JavaScript is disabled in your browser. Please enable JavaScript to view this website.
AB16667

Anti-Ki67 抗体 [SP6]

Anti-Ki67 antibody [SP6]

  • BOND RX™ Validated
  • KO Validated
  • RabMAb
  • Advanced Validation
  • Recombinant
  • 20ul selling size
  • 詳細を見る

5

(132 Reviews)

|

(3890 Publications)

Anti-Ki67 antibody [SP6] (ab16667) is a rabbit monoclonal antibody detecting Ki67 in Western Blot, Flow Cytometry (Intra), IHC-P, ICC/IF, mIHC. Suitable for Human, Mouse, Rat.

- Clone SP6 is the most cited clone to Ki67
- KO validated for confirmed specificity
- Multiplex IHC validated on the Leica BOND® MAX using Opal reagents
- Biophysical QC for unrivalled batch-batch consistency

別名を表示する

Proliferation marker protein Ki-67, Antigen identified by monoclonal antibody Ki-67, Antigen KI-67, Antigen Ki67, MKI67

30 Images
Immunohistochemistry (Formalin/PFA-fixed paraffin-embedded sections) - Anti-Ki67 antibody [SP6] (AB16667)
  • IHC-P

Lab

Immunohistochemistry (Formalin/PFA-fixed paraffin-embedded sections) - Anti-Ki67 antibody [SP6] (AB16667)

IHC image of ab16667 staining Ki67 in a section of formalin-fixed paraffin-embedded Human colon carcinoma tissue. The section incubated with ab16667 at 1/200 (0.145 μg/ml) dilution and ready to use Goat Anti-Rabbit IgG H&L (HRP polymer) (ab214880) was used as secondary antobody. Positive staining on human colon carcinoma. The section was incubated with ab16667 at 4°C overnight. The section was counterstained with haematoxylin. Heat mediated antigen retrieval was performed using ab93678 (citrate buffer, pH 6.0).

Immunohistochemistry (Formalin/PFA-fixed paraffin-embedded sections) - Anti-Ki67 antibody [SP6] (AB16667)
  • IHC-P

Collaborator

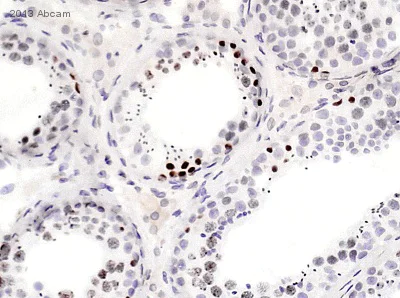
Immunohistochemistry (Formalin/PFA-fixed paraffin-embedded sections) - Anti-Ki67 antibody [SP6] (AB16667)

ab16667 staining Ki67 in human testis by Immunohistochemistry (Formalin/PFA-fixed paraffin-embedded sections). Tissue was fixed with formaldehyde and a heat mediated antigen retrieval step was performed using citrate buffer. Samples were then blocked with 1% BSA for 10 minutes at 21°C followed by incubation with the primary antibody for 2 hours at 1/100. A biotin-conjugated goat anti-rabbit polyclonal was used as secondary antibody at a 1/250 dilution.

This image was generated from the hybridoma version.

Image Courtesy of Carl Hobbs, King College London, U.K.

Multiplex immunohistochemistry - Anti-Ki67 antibody [SP6] (AB16667)
  • mIHC

Lab

Multiplex immunohistochemistry - Anti-Ki67 antibody [SP6] (AB16667)

Chromogenic multiplex immunohistochemical staining of FFPE normal human tonsil tissue. ab16667 anti-Ki67 DAB chromogen. ab16669 anti-CD3 epsilon purple chromogen and ab192847 anti-CD68 teal chromogen plus haematoxylin II counterstain. Chromogenic immunostaining was performed on a Roche Ventana Benchmark Ultra instrument. The section was deparaffinised and incubated with CC1 solution for 24min 100°C. Following this with 3 rounds of staining in the order of ab16667 (1/500 dilution), ab192847 (1/4000 dilution) and ab16669 (1/1000 dilution). Between rounds of staining antibody denaturation was conducted using Ultra CC2 solution for 8min at 100oC to avoid cross reactivity. Signal was developed with anti-rabbit HQ followed by anti-HQ HRP coupled with Chromomap DAB kit Discovery purple or Discovery teal chromogens and haematoxylin II counterstain.

Immunohistochemistry (Formalin/PFA-fixed paraffin-embedded sections) - Anti-Ki67 antibody [SP6] (AB16667)
  • IHC-P

Supplier Data

Immunohistochemistry (Formalin/PFA-fixed paraffin-embedded sections) - Anti-Ki67 antibody [SP6] (AB16667)

Immunohistochemical analysis of Paraffin-embedded sections Human colon tissue labelling Ki67 with ab16667 at 1/200 dilution, followed by a ready to use secondary Rapid DAB Detection System ab290116. Nuclear staining on human colon tissue is observed. Counter stained with Haematoxylin. Secondary antibody only control : Used PBS instead of primary antibody, secondary antibody is ready to use Rapid DAB Detection System, ab290116. Heat mediated antigen retrieval was performed using ab208572 (Universal HIER antigen retrieval reagent) The section was incubated by Rapid DAB Detection System (ab290116) after antigen retrieval. The section was incubated with ab16667 in 5 mins at room temperature.

Immunohistochemistry (Formalin/PFA-fixed paraffin-embedded sections) - Anti-Ki67 antibody [SP6] (AB16667)
  • IHC-P

Lab

Immunohistochemistry (Formalin/PFA-fixed paraffin-embedded sections) - Anti-Ki67 antibody [SP6] (AB16667)

Immunohistochemical analysis of paraffin-embedded Human kidney tissue labeling Ki67 with ab16667 at 1/200 (0.145 µg/ml) followed by a ready to use LGoat Anti-Rabbit IgG H&L (HRP polymer) secondary antibody (ab214880). Low expression : positive staining only on proliferating cells (arrow) of human kidney. The section was incubated with ab16667 at 4°C overnight and counterstained with Hematoxylin. Secondary antibody only control : Secondary antibody is a ready to use Goat Anti-Rabbit IgG H&L (HRP polymer) (ab214880). Heat mediated antigen retrieval was performed using ab93678 (citrate buffer, pH 6.0).

Flow Cytometry (Intracellular) - Anti-Ki67 antibody [SP6] (AB16667)
  • Flow Cyt (Intra)

Unknown

Flow Cytometry (Intracellular) - Anti-Ki67 antibody [SP6] (AB16667)

Intracellular flow cytometric analysis of 4% paraformaldehyde fixed 90% methanol permeabilized parental HAP1 (Wildtype control human chronic myelogenous leukemianear-haploid cell line) cells labelling Ki67 with ab16667 at 1/500 dilution (0.1ug) (Red) compared with a Rabbit monoclonal IgG (ab172730)(Black) isotype control and an unlabelled control (cells without incubation with primary antibody and secondary antibody) (Blue). A Goat anti rabbit IgG (Alexa Fluor® 488 ab150077) at 1/2000 dilution was used as the secondary antibody.

Immunohistochemistry (Formalin/PFA-fixed paraffin-embedded sections) - Anti-Ki67 antibody [SP6] (AB16667)
  • IHC-P

Lab

Immunohistochemistry (Formalin/PFA-fixed paraffin-embedded sections) - Anti-Ki67 antibody [SP6] (AB16667)

Immunohistochemical analysis of paraffin-embedded Human liver tissue labeling Ki67 with ab16667 at 1/200 (0.145 µg/ml) followed by a ready to use LGoat Anti-Rabbit IgG H&L (HRP polymer) secondary antibody (ab214880). Low expression : positive staining only on proliferating cells (arrow) of human liver. The section was incubated with ab16667 at 4°C overnight and counterstained with Hematoxylin. Secondary antibody only control : Secondary antibody is a ready to use Goat Anti-Rabbit IgG H&L (HRP polymer) (ab214880). Heat mediated antigen retrieval was performed using ab93678 (citrate buffer, pH 6.0).

Multiplex immunohistochemistry - Anti-Ki67 antibody [SP6] (AB16667)
  • mIHC

Supplier Data

Multiplex immunohistochemistry - Anti-Ki67 antibody [SP6] (AB16667)

Fluorescence multiplex immunohistochemical analysis of normal human tonsil tissue (formalin-fixed paraffin-embedded section).

Merged staining of anti-PD1 (ab237728; orange; Opal™520) anti-PDL1 (ab237726; green; Opal™540) anti-CD68 (ab192847; yellow; Opal™570) anti-CD3 epsilon (ab16669; red; Opal™620) anti-Ki67 (ab16667; light blue; Opal™650) and anti-PanCK (ab7753; grey; Opal™690).

The immunostaining was performed on a Leica Biosystems BOND® RX instrument with an Opal™ 7-color automation IHC kit (NEL821001KT Akoya Biosciences®).

The section was incubated in six rounds of staining; in the order of ab237728 (1/500 dilution), ab237726 (1/500 dilution), ab192847 (1/300 dilution), ab16669 (1/300 dilution), ab16667 (1/200 dilution) and ab7753 (1/200 dilution); each using a separate fluorescent tyramide signal amplification system.

Sodium citrate antigen retrieval (Leica ER1 pH6.0 30 minutes) was used in between rounds of tyramide signal amplification to remove the antibody from the previous round to avoid any cross-reactivity.

DAPI (dark blue) was used as a nuclear counter stain.

Microscopy and pseudocoloring of individual Opal™ dyes was performed using a Vectra Polaris.

Flow Cytometry (Intracellular) - Anti-Ki67 antibody [SP6] (AB16667)
  • Flow Cyt (Intra)

Lab

Flow Cytometry (Intracellular) - Anti-Ki67 antibody [SP6] (AB16667)

Flow cytometry analysis of 4% paraformaldehyde fixed 90% methanol permeabilized parental Isotype (Left) / HeLa (human cervix adenocarcinoma epithelial cell) treated with 100ng/mL nocodazole for 24 hours (Middle) / Untreated HeLa (Right) cells labelling Ki67 with ab16667 at 1/5000 dilution (0.01ug) Middle and Right compared with a Rabbit monoclonal IgG (ab172730)  (right) isotype control. A Goat Anti-Rabbit IgG (Alexa Fluor® 488 ab150081) at 1/5000 dilution was used as the secondary antibody. Cells were co-stained with DRAQ5 to differentiate cell cycle phase.

Immunohistochemistry (Formalin/PFA-fixed paraffin-embedded sections) - Anti-Ki67 antibody [SP6] (AB16667)
  • IHC-P

AbReview80142****

Immunohistochemistry (Formalin/PFA-fixed paraffin-embedded sections) - Anti-Ki67 antibody [SP6] (AB16667)

Immunohistochemistry (Formalin/PFA-fixed paraffin-embedded sections) analysis of formaldehyde fixed human pancreas staining with ab16667 at 1/100 dilution. Secondary antibody used was HRP BOND Refine Detection kit. Blocking was done with 5% serum for 1 hour at 20 °C. The sample was incubated with the primary antibody for 18 hours at 4°C with 1% BSA. Antigen retrieval method was heat mediated 10mm sodium citric buffer, PH 6

This image is courtesy of an anonymous Abreview

Immunocytochemistry/ Immunofluorescence - Anti-Ki67 antibody [SP6] (AB16667)
  • ICC/IF

Lab

Immunocytochemistry/ Immunofluorescence - Anti-Ki67 antibody [SP6] (AB16667)

ab16667 staining of Ki67 in a HCT116 cell spheroid. The cells were fixed with 100% methanol (5 min) permeabilised with 0.5% Triton X-100 for 1h and then blocked with 1% BSA/10% normal goat serum/0.3M glycine in 0.1% PBS-Tween overnight at room temperature. The spheroids were then incubated overnight at room temperature with ab16667 at 2 μg/ml and ab7291 Mouse monoclonal [DM1A] to alpha Tubulin at 2 μg/ml. DAPI was used as nuclear counterstain (shown in blue). As secondary antibodies ab150081 Goat anti-Rabbit (Alexa Fluor® 488) (shown in green) and ab150120 Goat anti-Mouse (Alexa Fluor® 594) (shown in magenta) were used incubated overnight at room temperature. All permeabilization blocking and antibody incubation steps were performed using a rotary shaker.

Image was acquired with a high-content analyser (Operetta CLS Perkin Elmer) and a maximum intensity projection of confocal sections is shown.

The antibody ab16667 also worked using 4% formaldehyde fixation (10 min).

Immunocytochemistry/ Immunofluorescence - Anti-Ki67 antibody [SP6] (AB16667)
  • ICC/IF

AbReview20391****

Immunocytochemistry/ Immunofluorescence - Anti-Ki67 antibody [SP6] (AB16667)

ab16667 staining Ki67 - Proliferation Marker in human HEp-2 cells by ICC/IF (Immunocytochemistry/immunofluorescence). Cells were fixed with paraformaldehyde and permeabilized with Triton X-100 0.25% in PBS. Samples were incubated with primary antibody (1/50 in DPBS) for 1 hour at 21°C. An Atto488-conjugated Donkey anti-rabbit polyclonal (1/50) was used as the secondary antibody.

This image was generated from the hybridoma version.

This image is courtesy of an Abreview submitted by Peter Zentis

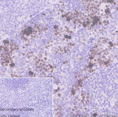
Immunohistochemistry (Formalin/PFA-fixed paraffin-embedded sections) - Anti-Ki67 antibody [SP6] (AB16667)
  • IHC-P

Unknown

Immunohistochemistry (Formalin/PFA-fixed paraffin-embedded sections) - Anti-Ki67 antibody [SP6] (AB16667)

IHC image of ab16667 staining Ki67 in a section of formalin-fixed paraffin-embedded Human tonsil tissue. The section was pre-treated using heat mediated antigen retrieval with ab93678 (citrate buffer pH 6.0). The section was then incubated with ab16667 at 1/200 (0.156 μg/ml) dilution and detected using ready to use Goat Anti-Rabbit IgG H&L (HRP) antibody. Nuclear staining on human tonsil is observed. The section was incubated with ab16667 overnight at +4°C. DAB was used as the chromogen. The section was then counterstained with haematoxylin.

Immunocytochemistry/ Immunofluorescence - Anti-Ki67 antibody [SP6] (AB16667)
  • ICC/IF

Unknown

Immunocytochemistry/ Immunofluorescence - Anti-Ki67 antibody [SP6] (AB16667)

Immunofluorescent analysis of 100% methanol-fixed None permeabilized HeLa cells labelling Ki67 with ab16667 at 1/1000 dilution followed by ab150077 Goat Anti-Rabbit IgG H&L (Alexa Fluor® 488) antibody at 1/1000 dilution (2 µg/mL) (Green). Confocal image showing nucleolar staining in HeLa cell line ab195889 Anti-alpha Tubulin mouse monoclonal antibody - Microtubule Marker (Alexa Fluor® 594) was used to counterstain tubulin at 1/200 dilution (2.5 µg/mL) (Red). The Nuclear counterstain was DAPI (Blue).Secondary antibody only control : Secondary antibody is ab150077 Goat Anti-Rabbit IgG H&L (Alexa Fluor® 488) at 1000 dilution (2 µg/mL).

Immunocytochemistry/ Immunofluorescence - Anti-Ki67 antibody [SP6] (AB16667)
  • ICC/IF

Unknown

Immunocytochemistry/ Immunofluorescence - Anti-Ki67 antibody [SP6] (AB16667)

Immunofluorescent analysis of 100% methanol-fixed, None permeabilized parental HAP1 cells labelling Ki67 with ab16667 at 1/1000 dilution, followed by ab150077 Goat Anti-Rabbit IgG H&L (Alexa Fluor® 488) antibody at 1/1000 dilution (2 µg/mL) (Green). Confocal image showing nucleolar staining in parental HAP1cell line ab195889 Anti-alpha Tubulin mouse monoclonal antibody - Microtubule Marker (Alexa Fluor® 594) was used to counterstain tubulin at 1/200 dilution (2.5 µg/mL) (Red). The Nuclear counterstain was DAPI (Blue). Secondary antibody only control : Secondary antibody is ab150077 Goat Anti-Rabbit IgG H&L (Alexa Fluor® 488) at 1000 dilution (2 µg/mL).

Immunocytochemistry/ Immunofluorescence - Anti-Ki67 antibody [SP6] (AB16667)
  • ICC/IF

Lab

Immunocytochemistry/ Immunofluorescence - Anti-Ki67 antibody [SP6] (AB16667)

ab16667 staining Ki67 in wild-type HAP1 cells (top panel) and Ki67 knockout HAP1 cells (bottom panel). The cells were fixed with 100% methanol for 5 minutes, permeabilized with 0.1% Triton X-100 for 5 minutes and then blocked with 1% BSA/10% normal goat serum/0.3M glycine in 0.1% PBS-Tween for 1 hour. The cells were then incubated with ab16667 at 1/250 dilution and ab195889 at 1/250 dilution (shown in pseudo colour red) overnight at +4°C, followed by a further incubation at room temperature for 1 hour with Goat Anti-Rabbit IgG H&L (Alexa Fluor® 488) preadsorbed (ab150081) secondary antibody at 2 μg/ml (shown in green). Nuclear DNA was labelled in blue with DAPI.

This image was generated from the hybridoma version.

Immunohistochemistry (Formalin/PFA-fixed paraffin-embedded sections) - Anti-Ki67 antibody [SP6] (AB16667)
  • IHC-P

Supplier Data

Immunohistochemistry (Formalin/PFA-fixed paraffin-embedded sections) - Anti-Ki67 antibody [SP6] (AB16667)

Immunohistochemical analysis of formalin-fixed paraffin-embedded human tonsil sections labeling Ki67 with ab16667 at 1/200 dilution (0.156 μg/mL).

Image A :
Secondary antibody is a ready to use Goat Anti-Rabbit IgG H&L (HRP polymer)
Human tonsil tissue incubated with ab16667 overnight at +4°C.
Heat mediated antigen retrieval using ab93678 (citrate buffer pH 6.0).
Nuclear staining on human tonsil. The section was incubated with ab16667 overnight at +4°C.

Image B :
Secondary antibody is a ready to use LeicaDS9800 (Bond™ Polymer Refine Detection)
Human tonsil tissue incubated with ab16667 on a Leica Biosystems BOND® RX instrument.
Heat mediated antigen retrieval with Citrate buffer (pH 6.0 epitope retrieval solution2) for 20 mins.

Immunocytochemistry/ Immunofluorescence - Anti-Ki67 antibody [SP6] (AB16667)
  • ICC/IF

AbReview57387****

Immunocytochemistry/ Immunofluorescence - Anti-Ki67 antibody [SP6] (AB16667)

Immunocytochemistry/ Immunofluorescence analysis of human cardiac stem cells labeling Ki67 with ab16667 at 1/250 dilution. Cells were fixed in paraformaldehyde and permeabilized with Triton x-100 0.01%. Cells were blocked in BSA for 1 hour at room temperature. A polyclonal chicken anti-rabbit Alex Fluor® 488 secondary antibody was used at 1/500 dilution.

This image was generated from the hybridoma version.

This image is courtesy of an anonymous abreview.

Flow Cytometry (Intracellular) - Anti-Ki67 antibody [SP6] (AB16667)
  • Flow Cyt (Intra)

Lab

Flow Cytometry (Intracellular) - Anti-Ki67 antibody [SP6] (AB16667)

Overlay histogram showing HAP1 wildtype (green line) and HAP1-MKI67 knockout cells (red line) stained with ab16667. The cells were fixed with 80% methanol (5 min) and then permeabilized with 0.1% PBS-Triton X-100 for 15 min. The cells were then incubated in 1x PBS / 10% normal goat serum to block non-specific protein-protein interactions followed by the antibody (ab16667 1/1000 dilution) for 30 min at 22°C. The secondary antibody used wasGoat Anti-Rabbit IgG H&L (Alexa Fluor® 488) preadsorbed (ab150081) secondary antibodyat 1/2000 dilution for 30 min at 22°C.A Rabbit IgG isotype control antibody (ab172730) was used at the same concentration and conditions as the primary antibody (HAP1 wildtype - black line HAP1-MKI67 knockout - grey line). Unlabelled sample was also used as a control (this line is not shown for the purpose of simplicity).Acquisition of >5000 events were collected using a 50 mW Blue laser (488nm) and 530/30 bandpass filter. This image was generated from the hybridoma version.

Multiplex immunohistochemistry - Anti-Ki67 antibody [SP6] (AB16667)
  • mIHC

Lab

Multiplex immunohistochemistry - Anti-Ki67 antibody [SP6] (AB16667)

Immunohistochemistry (Formalin/PFA-fixed paraffin-embedded sections) analysis of Human tonsil labelling PD1 with ab243644 at 1/500 dilution (1.02 µg/mL) (D), Ki67 with ab16667 at 1/200 dilution (0.15 μg/ml) (B) and PD-L1 with ab228462 at 1/100 dilution (0.52 μg/ml) (C). Opal Polymer HRP Ms + Rb was used as a secondary antibody, and DAPI was used for a nuclear counter stain. Heat mediated antigen retrieval with Citrate buffer (pH 6.0, epitope retrieval solution 1) for 20 mins. Panel A : merged staining of anti-Ki67 (magenta; Opal™690), anti-PD-L1 (red; Opal™570) and anti-PD1 (green; Opal™520) on human tonsil. Panel B : anti-Ki67 stained on nucleus of proliferating cells. Panel C : anti-PD-L1 stained on membrane of cells involved in T cell inhibition. Panel D : anti-PD1 stained on antigen-stimulated T cells. The section was incubated in three rounds of staining : in the order of ab16667 for 10 mins, ab243644 for 30 mins and ab228462 for 10 mins at room temperature. Each round was followed by a separate fluorescent tyramide signal amplification system. The immunostaining was performed on a Leica Biosystems BOND® RX instrument with an Opal™ 4-color kit. Image acquisition was performed with Leica SP8 confocal microscope.

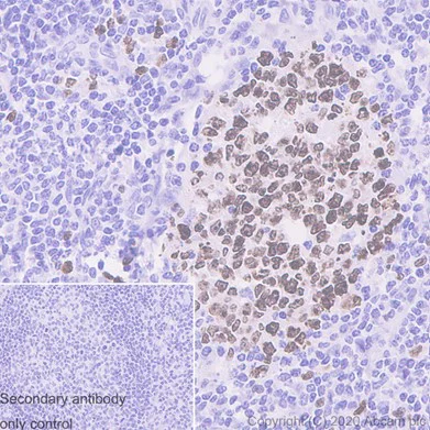
Immunohistochemistry (Formalin/PFA-fixed paraffin-embedded sections) - Anti-Ki67 antibody [SP6] (AB16667)
  • IHC-P

Lab

Immunohistochemistry (Formalin/PFA-fixed paraffin-embedded sections) - Anti-Ki67 antibody [SP6] (AB16667)

Immunohistochemical analysis of formalin fixed paraffin embedded human tonsil labelling Ki67 with ab16667 at 1/500 dilution. The immunostaining was performed on a Ventana DISCOVERY ULTRA (Roche Tissue Diagnostics) instrument with an OptiView DAB IHC Detection Kit. Heat mediated antigen retrieval was conducted for 32min with ULTRA cell conditioning solution (CC1 pH8.5). ab16667 anti Ki67 antibody was incubated at 37°C for 16min. Sections were counterstained is with Hematoxylin II. Image inset shows absence of staining in secondary antibody only control.

Immunohistochemistry (Formalin/PFA-fixed paraffin-embedded sections) - Anti-Ki67 antibody [SP6] (AB16667)
  • IHC-P

Supplier Data

Immunohistochemistry (Formalin/PFA-fixed paraffin-embedded sections) - Anti-Ki67 antibody [SP6] (AB16667)

Tissue Microarrays stained for "Anti-Ki67 antibody [SP6]” using "ab16667" at 1/200 dilution (0.145 μg/ml) in immunohistochemical analysis. This table provides a detailed overview of positive (tick mark) and negative (cross mark) staining per sample type tested. Taking human colon tissue as an example, Ki67 is barely expressed or the expression level is very low in normal colon tissue, and the IHC test result is usually negative. While the expression of Ki67 can be upregulated in the proliferating cells of colon tissue, and the IHC test result could be positive. The sections were pre-treated using Heat mediated antigen retrieval using ab93678 (citrate buffer, pH 6.0). The sections were incubated with ab16667 at +4°C overnight followed by a ready to use Goat Anti-Rabbit IgG H&L (HRP polymer) (ab214880). Hematoxylin was used as the counter stain.

Immunohistochemistry (Formalin/PFA-fixed paraffin-embedded sections) - Anti-Ki67 antibody [SP6] (AB16667)
  • IHC-P

Supplier Data

Immunohistochemistry (Formalin/PFA-fixed paraffin-embedded sections) - Anti-Ki67 antibody [SP6] (AB16667)

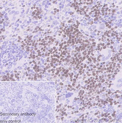
Immunohistochemical analysis of Paraffin-embedded sections Human tonsil tissue labelling Ki67 with ab16667 at 1/200 dilution, followed by a ready to use secondary Rapid DAB Detection System ab290116. Nuclear staining on human tonsil tissue is observed. Counter stained with Haematoxylin. Secondary antibody only control : Used PBS instead of primary antibody, secondary antibody is ready to use Rapid DAB Detection System, ab290116. Heat mediated antigen retrieval was performed using ab208572 (Universal HIER antigen retrieval reagent) The section was incubated by Rapid DAB Detection System (ab290116) after antigen retrieval. The section was incubated with ab16667 in 5 mins at room temperature.

Immunohistochemistry (Formalin/PFA-fixed paraffin-embedded sections) - Anti-Ki67 antibody [SP6] (AB16667)
  • IHC-P

Supplier Data

Immunohistochemistry (Formalin/PFA-fixed paraffin-embedded sections) - Anti-Ki67 antibody [SP6] (AB16667)

Tissue Microarrays stained for "Anti-Ki67 antibody [SP6]” using "ab16667" at 1/200 dilution (0.145 μg/ml) in immunohistochemical analysis. This table provides a detailed overview of positive (tick mark) and negative (cross mark) staining per sample type tested. The sections were pre-treated using Heat mediated antigen retrieval using ab93678 (citrate buffer, pH 6.0). The sections were incubated with ab16667 at +4°C overnight followed by a ready to use Goat Anti-Rabbit IgG H&L (HRP polymer) (ab214880). Hematoxylin was used as the counter stain.

Immunohistochemistry (Formalin/PFA-fixed paraffin-embedded sections) - Anti-Ki67 antibody [SP6] (AB16667)
  • IHC-P

Unknown

Immunohistochemistry (Formalin/PFA-fixed paraffin-embedded sections) - Anti-Ki67 antibody [SP6] (AB16667)

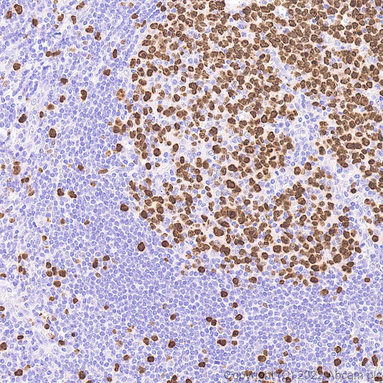
IHC image of ab16667 staining Ki67 in a section of formalin-fixed paraffin-embedded Mouse spleen tissue. The section was pre-treated using heat mediated antigen retrieval with ab93678 (citrate buffer pH 6.0). The section was then incubated with ab16667 at 1/200 (0.156 μg/mL) dilution and detected using a ready to use Goat Anti-Rabbit IgG H&L (HRP) antibody. Nuclear staining on mouse spleen.The section was incubated with ab16667 overnight at +4°C. DAB was used as the chromogen. The section was then counterstained with haematoxylin.

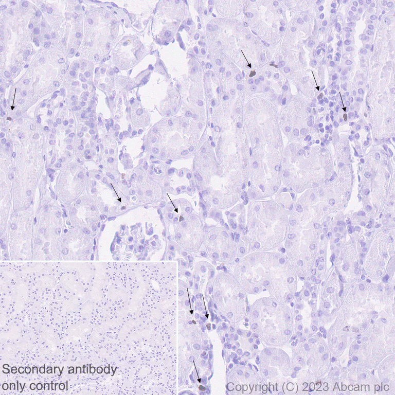
Immunohistochemistry (Formalin/PFA-fixed paraffin-embedded sections) - Anti-Ki67 antibody [SP6] (AB16667)
  • IHC-P

Lab

Immunohistochemistry (Formalin/PFA-fixed paraffin-embedded sections) - Anti-Ki67 antibody [SP6] (AB16667)

Immunohistochemical analysis of paraffin-embedded Mouse kidney tissue labeling Ki67 with ab16667 at 1/200 (0.145 µg/ml) followed by a ready to use LGoat Anti-Rabbit IgG H&L (HRP polymer) secondary antibody (ab214880). Low expression : positive staining only on proliferating cells (arrow) of mouse kidney. The section was incubated with ab16667 at 4°C overnight and counterstained with Hematoxylin. Secondary antibody only control : Secondary antibody is a ready to use Goat Anti-Rabbit IgG H&L (HRP polymer) (ab214880). Heat mediated antigen retrieval was performed using ab93678 (citrate buffer, pH 6.0).

Immunohistochemistry (Formalin/PFA-fixed paraffin-embedded sections) - Anti-Ki67 antibody [SP6] (AB16667)
  • IHC-P

Unknown

Immunohistochemistry (Formalin/PFA-fixed paraffin-embedded sections) - Anti-Ki67 antibody [SP6] (AB16667)

IHC image of ab16667 staining Ki67 in a section of formalin-fixed paraffin-embedded Rat spleen tissue. The section was pre-treated using heat mediated antigen retrieval with (citrate buffer pH 6.0). The section was then incubated with ab16667 1/200 (0.156 μg/mL) dilution and detected using ready to use Goat Anti-Rabbit IgG H&L (HRP) antibody. Nuclear staining on rat spleen. The section was incubated with ab16667 overnight at +4°C. DAB was used as the chromogen. The section was then counterstained with haematoxylin.

Immunohistochemistry (Formalin/PFA-fixed paraffin-embedded sections) - Anti-Ki67 antibody [SP6] (AB16667)
  • IHC-P

Lab

Immunohistochemistry (Formalin/PFA-fixed paraffin-embedded sections) - Anti-Ki67 antibody [SP6] (AB16667)

Immunohistochemical analysis of paraffin-embedded Mouse liver tissue labeling Ki67 with ab16667 at 1/200 (0.145 µg/ml) followed by a ready to use LGoat Anti-Rabbit IgG H&L (HRP polymer) secondary antibody (ab214880). Low expression : positive staining only on proliferating cells (arrow) of mouse liver. The section was incubated with ab16667 at 4°C overnight and counterstained with Hematoxylin. Secondary antibody only control : Secondary antibody is a ready to use Goat Anti-Rabbit IgG H&L (HRP polymer) (ab214880). Heat mediated antigen retrieval was performed using ab93678 (citrate buffer, pH 6.0).

Western blot - Anti-Ki67 antibody [SP6] (AB16667)
  • WB

Lab

Western blot - Anti-Ki67 antibody [SP6] (AB16667)

Western blot : Anti-MKI67 antibody [SP6] (ab16667) staining at 1/500 dilution, shown in green; Mouse anti-CANX [CANX/1543] (ab238078) loading control staining at 1/20000 dilution, shown in magenta. In Western blot, ab16667 was shown to bind specifically to MKI67. A band was observed at 359 kDa in wild-type A549 cell lysates with no signal observed at this size in MKI67 knockout cell line. To generate this image, wild-type and MKI67 knockout A549 cell lysates were analysed. First, samples were run on an SDS-PAGE gel then transferred onto a nitrocellulose membrane. Membranes were blocked in 3 % milk in TBS-0.1 % Tween® 20 (TBS-T) before incubation with primary antibodies overnight at 4 °C. Blots were washed four times in TBS-T, incubated with secondary antibodies for 1 h at room temperature, washed again four times then imaged. Secondary antibodies used were Goat anti-Rabbit IgG H&L 800CW and Goat anti-Mouse IgG H&L 680RD at 1/20000 dilution.

All lanes:

Western blot - Anti-Ki67 antibody [SP6] (ab16667) at 1/500 dilution

Lane 1:

Wild-type A549 cell lysate at 20 µg

Lane 2:

MKI67 knockout A549 cell lysate at 20 µg

Secondary

All lanes:

Goat anti-Rabbit IgG H&L 800CW and Goat anti-Mouse IgG H&L 680RD at 1/20000 dilution

Observed band size: 359 kDa

false

Western blot - Anti-Ki67 antibody [SP6] (AB16667)
  • WB

Lab

Western blot - Anti-Ki67 antibody [SP6] (AB16667)

Lanes 1 - 3 : Merged signal (red and green). Green - ab16667 observed at 359 kDa. Red - loading control, ab130007 observed at 125 kDa.

ab16667 was shown to react with Ki67 in wild-type HeLa cells. Loss of signal was observed when knockout cell line ab255407 (knockout cell lysate ab263762) was used. Wild-type and Ki67 knockout samples were subjected to SDS-PAGE. ab16667 and Anti-Vinculin antibody [VIN-54] (ab130007) were incubated overnight at 4°C at 1 in 100 dilution and 1 in 20000 dilution respectively. Blots were developed with Goat anti-Rabbit IgG H&L (IRDye® 800CW) preadsorbed (ab216773) and Goat anti-Mouse IgG H&L (IRDye® 680RD) preadsorbed (ab216776) secondary antibodies at 1 in 20000 dilution for 1 hour at room temperature before imaging.

All lanes:

Western blot - Anti-Ki67 antibody [SP6] (ab16667) at 1/100 dilution

Lane 1:

Ramos cell lysate at 20 µg

Lane 2:

Wild-type HeLa cell lysate at 20 µg

Lane 3:

Western blot - Human MKI67 (Ki67) knockout HeLa cell line (<a href='/products/cell-lines/human-mki67-ki67-knockout-hela-cell-line-ab255407'>ab255407</a>) at 20 µg

Lane 3:

Western blot - Human MKI67 (Ki67) knockout HeLa cell lysate (<a href='/products/cell-lysates/human-mki67-ki67-knockout-hela-cell-lysate-ab263762'>ab263762</a>) at 20 µg

Secondary

All lanes:

Western blot - Goat anti-Rabbit IgG H&L (IRDye® 800CW) preadsorbed (<a href='/products/secondary-antibodies/goat-rabbit-igg-h-l-irdye-800cw-preadsorbed-ab216773'>ab216773</a>) at 1/20000 dilution

Predicted band size: 358 kDa

Observed band size: 124 kDa,359 kDa

false

関連する標識済み抗体及び組成の異なる製品 (7)

Key facts

宿主種

Rabbit

クローン性

Monoclonal

クローン番号

SP6

アイソタイプ

IgG

キャリアフリー

No

交差種

Mouse, Rat, Human

アプリケーション

WB, ICC/IF, IHC-P, mIHC, Flow Cyt (Intra)

applications

免疫原

The exact immunogen used to generate this antibody is proprietary information.

エピトープ

C-terminus

特異性

Ki67 is mainly expressed in proliferating cells. For normal tissue samples (e.g., liver, kidney), no staining may be typically observed due to low level of proliferation and little expression of Ki67. For malignant tissue samples (e.g., colon carcinoma, breast carcinoma), it is more easily to find Ki67 in the proliferating cells of these tissues (PMID: 6206131, 10653597, 34183782).

FURTHER INFORMATION ON SPECIFICITY (Chinese Version) available under the Product Protocol section.

Reactivity data

{ "title": "Reactivity Data", "filters": { "stats": ["", "Species", "Dilution Info", "Notes"], "tabs": { "all-applications": {"fullname" : "All Applications", "shortname": "All Applications"}, "mIHC" : {"fullname" : "Multiplex immunohistochemistry", "shortname":"mIHC"}, "ICCIF" : {"fullname" : "Immunocytochemistry/ Immunofluorescence", "shortname":"ICC/IF"}, "WB" : {"fullname" : "Western blot", "shortname":"WB"}, "IHCP" : {"fullname" : "Immunohistochemistry (Formalin/PFA-fixed paraffin-embedded sections)", "shortname":"IHC-P"}, "FlowCytIntra" : {"fullname" : "Flow Cytometry (Intracellular)", "shortname":"Flow Cyt (Intra)"} }, "product-promise": { "all": "all", "testedAndGuaranteed": "tested", "guaranteed": "expected", "predicted": "predicted", "notRecommended": "not-recommended" } }, "values": { "Human": { "mIHC-species-checked": "testedAndGuaranteed", "mIHC-species-dilution-info": "1/200", "mIHC-species-notes": "<p></p> Perform heat-mediated antigen retrieval with citrate buffer pH 6 before commencing with IHC staining protocol.", "ICCIF-species-checked": "testedAndGuaranteed", "ICCIF-species-dilution-info": "1/250", "ICCIF-species-notes": "<p>If fixing cells in 4% PFA (20 min, room temp), it is recommended to permeabilized cells with 0.1% Triton-X for 5 min.</p>", "WB-species-checked": "testedAndGuaranteed", "WB-species-dilution-info": "", "WB-species-notes": "<p></p>", "IHCP-species-checked": "testedAndGuaranteed", "IHCP-species-dilution-info": "1/200", "IHCP-species-notes": "<p>Antigen retrieval: Heat mediated antigen retrieval with sodium citrate buffer (pH 6.0).</p><p>Primary antibody condition: primary antibody incubation overnight at +4°C is recommended.</p>", "FlowCytIntra-species-checked": "testedAndGuaranteed", "FlowCytIntra-species-dilution-info": "1/1000", "FlowCytIntra-species-notes": "<p><a href='/products/primary-antibodies/rabbit-igg-monoclonal-epr25a-isotype-control-ab172730'>ab172730</a>, Rabbit monoclonal isotype, is suitable for use as an isotype control with this antibody.</p>" }, "Mouse": { "mIHC-species-checked": "guaranteed", "mIHC-species-dilution-info": "", "mIHC-species-notes": "", "ICCIF-species-checked": "guaranteed", "ICCIF-species-dilution-info": "", "ICCIF-species-notes": "", "WB-species-checked": "guaranteed", "WB-species-dilution-info": "", "WB-species-notes": "", "IHCP-species-checked": "testedAndGuaranteed", "IHCP-species-dilution-info": "1/200", "IHCP-species-notes": "<p>Antigen retrieval: Heat mediated antigen retrieval with sodium citrate buffer (pH 6.0).</p><p>Primary antibody condition: primary antibody incubation overnight at +4°C is recommended.</p>", "FlowCytIntra-species-checked": "guaranteed", "FlowCytIntra-species-dilution-info": "", "FlowCytIntra-species-notes": "" }, "Rat": { "mIHC-species-checked": "guaranteed", "mIHC-species-dilution-info": "", "mIHC-species-notes": "", "ICCIF-species-checked": "guaranteed", "ICCIF-species-dilution-info": "", "ICCIF-species-notes": "", "WB-species-checked": "guaranteed", "WB-species-dilution-info": "", "WB-species-notes": "", "IHCP-species-checked": "testedAndGuaranteed", "IHCP-species-dilution-info": "1/200", "IHCP-species-notes": "<p>Antigen retrieval: Heat mediated antigen retrieval with sodium citrate buffer (pH 6.0).</p><p>Primary antibody condition: primary antibody incubation overnight at +4°C is recommended.</p>", "FlowCytIntra-species-checked": "guaranteed", "FlowCytIntra-species-dilution-info": "", "FlowCytIntra-species-notes": "" }, "Common marmoset": { "mIHC-species-checked": "predicted", "mIHC-species-dilution-info": "", "mIHC-species-notes": "", "ICCIF-species-checked": "predicted", "ICCIF-species-dilution-info": "", "ICCIF-species-notes": "", "WB-species-checked": "predicted", "WB-species-dilution-info": "", "WB-species-notes": "", "IHCP-species-checked": "predicted", "IHCP-species-dilution-info": "", "IHCP-species-notes": "", "FlowCytIntra-species-checked": "predicted", "FlowCytIntra-species-dilution-info": "", "FlowCytIntra-species-notes": "" } } }

製品の詳細

Anti-Ki67 antibody [SP6] (ab16667) was developed by Abcam using patented rabbit monoclonal antibody technology and is validated for use in Flow Cyt (Intra), ICC/IF, IHC-P, WB and mIHC.

Anti-Ki67 antibody [SP6] (ab16667) was first used in a scientific publication in 1977 and has been cited over 2748 times in peer reviewed journals. It's performance in Western blot, immunofluorescence and IHC in human and mouse samples is trusted by the scientific community.

Abcam's high quality manufacturing and validation processes ensure Anti-Ki67 antibody [SP6] (ab16667) has high sensitivity and specificity alongside high lot-to-lot consistency and reproducibility.

The specificity of Anti-Ki67 antibody [SP6] (ab16667) has been confirmed by Western Blot testing in Ki67 knockout HeLa cells (ab263762).

Anti-Ki67 antibody [SP6] (ab16667) has 123 independent reviews from customers.

Anti-Ki67 antibody [SP6] (ab16667) specifically detects Ki67 (UniProt ID: P46013; Molecular weight: 359kDa) and is sold in 100 µL, 500 µL and 1 mL selling sizes.

Conjugation-ready, carrier free format available for antibody clone SP6 - ab197547.

Antibody clone SP6 is also available pre-conjugated to a variety of labels for your convenience - Alexa Fluor® 488, Alexa Fluor® 647, PE, APC (ab281847, ab281928, ab282173, ab314285).

Anti-Ki67 antibody [SP6] (ab16667) is a clone from the portfolio of Spring Bioscience (Roche) SP clones which have been optimised for immunohistochemistry (IHC).

Ki-67 is a protein that serves as a marker for cell proliferation in oncology. It is widely used to assess the growth rate of cancer cells, helping to determine the aggressiveness of tumors and guide treatment decisions. High levels of Ki-67 are often associated with more aggressive cancers and poorer prognosis

Patented technology
Our RabMAb® technology is a patented hybridoma-based technology for making rabbit monoclonal antibodies. For details on our patents, please refer to RabMAb® patents.

What are the advantages of a recombinant monoclonal antibody?
This product is a recombinant monoclonal antibody, which offers several advantages including:

  • - High batch-to-batch consistency and reproducibility
  • - Improved sensitivity and specificity
  • - Long-term security of supply
  • - Animal-free batch production

For more information, read more on recombinant antibodies.

出荷温度及び保存条件

製品の状態
Liquid
精製方法
Affinity purification Protein A
バッファー組成
pH: 7.2 - 7.4 Preservative: 0.1% Sodium azide Constituents: PBS, 1% BSA
出荷温度
Blue Ice
短期保存期間
1-2 weeks
短期保存温度
+4°C
長期保存温度
-20°C
分注に関する情報
Upon delivery aliquot
保管に関する情報
Avoid freeze / thaw cycle

補足情報

This supplementary information is collated from multiple sources and compiled automatically.

Ki67 is a nuclear protein often referred to as MKI67 with a molecular weight of approximately 345 kDa. This protein is strongly associated with cell proliferation. Scientists commonly use Ki67 staining techniques to identify and quantify proliferating cells in tissues. Ki67 is expressed in the nucleus during active cell cycle phases—G1 S G2 and M—but not in resting cells in G0 phase. It is detectable through methods such as Ki67 immunofluorescence and Ki67 flow cytometry which are important for analyzing cell division.
Biological function summary

The Ki67 protein plays an essential role in cellular proliferation processes. It does not form part of a stable complex but interacts transiently with other cell cycle-related proteins. Research indicates that Ki67 maintains the structure of the perichromosomal layer during mitosis impacting chromosome separation. It is particularly active in tissues with high cell turnover such as bone marrow and lymphoid organs.

Pathways

Ki67 influences several key cellular pathways that control cell proliferation and differentiation. The protein acts within the regulation of the cell cycle and the PI3K/AKT signaling pathway important for cell growth and survival. Within these pathways Ki67 interacts with proteins like cyclin-dependent kinases (CDKs) which regulate transitions between different phases of the cell cycle.

Ki67 has significant implications in oncology and can be used as a biomarker for cancer prognosis. Its expression levels help determine the aggressiveness of tumors especially in breast cancer and prostate cancer. High Ki67 levels correlate with poor prognosis as it indicates rapid cell division. In cancer Ki67 associates with p53 a protein that regulates the cell cycle and function as a tumor suppressor.

製品プロトコール

For this product, it's our understanding that no specific protocols are required. You can visit:

ターゲットの情報

Protein that associates with the surface of mitotic chromosomes and acts both as a chromosome repellent during early mitosis and chromosome attractant during late mitosis (PubMed : 27362226, PubMed : 32879492, PubMed : 35513709, PubMed : 39153474). Required to maintain individual mitotic chromosomes dispersed in the cytoplasm following nuclear envelope disassembly (PubMed : 27362226). During early mitosis, relocalizes from nucleoli to the chromosome surface where it forms extended brush structures that cover a substantial fraction of the chromosome surface (PubMed : 27362226). The MKI67 brush structure prevents chromosomes from collapsing into a single chromatin mass by forming a steric and electrostatic charge barrier : the protein has a high net electrical charge and acts as a surfactant, dispersing chromosomes and enabling independent chromosome motility (PubMed : 27362226). During mitotic anaphase, the MKI67 brush structure collapses and MKI67 switches from a chromosome repellent to a chromosome attractant to promote chromosome clustering and facilitate the exclusion of large cytoplasmic particles from the future nuclear space (PubMed : 32879492, PubMed : 39153474). Mechanistically, dephosphorylation during mitotic exit and simultaneous exposure of a conserved basic patch induce the RNA-dependent formation of a liquid-like condensed phase on the chromosome surface, promoting coalescence of neighboring chromosome surfaces and clustering of chromosomes (PubMed : 39153474). Binds premature ribosomal RNAs during anaphase; promoting liquid-liquid phase separation (PubMed : 28935370, PubMed : 39153474). Binds DNA, with a preference for supercoiled DNA and AT-rich DNA (PubMed : 10878551). Does not contribute to the internal structure of mitotic chromosomes (By similarity). May play a role in chromatin organization; it is however unclear whether it plays a direct role in chromatin organization or whether it is an indirect consequence of its function in mitotic chromosome (PubMed : 24867636).
See full target information MKI67

文献 (3890)

Recent publications for all applications. Explore the full list and refine your search

BMC cancer 25:1512 PubMed41053731

2025

NFKBIE as a prognostic biomarker and therapeutic target for GBM: role in Hedgehog signaling activation.

Applications

Unspecified application

Species

Unspecified reactive species

Feng Mo,Yang Li,Ce Dong,Lijun Yang,Xiaoli Ma,Baogen Pan,Zhenzeng Fan

Cell biology and toxicology 41:135 PubMed41051621

2025

Targeting Skp2 by Tanshinone IIA overcomes chemoresistance in colorectal cancer.

Applications

Unspecified application

Species

Unspecified reactive species

Xin Dong,Kexin Li,Ruirui Wang,Baojun Wei,Yiling Li,Yu Zhang,Shengkai Huang,Guojing Wang,Quanquan Gao,Wei Li,Wei Cui

Regenerative biomaterials 12:rbaf092 PubMed41048975

2025

L-arginine-loaded microneedle patch enhances diabetic wound healing by regulating macrophage polarisation and mitochondrial homeostasis.

Applications

Unspecified application

Species

Unspecified reactive species

Hong Wang,Shun Yao,Qingyun Mo,Mingyue Chen,Danfeng He,Lingfeng Yan,Chang Wang,Tao Zou,Gaoxing Luo,Jun Deng

Journal of pharmaceutical analysis 15:101228 PubMed41050116

2025

ZFP36 promotes ferroptosis and mitochondrial dysfunction and inhibits malignant progression in osteosarcoma by regulating the E2F1/ATF4 axis.

Applications

Unspecified application

Species

Unspecified reactive species

Shiyue Qin,Hongyang Kong,Lei Jiang

Communications biology 8:1422 PubMed41044405

2025

Estradiol and dihydrotestosterone exert sex-specific effects on human fibroblast and endothelial proliferation, bioenergetics, and vasculogenesis.

Applications

Unspecified application

Species

Unspecified reactive species

Ashley T Martier,Yasmin V Maurice,K Michael Conrad,Delia A Carlino,Franck Mauvais-Jarvis,Mark J Mondrinos

Frontiers in endocrinology 16:1642916 PubMed41040861

2025

Enhancing post-operative hypothyroidism treatment: rat thyroid autotransplantation into a pre-vascularized, retrievable cell pouch™ device.

Applications

Unspecified application

Species

Unspecified reactive species

Arash Memarnejadian,Pardis Pakshir,Madison Tomlinson,Farideh Berjisian,Ligia Dortas Maffei,Ben Muirhead,Jonathan Mofford,Babak Ataei Mehr,Vijay Parikh,Frank R Shannon,Pericles Calias,Philip M Toleikis

Theranostics 15:9580-9600 PubMed41041054

2025

Macrophage-TREM2 promotes cardiac repair by restricting the infiltration of CD8 T cells via CXCL16-CXCR6 axis after myocardial infarction.

Applications

Unspecified application

Species

Unspecified reactive species

Linlin Zhang,Sheng Wang,Yu Ding,Tao Zheng,Jie Sheng,Yanshan Chen,Zhiyue Wang,Ximei Dai,Canbiao Wang,Long Ma,Jing Pan,Yunming Zhang,Longjiang Zhang

Cellular oncology (Dordrecht, Netherlands) : PubMed41037222

2025

CAFs mediate carboplatin resistance in LUAD via CXCL12 secretion regulated by NF-κB activation.

Applications

Unspecified application

Species

Unspecified reactive species

Long Li,Xu Zhu,Zeyang Yang,Xuanyin Wang,Xianling Zeng,Lu Wang,Jiaming Ren,Jiangwei Wu,Qiaoling Zhang,Jing Xiao,Ying Zhang,Song Yang,Yuanhan Wang,Jian Zhang,Xinlei Liu,Siyuan Yang,Zhu Zeng,Jieheng Wu

Scientific reports 15:34135 PubMed41034261

2025

Clinicopathological analysis of GLUT-1, GLS1, and GLS2 expression in breast cancer tissues from Jordanian patients.

Applications

Unspecified application

Species

Unspecified reactive species

Haneen A Basheer,Ahlam Zaid Alkilani,Samir Al Bashir,Maram A Alhusban,Lina Elsalem,Sura Bilal AlOmari,Qosay Mahmoud Sharqiah,Kamyar Afarinkia

Journal of oral microbiology 17:2564694 PubMed41036106

2025

Is a promoting factor, rather than an inducing factor for oral cancer?

Applications

Unspecified application

Species

Unspecified reactive species

Xu Wang,Xinming Zhang,Shuangshuang Wu,Wenqing Zhang,Zhimin Yan
View all publications
websiteProtocolBooklet
en
websiteProtocolBooklet
zh

Abcam product promise

当社は、高品質な試薬を通じてお客様の研究を力強くサポートすることをお約束いたします。ご使用いただく各段階で、常にお客様をサポートできる体制を整えております。万が一、製品が期待通りに機能しない場合は、「Abcam Product Promise」による当社保証制度に基づき、安心してご利用いただけます。
保証に関する詳細については利用規約をご確認ください。

Please note: All products are 'FOR RESEARCH USE ONLY. NOT FOR USE IN DIAGNOSTIC OR THERAPEUTIC PROCEDURES'.

For licensing inquiries, please contact partnerships@abcam.com