JavaScript is disabled in your browser. Please enable JavaScript to view this website.
AB221794

Anti-LC3B 抗体 [EPR18709] - BSA and Azide free

Anti-LC3B antibody [EPR18709] - BSA and Azide free

0

(1 Review)

|

(16 Publications)

Rabbit Recombinant Monoclonal LC3B antibody. Carrier free. Suitable for ICC/IF, WB, IHC-P and reacts with Human, Mouse, Rat samples. Cited in 16 publications.

別名を表示する

MAP1ALC3, MAP1LC3B, Microtubule-associated proteins 1A/1B light chain 3B, Autophagy-related protein LC3 B, Autophagy-related ubiquitin-like modifier LC3 B, MAP1 light chain 3-like protein 2, MAP1A/MAP1B light chain 3 B, Microtubule-associated protein 1 light chain 3 beta, MAP1A/MAP1B LC3 B

11 Images
Immunohistochemistry (Formalin/PFA-fixed paraffin-embedded sections) - Anti-LC3B antibody [EPR18709] - BSA and Azide free (AB221794)
  • IHC-P

Lab

Immunohistochemistry (Formalin/PFA-fixed paraffin-embedded sections) - Anti-LC3B antibody [EPR18709] - BSA and Azide free (AB221794)

This data was developed using the same antibody clone in a different buffer formulation containing PBS, BSA, glycerol, and sodium azide (ab192890).

ab192890 staining LC3B in paraffin embedded human astrocytoma tissue by Immunohistochemistry. Heat mediated antigen retrieval was performed with Citrate buffer (pH 6.0, Epitope Retrieval Solution 1) for 20 mins.  Samples were incubated with primary antibody at 1/1000 dilution for 30 mins at room temperature. Ready to use LeicaDS9800 (Bond™ Polymer Refine Detection) was used as the secondary antibody. Hematoxylin was used as a counterstain. The immunostaining was performed on a Leica Biosystems BOND® RX instrument.

Immunocytochemistry/ Immunofluorescence - Anti-LC3B antibody [EPR18709] - BSA and Azide free (AB221794)
  • ICC/IF

Lab

Immunocytochemistry/ Immunofluorescence - Anti-LC3B antibody [EPR18709] - BSA and Azide free (AB221794)

ab192890 staining LC3B in HeLa (Human epithelial cell line from cervix adenocarcinoma) cells +/- Chloroquine (50μM 24 hours).

The cells were fixed with 100% methanol (5 min) permeabilized with 0.1% Triton X-100 for 5 minutes and then blocked with 1% BSA/10% normal goat serum/0.3M glycine in 0.1% PBS-Tween for 1h. The cells were then incubated overnight at +4°C with ab192890 at 1μg/ml and ab195889 Mouse monoclonal to alpha Tubulin (Alexa Fluor® 594) at 1/250 dilution (shown in pseudocolor red) followed by a further incubation at room temperature for 1h with a goat secondary antibody to Rabbit IgG (Alexa Fluor® 488) (ab150081) at 2 μg/ml (shown in green). Nuclear DNA was labeled with DAPI (shown in blue).

Image was taken with a confocal microscope (Leica-Microsystems TCS SP8).

Alexa Fluor® 488 (ab225383) and Alexa Fluor® 647 (ab225382) conjugated versions are available for this clone.

This data was developed using the same antibody clone in a different buffer formulation containing PBS, BSA, glycerol, and sodium azide (ab192890).

Immunocytochemistry/ Immunofluorescence - Anti-LC3B antibody [EPR18709] - BSA and Azide free (AB221794)
  • ICC/IF

Unknown

Immunocytochemistry/ Immunofluorescence - Anti-LC3B antibody [EPR18709] - BSA and Azide free (AB221794)

Clone EPR18709 (ab221794) has been successfully conjugated by Abcam. This image was generated using Anti-LC3B antibody [EPR18709] - Autophagosome Marker (Alexa Fluor® 488). Please refer to ab225382 for protocol details.

ab225382 staining LC3B in HeLa chloroquine-treated (50µM, 24 hours) cells. The cells were fixed with 100% methanol (5 min), permeabilized with 0.1% Triton X-100 for 5 minutes and then blocked with 1% BSA/10% normal goat serum/0.3M glycine in 0.1% PBS-Tween for 1h. The cells were then incubated overnight at +4°C with ab225453 at 1/100 dilution (shown in green) and ab195889, Mouse monoclonal to alpha Tubulin (Alexa Fluor® 594), at 1/250 dilution (shown in green). Nuclear DNA was labelled with DAPI (shown in blue).

Image was taken with a confocal microscope (Leica-Microsystems, TCS SP8).

Immunocytochemistry/ Immunofluorescence - Anti-LC3B antibody [EPR18709] - BSA and Azide free (AB221794)
  • ICC/IF

Unknown

Immunocytochemistry/ Immunofluorescence - Anti-LC3B antibody [EPR18709] - BSA and Azide free (AB221794)

Clone EPR18709 (ab221794) has been successfully conjugated by Abcam. This image was generated using Anti-LC3B antibody [EPR18709] - Autophagosome Marker (Alexa Fluor® 647). Please refer to ab225383 for protocol details.

ab225383 staining LC3B in wild-type HAP1 cells and knockout cells, untreated and chloroquine-treated (50μM, 24 hours). The cells were fixed with 100% methanol (5min), permeabilized with 0.1% Triton X-100 for 5 minutes and then blocked with 1% BSA/10% normal goat serum/0.3M glycine in 0.1% PBS-Tween for 1h. The cells were then incubated with ab225383 at 0.5μg/ml (shown in red) and ab195887, Mouse monoclonal to alpha Tubulin (Alexa Fluor® 488), at 1/250 dilution (shown in green) overnight at +4°C. Nuclear DNA was labelled in blue with DAPI.

Image was taken with a confocal microscope (Leica-Microsystems, TCS SP8).

Immunohistochemistry (Formalin/PFA-fixed paraffin-embedded sections) - Anti-LC3B antibody [EPR18709] - BSA and Azide free (AB221794)
  • IHC-P

Lab

Immunohistochemistry (Formalin/PFA-fixed paraffin-embedded sections) - Anti-LC3B antibody [EPR18709] - BSA and Azide free (AB221794)

This data was developed using the same antibody clone in a different buffer formulation containing PBS, BSA, glycerol, and sodium azide (ab192890).

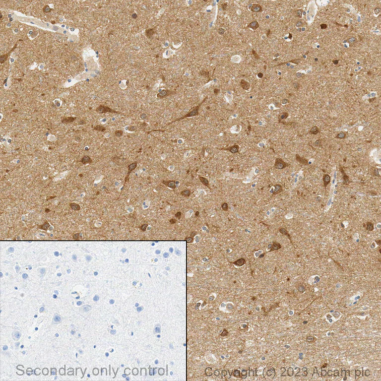
Immunohistochemical analysis of formalin fixed paraffin embedded human cortex labelling LC3B with ab192890 at a dilution of 0.1 µg/ml. The immunostaining was performed on a Ventana DISCOVERY ULTRA (Roche Tissue Diagnostics) instrument with an OptiView DAB IHC Detection Kit. Heat mediated antigen retrieval was conducted for 32min with ULTRA cell conditioning solution (CC1 pH8.5) . ab192890 anti LC3B antibody was incubated at 37°C for 16min. Sections were counterstained is with Hematoxylin II. Image inset shows absence of staining in secondary antibody only control.

Immunohistochemistry (Formalin/PFA-fixed paraffin-embedded sections) - Anti-LC3B antibody [EPR18709] - BSA and Azide free (AB221794)
  • IHC-P

Lab

Immunohistochemistry (Formalin/PFA-fixed paraffin-embedded sections) - Anti-LC3B antibody [EPR18709] - BSA and Azide free (AB221794)

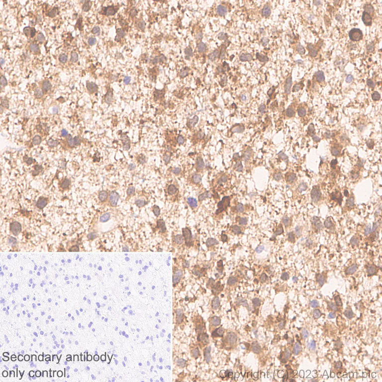
IHC image of LC3B staining in a section of formalin-fixed paraffin-embedded normal human cerebral cortex* performed on a Leica BONDTM system using the standard protocol F. The section was pre-treated using heat mediated antigen retrieval with sodium citrate buffer (pH6, epitope retrieval solution 1) for 20mins. The section was then incubated with ab221794, 0.1ug/ml, for 15 mins at room temperature and detected using an HRP conjugated compact polymer system. DAB was used as the chromogen. The section was then counterstained with haematoxylin and mounted with DPX. The inset secondary-only control image is taken from an identical assay without primary antibody.

For other IHC staining systems (automated and non-automated) customers should optimize variable parameters such as antigen retrieval conditions, primary antibody concentration and antibody incubation times.

Immunocytochemistry/ Immunofluorescence - Anti-LC3B antibody [EPR18709] - BSA and Azide free (AB221794)
  • ICC/IF

Lab

Immunocytochemistry/ Immunofluorescence - Anti-LC3B antibody [EPR18709] - BSA and Azide free (AB221794)

This ICC data was generated using the same anti-LC3B antibody clone, EPR18709, in a different buffer formulation (cat# ab192890).
ab192890 staining LC3B in HAP1 cells (wildtype and MAP1LC3B knockout) +/- Chloroquine (50μM 24 hours).

The cells were fixed with 100% methanol (5 min) permeabilized with 0.1% Triton X-100 for 5 minutes and then blocked with 1% BSA/10% normal goat serum/0.3M glycine in 0.1% PBS-Tween for 1h. The cells were then incubated overnight at +4°C with ab192890 at 1 μg/ml and ab195889 Mouse monoclonal to alpha Tubulin (Alexa Fluor® 594) at 1/250 dilution (shown in pseudocolor red) followed by a further incubation at room temperature for 1h with a goat secondary antibody to Rabbit IgG (Alexa Fluor® 488) (ab150081) at 2 μg/ml (shown in green). Nuclear DNA was labeled with DAPI (shown in blue).

Image was taken with a confocal microscope (Leica-Microsystems TCS SP8).

Immunoprecipitation - Anti-LC3B antibody [EPR18709] - BSA and Azide free (AB221794)
  • IP

Supplier Data

Immunoprecipitation - Anti-LC3B antibody [EPR18709] - BSA and Azide free (AB221794)

LC3B was immunoprecipitated from 1mg of HeLa (Human epithelial cell line from cervix adenocarcinoma) whole cell lysate with ab192890 at 1/50 dilution. Western blot was performed from the immunoprecipitate using ab192890 at 1/1000 dilution. Veriblot for IP (HRP) (ab131366), was used for detection at 1/1000 dilution.
Lane 1 : HeLa whole cell lysate 10μg (Input).
Lane 2 : ab192890 IP in Jurkat whole cell lysate.
Lane 3 : Rabbit IgG,monoclonal [EPR25A] -Isotype Control (ab172730) instead of ab192890 in HeLa whole cell cell lysate.
Blocking and dilution buffer and concentration : 5% NFDM/TBST.
Exposure time : 30 seconds.

This data was developed using the same antibody clone in a different buffer formulation containing PBS, BSA, glycerol, and sodium azide (ab192890).

All lanes:

Immunoprecipitation - Anti-LC3B antibody [EPR18709] - Autophagosome Marker (<a href='/products/primary-antibodies/lc3b-antibody-epr18709-autophagosome-marker-ab192890'>ab192890</a>)

Predicted band size: 15 kDa

false

Exposure time: 30s

Western blot - Anti-LC3B antibody [EPR18709] - BSA and Azide free (AB221794)
  • WB

Lab

Western blot - Anti-LC3B antibody [EPR18709] - BSA and Azide free (AB221794)

This data was developed using the same antibody clone in a different buffer formulation containing PBS, BSA, glycerol, and sodium azide (ab192890). False colour image of Western blot : Anti-LC3B antibody staining at 1 ug/ml, shown in green; Mouse anti-Alpha Tubulin [DM1A] (ab7291) loading control staining at 1/20000 dilution, shown in red. In Western blot, ab63817 was shown to bind specifically to LC3B. A band was observed at 16/14 kDa (yellow arrows) in treated wild-type HepG2 cell lysates with no signal observed at this size in MAP1LC3B knockout cell line ab277828 (knockout cell lysate ab283796). To generate this image, wild-type and MAP1LC3B knockout HepG2 cell lysates were analysed. First, samples were run on an SDS-PAGE gel then transferred onto a nitrocellulose membrane. Membranes were blocked in 3 % milk in TBS-0.1 % Tween® 20 (TBS-T) before incubation with primary antibodies overnight at 4 °C. Blots were washed four times in TBS-T, incubated with secondary antibodies for 1 h at room temperature, washed again four times then imaged. Secondary antibodies used were Goat anti-Rabbit IgG H&L 800CW and Goat anti-Mouse IgG H&L 680RD at 1/20000 dilution.

All lanes:

Western blot - Anti-LC3B antibody [EPR18709] - Autophagosome Marker (<a href='/products/primary-antibodies/lc3b-antibody-epr18709-autophagosome-marker-ab192890'>ab192890</a>) at 1/1000 dilution

Lane 1:

Wild-type HepG2 untreated control cell lysate at 20 µg

Lane 2:

Wild-type HepG2 Treated Chloroquine (50 uM, 16 h) cell lysate at 20 µg

Lane 2:

Western blot - Human MAP1LC3B knockout Hep G2 cell line (ab277828)

Lane 2:

Western blot - Human MAP1LC3B knockout Hep G2 cell lysate (ab283796)

Lane 3:

MAP1LC3B knockout HepG2 untreated control cell lysate at 20 µg

Lane 4:

MAP1LC3B knockout HepG2 Treated Chloroquine (50 uM, 16 h) cell lysate at 20 µg

Lane 5:

U-87 MG cell lysate at 20 µg

Lane 6:

PC-12 cell lysate at 20 µg

Predicted band size: 15 kDa

Observed band size: 14 kDa,16 kDa

false

Western blot - Anti-LC3B antibody [EPR18709] - BSA and Azide free (AB221794)
  • WB

Lab

Western blot - Anti-LC3B antibody [EPR18709] - BSA and Azide free (AB221794)

This data was developed using ab192890, the same antibody clone in a different buffer formulation. Different batches of ab192890 were tested onU-87 MG (Human glioblastoma-astrocytoma epithelial cell line) lysate at 0.9 µg/ml. 15 µg of lysate was loaded in each lane. Bands observed at 14,16 kDa.

All lanes:

Western blot - Anti-LC3B antibody [EPR18709] - Autophagosome Marker (<a href='/products/primary-antibodies/lc3b-antibody-epr18709-autophagosome-marker-ab192890'>ab192890</a>)

Predicted band size: 15 kDa

false

Immunohistochemistry (Formalin/PFA-fixed paraffin-embedded sections) - Anti-LC3B antibody [EPR18709] - BSA and Azide free (AB221794)
  • IHC-P

Lab

Immunohistochemistry (Formalin/PFA-fixed paraffin-embedded sections) - Anti-LC3B antibody [EPR18709] - BSA and Azide free (AB221794)

This data was developed using the same antibody clone in a different buffer formulation containing PBS, BSA, glycerol, and sodium azide (ab192890). Tissue Microarrays stained for Anti-LC3B antibody [EPR18709] - Autophagosome Marker using ab192890 in immunohistochemical analysis. This table provides a detailed overview of positive (tick mark) and negaive (cross mark) staining per sample type tested. Heat mediated antigen retrieval was performed with Citrate buffer (pH 6.0, Epitope Retrieval Solution 1) for 20 mins. The section was incubated with ab192890 for 30 mins at room temperature. The immunostaining was performed on a Leica Biosystems BOND® RX instrument.

関連する標識済み抗体及び組成の異なる製品 (4)

  • Unconjugated

    Anti-LC3B antibody [EPR18709] - Autophagosome Marker

  • 519 Alexa Fluor® 488

    Alexa Fluor® 488 Anti-LC3B antibody [EPR18709] - Autophagosome Marker

  • 665 Alexa Fluor® 647

    Alexa Fluor® 647 Anti-LC3B antibody [EPR18709] - Autophagosome Marker

  • 565 Alexa Fluor® 555

    Alexa Fluor® 555 Anti-LC3B - Autophagosome Marker antibody [EPR18709]

Key facts

宿主種

Rabbit

クローン性

Monoclonal

クローン番号

EPR18709

アイソタイプ

IgG

キャリアフリー

Yes

交差種

Mouse, Rat, Human

アプリケーション

ICC/IF, IHC-P, WB

applications

免疫原

The exact immunogen used to generate this antibody is proprietary information.

特異性

FURTHER INFORMATION ON SPECIFICITY (Chinese Version) available under the product protocols section. This file includes key technical notes of experience when using this product.

Reactivity data

{ "title": "Reactivity Data", "filters": { "stats": ["", "Species", "Dilution Info", "Notes"], "tabs": { "all-applications": {"fullname" : "All Applications", "shortname": "All Applications"}, "ICCIF" : {"fullname" : "Immunocytochemistry/ Immunofluorescence", "shortname":"ICC/IF"}, "IP" : {"fullname" : "Immunoprecipitation", "shortname":"IP"}, "WB" : {"fullname" : "Western blot", "shortname":"WB"}, "IHCP" : {"fullname" : "Immunohistochemistry (Formalin/PFA-fixed paraffin-embedded sections)", "shortname":"IHC-P"} }, "product-promise": { "all": "all", "testedAndGuaranteed": "tested", "guaranteed": "expected", "predicted": "predicted", "notRecommended": "not-recommended" } }, "values": { "Human": { "ICCIF-species-checked": "testedAndGuaranteed", "ICCIF-species-dilution-info": "", "ICCIF-species-notes": "<p></p>", "IP-species-checked": "notRecommended", "IP-species-dilution-info": "", "IP-species-notes": "<p></p>", "WB-species-checked": "testedAndGuaranteed", "WB-species-dilution-info": "", "WB-species-notes": "<p></p>", "IHCP-species-checked": "testedAndGuaranteed", "IHCP-species-dilution-info": "", "IHCP-species-notes": "<p></p> Perform heat-mediated antigen retrieval with citrate buffer pH 6 before commencing with IHC staining protocol." }, "Mouse": { "ICCIF-species-checked": "guaranteed", "ICCIF-species-dilution-info": "", "ICCIF-species-notes": "", "IP-species-checked": "notRecommended", "IP-species-dilution-info": "", "IP-species-notes": "", "WB-species-checked": "testedAndGuaranteed", "WB-species-dilution-info": "", "WB-species-notes": "<p></p>", "IHCP-species-checked": "guaranteed", "IHCP-species-dilution-info": "", "IHCP-species-notes": "" }, "Rat": { "ICCIF-species-checked": "guaranteed", "ICCIF-species-dilution-info": "", "ICCIF-species-notes": "", "IP-species-checked": "notRecommended", "IP-species-dilution-info": "", "IP-species-notes": "", "WB-species-checked": "testedAndGuaranteed", "WB-species-dilution-info": "", "WB-species-notes": "<p></p>", "IHCP-species-checked": "guaranteed", "IHCP-species-dilution-info": "", "IHCP-species-notes": "" } } }

製品の詳細

ab221794 is the carrier-free version of ab192890.

Patented technology
Our RabMAb® technology is a patented hybridoma-based technology for making rabbit monoclonal antibodies. For details on our patents, please refer to RabMAb® patents.

What are the advantages of a recombinant monoclonal antibody?
This product is a recombinant monoclonal antibody, which offers several advantages including:

  • - High batch-to-batch consistency and reproducibility
  • - Improved sensitivity and specificity
  • - Long-term security of supply
  • - Animal-free batch production

For more information, read more on recombinant antibodies.

Conjugation ready
Our carrier-free antibodies are typically supplied in a PBS-only formulation, purified and free of BSA, sodium azide and glycerol. This conjugation-ready format is designed for use with fluorochromes, metal isotopes, oligonucleotides, and enzymes, which makes them ideal for antibody labelling, functional and cell-based assays, flow-based assays (e.g. mass cytometry) and Multiplex Imaging applications.

Use our conjugation kits for antibody conjugates that are ready-to-use in as little as 20 minutes with 1 minute hands-on-time and 100% antibody recovery: available for fluorescent dyes, HRP, biotin and gold.

Compatibility
This product is compatible with the Maxpar® Antibody Labeling Kit from Fluidigm, without the need for antibody preparation. Maxpar® is a trademark of Fluidigm Canada Inc.

出荷温度及び保存条件

製品の状態
Liquid
精製方法
Affinity purification Protein A
バッファー組成
pH: 7.2 - 7.4 Constituents: PBS
出荷温度
Blue Ice
短期保存温度
+4°C
長期保存温度
+4°C
保管に関する情報
Do Not Freeze

補足情報

This supplementary information is collated from multiple sources and compiled automatically.

LC3B also known as microtubule-associated protein 1 light chain 3 beta plays an important role in autophagy a process that maintains cellular homeostasis. The LC3B protein with a molecular weight of approximately 14 kDa undergoes lipidation to form LC3-II which associates with autophagosomal membranes. This protein expresses ubiquitously in various tissues including liver muscle and brain. Researchers often detect LC3B using techniques like LC3B western blot and LC3B immunofluorescence due to its function as a marker indicating autophagy levels.
Biological function summary

LC3B contributes significantly to the formation and maturation of autophagosomes. LC3B part of the autophagy-related protein complex binds to autophagic membranes. During this process LC3-I converts to LC3-II a lipid-phosphatidylethanolamine conjugate essential for autophagosome membrane expansion and closure. This mechanism helps remove damaged organelles and misfolded proteins from cells therefore contributing to cellular quality control.

Pathways

LC3B integrates into the autophagy pathway which is critical for cellular adaptive responses to stress. The mammalian target of rapamycin (mTOR) pathway regulates autophagy where mTOR inhibition activates LC3B promoting autophagosome formation. Moreover LC3B operates alongside other proteins like Beclin-1 and ULK1 facilitating the initiation and progression of autophagy under nutrient starvation conditions. These interactions highlight LC3's role in cellular energy balance and survival mechanisms.

LC3B connects with conditions such as cancer and neurodegenerative diseases. Altered autophagy levels mediated by LC3B often associate with tumorigenesis where its dysregulation can affect cancer progression. Furthermore LC3B also links to neurodegenerative diseases like Alzheimer's where impaired autophagy disrupts neuronal function. LC3B interacts with proteins such as p62/SQSTM1 which affects protein aggregate clearance a critical factor in neurodegenerative pathology.

製品プロトコール

For this product, it's our understanding that no specific protocols are required. You can visit:

ターゲットの情報

Ubiquitin-like modifier involved in formation of autophagosomal vacuoles (autophagosomes) (PubMed : 20418806, PubMed : 23209295, PubMed : 28017329). Plays a role in mitophagy which contributes to regulate mitochondrial quantity and quality by eliminating the mitochondria to a basal level to fulfill cellular energy requirements and preventing excess ROS production (PubMed : 23209295, PubMed : 28017329). In response to cellular stress and upon mitochondria fission, binds C-18 ceramides and anchors autophagolysosomes to outer mitochondrial membranes to eliminate damaged mitochondria (PubMed : 22922758). While LC3s are involved in elongation of the phagophore membrane, the GABARAP/GATE-16 subfamily is essential for a later stage in autophagosome maturation (PubMed : 20418806, PubMed : 23209295, PubMed : 28017329). Promotes primary ciliogenesis by removing OFD1 from centriolar satellites via the autophagic pathway (PubMed : 24089205). Through its interaction with the reticulophagy receptor TEX264, participates in the remodeling of subdomains of the endoplasmic reticulum into autophagosomes upon nutrient stress, which then fuse with lysosomes for endoplasmic reticulum turnover (PubMed : 31006537, PubMed : 31006538). Upon nutrient stress, directly recruits cofactor JMY to the phagophore membrane surfaces and promotes JMY's actin nucleation activity and autophagosome biogenesis during autophagy (PubMed : 30420355).
See full target information MAP1LC3B

文献 (16)

Recent publications for all applications. Explore the full list and refine your search

Molecular brain 17:96 PubMed39702325

2024

Nek6 regulates autophagy through the mTOR signaling pathway to alleviate cerebral ischemia-reperfusion injury.

Applications

Unspecified application

Species

Unspecified reactive species

Qingzhi Wang,Xinjing Liu,Jing Yuan,Ting Yang,Lan Ding,Bo Song,Yuming Xu

Cellular and molecular biology (Noisy-le-Grand, France) 69:139-245 PubMed38015515

2023

Ghrelin alleviates hypoxia/reoxygenation-induced H9C2 injury by activating autophagy and AMPK/ULK1 pathway.

Applications

Unspecified application

Species

Unspecified reactive species

Hui Liu,Wei Lv,Li Ouyang,Li Xu

Antioxidants (Basel, Switzerland) 12: PubMed37371950

2023

Liposome-Encapsulated Berberine Alleviates Liver Injury in Type 2 Diabetes via Promoting AMPK/mTOR-Mediated Autophagy and Reducing ER Stress: Morphometric and Immunohistochemical Scoring.

Applications

Unspecified application

Species

Unspecified reactive species

Safaa I Khater,Taghreed N Almanaa,Doaa M Abdel Fattah,Tarek Khamis,Mona M Seif,Naief Dahran,Leena S Alqahtani,Mohamed M M Metwally,Mahmoud Mostafa,Raghad A Albedair,Azza I Helal,Manal Alosaimi,Amany Abdel-Rahman Mohamed

Aging 15:4498-4509 PubMed37253645

2023

Expression of αA-crystallin (CRYAA) and models of age-related cataract and the effect of its silencing on HLEB3 cells.

Applications

Unspecified application

Species

Unspecified reactive species

Xiaoling Ma,Yi Nan,Can Huang,Xiangyang Li,Yifan Yang,Wenjie Jiang,Mengyi Ye,Qian Liu,Yang Niu,Ling Yuan

Cells 12: PubMed37408275

2023

Effect of Photobiomodulation on Protein Kinase Cδ, Cytochrome C, and Mitochondria in U87 MG Cells.

Applications

Unspecified application

Species

Unspecified reactive species

Viktória Pevná,Georges Wagnières,Daniel Jancura,Veronika Huntošová

Chinese medicine 18:31 PubMed36959603

2023

Suxiao Jiuxin Pill alleviates myocardial ischemia-reperfusion injury through the ALKBH5/GSK3β/mTOR pathway.

Applications

Unspecified application

Species

Unspecified reactive species

Yiping Li,Ruixia Lu,Zhenchao Niu,Dan Wang,Xiaolong Wang

Neurochemical research 48:1835-1847 PubMed36717512

2023

Endoplasmic Reticulum Stress-Activated Neuronal and Microglial Autophagy Contributes to Postoperative Cognitive Dysfunction in Neonatal rats.

Applications

Unspecified application

Species

Unspecified reactive species

Hui Zhang,Xiaoru Sun,Jun Li,Weiran Shan,Jianjun Yang,Zhiyi Zuo

Food science & nutrition 11:1965-1981 PubMed37051356

2023

lncRNA TINCR knockdown inhibits colon cancer cells via regulation of autophagy.

Applications

Unspecified application

Species

Unspecified reactive species

Jianhua Xu,Wenge Zeng,Tiantian Liu,Zhenda Wan,Xin Yang,Jun Chen,Fei Liu

Autophagy 19:678-691 PubMed35838483

2022

Autophagy-associated immune dysregulation and hyperplasia in a patient with compound heterozygous mutations in .

Applications

Unspecified application

Species

Unspecified reactive species

Guowu Hu,Pia J Hauk,Nannan Zhang,Waleed Elsegeiny,Carlos M Guardia,Amy Kullas,Kevin Crosby,Robin R Deterding,Michaela Schedel,Paul Reynolds,Jordan K Abbott,Vijaya Knight,Stefania Pittaluga,Mark Raffeld,Sergio D Rosenzweig,Juan S Bonifacino,Gulbu Uzel,Peter R Williamson,Erwin W Gelfand

Bioengineered 13:14125-14137 PubMed35730472

2022

SOCS5 contributes to temozolomide resistance in glioblastoma by regulating Bcl-2-mediated autophagy.

Applications

Unspecified application

Species

Unspecified reactive species

Jie Yu,Lin Han,Feng Yang,Mingliang Zhao,Hong Zhou,Linwang Hu
View all publications
websiteProtocolBooklet
zh

Abcam product promise

当社は、高品質な試薬を通じてお客様の研究を力強くサポートすることをお約束いたします。ご使用いただく各段階で、常にお客様をサポートできる体制を整えております。万が一、製品が期待通りに機能しない場合は、「Abcam Product Promise」による当社保証制度に基づき、安心してご利用いただけます。
保証に関する詳細については利用規約をご確認ください。

Please note: All products are 'FOR RESEARCH USE ONLY. NOT FOR USE IN DIAGNOSTIC OR THERAPEUTIC PROCEDURES'.

For licensing inquiries, please contact partnerships@abcam.com