JavaScript is disabled in your browser. Please enable JavaScript to view this website.
AB2378

Anti-Mast Cell Tryptase 抗体 [AA1]

Anti-Mast Cell Tryptase antibody [AA1]

4

(35 Reviews)

|

(189 Publications)

Anti-Mast Cell Tryptase antibody [AA1] (ab2378) is a mouse monoclonal antibody detecting Mast Cell Tryptase in Western Blot, IHC-P. Suitable for Human.

- Over 140 publications
- Trusted since 2002

別名を表示する

TPS1, TPS2, TPSB1, TPSAB1, Tryptase alpha/beta-1, Tryptase-1, Tryptase I, Tryptase alpha-1

9 Images
Immunohistochemistry (Formalin/PFA-fixed paraffin-embedded sections) - Anti-Mast Cell Tryptase antibody [AA1] (AB2378)
  • IHC-P

Lab

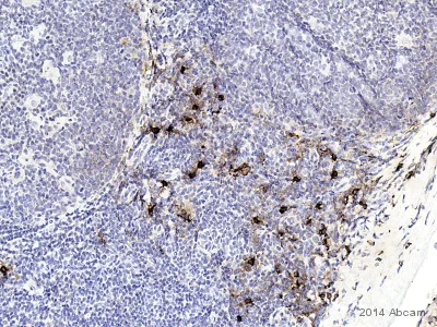
Immunohistochemistry (Formalin/PFA-fixed paraffin-embedded sections) - Anti-Mast Cell Tryptase antibody [AA1] (AB2378)

IHC image of Mast Cell Tryptase staining in Human Normal Tonsil formalin fixed paraffin embedded tissue section*.

Performed on a Leica BONDTM system using the standard protocol F. The section was pre-treated using heat mediated antigen retrieval with sodium citrate buffer (pH 6.0, epitope retrieval solution 1) for 20mins. The section was then incubated with ab2378 at 0.05µg/ml, for 15 mins at room temperature and detected using an HRP conjugated compact polymer system. DAB was used as the chromogen. The section was then counterstained with haematoxylin and mounted with DPX. The inset secondary-only image is taken from an identical assay without primary antibody.

For other IHC staining systems (automated and non-automated) customers should optimize variable parameters such as antigen retrieval conditions, primary antibody concentration and antibody incubation times.

*Tissue obtained from the Human Research Tissue Bank, supported by the NIHR Cambridge Biomedical Research Centre.

Immunohistochemistry (Formalin/PFA-fixed paraffin-embedded sections) - Anti-Mast Cell Tryptase antibody [AA1] (AB2378)
  • IHC-P

PubMed

Immunohistochemistry (Formalin/PFA-fixed paraffin-embedded sections) - Anti-Mast Cell Tryptase antibody [AA1] (AB2378)

Tryptase-stained skin biopsy.

Skin biopsy in CUrt patient stained for tryptase (ab2378, red) at baseline at low (10×, upper panels) and high (60×, lower panels) magnification and at 15 minutes following cold stimulation time test.

Skin biopsies were obtained at baseline and 15 minutes after CSTT (5 min) on the challenge site, placed into 10% neutral buffered formalin, embedded in paraffin and cut into 5-μm-thick sections. Local anesthesia was performed just before biopsy and did not delay the timing of the biopsy. Slides for immunohistochemistry were deparaffinized and stained. ab2378 was diluted 1 : 100 and incubated for 2 hours. A biotinylated undiluted secondary antibody of Goat anti-Mouse SS Link, was incubated for 32 minutes, followed with enzyme conjugate, and Fast Red chromogen.

Meyer at al PLoS One. 2013;8(2):e56773. doi: 10.1371/journal.pone.0056773. Epub 2013 Feb 22. Fig 2. Reproduced under the Creative Commons license https://creativecommons.org/publicdomain/zero/1.0/

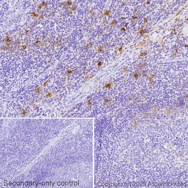
Immunohistochemistry (Formalin/PFA-fixed paraffin-embedded sections) - Anti-Mast Cell Tryptase antibody [AA1] (AB2378)
  • IHC-P

AbReview9249****

Immunohistochemistry (Formalin/PFA-fixed paraffin-embedded sections) - Anti-Mast Cell Tryptase antibody [AA1] (AB2378)

ab2378 staining formalin fixed paraffin-embedded human colon tissue sections cut at 1 micron.

The section was subjected to heat mediated antigen retrieval and permeabilized in Triton-X prior to blocking in 6% BSA for 2 hours at 24°C. The primary anitbody was diluted 1/250 and incubated with the sample for 16 hours at 5°C. The secondary antibody was ab7064 (diluted 1/2000) and the slide was counterstained with DAPI.

This image is courtesy of an Abreview submitted by Dr Tom Donndelinger

Immunohistochemistry (Formalin/PFA-fixed paraffin-embedded sections) - Anti-Mast Cell Tryptase antibody [AA1] (AB2378)
  • IHC-P

PubMed

Immunohistochemistry (Formalin/PFA-fixed paraffin-embedded sections) - Anti-Mast Cell Tryptase antibody [AA1] (AB2378)

AM distribution in thymic mast cells in cryostat sections of human newborn thymic tissue.

Sections were incubated with an antibody against tryptase (A, B) using ab2378 at a 1/100 dilution.

V : blood vessel.

Briefly, frozen sections (10 μm-thick) were cut with a cryostat at −20°C. Antigens were retrieved by heating the sections previously immersed in Bond Epitope Retrieval solution 1 at 100°C for 30 min. Sections were washed in phosphate buffered saline (PBS) and incubated with the primary antibody.

De Martin et al PLoS One. 2014 May 15;9(5):e97592. doi: 10.1371/journal.pone.0097592. eCollection 2014. Fig 2. Reproduced under the Creative Commons license http://creativecommons.org/licenses/by/4.0/

Immunohistochemistry (Formalin/PFA-fixed paraffin-embedded sections) - Anti-Mast Cell Tryptase antibody [AA1] (AB2378)
  • IHC-P

AbReview42462****

Immunohistochemistry (Formalin/PFA-fixed paraffin-embedded sections) - Anti-Mast Cell Tryptase antibody [AA1] (AB2378)

ab2378 staining Mast Cell Tryptase in human tonsil tissue sections by Immunohistochemistry (IHC-P - paraformaldehyde-fixed, paraffin-embedded sections).

Tissue was fixed with formaldehyde and blocked with 1% BSA for 10 minutes at 21°C; antigen retrieval was by heat mediation in a citric acid. Samples were incubated with primary antibody (1/7500 in TBS/BSA/azide) for 2 hours at 21°C. A Biotin-conjugated Goat anti-mouse IgG polyclonal (1/250) was used as the secondary antibody.

Image is courtesy of an AbReview submitted by Carl Hobbs

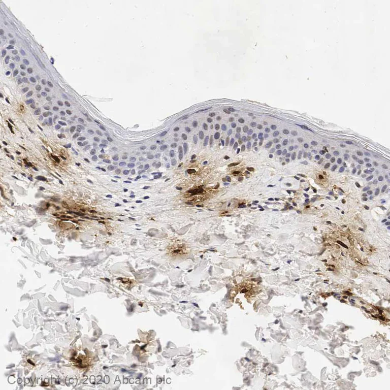
Immunohistochemistry (Formalin/PFA-fixed paraffin-embedded sections) - Anti-Mast Cell Tryptase antibody [AA1] (AB2378)
  • IHC-P

Lab

Immunohistochemistry (Formalin/PFA-fixed paraffin-embedded sections) - Anti-Mast Cell Tryptase antibody [AA1] (AB2378)

IHC image of Mast Cell Tryptase staining in Human Normal Skin formalin fixed paraffin embedded tissue section, performed on a Leica BondTM system using the standard protocol F. The section was pre-treated using heat mediated antigen retrieval with sodium citrate buffer (pH6) for 20 mins. The section was then incubated with ab2378, 1/200,000 dilution, for 15 mins at room temperature and detected using an HRP conjugated compact polymer system. DAB was used as the chromogen. The section was then counterstained with haematoxylin and mounted with DPX.

For other IHC staining systems (automated and non-automated) customers should optimize variable parameters such as antigen retrieval conditions, primary antibody concentration and antibody incubation times.

*Tissue obtained from the Human Research Tissue Bank, supported by the NIHR Cambridge Biomedical Research Centre

Immunohistochemistry (Formalin/PFA-fixed paraffin-embedded sections) - Anti-Mast Cell Tryptase antibody [AA1] (AB2378)
  • IHC-P

AbReview23365****

Immunohistochemistry (Formalin/PFA-fixed paraffin-embedded sections) - Anti-Mast Cell Tryptase antibody [AA1] (AB2378)

ab2378 staining Mast Cell Tryptase in mouse Lung (LPS inflammation) tissue sections by Immunohistochemistry (IHC-P - paraformaldehyde-fixed, paraffin-embedded sections).

Tissue was fixed with paraformaldehyde and blocked with 4% M.O.M Ig blocking for 1 hour at 20°C; antigen retrieval was by heat mediation in a citric acid. Samples were incubated with primary antibody (1/200 in blocking buffer) for 16 hours at 4°C. A Biotin-conjugated Rabbit anti-mouse IgG polyclonal (1/100) was used as the secondary antibody.

Image courtesy of an AbReview submitted by Dr Francois Daubeuf

Immunohistochemistry (Formalin/PFA-fixed paraffin-embedded sections) - Anti-Mast Cell Tryptase antibody [AA1] (AB2378)
  • IHC-P

AbReview24760****

Immunohistochemistry (Formalin/PFA-fixed paraffin-embedded sections) - Anti-Mast Cell Tryptase antibody [AA1] (AB2378)

ab2378 staining Mast Cell Tryptase in rat Lung tissue sections by Immunohistochemistry (IHC-P - paraformaldehyde-fixed, paraffin-embedded sections).

Tissue was fixed with formaldehyde and antigen retrieval was by heat mediation in a citrate buffer. Samples were incubated with primary antibody (1/200) for 16 hours at 4°C. A Biotin-conjugated Goat anti-mouse IgG polyclonal (1/500) was used as the secondary antibody.

Image is courtesy of an AbReview submitted by Dr Fancois Daubeuf

Western blot - Anti-Mast Cell Tryptase antibody [AA1] (AB2378)
  • WB

Lab

Western blot - Anti-Mast Cell Tryptase antibody [AA1] (AB2378)

Mast Cell Tryptase contains an 18-residue signal sequence and a 12-residue activation peptide. The protein also has two potential glycosylation sites (Swissprot data). These post-translational modifications might explain the banding pattern observed. Abcam used 5% milk in TBS-T as a blocking agent for this blot. We found that this blocking agent removed more non-specific bands than BSA.

Lanes 1 - 3:

Western blot - Anti-Mast Cell Tryptase antibody [AA1] (ab2378) at 1/100 dilution

Lanes 4 - 6:

Western blot - Anti-Mast Cell Tryptase antibody [AA1] (ab2378) at 1/500 dilution

Lanes 1 and 4:

Human lung normal tissue lysate - total protein (40 - 65 years) at 20 µg

Lanes 2 and 5:

Human tonsil normal tissue lysate - total protein at 20 µg

Lanes 3 and 6:

Human skin tissue lysate - total protein at 20 µg

Secondary

All lanes:

Goat Anti-Mouse IgG H&L (HRP) preadsorbed at 1/5000 dilution

Predicted band size: 31 kDa

true

Exposure time: 2min

Key facts

宿主種

Mouse

クローン性

Monoclonal

クローン番号

AA1

アイソタイプ

IgG1

軽鎖のタイプ

unknown

キャリアフリー

No

交差種

Human

アプリケーション

IHC-P, WB

applications

免疫原

The exact immunogen used to generate this antibody is proprietary information.

Reactivity data

{ "title": "Reactivity Data", "filters": { "stats": ["", "Species", "Dilution Info", "Notes"], "tabs": { "all-applications": {"fullname" : "All Applications", "shortname": "All Applications"}, "IHCP" : {"fullname" : "Immunohistochemistry (Formalin/PFA-fixed paraffin-embedded sections)", "shortname":"IHC-P"}, "WB" : {"fullname" : "Western blot", "shortname":"WB"} }, "product-promise": { "all": "all", "testedAndGuaranteed": "tested", "guaranteed": "expected", "predicted": "predicted", "notRecommended": "not-recommended" } }, "values": { "Human": { "IHCP-species-checked": "testedAndGuaranteed", "IHCP-species-dilution-info": "1/20000 - 1/200000", "IHCP-species-notes": "<p></p> Perform heat-mediated antigen retrieval with citrate buffer pH 6 before commencing with IHC staining protocol.", "WB-species-checked": "testedAndGuaranteed", "WB-species-dilution-info": "1/100 - 1/500", "WB-species-notes": "<p>We recommend using 3% milk as the blocking agent for Western blot.</p>" }, "Mouse": { "IHCP-species-checked": "predicted", "IHCP-species-dilution-info": "", "IHCP-species-notes": "", "WB-species-checked": "predicted", "WB-species-dilution-info": "", "WB-species-notes": "" }, "Rat": { "IHCP-species-checked": "predicted", "IHCP-species-dilution-info": "", "IHCP-species-notes": "", "WB-species-checked": "predicted", "WB-species-dilution-info": "", "WB-species-notes": "" }, "Cat": { "IHCP-species-checked": "predicted", "IHCP-species-dilution-info": "", "IHCP-species-notes": "", "WB-species-checked": "predicted", "WB-species-dilution-info": "", "WB-species-notes": "" }, "Dog": { "IHCP-species-checked": "predicted", "IHCP-species-dilution-info": "", "IHCP-species-notes": "", "WB-species-checked": "predicted", "WB-species-dilution-info": "", "WB-species-notes": "" }, "Monkey": { "IHCP-species-checked": "predicted", "IHCP-species-dilution-info": "", "IHCP-species-notes": "", "WB-species-checked": "predicted", "WB-species-dilution-info": "", "WB-species-notes": "" } } }

製品の詳細

Product Specifications

Anti-Mast Cell Tryptase antibody [AA1] (ab2378) is a mouse monoclonal antibody and is validated for use in IHC-P, WB in human samples.
Anti-Mast Cell Tryptase antibody [AA1] (ab2378) specifically detects Mast Cell Tryptase (UniProt ID: P20231; Molecular weight: 28kDa) and is sold in 100 µL selling sizes.

Quality and Validation

Abcam's high quality validation processes ensure Anti-Mast Cell Tryptase antibody [AA1] (ab2378) has high sensitivity and specificity.
Anti-Mast Cell Tryptase antibody [AA1] (ab2378) has been cited over 146 times in peer reviewed journals and is trusted by the scientific community.
Anti-Mast Cell Tryptase antibody [AA1] (ab2378) has 35 independent reviews from customers.

Want a custom formulation?
This antibody clone is manufactured by Abcam. If you require a custom buffer formulation or conjugation for your experiments, please contact orders@abcam.com

出荷温度及び保存条件

製品の状態
Liquid
精製度
Tissue culture supernatant
バッファー組成
pH: 7.4 Preservative: 0.02% Sodium azide
出荷温度
Blue Ice
短期保存温度
+4°C
長期保存温度
-20°C
分注に関する情報
Upon delivery aliquot
保管に関する情報
Avoid freeze / thaw cycle

製品プロトコール

For this product, it's our understanding that no specific protocols are required. You can visit:

ターゲットの情報

Tryptase is the major neutral protease present in mast cells and is secreted upon the coupled activation-degranulation response of this cell type. May play a role in innate immunity. Isoform 2 cleaves large substrates, such as fibronectin, more efficiently than isoform 1, but seems less efficient toward small substrates (PubMed : 18854315).
See full target information TPSAB1

文献 (189)

Recent publications for all applications. Explore the full list and refine your search

Current issues in molecular biology 47: PubMed41020874

2025

Phenotypic and Quantitative Characterization of Mast Cells in Cutaneous Melanoma: Correlation with Staging Metrics.

Applications

Unspecified application

Species

Unspecified reactive species

Grigory Demyashkin,Dmitrii Atiakshin,Kirill Silakov,Vladimir Shchekin,Maxim Bobrov,Olga Abramova,Matvey Vadyukhin,Tatyana Borovaya,Ekaterina Blinova,Petr Shegay,Andrei Kaprin

Medical sciences (Basel, Switzerland) 13: PubMed40981193

2025

Mast Cell Association with the Microenvironment of a Phosphaturic Mesenchymal Tumour Secreting Fibroblast Growth Factor 23.

Applications

Unspecified application

Species

Unspecified reactive species

Andrey Kostin,Alexei Lyundup,Alexander Alekhnovich,Aleksandra Prikhodko,Olga Patsap,Sofia Gronskaia,Zhanna Belaya,Olga Lesnyak,Galina Melnichenko,Natalia Mokrysheva,Igor Buchwalow,Markus Tiemann,Dmitrii Atiakshin

iScience 28:113117 PubMed40761291

2025

ARID1A mutation drives gastric tumorigenesis via activating type 2 immune dominant microenvironment.

Applications

Unspecified application

Species

Unspecified reactive species

Junya Arai,Yoku Hayakawa,Nobumi Suzuki,Hiroto Kinoshita,Masahiro Hata,Ken Kurokawa,Yuki Matsushita,Sohei Abe,Yukiko Oya,Mayo Tsuboi,Sozaburo Ihara,Yusuke Iwata,Keita Murakami,Toshiro Shiokawa,Chihiro Shiomi,Chie Uekura,Keisuke Yamamoto,Hiroaki Fujiwara,Satoshi Kawamura,Hayato Nakagawa,Tsuneo Ikenoue,Hiroaki Tateno,Tetsuo Ushiku,Hideaki Ijichi,Yoshihiro Hirata,Masato Kasuga,Gloria H Su,Timothy C Wang,Mitsuhiro Fujishiro

Annals of dermatology 37:228-240 PubMed40736523

2025

The Anti-Angiogenic Effect of Microbotox on Rosacea Is Due to the Suppressed Secretion of VEGF by Mast Cells Resulting From Internalization of the MRGPRX2 Receptor.

Applications

Unspecified application

Species

Unspecified reactive species

Jing Wan,Yue Le,Meng-Meng Geng,Bing-Qi Dong,Zhi-Kai Liao,Lin-Xia Liu,Tie-Chi Lei

Chinese medicine 20:112 PubMed40660305

2025

Acupuncture promotes muscle cells ATP metabolism in ST36 acupoint local exerting effect by activating TRPV1/CaMKII/AMPK/PGC1α signaling pathway.

Applications

Unspecified application

Species

Unspecified reactive species

Zhihan Chen,Kaifang Yao,Xinrui Wang,Yangyang Liu,Simin Du,Shenjun Wang,Yuxin Fang,Yuan Xu,Zhifang Xu,Xiaowei Lin,Yi Guo

Cell death & disease 16:322 PubMed40258807

2025

PRL2 negatively regulates FcεRI mediated activation of mast cells.

Applications

Unspecified application

Species

Unspecified reactive species

Xin Guo,Yunxuan Lei,Yanhua Xu,Xinyue Du,Lin Lin,Yanping Luo,Yebin Xi,Yinshi Guo,Xiaoyin Niu,Zhaojun Wang,Guangjie Chen

Scientific reports 15:12837 PubMed40229344

2025

Effects of follicular and luteal cysts on reproductive organs, interstitial glands, and mast cell distribution in buffalo ovaries.

Applications

Unspecified application

Species

Unspecified reactive species

Yahia A Amin,Amna H M Nour,Ragab H Mohamed

International journal of molecular sciences 26: PubMed39796076

2025

Local Application of Minimally Manipulated Autologous Stromal Vascular Fraction (SVF) Reduces Inflammation and Improves Bilio-Biliary Anastomosis Integrity.

Applications

Unspecified application

Species

Unspecified reactive species

Ilya Klabukov,Garnik Shatveryan,Nikolay Bagmet,Olga Aleshina,Elena Ivanova,Victoria Savina,Ilmira Gilmutdinova,Dmitry Atiakshin,Michael Ignatyuk,Denis Baranovskii,Peter Shegay,Andrey Kaprin,Ilya Eremin,Nikita Chardarov

STAR protocols 6:103524 PubMed39709611

2024

Skin-iDISCO: An optimized tissue-clearing and labeling protocol for morphometric analysis of human cutaneous vasculature.

Applications

Unspecified application

Species

Unspecified reactive species

Léa Pechtimaldjian,Muriel Cario,Jérémie Teillon,Sébastien Marais,Sébastien Dupichaud,Hamid-Reza Rezvani,François Moisan

International journal of molecular sciences 25: PubMed39456794

2024

The Role of Mast Cells in the Remodeling Effects of Molecular Hydrogen on the Lung Local Tissue Microenvironment under Simulated Pulmonary Hypertension.

Applications

Unspecified application

Species

Unspecified reactive species

Dmitrii Atiakshin,Andrey Kostin,Alexander Alekhnovich,Artem Volodkin,Michael Ignatyuk,Ilya Klabukov,Denis Baranovskii,Igor Buchwalow,Markus Tiemann,Marina Artemieva,Nataliya Medvedeva,Tyler W LeBaron,Mami Noda,Oleg Medvedev
View all publications

Abcam product promise

当社は、高品質な試薬を通じてお客様の研究を力強くサポートすることをお約束いたします。ご使用いただく各段階で、常にお客様をサポートできる体制を整えております。万が一、製品が期待通りに機能しない場合は、「Abcam Product Promise」による当社保証制度に基づき、安心してご利用いただけます。
保証に関する詳細については利用規約をご確認ください。

Please note: All products are 'FOR RESEARCH USE ONLY. NOT FOR USE IN DIAGNOSTIC OR THERAPEUTIC PROCEDURES'.

For licensing inquiries, please contact partnerships@abcam.com