JavaScript is disabled in your browser. Please enable JavaScript to view this website.
AB137872

Anti-LEF1 抗体 [EPR2029Y]

Anti-LEF1 antibody [EPR2029Y]

  • BOND RX™ Validated
  • 20ul selling size
  • RabMAb
  • Recombinant
  • KO Validated
  • 詳細を見る

5

(3 Reviews)

|

(69 Publications)

Anti-LEF1 antibody [EPR2029Y] (ab137872) is a rabbit monoclonal antibody detecting LEF1 in Western Blot, Flow Cytometry (Intra), Flow Cytometry, IP, IHC-P, ICC/IF. Suitable for Human, Mouse, Rat.

- KO validated for confirmed specificity
- Biophysical QC for unrivalled batch-batch consistency
- Over 60 publications

別名を表示する

Lymphoid enhancer-binding factor 1, LEF-1, T cell-specific transcription factor 1-alpha, TCF1-alpha, LEF1

20 Images
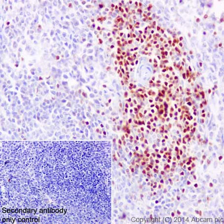
Immunohistochemistry (Formalin/PFA-fixed paraffin-embedded sections) - Anti-LEF1 antibody [EPR2029Y] (AB137872)
  • IHC-P

Supplier Data

Immunohistochemistry (Formalin/PFA-fixed paraffin-embedded sections) - Anti-LEF1 antibody [EPR2029Y] (AB137872)

ab137872 staining LEF1 in paraffin embedded human melanoma tissue by Immunohistochemistry. Heat mediated antigen retrieval was performed with Tris-EDTA buffer (pH 9.0, Epitope Retrieval Solution2) for 20 mins.  Samples were incubated with primary antibody at 1/2000 dilution for 30 mins at room temperature. A ready to use Rabbit specific IHC polymer detection kit HRP/DAB (ab209101) was used as the secondary antibody. Hematoxylin was used as a counterstain. The immunostaining was performed on a Leica Biosystems BOND® RX instrument.

Flow Cytometry (Intracellular) - Anti-LEF1 antibody [EPR2029Y] (AB137872)
  • Flow Cyt (Intra)

Lab

Flow Cytometry (Intracellular) - Anti-LEF1 antibody [EPR2029Y] (AB137872)

Flow cytometry overlay histogram showing left Jurkat positive cells and right negative HeLa stained with ab137872 (red line). The cells were fixed with 80% methanol (5 min) and then permeabilised with 0.1% PBS-Triton X-100 for 15 min. The cells were then incubated in 1x PBS containing 10% normal goat serum to block non-specific protein-protein interaction followed by the antibody (ab137872) (1x 106 in 100μl at 0.2μg/ml (1/11500 dilution)) for 30min at 22°C.The secondary antibody Goat Anti-Rabbit IgG H&L (Alexa Fluor® 488) preadsorbed was incubated at 1/4000 for 30min at 22°CIsotype control antibody (black line) was Recombinant Rabbit IgG monoclonal [EPR25A] - Isotype Control used at the same concentration and conditions as the primary antibody. Unlabelled sample (blue line) was also used as a control.Acquisition of >5000 events were collected using a 50 mW Blue laser (488nm) and 525/40 bandpass filter.This antibody gave a positive signal in Jurkat Fixed with 4% formaldehyde (10 min) / permeabilised with 0.1% PBS-Triton X-100 for 15 min under the same conditions.

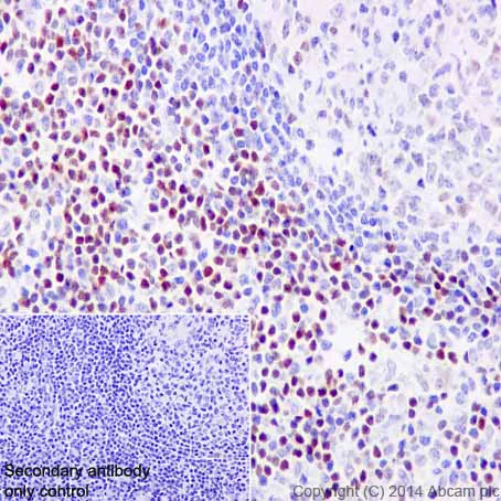
Immunohistochemistry (Formalin/PFA-fixed paraffin-embedded sections) - Anti-LEF1 antibody [EPR2029Y] (AB137872)
  • IHC-P

Supplier Data

Immunohistochemistry (Formalin/PFA-fixed paraffin-embedded sections) - Anti-LEF1 antibody [EPR2029Y] (AB137872)

ab137872 staining LEF1 in paraffin embedded human thymona tissue by Immunohistochemistry. Heat mediated antigen retrieval was performed with Tris-EDTA buffer (pH 9.0, Epitope Retrieval Solution2) for 20 mins.  Samples were incubated with primary antibody at 1/2000 dilution for 30 mins at room temperature. A ready to use Rabbit specific IHC polymer detection kit HRP/DAB (ab209101) was used as the secondary antibody. Hematoxylin was used as a counterstain. The immunostaining was performed on a Leica Biosystems BOND® RX instrument.

Immunohistochemistry (Formalin/PFA-fixed paraffin-embedded sections) - Anti-LEF1 antibody [EPR2029Y] (AB137872)
  • IHC-P

Supplier Data

Immunohistochemistry (Formalin/PFA-fixed paraffin-embedded sections) - Anti-LEF1 antibody [EPR2029Y] (AB137872)

ab137872 staining LEF1 in paraffin embedded human melanoma tissue by Immunohistochemistry. Heat mediated antigen retrieval was performed with Tris-EDTA buffer (pH 9.0 Epitope Retrieval Solution2) for 20 mins.  Samples were incubated with primary antibody at 1/2000 dilution for 30 mins at room temperature. A ready to use Rabbit specific IHC polymer detection kit HRP/DAB (ab209101) was used as the secondary antibody. Hematoxylin was used as a counterstain. The immunostaining was performed on a Leica Biosystems BOND® RX instrument.

Western blot - Anti-LEF1 antibody [EPR2029Y] (AB137872)
  • WB

Unknown

Western blot - Anti-LEF1 antibody [EPR2029Y] (AB137872)

Blocking/Dilution buffer : 5% NFDM/TBST

All lanes:

Western blot - Anti-LEF1 antibody [EPR2029Y] (ab137872) at 1/1000 dilution

All lanes:

Human fetal thymus lysate at 10 µg

Secondary

All lanes:

HRP goat anti-rabbit (H+L) at 1/1000 dilution

Predicted band size: 44 kDa

false

Western blot - Anti-LEF1 antibody [EPR2029Y] (AB137872)
  • WB

Unknown

Western blot - Anti-LEF1 antibody [EPR2029Y] (AB137872)

Blocking/Dilution buffer : 5% NFDM/TBST

All lanes:

Western blot - Anti-LEF1 antibody [EPR2029Y] (ab137872) at 1/10000 dilution

All lanes:

Jurkat (Human T cell leukemia cell line from peripheral blood) cell lysate at 10 µg

Secondary

All lanes:

HRP goat anti-rabbit (H+L) at 1/1000 dilution

Predicted band size: 44 kDa

false

Western blot - Anti-LEF1 antibody [EPR2029Y] (AB137872)
  • WB

Unknown

Western blot - Anti-LEF1 antibody [EPR2029Y] (AB137872)

Blocking/Dilution buffer : 5% NFDM/TBST

All lanes:

Western blot - Anti-LEF1 antibody [EPR2029Y] (ab137872) at 1/2000 dilution

All lanes:

Rat thymus tissue lysate at 20 µg

Secondary

All lanes:

HRP goat anti-rabbit (H+L) at 1/1000 dilution

Predicted band size: 44 kDa

false

Flow Cytometry (Intracellular) - Anti-LEF1 antibody [EPR2029Y] (AB137872)
  • Flow Cyt (Intra)

Lab

Flow Cytometry (Intracellular) - Anti-LEF1 antibody [EPR2029Y] (AB137872)

Intracellular flow cytometric analysis of Jurkat cell line (human T cell leukemia T lymphocyte) fixed with 4% paraformaldehyde and permeabilized with 90% methanol labeling LEF1 with ab137872 at 1/600 dilution (red). This is compared with a Rabbit monoclonal IgG (ab172730) - Isotype control (black) and a unlabeled control (cells without incubation with primary antibody and secondary antibody) (blue). Goat anti-rabbit IgG (Alexa Fluor®488) was used as the secondary antibody.

Immunocytochemistry/ Immunofluorescence - Anti-LEF1 antibody [EPR2029Y] (AB137872)
  • ICC/IF

Unknown

Immunocytochemistry/ Immunofluorescence - Anti-LEF1 antibody [EPR2029Y] (AB137872)

Immunofluorescence staining of Jurkat (Human T cell leukemia cell line from peripheral blood) cells with purified ab137872 at a working dilution of 1 in 500 counter-stained with DAPI. Tubulin was stained with mouse anti-tubulin at a dilution of 1/1000 (ab7291) and Alexa Fluor® 594 goat anti-mouse at a dilution of 1/500 (ab150120) . The secondary antibody was ab150077 Alexa Fluor® 488 goat anti rabbit used at a dilution of 1 in 500. The cells were fixed in 4% PFA and permeabilized using 0.1% Triton X 100.

The negative controls are shown in the bottom middle and right hand panels - for the first negative control purified ab137872 was used at a dilution of 1/200 followed by an Alexa Fluor® 555 goat anti-mouse antibody at a dilution of 1/500 and for the second negative control mouse primary antibody (ab7291) and anti-rabbit secondary antibody (ab15007) were used.

Immunohistochemistry (Formalin/PFA-fixed paraffin-embedded sections) - Anti-LEF1 antibody [EPR2029Y] (AB137872)
  • IHC-P

Unknown

Immunohistochemistry (Formalin/PFA-fixed paraffin-embedded sections) - Anti-LEF1 antibody [EPR2029Y] (AB137872)

Immunohistochemical staining of paraffin embedded human tonsil with purified ab137872 at a working dilution of 1/500. The secondary antibody used is ab97051 an HRP-conjugated goat anti-rabbit IgG (H+L) at a dilution of 1/500. The sample is counter-stained with hematoxylin. Antigen retrieval was perfomed using Tris-EDTA buffer pH 9.0. PBS was used instead of the primary antibody as the negative control and is shown in the inset.

Immunohistochemistry (Formalin/PFA-fixed paraffin-embedded sections) - Anti-LEF1 antibody [EPR2029Y] (AB137872)
  • IHC-P

Unknown

Immunohistochemistry (Formalin/PFA-fixed paraffin-embedded sections) - Anti-LEF1 antibody [EPR2029Y] (AB137872)

Immunohistochemical staining of paraffin embedded rat spleen with purified ab137872 at a working dilution of 1/500. The secondary antibody used is ab97051, an HRP-conjugated goat anti-rabbit IgG (H+L), at a dilution of 1/500. The sample is counter-stained with hematoxylin. Antigen retrieval was perfomed using Tris-EDTA buffer, pH 9.0. PBS was used instead of the primary antibody as the negative control, and is shown in the inset.

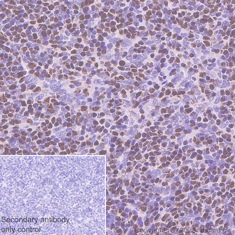
Immunohistochemistry (Formalin/PFA-fixed paraffin-embedded sections) - Anti-LEF1 antibody [EPR2029Y] (AB137872)
  • IHC-P

Unknown

Immunohistochemistry (Formalin/PFA-fixed paraffin-embedded sections) - Anti-LEF1 antibody [EPR2029Y] (AB137872)

Immunohistochemical staining of paraffin-embedded human thymus with purified ab137872 at a working dilution of 1/500. The secondary antibody used is ab97051 an HRP-conjugated goat anti-rabbit IgG (H+L) at a dilution of 1/500. The sample is counter-stained with hematoxylin. Antigen retrieval was perfomed using Tris-EDTA buffer pH 9.0. PBS was used instead of the primary antibody as the negative control and is shown in the inset.

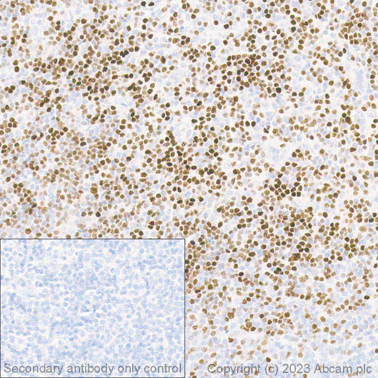
Immunohistochemistry (Formalin/PFA-fixed paraffin-embedded sections) - Anti-LEF1 antibody [EPR2029Y] (AB137872)
  • IHC-P

Lab

Immunohistochemistry (Formalin/PFA-fixed paraffin-embedded sections) - Anti-LEF1 antibody [EPR2029Y] (AB137872)

Tissue Microarrays stained for Anti-LEF1 antibody [EPR2029Y] using ab137872 in immunohistochemical analysis. This table provides a detailed overview of positive (tick mark) and negaive (cross mark) staining per sample type tested. The sections were incubated with ab137872 for 30 mins at room temperature used at 1 : 2000 dilution (1.05 μg/ml) followed by a ready to use Rabbit specific IHC polymer detection kit HRP/DAB secondary antibody (ab209101). Counterstain was Hematoxylin. Heat mediated antigen retrieval was performed with Tris-EDTA buffer (pH 9.0, Epitope Retrieval Solution2) for 20 mins. The immunostaining was performed on a Leica Biosystems BOND® RX instrument.

Immunohistochemistry (Formalin/PFA-fixed paraffin-embedded sections) - Anti-LEF1 antibody [EPR2029Y] (AB137872)
  • IHC-P

Lab

Immunohistochemistry (Formalin/PFA-fixed paraffin-embedded sections) - Anti-LEF1 antibody [EPR2029Y] (AB137872)

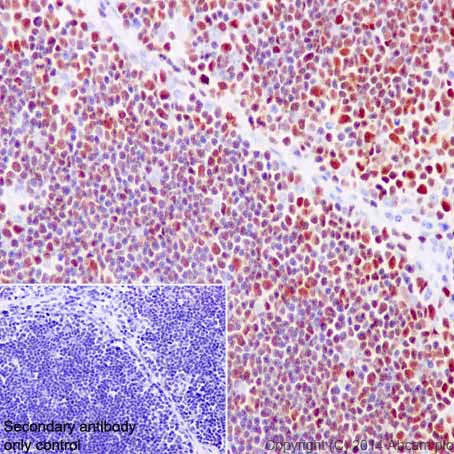
Immunohistochemical analysis of formalin fixed paraffin embedded human tonsil labelling LEF1 with ab137872 at a concentration of 0.5 µg/ml. The immunostaining was performed on a Ventana DISCOVERY ULTRA (Roche Tissue Diagnostics) instrument with an OptiView DAB IHC Detection Kit. Heat mediated antigen retrieval was conducted for 32 mins at 100°C with ULTRA cell conditioning solution (CC1, pH 8.5). ab137872 anti LEF1 antibody [EPR2029Y] was incubated at 37°C for 16 mins. Sections were counterstained with Hematoxylin II. Image inset shows absence of staining in secondary antibody only control.

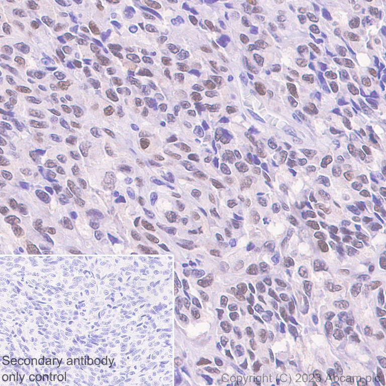
Immunohistochemistry (Formalin/PFA-fixed paraffin-embedded sections) - Anti-LEF1 antibody [EPR2029Y] (AB137872)
  • IHC-P

Lab

Immunohistochemistry (Formalin/PFA-fixed paraffin-embedded sections) - Anti-LEF1 antibody [EPR2029Y] (AB137872)

ab137872 staining LEF1 in paraffin embedded mouse spleen tissue by Immunohistochemistry. Antigen retrieval was performed by heat mediation using ab93684 (Tris/EDTA buffer, ph 9). Samples were incubated with primary antibody at 1/2000 dilution. A ready to use Goat Anti-rabbit IgG H&L (HRP) was used as the secondary antibody. Hematoxylin was used as a counterstain. Nuclear staining on T cells in periarterial lymphatic sheath of mouse spleen is observed (PMID : 21685909).

Immunoprecipitation - Anti-LEF1 antibody [EPR2029Y] (AB137872)
  • IP

Lab

Immunoprecipitation - Anti-LEF1 antibody [EPR2029Y] (AB137872)

Lane 1 (input) : Jurkat (human T cell leukemia T lymphocyte) whole cell lysate, 10 μg
Lane 2 (+) : Jurkat whole cell lysate
Lane 3 (-) : Rabbit monoclonal IgG (ab172730) instead of ab137872 in Jurkat whole cell lysate

ab137872 immunoprecipitating LEF1 in Jurkat whole cell lysate. For western blotting, primary antibody used was ab137872 at 1/1000 dilution. VeriBlot for IP Detection Reagent (HRP) (ab131366), was used for detection at 1/10,000 dilution.

Blocking and diluting buffer : 5% NFDM/TBST

Exposure time : 3 minutes

All lanes:

Immunoprecipitation - Anti-LEF1 antibody [EPR2029Y] (ab137872)

Predicted band size: 44 kDa

false

Exposure time: 3min

Immunoprecipitation - Anti-LEF1 antibody [EPR2029Y] (AB137872)
  • IP

Lab

Immunoprecipitation - Anti-LEF1 antibody [EPR2029Y] (AB137872)

Lane 1 (input) : Rat thymus lysate, 10μg
Lane 2 (+) : Rat thymus lysate
Lane 3 (-) : Rabbit monoclonal IgG (ab172730) instead of ab137872 in rat thymus lysate

ab137872 immunoprecipitating LEF1 in rat thymus lysate. For western blotting, primary antibody used was ab137872 at 1/1000 dilution. VeriBlot for IP Detection Reagent (HRP) (ab131366), was used for detection at 1/10,000 dilution.

Blocking and diluting buffer : 5% NFDM/TBST

Exposure time : 3 minutes

All lanes:

Immunoprecipitation - Anti-LEF1 antibody [EPR2029Y] (ab137872)

Predicted band size: 44 kDa

false

Exposure time: 3min

Western blot - Anti-LEF1 antibody [EPR2029Y] (AB137872)
  • WB

Lab

Western blot - Anti-LEF1 antibody [EPR2029Y] (AB137872)

Different batches of ab137872 were tested on Jurkat (Human T cell leukemia T lymphocyte) lysate at 1.1 µg/ml. 15 µg of lysate was loaded in each lane. Bands observed at 25-57 kDa.

All lanes:

Western blot - Anti-LEF1 antibody [EPR2029Y] (ab137872)

Predicted band size: 44 kDa

false

Western blot - Anti-LEF1 antibody [EPR2029Y] (AB137872)
  • WB

Lab

Western blot - Anti-LEF1 antibody [EPR2029Y] (AB137872)

False colour image of Western blot : Anti-LEF1 antibody [EPR2029Y] staining at 1/1000 dilution, shown in black; Mouse anti-Alpha Tubulin [DM1A] (ab7291) loading control staining at 1/20000 dilution, shown in red. In Western blot, ab137872 was shown to bind specifically to LEF1. A band was observed at 40/53 kDa in wild-type Jurkat cell lysates with no signal observed at this size in Lef1 knockout cell line ab274898 (knockout cell lysate ab274956). To generate this image, wild-type and Lef1 knockout Jurkat cell lysates were analysed. First, samples were run on an SDS-PAGE gel then transferred onto a nitrocellulose membrane. Membranes were blocked in 3% milk in TBS-0.1 % Tween® 20 (TBS-T) before incubation with primary antibodies overnight at 4°C. Blots were washed four times in TBS-T, incubated with secondary antibodies for 1 h at room temperature, washed again four times before development with Optiblot (ECL reagent ab133456) and imaged with 4 minutes exposure time. Secondary antibodies used were HRP conjugated Goat anti-Rabbit (H+L) and Goat anti-Mouse IgG H&L (IRDye® 680RD) preabsorbed (ab216776) at 1/20000 dilution.

All lanes:

Western blot - Anti-LEF1 antibody [EPR2029Y] (ab137872) at 1/1000 dilution

Lane 1:

Wild-type Jurkat cell lysate at 40 µg

Lane 2:

Lef1 knockout Jurkat cell lysate at 40 µg

Lane 2:

Western blot - Human LEF1 knockout Jurkat cell line (<a href='/products/cell-lines/human-lef1-knockout-jurkat-cell-line-ab274898'>ab274898</a>)

Lane 3:

Jurkat cell lysate at 20 µg

Predicted band size: 44 kDa

Observed band size: 40 kDa

false

Western blot - Anti-LEF1 antibody [EPR2029Y] (AB137872)
  • WB

Lab

Western blot - Anti-LEF1 antibody [EPR2029Y] (AB137872)

Blocking and diluting buffer : 5% NFDM/TBST

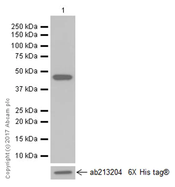
All lanes:

Western blot - Anti-LEF1 antibody [EPR2029Y] (ab137872) at 1/1000 dilution

All lanes:

His-tagged mouse LEF-1 recombinant protein (aa1-397) at 0.01 µg

Secondary

All lanes:

Western blot - Goat Anti-Rabbit IgG H&L (HRP) (<a href='/products/secondary-antibodies/goat-rabbit-igg-h-l-hrp-ab97051'>ab97051</a>) at 1/100000 dilution

Predicted band size: 44 kDa

Observed band size: 44 kDa

false

Exposure time: 1s

関連する標識済み抗体及び組成の異なる製品 (4)

  • HRP

    HRP Anti-LEF1 antibody [EPR2029Y]

  • Carrier free

    Anti-LEF1 antibody [EPR2029Y] - BSA and Azide free

  • 665 Alexa Fluor® 647

    Alexa Fluor® 647 Anti-LEF1 antibody [EPR2029Y]

  • 660 APC

    APC Anti-LEF1 antibody [EPR2029Y]

Key facts

宿主種

Rabbit

クローン性

Monoclonal

クローン番号

EPR2029Y

アイソタイプ

IgG

キャリアフリー

No

交差種

Mouse, Rat, Human

アプリケーション

Flow Cyt (Intra), WB, IHC-P, ICC/IF, IP

applications

免疫原

The exact immunogen used to generate this antibody is proprietary information.

Reactivity data

{ "title": "Reactivity Data", "filters": { "stats": ["", "Species", "Dilution Info", "Notes"], "tabs": { "all-applications": {"fullname" : "All Applications", "shortname": "All Applications"}, "IHCP" : {"fullname" : "Immunohistochemistry (Formalin/PFA-fixed paraffin-embedded sections)", "shortname":"IHC-P"}, "IP" : {"fullname" : "Immunoprecipitation", "shortname":"IP"}, "WB" : {"fullname" : "Western blot", "shortname":"WB"}, "ICCIF" : {"fullname" : "Immunocytochemistry/ Immunofluorescence", "shortname":"ICC/IF"}, "FlowCytIntra" : {"fullname" : "Flow Cytometry (Intracellular)", "shortname":"Flow Cyt (Intra)"} }, "product-promise": { "all": "all", "testedAndGuaranteed": "tested", "guaranteed": "expected", "predicted": "predicted", "notRecommended": "not-recommended" } }, "values": { "Human": { "IHCP-species-checked": "testedAndGuaranteed", "IHCP-species-dilution-info": "1/100 - 1/500", "IHCP-species-notes": "<p></p> Perform heat-mediated antigen retrieval with citrate buffer pH 6 before commencing with IHC staining protocol.", "IP-species-checked": "testedAndGuaranteed", "IP-species-dilution-info": "", "IP-species-notes": "<p></p>", "WB-species-checked": "testedAndGuaranteed", "WB-species-dilution-info": "1/1000", "WB-species-notes": "<p>We don't recommend this antibody for mouse in Western Blot. In our hands an extra band was observed in mouse tissue lysates.</p>", "ICCIF-species-checked": "testedAndGuaranteed", "ICCIF-species-dilution-info": "1/500", "ICCIF-species-notes": "<p></p>", "FlowCytIntra-species-checked": "testedAndGuaranteed", "FlowCytIntra-species-dilution-info": "", "FlowCytIntra-species-notes": "<p></p>" }, "Mouse": { "IHCP-species-checked": "testedAndGuaranteed", "IHCP-species-dilution-info": "1/100 - 1/500", "IHCP-species-notes": "<p></p> Perform heat-mediated antigen retrieval with citrate buffer pH 6 before commencing with IHC staining protocol.", "IP-species-checked": "guaranteed", "IP-species-dilution-info": "", "IP-species-notes": "", "WB-species-checked": "guaranteed", "WB-species-dilution-info": "", "WB-species-notes": "", "ICCIF-species-checked": "guaranteed", "ICCIF-species-dilution-info": "", "ICCIF-species-notes": "", "FlowCytIntra-species-checked": "guaranteed", "FlowCytIntra-species-dilution-info": "", "FlowCytIntra-species-notes": "" }, "Rat": { "IHCP-species-checked": "testedAndGuaranteed", "IHCP-species-dilution-info": "1/100 - 1/500", "IHCP-species-notes": "<p></p> Perform heat-mediated antigen retrieval with citrate buffer pH 6 before commencing with IHC staining protocol.", "IP-species-checked": "testedAndGuaranteed", "IP-species-dilution-info": "", "IP-species-notes": "<p></p>", "WB-species-checked": "testedAndGuaranteed", "WB-species-dilution-info": "1/1000", "WB-species-notes": "<p>We don't recommend this antibody for mouse in Western Blot. In our hands an extra band was observed in mouse tissue lysates.</p>", "ICCIF-species-checked": "guaranteed", "ICCIF-species-dilution-info": "", "ICCIF-species-notes": "", "FlowCytIntra-species-checked": "guaranteed", "FlowCytIntra-species-dilution-info": "", "FlowCytIntra-species-notes": "" } } }

下記製品にもご興味をお持ちいただけるかもしれません:

AB289647

Human LEF1 ELISA Kit

0

0 Reviews

製品ページを見る
こちらの製品も推奨する理由

この製品は、同様の実験や関連する研究で広く使用されていることから推奨させていただいております。

お客様の実験に適するかご確認いただくため、必ず製品データシートをご確認いただくことをお勧めいたします。ご不明点等ございましたら、テクニカルサポートチームまでお問い合わせください。

製品の詳細

Anti-LEF1 antibody [EPR2029Y] (ab137872) was developed by Abcam using patented rabbit monoclonal antibody technology and is validated for use in Flow Cyt (Intra), ICC/IF, IHC-P, IP and WB.

Abcam's high quality manufacturing and validation processes ensure Anti-LEF1 antibody [EPR2029Y] (ab137872) has high sensitivity and specificity alongside high lot-to-lot consistency and reproducibility.

The specificity of Anti-LEF1 antibody [EPR2029Y] (ab137872) has been confirmed by Western Blot testing in LEF1 knockout Jurkat cells (ab274898).

Anti-LEF1 antibody [EPR2029Y] (ab137872) specifically detects LEF1 (UniProt ID: Q9UJU2; Molecular weight: 45kDa) and is sold in a convenient trial size to enable initial testing (20 µL) and larger sizes for subsequent scaling up experiments (100 µL and 1 mL).

Conjugation-ready, carrier free format available for antibody clone EPR2029Y - ab215999.

Antibody clone EPR2029Y is also available pre-conjugated to a variety of labels for your convenience - HRP, Alexa Fluor® 647, APC (ab197623, ab246715, ab314938).

LEF1 is a transcription factor that promotes tumorigenicity in various cancers by activating pathways like TGF-β. LEF1 also plays a role in maintaining cancer stem cell properties, contributing to chemoresistance and metastasis.

Patented technology
Our RabMAb® technology is a patented hybridoma-based technology for making rabbit monoclonal antibodies. For details on our patents, please refer to RabMAb® patents.

What are the advantages of a recombinant monoclonal antibody?
This product is a recombinant monoclonal antibody, which offers several advantages including:

  • - High batch-to-batch consistency and reproducibility
  • - Improved sensitivity and specificity
  • - Long-term security of supply
  • - Animal-free batch production

For more information, read more on recombinant antibodies.

出荷温度及び保存条件

製品の状態
Liquid
精製方法
Affinity purification Protein A
バッファー組成
Preservative: 0.01% Sodium azide Constituents: PBS, 40% Glycerol (glycerin, glycerine), 0.05% BSA
出荷温度
Blue Ice
短期保存期間
1-2 weeks
短期保存温度
+4°C
長期保存温度
-20°C
分注に関する情報
Upon delivery aliquot
保管に関する情報
Avoid freeze / thaw cycle

補足情報

This supplementary information is collated from multiple sources and compiled automatically.

LEF1 (Lymphoid Enhancer-Binding Factor 1) also known as LEF-1 or LEF 1 functions as a transcription factor involved in Wnt signaling pathways. The LEF1 protein has a mass of about 45 kilodaltons. Expression of LEF1 occurs mainly in lymphoid tissues and the central nervous system. Researchers often use LEF1 in immunohistochemistry (LEF1 IHC) for its ability to bind DNA at specific sites regulating gene expression important for cellular development and differentiation especially in T cells such as Jurkat cells.
Biological function summary

LEF1 plays a significant role in the regulation of cell fate decisions and development. It acts as part of a transcription complex that binds to specific DNA sequences facilitating the transcription of target genes. LEF1 interacts with β-catenin and this interaction is essential for the regulation of gene expression during embryonic development and cellular proliferation. LEF1's biological functions make it a useful marker in various research applications and assays like LEF1 ELISA are often utilized to study its expression levels in different physiological contexts.

Pathways

LEF1 is a central player in the canonical Wnt/β-catenin signaling pathway. This pathway is fundamental for processes like embryogenesis and cellular growth. LEF1 interacts closely with proteins such as TCF (T-cell factor) family members and β-catenin to regulate gene expression. Disruption in the Wnt pathway where LEF1 is significant can lead to abnormal cell growth and differentiation. Consequently LEF1 serves as an indicator and potential regulator of pathway activities in various cellular environments.

LEF1 is associated with numerous conditions particularly in oncology and immunology. Aberrations in LEF1 expression contribute to diseases like leukemia and lymphoma. Overexpression or mutations of LEF1 might lead to unregulated Wnt signaling promoting cancer progression. Furthermore LEF1's interactions with proteins such as MYC a well-known oncogene highlight its importance in tumorigenesis. Understanding LEF1's mechanisms can offer insights into therapeutic targets for these diseases providing a pathway for research into drug development and intervention strategies.

製品プロトコール

For this product, it's our understanding that no specific protocols are required. You can visit:

ターゲットの情報

Transcription factor that binds DNA in a sequence-specific manner (PubMed : 2010090). Participates in the Wnt signaling pathway (By similarity). Activates transcription of target genes in the presence of CTNNB1 and EP300 (By similarity). PIAG antagonizes both Wnt-dependent and Wnt-independent activation by LEF1 (By similarity). TLE1, TLE2, TLE3 and TLE4 repress transactivation mediated by LEF1 and CTNNB1 (PubMed : 11266540). Regulates T-cell receptor alpha enhancer function (PubMed : 19653274). Required for IL17A expressing gamma-delta T-cell maturation and development, via binding to regulator loci of BLK to modulate expression (By similarity). Acts as a positive regulator of odontoblast differentiation during mesenchymal tooth germ formation, expression is repressed during the bell stage by MSX1-mediated inhibition of CTNNB1 signaling (By similarity). May play a role in hair cell differentiation and follicle morphogenesis (By similarity).. Isoform 1. Transcriptionally activates MYC and CCND1 expression and enhances proliferation of pancreatic tumor cells.. Isoform 3. Lacks the CTNNB1 interaction domain and may therefore be an antagonist for Wnt signaling.. Isoform 5. Transcriptionally activates the fibronectin promoter, binds to and represses transcription from the E-cadherin promoter in a CTNNB1-independent manner, and is involved in reducing cellular aggregation and increasing cell migration of pancreatic cancer cells.
See full target information LEF1_HUMAN

文献 (69)

Recent publications for all applications. Explore the full list and refine your search

Journal of gastrointestinal oncology 14:2178-2191 PubMed37969822

2023

HMGB2 upregulation promotes the progression of hepatocellular carcinoma cells through the activation of ZEB1/vimentin axis.

Applications

Unspecified application

Species

Unspecified reactive species

Kai Lu,Teng Zhao,Lixue Yang,Yang Liu,Xiang Ruan,Longjiu Cui,Yongjie Zhang

PLoS biology 21:e3002316 PubMed37747910

2023

Rapid mechanosensitive migration and dispersal of newly divided mesenchymal cells aid their recruitment into dermal condensates.

Applications

Unspecified application

Species

Unspecified reactive species

Jon Riddell,Shahzeb Raja Noureen,Luigi Sedda,James D Glover,William K W Ho,Connor A Bain,Arianna Berbeglia,Helen Brown,Calum Anderson,Yuhang Chen,Michael L Crichton,Christian A Yates,Richard L Mort,Denis J Headon

International journal of molecular sciences 24: PubMed37298583

2023

Deficiency of -Catalyzed Glycosaminoglycan Chain Synthesis in Neural Crest Leads to Cleft Palate.

Applications

Unspecified application

Species

Unspecified reactive species

Xiaoyan Chen,Nan Li,Ping Hu,Leilei Li,Danya Li,Han Liu,Lei Zhu,Jing Xiao,Chao Liu

Exploration (Beijing, China) 3:20220136 PubMed37933235

2023

Alteration of chromatin high-order conformation associated with oxaliplatin resistance acquisition in colorectal cancer cells.

Applications

Unspecified application

Species

Unspecified reactive species

Peilong Li,Xueying Shang,Qinlian Jiao,Qi Mi,Mengqian Zhu,Yidan Ren,Juan Li,Li Li,Jin Liu,Chuanxin Wang,Yi Shi,Yunshan Wang,Lutao Du

MedComm 4:e246 PubMed37197086

2023

YAP/TEAD1 and β-catenin/LEF1 synergistically induce estrogen receptor α to promote osteogenic differentiation of bone marrow stromal cells.

Applications

Unspecified application

Species

Unspecified reactive species

Peiqi Wang,Lingyi Huang,Fan Yang,Wanxi Chen,Ding Bai,Yongwen Guo

Journal of experimental & clinical cancer research : CR 42:105 PubMed37106379

2023

The β-catenin-LINC00183-miR-371b-5p-Smad2/LEF1 axis promotes adult T-cell lymphoblastic lymphoma progression and chemoresistance.

Applications

Unspecified application

Species

Unspecified reactive species

Wei-Juan Huang,Song-Bin Guo,Hui Shi,Xin-Ling Li,Yong Zhu,Mei Li,Li-Yan Song,Rong-Min Yu,Qing-Qing Cai,Xiao-Peng Tian

Nature communications 14:2417 PubMed37105981

2023

Exploiting synergistic effect of CO/NO gases for soft tissue transplantation using a hydrogel patch.

Applications

Unspecified application

Species

Unspecified reactive species

Xiaoduo Tang,Jingyan Ren,Xin Wei,Tao Wang,Haiqiu Li,Yihan Sun,Yang Liu,Mingli Chi,Shoujun Zhu,Laijin Lu,Junhu Zhang,Bai Yang

Chemistry & biodiversity 20:e202200768 PubMed36694378

2023

Possible Mechanism of Dysphania ambrosioides (L.) Mosyakin & Clemants Seed Extract Suppresses the Migration and Invasion of Human Hepatocellular Carcinoma Cells SMMC-7721.

Applications

Unspecified application

Species

Unspecified reactive species

Jing Huang,Junmei Hao,Jintao Nie,Ruihua Qian,Haiying Li,Jiayuan Zhao,Yanan Wang

Experimental dermatology 32:491-501 PubMed36579368

2023

Molecular characterization of onychomatricoma: Spatial profiling reveals the role of onychofibroblasts in its pathogenesis.

Applications

Unspecified application

Species

Unspecified reactive species

Joonho Shim,Jihye Park,Yeon Joo Jung,Kee-Taek Jang,Eun Ji Kwon,Jong Hee Lee,Dongyoun Lee

Molecular carcinogenesis 62:479-492 PubMed36621979

2023

Loss of CBX2 causes genomic instability and Wnt activation in high grade serous ovarian carcinoma cells.

Applications

Unspecified application

Species

Unspecified reactive species

Yujia Ma,Lin Liu,Zheng Wei,Mengna Zhu,Lin Huang,Shan Wang,Xiaoqing Yi,Feiquan Ying,Simei Zhao,Jing Cai,Zehua Wang,Si Sun
View all publications

Abcam product promise

当社は、高品質な試薬を通じてお客様の研究を力強くサポートすることをお約束いたします。ご使用いただく各段階で、常にお客様をサポートできる体制を整えております。万が一、製品が期待通りに機能しない場合は、「Abcam Product Promise」による当社保証制度に基づき、安心してご利用いただけます。
保証に関する詳細については利用規約をご確認ください。

関連製品

Select an associated product type
Alternative Product
Primary Antibodies

AB85052

Anti-LEF1 antibody

primary-antibodies

lef1-antibody-ab85052

5

(3 reviews)

Alternative Product
Primary Antibodies

AB210627

PE Anti-LEF1 antibody [EP2030Y]

primary-antibodies

pe-lef1-antibody-ep2030y-ab210627

0

(0 reviews)

Alternative Product
Primary Antibodies

AB53293

Anti-LEF1 antibody [EP2030Y]

primary-antibodies

lef1-antibody-ep2030y-ab53293

4

(2 reviews)

Alternative Product
Primary Antibodies

AB227562

Anti-LEF1 antibody [EP2030Y] - BSA and Azide free

primary-antibodies

lef1-antibody-ep2030y-bsa-and-azide-free-ab227562

0

(0 reviews)

Please note: All products are 'FOR RESEARCH USE ONLY. NOT FOR USE IN DIAGNOSTIC OR THERAPEUTIC PROCEDURES'.

For licensing inquiries, please contact partnerships@abcam.com