JavaScript is disabled in your browser. Please enable JavaScript to view this website.
AB305030

Anti-LATS1/WARTS (phospho T1079) + LATS2 (phospho T1041) 抗体 [EPR27261-8] - BSA and Azide free

Anti-LATS1/WARTS (phospho T1079) + LATS2 (phospho T1041) antibody [EPR27261-8] - BSA and Azide free

Be the first to review this product! Submit a review

|

(1 Publication)

Rabbit Recombinant Monoclonal LATS1/WARTS phospho T1079 antibody. Carrier free. Suitable for Dot, WB, ICC/IF and reacts with Synthetic peptide, Human samples. Cited in 1 publication.

別名を表示する

WARTS, LATS1, Serine/threonine-protein kinase LATS1, Large tumor suppressor homolog 1, WARTS protein kinase, h-warts

5 Images
Immunocytochemistry/ Immunofluorescence - Anti-LATS1/WARTS (phospho T1079) + LATS2 (phospho T1041) antibody [EPR27261-8] - BSA and Azide free (AB305030)
  • ICC/IF

Supplier Data

Immunocytochemistry/ Immunofluorescence - Anti-LATS1/WARTS (phospho T1079) + LATS2 (phospho T1041) antibody [EPR27261-8] - BSA and Azide free (AB305030)

This data was developed using ab305029, the same antibody clone in a different buffer formulation. Immunofluorescent analysis of 4% Paraformaldehyde-fixed, 0.1% TritonX-100 permeabilized HeLa (human cervical adenocarcinoma epithelial cell) cells labelling LATS1(phospho T1079)+LATS2 (phospho T1041) with ab305029 at 1/100 (5.0 µg/ml) dilution, followed by ab150081 Goat Anti-Rabbit IgG H&L (Alexa Fluor® 488) preadsorbed antibody at 1/1000 2 µg/ml dilution (Green). Confocal image showing mainly centrosome staining in HeLa cells treated with Calyculin A (100 ng/ml) for 10 min. Image was taken with a confocal microscope(Leica-Microsystems, TCS SP8). ab195889 Anti-alpha Tubulin mouse monoclonal antibody - Microtubule Marker (Alexa Fluor® 594) was used to counterstain tubulin at 1/200 2.5µg/ml dilution (Red). The Nuclear counterstain was DAPI (Blue). Secondary antibody only control : Secondary antibody is ab150081 Goat Anti-Rabbit IgG H&L (Alexa Fluor® 488) preabsorbed at 1/1000 2 µg/ml dilution.

Immunocytochemistry/ Immunofluorescence - Anti-LATS1/WARTS (phospho T1079) + LATS2 (phospho T1041) antibody [EPR27261-8] - BSA and Azide free (AB305030)
  • ICC/IF

Supplier Data

Immunocytochemistry/ Immunofluorescence - Anti-LATS1/WARTS (phospho T1079) + LATS2 (phospho T1041) antibody [EPR27261-8] - BSA and Azide free (AB305030)

This data was developed using ab305029, the same antibody clone in a different buffer formulation. Immunofluorescent analysis of 4% Paraformaldehyde-fixed, 0.1% TritonX-100 permeabilized HeLa (human cervical adenocarcinoma epithelial cell) cells labelling LATS1(phospho T1079)+LATS2 (phospho T1041) with ab305029 at 1/100 (5.0 µg/ml) dilution, followed by ab150081 Goat Anti-Rabbit IgG H&L (Alexa Fluor® 488) preabsorbed antibody at 1/1000 2 µg/ml dilution (Green). Confocal image showing centriole (arrow) staining in HeLa cells in M phase. Image was taken with a confocal microscope(Leica-Microsystems, TCS SP8). ab195889 Anti-alpha Tubulin mouse monoclonal antibody - Microtubule Marker (Alexa Fluor® 594) was used to counterstain tubulin at 1/200 2.5µg/ml dilution (Red). The Nuclear counterstain was DAPI (Blue). Secondary antibody only control : Secondary antibody is ab150081 Goat Anti-Rabbit IgG H&L (Alexa Fluor® 488) preabsorbed at 1/1000 2 µg/ml dilution.

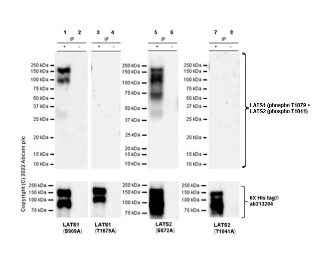
Western blot - Anti-LATS1/WARTS (phospho T1079) + LATS2 (phospho T1041) antibody [EPR27261-8] - BSA and Azide free (AB305030)
  • WB

Supplier Data

Western blot - Anti-LATS1/WARTS (phospho T1079) + LATS2 (phospho T1041) antibody [EPR27261-8] - BSA and Azide free (AB305030)

This data was developed using ab305029, the same antibody clone in a different buffer formulation. Blocking and diluting buffer and concentration : 5% NFDM/TBST The antibody detects human LATS1 (phospho T1079) & LATS2 (phospho T1041). In Western blot, anti-His antibody (ab213204) staining at 1/5000 dilution. Exposure time : Lanes 1-2 : 41 seconds, lanes 3-4 and 7-8 : 180 seconds, lanes 5-6 : 10 seconds.

All lanes:

Western blot - Anti-LATS1/WARTS (phospho T1079) + LATS2 (phospho T1041) antibody [EPR27261-8] (<a href='/products/primary-antibodies/lats1-warts-phospho-t1079-lats2-phospho-t1041-antibody-epr27261-8-ab305029'>ab305029</a>) at 1/1000 dilution

Lanes 1 - 2:

HEK293T cells transfected with a human LATS1(S909A mutation) expression vector containing a his tag

Lanes 3 - 4:

HEK293T cells transfected with a human LATS1(T1079A mutation) expression vector containing a his tag

Lanes 5 - 6:

HEK293T cells transfected with a human LATS2(S872A mutation) expression vector containing a his tag

Lanes 7 - 8:

HEK293T cells transfected with a human LATS2(T1041A mutation) expression vector containing a his tag

Secondary

All lanes:

Western blot - VeriBlot for IP Detection Reagent (HRP) (<a href='/products/reagents/veriblot-for-ip-detection-reagent-hrp-ab131366'>ab131366</a>) at 1/5000 dilution

Observed band size: 150 kDa

false

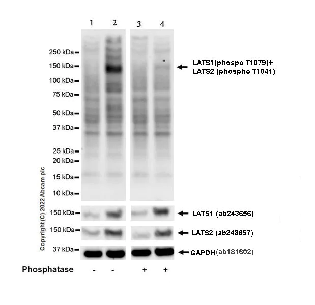
Western blot - Anti-LATS1/WARTS (phospho T1079) + LATS2 (phospho T1041) antibody [EPR27261-8] - BSA and Azide free (AB305030)
  • WB

Supplier Data

Western blot - Anti-LATS1/WARTS (phospho T1079) + LATS2 (phospho T1041) antibody [EPR27261-8] - BSA and Azide free (AB305030)

This data was developed using , the same antibody clone in a different buffer formulation. Blocking and diluting buffer and concentration : 5% NFDM/TBST Lysates were freshly made and used immediately to minimize protein degradation. In Western blot, anti-LATS1 antibody (ab243656) staining at 1/1000 dilution. Anti-LATS2 antibody (ab243657) staining at 1/1000 dilution. Anti-GAPDH antibody (ab181602) loading control staining at 1/200000 dilution. Exposure time : 15 seconds

All lanes:

Western blot - Anti-LATS1/WARTS (phospho T1079) + LATS2 (phospho T1041) antibody [EPR27261-8] (<a href='/products/primary-antibodies/lats1-warts-phospho-t1079-lats2-phospho-t1041-antibody-epr27261-8-ab305029'>ab305029</a>) at 1/1000 dilution

Lane 1:

Untreated HeLa(human cervix adenocarcinoma epithelial cell) whole cell lysate 20 μg (untreated membrane) at 20 µg

Lane 2:

HeLa treated with 100 ng/mL Calyculin A for 10 minutes (untreated membrane)

Lane 3:

Untreated HeLa whole cell lysate 20 μg (phosphatase treated membrane) at 20 µg

Lane 4:

HeLa treated with 100 ng/mL Calyculin A for 10 minutes (phosphatase treated membrane)

Secondary

All lanes:

Western blot - Goat Anti-Rabbit IgG H&L (HRP) (<a href='/products/secondary-antibodies/goat-rabbit-igg-h-l-hrp-ab97051'>ab97051</a>) at 1/100000 dilution

Observed band size: 150 kDa

false

Exposure time: 15s

Dot Blot - Anti-LATS1/WARTS (phospho T1079) + LATS2 (phospho T1041) antibody [EPR27261-8] - BSA and Azide free (AB305030)
  • Dot

Supplier Data

Dot Blot - Anti-LATS1/WARTS (phospho T1079) + LATS2 (phospho T1041) antibody [EPR27261-8] - BSA and Azide free (AB305030)

This data was developed using ab305029, the same antibody clone in a different buffer formulation.

Dot blot analysis of LATS1(phospho T1079)+LATS2 (phospho T1041 using ab305029 at 1 : 1000 (0.5 ug/ml) followed by a Goat Anti-Rabbit IgG, (H+L), Peroxidase conjugated (ab97051) at 1 : 100,000 dilution.

Lane 1 : LATS1 (phospho T1079)/ LATS2 (phospho T1041) peptide a

Lane 2 : LATS1 (phospho T1079)/ LATS2 (phospho T1041) peptide b

Lane 3 : LATS1/ LATS2 non-phospho peptide a

Peptide a, b and c share 100% sequence similarity with human LATS1 and LATS2.

Exposure time : 180 seconds

Blocking and diluting buffer and concentration : 5% NFDM/TBST

関連する標識済み抗体及び組成の異なる製品 (1)

  • Unconjugated

    Anti-LATS1/WARTS (phospho T1079) + LATS2 (phospho T1041) antibody [EPR27261-8]

Key facts

宿主種

Rabbit

クローン性

Monoclonal

クローン番号

EPR27261-8

アイソタイプ

IgG

キャリアフリー

Yes

交差種

Human

アプリケーション

Dot, WB, ICC/IF

applications

免疫原

The exact immunogen used to generate this antibody is proprietary information.

Reactivity data

{ "title": "Reactivity Data", "filters": { "stats": ["", "Species", "Dilution Info", "Notes"], "tabs": { "all-applications": {"fullname" : "All Applications", "shortname": "All Applications"}, "Dot" : {"fullname" : "Dot Blot", "shortname":"Dot"}, "WB" : {"fullname" : "Western blot", "shortname":"WB"}, "ICCIF" : {"fullname" : "Immunocytochemistry/ Immunofluorescence", "shortname":"ICC/IF"}, "IHCP" : {"fullname" : "Immunohistochemistry (Formalin/PFA-fixed paraffin-embedded sections)", "shortname":"IHC-P"}, "FlowCytIntra" : {"fullname" : "Flow Cytometry (Intracellular)", "shortname":"Flow Cyt (Intra)"}, "IP" : {"fullname" : "Immunoprecipitation", "shortname":"IP"} }, "product-promise": { "all": "all", "testedAndGuaranteed": "tested", "guaranteed": "expected", "predicted": "predicted", "notRecommended": "not-recommended" } }, "values": { "Human": { "Dot-species-checked": "guaranteed", "Dot-species-dilution-info": "", "Dot-species-notes": "", "WB-species-checked": "testedAndGuaranteed", "WB-species-dilution-info": "", "WB-species-notes": "<p></p>", "ICCIF-species-checked": "testedAndGuaranteed", "ICCIF-species-dilution-info": "", "ICCIF-species-notes": "<p></p>", "IHCP-species-checked": "notRecommended", "IHCP-species-dilution-info": "", "IHCP-species-notes": "<p></p>", "FlowCytIntra-species-checked": "notRecommended", "FlowCytIntra-species-dilution-info": "", "FlowCytIntra-species-notes": "<p></p>", "IP-species-checked": "notRecommended", "IP-species-dilution-info": "", "IP-species-notes": "<p></p>" }, "Mouse": { "Dot-species-checked": "notRecommended", "Dot-species-dilution-info": "", "Dot-species-notes": "", "WB-species-checked": "notRecommended", "WB-species-dilution-info": "", "WB-species-notes": "<p></p>", "ICCIF-species-checked": "notRecommended", "ICCIF-species-dilution-info": "", "ICCIF-species-notes": "", "IHCP-species-checked": "notRecommended", "IHCP-species-dilution-info": "", "IHCP-species-notes": "<p></p>", "FlowCytIntra-species-checked": "notRecommended", "FlowCytIntra-species-dilution-info": "", "FlowCytIntra-species-notes": "", "IP-species-checked": "notRecommended", "IP-species-dilution-info": "", "IP-species-notes": "" }, "Rat": { "Dot-species-checked": "notRecommended", "Dot-species-dilution-info": "", "Dot-species-notes": "", "WB-species-checked": "notRecommended", "WB-species-dilution-info": "", "WB-species-notes": "", "ICCIF-species-checked": "notRecommended", "ICCIF-species-dilution-info": "", "ICCIF-species-notes": "", "IHCP-species-checked": "notRecommended", "IHCP-species-dilution-info": "", "IHCP-species-notes": "<p></p>", "FlowCytIntra-species-checked": "notRecommended", "FlowCytIntra-species-dilution-info": "", "FlowCytIntra-species-notes": "", "IP-species-checked": "notRecommended", "IP-species-dilution-info": "", "IP-species-notes": "" }, "Synthetic peptide": { "Dot-species-checked": "testedAndGuaranteed", "Dot-species-dilution-info": "", "Dot-species-notes": "<p></p>", "WB-species-checked": "notRecommended", "WB-species-dilution-info": "", "WB-species-notes": "", "ICCIF-species-checked": "notRecommended", "ICCIF-species-dilution-info": "", "ICCIF-species-notes": "", "IHCP-species-checked": "notRecommended", "IHCP-species-dilution-info": "", "IHCP-species-notes": "", "FlowCytIntra-species-checked": "notRecommended", "FlowCytIntra-species-dilution-info": "", "FlowCytIntra-species-notes": "", "IP-species-checked": "notRecommended", "IP-species-dilution-info": "", "IP-species-notes": "" } } }

製品の詳細

Patented technology
Our RabMAb® technology is a patented hybridoma-based technology for making rabbit monoclonal antibodies. For details on our patents, please refer to RabMAb® patents.

What are the advantages of a recombinant monoclonal antibody?
This product is a recombinant monoclonal antibody, which offers several advantages including:

  • - High batch-to-batch consistency and reproducibility
  • - Improved sensitivity and specificity
  • - Long-term security of supply
  • - Animal-free batch production

For more information, read more on recombinant antibodies.

Conjugation ready
Our carrier-free antibodies are typically supplied in a PBS-only formulation, purified and free of BSA, sodium azide and glycerol. This conjugation-ready format is designed for use with fluorochromes, metal isotopes, oligonucleotides, and enzymes, which makes them ideal for antibody labelling, functional and cell-based assays, flow-based assays (e.g. mass cytometry) and Multiplex Imaging applications.

Use our conjugation kits for antibody conjugates that are ready-to-use in as little as 20 minutes with 1 minute hands-on-time and 100% antibody recovery: available for fluorescent dyes, HRP, biotin and gold.

Compatibility
This product is compatible with the Maxpar® Antibody Labeling Kit from Fluidigm, without the need for antibody preparation. Maxpar® is a trademark of Fluidigm Canada Inc.

出荷温度及び保存条件

製品の状態
Liquid
精製方法
Affinity purification Protein A
バッファー組成
pH: 7.2 - 7.4 Constituents: PBS
出荷温度
Blue Ice
短期保存温度
+4°C
長期保存温度
+4°C

補足情報

This supplementary information is collated from multiple sources and compiled automatically.

The LATS1/LATS2 proteins also called WARTS are serine-threonine kinases involved in the Hippo signaling pathway with molecular masses of about 122 kDa and 104 kDa respectively. LATS1 and LATS2 are expressed in various tissues including the heart lung and liver. They work by phosphorylating other proteins which regulates cell proliferation and apoptosis. LATS proteins are found in the cytoplasm and can move into the nucleus influencing processes important for maintaining cellular homeostasis.
Biological function summary

LATS1 and LATS2 are part of the core Hippo signaling complex playing roles in controlling cell growth and organ size. They achieve this by inhibiting the transcription co-activator YAP/TAZ preventing excessive cell division and promoting programmed cell death when needed. This regulation ensures proper development and suppresses tumor formation. LATS proteins act as tumor suppressors preventing the overgrowth of cells that could lead to cancerous transformations.

Pathways

LATS1 and LATS2 integrate into the Hippo signaling and apoptotic pathways. In the Hippo pathway these kinases partner with MOB1 to phosphorylate YAP/TAZ preventing their translocation into the nucleus where they might trigger oncogenic gene expression. They also interact with other proteins like MST1/2 kinases within the Hippo cascade ensuring tight regulation of cell proliferation and death.

LATS1 and LATS2 are linked to cancer development and liver diseases. Dysregulation or mutations in these proteins can lead to unchecked cell growth posing a risk for cancers particularly liver cancer. Research shows that their interaction with other oncogenes like KRAS or tumor suppressors like p53 further influences their role in carcinogenesis. Additionally alterations in the Hippo pathway involving LATS proteins contribute to liver conditions potentially leading to hepatic disorders.

製品プロトコール

For this product, it's our understanding that no specific protocols are required. You can visit:

ターゲットの情報

Negative regulator of YAP1 in the Hippo signaling pathway that plays a pivotal role in organ size control and tumor suppression by restricting proliferation and promoting apoptosis (PubMed : 10518011, PubMed : 10831611, PubMed : 18158288, PubMed : 26437443, PubMed : 28068668). The core of this pathway is composed of a kinase cascade wherein STK3/MST2 and STK4/MST1, in complex with its regulatory protein SAV1, phosphorylates and activates LATS1/2 in complex with its regulatory protein MOB1, which in turn phosphorylates and inactivates YAP1 oncoprotein and WWTR1/TAZ (PubMed : 18158288, PubMed : 26437443, PubMed : 28068668). Phosphorylation of YAP1 by LATS1 inhibits its translocation into the nucleus to regulate cellular genes important for cell proliferation, cell death, and cell migration (PubMed : 18158288, PubMed : 26437443, PubMed : 28068668). Acts as a tumor suppressor which plays a critical role in maintenance of ploidy through its actions in both mitotic progression and the G1 tetraploidy checkpoint (PubMed : 15122335, PubMed : 19927127). Negatively regulates G2/M transition by down-regulating CDK1 kinase activity (PubMed : 9988268). Involved in the control of p53 expression (PubMed : 15122335). Affects cytokinesis by regulating actin polymerization through negative modulation of LIMK1 (PubMed : 15220930). May also play a role in endocrine function. Plays a role in mammary gland epithelial cell differentiation, both through the Hippo signaling pathway and the intracellular estrogen receptor signaling pathway by promoting the degradation of ESR1 (PubMed : 28068668). Acts as an activator of the NLRP3 inflammasome by mediating phosphorylation of 'Ser-265' of NLRP3 following NLRP3 palmitoylation, promoting NLRP3 activation by NEK7 (PubMed : 39173637).
See full target information LATS1 phospho T1079

文献 (1)

Recent publications for all applications. Explore the full list and refine your search

Journal of cellular physiology 239:e31220 PubMed38372068

2024

mA-induced TRIB3 regulates Hippo pathway through interacting with LATS1 to promote the progression of lung adenocarcinoma.

Applications

Unspecified application

Species

Unspecified reactive species

Jiamei Wu,Tingzhuang Yi,Chenyi Zhuo,Duanduan Wang,Ming Zhang,Rui Hu,Dan Wu,Guoxin Hou,Yutong Xing
View all publications

Abcam product promise

当社は、高品質な試薬を通じてお客様の研究を力強くサポートすることをお約束いたします。ご使用いただく各段階で、常にお客様をサポートできる体制を整えております。万が一、製品が期待通りに機能しない場合は、「Abcam Product Promise」による当社保証制度に基づき、安心してご利用いただけます。
保証に関する詳細については利用規約をご確認ください。

Please note: All products are 'FOR RESEARCH USE ONLY. NOT FOR USE IN DIAGNOSTIC OR THERAPEUTIC PROCEDURES'.

For licensing inquiries, please contact partnerships@abcam.com