JavaScript is disabled in your browser. Please enable JavaScript to view this website.
AB227798

Anti-Liver Arginase 抗体 - N-terminal

Anti-Liver Arginase antibody - N-terminal

Be the first to review this product! Submit a review

|

(1 Publication)

Rabbit Polyclonal Liver Arginase antibody. N-terminal. Suitable for IHC-P, WB and reacts with Human samples. Cited in 1 publication.

別名を表示する

Arginase-1, Liver-type arginase, Type I arginase, ARG1

3 Images
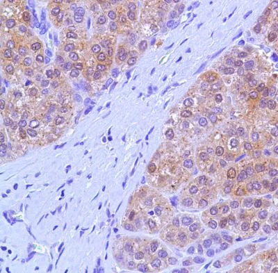
Immunohistochemistry (Formalin/PFA-fixed paraffin-embedded sections) - Anti-Liver Arginase antibody - N-terminal (AB227798)
  • IHC-P

Supplier Data

Immunohistochemistry (Formalin/PFA-fixed paraffin-embedded sections) - Anti-Liver Arginase antibody - N-terminal (AB227798)

Formalin-fixed, paraffin-embedded human hepatocellular carcinoma tissue stained for Liver Arginase using ab227798 at 1/100 dilution in immunohistochemical analysis.

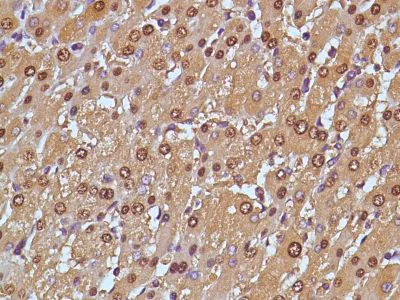
Immunohistochemistry (Formalin/PFA-fixed paraffin-embedded sections) - Anti-Liver Arginase antibody - N-terminal (AB227798)
  • IHC-P

Supplier Data

Immunohistochemistry (Formalin/PFA-fixed paraffin-embedded sections) - Anti-Liver Arginase antibody - N-terminal (AB227798)

Formalin-fixed, paraffin-embedded human liver tissue stained for Liver Arginase using ab227798 at 1/100 dilution in immunohistochemical analysis.

Western blot - Anti-Liver Arginase antibody - N-terminal (AB227798)
  • WB

Supplier Data

Western blot - Anti-Liver Arginase antibody - N-terminal (AB227798)

All lanes:

Western blot - Anti-Liver Arginase antibody - N-terminal (ab227798) at 1/100 dilution

All lanes:

MOLT-4 (human lymphoblastic leukemia cell line) cell lysate

Predicted band size: 35 kDa

false

Key facts

宿主種

Rabbit

クローン性

Polyclonal

アイソタイプ

IgG

キャリアフリー

No

交差種

Human

アプリケーション

WB, IHC-P

applications

免疫原

The exact immunogen used to generate this antibody is proprietary information.

Reactivity data

{ "title": "Reactivity Data", "filters": { "stats": ["", "Species", "Dilution Info", "Notes"], "tabs": { "all-applications": {"fullname" : "All Applications", "shortname": "All Applications"}, "IHCP" : {"fullname" : "Immunohistochemistry (Formalin/PFA-fixed paraffin-embedded sections)", "shortname":"IHC-P"}, "WB" : {"fullname" : "Western blot", "shortname":"WB"} }, "product-promise": { "all": "all", "testedAndGuaranteed": "tested", "guaranteed": "expected", "predicted": "predicted", "notRecommended": "not-recommended" } }, "values": { "Human": { "IHCP-species-checked": "testedAndGuaranteed", "IHCP-species-dilution-info": "1/100", "IHCP-species-notes": "<p></p>", "WB-species-checked": "testedAndGuaranteed", "WB-species-dilution-info": "1/100", "WB-species-notes": "<p></p>" } } }

出荷温度及び保存条件

製品の状態
Liquid
精製方法
Affinity purification Immunogen
バッファー組成
pH: 7.6 Preservative: 0.1% Sodium azide Constituents: PBS, 1% BSA
出荷温度
Blue Ice
短期保存期間
1-2 weeks
短期保存温度
+4°C
長期保存温度
-20°C
分注に関する情報
Upon delivery aliquot
保管に関する情報
Avoid freeze / thaw cycle

製品プロトコール

For this product, it's our understanding that no specific protocols are required. You can visit:

ターゲットの情報

Key element of the urea cycle converting L-arginine to urea and L-ornithine, which is further metabolized into metabolites proline and polyamides that drive collagen synthesis and bioenergetic pathways critical for cell proliferation, respectively; the urea cycle takes place primarily in the liver and, to a lesser extent, in the kidneys.. Functions in L-arginine homeostasis in nonhepatic tissues characterized by the competition between nitric oxide synthase (NOS) and arginase for the available intracellular substrate arginine. Arginine metabolism is a critical regulator of innate and adaptive immune responses. Involved in an antimicrobial effector pathway in polymorphonuclear granulocytes (PMN). Upon PMN cell death is liberated from the phagolysosome and depletes arginine in the microenvironment leading to suppressed T cell and natural killer (NK) cell proliferation and cytokine secretion (PubMed : 15546957, PubMed : 16709924, PubMed : 19380772). In group 2 innate lymphoid cells (ILC2s) promotes acute type 2 inflammation in the lung and is involved in optimal ILC2 proliferation but not survival (By similarity). In humans, the immunological role in the monocytic/macrophage/dendritic cell (DC) lineage is unsure.
See full target information ARG1

文献 (1)

Recent publications for all applications. Explore the full list and refine your search

Nature communications 15:3220 PubMed38622115

2024

Reciprocal antagonism of PIN1-APC/C governs mitotic protein stability and cell cycle entry.

Applications

Unspecified application

Species

Unspecified reactive species

Shizhong Ke,Fabin Dang,Lin Wang,Jia-Yun Chen,Mandar T Naik,Wenxue Li,Abhishek Thavamani,Nami Kim,Nandita M Naik,Huaxiu Sui,Wei Tang,Chenxi Qiu,Kazuhiro Koikawa,Felipe Batalini,Emily Stern Gatof,Daniela Arango Isaza,Jaymin M Patel,Xiaodong Wang,John G Clohessy,Yujing J Heng,Galit Lahav,Yansheng Liu,Nathanael S Gray,Xiao Zhen Zhou,Wenyi Wei,Gerburg M Wulf,Kun Ping Lu
View all publications

Abcam product promise

当社は、高品質な試薬を通じてお客様の研究を力強くサポートすることをお約束いたします。ご使用いただく各段階で、常にお客様をサポートできる体制を整えております。万が一、製品が期待通りに機能しない場合は、「Abcam Product Promise」による当社保証制度に基づき、安心してご利用いただけます。
保証に関する詳細については利用規約をご確認ください。

Please note: All products are 'FOR RESEARCH USE ONLY. NOT FOR USE IN DIAGNOSTIC OR THERAPEUTIC PROCEDURES'.

For licensing inquiries, please contact partnerships@abcam.com