JavaScript is disabled in your browser. Please enable JavaScript to view this website.
AB244468

Anti-LNPEP 抗体

Anti-LNPEP antibody

Be the first to review this product! Submit a review

|

(1 Publication)

Rabbit Polyclonal LNPEP antibody. Suitable for IHC-P and reacts with Human samples. Cited in 1 publication. Immunogen corresponding to Recombinant Fragment Protein within Human LNPEP aa 700-850.

別名を表示する

OTASE, LNPEP, Leucyl-cystinyl aminopeptidase, Cystinyl aminopeptidase, Insulin-regulated membrane aminopeptidase, Insulin-responsive aminopeptidase, Oxytocinase, Placental leucine aminopeptidase, IRAP, OTase, P-LAP

1 Images
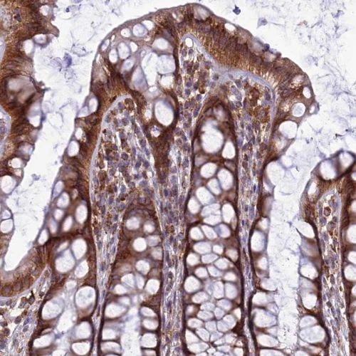
Immunohistochemistry (Formalin/PFA-fixed paraffin-embedded sections) - Anti-LNPEP antibody (AB244468)
  • IHC-P

Unknown

Immunohistochemistry (Formalin/PFA-fixed paraffin-embedded sections) - Anti-LNPEP antibody (AB244468)

Paraffin-embedded human rectum tissue stained for LNPEP using ab244468 at 1/500 dilution in immunohistochemical analysis.

Key facts

宿主種

Rabbit

クローン性

Polyclonal

アイソタイプ

IgG

キャリアフリー

No

交差種

Human

アプリケーション

IHC-P

applications

免疫原

Recombinant Fragment Protein within Human LNPEP aa 700-850. The exact immunogen used to generate this antibody is proprietary information.

Q9UIQ6

Reactivity data

{ "title": "Reactivity Data", "filters": { "stats": ["", "Species", "Dilution Info", "Notes"], "tabs": { "all-applications": {"fullname" : "All Applications", "shortname": "All Applications"}, "IHCP" : {"fullname" : "Immunohistochemistry (Formalin/PFA-fixed paraffin-embedded sections)", "shortname":"IHC-P"} }, "product-promise": { "all": "all", "testedAndGuaranteed": "tested", "guaranteed": "expected", "predicted": "predicted", "notRecommended": "not-recommended" } }, "values": { "Human": { "IHCP-species-checked": "testedAndGuaranteed", "IHCP-species-dilution-info": "1/500 - 1/1000", "IHCP-species-notes": "<p></p> Perform heat-mediated antigen retrieval with citrate buffer pH 6 before commencing with IHC staining protocol." } } }

出荷温度及び保存条件

製品の状態
Liquid
精製方法
Affinity purification Immunogen
バッファー組成
pH: 7.2 Preservative: 0.02% Sodium azide Constituents: PBS, 40% Glycerol (glycerin, glycerine)
出荷温度
Blue Ice
短期保存期間
1-2 weeks
短期保存温度
+4°C
長期保存温度
-20°C
分注に関する情報
Upon delivery aliquot
保管に関する情報
Avoid freeze / thaw cycle

補足情報

This supplementary information is collated from multiple sources and compiled automatically.

LNPEP also called leucyl/cystinyl aminopeptidase or insulin-regulated membrane aminopeptidase (IRAP) serves as a zinc-dependent aminopeptidase. This protein cleaves N-terminal amino acids from peptide substrates functioning inside various tissues like the heart brain and placenta. The mass of LNPEP is approximately 140 kDa. It associates with the endosome compartment in cells and resides at the plasma membrane linking to vesicular transport processes.
Biological function summary

LNPEP plays a role in peptide hormone regulation and recognition involving itself in glucose homeostasis and blood pressure regulation. It joins part of complexes involved in peptide recycling and processing within endocytic vesicles. This protein regulates the degradation of peptide hormones like oxytocin and vasopressin indicating its function extends to neuropeptide modulation.

Pathways

The activity of LNPEP spans significant biological pathways such as the renin-angiotensin system where it modulates the levels of angiotensin IV impacting cardiovascular functions and influencing blood pressure regulation. It closely relates to proteins like insulin-responsive aminopeptidase and angiotensin IV receptor enhancing its regulatory role within these pathways.

LNPEP significantly links to hypertension and diabetes. The modulation of angiotensin IV by LNPEP directly impacts blood pressure associating its activity with the development and management of hypertension. Additionally LNPEP's impact on glucose uptake and insulin action connects it with diabetic conditions. It exhibits interactions with proteins such as the glucose transporter type 4 (GLUT4) in the context of diabetes highlighting its role in metabolic regulation.

製品プロトコール

For this product, it's our understanding that no specific protocols are required. You can visit:

ターゲットの情報

Release of an N-terminal amino acid, cleaves before cysteine, leucine as well as other amino acids. Degrades peptide hormones such as oxytocin, vasopressin and angiotensin III, and plays a role in maintaining homeostasis during pregnancy. May be involved in the inactivation of neuronal peptides in the brain. Cleaves Met-enkephalin and dynorphin. Binds angiotensin IV and may be the angiotensin IV receptor in the brain.
See full target information LNPEP

文献 (1)

Recent publications for all applications. Explore the full list and refine your search

Cell biology and toxicology 40:108 PubMed39630363

2024

The mechanism of sevoflurane affecting ovarian cancer cell proliferation and migration by regulating RNA methylase TRDMT1 to activate the β-catenin pathway.

Applications

Unspecified application

Species

Unspecified reactive species

Xiaochen Huang,Xuewei Lao,Chengyan He,Jia Wang,Ying Pan
View all publications

Abcam product promise

当社は、高品質な試薬を通じてお客様の研究を力強くサポートすることをお約束いたします。ご使用いただく各段階で、常にお客様をサポートできる体制を整えております。万が一、製品が期待通りに機能しない場合は、「Abcam Product Promise」による当社保証制度に基づき、安心してご利用いただけます。
保証に関する詳細については利用規約をご確認ください。

Please note: All products are 'FOR RESEARCH USE ONLY. NOT FOR USE IN DIAGNOSTIC OR THERAPEUTIC PROCEDURES'.

For licensing inquiries, please contact partnerships@abcam.com