JavaScript is disabled in your browser. Please enable JavaScript to view this website.
AB32454

Anti-MAP2 抗体 - Neuronal Marker

Anti-MAP2 antibody - Neuronal Marker

5

(35 Reviews)

|

(407 Publications)

Anti-MAP2 antibody - Neuronal Marker (ab32454) is a rabbit polyclonal antibody detecting MAP2 in Western Blot, IHC-P, ICC/IF. Suitable for Human, Mouse, Rat.

- Over 290 publications
- Trusted since 2007

別名を表示する

Microtubule-associated protein 2, MAP-2, MAP2

7 Images
Immunocytochemistry/ Immunofluorescence - Anti-MAP2 antibody - Neuronal Marker (AB32454)
  • ICC/IF

Lab

Immunocytochemistry/ Immunofluorescence - Anti-MAP2 antibody - Neuronal Marker (AB32454)

ab32454 staining MAP2 in Rat Primary Neurons DIV14 cells. The cells were fixed with 100% methanol (5 min), permeabilized with 0.1% PBS-Triton X-100 for 5 minutes and then blocked with 1% BSA/10% normal goat serum/0.3M glycine in 0.1%PBS-Tween for 1h. The cells were then incubated overnight at 4°C with ab32454 at 1µg/ml and ab7291, Mouse monoclonal [DM1A] to alpha Tubulin - Loading Control. Cells were then incubated with ab150081, Goat polyclonal Secondary Antibody to Rabbit IgG - H&L (Alexa Fluor® 488), pre-adsorbed at 1/1000 dilution (shown in green) and ab150120, Goat polyclonal Secondary Antibody to Mouse IgG - H&L (Alexa Fluor® 594), pre-adsorbed at 1/1000 dilution (shown in pseudocolour magenta). Nuclear DNA was labelled with DAPI (shown in blue).

Also suitable in cells fixed with 4% paraformaldehyde (10 min).

Image was acquired with a high-content analyser (Operetta CLS, Perkin Elmer) and a maximum intensity projection of confocal sections is shown.

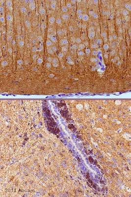
Immunohistochemistry (Formalin/PFA-fixed paraffin-embedded sections) - Anti-MAP2 antibody - Neuronal Marker (AB32454)
  • IHC-P

Unknown

Immunohistochemistry (Formalin/PFA-fixed paraffin-embedded sections) - Anti-MAP2 antibody - Neuronal Marker (AB32454)

IHC image of MAP2 staining in human cerebral cortex FFPE section, performed on a Leica BondTM system using the standard protocol F. The section was pre-treated using heat mediated antigen retrieval with sodium citrate buffer (pH6, epitope retrieval solution 1) for 20 mins. The section was then incubated with ab32454, 1µg/ml, for 15 mins at room temperature and detected using an HRP conjugated compact polymer system. DAB was used as the chromogen. The section was then counterstained with haematoxylin and mounted with DPX.

Immunocytochemistry/ Immunofluorescence - Anti-MAP2 antibody - Neuronal Marker (AB32454)
  • ICC/IF

AbReview47142****

Immunocytochemistry/ Immunofluorescence - Anti-MAP2 antibody - Neuronal Marker (AB32454)

ab32454 staining MAP2 in rat cryopreserved embryonic cortical neurons cells by ICC/IF (Immunocytochemistry/immunofluorescence). Cells were fixed with paraformaldehyde with picric acid. Samples were incubated with primary antibody (1/2000 in 10mM PBS + 0.3% Triton-X) for 12 hours at 4°C. An Alexa Fluor® 488-conjugated donkey anti-rabbit IgG polyclonal (1/200) was used as the secondary antibody.

This image is courtesy of an Abreview submitted by Babben Tinner

Immunohistochemistry (Formalin/PFA-fixed paraffin-embedded sections) - Anti-MAP2 antibody - Neuronal Marker (AB32454)
  • IHC-P

AbReview22894****

Immunohistochemistry (Formalin/PFA-fixed paraffin-embedded sections) - Anti-MAP2 antibody - Neuronal Marker (AB32454)

ab32454 staining MAP2 in mouse brain tissue sections by Immunohistochemistry (IHC-P - paraformaldehyde-fixed, paraffin-embedded sections). Tissue was fixed with formaldehyde and blocked with 1% BSA for 10 minutes at 21°C; antigen retrieval was by heat mediation in a citrate buffer. Samples were incubated with primary antibody (1/3000 in blocking buffer) for 2 hours at 21°C in TBS/BSA/azide. An undiluted Biotin-conjugated goat anti-rabbit IgG polyclonal was used as the secondary antibody.

This image is courtesy of an Abreview by Carl Hobbs.

Immunocytochemistry/ Immunofluorescence - Anti-MAP2 antibody - Neuronal Marker (AB32454)
  • ICC/IF

Supplier Data

Immunocytochemistry/ Immunofluorescence - Anti-MAP2 antibody - Neuronal Marker (AB32454)

Rat astrocytes (DIV 22) cells were fixed with 4% paraformaldehyde and stained for MAP2 (Green) using ab32454 at 1/1000 dilution in ICC/IF analysis.

Müller A et al. Monitoring Astrocytic Proteome Dynamics by Cell Type-Specific Protein Labeling. PLoS One 10:e0145451 (2015).

Western blot - Anti-MAP2 antibody - Neuronal Marker (AB32454)
  • WB

PubMed

Western blot - Anti-MAP2 antibody - Neuronal Marker (AB32454)

All lanes:

Western blot - Anti-MAP2 antibody - Neuronal Marker (ab32454) at 1/1000 dilution

Lanes 1 - 2:

Trisomic induced Pluripotent Stem Cells (iPSCs)

Lanes 3 - 4:

Disomic induced Pluripotent Stem Cells (iPSCs)

Predicted band size: 199 kDa

false

Gonzales PK et al. Transcriptome analysis of genetically matched human induced pluripotent stem cells disomic or trisomic for chromosome 21. PLoS One 13:e0194581 (2018).

Western blot - Anti-MAP2 antibody - Neuronal Marker (AB32454)
  • WB

Lab

Western blot - Anti-MAP2 antibody - Neuronal Marker (AB32454)

Blocking buffer : 2% BSA

Gel type : TA

All lanes:

Western blot - Anti-MAP2 antibody - Neuronal Marker (ab32454) at 1 µg/mL

Lane 1:

Mouse Brain (day 0) Tissue Lysate at 20 µg

Lane 2:

Mouse Brain Tissue Lysate at 20 µg

Lane 3:

Rat Brain Tissue Lysate at 20 µg

Secondary

All lanes:

Goat polyclonal to Rabbit IgG - H&L - Pre-Adsorbed (HRP) at 1/50000 dilution

Predicted band size: 199 kDa

Observed band size: 268 kDa,280 kDa

false

Exposure time: 2min

Key facts

宿主種

Rabbit

クローン性

Polyclonal

アイソタイプ

IgG

キャリアフリー

No

交差種

Mouse, Rat, Human

アプリケーション

ICC/IF, WB, IHC-P

applications

免疫原

The exact immunogen used to generate this antibody is proprietary information.

Reactivity data

{ "title": "Reactivity Data", "filters": { "stats": ["", "Species", "Dilution Info", "Notes"], "tabs": { "all-applications": {"fullname" : "All Applications", "shortname": "All Applications"}, "IHCP" : {"fullname" : "Immunohistochemistry (Formalin/PFA-fixed paraffin-embedded sections)", "shortname":"IHC-P"}, "ICCIF" : {"fullname" : "Immunocytochemistry/ Immunofluorescence", "shortname":"ICC/IF"}, "WB" : {"fullname" : "Western blot", "shortname":"WB"} }, "product-promise": { "all": "all", "testedAndGuaranteed": "tested", "guaranteed": "expected", "predicted": "predicted", "notRecommended": "not-recommended" } }, "values": { "Human": { "IHCP-species-checked": "predicted", "IHCP-species-dilution-info": "", "IHCP-species-notes": "", "ICCIF-species-checked": "guaranteed", "ICCIF-species-dilution-info": "", "ICCIF-species-notes": "<p></p>", "WB-species-checked": "guaranteed", "WB-species-dilution-info": "", "WB-species-notes": "<p></p>" }, "Mouse": { "IHCP-species-checked": "testedAndGuaranteed", "IHCP-species-dilution-info": "1 µg/mL", "IHCP-species-notes": "<p></p> Perform heat-mediated antigen retrieval before commencing with IHC staining protocol.", "ICCIF-species-checked": "guaranteed", "ICCIF-species-dilution-info": "", "ICCIF-species-notes": "<p></p>", "WB-species-checked": "testedAndGuaranteed", "WB-species-dilution-info": "", "WB-species-notes": "<p></p>" }, "Rat": { "IHCP-species-checked": "guaranteed", "IHCP-species-dilution-info": "1 µg/mL", "IHCP-species-notes": "<p></p> Perform heat-mediated antigen retrieval before commencing with IHC staining protocol.", "ICCIF-species-checked": "testedAndGuaranteed", "ICCIF-species-dilution-info": "1/1000", "ICCIF-species-notes": "<p></p>", "WB-species-checked": "testedAndGuaranteed", "WB-species-dilution-info": "", "WB-species-notes": "<p></p>" }, "Cat": { "IHCP-species-checked": "predicted", "IHCP-species-dilution-info": "", "IHCP-species-notes": "", "ICCIF-species-checked": "predicted", "ICCIF-species-dilution-info": "", "ICCIF-species-notes": "", "WB-species-checked": "predicted", "WB-species-dilution-info": "", "WB-species-notes": "" }, "Goat": { "IHCP-species-checked": "predicted", "IHCP-species-dilution-info": "", "IHCP-species-notes": "", "ICCIF-species-checked": "predicted", "ICCIF-species-dilution-info": "", "ICCIF-species-notes": "", "WB-species-checked": "predicted", "WB-species-dilution-info": "", "WB-species-notes": "" }, "Lizard": { "IHCP-species-checked": "predicted", "IHCP-species-dilution-info": "", "IHCP-species-notes": "", "ICCIF-species-checked": "predicted", "ICCIF-species-dilution-info": "", "ICCIF-species-notes": "", "WB-species-checked": "predicted", "WB-species-dilution-info": "", "WB-species-notes": "" } } }

製品の詳細

Find all reagents to label mature neurons in our "Mature neuron markers guide".

Browse our curated portfolio of extensively validated antibodies and assays, with antibodies to over 90% of key targets in major glioblastoma pathways– including EGF, VEGF, MAPK, Wnt, NFKB, and PI3K/AkT/MTOR – all in one place.

Product Specifications
Anti-MAP2 antibody - Neuronal Marker (ab32454) is a rabbit polyclonal antibody and is validated for use in ICC/IF, IHC-P, WB in human, mouse, rat samples.
Anti-MAP2 antibody - Neuronal Marker (ab32454) specifically detects MAP2 (UniProt ID: P15146; Molecular weight: 202kDa) and is sold in 100 µg selling sizes.

Quality and Validation
Abcam's high quality validation processes ensure Anti-MAP2 antibody - Neuronal Marker (ab32454) has high sensitivity and specificity.
Anti-MAP2 antibody - Neuronal Marker (ab32454) has been cited over 294 times in peer reviewed journals and is trusted by the scientific community.
Anti-MAP2 antibody - Neuronal Marker (ab32454) has 35 independent reviews from customers.

出荷温度及び保存条件

製品の状態
Liquid
精製方法
Affinity purification Immunogen
バッファー組成
pH: 7.4 Preservative: 0.02% Sodium azide Constituents: PBS, 1% BSA
出荷温度
Blue Ice
短期保存期間
1-2 weeks
短期保存温度
+4°C
長期保存温度
-20°C
分注に関する情報
Upon delivery aliquot
保管に関する情報
Avoid freeze / thaw cycle

製品プロトコール

For this product, it's our understanding that no specific protocols are required. You can visit:

ターゲットの情報

The exact function of MAP2 is unknown but MAPs may stabilize the microtubules against depolymerization. They also seem to have a stiffening effect on microtubules.
See full target information MAP2

文献 (407)

Recent publications for all applications. Explore the full list and refine your search

Nature communications 16:8684 PubMed41028750

2025

Metal-organic polyhedra maintain the self-renewal of embryonic stem cells.

Applications

Unspecified application

Species

Unspecified reactive species

Ran Wang,Yilin Qi,Jinjin Liu,Yang Li,Hongde An,Heping Wang,Jie Song,Wenzhuo Hu,Shaochun Wu,Leqian Yu,Yao Chen,Xue Xue

Scientific reports 15:33150 PubMed41006496

2025

Neonatal sevoflurane exposure enhances stress-related neurological susceptibility via NKCC1 modulation.

Applications

Unspecified application

Species

Unspecified reactive species

Bi-Ying Yuan,Li-Hui Shan,Jiang Zou,Xiao-Hai Xie,Jia-Qi Gan,Ben-Zhen Chen

Chinese medicine 20:144 PubMed40973940

2025

Buyang Huanwu Decoction enhances hippocampal-cortical connectivity remodeling via sonic hedgehog signaling to ameliorate memory dysfunction in cerebral ischemic rats.

Applications

Unspecified application

Species

Unspecified reactive species

Yun Lu,Ziyue Lin,Hanyu Wang,Yuming Zhuang,Jingting Jia,Yuxuan Wang,Le Yang,Manzhong Li,Mingcong Li,Binbin Nie,Rui Zhang,Xu Pan,Jianfeng Lei,Haiyan Zou,Hui Zhao

NPJ Parkinson's disease 11:242 PubMed40804075

2025

Early synaptic changes and reduced brain connectivity in PD-like mice with depressive phenotype.

Applications

Unspecified application

Species

Unspecified reactive species

Lluis Miquel-Rio,Judith Jericó-Escolar,Unai Sarriés-Serrano,Claudia Yanes-Castilla,María Torres-López,Uxia Argibay,Verónica Paz,Carme Casal,Emma Muñoz-Moreno,Xavier López-Gil,Analia Bortolozzi

Scientific reports 15:29631 PubMed40804068

2025

Mechanodynamic brain on chip for studying human stem cell derived neuronal networks.

Applications

Unspecified application

Species

Unspecified reactive species

Gulden Akcay,Regina Luttge

Imaging neuroscience (Cambridge, Mass.) 2: PubMed40800453

2025

Isoflurane titration improves detection of hippocampal lactate by H-MRS.

Applications

Unspecified application

Species

Unspecified reactive species

Ariel K Frame,Reza Khazaee,Marc Courchesne,Scott K Wilson,Miranda Bellyou,Alex X Li,Robert Bartha,Robert C Cumming

Nature communications 16:6241 PubMed40624080

2025

Vesicle-associated membrane protein 5 is an intrinsic defense factor for embryonic stem cells against coronaviruses.

Applications

Unspecified application

Species

Unspecified reactive species

Huijun Dong,Zihang Pan,Pengtao Jiao,Fei Ye,Qi Peng,Yanying Yu,Xinyuan Lai,Huan Li,Zhao Guan,Juan Deng,Tao Shen,Wenjie Tan,Yi Shi,Qiang Ding,Jianyuan Luo,Tong Li,Hui Zhuang,Kuanhui Xiang

Frontiers in neuroanatomy 19:1607396 PubMed40585892

2025

Potential for flexible lactate shuttling between astrocytes and neurons to mitigate against diving-induced hypoxia.

Applications

Unspecified application

Species

Unspecified reactive species

Chiara Ciccone,Sari Elena Dötterer,Sigrid Vold Jensen,Cornelia Geßner,Alexander C West,Shona H Wood,David G Hazlerigg,Lars P Folkow

Nature communications 16:5394 PubMed40562749

2025

ETMR stem-like state and chemo-resistance are supported by perivascular cells at single-cell resolution.

Applications

Unspecified application

Species

Unspecified reactive species

Flavia W de Faria,Nicole C Riedel,Daniel Münter,Marta Interlandi,Carolin Göbel,Lea Altendorf,Mathis Richter,Viktoria Melcher,Christian Thomas,Rajanya Roy,Melanie Schoof,Ivan Bedzhov,Natalia Moreno,Monika Graf,Marc Hotfilder,Dörthe Holdhof,Wolfgang Hartmann,Ann-Katrin Bruns,Angela Brentrup,Friederike Liesche-Starnecker,Bruno Maerkl,Sarah Sandmann,Julian Varghese,Martin Dugas,Pedro H Pinto,Sebastian T Balbach,I-Na Lu,Claudia Rossig,Oliver Soehnlein,Aysegül Canak,Martin Ebinger,Martin Schuhmann,Jens Schittenhelm,Michael F Frühwald,Ulrich Schüller,Thomas K Albert,Carolin Walter,Jan M Bruder,Kornelius Kerl

Nucleic acids research 53: PubMed40548942

2025

The lincRNA Pantr1 is a FOXG1 target gene conferring site-specific chromatin binding of FOXG1.

Applications

Unspecified application

Species

Unspecified reactive species

Fabian Gather,Tudor Rauleac,Ipek Akol,Ganeshkumar Arumugam,Camila L Fullio,Teresa Müller,Dimitrios Kleidonas,Ruth Geiss-Friedlander,Andre Fischer,Andreas Vlachos,Rolf Backofen,Tanja Vogel
View all publications

Abcam product promise

当社は、高品質な試薬を通じてお客様の研究を力強くサポートすることをお約束いたします。ご使用いただく各段階で、常にお客様をサポートできる体制を整えております。万が一、製品が期待通りに機能しない場合は、「Abcam Product Promise」による当社保証制度に基づき、安心してご利用いただけます。
保証に関する詳細については利用規約をご確認ください。

Please note: All products are 'FOR RESEARCH USE ONLY. NOT FOR USE IN DIAGNOSTIC OR THERAPEUTIC PROCEDURES'.

For licensing inquiries, please contact partnerships@abcam.com