JavaScript is disabled in your browser. Please enable JavaScript to view this website.
AB317028

Anti-LAP2 alpha 抗体 [EPR28581-87]

Anti-LAP2 alpha antibody [EPR28581-87]

  • BOND RX™ Validated
  • 20ul selling size
  • Recombinant
  • RabMAb
  • KO Validated
  • 詳細を見る

Be the first to review this product! Submit a review

|

(0 Publication)

Knockout Tested Rabbit Recombinant Monoclonal LAP2 alpha antibody. Suitable for WB, Flow Cyt (Intra), IHC-P, ICC/IF, IP and reacts with Recombinant fragment - Human, Human, Mouse, Rat samples.

別名を表示する

LAP2, TMPO, Thymopoietin isoform alpha, Thymopoietin-related peptide isoform alpha, TP alpha, TPRP isoform alpha

12 Images
Immunohistochemistry (Formalin/PFA-fixed paraffin-embedded sections) - Anti-LAP2 alpha antibody [EPR28581-87] (AB317028)
  • IHC-P

Supplier Data

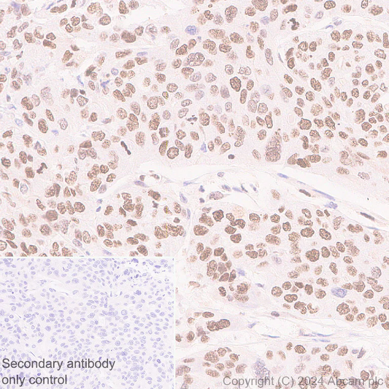
Immunohistochemistry (Formalin/PFA-fixed paraffin-embedded sections) - Anti-LAP2 alpha antibody [EPR28581-87] (AB317028)

Immunohistochemical analysis of paraffin-embedded Human gastric carcinoma tissue labeling LAP2 alpha with ab317028 at 1/2000 (0.262 ug/ml) dilution, followed by a ready to use LeicaDS9800 (Bond™ Polymer Refine Detection).

Positive staining on human gastric carcinoma (PMID : 22745766). The section was incubated with ab317028 for 30 mins at room temperature.
The immunostaining was performed on a Leica Biosystems BOND® RX instrument

Counterstained with Hematoxylin.

Secondary antibody only control : Secondary antibody is a ready to use LeicaDS9800 (Bond™ Polymer Refine Detection).

Heat mediated antigen retrieval was performed with Tris-EDTA buffer (pH 9.0, Epitope Retrieval Solution2) for 20 mins

Flow Cytometry (Intracellular) - Anti-LAP2 alpha antibody [EPR28581-87] (AB317028)
  • Flow Cyt (Intra)

Supplier Data

Flow Cytometry (Intracellular) - Anti-LAP2 alpha antibody [EPR28581-87] (AB317028)

Flow cytometric analysis of 4% paraformaldehyde fixed 90% methanol permeabilized TMPO KO HEK293T (LAP2 alpha knock out human embryonic kidney epithelial cell, Left) / Parental HEK293T (Right) cells labelling LAP2 alpha with ab317028 at 1/5000 dilution (0.01 ug)/Red compared with a Rabbit monoclonal IgG (ab172730) (Black) isotype control and an unlabelled control (cells without incubation with primary antibody and secondary antibody) (Blue).

Goat Anti-Rabbit IgG (Alexa Fluor® 488, ab150081) at 1/5000 dilution was used as the secondary antibody.

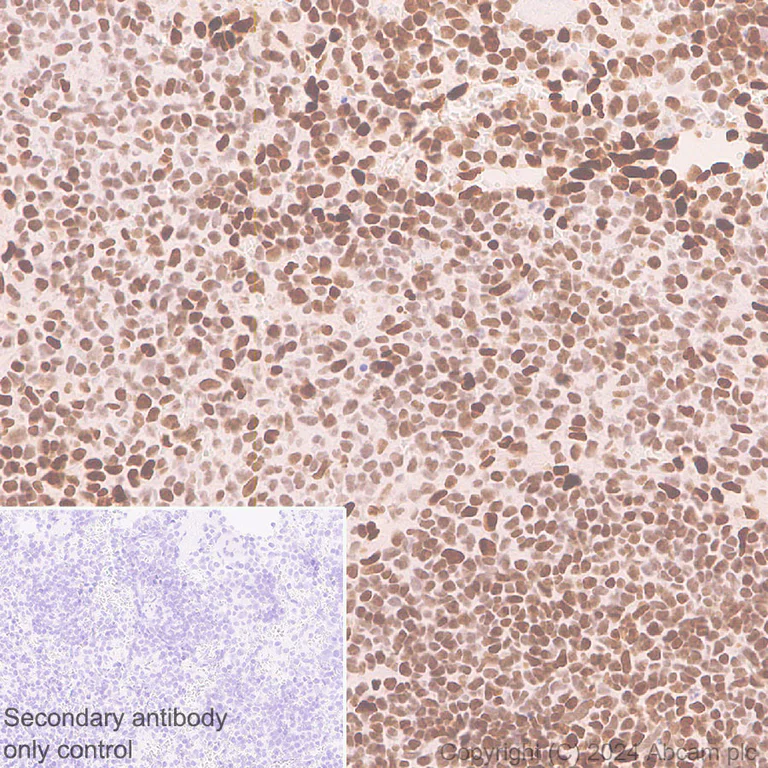
Immunohistochemistry (Formalin/PFA-fixed paraffin-embedded sections) - Anti-LAP2 alpha antibody [EPR28581-87] (AB317028)
  • IHC-P

Supplier Data

Immunohistochemistry (Formalin/PFA-fixed paraffin-embedded sections) - Anti-LAP2 alpha antibody [EPR28581-87] (AB317028)

Immunohistochemical analysis of paraffin-embedded Human tonsil tissue labeling LAP2 alpha with ab317028 at 1/2000 (0.262 ug/ml) dilution, followed by a ready to use LeicaDS9800 (Bond™ Polymer Refine Detection).

Positive staining on human tonsil. The section was incubated with ab317028 for 30 mins at room temperature.
The immunostaining was performed on a Leica Biosystems BOND® RX instrument

Counterstained with Hematoxylin.

Secondary antibody only control : Secondary antibody is a ready to use LeicaDS9800 (Bond™ Polymer Refine Detection).

Heat mediated antigen retrieval was performed with Tris-EDTA buffer (pH 9.0, Epitope Retrieval Solution2) for 20 mins

Immunocytochemistry/ Immunofluorescence - Anti-LAP2 alpha antibody [EPR28581-87] (AB317028)
  • ICC/IF

Supplier Data

Immunocytochemistry/ Immunofluorescence - Anti-LAP2 alpha antibody [EPR28581-87] (AB317028)

Immunofluorescent analysis of 4% Paraformaldehyde-fixed, 0.1% TritonX-100 permeabilized TMPO KO HEK293T (TMPO knockout human embryonic kidney epithelial cell) (ab266774) cells labelling LAP2 alpha with ab317028 at 1/500 (1.046 ug/ml) dilution, followed by ab150081 Goat Anti-Rabbit IgG H&L (Alexa Fluor® 488) preadsorbed antibody at 1/1000 (2 ug/ml) dilution (Green).

Confocal image showing nuclear staining in parental HEK293T cells (shown in green), no staining in TMPO KO HEK293T cells. The counterstain was observed in magenta. Nuclear DNA was labeled with DAPI (shown in blue). Image was taken with a confocal microscope (Leica-Microsystems, TCS SP8).

ab195889 Anti-alpha Tubulin mouse monoclonal antibody - Microtubule Marker (Alexa Fluor® 594) was used to counterstain tubulin at 1/200 (2.5ug/ml) dilution (Magenta). The Nuclear counterstain was DAPI (Blue).

Secondary antibody only control : Secondary antibody is ab150081 Goat Anti-Rabbit IgG H&L (Alexa Fluor® 488) preadsorbed at 1/1000 (2 ug/ml) dilution.

Immunoprecipitation - Anti-LAP2 alpha antibody [EPR28581-87] (AB317028)
  • IP

Supplier Data

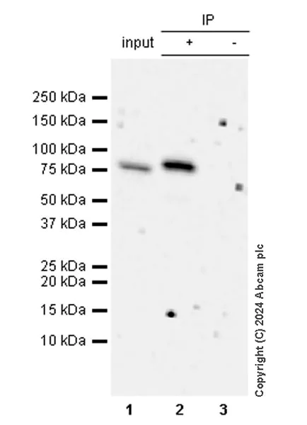
Immunoprecipitation - Anti-LAP2 alpha antibody [EPR28581-87] (AB317028)

LAP2 alpha was immunoprecipitated from 0.35 mg HEK-293 (human embryonic kidney epithelial cell) whole cell lysate with ab317028 at 1/30 dilution (2ug in 0.35mg lysates). Western blot was performed on the immunoprecipitate using ab317028 at 1/1000 dilution. VeriBlot for IP secondary antibody(HRP)(ab131366) was used at 1/5000 dilution.

Lane 1 : HEK-293 (human embryonic kidney epithelial cell) whole cell lysate
Lane 2 : ab317028 IP in HEK-293 (human embryonic kidney epithelial cell) whole cell lysate
Lane 3 : Rabbit monoclonal IgG (ab172730) instead of ab317028 in HEK-293 whole cell lysate.

Lysate was freshly made and used for Western blotting immediately to minimize protein degradation.

All lanes:

Immunoprecipitation - Anti-LAP2 alpha antibody [EPR28581-87] (ab317028) at 1/30 dilution

All lanes:

HEK-293 (human embryonic kidney epithelial cell) whole cell lysate

Secondary

All lanes:

Immunoprecipitation - VeriBlot for IP Detection Reagent (HRP) (<a href='/products/reagents/veriblot-for-ip-detection-reagent-hrp-ab131366'>ab131366</a>) at 1/5000 dilution

false

Exposure time: 180s

Flow Cytometry (Intracellular) - Anti-LAP2 alpha antibody [EPR28581-87] (AB317028)
  • Flow Cyt (Intra)

Supplier Data

Flow Cytometry (Intracellular) - Anti-LAP2 alpha antibody [EPR28581-87] (AB317028)

Flow cytometric analysis of 4% paraformaldehyde fixed 90% methanol permeabilized NIH/3T3 (mouse embryonic fibroblast) cells labelling LAP2 alpha with ab317028 at 1/5000 dilution (0.01 ug)/Red compared with a Rabbit monoclonal IgG (ab172730) (Black) isotype control and an unlabelled control (cells without incubation with primary antibody and secondary antibody) (Blue).

Goat Anti-Rabbit IgG (Alexa Fluor® 488, ab150081) at 1/5000 dilution was used as the secondary antibody.

Immunohistochemistry (Formalin/PFA-fixed paraffin-embedded sections) - Anti-LAP2 alpha antibody [EPR28581-87] (AB317028)
  • IHC-P

Supplier Data

Immunohistochemistry (Formalin/PFA-fixed paraffin-embedded sections) - Anti-LAP2 alpha antibody [EPR28581-87] (AB317028)

Immunohistochemical analysis of paraffin-embedded Mouse spleen tissue labeling LAP2 alpha with ab317028 at 1/2000 (0.262 ug/ml) dilution, followed by a ready to use LeicaDS9800 (Bond™ Polymer Refine Detection).

Positive staining on mouse spleen. The section was incubated with ab317028 for 30 mins at room temperature.
The immunostaining was performed on a Leica Biosystems BOND® RX instrument

Counterstained with Hematoxylin.

Secondary antibody only control : Secondary antibody is a ready to use LeicaDS9800 (Bond™ Polymer Refine Detection).

Heat mediated antigen retrieval was performed with Tris-EDTA buffer (pH 9.0, Epitope Retrieval Solution2) for 20 mins

Immunohistochemistry (Formalin/PFA-fixed paraffin-embedded sections) - Anti-LAP2 alpha antibody [EPR28581-87] (AB317028)
  • IHC-P

Supplier Data

Immunohistochemistry (Formalin/PFA-fixed paraffin-embedded sections) - Anti-LAP2 alpha antibody [EPR28581-87] (AB317028)

Immunohistochemical analysis of paraffin-embedded Rat spleen tissue labeling LAP2 alpha with ab317028 at 1/2000 (0.262 ug/ml) dilution, followed by a ready to use LeicaDS9800 (Bond™ Polymer Refine Detection).

Positive staining on rat spleen. The section was incubated with ab317028 for 30 mins at room temperature.
The immunostaining was performed on a Leica Biosystems BOND® RX instrument

Counterstained with Hematoxylin.

Secondary antibody only control : Secondary antibody is a ready to use LeicaDS9800 (Bond™ Polymer Refine Detection).

Heat mediated antigen retrieval was performed with Tris-EDTA buffer (pH 9.0, Epitope Retrieval Solution2) for 20 mins

Immunocytochemistry/ Immunofluorescence - Anti-LAP2 alpha antibody [EPR28581-87] (AB317028)
  • ICC/IF

Supplier Data

Immunocytochemistry/ Immunofluorescence - Anti-LAP2 alpha antibody [EPR28581-87] (AB317028)

Immunofluorescent analysis of 4% Paraformaldehyde-fixed, 0.1% TritonX-100 permeabilized NIH/3T3 (mouse embryonic fibroblast) cells labelling LAP2 alpha with ab317028 at 1/500 (1.046 ug/ml) dilution, followed by ab150081 Goat Anti-Rabbit IgG H&L (Alexa Fluor® 488) preadsorbed antibody at 1/1000 (2 ug/ml) dilution (Green).

Confocal image showing nuclear staining in NIH/3T3 cells (shown in green). The counterstain was observed in magenta. Nuclear DNA was labeled with DAPI (shown in blue). Image was taken with a confocal microscope (Leica-Microsystems, TCS SP8).

ab195889 Anti-alpha Tubulin mouse monoclonal antibody - Microtubule Marker (Alexa Fluor® 594) was used to counterstain tubulin at 1/200 (2.5ug/ml) dilution (Magenta). The Nuclear counterstain was DAPI (Blue).

Secondary antibody only control : Secondary antibody is ab150081 Goat Anti-Rabbit IgG H&L (Alexa Fluor® 488) preadsorbed at 1/1000 (2 ug/ml) dilution.

Western blot - Anti-LAP2 alpha antibody [EPR28581-87] (AB317028)
  • WB

Supplier Data

Western blot - Anti-LAP2 alpha antibody [EPR28581-87] (AB317028)

In Western blot, ab317028 was shown to bind specifically to LAP2 alpha. Target of interest was observed at 76 kDa in wild-type HEK-293 cell lysates (lane 1/4) with no signal observed at this size in TMPO knockout cell line (lane 2/5) (knockout cell line ab266774 / knockout cell lysate ab257747).

In lanes 1-3, the lysates were stored at -80℃ prior to Western Blotting. The bands beneath the target band (76 kDa) are likey to be degradation products. In lanes 4-13, the lysates were freshly made and used for Western Blotting immediately to minimize protein degradation.

The identity of the higher MW band at approximately 250 kDa (in lane 10) is unknown.

The lanes 1-2 were developed using a high sensitivity ECL substrate.

In Western blot, Anti-GAPDH antibody [EPR16891] - Loading Control (ab181602) staining at 1/200000 dilution.

Exposure time : Lanes 1-2 : 81 seconds, lanes 3-13 : 180 seconds

All lanes:

Western blot - Anti-LAP2 alpha antibody [EPR28581-87] (ab317028) at 1/1000 dilution

Lane 1:

Wild-type HEK-293 (human embryonic kidney epithelial cell) whole cell lysate at 20 µg

Lanes 2 and 5:

TMPO knockout HEK-293 whole cell lysate at 20 µg

Lane 3:

HEL (erythroleukemia erythroblast) whole cell lysate at 20 µg

Lane 4:

Wild-type HEK-293 whole cell lysate at 20 µg

Lane 6:

HeLa (human cervix adenocarcinoma epithelial cell) whole cell lysate at 20 µg

Lane 7:

293T (human embryonic kidney epithelial cell) whole cell lysate at 20 µg

Lane 8:

NIH/3T3 (mouse embryonic fibroblast) whole cell lysate at 20 µg

Lane 9:

PC-12 (rat adrenal gland pheochromocytoma) whole cell lysate at 20 µg

Lane 10:

C6 (rat glial tumor glial cell) whole cell lysate at 20 µg

Lane 11:

Neuro-2a (mouse neuroblastoma neuroblast) whole cell lysate at 20 µg

Lane 12:

U-87 MG (human glioblastoma-astrocytoma epithelial cell) whole cell lysate at 20 µg

Lane 13:

SH-SY5Y (human neuroblastoma epithelial cell) whole cell lysate at 20 µg

Secondary

All lanes:

Western blot - Goat Anti-Rabbit IgG H&L (HRP) (<a href='/products/secondary-antibodies/goat-rabbit-igg-h-l-hrp-ab97051'>ab97051</a>) at 1/100000 dilution

Observed band size: 76 kDa,36 kDa

false

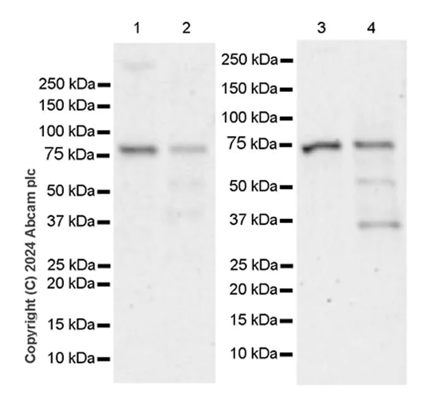
Western blot - Anti-LAP2 alpha antibody [EPR28581-87] (AB317028)
  • WB

Supplier Data

Western blot - Anti-LAP2 alpha antibody [EPR28581-87] (AB317028)

Lysates were freshly made and used for Western blotting immediately to minimize protein degradation.

The bands beneath the target band (76 kDa) are likely to be degraded target fragments.

All lanes:

Western blot - Anti-LAP2 alpha antibody [EPR28581-87] (ab317028) at 1/1000 dilution

Lane 1:

Mouse testis tissue lysate at 20 µg

Lane 2:

Mouse spleen tissue lysate at 20 µg

Lane 3:

Rat testis tissue lysate at 20 µg

Lane 4:

Rat spleen tissue lysate at 20 µg

Secondary

All lanes:

Western blot - Goat Anti-Rabbit IgG H&L (HRP) (<a href='/products/secondary-antibodies/goat-rabbit-igg-h-l-hrp-ab97051'>ab97051</a>) at 1/100000 dilution

Observed band size: 76 kDa

false

Exposure time: 180s

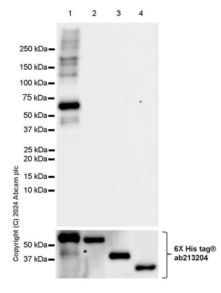
Western blot - Anti-LAP2 alpha antibody [EPR28581-87] (AB317028)
  • WB

Supplier Data

Western blot - Anti-LAP2 alpha antibody [EPR28581-87] (AB317028)

This antibody does not cross-react with human LAP2 beta, LAP2 gamma and LAP2 zeta.

In Western blot, Anti-6X His tag® antibody [EPR20547] - ChIP Grade (ab213204) staining at 1/5000 dilution.

All lanes:

Western blot - Anti-LAP2 alpha antibody [EPR28581-87] (ab317028) at 1/1000 dilution

Lane 1:

His-tagged human LAP2 alpha fragment at 100 ng

Lane 2:

His-tagged human LAP2 beta recombinant protein at 100 ng

Lane 3:

His-tagged human LAP2 gamma recombinant protein at 100 ng

Lane 4:

His-tagged human LAP2 zeta recombinant protein at 100 ng

Secondary

All lanes:

Western blot - Goat Anti-Rabbit IgG H&L (HRP) (<a href='/products/secondary-antibodies/goat-rabbit-igg-h-l-hrp-ab97051'>ab97051</a>) at 1/100000 dilution

Observed band size: 57 kDa

false

Exposure time: 180s

関連する標識済み抗体及び組成の異なる製品 (1)

  • Carrier free

    Anti-LAP2 alpha antibody [EPR28581-87] - BSA and Azide free

Key facts

宿主種

Rabbit

クローン性

Monoclonal

クローン番号

EPR28581-87

アイソタイプ

IgG

キャリアフリー

No

交差種

Human, Mouse, Rat

アプリケーション

IP, IHC-P, Flow Cyt (Intra), WB, ICC/IF

applications

免疫原

The exact immunogen used to generate this antibody is proprietary information.

Reactivity data

{ "title": "Reactivity Data", "filters": { "stats": ["", "Species", "Dilution Info", "Notes"], "tabs": { "all-applications": {"fullname" : "All Applications", "shortname": "All Applications"}, "WB" : {"fullname" : "Western blot", "shortname":"WB"}, "FlowCytIntra" : {"fullname" : "Flow Cytometry (Intracellular)", "shortname":"Flow Cyt (Intra)"}, "IHCP" : {"fullname" : "Immunohistochemistry (Formalin/PFA-fixed paraffin-embedded sections)", "shortname":"IHC-P"}, "ICCIF" : {"fullname" : "Immunocytochemistry/ Immunofluorescence", "shortname":"ICC/IF"}, "IP" : {"fullname" : "Immunoprecipitation", "shortname":"IP"} }, "product-promise": { "all": "all", "testedAndGuaranteed": "tested", "guaranteed": "expected", "predicted": "predicted", "notRecommended": "not-recommended" } }, "values": { "Human": { "WB-species-checked": "testedAndGuaranteed", "WB-species-dilution-info": "1/1000", "WB-species-notes": "<p></p>", "FlowCytIntra-species-checked": "testedAndGuaranteed", "FlowCytIntra-species-dilution-info": "1/5000", "FlowCytIntra-species-notes": "<p></p>", "IHCP-species-checked": "testedAndGuaranteed", "IHCP-species-dilution-info": "1/2000", "IHCP-species-notes": "<p></p> Perform heat-mediated antigen retrieval with Tris/EDTA buffer pH 9.0 before commencing with IHC staining protocol.", "ICCIF-species-checked": "testedAndGuaranteed", "ICCIF-species-dilution-info": "1/500", "ICCIF-species-notes": "<p></p>", "IP-species-checked": "testedAndGuaranteed", "IP-species-dilution-info": "1/30", "IP-species-notes": "<p></p>" }, "Mouse": { "WB-species-checked": "testedAndGuaranteed", "WB-species-dilution-info": "1/1000", "WB-species-notes": "<p></p>", "FlowCytIntra-species-checked": "testedAndGuaranteed", "FlowCytIntra-species-dilution-info": "1/5000", "FlowCytIntra-species-notes": "<p></p>", "IHCP-species-checked": "testedAndGuaranteed", "IHCP-species-dilution-info": "1/2000", "IHCP-species-notes": "<p></p> Perform heat-mediated antigen retrieval with Tris/EDTA buffer pH 9.0 before commencing with IHC staining protocol.", "ICCIF-species-checked": "testedAndGuaranteed", "ICCIF-species-dilution-info": "1/500", "ICCIF-species-notes": "<p></p>", "IP-species-checked": "guaranteed", "IP-species-dilution-info": "", "IP-species-notes": "" }, "Rat": { "WB-species-checked": "testedAndGuaranteed", "WB-species-dilution-info": "1/1000", "WB-species-notes": "<p></p>", "FlowCytIntra-species-checked": "guaranteed", "FlowCytIntra-species-dilution-info": "", "FlowCytIntra-species-notes": "", "IHCP-species-checked": "testedAndGuaranteed", "IHCP-species-dilution-info": "1/2000", "IHCP-species-notes": "<p></p> Perform heat-mediated antigen retrieval with Tris/EDTA buffer pH 9.0 before commencing with IHC staining protocol.", "ICCIF-species-checked": "guaranteed", "ICCIF-species-dilution-info": "", "ICCIF-species-notes": "", "IP-species-checked": "guaranteed", "IP-species-dilution-info": "", "IP-species-notes": "" }, "Recombinant fragment - Human": { "WB-species-checked": "testedAndGuaranteed", "WB-species-dilution-info": "1/1000", "WB-species-notes": "<p></p>", "FlowCytIntra-species-checked": "notRecommended", "FlowCytIntra-species-dilution-info": "", "FlowCytIntra-species-notes": "", "IHCP-species-checked": "notRecommended", "IHCP-species-dilution-info": "", "IHCP-species-notes": "", "ICCIF-species-checked": "notRecommended", "ICCIF-species-dilution-info": "", "ICCIF-species-notes": "", "IP-species-checked": "notRecommended", "IP-species-dilution-info": "", "IP-species-notes": "" } } }

製品の詳細

Patented technology
Our RabMAb® technology is a patented hybridoma-based technology for making rabbit monoclonal antibodies. For details on our patents, please refer to RabMAb® patents.

What are the advantages of a recombinant monoclonal antibody?
This product is a recombinant monoclonal antibody, which offers several advantages including:

  • - High batch-to-batch consistency and reproducibility
  • - Improved sensitivity and specificity
  • - Long-term security of supply
  • - Animal-free batch production

For more information, read more on recombinant antibodies.

出荷温度及び保存条件

製品の状態
Liquid
精製方法
Affinity purification Protein A
バッファー組成
pH: 7.2 - 7.4 Preservative: 0.01% Sodium azide Constituents: PBS, 40% Glycerol (glycerin, glycerine), 0.05% BSA
出荷温度
Blue Ice
短期保存期間
1-2 weeks
短期保存温度
+4°C
長期保存温度
-20°C
分注に関する情報
Upon delivery aliquot
保管に関する情報
Avoid freeze / thaw cycle

補足情報

This supplementary information is collated from multiple sources and compiled automatically.

Lamina-associated polypeptide 2 alpha (LAP2 alpha) also known as LAP2A is part of the LAP2 protein family. It has a molecular mass of approximately 76 kDa. This protein connects with the nuclear lamina and is prominently expressed in the nucleus of most cell types. LAP2 alpha interacts with chromatin and its mechanical role involves regulating interactions between chromatin and nuclear structures.
Biological function summary

LAP2 alpha contributes to processes like nuclear stability and chromatin organization. It is involved in the formation of a complex with lamin A/C facilitating the association of this nuclear lamina protein. This interaction plays a significant role in dynamically organizing the nuclear architecture throughout the cell cycle influencing cell differentiation and proliferation.

Pathways

The interaction of LAP2 alpha with lamin A/C places it in the context of the nuclear envelope dynamics. Key pathways include the regulation of genome stability and DNA repair pathways. The interaction with lamin A/C influences how cells manage genome maintenance making LAP2 alpha important for cellular homeostasis.

LAP2 alpha shows relevance to muscular dystrophy and progeria. LAP2 alpha’s interaction with lamin A/C is important because mutations in lamin A/C are known to cause Emery-Dreifuss muscular dystrophy. Additionally LAP2 alpha's role in nuclear architecture is significant in the context of Hutchinson-Gilford progeria syndrome where abnormalities in nuclear shape are evident. In these diseases LAP2 alpha's interaction or malfunction can lead to or exacerbate pathology.

製品プロトコール

For this product, it's our understanding that no specific protocols are required. You can visit:

ターゲットの情報

May be involved in the structural organization of the nucleus and in the post-mitotic nuclear assembly. Plays an important role, together with LMNA, in the nuclear anchorage of RB1.. TP and TP5 may play a role in T-cell development and function. TP5 is an immunomodulating pentapeptide.
See full target information TMPO

Abcam product promise

当社は、高品質な試薬を通じてお客様の研究を力強くサポートすることをお約束いたします。ご使用いただく各段階で、常にお客様をサポートできる体制を整えております。万が一、製品が期待通りに機能しない場合は、「Abcam Product Promise」による当社保証制度に基づき、安心してご利用いただけます。
保証に関する詳細については利用規約をご確認ください。

Please note: All products are 'FOR RESEARCH USE ONLY. NOT FOR USE IN DIAGNOSTIC OR THERAPEUTIC PROCEDURES'.

For licensing inquiries, please contact partnerships@abcam.com