JavaScript is disabled in your browser. Please enable JavaScript to view this website.
AB227708

Anti-Lysozyme 抗体 [SP350] - C-terminal

Anti-Lysozyme antibody [SP350] - C-terminal

  • BOND RX™ Validated
  • 20ul selling size
  • RabMAb
  • Advanced Validation
  • Recombinant
  • KO Validated
  • 詳細を見る

Be the first to review this product! Submit a review

|

(1 Publication)

Rabbit Recombinant Monoclonal Lysozyme antibody. C-terminal. Suitable for mIHC, WB, IHC-P, Flow Cyt (Intra) and reacts with Human samples. Cited in 1 publication.

別名を表示する

LZM, LYZ, Lysozyme C

10 Images
Multiplex immunohistochemistry - Anti-Lysozyme antibody [SP350] - C-terminal (AB227708)
  • mIHC

Lab

Multiplex immunohistochemistry - Anti-Lysozyme antibody [SP350] - C-terminal (AB227708)

Fluorescence multiplex immunohistochemical analysis of the human duodenum (Formalin/PFA-fixed paraffin-embedded sections). Panel A : merged staining of anti-liver FABP (ab240401, gray; Opal™690), anti-Lysozyme (ab242430, green; Opal™520) and anti-Chromogranin A (ab254557, red; Opal™570) on human duodenum. Panel B : anti-liver FABP stained on enterocytes. Panel C : anti-Lysozyme stained on Paneth cells. Panel D : anti-Chromogranin A stained on neuroendocrine cells. Opal Polymer HRP Ms + Rb was used as a secondary antibody. The immunostaining was performed on a Leica Biosystems BOND® RX instrument with an Opal™ 4-color kit. The section was incubated in three rounds of staining : in the order of ab240401 (1/8000 dilution), ab242430 (1 : 250 dilution), and ab254557 (1/5000 dilution) for 30 mins at room temperature. Each round was followed by a separate fluorescent tyramide signal amplification system. Heat mediated antigen retrieval with Tris-EDTA buffer (pH 9.0, epitope retrieval solution2) for 20 mins. DAPI (blue) was used as a nuclear counter stain. Image acquisition was performed with Leica SP8 confocal microscope.

Immunohistochemistry (Formalin/PFA-fixed paraffin-embedded sections) - Anti-Lysozyme antibody [SP350] - C-terminal (AB227708)
  • IHC-P

Supplier Data

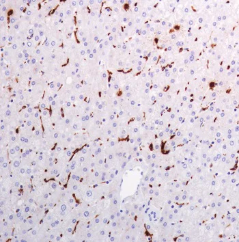
Immunohistochemistry (Formalin/PFA-fixed paraffin-embedded sections) - Anti-Lysozyme antibody [SP350] - C-terminal (AB227708)

Formalin-fixed, paraffin-embedded human liver tissue stained for Lysozyme using ab227708 at 1/100 dilution in immunohistochemical analysis.

Immunohistochemistry (Formalin/PFA-fixed paraffin-embedded sections) - Anti-Lysozyme antibody [SP350] - C-terminal (AB227708)
  • IHC-P

Supplier Data

Immunohistochemistry (Formalin/PFA-fixed paraffin-embedded sections) - Anti-Lysozyme antibody [SP350] - C-terminal (AB227708)

Formalin-fixed, paraffin-embedded human spleen tissue stained for Lysozyme using ab227708 at 1/100 dilution in immunohistochemical analysis.

Flow Cytometry (Intracellular) - Anti-Lysozyme antibody [SP350] - C-terminal (AB227708)
  • Flow Cyt (Intra)

Supplier Data

Flow Cytometry (Intracellular) - Anti-Lysozyme antibody [SP350] - C-terminal (AB227708)

Intracellular flow cytometric analysis of HL-60 (human promyelocytic leukemia cell line) cell line labeling Lysozyme with ab227708 at 1/100 dilution (green) compared with a Rabbit IgG negative control (blue).

Immunohistochemistry (Formalin/PFA-fixed paraffin-embedded sections) - Anti-Lysozyme antibody [SP350] - C-terminal (AB227708)
  • IHC-P

Supplier Data

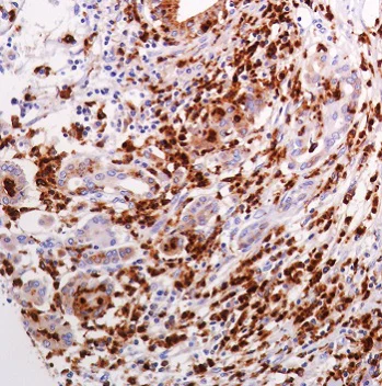
Immunohistochemistry (Formalin/PFA-fixed paraffin-embedded sections) - Anti-Lysozyme antibody [SP350] - C-terminal (AB227708)

Formalin-fixed, paraffin-embedded human pancreatic adenocarcinoma tissue stained for Lysozyme using ab227708 at 1/100 dilution in immunohistochemical analysis.

Immunohistochemistry (Formalin/PFA-fixed paraffin-embedded sections) - Anti-Lysozyme antibody [SP350] - C-terminal (AB227708)
  • IHC-P

Supplier Data

Immunohistochemistry (Formalin/PFA-fixed paraffin-embedded sections) - Anti-Lysozyme antibody [SP350] - C-terminal (AB227708)

Formalin-fixed, paraffin-embedded human stomach adenocarcinoma tissue stained for Lysozyme using ab227708 at 1/100 dilution in immunohistochemical analysis.

Immunohistochemistry (Formalin/PFA-fixed paraffin-embedded sections) - Anti-Lysozyme antibody [SP350] - C-terminal (AB227708)
  • IHC-P

Supplier Data

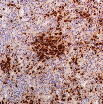
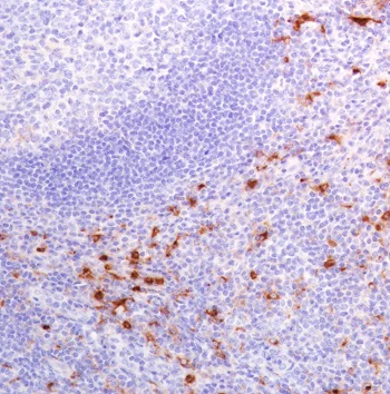
Immunohistochemistry (Formalin/PFA-fixed paraffin-embedded sections) - Anti-Lysozyme antibody [SP350] - C-terminal (AB227708)

Formalin-fixed, paraffin-embedded human tonsil tissue stained for Lysozyme using ab227708 at 1/100 dilution in immunohistochemical analysis.

Immunohistochemistry (Formalin/PFA-fixed paraffin-embedded sections) - Anti-Lysozyme antibody [SP350] - C-terminal (AB227708)
  • IHC-P

Supplier Data

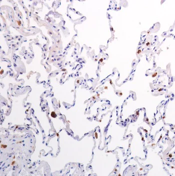
Immunohistochemistry (Formalin/PFA-fixed paraffin-embedded sections) - Anti-Lysozyme antibody [SP350] - C-terminal (AB227708)

Formalin-fixed, paraffin-embedded human lung tissue stained for Lysozyme using ab227708 at 1/100 dilution in immunohistochemical analysis.

Western blot - Anti-Lysozyme antibody [SP350] - C-terminal (AB227708)
  • WB

Lab

Western blot - Anti-Lysozyme antibody [SP350] - C-terminal (AB227708)

Lanes 1 - 4 : Merged signal (red and green). Green - ab227708 observed at 16 kDa. Red - loading control ab8245 (Mouse anti-GAPDH antibody [6C5]) observed at 37 kDa.

ab227708 was shown to react with Lysozyme in wild-type THP1 cells in Western blot with loss of signal observed in LYZ knockout sample.Wild-type THP1 and LYZ knockout cell lysates were subjected to SDS-PAGE. Membranes were blocked in 3 % milk in TBS-T (0.1 % Tween®) before incubation with ab227708 and ab8245 (Mouse anti-GAPDH antibody [6C5]) overnight at 4°C at a 1 in 400 dilution and a 1 in 20000 dilution respectively. Blots were incubated with Goat anti-Rabbit IgG H&L (IRDye® 800CW) preabsorbed (ab216773) and Goat anti-Mouse IgG H&L (IRDye® 680RD) preabsorbed (ab216776) secondary antibodies at 1 in 20000 dilution for 1 h at room temperature before imaging.

All lanes:

Western blot - Anti-Lysozyme antibody [SP350] - C-terminal (ab227708) at 1/400 dilution

Lane 1:

Wild-type THP1 cell lysate at 20 µg

Lane 2:

LYZ knockout THP1 cell lysate at 20 µg

Lane 3:

HepG2 cell lysate at 20 µg

Lane 4:

HeLa cell lysate at 20 µg

Predicted band size: 16 kDa

Observed band size: 16 kDa

false

Western blot - Anti-Lysozyme antibody [SP350] - C-terminal (AB227708)
  • WB

Supplier Data

Western blot - Anti-Lysozyme antibody [SP350] - C-terminal (AB227708)

All lanes:

Western blot - Anti-Lysozyme antibody [SP350] - C-terminal (ab227708) at 1/400 dilution

All lanes:

HL-60 (human promyelocytic leukemia cell line) cell lysate

Predicted band size: 16 kDa

false

関連する標識済み抗体及び組成の異なる製品 (1)

  • Carrier free

    Anti-Lysozyme antibody [SP350] - BSA and Azide free

Key facts

宿主種

Rabbit

クローン性

Monoclonal

クローン番号

SP350

アイソタイプ

IgG

キャリアフリー

No

交差種

Human

アプリケーション

WB, Flow Cyt (Intra), mIHC, IHC-P

applications

免疫原

The exact immunogen used to generate this antibody is proprietary information.

Reactivity data

{ "title": "Reactivity Data", "filters": { "stats": ["", "Species", "Dilution Info", "Notes"], "tabs": { "all-applications": {"fullname" : "All Applications", "shortname": "All Applications"}, "mIHC" : {"fullname" : "Multiplex immunohistochemistry", "shortname":"mIHC"}, "WB" : {"fullname" : "Western blot", "shortname":"WB"}, "IHCP" : {"fullname" : "Immunohistochemistry (Formalin/PFA-fixed paraffin-embedded sections)", "shortname":"IHC-P"}, "FlowCytIntra" : {"fullname" : "Flow Cytometry (Intracellular)", "shortname":"Flow Cyt (Intra)"} }, "product-promise": { "all": "all", "testedAndGuaranteed": "tested", "guaranteed": "expected", "predicted": "predicted", "notRecommended": "not-recommended" } }, "values": { "Human": { "mIHC-species-checked": "testedAndGuaranteed", "mIHC-species-dilution-info": "", "mIHC-species-notes": "<p></p>", "WB-species-checked": "testedAndGuaranteed", "WB-species-dilution-info": "1/400", "WB-species-notes": "<p></p>", "IHCP-species-checked": "testedAndGuaranteed", "IHCP-species-dilution-info": "1/100", "IHCP-species-notes": "<p>Perform heat mediated antigen retrieval with Tris/EDTA buffer pH 8.0 before commencing with IHC staining protocol.</p>", "FlowCytIntra-species-checked": "testedAndGuaranteed", "FlowCytIntra-species-dilution-info": "1/100", "FlowCytIntra-species-notes": "<p></p>" } } }

製品の詳細

Patented technology
Our RabMAb® technology is a patented hybridoma-based technology for making rabbit monoclonal antibodies. For details on our patents, please refer to RabMAb® patents.

What are the advantages of a recombinant monoclonal antibody?
This product is a recombinant monoclonal antibody, which offers several advantages including:

  • - High batch-to-batch consistency and reproducibility
  • - Improved sensitivity and specificity
  • - Long-term security of supply
  • - Animal-free batch production

For more information, read more on recombinant antibodies.

出荷温度及び保存条件

製品の状態
Liquid
精製方法
Affinity purification Protein A
バッファー組成
pH: 7.2 - 7.4 Preservative: 0.1% Sodium azide Constituents: PBS, 1% BSA
出荷温度
Blue Ice
短期保存期間
1-2 weeks
短期保存温度
+4°C
長期保存温度
-20°C
分注に関する情報
Upon delivery aliquot
保管に関する情報
Avoid freeze / thaw cycle

補足情報

This supplementary information is collated from multiple sources and compiled automatically.

Lysozyme also known as muramidase is a protein with enzymatic activity that breaks down bacterial cell walls by hydrolyzing the glycosidic bonds of peptidoglycan. The molecular weight of lysozyme is approximately 14 kDa. This protein is expressed in various tissues and body fluids including egg whites human saliva tears and milk. Lysozyme acts as an antimicrobial agent and plays a significant role in the innate immune system.
Biological function summary

Lysozyme contributes to host defense by targeting bacteria. It is not part of a complex but functions as a single enzyme. By compromising the integrity of bacterial cell walls it clears pathogens swiftly from the body. Lysozyme activity assays measure its ability to hydrolyze bacterial peptidoglycan reflecting its role in immune defense. Many cells such as neutrophils and macrophages express lysozyme during the immune response aiding in pathogen clearance.

Pathways

Lysozyme is chiefly involved in the antibacterial humoral response pathway. Its action aligns with other antimicrobial proteins such as lactoferrin. Both lysozyme and lactoferrin are integral to the body’s first line of defense against bacterial invasion. In addition lysozyme is relevant in the pathway managing mucosal immunity working in conjunction with proteins that enhance pathogen clearance like defensins.

Lysozyme has links to conditions such as sarcoidosis and hereditary renal amyloidosis. In sarcoidosis altered expression patterns of lysozyme may serve as a marker for disease activity. In hereditary renal amyloidosis mutations in the lysozyme gene result in amyloid fibril formation leading to renal dysfunction. Understanding these connections helps in the diagnosis and treatment of related conditions.

製品プロトコール

For this product, it's our understanding that no specific protocols are required. You can visit:

ターゲットの情報

Lysozymes have primarily a bacteriolytic function; those in tissues and body fluids are associated with the monocyte-macrophage system and enhance the activity of immunoagents.
See full target information LYZ

文献 (1)

Recent publications for all applications. Explore the full list and refine your search

Veterinary medicine and science 11:e70281 PubMed40172015

2025

Papillary Renal Cell Carcinoma With Widespread Metastases in an Arabian Mare.

Applications

Unspecified application

Species

Unspecified reactive species

Omid Azari,Seyed Mahdi Ghamsari,Ali Roustaei,Diba Golchin,Farid Baharloo,Mohammad Javaheri,Negar Valizadeh
View all publications

Abcam product promise

当社は、高品質な試薬を通じてお客様の研究を力強くサポートすることをお約束いたします。ご使用いただく各段階で、常にお客様をサポートできる体制を整えております。万が一、製品が期待通りに機能しない場合は、「Abcam Product Promise」による当社保証制度に基づき、安心してご利用いただけます。
保証に関する詳細については利用規約をご確認ください。

Please note: All products are 'FOR RESEARCH USE ONLY. NOT FOR USE IN DIAGNOSTIC OR THERAPEUTIC PROCEDURES'.

For licensing inquiries, please contact partnerships@abcam.com