JavaScript is disabled in your browser. Please enable JavaScript to view this website.
AB9829

Anti-Macrophage Inflammatory Protein 3 alpha 抗体

Anti-Macrophage Inflammatory Protein 3 alpha antibody

4

(3 Reviews)

|

(48 Publications)

Anti-Macrophage Inflammatory Protein 3 alpha antibody (ab9829) is a rabbit polyclonal antibody detecting Macrophage Inflammatory Protein 3 alpha in Western Blot, IHC-P, ICC/IF, ELISA, Neut. Suitable for Human, Mouse, Rat.

- Over 40 publications
- Trusted since 2002

別名を表示する

LARC, MIP3A, SCYA20, CCL20, C-C motif chemokine 20, Beta-chemokine exodus-1, CC chemokine LARC, Liver and activation-regulated chemokine, Macrophage inflammatory protein 3 alpha, Small-inducible cytokine A20, MIP-3-alpha

3 Images
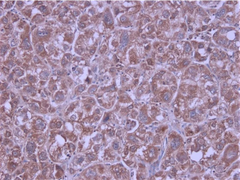
Immunohistochemistry (Formalin/PFA-fixed paraffin-embedded sections) - Anti-Macrophage Inflammatory Protein 3 alpha antibody (AB9829)
  • IHC-P

Supplier Data

Immunohistochemistry (Formalin/PFA-fixed paraffin-embedded sections) - Anti-Macrophage Inflammatory Protein 3 alpha antibody (AB9829)

Immunohistochemistry (Formalin/PFA-fixed paraffin-embedded sections) analysis of human hepatocellular carcinoma tissue labelling Macrophage Inflammatory Protein 3 alpha with ab9829 at 4 μg/mL (45 minute incubation at room temperature). Heat mediated antigen retrieval was performed using a buffer at pH 6. An HRP-labeled polymer detection system was used with a DAB chromogen.

Immunohistochemistry (Formalin/PFA-fixed paraffin-embedded sections) - Anti-Macrophage Inflammatory Protein 3 alpha antibody (AB9829)
  • IHC-P

Supplier Data

Immunohistochemistry (Formalin/PFA-fixed paraffin-embedded sections) - Anti-Macrophage Inflammatory Protein 3 alpha antibody (AB9829)

Immunohistochemistry (Formalin/PFA-fixed paraffin-embedded sections) analysis of human colon cancer tissue labelling Macrophage Inflammatory Protein 3 alpha with ab9829 at 4 μg/mL (45 minute incubation at room temperature). Heat mediated antigen retrieval was performed using a buffer at pH 6. An HRP-labeled polymer detection system was used with a DAB chromogen.

Sandwich ELISA - Anti-Macrophage Inflammatory Protein 3 alpha antibody (AB9829)
  • sELISA

Unknown

Sandwich ELISA - Anti-Macrophage Inflammatory Protein 3 alpha antibody (AB9829)

ab9829 detecting Macrophage Inflammatory Protein 3 alpha using sandwich ELISA

Key facts

宿主種

Rabbit

クローン性

Polyclonal

アイソタイプ

IgG

軽鎖のタイプ

unknown

キャリアフリー

No

交差種

Human, Mouse, Rat

アプリケーション

ICC/IF, ELISA, sELISA, IHC-FoFr, WB, IHC-P, ICC

applications

免疫原

Recombinant Full Length Protein corresponding to Human CCL20.

P78556

Reactivity data

{ "title": "Reactivity Data", "filters": { "stats": ["", "Species", "Dilution Info", "Notes"], "tabs": { "all-applications": {"fullname" : "All Applications", "shortname": "All Applications"}, "IHCP" : {"fullname" : "Immunohistochemistry (Formalin/PFA-fixed paraffin-embedded sections)", "shortname":"IHC-P"}, "ICC" : {"fullname" : "Immunocytochemistry", "shortname":"ICC"}, "ELISA" : {"fullname" : "ELISA", "shortname":"ELISA"}, "WB" : {"fullname" : "Western blot", "shortname":"WB"}, "sELISA" : {"fullname" : "Sandwich ELISA", "shortname":"sELISA"}, "IHCFoFr" : {"fullname" : "Immunohistochemistry (PFA perfusion fixed frozen sections)", "shortname":"IHC-FoFr"}, "ICCIF" : {"fullname" : "Immunocytochemistry/ Immunofluorescence", "shortname":"ICC/IF"} }, "product-promise": { "all": "all", "testedAndGuaranteed": "tested", "guaranteed": "expected", "predicted": "predicted", "notRecommended": "not-recommended" } }, "values": { "Human": { "IHCP-species-checked": "testedAndGuaranteed", "IHCP-species-dilution-info": "4 µg/mL", "IHCP-species-notes": "<p></p> Perform heat-mediated antigen retrieval before commencing with IHC staining protocol.", "ICC-species-checked": "guaranteed", "ICC-species-dilution-info": "", "ICC-species-notes": "<p></p>", "ELISA-species-checked": "predicted", "ELISA-species-dilution-info": "", "ELISA-species-notes": "", "WB-species-checked": "guaranteed", "WB-species-dilution-info": "", "WB-species-notes": "<p>To detect hMIP-3-alpha by Western Blot analysis this antibody can be used at a concentration of 0.1 - 0.2 ug/ml. Used in conjunction with compatible secondary reagents the detection limit for recombinant hMIP-3-alpha is 1.5 - 3.0 ng/lane, under either reducing or non-reducing conditions.</p>", "sELISA-species-checked": "guaranteed", "sELISA-species-dilution-info": "", "sELISA-species-notes": "", "IHCFoFr-species-checked": "guaranteed", "IHCFoFr-species-dilution-info": "", "IHCFoFr-species-notes": "<p></p>", "ICCIF-species-checked": "guaranteed", "ICCIF-species-dilution-info": "", "ICCIF-species-notes": "<p></p>" }, "Mouse": { "IHCP-species-checked": "predicted", "IHCP-species-dilution-info": "", "IHCP-species-notes": "", "ICC-species-checked": "guaranteed", "ICC-species-dilution-info": "", "ICC-species-notes": "<p></p>", "ELISA-species-checked": "predicted", "ELISA-species-dilution-info": "", "ELISA-species-notes": "", "WB-species-checked": "guaranteed", "WB-species-dilution-info": "", "WB-species-notes": "<p>To detect hMIP-3-alpha by Western Blot analysis this antibody can be used at a concentration of 0.1 - 0.2 ug/ml. Used in conjunction with compatible secondary reagents the detection limit for recombinant hMIP-3-alpha is 1.5 - 3.0 ng/lane, under either reducing or non-reducing conditions.</p>", "sELISA-species-checked": "predicted", "sELISA-species-dilution-info": "", "sELISA-species-notes": "", "IHCFoFr-species-checked": "guaranteed", "IHCFoFr-species-dilution-info": "", "IHCFoFr-species-notes": "<p></p>", "ICCIF-species-checked": "guaranteed", "ICCIF-species-dilution-info": "", "ICCIF-species-notes": "<p></p>" }, "Rat": { "IHCP-species-checked": "predicted", "IHCP-species-dilution-info": "", "IHCP-species-notes": "", "ICC-species-checked": "guaranteed", "ICC-species-dilution-info": "", "ICC-species-notes": "<p></p>", "ELISA-species-checked": "predicted", "ELISA-species-dilution-info": "", "ELISA-species-notes": "", "WB-species-checked": "guaranteed", "WB-species-dilution-info": "", "WB-species-notes": "<p>To detect hMIP-3-alpha by Western Blot analysis this antibody can be used at a concentration of 0.1 - 0.2 ug/ml. Used in conjunction with compatible secondary reagents the detection limit for recombinant hMIP-3-alpha is 1.5 - 3.0 ng/lane, under either reducing or non-reducing conditions.</p>", "sELISA-species-checked": "predicted", "sELISA-species-dilution-info": "", "sELISA-species-notes": "", "IHCFoFr-species-checked": "guaranteed", "IHCFoFr-species-dilution-info": "", "IHCFoFr-species-notes": "<p></p>", "ICCIF-species-checked": "guaranteed", "ICCIF-species-dilution-info": "", "ICCIF-species-notes": "<p></p>" }, "Recombinant full length protein - Human": { "IHCP-species-checked": "notRecommended", "IHCP-species-dilution-info": "", "IHCP-species-notes": "", "ICC-species-checked": "notRecommended", "ICC-species-dilution-info": "", "ICC-species-notes": "", "ELISA-species-checked": "guaranteed", "ELISA-species-dilution-info": "", "ELISA-species-notes": "<p>To detect hMIP-3-alpha by direct ELISA (using 100ul/well antibody solution) a concentration of at least 0.5ug/ml of this antibody is required. This antigen affinity purified antibody, in conjunction with compatible secondary reagents, allows the detection of 0.2 - 0.4 ng/well of recombinant hMIP-3-alpha.</p>", "WB-species-checked": "notRecommended", "WB-species-dilution-info": "", "WB-species-notes": "", "sELISA-species-checked": "testedAndGuaranteed", "sELISA-species-dilution-info": "", "sELISA-species-notes": "<p>To detect Human MIP-3α by sandwich ELISA (using 100 μl/well antibody solution) a concentration of 0.5 - 2.0 μg/ml of this antibody is required. This antigen affinity purified antibody, in conjunction with <a href='/products/primary-antibodies/biotin-macrophage-inflammatory-protein-3-alpha-antibody-ab271284'>ab271284</a> as a detection antibody, allows the detection of at least 0.2 - 0.4 ng/well of recombinant Human MIP-3α.</p>", "IHCFoFr-species-checked": "notRecommended", "IHCFoFr-species-dilution-info": "", "IHCFoFr-species-notes": "", "ICCIF-species-checked": "notRecommended", "ICCIF-species-dilution-info": "", "ICCIF-species-notes": "" } } }

製品の詳細

What is this antibody validated in?
Anti-Macrophage Inflammatory Protein 3 alpha antibody (ab9829) is a rabbit polyclonal antibody and is validated for use in Western Blot (WB), Immunohistochemistry (IHC-P), Immunocytochemistry/immunofluorescence (ICC/IF), ELISA, Neutralising in Human, Mouse, Rat samples.

What is the molecular weight of Macrophage Inflammatory Protein 3 alpha?
Anti-Macrophage Inflammatory Protein 3 alpha (ab9829) specifically detects a band for Macrophage Inflammatory Protein 3 alpha (UniProt: P78556) at a molecular weight of 10kDa.

Trusted by the scientific community
Anti-Macrophage Inflammatory Protein 3 alpha (ab9829) was first used in a scientific publication in 2002 and has been cited over 40 times in peer-reviewed journals.

出荷温度及び保存条件

製品の状態
Lyophilized
再構成
reconstitute with water at 200µL
精製方法
Affinity purification Immunogen
出荷温度
Blue Ice
短期保存温度
+4°C
長期保存温度
-20°C

補足情報

This supplementary information is collated from multiple sources and compiled automatically.

Macrophage Inflammatory Protein 3 alpha (MIP-3 alpha) also known as CCL20 is a chemokine with a molecular mass of approximately 9 kDa. It plays a role in immune response by mediating chemotaxis of lymphocytes and dendritic cells. MIP-3 alpha is mainly expressed in liver lung and lymphoid organs including the lymph nodes and appendix. Its expression can be induced during inflammation in response to signaling molecules like tumor necrosis factor-alpha (TNF-alpha) and interleukin-1 beta (IL-1Β).
Biological function summary

MIP-3 alpha contributes to the immune system by recruiting immune cells to sites of inflammation or injury. It is not part of a larger protein complex. Its main function is binding to the CCR6 receptor on target cells. This interaction mediates the migration and activation of the immune cells critical for initiating the immune response by increasing cell surface adhesion and motility. By drawing immune cells MIP-3 alpha significantly influences the body's capacity to fight infections and regulate inflammatory processes.

Pathways

MIP-3 alpha is integral to the inflammatory response and chemokine signaling pathways. It is involved in the immune system's adaptive response through its interaction with CCR6. This pathway overlaps with other chemokines such as MIP-1 and MIP-2 which also aid in immune cell recruitment. Furthermore MIP-3 alpha’s engagement in these pathways facilitates intercellular communication during immune responses pivotal for maintaining homeostasis and immune surveillance.

MIP-3 alpha has associations with inflammatory diseases like rheumatoid arthritis and inflammatory bowel disease. During these conditions elevated levels of MIP-3 alpha contribute to the recruitment of inflammatory cells which exacerbate symptoms. MIP-3 alpha also connects with other proteins such as TNF-alpha in these disease contexts enhancing inflammation and progression of these disorders. Targeting MIP-3 alpha and its associated pathways may provide therapeutic opportunities for alleviating these chronic inflammatory conditions.

製品プロトコール

For this product, it's our understanding that no specific protocols are required. You can visit:

ターゲットの情報

Acts as a ligand for C-C chemokine receptor CCR6. Signals through binding and activation of CCR6 and induces a strong chemotactic response and mobilization of intracellular calcium ions (PubMed : 11035086, PubMed : 11352563, PubMed : 20068036). The ligand-receptor pair CCL20-CCR6 is responsible for the chemotaxis of dendritic cells (DC), effector/memory T-cells and B-cells and plays an important role at skin and mucosal surfaces under homeostatic and inflammatory conditions, as well as in pathology, including cancer and various autoimmune diseases (PubMed : 21376174). CCL20 acts as a chemotactic factor that attracts lymphocytes and, slightly, neutrophils, but not monocytes (PubMed : 11352563, PubMed : 9038201). Involved in the recruitment of both the pro-inflammatory IL17 producing helper T-cells (Th17) and the regulatory T-cells (Treg) to sites of inflammation. Required for optimal migration of thymic natural regulatory T cells (nTregs) and DN1 early thymocyte progenitor cells (By similarity). C-terminal processed forms have been shown to be equally chemotactically active for leukocytes (PubMed : 11035086). Positively regulates sperm motility and chemotaxis via its binding to CCR6 which triggers Ca2+ mobilization in the sperm which is important for its motility (PubMed : 23765988, PubMed : 25122636). Inhibits proliferation of myeloid progenitors in colony formation assays (PubMed : 9129037). May be involved in formation and function of the mucosal lymphoid tissues by attracting lymphocytes and dendritic cells towards epithelial cells (By similarity). Possesses antibacterial activity towards E.coli ATCC 25922 and S.aureus ATCC 29213 (PubMed : 12149255).
See full target information CCL20

文献 (48)

Recent publications for all applications. Explore the full list and refine your search

Scientific reports 15:21700 PubMed40594761

2025

Development and validation of a basement membrane inflammatory response gene signature in lung adenocarcinoma.

Applications

Unspecified application

Species

Unspecified reactive species

Shilei Liu,Fengchu Liao,Qingming Xie,Sai Zhang,Dehong Tan,Xuesheng Xu,Jianlan Luo,Xujun Liang,Pengfei Zhang

Science advances 11:eadt8697 PubMed40498841

2025

Caspase-1-dependent pyroptosis converts αSMA CAFs into collagen-III iCAFs to fuel chemoresistant cancer stem cells.

Applications

Unspecified application

Species

Unspecified reactive species

Hongbo Gao,Stephen Q R Wong,Ethan Subel,Yung Hsing Huang,Yu-Cheng Lee,Kazukuni Hayashi,Mark Ellie Alonzo,Mustafa Karabicici,Xen Ping Hoi,Armine Kasabyan,Qianxing Mo,Zachary Melchiode,Ziad El-Zaatari,Steven Shen,Raj Satkunasivam,Fotis Nikolos,Keith Syson Chan

Advanced science (Weinheim, Baden-Wurttemberg, Germany) 12:e2408788 PubMed39853961

2025

Galectin-1-Induced Tumor Associated Macrophages Repress Antitumor Immunity in Hepatocellular Carcinoma Through Recruitment of Tregs.

Applications

Unspecified application

Species

Unspecified reactive species

Xizhi Yu,Junjie Qian,Limin Ding,Caixu Pan,Xi Liu,Qinchuan Wu,Shuai Wang,Jianpeng Liu,Mingge Shang,Rong Su,Danjing Guo,Haiyang Xie,Shengyong Yin,Lin Zhou,Shusen Zheng

International journal of oral science 15:56 PubMed38072973

2023

Oral administration of Bifidobacterium breve improves anti-angiogenic drugs-derived oral mucosal wound healing impairment via upregulation of interleukin-10.

Applications

Unspecified application

Species

Unspecified reactive species

Qingxiang Li,Yuke Li,Qiao Qiao,Ning Zhao,Yuanning Yang,Lin Wang,Yifei Wang,Chuanbin Guo,Yuxing Guo

Acta pharmaceutica Sinica. B 13:4748-4764 PubMed38045044

2023

Preclinical and early clinical studies of a novel compound SYHA1813 that efficiently crosses the blood-brain barrier and exhibits potent activity against glioblastoma.

Applications

Unspecified application

Species

Unspecified reactive species

Yingqiang Liu,Zhengsheng Zhan,Zhuang Kang,Mengyuan Li,Yongcong Lv,Shenglan Li,Linjiang Tong,Fang Feng,Yan Li,Mengge Zhang,Yaping Xue,Yi Chen,Tao Zhang,Peiran Song,Yi Su,Yanyan Shen,Yiming Sun,Xinying Yang,Yi Chen,Shanyan Yao,Hanyu Yang,Caixia Wang,Meiyu Geng,Wenbin Li,Wenhu Duan,Hua Xie,Jian Ding

International journal of molecular sciences 24: PubMed37373025

2023

Thymoquinone Inhibition of Chemokines in TNF-α-Induced Inflammatory and Metastatic Effects in Triple-Negative Breast Cancer Cells.

Applications

Unspecified application

Species

Unspecified reactive species

Getinet M Adinew,Samia Messeha,Equar Taka,Bereket Mochona,Kinfe K Redda,Karam F A Soliman

Frontiers in immunology 14:1097383 PubMed36911731

2023

Comprehensive protocols for culturing and molecular biological analysis of IBD patient-derived colon epithelial organoids.

Applications

Unspecified application

Species

Unspecified reactive species

Shreya Gopalakrishnan,Ingunn Bakke,Marianne Doré Hansen,Helene Kolstad Skovdahl,Atle van Beelen Granlund,Arne K Sandvik,Torunn Bruland

BMC immunology 24:4 PubMed36650424

2023

PU.1-CD23 signaling mediates pulmonary innate immunity against Aspergillus fumigatus infection by driving inflammatory response.

Applications

Unspecified application

Species

Unspecified reactive species

Min Wang,Ming Zhang,Jiayong Qiu,Chenyang Liu,Yao Lou,Tongsheng Wang,Yingmin Zhang,Yimin Mao

Cancer science 114:1479-1490 PubMed36479732

2022

Suppression of androgen receptor signaling induces prostate cancer migration via activation of the CCL20-CCR6 axis.

Applications

Unspecified application

Species

Unspecified reactive species

Hiroshi Kano,Kouji Izumi,Kaoru Hiratsuka,Ren Toriumi,Ryunosuke Nakagawa,Shuhei Aoyama,Taiki Kamijima,Takafumi Shimada,Renato Naito,Suguru Kadomoto,Hiroaki Iwamoto,Hiroshi Yaegashi,Shohei Kawaguchi,Takahiro Nohara,Kazuyoshi Shigehara,Yoshifumi Kadono,Yohei Saito,Kyoko Nakagawa-Goto,Kazuaki Yoshioka,Hiroki Nakata,Wen-Jye Lin,Atsushi Mizokami

JCI insight 7: PubMed36136589

2022

Iron accelerates Fusobacterium nucleatum-induced CCL8 expression in macrophages and is associated with colorectal cancer progression.

Applications

Unspecified application

Species

Unspecified reactive species

Taishi Yamane,Yohei Kanamori,Hiroshi Sawayama,Hiromu Yano,Akihiro Nita,Yudai Ohta,Hironori Hinokuma,Ayato Maeda,Akiko Iwai,Takashi Matsumoto,Mayuko Shimoda,Mayumi Niimura,Shingo Usuki,Noriko Yasuda-Yoshihara,Masato Niwa,Yoshifumi Baba,Takatsugu Ishimoto,Yoshihiro Komohara,Tomohiro Sawa,Tasuku Hirayama,Hideo Baba,Toshiro Moroishi
View all publications

Abcam product promise

当社は、高品質な試薬を通じてお客様の研究を力強くサポートすることをお約束いたします。ご使用いただく各段階で、常にお客様をサポートできる体制を整えております。万が一、製品が期待通りに機能しない場合は、「Abcam Product Promise」による当社保証制度に基づき、安心してご利用いただけます。
保証に関する詳細については利用規約をご確認ください。

Please note: All products are 'FOR RESEARCH USE ONLY. NOT FOR USE IN DIAGNOSTIC OR THERAPEUTIC PROCEDURES'.

For licensing inquiries, please contact partnerships@abcam.com