JavaScript is disabled in your browser. Please enable JavaScript to view this website.
AB231188

Anti-LRG1/LRG 抗体

Anti-LRG1/LRG antibody

0

(1 Review)

|

(3 Publications)

Rabbit Polyclonal Lrg1 antibody. Suitable for WB, IHC-P and reacts with Mouse samples. Cited in 3 publications.

別名を表示する

1300008B03Rik, 2310031E04Rik, A2GL_HUMAN, HMFT1766, LRG, LRG1, Leucine-rich alpha-2-glycoprotein, Leucine-rich alpha-2-glycoprotein 1, Leucine-rich alpha-2-glycoprotein precursor

5 Images
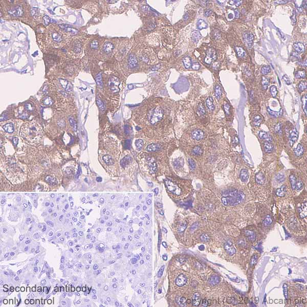
Immunohistochemistry (Formalin/PFA-fixed paraffin-embedded sections) - Anti-LRG1/LRG antibody (AB231188)
  • IHC-P

Supplier Data

Immunohistochemistry (Formalin/PFA-fixed paraffin-embedded sections) - Anti-LRG1/LRG antibody (AB231188)

Formalin-fixed, paraffin-embedded mouse esophagus tissue stained for LRG1/LRG using ab231188 at 20 mg/ml in immunohistochemical analysis. DAB staining.

Immunohistochemistry (Formalin/PFA-fixed paraffin-embedded sections) - Anti-LRG1/LRG antibody (AB231188)
  • IHC-P

Supplier Data

Immunohistochemistry (Formalin/PFA-fixed paraffin-embedded sections) - Anti-LRG1/LRG antibody (AB231188)

Formalin-fixed, paraffin-embedded mouse stomach tissue stained for LRG1/LRG using ab231188 at 20 mg/ml in immunohistochemical analysis. DAB staining.

Immunohistochemistry (Formalin/PFA-fixed paraffin-embedded sections) - Anti-LRG1/LRG antibody (AB231188)
  • IHC-P

Supplier Data

Immunohistochemistry (Formalin/PFA-fixed paraffin-embedded sections) - Anti-LRG1/LRG antibody (AB231188)

Formalin-fixed, paraffin-embedded mouse uterus tissue stained for LRG1/LRG using ab231188 at 20 mg/ml in immunohistochemical analysis. DAB staining.

Western blot - Anti-LRG1/LRG antibody (AB231188)
  • WB

Supplier Data

Western blot - Anti-LRG1/LRG antibody (AB231188)

All lanes:

Western blot - Anti-LRG1/LRG antibody (ab231188) at 3 µg/mL

Lane 1:

Mouse SP2/0 cell lysate

Lane 2:

Mouse liver lysate

Lane 3:

Mouse pancreas lysate

Secondary

All lanes:

HRP-Linked Guinea pig anti-Rabbit at 1/2000 dilution

Predicted band size: 38 kDa

false

Western blot - Anti-LRG1/LRG antibody (AB231188)
  • WB

Supplier Data

Western blot - Anti-LRG1/LRG antibody (AB231188)

All lanes:

Western blot - Anti-LRG1/LRG antibody (ab231188) at 3 µg/mL

All lanes:

Recombinant mouse LRG1/LRG

Secondary

All lanes:

HRP-Linked Guinea pig anti-Rabbit at 1/2000 dilution

Predicted band size: 38 kDa

false

Key facts

宿主種

Rabbit

クローン性

Polyclonal

アイソタイプ

IgG

キャリアフリー

No

交差種

Mouse

アプリケーション

WB, IHC-P

applications

Reactivity data

{ "title": "Reactivity Data", "filters": { "stats": ["", "Species", "Dilution Info", "Notes"], "tabs": { "all-applications": {"fullname" : "All Applications", "shortname": "All Applications"}, "WB" : {"fullname" : "Western blot", "shortname":"WB"}, "IHCP" : {"fullname" : "Immunohistochemistry (Formalin/PFA-fixed paraffin-embedded sections)", "shortname":"IHC-P"} }, "product-promise": { "all": "all", "testedAndGuaranteed": "tested", "guaranteed": "expected", "predicted": "predicted", "notRecommended": "not-recommended" } }, "values": { "Mouse": { "WB-species-checked": "testedAndGuaranteed", "WB-species-dilution-info": "0.5-2 µg/mL", "WB-species-notes": "<p></p>", "IHCP-species-checked": "testedAndGuaranteed", "IHCP-species-dilution-info": "5-20 µg/mL", "IHCP-species-notes": "<p></p>" } } }

出荷温度及び保存条件

製品の状態
Liquid
精製方法
Affinity purification Immunogen
精製に関する特記事項
Antigen-specific affinity chromatography followed by Protein A affinity chromatography.
バッファー組成
pH: 7.4 Preservative: 0.02% Sodium azide Constituents: PBS, 55.77% Glycerol (glycerin, glycerine)
出荷温度
Blue Ice
短期保存期間
1-2 weeks
短期保存温度
+4°C
長期保存温度
-20°C
分注に関する情報
Upon delivery aliquot
保管に関する情報
Avoid freeze / thaw cycle

製品プロトコール

For this product, it's our understanding that no specific protocols are required. You can visit:

ターゲットの情報

See full target information Lrg1

文献 (3)

Recent publications for all applications. Explore the full list and refine your search

Matrix biology : journal of the International Society for Matrix Biology 124:23-38 PubMed37949327

2023

Age related changes in hyaluronan expression leads to Meibomian gland dysfunction.

Applications

Unspecified application

Species

Unspecified reactive species

Sudhir Verma,Isabel Y Moreno,Mingxia Sun,Tarsis Ferreira Gesteira,Vivien J Coulson-Thomas

Communications biology 2:359 PubMed31602408

2019

Mechanical strain promotes skin fibrosis through LRG-1 induction mediated by ELK1 and ERK signalling.

Applications

Unspecified application

Species

Unspecified reactive species

Ya Gao,Jia Zhou,Zhibo Xie,Jing Wang,Chia-Kang Ho,Yifan Zhang,Qingfeng Li

The Journal of investigative dermatology 140:455-464.e8 PubMed31344385

2019

LRG1 Promotes Keratinocyte Migration and Wound Repair through Regulation of HIF-1α Stability.

Applications

Unspecified application

Species

Unspecified reactive species

Ya Gao,Zhibo Xie,Chiakang Ho,Jing Wang,Qingfeng Li,Yifan Zhang,Jia Zhou
View all publications

Abcam product promise

当社は、高品質な試薬を通じてお客様の研究を力強くサポートすることをお約束いたします。ご使用いただく各段階で、常にお客様をサポートできる体制を整えております。万が一、製品が期待通りに機能しない場合は、「Abcam Product Promise」による当社保証制度に基づき、安心してご利用いただけます。
保証に関する詳細については利用規約をご確認ください。

Please note: All products are 'FOR RESEARCH USE ONLY. NOT FOR USE IN DIAGNOSTIC OR THERAPEUTIC PROCEDURES'.

For licensing inquiries, please contact partnerships@abcam.com