JavaScript is disabled in your browser. Please enable JavaScript to view this website.
AB321976

Anti-LAMA3 抗体 [EPR28286-78]

Anti-LAMA3 antibody [EPR28286-78]

  • BOND RX™ Validated
  • 20ul selling size
  • Recombinant
  • RabMAb
  • 詳細を見る

Be the first to review this product! Submit a review

|

(0 Publication)

Rabbit Recombinant Monoclonal LAMA3 antibody. Suitable for Dot, IHC-P and reacts with Recombinant fragment - Human, Human samples.

別名を表示する

LAMNA, Laminin subunit alpha-3, Epiligrin 170 kDa subunit, Epiligrin subunit alpha, Kalinin subunit alpha, Laminin-5 subunit alpha, Laminin-6 subunit alpha, Laminin-7 subunit alpha, Nicein subunit alpha, E170

6 Images
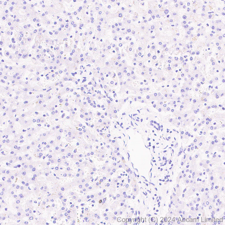
Immunohistochemistry (Formalin/PFA-fixed paraffin-embedded sections) - Anti-LAMA3 antibody [EPR28286-78] (AB321976)
  • IHC-P

Supplier Data

Immunohistochemistry (Formalin/PFA-fixed paraffin-embedded sections) - Anti-LAMA3 antibody [EPR28286-78] (AB321976)

Immunohistochemical analysis of paraffin-embedded Human liver tissue labeling LAMA3 with ab321976 at 1/100 (4.88 ug/ml) dilution followed by a ready to use LeicaDS9800 (Bond™ Polymer Refine Detection).

Negative control : No staining in human liver.
The section was incubated with ab321976 for 30 mins at room temperature.
The immunostaining was performed on a Leica Biosystems BOND® RX instrument

Counterstained with Hematoxylin.

Secondary antibody only control : Secondary antibody is a ready to use LeicaDS9800 (Bond™ Polymer Refine Detection).

Heat mediated antigen retrieval was performed with Tris-EDTA buffer (pH 9.0 Epitope Retrieval Solution2) for 20 mins

Immunohistochemistry (Formalin/PFA-fixed paraffin-embedded sections) - Anti-LAMA3 antibody [EPR28286-78] (AB321976)
  • IHC-P

Supplier Data

Immunohistochemistry (Formalin/PFA-fixed paraffin-embedded sections) - Anti-LAMA3 antibody [EPR28286-78] (AB321976)

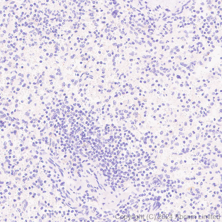
Immunohistochemical analysis of paraffin-embedded Human spleen tissue labeling LAMA3 with ab321976 at 1/100 (4.88 ug/ml) dilution followed by a ready to use LeicaDS9800 (Bond™ Polymer Refine Detection).

Negative control : No staining in human spleen.
The section was incubated with ab321976 for 30 mins at room temperature.
The immunostaining was performed on a Leica Biosystems BOND® RX instrument

Counterstained with Hematoxylin.

Secondary antibody only control : Secondary antibody is a ready to use LeicaDS9800 (Bond™ Polymer Refine Detection).

Heat mediated antigen retrieval was performed with Tris-EDTA buffer (pH 9.0 Epitope Retrieval Solution2) for 20 mins

Immunohistochemistry (Formalin/PFA-fixed paraffin-embedded sections) - Anti-LAMA3 antibody [EPR28286-78] (AB321976)
  • IHC-P

Supplier Data

Immunohistochemistry (Formalin/PFA-fixed paraffin-embedded sections) - Anti-LAMA3 antibody [EPR28286-78] (AB321976)

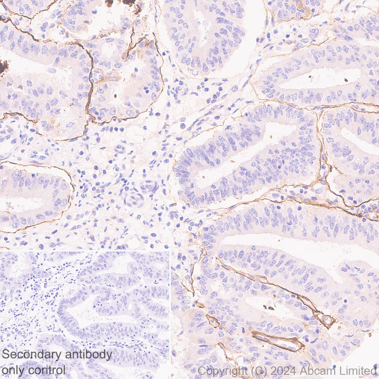
Immunohistochemical analysis of paraffin-embedded Human endometrial carcinoma tissue labeling LAMA3 with ab321976 at 1/100 (4.88 ug/ml) dilution followed by a ready to use LeicaDS9800 (Bond™ Polymer Refine Detection).

Positive staining in basement membrane of human endometrial carcinoma.
The section was incubated with ab321976 for 30 mins at room temperature.
The immunostaining was performed on a Leica Biosystems BOND® RX instrument

Counterstained with Hematoxylin.

Secondary antibody only control : Secondary antibody is a ready to use LeicaDS9800 (Bond™ Polymer Refine Detection).

Heat mediated antigen retrieval was performed with Tris-EDTA buffer (pH 9.0 Epitope Retrieval Solution2) for 20 mins

Immunohistochemistry (Formalin/PFA-fixed paraffin-embedded sections) - Anti-LAMA3 antibody [EPR28286-78] (AB321976)
  • IHC-P

Supplier Data

Immunohistochemistry (Formalin/PFA-fixed paraffin-embedded sections) - Anti-LAMA3 antibody [EPR28286-78] (AB321976)

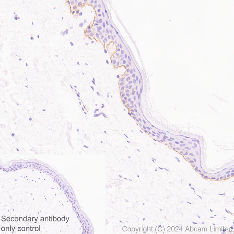
Immunohistochemical analysis of paraffin-embedded Human skin tissue labeling LAMA3 with ab321976 at 1/100 (4.88 ug/ml) dilution followed by a ready to use LeicaDS9800 (Bond™ Polymer Refine Detection).

Positive staining in basement membrane of human skin.
The section was incubated with ab321976 for 30 mins at room temperature.
The immunostaining was performed on a Leica Biosystems BOND® RX instrument

Counterstained with Hematoxylin.

Secondary antibody only control : Secondary antibody is a ready to use LeicaDS9800 (Bond™ Polymer Refine Detection).

Heat mediated antigen retrieval was performed with Tris-EDTA buffer (pH 9.0 Epitope Retrieval Solution2) for 20 mins

Immunohistochemistry (Formalin/PFA-fixed paraffin-embedded sections) - Anti-LAMA3 antibody [EPR28286-78] (AB321976)
  • IHC-P

Supplier Data

Immunohistochemistry (Formalin/PFA-fixed paraffin-embedded sections) - Anti-LAMA3 antibody [EPR28286-78] (AB321976)

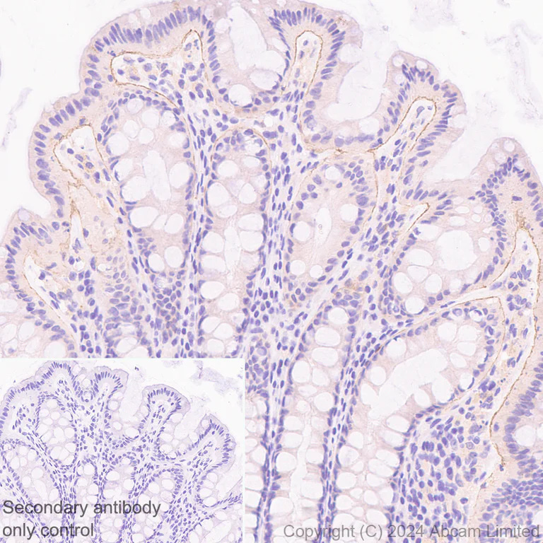
Immunohistochemical analysis of paraffin-embedded Human colon tissue labeling LAMA3 with ab321976 at 1/100 (4.88 ug/ml) dilution followed by a ready to use LeicaDS9800 (Bond™ Polymer Refine Detection).

Positive staining in basement membrane of human colon.
The section was incubated with ab321976 for 30 mins at room temperature.
The immunostaining was performed on a Leica Biosystems BOND® RX instrument

Counterstained with Hematoxylin.

Secondary antibody only control : Secondary antibody is a ready to use LeicaDS9800 (Bond™ Polymer Refine Detection).

Heat mediated antigen retrieval was performed with Tris-EDTA buffer (pH 9.0 Epitope Retrieval Solution2) for 20 mins

Dot Blot - Anti-LAMA3 antibody [EPR28286-78] (AB321976)
  • Dot

Supplier Data

Dot Blot - Anti-LAMA3 antibody [EPR28286-78] (AB321976)

Dot blot analysis of LAMA3 using ab321976 at 1 : 1000 (0.488 ug/ml) followed by a Goat Anti-Rabbit IgG, (H+L), Peroxidase conjugated (ab97051) at 1 : 100,000 dilution.

Lane1 : His-tagged human LAMA3 fragment
Lane2 : His-tagged human LAMA4 fragment
Lane3 : His-tagged human LAMA5 fragment
Lane4 : His-tagged human LAMA1 fragment
Lane5 : His-tagged human LAMA2 fragment

Exposure time : 180 seconds.

Blocking and diluting buffer and concentration : 5% NFDM/TBST.

This antibody does not cross-react with human LAMA4, LAMA5, LAMA1 and LAMA2.

#In Dot Blot, Anti-6X His tag® antibody [EPR20547] - ChIP Grade (ab213204) staining at 1/5000 dilution.

All lanes:

Dot Blot - Anti-LAMA3 antibody [EPR28286-78] (ab321976) at 1/1000 dilution

Lane 1:

His-tagged human LAMA3 fragment

Lane 2:

His-tagged human LAMA4 fragment

Lane 3:

His-tagged human LAMA5 fragment

Lane 4:

His-tagged human LAMA1 fragment

Lane 5:

His-tagged human LAMA2 fragment

Secondary

All lanes:

Dot Blot - Goat Anti-Rabbit IgG H&L (HRP) (<a href='/products/secondary-antibodies/goat-rabbit-igg-h-l-hrp-ab97051'>ab97051</a>) at 1/100000 dilution

false

Exposure time: 180s

Key facts

宿主種

Rabbit

クローン性

Monoclonal

クローン番号

EPR28286-78

アイソタイプ

IgG

キャリアフリー

No

交差種

Human

アプリケーション

IHC-P, Dot

applications

免疫原

The exact immunogen used to generate this antibody is proprietary information.

Reactivity data

{ "title": "Reactivity Data", "filters": { "stats": ["", "Species", "Dilution Info", "Notes"], "tabs": { "all-applications": {"fullname" : "All Applications", "shortname": "All Applications"}, "Dot" : {"fullname" : "Dot Blot", "shortname":"Dot"}, "IHCP" : {"fullname" : "Immunohistochemistry (Formalin/PFA-fixed paraffin-embedded sections)", "shortname":"IHC-P"}, "IHCFr" : {"fullname" : "Immunohistochemistry (Frozen sections)", "shortname":"IHC-Fr"} }, "product-promise": { "all": "all", "testedAndGuaranteed": "tested", "guaranteed": "expected", "predicted": "predicted", "notRecommended": "not-recommended" } }, "values": { "Human": { "Dot-species-checked": "guaranteed", "Dot-species-dilution-info": "", "Dot-species-notes": "", "IHCP-species-checked": "testedAndGuaranteed", "IHCP-species-dilution-info": "1/100", "IHCP-species-notes": "<p></p> Perform heat-mediated antigen retrieval with Tris/EDTA buffer pH 9.0 before commencing with IHC staining protocol.", "IHCFr-species-checked": "notRecommended", "IHCFr-species-dilution-info": "", "IHCFr-species-notes": "" }, "Mouse": { "Dot-species-checked": "notRecommended", "Dot-species-dilution-info": "", "Dot-species-notes": "", "IHCP-species-checked": "notRecommended", "IHCP-species-dilution-info": "", "IHCP-species-notes": "<p></p>", "IHCFr-species-checked": "notRecommended", "IHCFr-species-dilution-info": "", "IHCFr-species-notes": "<p></p>" }, "Recombinant fragment - Human": { "Dot-species-checked": "testedAndGuaranteed", "Dot-species-dilution-info": "1/1000", "Dot-species-notes": "<p></p>", "IHCP-species-checked": "notRecommended", "IHCP-species-dilution-info": "", "IHCP-species-notes": "", "IHCFr-species-checked": "notRecommended", "IHCFr-species-dilution-info": "", "IHCFr-species-notes": "" } } }

製品の詳細

Patented technology
Our RabMAb® technology is a patented hybridoma-based technology for making rabbit monoclonal antibodies. For details on our patents, please refer to RabMAb® patents.

What are the advantages of a recombinant monoclonal antibody?
This product is a recombinant monoclonal antibody, which offers several advantages including:

  • - High batch-to-batch consistency and reproducibility
  • - Improved sensitivity and specificity
  • - Long-term security of supply
  • - Animal-free batch production

For more information, read more on recombinant antibodies.

出荷温度及び保存条件

製品の状態
Liquid
精製方法
Affinity purification Protein A
バッファー組成
pH: 7.2 - 7.4 Preservative: 0.01% Sodium azide Constituents: PBS, 40% Glycerol (glycerin, glycerine), 0.05% BSA
出荷温度
Blue Ice
短期保存期間
1-2 weeks
短期保存温度
+4°C
長期保存温度
-20°C
分注に関する情報
Upon delivery aliquot
保管に関する情報
Avoid freeze / thaw cycle

補足情報

This supplementary information is collated from multiple sources and compiled automatically.

Laminin subunit alpha-3 also known by the gene name LAMA3 is a critical component of the extracellular matrix. The protein has a molecular weight of approximately 400 kDa. LAMA3 is primarily expressed in epithelial tissues contributing significantly to the structural integrity of basement membranes. The protein often partners with other laminin subunits to form different laminin isoforms which are essential for cellular adhesion and signaling.
Biological function summary

LAMA3 plays an important role in the formation of stable basement membranes and interacts with other proteins to maintain tissue architecture. As part of the laminin-332 complex alongside beta and gamma laminin chains LAMA3 ensures cell adhesion migration and differentiation processes. Its expression in tissues like skin and mucosal surfaces highlights its function in providing structural support and cellular microenvironment regulation.

Pathways

Laminin subunit alpha-3 is essential in pathways related to cell adhesion and migration such as integrin signaling and epithelial-mesenchymal transition. These pathways are pivotal during wound healing and tissue regeneration. LAMA3 associates with integrins particularly beta-1 and beta-4 integrins facilitating communication between cells and their extracellular environment. The interaction with integrins enables cells to respond to structural changes and external stimuli.

Mutations or alterations in LAMA3 can lead to conditions such as Epidermolysis Bullosa and Junctional Epidermolysis Bullosa where the integrity of the skin and epithelial tissues is compromised. Laminin subunit gamma-2 often interacts with LAMA3 and anomalies in this partnership contribute to these severe blistering disorders. Understanding the link between LAMA3 and these diseases helps inform the development of targeted therapies aimed at restoring normal cell-matrix interactions.

製品プロトコール

For this product, it's our understanding that no specific protocols are required. You can visit:

ターゲットの情報

Binding to cells via a high affinity receptor, laminin is thought to mediate the attachment, migration and organization of cells into tissues during embryonic development by interacting with other extracellular matrix components.. Laminin-5 is thought to be involved in (1) cell adhesion via integrin alpha-3/beta-1 in focal adhesion and integrin alpha-6/beta-4 in hemidesmosomes, (2) signal transduction via tyrosine phosphorylation of pp125-FAK and p80, (3) differentiation of keratinocytes.
See full target information Laminin subunit alpha-3

Abcam product promise

当社は、高品質な試薬を通じてお客様の研究を力強くサポートすることをお約束いたします。ご使用いただく各段階で、常にお客様をサポートできる体制を整えております。万が一、製品が期待通りに機能しない場合は、「Abcam Product Promise」による当社保証制度に基づき、安心してご利用いただけます。
保証に関する詳細については利用規約をご確認ください。

Please note: All products are 'FOR RESEARCH USE ONLY. NOT FOR USE IN DIAGNOSTIC OR THERAPEUTIC PROCEDURES'.

For licensing inquiries, please contact partnerships@abcam.com