JavaScript is disabled in your browser. Please enable JavaScript to view this website.
AB56297

Anti-Macrophage 抗体 [RM0029-11H3]

Anti-Macrophage antibody [RM0029-11H3]

5

(3 Reviews)

|

(39 Publications)

Rat Monoclonal Macrophage antibody. Carrier free. Suitable for Flow Cyt, IHC-P, ICC/IF and reacts with Mouse samples. Cited in 39 publications. Immunogen corresponding to Cell preparation containing Macrophage protein.

別名を表示する

Macrophages

5 Images
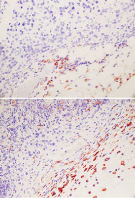
Immunohistochemistry (Formalin/PFA-fixed paraffin-embedded sections) - Anti-Macrophage antibody [RM0029-11H3] (AB56297)
  • IHC-P

PubMed

Immunohistochemistry (Formalin/PFA-fixed paraffin-embedded sections) - Anti-Macrophage antibody [RM0029-11H3] (AB56297)

Immunohistochemical analysis of murine tumour tissue, staining Macrophage with ab56297. Antigen retrieval was performed under high pressure in 10 mM EDTA buffer (pH 8.0) before incubation with primary antibody.

Image from Wang B et al., BMC Immunol. 2011 Aug 4;12:43. Fig 1.; doi:10.1186/1471-2172-12-43; 4 August 2011, BMC Immunology 2011, 12:43

Immunocytochemistry/ Immunofluorescence - Anti-Macrophage antibody [RM0029-11H3] (AB56297)
  • ICC/IF

Unknown

Immunocytochemistry/ Immunofluorescence - Anti-Macrophage antibody [RM0029-11H3] (AB56297)

ICC/IF image of ab56297 stained RAW246.7 cells. The cells were 100% methanol fixed (5 min) and then incubated in 1%BSA / 10% normal goat serum / 0.3M glycine in 0.1% PBS-Tween for 1h to permeabilise the cells and block non-specific protein-protein interactions. The cells were then incubated with the antibody (ab56297, 10μg/ml) overnight at +4°C. The secondary antibody (green) was ab96887, DyLight® 488 goat anti-rat IgG (H+L) used at a 1/250 dilution for 1h. Alexa Fluor® 594 WGA was used to label plasma membranes (red) at a 1/200 dilution for 1h. DAPI was used to stain the cell nuclei (blue) at a concentration of 1.43μM

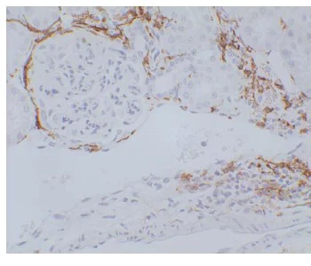
Immunohistochemistry (Formalin/PFA-fixed paraffin-embedded sections) - Anti-Macrophage antibody [RM0029-11H3] (AB56297)
  • IHC-P

AbReview14157****

Immunohistochemistry (Formalin/PFA-fixed paraffin-embedded sections) - Anti-Macrophage antibody [RM0029-11H3] (AB56297)

ab56297 staining macrophage in mouse brain tumour tissue sections by (IHC-P - paraformaldehyde-fixed, paraffin-embedded sections). Tissue was fixed with paraformaldehyde and blocked with 0.5% TNB blocking reagent for 30 minutes at 25°C. Samples were incubated with primary antibody at 1/100 dilution for 18 hours at 4 C. A goat anti-rat IgG H&L (HRP) (ab7097) was used at 1/500 dilution.

This image is courtesy of an anonymous Abreview

Flow Cytometry - Anti-Macrophage antibody [RM0029-11H3] (AB56297)
  • Flow Cyt

Unknown

Flow Cytometry - Anti-Macrophage antibody [RM0029-11H3] (AB56297)

Overlay histogram showing RAW 264.7 cells stained with ab56297 (red line). The cells were fixed with 4% paraformaldehyde (10 min) and then permeabilized with 0.1% PBS-Tween for 20 min. The cells were then incubated in 1x PBS / 10% normal goat serum / 0.3M glycine to block non-specific protein-protein interactions followed by the antibody (ab56297, 2μg/1x106 cells) for 30 min at 22°C. The secondary antibody used was DyLight® 488 goat anti-rat IgG (H+L) (ab98386) at 1/500 dilution for 30 min at 22°C. Isotype control antibody (black line) was rat IgG2a, kappa monoclonal [aRTK2758] (ab18450, 2μg/1x106 cells) used under the same conditions. Acquisition of >5,000 events was performed. This antibody gave a positive signal in RAW 264.7 cells fixed with 80% methanol/permeabilized in 0.1% PBS-Tween used under the same conditions.

Immunohistochemistry (Formalin/PFA-fixed paraffin-embedded sections) - Anti-Macrophage antibody [RM0029-11H3] (AB56297)
  • IHC-P

Unknown

Immunohistochemistry (Formalin/PFA-fixed paraffin-embedded sections) - Anti-Macrophage antibody [RM0029-11H3] (AB56297)

Bouin’s solution fixed and paraffin embedded mouse kidney section from anti-GBM model was subjected to immunohistochemistry staining (ABC) of Macrophage using ab56297.

Key facts

宿主種

Rat

クローン性

Monoclonal

クローン番号

RM0029-11H3

アイソタイプ

IgG2a

キャリアフリー

Yes

交差種

Mouse

アプリケーション

Flow Cyt, ICC/IF, IHC-P

applications

免疫原

The exact immunogen used to generate this antibody is proprietary information.

Reactivity data

{ "title": "Reactivity Data", "filters": { "stats": ["", "Species", "Dilution Info", "Notes"], "tabs": { "all-applications": {"fullname" : "All Applications", "shortname": "All Applications"}, "FlowCyt" : {"fullname" : "Flow Cytometry", "shortname":"Flow Cyt"}, "IHCP" : {"fullname" : "Immunohistochemistry (Formalin/PFA-fixed paraffin-embedded sections)", "shortname":"IHC-P"}, "ICCIF" : {"fullname" : "Immunocytochemistry/ Immunofluorescence", "shortname":"ICC/IF"} }, "product-promise": { "all": "all", "testedAndGuaranteed": "tested", "guaranteed": "expected", "predicted": "predicted", "notRecommended": "not-recommended" } }, "values": { "Mouse": { "FlowCyt-species-checked": "testedAndGuaranteed", "FlowCyt-species-dilution-info": "2 µg for 10^6 Cells", "FlowCyt-species-notes": "<p><a href='/products/primary-antibodies/rat-igg2a-kappa-monoclonal-rtk2758-isotype-control-ab18450'>ab18450</a> - Rat monoclonal IgG2a, is suitable for use as an isotype control with this antibody.</p>", "IHCP-species-checked": "testedAndGuaranteed", "IHCP-species-dilution-info": "10 µg/mL", "IHCP-species-notes": "<p></p> Perform enzymatic antigen retrieval before commencing with IHC staining protocol.", "ICCIF-species-checked": "testedAndGuaranteed", "ICCIF-species-dilution-info": "", "ICCIF-species-notes": "<p></p>" } } }

出荷温度及び保存条件

製品の状態
Liquid
精製方法
Affinity purification Protein G
バッファー組成
Constituents: PBS
出荷温度
Blue Ice
短期保存温度
+4°C
長期保存温度
-20°C
分注に関する情報
Upon delivery aliquot
保管に関する情報
Avoid freeze / thaw cycle

補足情報

This supplementary information is collated from multiple sources and compiled automatically.

Macrophages also known as histiocytes are immune cells involved in many functions in the body. They have a mass that varies depending on their stage of activation and location. These cells are primarily expressed in tissues and organs such as the liver spleen lungs lymph nodes and bone marrow. They belong to the mononuclear phagocyte system and are key players in antigen presentation and phagocytosis. These cells can be visualized using macrophage immunohistochemistry (IHC) techniques and imaged with macrophage flow cytometry. Macrophage staining and macrophage immunofluorescence staining allow researchers to assess their presence and state.
Biological function summary

These versatile cells maintain homeostasis and play roles in tissue repair and inflammation. They are part of protective mechanisms of body engaging in destruction of pathogens and mediation of immune responses. Macrophages can release cytokines chemokines and other molecules that influence immune cell proliferation and differentiation. In mouse models macrophage markers like BM8 help to identify their populations and quantify their roles in various experiments.

Pathways

These immune cells participate in both the innate and adaptive immune responses. They influence the NF-kB and MAPK pathways both of which play significant roles in stress and inflammatory responses. Macrophages interact with proteins like Toll-like receptors (TLRs) to activate downstream signaling that leads to altered gene expression necessary for immune response. They serve as critical components in pathways that facilitate communication between different cell types in immune system.

Macrophages have strong links with chronic inflammation and autoimmune diseases such as rheumatoid arthritis. They contribute to the pathogenesis of these conditions by secreting pro-inflammatory cytokines and other mediators. A connection exists between macrophages and the dysfunction of various proteins involved in inflammatory diseases such as TNF-alpha and interleukin-1. Alterations in macrophage activation and signaling could exacerbate disease progression highlighting their importance in therapeutic strategies aimed at modulating immune responses.

製品プロトコール

For this product, it's our understanding that no specific protocols are required. You can visit:

ターゲットの情報

See full target information Macrophage

文献 (39)

Recent publications for all applications. Explore the full list and refine your search

International journal of molecular medicine 52: PubMed37800598

2023

Flavin containing monooxygenase 2 regulates renal tubular cell fibrosis and paracrine secretion via SMURF2 in AKI‑CKD transformation.

Applications

Unspecified application

Species

Unspecified reactive species

Longfei Wang,Hongchu Zha,Jing Huang,Lang Shi

Open veterinary journal 13:1150-1166 PubMed37842106

2023

Inflammatory cell responses in biliary mucosa during infection: Insights into susceptibility differences among hosts.

Applications

Unspecified application

Species

Unspecified reactive species

Theerayut Thongrin,Watcharapol Suyapoh,WoroDanur Wendo,Prasarn Tangkawattana,Peerapol Sukon,Kanin Salao,Sutas Suttiprapa,Prasert Saichua,Sirikachorn Tangkawatana

JCI insight 8: PubMed36787192

2023

Transcription factor c-Maf deletion improves streptozotocin-induced diabetic nephropathy by directly regulating Sglt2 and Glut2.

Applications

Unspecified application

Species

Unspecified reactive species

Mitsunori Fujino,Naoki Morito,Takuto Hayashi,Masami Ojima,Shun Ishibashi,Akihiro Kuno,Seizo Koshiba,Kunihiro Yamagata,Satoru Takahashi

Pharmaceutical research 40:749-764 PubMed36635487

2023

Mucopenetrating Janus Nanoparticles For Field-Coverage Oral Cancer Chemoprevention.

Applications

Unspecified application

Species

Unspecified reactive species

Nahal Habibi,Caroline Bissonnette,Ping Pei,Daren Wang,Albert Chang,Jeffery E Raymond,Joerg Lahann,Susan R Mallery

Journal of biomedical science 29:55 PubMed35909127

2022

TRIM18 is a critical regulator of viral myocarditis and organ inflammation.

Applications

Unspecified application

Species

Unspecified reactive species

Mingli Fang,Ao Zhang,Yong Du,Wenting Lu,Junying Wang,Laurie J Minze,Timothy C Cox,Xian Chang Li,Junji Xing,Zhiqiang Zhang

Frontiers in cellular neuroscience 16:858802 PubMed35783100

2022

Effects of Ischemia on the Migratory Capacity of Microglia Along Collagen Microcontact Prints on Organotypic Mouse Cortex Brain Slices.

Applications

Unspecified application

Species

Unspecified reactive species

Katharina Steiner,Christian Humpel

Frontiers in medicine 8:746346 PubMed34746182

2021

Proximal Tubule p53 in Cold Storage/Transplantation-Associated Kidney Injury and Renal Graft Dysfunction.

Applications

Unspecified application

Species

Unspecified reactive species

Xiaohong Xiang,Jiefu Zhu,Gang Zhang,Zhengwei Ma,Man J Livingston,Zheng Dong

Biomedicines 8: PubMed32932992

2020

Regulation of JAM2 Expression in the Lungs of Streptozotocin-Induced Diabetic Mice and Human Pluripotent Stem Cell-Derived Alveolar Organoids.

Applications

Unspecified application

Species

Unspecified reactive species

Roya Rasaei,Eunbi Kim,Ji-Young Kim,Sunghun Na,Jung-Hyun Kim,Jinbeom Heo,Dong-Myung Shin,Sun Shim Choi,Seok-Ho Hong

The Journal of clinical investigation 130:5011-5026 PubMed32804155

2020

p53/microRNA-214/ULK1 axis impairs renal tubular autophagy in diabetic kidney disease.

Applications

Unspecified application

Species

Unspecified reactive species

Zhengwei Ma,Lin Li,Man J Livingston,Dongshan Zhang,Qingsheng Mi,Ming Zhang,Han-Fei Ding,Yuqing Huo,Changlin Mei,Zheng Dong

eLife 8: PubMed31763978

2019

Apolipoprotein M-bound sphingosine-1-phosphate regulates blood-brain barrier paracellular permeability and transcytosis.

Applications

Unspecified application

Species

Unspecified reactive species

Mette Mathiesen Janiurek,Rana Soylu-Kucharz,Christina Christoffersen,Krzysztof Kucharz,Martin Lauritzen
View all publications

Abcam product promise

当社は、高品質な試薬を通じてお客様の研究を力強くサポートすることをお約束いたします。ご使用いただく各段階で、常にお客様をサポートできる体制を整えております。万が一、製品が期待通りに機能しない場合は、「Abcam Product Promise」による当社保証制度に基づき、安心してご利用いただけます。
保証に関する詳細については利用規約をご確認ください。

関連製品

Select an associated product type
Alternative Product
Primary Antibodies

AB125148

PE Anti-Macrophage antibody [BM8]

primary-antibodies

pe-macrophage-antibody-bm8-ab125148

0

(0 reviews)

Alternative Product
Primary Antibodies

AB95574

PE Anti-Macrophage antibody [HIS36]

primary-antibodies

pe-macrophage-antibody-his36-ab95574

0

(0 reviews)

Please note: All products are 'FOR RESEARCH USE ONLY. NOT FOR USE IN DIAGNOSTIC OR THERAPEUTIC PROCEDURES'.

For licensing inquiries, please contact partnerships@abcam.com