JavaScript is disabled in your browser. Please enable JavaScript to view this website.
AB833

Anti-Ki67 抗体

Anti-Ki67 antibody

4

(13 Reviews)

|

(195 Publications)

Rabbit Polyclonal Ki67 antibody. Suitable for IHC-P and reacts with Human samples. Cited in 195 publications. Immunogen corresponding to Synthetic Peptide within Human MKI67.

別名を表示する

Proliferation marker protein Ki-67, Antigen identified by monoclonal antibody Ki-67, Antigen KI-67, Antigen Ki67, MKI67

3 Images
Immunohistochemistry (Formalin/PFA-fixed paraffin-embedded sections) - Anti-Ki67 antibody (AB833)
  • IHC-P

PubMed

Immunohistochemistry (Formalin/PFA-fixed paraffin-embedded sections) - Anti-Ki67 antibody (AB833)

Immunohistochemical analysis of Human skin tissue, staining Ki67 (red) with ab833.

Antigen retrieval was performed by heat mediation in a EDTA/Tris buffer (pH 8.0). Sections were blocked with 10% NGS for 1 hour at room temperature, followed by incubation with primary antibody (1/25). An AlexFluor®546 anti-rabbit IgG (1/500) was used as the secondary antibody.

Image from Medic S et al., PLoS One. 2010 Apr 22;5(4):e9977. Fig 3.; doi:10.1371/journal.pone.0009977; April 22, 2010, PLoS ONE 5(4): e9977.

Immunohistochemistry (Formalin/PFA-fixed paraffin-embedded sections) - Anti-Ki67 antibody (AB833)
  • IHC-P

AbReview2816****

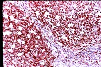
Immunohistochemistry (Formalin/PFA-fixed paraffin-embedded sections) - Anti-Ki67 antibody (AB833)

HT-29 xenograft tumor in mouse 20x pretreatment w/ citrate pH 6.0 using anti-Ki67 antibody ab833 at 5 ug/mL for 30 min at RT.

This image is courtesy of an abreview submitted by Mithra Mahmoudi.

Immunohistochemistry (Formalin/PFA-fixed paraffin-embedded sections) - Anti-Ki67 antibody (AB833)
  • IHC-P

Unknown

Immunohistochemistry (Formalin/PFA-fixed paraffin-embedded sections) - Anti-Ki67 antibody (AB833)

ab833 - immunohistochemistry

Formalin fixed paraffin embedded human tonsil stained with Ki-67, using ABC and AEC chromogen.

Key facts

宿主種

Rabbit

クローン性

Polyclonal

アイソタイプ

IgG

キャリアフリー

No

交差種

Human

アプリケーション

IHC-P

applications

免疫原

Synthetic Peptide within Human MKI67. The exact immunogen used to generate this antibody is proprietary information.

P46013

Reactivity data

{ "title": "Reactivity Data", "filters": { "stats": ["", "Species", "Dilution Info", "Notes"], "tabs": { "all-applications": {"fullname" : "All Applications", "shortname": "All Applications"}, "IHCP" : {"fullname" : "Immunohistochemistry (Formalin/PFA-fixed paraffin-embedded sections)", "shortname":"IHC-P"} }, "product-promise": { "all": "all", "testedAndGuaranteed": "tested", "guaranteed": "expected", "predicted": "predicted", "notRecommended": "not-recommended" } }, "values": { "Human": { "IHCP-species-checked": "testedAndGuaranteed", "IHCP-species-dilution-info": "1/25 - 1/50", "IHCP-species-notes": "<p>We recommend using an ABC system for detection of this antibody.</p><p>Positive Control: Hu tonsil tissue</p>" } } }

下記製品にもご興味をお持ちいただけるかもしれません:

AB253221

Human Ki67 ELISA Kit

0

0 Reviews

製品ページを見る
こちらの製品も推奨する理由

この製品は、同様の実験や関連する研究で広く使用されていることから推奨させていただいております。

お客様の実験に適するかご確認いただくため、必ず製品データシートをご確認いただくことをお勧めいたします。ご不明点等ございましたら、テクニカルサポートチームまでお問い合わせください。

出荷温度及び保存条件

製品の状態
Liquid
精製方法
Affinity purification Protein A
バッファー組成
pH: 7.3 - 7.5 Preservative: 0.05% Sodium azide Constituents: 1% BSA
出荷温度
Blue Ice
短期保存期間
1-2 weeks
短期保存温度
+4°C
長期保存温度
-20°C
保管に関する情報
Avoid freeze / thaw cycle

補足情報

This supplementary information is collated from multiple sources and compiled automatically.

Ki67 is a nuclear protein often referred to as MKI67 with a molecular weight of approximately 345 kDa. This protein is strongly associated with cell proliferation. Scientists commonly use Ki67 staining techniques to identify and quantify proliferating cells in tissues. Ki67 is expressed in the nucleus during active cell cycle phases—G1 S G2 and M—but not in resting cells in G0 phase. It is detectable through methods such as Ki67 immunofluorescence and Ki67 flow cytometry which are important for analyzing cell division.
Biological function summary

The Ki67 protein plays an essential role in cellular proliferation processes. It does not form part of a stable complex but interacts transiently with other cell cycle-related proteins. Research indicates that Ki67 maintains the structure of the perichromosomal layer during mitosis impacting chromosome separation. It is particularly active in tissues with high cell turnover such as bone marrow and lymphoid organs.

Pathways

Ki67 influences several key cellular pathways that control cell proliferation and differentiation. The protein acts within the regulation of the cell cycle and the PI3K/AKT signaling pathway important for cell growth and survival. Within these pathways Ki67 interacts with proteins like cyclin-dependent kinases (CDKs) which regulate transitions between different phases of the cell cycle.

Ki67 has significant implications in oncology and can be used as a biomarker for cancer prognosis. Its expression levels help determine the aggressiveness of tumors especially in breast cancer and prostate cancer. High Ki67 levels correlate with poor prognosis as it indicates rapid cell division. In cancer Ki67 associates with p53 a protein that regulates the cell cycle and function as a tumor suppressor.

製品プロトコール

For this product, it's our understanding that no specific protocols are required. You can visit:

ターゲットの情報

The protein expressed by the MKI67 gene is required to maintain individual mitotic chromosomes dispersed in the cytoplasm following nuclear envelope disassembly and associates with the surface of the mitotic chromosome, specifically the perichromosomal layer, covering a significant portion of the chromosome surface (PubMed : 27362226). It prevents chromosomes from collapsing into a single chromatin mass by creating a steric and electrostatic charge barrier due to its high net electrical charge, acting as a surfactant that disperses chromosomes and enables their independent motility (PubMed : 27362226). The protein binds DNA, with a preference for supercoiled and AT-rich DNA (PubMed : 10878551), and may play a role in chromatin organization, though it is unclear if it directly influences chromatin organization or if this is an indirect result of its function in maintaining dispersed mitotic chromosomes (Probable, PubMed : 24867636). This supplementary information is collated from multiple sources and compiled automatically.
See full target information MKI67

文献 (195)

Recent publications for all applications. Explore the full list and refine your search

Cell death & disease 14:465 PubMed37491420

2023

Heparanase 2 (Hpa2)- a new player essential for pancreatic acinar cell differentiation.

Applications

Unspecified application

Species

Unspecified reactive species

Yasmin Kayal,Uri Barash,Inna Naroditsky,Neta Ilan,Israel Vlodavsky

Journal of translational medicine 21:382 PubMed37308993

2023

HNRNPA2B1-mediated mA modification of lncRNA MEG3 facilitates tumorigenesis and metastasis of non-small cell lung cancer by regulating miR-21-5p/PTEN axis.

Applications

Unspecified application

Species

Unspecified reactive species

Ke Li,Quan Gong,Xu-Dong Xiang,Gang Guo,Jia Liu,Li Zhao,Jun Li,Nan Chen,Heng Li,Li-Juan Zhang,Chun-Yan Zhou,Zhi-Yong Wang,Li Zhuang

Scientific reports 13:9444 PubMed37296184

2023

A perfusion-based three-dimensional cell culture system to model alveolar rhabdomyosarcoma pathological features.

Applications

Unspecified application

Species

Unspecified reactive species

Mattia Saggioro,Stefania D'Agostino,Giulia Veltri,Maira Bacchiega,Lucia Tombolan,Carlo Zanon,Piergiorgio Gamba,Valentina Serafin,Manuele Giuseppe Muraro,Ivan Martin,Michela Pozzobon

Journal of neuroinflammation 20:108 PubMed37149645

2023

Preclinical investigation in FAAH inhibition as a neuroprotective therapy for frontotemporal dementia using TDP-43 transgenic male mice.

Applications

Unspecified application

Species

Unspecified reactive species

Irene Santos-García,Carmen Rodríguez-Cueto,Patricia Villegas,Fabiana Piscitelli,Anna Lauritano,Che-Kun J Shen,Vincenzo Di Marzo,Javier Fernández-Ruiz,Eva de Lago

The Journal of cell biology 222: PubMed37042842

2023

PIM1 phosphorylates ABI2 to enhance actin dynamics and promote tumor invasion.

Applications

Unspecified application

Species

Unspecified reactive species

Corbin C Jensen,Amber N Clements,Hope Liou,Lauren E Ball,Jennifer R Bethard,Paul R Langlais,Rachel K Toth,Shailender S Chauhan,Andrea L Casillas,Sohail R Daulat,Andrew S Kraft,Anne E Cress,Cindy K Miranti,Ghassan Mouneimne,Greg C Rogers,Noel A Warfel

Stem cell investigation 10:7 PubMed37034185

2023

Neurogenic marker expression in differentiating human adipose derived adult mesenchymal stem cells.

Applications

Unspecified application

Species

Unspecified reactive species

Neus Gomila Pelegri,Bruce K Milthorpe,Catherine A Gorrie,Jerran Santos

Annals of thoracic and cardiovascular surgery : official journal of the Association of Thoracic and Cardiovascular Surgeons of Asia 29:11-22 PubMed36575008

2022

Circ_0006220 Contributes to NSCLC Progression through miR-342-3p/GOT2 Axis.

Applications

Unspecified application

Species

Unspecified reactive species

Jichun Tang,Xuan Li,Lili Zhao,Jiajun Hui,Ning Ding

Nature communications 13:6418 PubMed36302761

2022

Targeting vasoactive intestinal peptide-mediated signaling enhances response to immune checkpoint therapy in pancreatic ductal adenocarcinoma.

Applications

Unspecified application

Species

Unspecified reactive species

Sruthi Ravindranathan,Tenzin Passang,Jian-Ming Li,Shuhua Wang,Rohan Dhamsania,Michael Brandon Ware,Mohammad Y Zaidi,Jingru Zhu,Maria Cardenas,Yuan Liu,Sanjeev Gumber,Brian Robinson,Anish Sen-Majumdar,Hanwen Zhang,Shanmuganathan Chandrakasan,Haydn Kissick,Alan B Frey,Susan N Thomas,Bassel F El-Rayes,Gregory B Lesinski,Edmund K Waller

BMC complementary medicine and therapies 22:255 PubMed36192711

2022

Topical administration of Juglans regia L. leaf extract accelerates diabetic wound healing.

Applications

Unspecified application

Species

Unspecified reactive species

Davood Nasiry,Ali Reza Khalatbary,Alireza Ghaemi,Mohammad Ali Ebrahimzadeh,Mohammad Hossein Hosseinzadeh

Journal of cosmetic dermatology 21:6939-6950 PubMed36117495

2022

Decellularized human amniotic membrane engraftment in combination with adipose-derived stem cells transplantation, synergistically improved diabetic wound healing.

Applications

Unspecified application

Species

Unspecified reactive species

Sima Davoodi,Roohollah Ebrahimpour-Malekshah,Ömer Ayna,Mitra Akbari,Amir Raoofi,Hossein Mokhtari,Mostafa Izanlu,Faezeh Modanloo,Davood Nasiry
View all publications

Abcam product promise

当社は、高品質な試薬を通じてお客様の研究を力強くサポートすることをお約束いたします。ご使用いただく各段階で、常にお客様をサポートできる体制を整えております。万が一、製品が期待通りに機能しない場合は、「Abcam Product Promise」による当社保証制度に基づき、安心してご利用いただけます。
保証に関する詳細については利用規約をご確認ください。

関連製品

Select an associated product type
Alternative Product
Primary Antibodies

AB196907

Alexa Fluor® 647 Anti-Ki67 antibody [EPR3610]

primary-antibodies

alexa-fluor-647-ki67-antibody-epr3610-ab196907

5

(1 reviews)

Alternative Product
Primary Antibodies

AB197234

Alexa Fluor® 488 Anti-Ki67 antibody [EPR3610]

primary-antibodies

alexa-fluor-488-ki67-antibody-epr3610-ab197234

5

(2 reviews)

Alternative Product
Primary Antibodies

AB216709

Alexa Fluor® 594 Anti-Ki67 antibody [EPR3610]

primary-antibodies

alexa-fluor-594-ki67-antibody-epr3610-ab216709

0

(0 reviews)

Alternative Product
Primary Antibodies

AB215226

Alexa Fluor® 555 Anti-Ki67 antibody [EPR3610]

primary-antibodies

alexa-fluor-555-ki67-antibody-epr3610-ab215226

0

(0 reviews)

Alternative Product
Primary Antibodies

AB211968

Alexa Fluor® 568 Anti-Ki67 antibody [EPR3610]

primary-antibodies

alexa-fluor-568-ki67-antibody-epr3610-ab211968

0

(0 reviews)

Alternative Product
Primary Antibodies

AB92742

Anti-Ki67 antibody [EPR3610]

primary-antibodies

ki67-antibody-epr3610-ab92742

5

(12 reviews)

Alternative Product
Primary Antibodies

AB209897

Anti-Ki67 antibody [EPR3610] - BSA and Azide free

primary-antibodies

ki67-antibody-epr3610-bsa-and-azide-free-ab209897

5

(1 reviews)

Please note: All products are 'FOR RESEARCH USE ONLY. NOT FOR USE IN DIAGNOSTIC OR THERAPEUTIC PROCEDURES'.

For licensing inquiries, please contact partnerships@abcam.com