with IHC staining protocol.

Immunohistochemistry (Formalin/PFA-fixed paraffin-embedded sections) - Anti-Mast Cell Tryptase antibody [EPR8476] - BSA and Azide free (AB227572)
  • IHC-P

Unknown

Immunohistochemistry (Formalin/PFA-fixed paraffin-embedded sections) - Anti-Mast Cell Tryptase antibody [EPR8476] - BSA and Azide free (AB227572)

This IHC data was generated using the same anti-Mast Cell Tryptase antibody clone, EPR8476, in a different buffer formulation (cat# ab134932).

Immunohistochemical analysis of paraffin-embedded, formalin-fixed Human tonsil tissue, labelling Mast Cell Tryptase using ab134932 at a 1/500 dilution.

Heat mediated antigen retrieval was performed with citrate buffer pH 6 before commencing with IHC staining protocol.

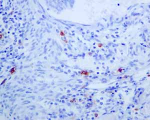
Immunohistochemistry (Formalin/PFA-fixed paraffin-embedded sections) - Anti-Mast Cell Tryptase antibody [EPR8476] - BSA and Azide free (AB227572)
  • IHC-P

AbReview35546****

Immunohistochemistry (Formalin/PFA-fixed paraffin-embedded sections) - Anti-Mast Cell Tryptase antibody [EPR8476] - BSA and Azide free (AB227572)

ab14404 staining Mast Cell Tryptase in Mouse small intestine tissue sections by Immunohistochemistry (Formalin/PFA-fixed paraffin-embedded sections). Cells were fixed with paraformaldehyde, blocked with 5% serum for 60 minutes at 21°C and antigen retrieval was by heat mediation in 10mM Citrate buffer pH6.0. Samples were incubated with primary antibody (1/500 in PBS + 2% BSA) for 16 hours at 4°C. An Alexa Fluor®488-conjugated Donkey anti-rabbit Ipolyclonal(1/400) was used as the secondary antibody.

This data was developed using the same antibody clone in a different buffer formulation containing PBS, BSA, glycerol, and sodium azide (ab134932).

This image is courtesy of an anonymous Abreview.

関連する標識済み抗体及び組成の異なる製品 (7)

  • Unconjugated

    Anti-Mast Cell Tryptase antibody [EPR8476]

  • 660 APC

    APC Anti-Mast Cell Tryptase antibody [EPR8476]

  • 617 Alexa Fluor® 594

    Alexa Fluor® 594 Anti-Mast Cell Tryptase antibody [EPR8476]

  • 578 PE

    PE Anti-Mast Cell Tryptase antibody [EPR8476]

  • 519 Alexa Fluor® 488

    Alexa Fluor® 488 Anti-Mast Cell Tryptase antibody [EPR8476]

  • 565 Alexa Fluor® 555

    Alexa Fluor® 555 Anti-Mast Cell Tryptase antibody [EPR8476]

  • 775 Alexa Fluor® 750

    Alexa Fluor® 750 Anti-Mast Cell Tryptase antibody [EPR8476]

Key facts

宿主種

Rabbit

クローン性

Monoclonal

クローン番号

EPR8476

アイソタイプ

IgG

キャリアフリー

Yes

交差種

Human

アプリケーション

IHC-P

applications

免疫原

The exact immunogen used to generate this antibody is proprietary information.

特異性

Lab re-tests in mouse and rat species were negative. Therefore, we do not gaurantee this antibody in these species.

Reactivity data

{ "title": "Reactivity Data", "filters": { "stats": ["", "Species", "Dilution Info", "Notes"], "tabs": { "all-applications": {"fullname" : "All Applications", "shortname": "All Applications"}, "IHCP" : {"fullname" : "Immunohistochemistry (Formalin/PFA-fixed paraffin-embedded sections)", "shortname":"IHC-P"} }, "product-promise": { "all": "all", "testedAndGuaranteed": "tested", "guaranteed": "expected", "predicted": "predicted", "notRecommended": "not-recommended" } }, "values": { "Human": { "IHCP-species-checked": "testedAndGuaranteed", "IHCP-species-dilution-info": "", "IHCP-species-notes": "<p>For antigen retrieval: heat up to 98°C, below boiling, and then let cool for 10-20 min. Use of an HRP/AP polymerized secondary antibody is recommended.</p> Perform heat-mediated antigen retrieval with citrate buffer pH 6 before commencing with IHC staining protocol." } } }

製品の詳細

ab227572 is the carrier-free version of ab134932.

Patented technology
Our RabMAb® technology is a patented hybridoma-based technology for making rabbit monoclonal antibodies. For details on our patents, please refer to RabMAb® patents.

What are the advantages of a recombinant monoclonal antibody?
This product is a recombinant monoclonal antibody, which offers several advantages including:

  • - High batch-to-batch consistency and reproducibility
  • - Improved sensitivity and specificity
  • - Long-term security of supply
  • - Animal-free batch production

For more information, read more on recombinant antibodies.

Conjugation ready
Our carrier-free antibodies are typically supplied in a PBS-only formulation, purified and free of BSA, sodium azide and glycerol. This conjugation-ready format is designed for use with fluorochromes, metal isotopes, oligonucleotides, and enzymes, which makes them ideal for antibody labelling, functional and cell-based assays, flow-based assays (e.g. mass cytometry) and Multiplex Imaging applications.

Use our conjugation kits for antibody conjugates that are ready-to-use in as little as 20 minutes with 1 minute hands-on-time and 100% antibody recovery: available for fluorescent dyes, HRP, biotin and gold.

Compatibility
This product is compatible with the Maxpar® Antibody Labeling Kit from Fluidigm, without the need for antibody preparation. Maxpar® is a trademark of Fluidigm Canada Inc.

出荷温度及び保存条件

製品の状態
Liquid
精製方法
Affinity purification Protein A
バッファー組成
pH: 7.2 - 7.4 Constituents: PBS
出荷温度
Blue Ice
短期保存温度
+4°C
長期保存温度
+4°C
保管に関する情報
Do Not Freeze

製品プロトコール

For this product, it's our understanding that no specific protocols are required. You can visit:

ターゲットの情報

Tryptase is the major neutral protease present in mast cells and is secreted upon the coupled activation-degranulation response of this cell type. May play a role in innate immunity. Isoform 2 cleaves large substrates, such as fibronectin, more efficiently than isoform 1, but seems less efficient toward small substrates (PubMed : 18854315).
See full target information TPSAB1

文献 (1)

Recent publications for all applications. Explore the full list and refine your search

Cell 187:3120-3140.e29 PubMed38714197

2024

Mapping the cellular biogeography of human bone marrow niches using single-cell transcriptomics and proteomic imaging.

Applications

Unspecified application

Species

Unspecified reactive species

Shovik Bandyopadhyay,Michael P Duffy,Kyung Jin Ahn,Jonathan H Sussman,Minxing Pang,David Smith,Gwendolyn Duncan,Iris Zhang,Jeffrey Huang,Yulieh Lin,Barbara Xiong,Tamjid Imtiaz,Chia-Hui Chen,Anusha Thadi,Changya Chen,Jason Xu,Melissa Reichart,Zachary Martinez,Caroline Diorio,Chider Chen,Vinodh Pillai,Oraine Snaith,Derek Oldridge,Siddharth Bhattacharyya,Ivan Maillard,Martin Carroll,Charles Nelson,Ling Qin,Kai Tan
View all publications

Abcam product promise

当社は、高品質な試薬を通じてお客様の研究を力強くサポートすることをお約束いたします。ご使用いただく各段階で、常にお客様をサポートできる体制を整えております。万が一、製品が期待通りに機能しない場合は、「Abcam Product Promise」による当社保証制度に基づき、安心してご利用いただけます。
保証に関する詳細については利用規約をご確認ください。

Please note: All products are 'FOR RESEARCH USE ONLY. NOT FOR USE IN DIAGNOSTIC OR THERAPEUTIC PROCEDURES'.

For licensing inquiries, please contact partnerships@abcam.com