JavaScript is disabled in your browser. Please enable JavaScript to view this website.
AB36993

Anti-LYVE1 抗体

Anti-LYVE1 antibody

4

(3 Reviews)

|

(17 Publications)

Anti-LYVE1 antibody (ab36993) is a rabbit polyclonal antibody detecting LYVE1 in Western Blot, Flow Cytometry, IHC-P, IHC-Fr. Suitable for Dog, Human,.

- Over 10 publications
- Trusted since 2006

別名を表示する

CRSBP1, HAR, XLKD1, UNQ230/PRO263, LYVE1, Lymphatic vessel endothelial hyaluronic acid receptor 1, LYVE-1, Cell surface retention sequence-binding protein 1, Extracellular link domain-containing protein 1, Hyaluronic acid receptor, CRSBP-1

7 Images
Immunohistochemistry (Formalin/PFA-fixed paraffin-embedded sections) - Anti-LYVE1 antibody (AB36993)
  • IHC-P

Supplier Data

Immunohistochemistry (Formalin/PFA-fixed paraffin-embedded sections) - Anti-LYVE1 antibody (AB36993)

Immunohistochemistry (Formalin/PFA-fixed paraffin-embedded sections) analysis of lymphatic vessels of malignant canine mammary tumor tissue sections labelling LYVE1 with ab36993.

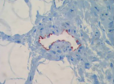
Immunohistochemistry (Frozen sections) - Anti-LYVE1 antibody (AB36993)
  • IHC-Fr

Unknown

Immunohistochemistry (Frozen sections) - Anti-LYVE1 antibody (AB36993)

The staining was performed on frozen sections from human colon carcinoma using ab36993 (polyclonal anti-human LYVE-1 antibody; protein-A purified; 10 µg/ml).

Immunohistochemistry (Formalin/PFA-fixed paraffin-embedded sections) - Anti-LYVE1 antibody (AB36993)
  • IHC-P

Supplier Data

Immunohistochemistry (Formalin/PFA-fixed paraffin-embedded sections) - Anti-LYVE1 antibody (AB36993)

Immunohistochemistry (Formalin/PFA-fixed paraffin-embedded sections) analysis of lymphatic vessels of benign canine mammary tumor tissue sections labelling LYVE1 with ab36993.

Flow Cytometry - Anti-LYVE1 antibody (AB36993)
  • Flow Cyt

Supplier Data

Flow Cytometry - Anti-LYVE1 antibody (AB36993)

Flow Cytometry analysis of human dermal microvascular endothelial cells (HDMVEC) labelling LYVE1 with ab36993.

Immunohistochemistry (Formalin/PFA-fixed paraffin-embedded sections) - Anti-LYVE1 antibody (AB36993)
  • IHC-P

Supplier Data

Immunohistochemistry (Formalin/PFA-fixed paraffin-embedded sections) - Anti-LYVE1 antibody (AB36993)

Immunohistochemistry (Formalin/PFA-fixed paraffin-embedded sections) analysis of lymphatic vessels of normal canine mammary tissue sections labelling LYVE1 with ab36993.

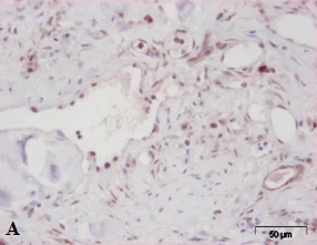
Immunohistochemistry (Formalin/PFA-fixed paraffin-embedded sections) - Anti-LYVE1 antibody (AB36993)
  • IHC-P

Unknown

Immunohistochemistry (Formalin/PFA-fixed paraffin-embedded sections) - Anti-LYVE1 antibody (AB36993)

IHC with paraffin-embedded sections of human intestine (border area of a colon carcinoma) using antibody ab36993.

Western blot - Anti-LYVE1 antibody (AB36993)
  • WB

Supplier Data

Western blot - Anti-LYVE1 antibody (AB36993)

All lanes:

Western blot - Anti-LYVE1 antibody (ab36993)

Lane 1:

Recombinant Human LYVE1 protein (ab54341)

Lane 2:

Recombinant Mouse LYVE1 protein (ab54342)

Predicted band size: 35 kDa

false

Key facts

宿主種

Rabbit

クローン性

Polyclonal

アイソタイプ

IgG

キャリアフリー

Yes

交差種

Dog, Human

アプリケーション

WB, IHC-Fr, Flow Cyt, IHC-P

applications

免疫原

Recombinant Fragment Protein within Human LYVE1 aa 1-250. The exact immunogen used to generate this antibody is proprietary information.

Q9Y5Y7

Reactivity data

{ "title": "Reactivity Data", "filters": { "stats": ["", "Species", "Dilution Info", "Notes"], "tabs": { "all-applications": {"fullname" : "All Applications", "shortname": "All Applications"}, "FlowCyt" : {"fullname" : "Flow Cytometry", "shortname":"Flow Cyt"}, "WB" : {"fullname" : "Western blot", "shortname":"WB"}, "IHCP" : {"fullname" : "Immunohistochemistry (Formalin/PFA-fixed paraffin-embedded sections)", "shortname":"IHC-P"}, "IHCFr" : {"fullname" : "Immunohistochemistry (Frozen sections)", "shortname":"IHC-Fr"} }, "product-promise": { "all": "all", "testedAndGuaranteed": "tested", "guaranteed": "expected", "predicted": "predicted", "notRecommended": "not-recommended" } }, "values": { "Human": { "FlowCyt-species-checked": "testedAndGuaranteed", "FlowCyt-species-dilution-info": "3-10 µg/mL", "FlowCyt-species-notes": "<p><a href='/products/primary-antibodies/rabbit-igg-polyclonal-isotype-control-chip-grade-ab171870'>ab171870</a> - Rabbit polyclonal IgG, is suitable for use as an isotype control with this antibody.</p>", "WB-species-checked": "guaranteed", "WB-species-dilution-info": "", "WB-species-notes": "", "IHCP-species-checked": "testedAndGuaranteed", "IHCP-species-dilution-info": "6-30 µg/mL", "IHCP-species-notes": "<p></p>", "IHCFr-species-checked": "testedAndGuaranteed", "IHCFr-species-dilution-info": "6-30 µg/mL", "IHCFr-species-notes": "<p></p>" }, "Dog": { "FlowCyt-species-checked": "guaranteed", "FlowCyt-species-dilution-info": "", "FlowCyt-species-notes": "", "WB-species-checked": "guaranteed", "WB-species-dilution-info": "", "WB-species-notes": "", "IHCP-species-checked": "testedAndGuaranteed", "IHCP-species-dilution-info": "6-30 µg/mL", "IHCP-species-notes": "<p></p>", "IHCFr-species-checked": "guaranteed", "IHCFr-species-dilution-info": "", "IHCFr-species-notes": "" }, "Recombinant fragment - Human": { "FlowCyt-species-checked": "notRecommended", "FlowCyt-species-dilution-info": "", "FlowCyt-species-notes": "", "WB-species-checked": "testedAndGuaranteed", "WB-species-dilution-info": "1-2 µg/mL", "WB-species-notes": "<p></p>", "IHCP-species-checked": "notRecommended", "IHCP-species-dilution-info": "", "IHCP-species-notes": "", "IHCFr-species-checked": "notRecommended", "IHCFr-species-dilution-info": "", "IHCFr-species-notes": "" } } }

下記製品もご検討ください

AB219556

Anti-LYVE1 antibody [EPR21857]

5
6 Reviews
製品ページを見る
こちらの製品も推奨する理由

私たちは、より高品質な製品をお届けするために、製品構成を常に改善しています。今回ご紹介する代替製品は、性能の向上、使いやすさや利便性の向上、またはより早くお届けできる点などを踏まえて選定しています。

製品の詳細

出荷温度及び保存条件

製品の状態
Lyophilized
再構成
Reconstitute in water
精製方法
Affinity purification Immunogen
バッファー組成
Constituents: PBS
出荷温度
Blue Ice
短期保存期間
1-2 weeks
短期保存温度
+4°C
長期保存温度
-20°C
分注に関する情報
Upon delivery aliquot
保管に関する情報
Avoid freeze / thaw cycle

補足情報

This supplementary information is collated from multiple sources and compiled automatically.

The protein "LYVE1" also known as Lymphatic Vessel Endothelial Hyaluronan Receptor 1 has a molecular mass of about 60 kDa. This protein is located on the surface of lymphatic endothelial cells. Its expression occurs mainly within the lymphatic vessels serving as an important marker for identifying lymphatic endothelium. LYVE1 facilitates the transportation of hyaluronan an important glycosaminoglycan through lymphatic vessels playing a critical role in the maintenance of extracellular matrix and tissue fluid homeostasis.
Biological function summary

LYVE1 plays a role in lymphatic system regulation and immune cell trafficking. It forms part of a network that binds hyaluronan contributing to the regulation of cell migration and adhesion. This protein interacts with molecules like CD44 and other receptors which also participate in hyaluronan binding. LYVE1's function in maintaining the balance of hyaluronan within tissues is central affecting not only the lymphatic system but also immune responses.

Pathways

LYVE1 engages in both the hyaluronan metabolism and lymphangiogenesis pathways. Its interaction with CD44 plays a significant role in the transport and uptake of hyaluronan influencing cellular processes such as proliferation and motility. These interactions link LYVE1 to pathways controlling fluid balance and immune surveillance marking it as essential for maintaining healthy lymphatic and immune function.

LYVE1 shows a connection to lymphatic-related conditions such as lymphedema and cancer metastasis. Alterations or dysregulation of LYVE1 expression can affect lymphatic function potentially leading to the accumulation of interstitial fluid as seen in lymphedema. In cancer increased LYVE1 expression can relate to tumor metastasis where it functions alongside proteins like VEGFR-3 in promoting lymphatic vessel growth and facilitating cancer cell spread.

製品プロトコール

For this product, it's our understanding that no specific protocols are required. You can visit:

ターゲットの情報

Ligand-specific transporter trafficking between intracellular organelles (TGN) and the plasma membrane. Plays a role in autocrine regulation of cell growth mediated by growth regulators containing cell surface retention sequence binding (CRS). May act as a hyaluronan (HA) transporter, either mediating its uptake for catabolism within lymphatic endothelial cells themselves, or its transport into the lumen of afferent lymphatic vessels for subsequent re-uptake and degradation in lymph nodes (PubMed : 10037799). Binds to pericelluar hyaluronan matrices deposited on the surface of leukocytes and facilitates cell adhesion and migration through lymphatic endothelium (PubMed : 26823460).
See full target information LYVE1

文献 (17)

Recent publications for all applications. Explore the full list and refine your search

Frontiers in bioengineering and biotechnology 11:1173169 PubMed37214283

2023

Low-intensity pulsed ultrasound reduces lymphedema by regulating macrophage polarization and enhancing microcirculation.

Applications

Unspecified application

Species

Unspecified reactive species

Zihao Liu,Jia Li,Yu Bian,Xiaojie Zhang,Xiaojun Cai,Yuanyi Zheng

Cell reports 39:110621 PubMed35385743

2022

Therapeutic correction of hemophilia A by transplantation of hPSC-derived liver sinusoidal endothelial cell progenitors.

Applications

Unspecified application

Species

Unspecified reactive species

Blair K Gage,Simone Merlin,Cristina Olgasi,Antonia Follenzi,Gordon M Keller

Developmental cell 57:112-145.e2 PubMed34936882

2021

A census of the lung: CellCards from LungMAP.

Applications

Unspecified application

Species

Unspecified reactive species

Xin Sun,Anne-Karina Perl,Rongbo Li,Sheila M Bell,Eniko Sajti,Vladimir V Kalinichenko,Tanya V Kalin,Ravi S Misra,Hitesh Deshmukh,Geremy Clair,Jennifer Kyle,Laura E Crotty Alexander,Jorge A Masso-Silva,Joseph A Kitzmiller,Kathryn A Wikenheiser-Brokamp,Gail Deutsch,Minzhe Guo,Yina Du,Michael P Morley,Michael J Valdez,Haoze V Yu,Kang Jin,Eric E Bardes,Jarod A Zepp,Terren Neithamer,Maria C Basil,William J Zacharias,Jamie Verheyden,Randee Young,Gautam Bandyopadhyay,Sara Lin,Charles Ansong,Joshua Adkins,Nathan Salomonis,Bruce J Aronow,Yan Xu,Gloria Pryhuber,Jeff Whitsett,Edward E Morrisey

International journal of experimental pathology 102:268-278 PubMed34791715

2021

Immunohistochemical and immunofluorescence expression profile of lymphatic endothelial cell markers in oral cancer.

Applications

Unspecified application

Species

Unspecified reactive species

Kullasit Chutipongpisit,V Praveen Parachuru,Lara T Friedlander,Haizal M Hussaini,Alison M Rich

European journal of immunology 51:76-90 PubMed32700362

2020

Fibroblast-derived IL-33 is dispensable for lymph node homeostasis but critical for CD8 T-cell responses to acute and chronic viral infection.

Applications

Unspecified application

Species

Unspecified reactive species

Patricia Aparicio-Domingo,Hélène Cannelle,Matthew B Buechler,Sylvain Nguyen,Sandra M Kallert,Stéphanie Favre,Nagham Alouche,Natalie Papazian,Burkhard Ludewig,Tom Cupedo,Daniel D Pinschewer,Shannon J Turley,Sanjiv A Luther

Cell stem cell 27:254-269.e9 PubMed32640183

2020

Generation of Functional Liver Sinusoidal Endothelial Cells from Human Pluripotent Stem-Cell-Derived Venous Angioblasts.

Applications

IHC-P, Flow Cyt

Species

Human, Human

Blair K Gage,Jeff C Liu,Brendan T Innes,Sonya A MacParland,Ian D McGilvray,Gary D Bader,Gordon M Keller

Bio-protocol 8: PubMed29780855

2018

Magnetic Resonance Imaging and Histopathological Visualization of Human Dural Lymphatic Vessels.

Applications

Unspecified application

Species

Unspecified reactive species

Seung-Kwon Ha,Govind Nair,Martina Absinta,Nicholas J Luciano,Daniel S Reich

Nature 546:676-680 PubMed28658220

2017

Whole-body imaging of lymphovascular niches identifies pre-metastatic roles of midkine.

Applications

Unspecified application

Species

Unspecified reactive species

David Olmeda,Daniela Cerezo-Wallis,Erica Riveiro-Falkenbach,Paula C Pennacchi,Marta Contreras-Alcalde,Nuria Ibarz,Metehan Cifdaloz,Xavier Catena,Tonantzin G Calvo,Estela Cañón,Direna Alonso-Curbelo,Javier Suarez,Lisa Osterloh,Osvaldo Graña,Francisca Mulero,Diego Megías,Marta Cañamero,Jorge L Martínez-Torrecuadrada,Chandrani Mondal,Julie Di Martino,David Lora,Inés Martinez-Corral,J Javier Bravo-Cordero,Javier Muñoz,Susana Puig,Pablo Ortiz-Romero,José L Rodriguez-Peralto,Sagrario Ortega,María S Soengas

Oncology reports 36:3161-3171 PubMed27748846

2016

Sulfatase 2 facilitates lymphangiogenesis in breast cancer by regulating VEGF-D.

Applications

WB

Species

Human

Chenfang Zhu,Xiaoliang Qi,Xin Zhou,Xin Nie,Yan Gu

Nature 523:337-41 PubMed26030524

2015

Structural and functional features of central nervous system lymphatic vessels.

Applications

IHC

Species

Unspecified reactive species

Antoine Louveau,Igor Smirnov,Timothy J Keyes,Jacob D Eccles,Sherin J Rouhani,J David Peske,Noel C Derecki,David Castle,James W Mandell,Kevin S Lee,Tajie H Harris,Jonathan Kipnis
View all publications

Abcam product promise

当社は、高品質な試薬を通じてお客様の研究を力強くサポートすることをお約束いたします。ご使用いただく各段階で、常にお客様をサポートできる体制を整えております。万が一、製品が期待通りに機能しない場合は、「Abcam Product Promise」による当社保証制度に基づき、安心してご利用いただけます。
保証に関する詳細については利用規約をご確認ください。

関連製品

Select an associated product type
Alternative Product
Primary Antibodies

AB14917

Anti-LYVE1 antibody - BSA and Azide free

primary-antibodies

lyve1-antibody-bsa-and-azide-free-ab14917

4

(37 reviews)

Alternative Product
Primary Antibodies

AB33682

Anti-LYVE1 antibody

primary-antibodies

lyve1-antibody-ab33682

4

(14 reviews)

Alternative Product
Primary Antibodies

AB218535

Anti-LYVE1 antibody [EPR21771]

primary-antibodies

lyve1-antibody-epr21771-ab218535

1

(1 reviews)

Alternative Product
Primary Antibodies

AB183501

Anti-LYVE1 antibody [EPR13067(2)]

primary-antibodies

lyve1-antibody-epr130672-ab183501

0

(0 reviews)

Alternative Product
Primary Antibodies

AB232935

Anti-LYVE1 antibody [EPR21857] - BSA and Azide free

primary-antibodies

lyve1-antibody-epr21857-bsa-and-azide-free-ab232935

5

(2 reviews)

Alternative Product
Primary Antibodies

AB230377

Anti-LYVE1 antibody [EPR21771] - BSA and Azide free

primary-antibodies

lyve1-antibody-epr21771-bsa-and-azide-free-ab230377

0

(0 reviews)

Please note: All products are 'FOR RESEARCH USE ONLY. NOT FOR USE IN DIAGNOSTIC OR THERAPEUTIC PROCEDURES'.

For licensing inquiries, please contact partnerships@abcam.com