JavaScript is disabled in your browser. Please enable JavaScript to view this website.
AB227920

Anti-KLF9 抗体

Anti-KLF9 antibody

Be the first to review this product! Submit a review

|

(29 Publications)

Rabbit Polyclonal KLF9 antibody. Suitable for IHC-P, IP, WB and reacts with Mouse, Rat, Human samples. Cited in 29 publications. Immunogen corresponding to Recombinant Full Length Protein corresponding to Human KLF9.

別名を表示する

BTEB, BTEB1, KLF9, Krueppel-like factor 9, Basic transcription element-binding protein 1, GC-box-binding protein 1, Transcription factor BTEB1, BTE-binding protein 1

3 Images
Immunoprecipitation - Anti-KLF9 antibody (AB227920)
  • IP

Supplier Data

Immunoprecipitation - Anti-KLF9 antibody (AB227920)

KLF9 was immunoprecipitated from HeLa (human epithelial cell line from cervix adenocarcinoma) whole cell extract with 5 μg of ab227920. Western blot analysis was performed using ab227920. Anti-rabbit IgG was used as secondary antibody.

Lane 1 : Control IgG instead of ab227920 in HeLa whole cell extract.

Lane 2 : ab227920 IP in HeLa whole cell extract.

All lanes:

Immunoprecipitation - Anti-KLF9 antibody (ab227920)

Predicted band size: 27 kDa

false

Immunohistochemistry (Formalin/PFA-fixed paraffin-embedded sections) - Anti-KLF9 antibody (AB227920)
  • IHC-P

Supplier Data

Immunohistochemistry (Formalin/PFA-fixed paraffin-embedded sections) - Anti-KLF9 antibody (AB227920)

Immunohistochemical analysis of paraffin embedded mouse colon tissue stained for KLF9 protein at nucleus with ab227920 at a 1/500 dilution.

Antigen retrieval : Citrate buffer, pH 6.0, 15 min

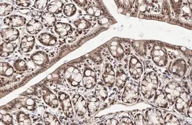
Immunohistochemistry (Formalin/PFA-fixed paraffin-embedded sections) - Anti-KLF9 antibody (AB227920)
  • IHC-P

Supplier Data

Immunohistochemistry (Formalin/PFA-fixed paraffin-embedded sections) - Anti-KLF9 antibody (AB227920)

Immunohistochemical analysis of paraffin embedded rat colon tissue stained for KLF9 protein at nucleus with ab227920 at a 1/500 dilution.

Antigen retrieval : Citrate buffer, pH 6.0, 15 min

Key facts

宿主種

Rabbit

クローン性

Polyclonal

アイソタイプ

IgG

キャリアフリー

No

交差種

Mouse, Rat, Human

アプリケーション

IP, WB, IHC-P

applications

免疫原

Recombinant Full Length Protein corresponding to Human KLF9.

Q13886

Reactivity data

{ "title": "Reactivity Data", "filters": { "stats": ["", "Species", "Dilution Info", "Notes"], "tabs": { "all-applications": {"fullname" : "All Applications", "shortname": "All Applications"}, "IHCP" : {"fullname" : "Immunohistochemistry (Formalin/PFA-fixed paraffin-embedded sections)", "shortname":"IHC-P"}, "IP" : {"fullname" : "Immunoprecipitation", "shortname":"IP"}, "WB" : {"fullname" : "Western blot", "shortname":"WB"} }, "product-promise": { "all": "all", "testedAndGuaranteed": "tested", "guaranteed": "expected", "predicted": "predicted", "notRecommended": "not-recommended" } }, "values": { "Human": { "IHCP-species-checked": "guaranteed", "IHCP-species-dilution-info": "", "IHCP-species-notes": "", "IP-species-checked": "testedAndGuaranteed", "IP-species-dilution-info": "1/100 - 1/500", "IP-species-notes": "<p></p>", "WB-species-checked": "guaranteed", "WB-species-dilution-info": "1/500 - 1/3000", "WB-species-notes": "<p></p>" }, "Mouse": { "IHCP-species-checked": "testedAndGuaranteed", "IHCP-species-dilution-info": "", "IHCP-species-notes": "<p></p>", "IP-species-checked": "guaranteed", "IP-species-dilution-info": "", "IP-species-notes": "", "WB-species-checked": "predicted", "WB-species-dilution-info": "", "WB-species-notes": "" }, "Rat": { "IHCP-species-checked": "testedAndGuaranteed", "IHCP-species-dilution-info": "", "IHCP-species-notes": "<p></p>", "IP-species-checked": "guaranteed", "IP-species-dilution-info": "", "IP-species-notes": "", "WB-species-checked": "predicted", "WB-species-dilution-info": "", "WB-species-notes": "" }, "Cow": { "IHCP-species-checked": "predicted", "IHCP-species-dilution-info": "", "IHCP-species-notes": "", "IP-species-checked": "predicted", "IP-species-dilution-info": "", "IP-species-notes": "", "WB-species-checked": "predicted", "WB-species-dilution-info": "", "WB-species-notes": "" }, "Pig": { "IHCP-species-checked": "predicted", "IHCP-species-dilution-info": "", "IHCP-species-notes": "", "IP-species-checked": "predicted", "IP-species-dilution-info": "", "IP-species-notes": "", "WB-species-checked": "predicted", "WB-species-dilution-info": "", "WB-species-notes": "" }, "Rhesus monkey": { "IHCP-species-checked": "predicted", "IHCP-species-dilution-info": "", "IHCP-species-notes": "", "IP-species-checked": "predicted", "IP-species-dilution-info": "", "IP-species-notes": "", "WB-species-checked": "predicted", "WB-species-dilution-info": "", "WB-species-notes": "" } } }

出荷温度及び保存条件

製品の状態
Liquid
精製方法
Affinity purification Immunogen
バッファー組成
pH: 7 Preservative: 0.025% Proclin 300 Constituents: PBS, 20% Glycerol (glycerin, glycerine)
出荷温度
Blue Ice
短期保存期間
1-2 weeks
短期保存温度
+4°C
長期保存温度
-20°C
分注に関する情報
Upon delivery aliquot
保管に関する情報
Avoid freeze / thaw cycle

補足情報

This supplementary information is collated from multiple sources and compiled automatically.

KLF9 also known as Krüppel-like factor 9 is a transcription factor with a molecular weight of approximately 28-35 kDa. It is part of the Krüppel-like factor family and is recognized for its zinc finger DNA-binding motifs. KLF9 is expressed in various tissues including the liver brain lungs and reproductive organs. The expression suggests an important role in multiple physiological processes that require careful gene regulation.
Biological function summary

KLF9 serves as a regulator for growth-related and stress-responsive genes impacting cellular differentiation and proliferation. It does not typically form part of larger protein complexes but acts as a direct transcriptional regulator. KLF9 can repress or activate target genes depending on the context influencing processes such as glucose metabolism and neurological development. Its expression patterns notably adjust in response to hormonal signals particularly those involving thyroid hormone.

Pathways

KLF9 is involved in several important biological contexts including the Wnt signaling pathway and glucocorticoid signaling pathway. In these settings it regulates and collaborates with proteins like β-catenin and glucocorticoid receptors. This regulation affects cell fate determination differentiation and homeostasis. The interactions imply KLF9's broader role in controlling cellular responses to environmental changes and developmental signaling.

KLF9 has shown connections to neurological disorders such as epilepsy and metabolic conditions like obesity. Dysfunction in KLF9 regulation can influence these diseases through its impact on neurogenic transcription factors and metabolic genes. KLF9's interactions with proteins such as PPARγ in metabolic contexts or with RE1-Silencing Transcription Factor (REST) within neurological frameworks highlight its involvement in pathophysiological changes.

製品プロトコール

For this product, it's our understanding that no specific protocols are required. You can visit:

ターゲットの情報

Transcription factor that binds to GC box promoter elements. Selectively activates mRNA synthesis from genes containing tandem repeats of GC boxes but represses genes with a single GC box. Acts as an epidermal circadian transcription factor regulating keratinocyte proliferation (PubMed : 22711835).
See full target information KLF9

文献 (29)

Recent publications for all applications. Explore the full list and refine your search

Cell death discovery 11:417 PubMed40883266

2025

METTL3-mediated m6A modification of circCDKAL1 regulates macrophage M1 polarization and nasal epithelial cell barrier function in allergic rhinitis through IGF2BP2/JARID2/HMGB1 axis.

Applications

Unspecified application

Species

Unspecified reactive species

Jiabin Zhan,Dan Luo,Yunlong Fu,Yu Zhou,Rui Li,Xin Wei

Journal of cellular and molecular medicine 29:e70375 PubMed40016915

2025

KLF9, Epigenetic Silenced by DNMT1, Promotes ERK-Mediated Ferroptosis of Osteoarthritic Chondrocytes Through Transcriptionally Regulating CYP1B1.

Applications

Unspecified application

Species

Unspecified reactive species

Min Lv,Yuanzhen Cai,Weikun Hou,Kan Peng,Ke Xu,Chao Lu,Wenxing Yu,Weisong Zhang,Lin Liu

Asia-Pacific journal of clinical oncology 20:423-432 PubMed38520660

2024

Transcription factor KLF9 inhibits the proliferation, invasion, and migration of pancreatic cancer cells by repressing KIAA1522.

Applications

Unspecified application

Species

Unspecified reactive species

Yuting Guo,She Tian,Haiyang Li,Shi Zuo,Chao Yu,Chengyi Sun

Experimental and therapeutic medicine 27:54 PubMed38234628

2024

KLF9‑regulated FBXO31 inhibits the progression of endometrial cancer and enhances the sensitivity of endometrial cancer cells to cisplatin.

Applications

Unspecified application

Species

Unspecified reactive species

Mudan Yang,Changmin Niu

Clinical epigenetics 16:10 PubMed38195623

2024

Long non-coding RNA ACTA2-AS1 suppresses metastasis of papillary thyroid cancer via regulation of miR-4428/KLF9 axis.

Applications

Unspecified application

Species

Unspecified reactive species

Shuhui Wu,Jingjing Zhu,Tingting Jiang,Ting Cui,Qi Zuo,Guibin Zheng,Guojun Li,Jieyu Zhou,Xiang Chen

Cell death discovery 9:323 PubMed37644041

2023

SCARB1 in extracellular vesicles promotes NPC metastasis by co-regulating M1 and M2 macrophage function.

Applications

Unspecified application

Species

Unspecified reactive species

Wenhui Chen,Lili Bao,Qianqian Ren,Zixiang Zhang,Lu Yi,Wei Lei,Zhiyuan Yang,Yingna Lu,Bo You,Yiwen You,Miao Gu

Journal of cellular and molecular medicine 27:2372-2384 PubMed37400979

2023

A negative feedback loop between KLF9 and the EMT program dictates metastasis of hepatocellular carcinoma.

Applications

Unspecified application

Species

Unspecified reactive species

Tao Wang,Limin Feng,Zhong Shi,Lixian Yang,Xiaofu Yu,Jinsong Wu,Jirui Sun,Jinku Zhang,Yuxiong Feng,Weilin Wang

BMC cancer 23:595 PubMed37370046

2023

A novel nomogram based on cell cycle-related genes for predicting overall survival in early-onset colorectal cancer.

Applications

Unspecified application

Species

Unspecified reactive species

Meijuan Xiang,Yuan Gao,Yue Zhou,Muqing Wang,Xueqing Yao

The Kaohsiung journal of medical sciences 39:587-595 PubMed37010151

2023

KLF9 inhibits the proliferation, invasion, and migration of renal cell carcinoma through the SDF-1/CXCR4 axis.

Applications

Unspecified application

Species

Unspecified reactive species

Peng Yu,Long Cheng,Wei-Mu Xia,Ding-Yi Liu,Jia-Shun Yu,Yan-Feng Zhou,Yong-Jun Zheng

European journal of medical research 28:84 PubMed36803446

2023

Pro-fibrotic and apoptotic activities of circARAP1 in myocardial ischemia-reperfusion injury.

Applications

Unspecified application

Species

Unspecified reactive species

Xi Li,Lei Guo,Jingjing Wang,Xing Yang
View all publications

Abcam product promise

当社は、高品質な試薬を通じてお客様の研究を力強くサポートすることをお約束いたします。ご使用いただく各段階で、常にお客様をサポートできる体制を整えております。万が一、製品が期待通りに機能しない場合は、「Abcam Product Promise」による当社保証制度に基づき、安心してご利用いただけます。
保証に関する詳細については利用規約をご確認ください。

Please note: All products are 'FOR RESEARCH USE ONLY. NOT FOR USE IN DIAGNOSTIC OR THERAPEUTIC PROCEDURES'.

For licensing inquiries, please contact partnerships@abcam.com