JavaScript is disabled in your browser. Please enable JavaScript to view this website.
AB227579

Anti-LAG-3 抗体 [EPR20261] - BSA and Azide free

Anti-LAG-3 antibody [EPR20261] - BSA and Azide free

Be the first to review this product! Submit a review

|

(1 Publication)

Anti-LAG-3 antibody [EPR20261] - BSA and Azide free (ab227579) is a rabbit recombinant monoclonal antibody provided in a PBS only buffer for easy conjugation detecting LAG-3 in Western Blot, Flow Cytometry, IP, IHC-P, ICC/IF. Suitable for Human.

- BSA, sodium azide, and glycerol-free for easy conjugation
- Biophysical QC for unrivalled batch-batch consistency

別名を表示する

CD223, FDC, LAG3, Lymphocyte activation gene 3 protein, LAG-3

9 Images
Immunohistochemistry (Formalin/PFA-fixed paraffin-embedded sections) - Anti-LAG-3 antibody [EPR20261] - BSA and Azide free (AB227579)
  • IHC-P

Lab

Immunohistochemistry (Formalin/PFA-fixed paraffin-embedded sections) - Anti-LAG-3 antibody [EPR20261] - BSA and Azide free (AB227579)

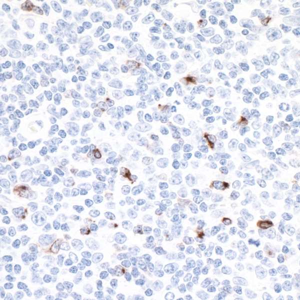
Tissue Microarrays stained for "Anti-LAG-3 antibody [EPR20261]" using "ab209236"in immunohistochemical analysis. This table provides a detailed overview of positive (tick mark) and negative (cross mark) staining per sample type tested. The sections were pre-treated using Heat mediated antigen retrieval using ab93684 (Tris/EDTA buffer, pH 9.0). The sections were incubated with ab209236 at +4°C overnight followed by a ready to use Goat Anti-Rabbit IgG H&L (HRP polymer).

Flow Cytometry - Anti-LAG-3 antibody [EPR20261] - BSA and Azide free (AB227579)
  • Flow Cyt

Lab

Flow Cytometry - Anti-LAG-3 antibody [EPR20261] - BSA and Azide free (AB227579)

This data was developed using the same antibody clone in a different buffer formulation containing PBS, BSA, glycerol, and sodium azide (ab209236).

Flow cytometry staining of human peripheral blood mononuclear cells (PBMCs) (top) or PBMCs treated with 5 μg/ml phytohaemagglutinin (PHA) for 72 hours (bottom), with ab209236 (right) or Recombinant Rabbit IgG, monoclonal [EPR25A] - Isotype Control (left). PBMCs were incubated for 30 min on ice in 1x PBS containing 10 μg/ml human IgG and 10 % normal goat serum to block FC receptors and non-specific protein-protein interaction followed by the antibody ab209236 or Recombinant Rabbit IgG, monoclonal [EPR25A] - Isotype Control (1x 106 in 100 μl at 5.0 μg/ml (1/402)) for 30min on ice. The cells were simultaneously stained with CD3.

The secondary antibody Goat Anti-Rabbit IgG H&L (Alexa Fluor® 488) preadsorbed was incubated at 1/4000 for 30min on ice

Acquisition of >30000 events were collected using a 50 mW Blue laser (488nm) and 525/40 bandpass filter. Events were gated on viable cells.

Immunohistochemistry (Formalin/PFA-fixed paraffin-embedded sections) - Anti-LAG-3 antibody [EPR20261] - BSA and Azide free (AB227579)
  • IHC-P

Supplier Data

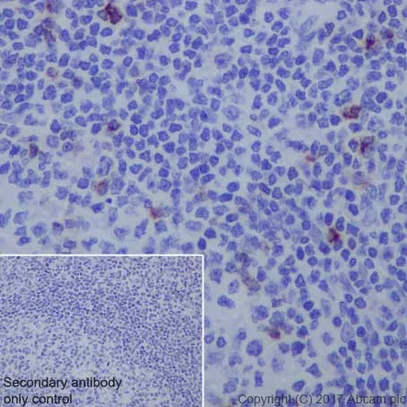
Immunohistochemistry (Formalin/PFA-fixed paraffin-embedded sections) - Anti-LAG-3 antibody [EPR20261] - BSA and Azide free (AB227579)

This IHC data was generated using the same anti-LAG-3 antibody clone, EPR20261, in a different buffer formulation (cat# ab209236).

Immunohistochemical analysis of paraffin-embedded human tonsil Hodgkin's lymphoma labeling LAG-3 with ab209236 at 1/1000 dilution, followed by Goat Anti-Rabbit IgG H&L (HRP) Ready to use. Cytoplasmic staining on immunocytes of the human Hodgkin's lymphoma [PMID : 11527700; PMID : 16757686].

Counter stained with Hematoxylin.

Secondary antibody only control : Used PBS instead of primary antibody, secondary antibody is Goat Anti-Rabbit IgG H&L (HRP) Ready to use.

Perform heat mediated antigen retrieval with Tris/EDTA buffer pH 9.0 before commencing with IHC staining protocol.

Flow Cytometry - Anti-LAG-3 antibody [EPR20261] - BSA and Azide free (AB227579)
  • Flow Cyt

Lab

Flow Cytometry - Anti-LAG-3 antibody [EPR20261] - BSA and Azide free (AB227579)

Flow cytometric analysis of Human peripheral blood mononuclear cells treated with 1 μg/mL PHA for 3 days cells with ab209236 at 1/50 dilution (right) compared with a rabbit monoclonal IgG isotype control (ab172730; left). ab150077 at 1/2000 dilution was used as the secondary antibody.

Only the CD3+ population are also positive for LAG-3. Gated on total viable cells.

This data was developed using the same antibody clone in a different buffer formulation containing PBS, BSA, glycerol, and sodium azide (ab209236).

Immunocytochemistry/ Immunofluorescence - Anti-LAG-3 antibody [EPR20261] - BSA and Azide free (AB227579)
  • ICC/IF

Supplier Data

Immunocytochemistry/ Immunofluorescence - Anti-LAG-3 antibody [EPR20261] - BSA and Azide free (AB227579)

This ICC data was generated using the same anti-LAG-3 antibody clone, EPR20261, in a different buffer formulation (cat# ab209236).

Immunofluorescent analysis of 4% paraformaldehyde-fixed, 0.1% Triton X-100 permeabilized HEK-293T (Human epithelial cell line from embryonic kidney) cells transfected with GFP-tagged LAG3 expression construct or GFP only, labeling Lymphocyte Activation Gene 3 with ab209236 at 1/100 dilution, followed by Goat anti-rabbit IgG (Alexa Fluor® 647) (ab150079) secondary antibody at 1/1000 dilution (green).

Confocal image showing positive staining on HEK-293T cells transfected with a GFP-tagged LAG3 expression construct.

The nuclear counter stain is DAPI (blue). Tubulin is detected with ab195889 (Anti-alpha Tubulin antibody [DM1A] - Microtubule Marker (Alexa Fluor® 594)) at 1/200 dilution (red).

Secondary antibody only control : Used PBS instead of primary antibody, secondary antibody is Goat anti-rabbit IgG (Alexa Fluor® 647) (ab150079) at 1/1000 dilution.

Flow Cytometry - Anti-LAG-3 antibody [EPR20261] - BSA and Azide free (AB227579)
  • Flow Cyt

Supplier Data

Flow Cytometry - Anti-LAG-3 antibody [EPR20261] - BSA and Azide free (AB227579)

Flow cytometric analysis of HEK-293T (Human epithelial cell line from embryonic kidney) cells transfected with a GFP-tagged human LAG3 construct labeling LAG-3 with ab209236 at 1/500 dilution (right) compared with a rabbit monoclonal IgG isotype control (ab172730; left). Goat anti rabbit IgG (Alexa Fluor® 647) ab150079 at 1/2000 dilution was used as the secondary antibody.

Note : Fresh cells without fixation and permeabilization were used to perform FC testing. Only GFP positive population results in LAG3 positive staining (Q2, right panel).

This data was developed using the same antibody clone in a different buffer formulation containing PBS, BSA, glycerol, and sodium azide (ab209236).

Immunohistochemistry (Formalin/PFA-fixed paraffin-embedded sections) - Anti-LAG-3 antibody [EPR20261] - BSA and Azide free (AB227579)
  • IHC-P

Supplier Data

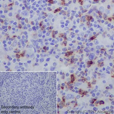
Immunohistochemistry (Formalin/PFA-fixed paraffin-embedded sections) - Anti-LAG-3 antibody [EPR20261] - BSA and Azide free (AB227579)

Immunohistochemical analysis of paraffin-embedded human tonsil tissue labeling LAG-3 with ab209236 at 1/1000 dilution, followed by Goat Anti-Rabbit IgG H&L (HRP) Ready to use. Sporadic cytoplasmic staining on immunocytes of human tonsil [PMID : 11527700; PMID : 16757686].

Counter stained with Hematoxylin.

Secondary antibody only control : Used PBS instead of primary antibody, secondary antibody is Goat Anti-Rabbit IgG H&L (HRP) Ready to use.

This data was developed using the same antibody clone in a different buffer formulation containing PBS, BSA, glycerol, and sodium azide (ab209236).

Perform heat mediated antigen retrieval with Tris/EDTA buffer pH 9.0 before commencing with IHC staining protocol.

Immunoprecipitation - Anti-LAG-3 antibody [EPR20261] - BSA and Azide free (AB227579)
  • IP

Supplier Data

Immunoprecipitation - Anti-LAG-3 antibody [EPR20261] - BSA and Azide free (AB227579)

LAG-3 was immunoprecipitated from 0.35 mg of HEK-293T (Human epithelial cell line from embryonic kidney) transfected with a GFP-tagged human LAG3 construct whole cell lysate with ab209236 at 1/30 dilution. Western blot was performed from the immunoprecipitate using ab209236 at 1/1000 dilution. VeriBlot for IP Detection Reagent (HRP) (ab131366), was used for detection at 1/10000 dilution.

Lane 1 : HEK-293T transfected with a GFP-tagged human LAG3 construct whole cell lysate 10 μg (Input).

Lane 2 : ab209236 IP in HEK-293T transfected with a GFP-tagged human LAG3 construct whole cell lysate.

Lane 3 : Rabbit monoclonal IgG (ab172730) instead of ab209236 in HEK-293T transfected with a GFP-tagged human LAG3 construct whole cell lysate.

Blocking and dilution buffer and concentration : 5% NFDM/TBST.

Exposure time : 1 second.

This data was developed using the same antibody clone in a different buffer formulation containing PBS, BSA, glycerol, and sodium azide (ab209236).

All lanes:

Immunoprecipitation - Anti-LAG-3 antibody [EPR20261] (<a href='/products/primary-antibodies/lag-3-antibody-epr20261-ab209236'>ab209236</a>)

Predicted band size: 57 kDa

false

Western blot - Anti-LAG-3 antibody [EPR20261] - BSA and Azide free (AB227579)
  • WB

Unknown

Western blot - Anti-LAG-3 antibody [EPR20261] - BSA and Azide free (AB227579)

This IHC data was generated using the same anti-LAG-3 antibody clone, EPR20261, in a different buffer formulation (cat# ab209236).

Primary loading control and concentration : Anti-GAPDH antibody [6C5] - Loading Control (ab8245) at 1/20000 dilution

Secondary loading control and concentration : Goat anti-Mouse IgG H&L (IRDye® 680RD) preadsorbed (ab216776) at 1/10000 dilution

Lanes 1-2 : Merged signal (red and green). Green – ab209236 observed at 54-70 kDa. Red - loading control ab8245 observed at 36 kDa.
ab209236 and Anti-GAPDH antibody [6C5] - Loading Control (ab8245) were incubated overnight at 4°C at 1 in 500 dilution and 1 in 20000 dilution respectively. Blots were developed with Goat anti-Rabbit IgG H&L (IRDye® 800RCW) preadsorbed (ab216773) and Goat anti-Mouse IgG H&L (IRDye® 680RD) preadsorbed (ab216776) secondary antibodies at 1 in 10000 dilution for 1 hour at room temperature before imaging.

The expression profile observed in Jurkat is consistent with the literature (PMID : 25108024).

Negative control : Jurkat (PMID : 25108024)

Observed MW : 54-70 kDa

All lanes:

Western blot - Anti-LAG-3 antibody [EPR20261] (<a href='/products/primary-antibodies/lag-3-antibody-epr20261-ab209236'>ab209236</a>) at 1/500 dilution

Lane 1:

HDLM-2 (Human Hodgkin lymphoma ) whole cell lysate at 20 µg

Lane 2:

Jurkat (Human T cell leukemia T lymphocyte) whole cell lysate at 20 µg

Secondary

All lanes:

Western blot - Goat anti-Rabbit IgG H&L (IRDye® 800CW) preadsorbed (<a href='/products/secondary-antibodies/goat-rabbit-igg-h-l-irdye-800cw-preadsorbed-ab216773'>ab216773</a>) at 1/10000 dilution

Predicted band size: 57 kDa

false

関連する標識済み抗体及び組成の異なる製品 (7)

Key facts

宿主種

Rabbit

クローン性

Monoclonal

クローン番号

EPR20261

アイソタイプ

IgG

キャリアフリー

Yes

交差種

Human

アプリケーション

Flow Cyt, ICC/IF, IHC-P, WB, IP

applications

免疫原

The exact immunogen used to generate this antibody is proprietary information.

Reactivity data

{ "title": "Reactivity Data", "filters": { "stats": ["", "Species", "Dilution Info", "Notes"], "tabs": { "all-applications": {"fullname" : "All Applications", "shortname": "All Applications"}, "IP" : {"fullname" : "Immunoprecipitation", "shortname":"IP"}, "FlowCyt" : {"fullname" : "Flow Cytometry", "shortname":"Flow Cyt"}, "WB" : {"fullname" : "Western blot", "shortname":"WB"}, "ICCIF" : {"fullname" : "Immunocytochemistry/ Immunofluorescence", "shortname":"ICC/IF"}, "IHCP" : {"fullname" : "Immunohistochemistry (Formalin/PFA-fixed paraffin-embedded sections)", "shortname":"IHC-P"} }, "product-promise": { "all": "all", "testedAndGuaranteed": "tested", "guaranteed": "expected", "predicted": "predicted", "notRecommended": "not-recommended" } }, "values": { "Human": { "IP-species-checked": "testedAndGuaranteed", "IP-species-dilution-info": "", "IP-species-notes": "<p></p>", "FlowCyt-species-checked": "testedAndGuaranteed", "FlowCyt-species-dilution-info": "", "FlowCyt-species-notes": "<p></p>", "WB-species-checked": "testedAndGuaranteed", "WB-species-dilution-info": "", "WB-species-notes": "<p></p>", "ICCIF-species-checked": "testedAndGuaranteed", "ICCIF-species-dilution-info": "", "ICCIF-species-notes": "<p></p>", "IHCP-species-checked": "testedAndGuaranteed", "IHCP-species-dilution-info": "", "IHCP-species-notes": "<p>Different mRNA expression levels of LAG3 in brain have been reported in the literature (PMID: 1692078; PMID: 12825348). In IHC, under our experimental conditions, this antibody showed no positive staining on human cerebral cortex.</p>" } } }

製品の詳細

What is this antibody validated in?
Anti-LAG-3 antibody [EPR20261] - BSA and Azide free (ab227579) is a rabbit recombinant monoclonal antibody and is validated for use in Western Blot (WB), Flow Cytometry (Flow Cyt), Immunoprecipitation (IP), Immunohistochemistry (IHC-P), Immunocytochemistry/immunofluorescence (ICC/IF) in Human samples.

What is the molecular weight of LAG-3?
Anti-LAG-3 [EPR20261] - BSA and Azide free (ab227579) specifically detects a band for LAG-3 (UniProt: P18627) at a molecular weight of 57kDa.

Trial sizes available!
Test your antibody or perform pre-screening before committing to a larger quantity. Sold in 10µl. Discover our selection of trial-size antibodies.

Other related products
We have a range of other formats of antibody clone [EPR20261] also available for your convenience: ab209236, PE - ab225484, Alexa Fluor® 488 - ab225485, Alexa Fluor® 647 - ab225486, Carrier free - ab227579, Alexa Fluor® 555 - ab280858, Carrier free - ab282638, Alexa Fluor® 594 - ab283627, ab307517, Carrier free - ab307518

Conjugation ready
Our carrier-free antibodies are typically supplied in a PBS-only formulation, purified and free of BSA, sodium azide and glycerol. This conjugation-ready format is designed for use with fluorochromes, metal isotopes, oligonucleotides, and enzymes, which makes them ideal for antibody labelling, functional and cell-based assays, flow-based assays (e.g. mass cytometry) and Multiplex Imaging applications.

Use our conjugation kits for antibody conjugates that are ready-to-use in as little as 20 minutes with 1 minute hands-on-time and 100% antibody recovery: available for fluorescent dyes, HRP, biotin and gold.

Compatibility
This product is compatible with the Maxpar® Antibody Labeling Kit from Fluidigm, without the need for antibody preparation. Maxpar® is a trademark of Fluidigm Canada Inc.

出荷温度及び保存条件

製品の状態
Liquid
精製方法
Affinity purification Protein A
バッファー組成
pH: 7.2 - 7.4 Constituents: PBS
出荷温度
Blue Ice
短期保存温度
+4°C
長期保存温度
+4°C
保管に関する情報
Do Not Freeze

補足情報

This supplementary information is collated from multiple sources and compiled automatically.

LAG-3 also known as CD223 is a transmembrane protein with a mass of approximately 70 kDa. It acts as a checkpoint molecule similar to CTLA-4 and PD-1 in the immune system. LAG-3 is expressed on activated T cells natural killer cells and some dendritic cells. It interacts with its ligand MHC class II leading to inhibition of cellular proliferation and cytokine secretion an important part of immune response regulation.
Biological function summary

LAG-3 is involved in maintaining immune homeostasis and preventing autoimmunity. It is not part of a complex but works in synergy with other immune checkpoint molecules. When interacting with MHC class II LAG-3 transmits inhibitory signals that attenuate immune cell responses. Its role in immune regulation helps to balance immune activation and tolerance which is essential for preventing tissue damage while protecting against pathogens.

Pathways

The inhibitory role of LAG-3 integrates into the T cell receptor (TCR) signaling pathway and is also linked to the PD-1 signaling pathway. In TCR signaling LAG-3 negatively regulates T cell activation. LAG-3 is functionally related to proteins like PD-1 and CTLA-4 sharing similar roles in immune checkpoint pathways that are critical for maintaining immune balance.

LAG-3 has links to cancer and autoimmune diseases. In cancer LAG-3 expression on tumor-infiltrating lymphocytes correlates with immune evasion by tumors. This relationship appears in various cancers including melanoma and renal cell carcinoma. In autoimmune diseases LAG-3's expression on regulatory T cells helps control conditions such as multiple sclerosis. It collaborates with CTLA-4 in modulating immune responses that prevent excessive immune activation and tissue damage associated with autoimmunity.

製品プロトコール

For this product, it's our understanding that no specific protocols are required. You can visit:

ターゲットの情報

Lymphocyte activation gene 3 protein : Inhibitory receptor on antigen activated T-cells (PubMed : 20421648, PubMed : 7805750, PubMed : 8647185). Delivers inhibitory signals upon binding to ligands, such as FGL1 (By similarity). FGL1 constitutes a major ligand of LAG3 and is responsible for LAG3 T-cell inhibitory function (By similarity). Following TCR engagement, LAG3 associates with CD3-TCR in the immunological synapse and directly inhibits T-cell activation (By similarity). May inhibit antigen-specific T-cell activation in synergy with PDCD1/PD-1, possibly by acting as a coreceptor for PDCD1/PD-1 (By similarity). Negatively regulates the proliferation, activation, effector function and homeostasis of both CD8(+) and CD4(+) T-cells (PubMed : 20421648, PubMed : 7805750, PubMed : 8647185). Also mediates immune tolerance : constitutively expressed on a subset of regulatory T-cells (Tregs) and contributes to their suppressive function (By similarity). Also acts as a negative regulator of plasmacytoid dendritic cell (pDCs) activation (By similarity). Binds MHC class II (MHC-II); the precise role of MHC-II-binding is however unclear (PubMed : 8647185).. Secreted lymphocyte activation gene 3 protein. May function as a ligand for MHC class II (MHC-II) on antigen-presenting cells (APC), promoting APC activation/maturation and driving Th1 immune response.
See full target information LAG3

文献 (1)

Recent publications for all applications. Explore the full list and refine your search

Molecular cancer therapeutics 15:2521-2529 PubMed27496134

2016

Preclinical Modeling of KIF5B-RET Fusion Lung Adenocarcinoma.

Applications

Unspecified application

Species

Unspecified reactive species

Qingling Huang,Valentina E Schneeberger,Noreen Luetteke,Chengliu Jin,Roha Afzal,Mikalai M Budzevich,Rikesh J Makanji,Gary V Martinez,Tao Shen,Lichao Zhao,Kar-Ming Fung,Eric B Haura,Domenico Coppola,Jie Wu
View all publications

Abcam product promise

当社は、高品質な試薬を通じてお客様の研究を力強くサポートすることをお約束いたします。ご使用いただく各段階で、常にお客様をサポートできる体制を整えております。万が一、製品が期待通りに機能しない場合は、「Abcam Product Promise」による当社保証制度に基づき、安心してご利用いただけます。
保証に関する詳細については利用規約をご確認ください。

Please note: All products are 'FOR RESEARCH USE ONLY. NOT FOR USE IN DIAGNOSTIC OR THERAPEUTIC PROCEDURES'.

For licensing inquiries, please contact partnerships@abcam.com