JavaScript is disabled in your browser. Please enable JavaScript to view this website.
AB2408

Anti-Lysozyme 抗体

Anti-Lysozyme antibody

4

(2 Reviews)

|

(8 Publications)

Rabbit Polyclonal Lysozyme antibody. Suitable for IHC-P and reacts with Human samples. Cited in 8 publications. Immunogen corresponding to Native Full Length Protein corresponding to Human LYZ.

別名を表示する

LZM, LYZ, Lysozyme C

2 Images
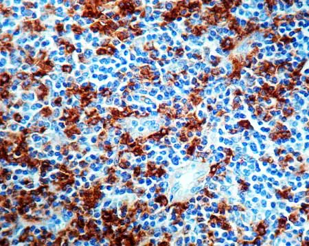
Immunohistochemistry (Formalin/PFA-fixed paraffin-embedded sections) - Anti-Lysozyme antibody (AB2408)
  • IHC-P

Unknown

Immunohistochemistry (Formalin/PFA-fixed paraffin-embedded sections) - Anti-Lysozyme antibody (AB2408)

Immunohistochemical analysis of formalin-fixed, paraffin-embedded Human tonsil tissue, staining Lysozyme with ab2408.

Immunohistochemistry (Formalin/PFA-fixed paraffin-embedded sections) - Anti-Lysozyme antibody (AB2408)
  • IHC-P

Unknown

Immunohistochemistry (Formalin/PFA-fixed paraffin-embedded sections) - Anti-Lysozyme antibody (AB2408)

ab2408 staining lysozyme in human colon. Staining is localised to cytoplasm.
Left panel : with primary antibody at 2 ug/ml. Right panel : isotype control.
Sections were stained using an automated system (DAKO Autostainer Plus), at room temperature : sections were rehydrated and antigen retrieved with the Dako 3 in 1 AR buffer EDTA pH 9.0 in a DAKO PT Link. Slides were peroxidase blocked in 3% H2O2 in methanol for 10 mins. They were then blocked with Dako Protein block for 10 minutes (containing casein 0.25% in PBS) then incubated with primary antibody for 20 min and detected with Dako envision flex amplification kit for 30 minutes. Colorimetric detection was completed with Diaminobenzidine for 5 minutes. Slides were counterstained with Haematoxylin and coverslipped under DePeX. Please note that for manual staining we recommend to optimize the primary antibody concentration and incubation time (overnight incubation), and amplification may be required.

Key facts

宿主種

Rabbit

クローン性

Polyclonal

アイソタイプ

Unknown

軽鎖のタイプ

unknown

キャリアフリー

No

交差種

Human

アプリケーション

IHC-P

applications

免疫原

Native Full Length Protein corresponding to Human LYZ.

P61626

Reactivity data

{ "title": "Reactivity Data", "filters": { "stats": ["", "Species", "Dilution Info", "Notes"], "tabs": { "all-applications": {"fullname" : "All Applications", "shortname": "All Applications"}, "IHCP" : {"fullname" : "Immunohistochemistry (Formalin/PFA-fixed paraffin-embedded sections)", "shortname":"IHC-P"} }, "product-promise": { "all": "all", "testedAndGuaranteed": "tested", "guaranteed": "expected", "predicted": "predicted", "notRecommended": "not-recommended" } }, "values": { "Human": { "IHCP-species-checked": "testedAndGuaranteed", "IHCP-species-dilution-info": "1/50 - 1/100", "IHCP-species-notes": "<p></p>" } } }

下記製品もご検討ください

AB108508

Anti-Lysozyme antibody [EPR2994(2)]

5
4 Reviews
製品ページを見る
こちらの製品も推奨する理由

私たちは、より高品質な製品をお届けするために、製品構成を常に改善しています。今回ご紹介する代替製品は、性能の向上、使いやすさや利便性の向上、またはより早くお届けできる点などを踏まえて選定しています。

出荷温度及び保存条件

製品の状態
Liquid
精製方法
Proprietary technique
バッファー組成
pH: 7.3 - 7.5 Preservative: 0.05% Sodium azide Constituents: 1% BSA
出荷温度
Blue Ice
短期保存期間
1-2 weeks
短期保存温度
+4°C
長期保存温度
-20°C
保管に関する情報
Avoid freeze / thaw cycle

補足情報

This supplementary information is collated from multiple sources and compiled automatically.

Lysozyme also known as muramidase is a protein with enzymatic activity that breaks down bacterial cell walls by hydrolyzing the glycosidic bonds of peptidoglycan. The molecular weight of lysozyme is approximately 14 kDa. This protein is expressed in various tissues and body fluids including egg whites human saliva tears and milk. Lysozyme acts as an antimicrobial agent and plays a significant role in the innate immune system.
Biological function summary

Lysozyme contributes to host defense by targeting bacteria. It is not part of a complex but functions as a single enzyme. By compromising the integrity of bacterial cell walls it clears pathogens swiftly from the body. Lysozyme activity assays measure its ability to hydrolyze bacterial peptidoglycan reflecting its role in immune defense. Many cells such as neutrophils and macrophages express lysozyme during the immune response aiding in pathogen clearance.

Pathways

Lysozyme is chiefly involved in the antibacterial humoral response pathway. Its action aligns with other antimicrobial proteins such as lactoferrin. Both lysozyme and lactoferrin are integral to the body’s first line of defense against bacterial invasion. In addition lysozyme is relevant in the pathway managing mucosal immunity working in conjunction with proteins that enhance pathogen clearance like defensins.

Lysozyme has links to conditions such as sarcoidosis and hereditary renal amyloidosis. In sarcoidosis altered expression patterns of lysozyme may serve as a marker for disease activity. In hereditary renal amyloidosis mutations in the lysozyme gene result in amyloid fibril formation leading to renal dysfunction. Understanding these connections helps in the diagnosis and treatment of related conditions.

製品プロトコール

For this product, it's our understanding that no specific protocols are required. You can visit:

ターゲットの情報

Lysozymes have primarily a bacteriolytic function; those in tissues and body fluids are associated with the monocyte-macrophage system and enhance the activity of immunoagents.
See full target information LYZ

文献 (8)

Recent publications for all applications. Explore the full list and refine your search

iScience 26:106910 PubMed37378323

2023

Prolonged dysbiosis and altered immunity under nutritional intervention in a physiological mouse model of severe acute malnutrition.

Applications

Unspecified application

Species

Unspecified reactive species

Fanny Hidalgo-Villeda,Matthieu Million,Catherine Defoort,Thomas Vannier,Ljubica Svilar,Margaux Lagier,Camille Wagner,Cynthia Arroyo-Portilla,Lionel Chasson,Cécilia Luciani,Vincent Bossi,Jean-Pierre Gorvel,Hugues Lelouard,Julie Tomas

JCI insight 8: PubMed37014710

2023

RBM47 regulates intestinal injury and tumorigenesis by modifying proliferation, oxidative response, and inflammatory pathways.

Applications

Unspecified application

Species

Unspecified reactive species

Saeed Soleymanjahi,Valerie Blanc,Elizabeth A Molitor,David M Alvarado,Yan Xie,Vered Gazit,Jeffrey W Brown,Kathleen Byrnes,Ta-Chiang Liu,Jason C Mills,Matthew A Ciorba,Deborah C Rubin,Nicholas O Davidson

Nature protocols 17:378-401 PubMed35022622

2022

IBEX: an iterative immunolabeling and chemical bleaching method for high-content imaging of diverse tissues.

Applications

mIHC

Species

Human

Andrea J Radtke,Colin J Chu,Ziv Yaniv,Li Yao,James Marr,Rebecca T Beuschel,Hiroshi Ichise,Anita Gola,Juraj Kabat,Bradley Lowekamp,Emily Speranza,Joshua Croteau,Nishant Thakur,Danny Jonigk,Jeremy L Davis,Jonathan M Hernandez,Ronald N Germain

Advanced science (Weinheim, Baden-Wurttemberg, Germany) 8:e2004850 PubMed34240584

2021

An MST4-pβ-Catenin Signaling Axis Controls Intestinal Stem Cell and Tumorigenesis.

Applications

Unspecified application

Species

Unspecified reactive species

Hui Zhang,Moubin Lin,Chao Dong,Yang Tang,Liwei An,Junyi Ju,Fuping Wen,Fan Chen,Meng Wang,Wenjia Wang,Min Chen,Yun Zhao,Jixi Li,Steven X Hou,Xinhua Lin,Lulu Hu,Wenbo Bu,Dianqing Wu,Lin Li,Shi Jiao,Zhaocai Zhou

Proceedings of the National Academy of Sciences of the United States of America 117:33455-33465 PubMed33376221

2020

IBEX: A versatile multiplex optical imaging approach for deep phenotyping and spatial analysis of cells in complex tissues.

Applications

mIHC

Species

Human

Andrea J Radtke,Evelyn Kandov,Bradley Lowekamp,Emily Speranza,Colin J Chu,Anita Gola,Nishant Thakur,Rochelle Shih,Li Yao,Ziv Rafael Yaniv,Rebecca T Beuschel,Juraj Kabat,Joshua Croteau,Jeremy Davis,Jonathan M Hernandez,Ronald N Germain

Journal of translational medicine 17:68 PubMed30823930

2019

Processed human amniotic fluid retains its antibacterial activity.

Applications

Unspecified application

Species

Unspecified reactive species

Yong Mao,Jan Pierce,Anya Singh-Varma,Michael Boyer,Joachim Kohn,Jo-Anna Reems

Biochemistry 55:1652-62 PubMed26673564

2016

Lysine-Specific Demethylase 1A (KDM1A/LSD1): Product Recognition and Kinetic Analysis of Full-Length Histones.

Applications

Unspecified application

Species

Unspecified reactive species

Jonathan M Burg,Julie J Gonzalez,Kenneth R Maksimchuk,Dewey G McCafferty

Infection and immunity 83:2926-34 PubMed25964470

2015

Interaction of Salmonella enterica Serovar Typhimurium with Intestinal Organoids Derived from Human Induced Pluripotent Stem Cells.

Applications

IHC

Species

Unspecified reactive species

Jessica L Forbester,David Goulding,Ludovic Vallier,Nicholas Hannan,Christine Hale,Derek Pickard,Subhankar Mukhopadhyay,Gordon Dougan
View all publications

Abcam product promise

当社は、高品質な試薬を通じてお客様の研究を力強くサポートすることをお約束いたします。ご使用いただく各段階で、常にお客様をサポートできる体制を整えております。万が一、製品が期待通りに機能しない場合は、「Abcam Product Promise」による当社保証制度に基づき、安心してご利用いただけます。
保証に関する詳細については利用規約をご確認ください。

関連製品

Select an associated product type
Alternative Product
Primary Antibodies

AB197704

Biotin Anti-Lysozyme antibody [EPR2994(2)]

primary-antibodies

biotin-lysozyme-antibody-epr29942-ab197704

0

(0 reviews)

Alternative Product
Primary Antibodies

AB197705

HRP Anti-Lysozyme antibody [EPR2994(2)]

primary-antibodies

hrp-lysozyme-antibody-epr29942-ab197705

0

(0 reviews)

Alternative Product
Primary Antibodies

AB185129

Anti-Lysozyme antibody [EPR2994(2)] - BSA and Azide free

primary-antibodies

lysozyme-antibody-epr29942-bsa-and-azide-free-ab185129

0

(0 reviews)

Alternative Product
Primary Antibodies

AB227708

Anti-Lysozyme antibody [SP350] - C-terminal

primary-antibodies

lysozyme-antibody-sp350-c-terminal-ab227708

0

(0 reviews)

Alternative Product
Primary Antibodies

AB242420

Anti-Lysozyme antibody [SP329] - BSA and Azide free

primary-antibodies

lysozyme-antibody-sp329-bsa-and-azide-free-ab242420

0

(0 reviews)

Please note: All products are 'FOR RESEARCH USE ONLY. NOT FOR USE IN DIAGNOSTIC OR THERAPEUTIC PROCEDURES'.

For licensing inquiries, please contact partnerships@abcam.com