JavaScript is disabled in your browser. Please enable JavaScript to view this website.
AB109417

Anti-LCAT 抗体 [EPR1383(2)]

Anti-LCAT antibody [EPR1383(2)]

Be the first to review this product! Submit a review

|

(5 Publications)

Rabbit Recombinant Monoclonal LCAT antibody. Suitable for IHC-P, WB and reacts with Human samples. Cited in 5 publications.

別名を表示する

Phosphatidylcholine-sterol acyltransferase, 1-alkyl-2-acetylglycerophosphocholine esterase, Lecithin-cholesterol acyltransferase, Phospholipid-cholesterol acyltransferase, Platelet-activating factor acetylhydrolase, PAF acetylhydrolase, LCAT

3 Images
Immunohistochemistry (Formalin/PFA-fixed paraffin-embedded sections) - Anti-LCAT antibody [EPR1383(2)] (AB109417)
  • IHC-P

Unknown

Immunohistochemistry (Formalin/PFA-fixed paraffin-embedded sections) - Anti-LCAT antibody [EPR1383(2)] (AB109417)

ab109417 at 1/250 dilution staining LCAT in paraffin-embedded Human liver tissue by Immunohistochemistry.

Perform heat mediated antigen retrieval with citrate buffer pH 6 before commencing with IHC staining protocol.

Western blot - Anti-LCAT antibody [EPR1383(2)] (AB109417)
  • WB

Unknown

Western blot - Anti-LCAT antibody [EPR1383(2)] (AB109417)

All lanes:

Western blot - Anti-LCAT antibody [EPR1383(2)] (ab109417) at 1/1000 dilution

Lane 1:

Human serum lysate at 10 µg

Lane 2:

Human plasma lysate at 10 µg

Predicted band size: 50 kDa

false

Western blot - Anti-LCAT antibody [EPR1383(2)] (AB109417)
  • WB

Lab

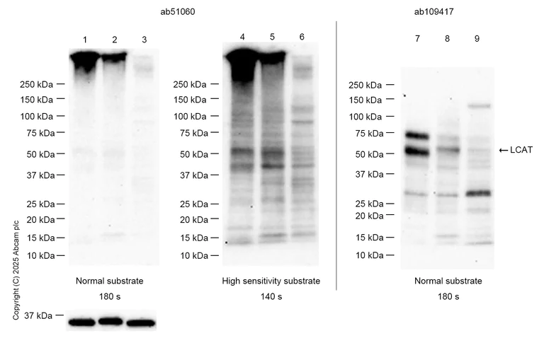
Western blot - Anti-LCAT antibody [EPR1383(2)] (AB109417)

In Western blot, Anti-GAPDH antibody [EPR16891] - Loading Control (ab181602) staining at 1/1000000 dilution.

Exposure time : Lane 1-3, 7-9 : 180 seconds; Lane 4-6 : 140 seconds

Low expression : HEK 293 (PMID : 7721870).

This blot was developed using a high sensitivity ECL substrate. The high-sensitivity ECL substrate used allows for the detection of proteins in the mid-femtogram range.

ab109417 is more sensitive than ab51060 in WB testing.

Lanes 1 - 6:

Western blot - Anti-LCAT antibody [EPR1384Y] (<a href='/products/primary-antibodies/lcat-antibody-epr1384y-ab51060'>ab51060</a>) at 1/1000 dilution

Lanes 7 - 9:

Western blot - Anti-LCAT antibody [EPR1383(2)] (ab109417) at 1/1000 dilution

Lanes 1, 4 and 7:

HepG2 (Human hepatocellular carcinoma epithelial cell) whole cell lysate at 20 µg

Lanes 2, 5 and 8:

COS-1 (Cercopithecus aethiops kidney epithelial) whole cell lysate at 20 µg

Lanes 3, 6 and 9:

HEK-293 (Human embryonic kidney epithelial cell) whole cell lysate at 20 µg

Secondary

All lanes:

Western blot - Goat Anti-Rabbit IgG H&L (HRP) (<a href='/products/secondary-antibodies/goat-rabbit-igg-h-l-hrp-ab97051'>ab97051</a>) at 1/20000 dilution

Observed band size: 62 kDa

false

関連する標識済み抗体及び組成の異なる製品 (1)

  • Carrier free

    Anti-LCAT antibody [EPR1383(2)] - BSA and Azide free

Key facts

宿主種

Rabbit

クローン性

Monoclonal

クローン番号

EPR1383(2)

アイソタイプ

IgG

キャリアフリー

No

交差種

Human

アプリケーション

WB, IHC-P

applications

免疫原

The exact immunogen used to generate this antibody is proprietary information.

Reactivity data

{ "title": "Reactivity Data", "filters": { "stats": ["", "Species", "Dilution Info", "Notes"], "tabs": { "all-applications": {"fullname" : "All Applications", "shortname": "All Applications"}, "IHCP" : {"fullname" : "Immunohistochemistry (Formalin/PFA-fixed paraffin-embedded sections)", "shortname":"IHC-P"}, "FlowCyt" : {"fullname" : "Flow Cytometry", "shortname":"Flow Cyt"}, "WB" : {"fullname" : "Western blot", "shortname":"WB"} }, "product-promise": { "all": "all", "testedAndGuaranteed": "tested", "guaranteed": "expected", "predicted": "predicted", "notRecommended": "not-recommended" } }, "values": { "Human": { "IHCP-species-checked": "testedAndGuaranteed", "IHCP-species-dilution-info": "1/250 - 1/500", "IHCP-species-notes": "<p></p>", "FlowCyt-species-checked": "notRecommended", "FlowCyt-species-dilution-info": "", "FlowCyt-species-notes": "<p></p>", "WB-species-checked": "testedAndGuaranteed", "WB-species-dilution-info": "1/1000 - 1/10000", "WB-species-notes": "<p></p>" }, "Mouse": { "IHCP-species-checked": "predicted", "IHCP-species-dilution-info": "", "IHCP-species-notes": "", "FlowCyt-species-checked": "notRecommended", "FlowCyt-species-dilution-info": "", "FlowCyt-species-notes": "", "WB-species-checked": "predicted", "WB-species-dilution-info": "", "WB-species-notes": "" }, "Rat": { "IHCP-species-checked": "predicted", "IHCP-species-dilution-info": "", "IHCP-species-notes": "", "FlowCyt-species-checked": "notRecommended", "FlowCyt-species-dilution-info": "", "FlowCyt-species-notes": "", "WB-species-checked": "predicted", "WB-species-dilution-info": "", "WB-species-notes": "" } } }

製品の詳細

Patented technology
Our RabMAb® technology is a patented hybridoma-based technology for making rabbit monoclonal antibodies. For details on our patents, please refer to RabMAb® patents.

What are the advantages of a recombinant monoclonal antibody?
This product is a recombinant monoclonal antibody, which offers several advantages including:

  • - High batch-to-batch consistency and reproducibility
  • - Improved sensitivity and specificity
  • - Long-term security of supply
  • - Animal-free batch production

For more information, read more on recombinant antibodies.

出荷温度及び保存条件

製品の状態
Liquid
精製方法
Affinity purification Protein A
バッファー組成
pH: 7.2 - 7.4 Preservative: 0.05% Sodium azide Constituents: 50% Tissue culture supernatant, 40% Glycerol (glycerin, glycerine), 9.85% Tris glycine, 0.1% BSA
出荷温度
Blue Ice
短期保存温度
+4°C
長期保存温度
-20°C
保管に関する情報
Stable for 12 months at -20°C

補足情報

This supplementary information is collated from multiple sources and compiled automatically.

LCAT also known as lecithin-cholesterol acyltransferase is an enzyme with a molecular mass of approximately 68 kDa. It belongs to the family of esterases and is mainly expressed in the liver. LCAT circulates in the bloodstream playing a significant role in lipid metabolism by catalyzing the formation of cholesteryl esters from free cholesterol and phosphatidylcholine (lecithin) on the surface of high-density lipoproteins (HDL).
Biological function summary

This enzyme functions centrally in the maturation of high-density lipoprotein particles. LCAT interacts with and acts upon HDL converting nascent HDL into mature HDL by catalyzing the esterification of cholesterol. This process results in the sequestration of cholesterol within the core of HDL particles essential for reverse cholesterol transport to the liver. Moreover LCAT does not operate as part of a larger complex but is an active enzyme on its own within various lipid transport processes.

Pathways

LCAT's action significantly influences the lipid metabolism and reverse cholesterol transport pathways. In the lipid metabolism pathway it works closely with apolipoproteins such as apoA-I which serves as an activator. ApoA-I stabilizes the enzymatic action of LCAT promoting cholesterol homeostasis whereas LCAT ensures the efficient transfer of cholesterol to the liver within the reverse cholesterol transport pathway contributing to the maintenance of lipid balance.

LCAT deficiency can lead to conditions like familial LCAT deficiency and Fish Eye disease. These disorders are marked by abnormal cholesterol and lipid accumulation due to impaired LCAT activity. Apolipoproteins particularly apoA-I also demonstrate a significant connection as mutations or lack of apoA-I compromise LCAT activation exacerbating hyperlipidemia and related lipid disorders.

製品プロトコール

For this product, it's our understanding that no specific protocols are required. You can visit:

ターゲットの情報

Central enzyme in the extracellular metabolism of plasma lipoproteins. Synthesized mainly in the liver and secreted into plasma where it converts cholesterol and phosphatidylcholines (lecithins) to cholesteryl esters and lysophosphatidylcholines on the surface of high and low density lipoproteins (HDLs and LDLs) (PubMed : 10329423, PubMed : 19065001, PubMed : 26195816). The cholesterol ester is then transported back to the liver. Has a preference for plasma 16 : 0-18 : 2 or 18 : O-18 : 2 phosphatidylcholines (PubMed : 8820107). Also produced in the brain by primary astrocytes, and esterifies free cholesterol on nascent APOE-containing lipoproteins secreted from glia and influences cerebral spinal fluid (CSF) APOE- and APOA1 levels. Together with APOE and the cholesterol transporter ABCA1, plays a key role in the maturation of glial-derived, nascent lipoproteins. Required for remodeling high-density lipoprotein particles into their spherical forms (PubMed : 10722751). Catalyzes the hydrolysis of 1-O-alkyl-2-acetyl-sn-glycero-3-phosphocholine (platelet-activating factor or PAF) to 1-O-alkyl-sn-glycero-3-phosphocholine (lyso-PAF) (PubMed : 8016111). Also catalyzes the transfer of the acetate group from PAF to 1-hexadecanoyl-sn-glycero-3-phosphocholine forming lyso-PAF (PubMed : 8016111). Catalyzes the esterification of (24S)-hydroxycholesterol (24(S)OH-C), also known as cerebrosterol to produce 24(S)OH-C monoesters (PubMed : 24620755).
See full target information LCAT

文献 (5)

Recent publications for all applications. Explore the full list and refine your search

Experimental and therapeutic medicine 30:208 PubMed40927640

2025

Tetramethylpyrazine alleviates acute kidney injury by activating the Wnt/β-catenin pathway independent of DKK1.

Applications

Unspecified application

Species

Unspecified reactive species

Xiaohui Wang,Xiaoxia Chang,Donglin Yang,Lixia Zhang,Zijie Guo,Xuhong Sun,Aiqun Li,Yanbo Ni,Pengchao Du

Frontiers in medicine 12:1612390 PubMed40927188

2025

Identification and validation for biomarkers associated with mitochondrial metabolism in chronic obstructive pulmonary disease.

Applications

Unspecified application

Species

Unspecified reactive species

Wenjun Wang,Lanxiang Wu,Chao Ouyang,Tao Huang

World journal of gastrointestinal oncology 16:3651-3671 PubMed39171187

2024

Lecithin-cholesterol acyltransferase is a potential tumor suppressor and predictive marker for hepatocellular carcinoma metastasis.

Applications

Unspecified application

Species

Unspecified reactive species

Yan Li,Li-Na Jiang,Bo-Kang Zhao,Mei-Ling Li,Yi-Yun Jiang,Yi-Si Liu,Shu-Hong Liu,Li Zhu,Xin Ye,Jing-Min Zhao

Molecules (Basel, Switzerland) 25: PubMed33266249

2020

Nootkatone, a Dietary Fragrant Bioactive Compound, Attenuates Dyslipidemia and Intramyocardial Lipid Accumulation and Favorably Alters Lipid Metabolism in a Rat Model of Myocardial Injury: An In Vivo and In Vitro Study.

Applications

Unspecified application

Species

Unspecified reactive species

M F Nagoor Meeran,Sheikh Azimullah,M Marzouq Al Ahbabi,Niraj Kumar Jha,Vinoth-Kumar Lakshmanan,Sameer N Goyal,Shreesh Ojha

Biomolecules 9: PubMed31779197

2019

LCAT, ApoD, and ApoA1 Expression and Review of Cholesterol Deposition in the Cornea.

Applications

Unspecified application

Species

Unspecified reactive species

Rhonda Flores,Xueting Jin,Janet Chang,Connie Zhang,David G Cogan,Ernst J Schaefer,Howard S Kruth
View all publications

Abcam product promise

当社は、高品質な試薬を通じてお客様の研究を力強くサポートすることをお約束いたします。ご使用いただく各段階で、常にお客様をサポートできる体制を整えております。万が一、製品が期待通りに機能しない場合は、「Abcam Product Promise」による当社保証制度に基づき、安心してご利用いただけます。
保証に関する詳細については利用規約をご確認ください。

Please note: All products are 'FOR RESEARCH USE ONLY. NOT FOR USE IN DIAGNOSTIC OR THERAPEUTIC PROCEDURES'.

For licensing inquiries, please contact partnerships@abcam.com