JavaScript is disabled in your browser. Please enable JavaScript to view this website.
AB302488

Anti-MAP2 抗体 [EPR19691] - Goat IgG (Chimeric) - BSA and Azide free

Anti-MAP2 antibody [EPR19691] - Goat IgG (Chimeric) - BSA and Azide free

Be the first to review this product! Submit a review

|

(0 Publication)

Goat Recombinant Monoclonal MAP2 antibody. Carrier free. Suitable for IHC-P, ICC/IF and reacts with Human, Mouse, Rat samples.

別名を表示する

Microtubule-associated protein 2, MAP-2, MAP2

9 Images
Immunohistochemistry (Formalin/PFA-fixed paraffin-embedded sections) - Anti-MAP2 antibody [EPR19691] - Goat IgG (Chimeric) - BSA and Azide free (AB302488)
  • IHC-P

Supplier Data

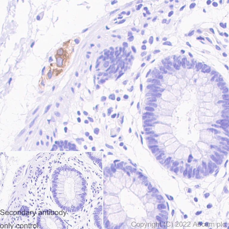
Immunohistochemistry (Formalin/PFA-fixed paraffin-embedded sections) - Anti-MAP2 antibody [EPR19691] - Goat IgG (Chimeric) - BSA and Azide free (AB302488)

This data was developed using ab302487, the same antibody clone in a different buffer formulation. Immunohistochemical analysis of paraffin-embedded Human colon tissue labeling MAP2 with ab302487 at 1/1000 (1.004 ug/ml) followed by a Donkey Anti-Goat IgG H&L (HRP) (ab205723) at 1 : 2000 dilution. Positive staining on ganglion in the human colon. The section was incubated with ab302487 for 30 mins at room temperature.The immunostaining was performed on a Leica Biosystems BOND® RX instrument Counterstained with Hematoxylin. Secondary antibody only control : Secondary antibody is Donkey Anti-Goat IgG H&L (HRP) (ab205723) at 1 : 2000 dilution.Heat mediated antigen retrieval with Citrate buffer (pH 6.0, epitope retrieval solution 1) for 20 mins

Immunohistochemistry (Formalin/PFA-fixed paraffin-embedded sections) - Anti-MAP2 antibody [EPR19691] - Goat IgG (Chimeric) - BSA and Azide free (AB302488)
  • IHC-P

Supplier Data

Immunohistochemistry (Formalin/PFA-fixed paraffin-embedded sections) - Anti-MAP2 antibody [EPR19691] - Goat IgG (Chimeric) - BSA and Azide free (AB302488)

This data was developed using ab302487 , the same antibody clone in a different buffer formulation. Immunohistochemical analysis of paraffin-embedded Human cerebrum tissue labeling MAP2 with ab302487 at 1/1000 (1.004 ug/ml) followed by a Donkey Anti-Goat IgG H&L (HRP) (ab205723) at 1 : 2000 dilution. Positive staining on human cerebrum. The section was incubated with ab302487 for 30 mins at room temperature.The immunostaining was performed on a Leica Biosystems BOND® RX instrument Counterstained with Hematoxylin. Secondary antibody only control : Secondary antibody is Donkey Anti-Goat IgG H&L (HRP) (ab205723) at 1 : 2000 dilution.Heat mediated antigen retrieval with Citrate buffer (pH 6.0, epitope retrieval solution 1) for 20 mins

Immunohistochemistry (Formalin/PFA-fixed paraffin-embedded sections) - Anti-MAP2 antibody [EPR19691] - Goat IgG (Chimeric) - BSA and Azide free (AB302488)
  • IHC-P

Supplier Data

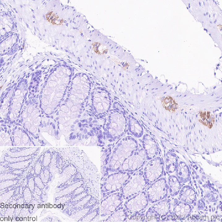
Immunohistochemistry (Formalin/PFA-fixed paraffin-embedded sections) - Anti-MAP2 antibody [EPR19691] - Goat IgG (Chimeric) - BSA and Azide free (AB302488)

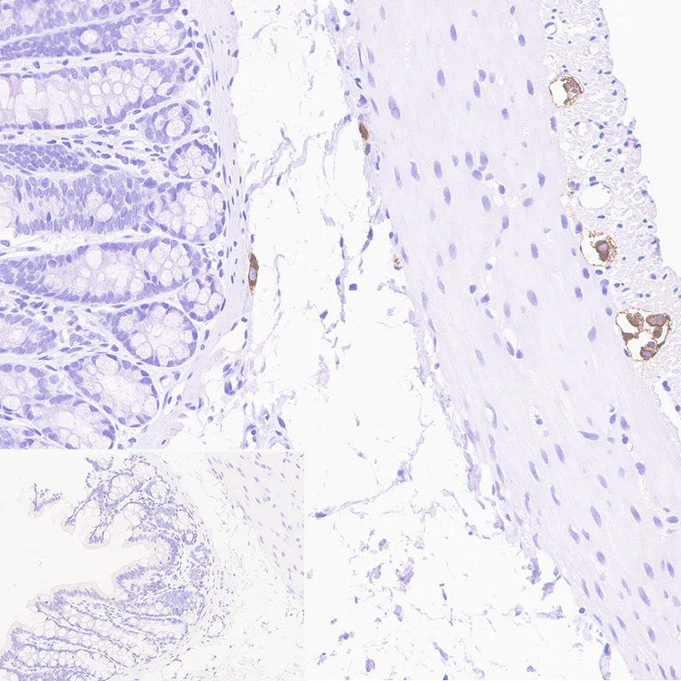
This data was developed using ab302487, the same antibody clone in a different buffer formulation. Immunohistochemical analysis of paraffin-embedded Rat colon tissue labeling MAP2 with ab302487 at 1/1000 (1.004 ug/ml) followed by a Donkey Anti-Goat IgG H&L (HRP) (ab205723) at 1 : 2000 dilution. Positive staining on ganglion in the rat colon. The section was incubated with ab302487 for 30 mins at room temperature.The immunostaining was performed on a Leica Biosystems BOND® RX instrument Counterstained with Hematoxylin. Secondary antibody only control : Secondary antibody is Donkey Anti-Goat IgG H&L (HRP) (ab205723) at 1 : 2000 dilution.Heat mediated antigen retrieval with Citrate buffer (pH 6.0, epitope retrieval solution 1) for 20 mins

Immunocytochemistry/ Immunofluorescence - Anti-MAP2 antibody [EPR19691] - Goat IgG (Chimeric) - BSA and Azide free (AB302488)
  • ICC/IF

Supplier Data

Immunocytochemistry/ Immunofluorescence - Anti-MAP2 antibody [EPR19691] - Goat IgG (Chimeric) - BSA and Azide free (AB302488)

This data was developed using ab302487, the same antibody clone in a different buffer formulation. Immunofluorescent analysis of 4% Paraformaldehyde-fixed, 0.1% TritonX-100 permeabilized rat primary neural/glia cells labeling MAP2 with ab302487 at 1/100 dilution (10.04 μg/ml), followed by ab150129 Donkey Anti-Goat IgG H&L (Alexa Fluor® 488) antibody at 1/1000 dilution (2 μg/mL) (Green). Confocal image showing cytoplasmic staining in rat primary neuron. Confocal scanning Z step was set as 0.3 μm followed by image processing with maximum Z projection. ab183830 Anti-MAP2 rabbit monoclonal antibody was used to counterstain tubulin at 1/1000 dilution (1 μg/mL) (Red). The Nuclear counterstain was DAPI (Blue). The negative controls are as follows : -ve control 1 : ab302487 was used as primary antibody at 1/100 dilution, followed by ab150080 at 1/1000 dilution (2 μg/mL).  -ve control 2 : ab183830 at 1/200 dilution (10 μg/mL) was used as a primary antibody, followed by ab150129 at 1/1000 (2 μg/mL).

Immunohistochemistry (Formalin/PFA-fixed paraffin-embedded sections) - Anti-MAP2 antibody [EPR19691] - Goat IgG (Chimeric) - BSA and Azide free (AB302488)
  • IHC-P

Supplier Data

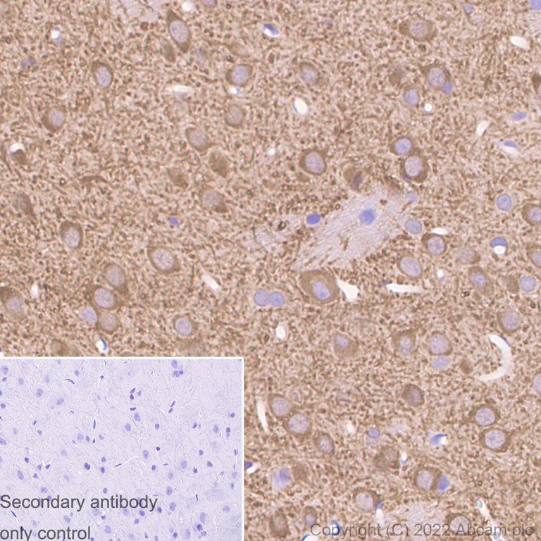
Immunohistochemistry (Formalin/PFA-fixed paraffin-embedded sections) - Anti-MAP2 antibody [EPR19691] - Goat IgG (Chimeric) - BSA and Azide free (AB302488)

This data was developed using ab302487, the same antibody clone in a different buffer formulation. Immunohistochemical analysis of paraffin-embedded Rat cerebrum tissue labeling MAP2 with ab302487 at 1/1000 (1.004 ug/ml) followed by a Donkey Anti-Goat IgG H&L (HRP) (ab205723) at 1 : 2000 dilution. Positive staining on rat cerebrum. The section was incubated with ab302487 for 30 mins at room temperature.The immunostaining was performed on a Leica Biosystems BOND® RX instrument Counterstained with Hematoxylin. Secondary antibody only control : Secondary antibody is Donkey Anti-Goat IgG H&L (HRP) (ab205723) at 1 : 2000 dilution.Heat mediated antigen retrieval with Citrate buffer (pH 6.0, epitope retrieval solution 1) for 20 mins

Immunocytochemistry/ Immunofluorescence - Anti-MAP2 antibody [EPR19691] - Goat IgG (Chimeric) - BSA and Azide free (AB302488)
  • ICC/IF

Lab

Immunocytochemistry/ Immunofluorescence - Anti-MAP2 antibody [EPR19691] - Goat IgG (Chimeric) - BSA and Azide free (AB302488)

Composite multiplex immunofluorescence staining of ab302487, ab309493 and ab254351 staining MAP2, Synaptophysin and SV2A in Mouse Primary Neurons DIV14 cells. The cells were fixed with 4% paraformaldehyde (10 min), permeabilized with 0.1% PBS-Triton X-100 for 5 minutes and then blocked with 1% BSA/10% normal donkey serum/0.3M glycine in 0.1%PBS-Tween for 1h. The cells were then incubated overnight at 4°C with ab289874 (shown in yellow), ab309493 (shown in green) and ab254351 (shown in magenta) at 5µg/ml. Cells were then incubated with ab150136 Donkey Anti-Goat IgG H&L (Alexa Fluor® 594) preadsorbed, ab150111 Donkey Anti-Mouse IgG H&L (Alexa Fluor® 647) preadsorbed and ab150061 Donkey Anti-Rabbit IgG H&L (Alexa Fluor® 488) preadsorbed at 1/1000 dilution. Nuclear DNA was labelled with DAPI (shown in blue).

Image was acquired with a high-content analyser (Operetta CLS, Perkin Elmer) and a maximum intensity projection of confocal sections is shown.

Immunohistochemistry (Formalin/PFA-fixed paraffin-embedded sections) - Anti-MAP2 antibody [EPR19691] - Goat IgG (Chimeric) - BSA and Azide free (AB302488)
  • IHC-P

Supplier Data

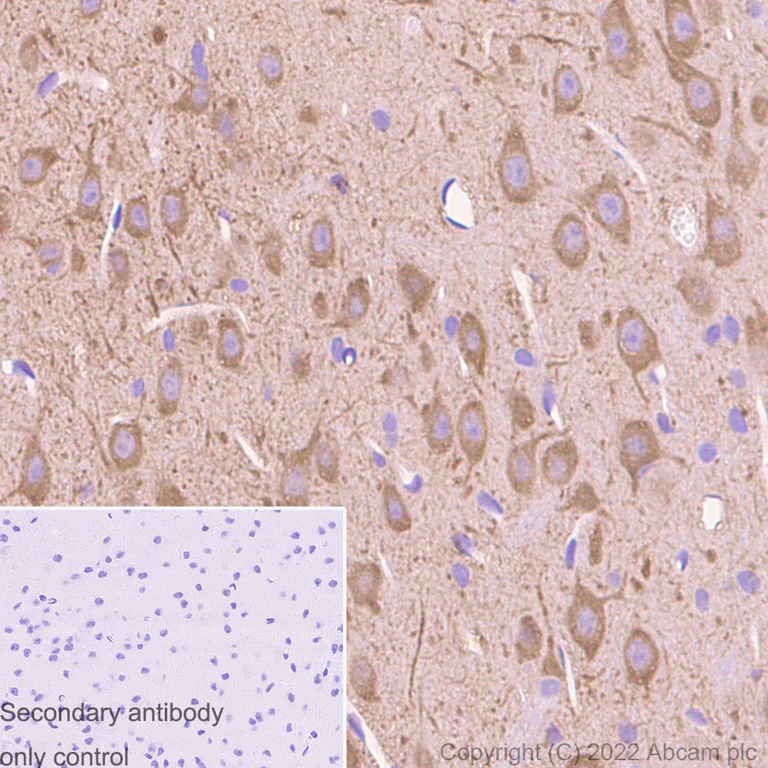
Immunohistochemistry (Formalin/PFA-fixed paraffin-embedded sections) - Anti-MAP2 antibody [EPR19691] - Goat IgG (Chimeric) - BSA and Azide free (AB302488)

This data was developed using ab302487, the same antibody clone in a different buffer formulation. Immunohistochemical analysis of paraffin-embedded Mouse cerebrum tissue labeling MAP2 with ab302487 at 1/1000 (1.004 ug/ml) followed by a ready to use . Secondary antibody : Donkey Anti-Goat IgG H&L (HRP) (ab205723).Positive staining on mouse cerebrum. The section was incubated with ab302487 for 30 mins at room temperature.The immunostaining was performed on a Leica Biosystems BOND® RX instrument Counterstained with Hematoxylin. Secondary antibody only control : Secondary antibody is a ready to use .Heat mediated antigen retrieval with Citrate buffer (pH 6.0, epitope retrieval solution 1) for 20 mins

Immunohistochemistry (Formalin/PFA-fixed paraffin-embedded sections) - Anti-MAP2 antibody [EPR19691] - Goat IgG (Chimeric) - BSA and Azide free (AB302488)
  • IHC-P

Supplier Data

Immunohistochemistry (Formalin/PFA-fixed paraffin-embedded sections) - Anti-MAP2 antibody [EPR19691] - Goat IgG (Chimeric) - BSA and Azide free (AB302488)

This data was developed using ab302487, the same antibody clone in a different buffer formulation. Immunohistochemical analysis of paraffin-embedded Mouse colon tissue labeling MAP2 with ab302487 at 1/1000 (1.004 ug/ml) followed by a Donkey Anti-Goat IgG H&L (HRP) (ab205723) at 1 : 2000 dilution. Positive staining on ganglion in the mouse colon. The section was incubated with ab302487 for 30 mins at room temperature.The immunostaining was performed on a Leica Biosystems BOND® RX instrument Counterstained with Hematoxylin. Secondary antibody only control : Secondary antibody is Donkey Anti-Goat IgG H&L (HRP) (ab205723) at 1 : 2000 dilution.Heat mediated antigen retrieval with Citrate buffer (pH 6.0, epitope retrieval solution 1) for 20 mins

Immunocytochemistry/ Immunofluorescence - Anti-MAP2 antibody [EPR19691] - Goat IgG (Chimeric) - BSA and Azide free (AB302488)
  • ICC/IF

Supplier Data

Immunocytochemistry/ Immunofluorescence - Anti-MAP2 antibody [EPR19691] - Goat IgG (Chimeric) - BSA and Azide free (AB302488)

This data was developed using ab302487, the same antibody clone in a different buffer formulation. Immunofluorescent analysis of 4% Paraformaldehyde-fixed, 0.1% TritonX-100 permeabilized mouse primary neural/glia cells labeling MAP2 with ab302487 at 1/100 dilution (10.04 μg/ml), followed by ab150129 Donkey Anti-Goat IgG H&L (Alexa Fluor® 488) antibody at 1/1000 dilution (2 μg/mL) (Green). Confocal image showing cytoplasmic staining in mouse primary neuron. Confocal scanning Z step was set as 0.3 μm followed by image processing with maximum Z projection. ab183830 Anti-MAP2 rabbit monoclonal antibody was used to counterstain tubulin at 1/1000 dilution (1 μg/mL) (Red). The Nuclear counterstain was DAPI (Blue). The negative controls are as follows : -ve control 1 : ab302487 was used as primary antibody at 1/100 dilution, followed by an150080 at 1/1000 dilution (2 μg/mL).  -ve control 2 : ab183830 at 1/200 dilution (10 μg/mL) was used as a primary antibody, followed by ab150129 at 1/1000 (2 μg/mL).

関連する標識済み抗体及び組成の異なる製品 (2)

  • Carrier free

    Anti-MAP2 antibody [EPR19691] – Chicken IgY (Chimeric) – BSA and Azide Free

  • Unconjugated

    Anti-MAP2 antibody [EPR19691] - Neuronal Marker - Goat IgG (Chimeric)

Key facts

宿主種

Goat

クローン性

Monoclonal

クローン番号

EPR19691

アイソタイプ

IgG

キャリアフリー

Yes

交差種

Human, Mouse, Rat

アプリケーション

ICC/IF, IHC-P

applications

免疫原

The exact immunogen used to generate this antibody is proprietary information.

Reactivity data

{ "title": "Reactivity Data", "filters": { "stats": ["", "Species", "Dilution Info", "Notes"], "tabs": { "all-applications": {"fullname" : "All Applications", "shortname": "All Applications"}, "IHCP" : {"fullname" : "Immunohistochemistry (Formalin/PFA-fixed paraffin-embedded sections)", "shortname":"IHC-P"}, "ICCIF" : {"fullname" : "Immunocytochemistry/ Immunofluorescence", "shortname":"ICC/IF"} }, "product-promise": { "all": "all", "testedAndGuaranteed": "tested", "guaranteed": "expected", "predicted": "predicted", "notRecommended": "not-recommended" } }, "values": { "Human": { "IHCP-species-checked": "testedAndGuaranteed", "IHCP-species-dilution-info": "", "IHCP-species-notes": "<p></p>", "ICCIF-species-checked": "guaranteed", "ICCIF-species-dilution-info": "", "ICCIF-species-notes": "" }, "Mouse": { "IHCP-species-checked": "testedAndGuaranteed", "IHCP-species-dilution-info": "", "IHCP-species-notes": "<p></p>", "ICCIF-species-checked": "testedAndGuaranteed", "ICCIF-species-dilution-info": "", "ICCIF-species-notes": "<p></p>" }, "Rat": { "IHCP-species-checked": "testedAndGuaranteed", "IHCP-species-dilution-info": "", "IHCP-species-notes": "<p></p>", "ICCIF-species-checked": "testedAndGuaranteed", "ICCIF-species-dilution-info": "", "ICCIF-species-notes": "<p></p>" } } }

製品の詳細

ab302488 is a carrier free version of ab302487.

This goat monoclonal chimeric antibody has been engineered from RabMab parent antibody (ab183830). By necessity, some rabbit sequence is retained as part of the variable domain. When multiplexing with other rabbit-derived antibodies, using across absorbed Fc-reactive secondary antibodies are recommended.

What are the advantages of a recombinant monoclonal antibody?
This product is a recombinant monoclonal antibody, which offers several advantages including:

  • - High batch-to-batch consistency and reproducibility
  • - Improved sensitivity and specificity
  • - Long-term security of supply
  • - Animal-free batch production

For more information, read more on recombinant antibodies.

Conjugation ready
Our carrier-free antibodies are typically supplied in a PBS-only formulation, purified and free of BSA, sodium azide and glycerol. This conjugation-ready format is designed for use with fluorochromes, metal isotopes, oligonucleotides, and enzymes, which makes them ideal for antibody labelling, functional and cell-based assays, flow-based assays (e.g. mass cytometry) and Multiplex Imaging applications.

Use our conjugation kits for antibody conjugates that are ready-to-use in as little as 20 minutes with 1 minute hands-on-time and 100% antibody recovery: available for fluorescent dyes, HRP, biotin and gold.

Compatibility
This product is compatible with the Maxpar® Antibody Labeling Kit from Fluidigm, without the need for antibody preparation. Maxpar® is a trademark of Fluidigm Canada Inc.

Want a custom formulation?
This antibody clone is manufactured by Abcam. If you require a custom buffer formulation or conjugation for your experiments, please contact orders@abcam.com

出荷温度及び保存条件

製品の状態
Liquid
精製方法
Ion exchange chromatography
バッファー組成
pH: 7.2 - 7.4 Constituents: PBS
出荷温度
Blue Ice
短期保存温度
+4°C
長期保存温度
+4°C
保管に関する情報
Do Not Freeze

製品プロトコール

For this product, it's our understanding that no specific protocols are required. You can visit:

ターゲットの情報

The exact function of MAP2 is unknown but MAPs may stabilize the microtubules against depolymerization. They also seem to have a stiffening effect on microtubules.
See full target information MAP2

Abcam product promise

当社は、高品質な試薬を通じてお客様の研究を力強くサポートすることをお約束いたします。ご使用いただく各段階で、常にお客様をサポートできる体制を整えております。万が一、製品が期待通りに機能しない場合は、「Abcam Product Promise」による当社保証制度に基づき、安心してご利用いただけます。
保証に関する詳細については利用規約をご確認ください。

Please note: All products are 'FOR RESEARCH USE ONLY. NOT FOR USE IN DIAGNOSTIC OR THERAPEUTIC PROCEDURES'.

For licensing inquiries, please contact partnerships@abcam.com