JavaScript is disabled in your browser. Please enable JavaScript to view this website.
AB5630

Anti-KIF5C 抗体

Anti-KIF5C antibody

4

(5 Reviews)

|

(17 Publications)

Rabbit Polyclonal KIF5C antibody. Suitable for IHC-P, WB and reacts with Human samples. Cited in 17 publications. Immunogen corresponding to Synthetic Peptide within Human KIF5C aa 900 to C-terminus.

別名を表示する

KIAA0531, NKHC2, KIF5C, Kinesin heavy chain isoform 5C, Kinesin heavy chain neuron-specific 2, Kinesin-1

2 Images
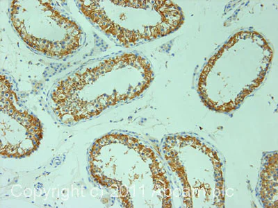
Immunohistochemistry (Formalin/PFA-fixed paraffin-embedded sections) - Anti-KIF5C antibody (AB5630)
  • IHC-P

Unknown

Immunohistochemistry (Formalin/PFA-fixed paraffin-embedded sections) - Anti-KIF5C antibody (AB5630)

IHC image of ab5630 staining in human normal testis formalin fixed paraffin embedded tissue section, performed on a Leica BondTM system using the standard protocol F. The section was pre-treated using heat mediated antigen retrieval with sodium citrate buffer (pH6, epitope retrieval solution 1) for 20 mins. The section was then incubated with ab5630, 1µg/ml, for 15 mins at room temperature and detected using an HRP conjugated compact polymer system. DAB was used as the chromogen. The section was then counterstained with haematoxylin and mounted with DPX.

For other IHC staining systems (automated and non-automated) customers should optimize variable parameters such as antigen retrieval conditions, primary antibody concentration and antibody incubation times.

Western blot - Anti-KIF5C antibody (AB5630)
  • WB

Unknown

Western blot - Anti-KIF5C antibody (AB5630)

Shows a Western blot of KIF5C on human retinal extract using ab5630. The expected band at 110 kDa is seen along with an unidentified band at 100 kDa.

All lanes:

Western blot - Anti-KIF5C antibody (ab5630)

Predicted band size: 109 kDa

false

Key facts

宿主種

Rabbit

クローン性

Polyclonal

アイソタイプ

IgG

キャリアフリー

No

交差種

Human

アプリケーション

IHC-P, WB

applications

免疫原

Synthetic Peptide within Human KIF5C aa 900 to C-terminus. The exact immunogen used to generate this antibody is proprietary information.

O60282

特異性

This antibody is specific for KIF5C and does not detect other kinesin isotypes.

Reactivity data

{ "title": "Reactivity Data", "filters": { "stats": ["", "Species", "Dilution Info", "Notes"], "tabs": { "all-applications": {"fullname" : "All Applications", "shortname": "All Applications"}, "IHCP" : {"fullname" : "Immunohistochemistry (Formalin/PFA-fixed paraffin-embedded sections)", "shortname":"IHC-P"}, "WB" : {"fullname" : "Western blot", "shortname":"WB"} }, "product-promise": { "all": "all", "testedAndGuaranteed": "tested", "guaranteed": "expected", "predicted": "predicted", "notRecommended": "not-recommended" } }, "values": { "Human": { "IHCP-species-checked": "testedAndGuaranteed", "IHCP-species-dilution-info": "1 µg/mL", "IHCP-species-notes": "<p></p> Perform heat-mediated antigen retrieval with citrate buffer pH 6 before commencing with IHC staining protocol.", "WB-species-checked": "testedAndGuaranteed", "WB-species-dilution-info": "0.5 µg/mL", "WB-species-notes": "<p></p>" } } }

出荷温度及び保存条件

製品の状態
Liquid
精製方法
Affinity purification Immunogen
バッファー組成
Preservative: 0.05% Sodium azide Constituents: 99% PBS, 0.1% BSA
出荷温度
Blue Ice
短期保存期間
1-2 weeks
短期保存温度
+4°C
長期保存温度
-20°C
分注に関する情報
Upon delivery aliquot
保管に関する情報
Avoid freeze / thaw cycle

製品プロトコール

For this product, it's our understanding that no specific protocols are required. You can visit:

ターゲットの情報

Microtubule-associated force-producing protein that may play a role in organelle transport. Has ATPase activity (By similarity). Involved in synaptic transmission (PubMed : 24812067). Mediates dendritic trafficking of mRNAs (By similarity). Required for anterograde axonal transportation of MAPK8IP3/JIP3 which is essential for MAPK8IP3/JIP3 function in axon elongation (By similarity).
See full target information KIF5C

文献 (17)

Recent publications for all applications. Explore the full list and refine your search

Nature communications 15:10829 PubMed40016183

2025

Spatiotemporal proteomics reveals the biosynthetic lysosomal membrane protein interactome in neurons.

Applications

Unspecified application

Species

Unspecified reactive species

Chun Hei Li,Noortje Kersten,Nazmiye Özkan,Dan T M Nguyen,Max Koppers,Harm Post,Maarten Altelaar,Ginny G Farias

Nature 599:662-666 PubMed34789877

2021

Herpesviruses assimilate kinesin to produce motorized viral particles.

Applications

Unspecified application

Species

Unspecified reactive species

Caitlin E Pegg,Sofia V Zaichick,Ewa Bomba-Warczak,Vladimir Jovasevic,DongHo Kim,Himanshu Kharkwal,Duncan W Wilson,Derek Walsh,Patricia J Sollars,Gary E Pickard,Jeffrey N Savas,Gregory A Smith

Molecular neurobiology 58:6153-6169 PubMed34458961

2021

Formin Activity and mDia1 Contribute to Maintain Axon Initial Segment Composition and Structure.

Applications

Unspecified application

Species

Unspecified reactive species

Wei Zhang,María Ciorraga,Pablo Mendez,Diana Retana,Norah Boumedine-Guignon,Beatriz Achón,Michaël Russier,Dominique Debanne,Juan José Garrido

Cell reports 36:109499 PubMed34348158

2021

A kinesin 1-protrudin complex mediates AMPA receptor synaptic removal during long-term depression.

Applications

Unspecified application

Species

Unspecified reactive species

Anna Brachet,Argentina Lario,Alba Fernández-Rodrigo,Frank F Heisler,Yolanda Gutiérrez,Clara Lobo,Matthias Kneussel,José A Esteban

Cell reports 36:109369 PubMed34260917

2021

Molecular motor protein KIF5C mediates structural plasticity and long-term memory by constraining local translation.

Applications

Unspecified application

Species

Unspecified reactive species

Supriya Swarnkar,Yosef Avchalumov,Isabel Espadas,Eddie Grinman,Xin-An Liu,Bindu L Raveendra,Aya Zucca,Sonia Mediouni,Abhishek Sadhu,Susana Valente,Damon Page,Kyle Miller,Sathyanarayanan V Puthanveettil

PLoS genetics 16:e1009104 PubMed33137126

2020

A proteomic survey of microtubule-associated proteins in a R402H TUBA1A mutant mouse.

Applications

Unspecified application

Species

Unspecified reactive species

Ines Leca,Alexander William Phillips,Iris Hofer,Lukas Landler,Lyubov Ushakova,Thomas David Cushion,Gerhard Dürnberger,Karel Stejskal,Karl Mechtler,David Anthony Keays

eLife 9: PubMed31961321

2020

Specific depletion of the motor protein KIF5B leads to deficits in dendritic transport, synaptic plasticity and memory.

Applications

Unspecified application

Species

Unspecified reactive species

Junjun Zhao,Albert Hiu Ka Fok,Ruolin Fan,Pui-Yi Kwan,Hei-Lok Chan,Louisa Hoi-Ying Lo,Ying-Shing Chan,Wing-Ho Yung,Jiandong Huang,Cora Sau Wan Lai,Kwok-On Lai

Cell reports 30:269-283.e6 PubMed31914393

2020

TACC3 Regulates Microtubule Plus-End Dynamics and Cargo Transport in Interphase Cells.

Applications

Unspecified application

Species

Unspecified reactive species

Colleen Furey,Vladimir Jovasevic,Derek Walsh

Cell reports 26:1988-1999.e6 PubMed30784582

2019

MAP7D2 Localizes to the Proximal Axon and Locally Promotes Kinesin-1-Mediated Cargo Transport into the Axon.

Applications

Unspecified application

Species

Unspecified reactive species

Xingxiu Pan,Yujie Cao,Riccardo Stucchi,Peter Jan Hooikaas,Sybren Portegies,Lena Will,Maud Martin,Anna Akhmanova,Martin Harterink,Casper C Hoogenraad

Cell death & disease 9:626 PubMed29799519

2018

ATG5 overexpression is neuroprotective and attenuates cytoskeletal and vesicle-trafficking alterations in axotomized motoneurons.

Applications

Unspecified application

Species

Unspecified reactive species

Tatiana Leiva-Rodríguez,David Romeo-Guitart,Sara Marmolejo-Martínez-Artesero,Mireia Herrando-Grabulosa,Assumpció Bosch,Joaquim Forés,Caty Casas
View all publications

Abcam product promise

当社は、高品質な試薬を通じてお客様の研究を力強くサポートすることをお約束いたします。ご使用いただく各段階で、常にお客様をサポートできる体制を整えております。万が一、製品が期待通りに機能しない場合は、「Abcam Product Promise」による当社保証制度に基づき、安心してご利用いただけます。
保証に関する詳細については利用規約をご確認ください。

Please note: All products are 'FOR RESEARCH USE ONLY. NOT FOR USE IN DIAGNOSTIC OR THERAPEUTIC PROCEDURES'.

For licensing inquiries, please contact partnerships@abcam.com