JavaScript is disabled in your browser. Please enable JavaScript to view this website.
AB2898

Anti-KDEL 抗体

Anti-KDEL antibody

4

(1 Review)

|

(7 Publications)

Rabbit Polyclonal KDEL antibody. Suitable for IHC-P, ICC/IF, Flow Cyt and reacts with Mouse, Human samples. Cited in 7 publications.

別名を表示する

Lys Asp Glu Leu

5 Images
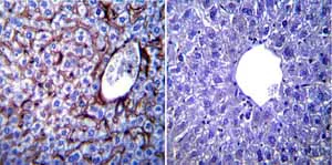
Immunohistochemistry (Formalin/PFA-fixed paraffin-embedded sections) - Anti-KDEL antibody (AB2898)
  • IHC-P

Unknown

Immunohistochemistry (Formalin/PFA-fixed paraffin-embedded sections) - Anti-KDEL antibody (AB2898)

Immunohistochemistry was performed on normal biopsies of deparaffinized Mouse liver tissue. To expose target proteins heat induced antigen retrieval was performed using 10mM sodium citrate (pH6.0) buffer microwaved for 8-15 minutes. Following antigen retrieval tissues were blocked in 3% BSA-PBS for 30 minutes at room temperature. Tissues were then probed at a dilution of 1 : 100 with a rabbit polyclonal antibody recognizing KDEL ab2898 or without primary antibody (negative control) overnight at 4°C in a humidified chamber. Tissues were washed extensively with PBST and endogenous peroxidase activity was quenched with a peroxidase suppressor. Detection was performed using a biotin-conjugated secondary antibody and SA-HRP followed by colorimetric detection using DAB. Tissues were counterstained with hematoxylin and prepped for mounting.

Immunohistochemistry (Formalin/PFA-fixed paraffin-embedded sections) - Anti-KDEL antibody (AB2898)
  • IHC-P

Unknown

Immunohistochemistry (Formalin/PFA-fixed paraffin-embedded sections) - Anti-KDEL antibody (AB2898)

Immunohistochemistry was performed on normal biopsies of deparaffinized Mouse pancreas tissue. To expose target proteins heat induced antigen retrieval was performed using 10mM sodium citrate (pH6.0) buffer microwaved for 8-15 minutes. Following antigen retrieval tissues were blocked in 3% BSA-PBS for 30 minutes at room temperature. Tissues were then probed at a dilution of 1 : 100 with a rabbit polyclonal antibody recognizing KDEL ab2898 or without primary antibody (negative control) overnight at 4°C in a humidified chamber. Tissues were washed extensively with PBST and endogenous peroxidase activity was quenched with a peroxidase suppressor. Detection was performed using a biotin-conjugated secondary antibody and SA-HRP followed by colorimetric detection using DAB. Tissues were counterstained with hematoxylin and prepped for mounting.

Immunocytochemistry/ Immunofluorescence - Anti-KDEL antibody (AB2898)
  • ICC/IF

Supplier Data

Immunocytochemistry/ Immunofluorescence - Anti-KDEL antibody (AB2898)

Immunofluorescent analysis of U-251 MG (Human brain glioma cell line) cells labeling KDEL (green) with ab2898. Cells were grown on chamber slides and fixed with formaldehyde prior to staining. Cells were probed without (control) or with ab2898 at 1/200 dilution overnight at 4 C, washed with PBS and incubated with a DyLight-488 conjugated secondary antibody. F-Actin staining with Phalloidin (red) and nuclei with DAPI (blue) is shown. Images were taken at 60X magnification.

Immunohistochemistry (Formalin/PFA-fixed paraffin-embedded sections) - Anti-KDEL antibody (AB2898)
  • IHC-P

Unknown

Immunohistochemistry (Formalin/PFA-fixed paraffin-embedded sections) - Anti-KDEL antibody (AB2898)

Immunohistochemistry was performed on normal biopsies of deparaffinized Mouse lymph node tissue. To expose target proteins heat induced antigen retrieval was performed using 10mM sodium citrate (pH6.0) buffer microwaved for 8-15 minutes. Following antigen retrieval tissues were blocked in 3% BSA-PBS for 30 minutes at room temperature. Tissues were then probed at a dilution of 1 : 200 with a rabbit polyclonal antibody recognizing KDEL ab2898 or without primary antibody (negative control) overnight at 4°C in a humidified chamber. Tissues were washed extensively with PBST and endogenous peroxidase activity was quenched with a peroxidase suppressor. Detection was performed using a biotin-conjugated secondary antibody and SA-HRP followed by colorimetric detection using DAB. Tissues were counterstained with hematoxylin and prepped for mounting.

Flow Cytometry - Anti-KDEL antibody (AB2898)
  • Flow Cyt

Supplier Data

Flow Cytometry - Anti-KDEL antibody (AB2898)

Flow cytometry analysis of HeLa (Human epithelial cell line from cervix adenocarcinoma) cells labeling KDEL with ab2898 (purple) or a rabbit IgG isotype control (black) at a 10 μg/mL. After incubation for 1 hour on ice, the cells were labeled with a Goat anti-Rabbit IgG (H+L) secondary antibody, Alexa Fluor® 647 conjugate at 1/50 dilution for 1 hour on ice. A representative 10,000 cells were acquired and analyzed for each sample.

Key facts

宿主種

Rabbit

クローン性

Polyclonal

アイソタイプ

IgG

キャリアフリー

No

交差種

Mouse, Human

アプリケーション

IHC-P, Flow Cyt, ICC/IF

applications

Reactivity data

{ "title": "Reactivity Data", "filters": { "stats": ["", "Species", "Dilution Info", "Notes"], "tabs": { "all-applications": {"fullname" : "All Applications", "shortname": "All Applications"}, "IHCP" : {"fullname" : "Immunohistochemistry (Formalin/PFA-fixed paraffin-embedded sections)", "shortname":"IHC-P"}, "ICCIF" : {"fullname" : "Immunocytochemistry/ Immunofluorescence", "shortname":"ICC/IF"}, "FlowCyt" : {"fullname" : "Flow Cytometry", "shortname":"Flow Cyt"} }, "product-promise": { "all": "all", "testedAndGuaranteed": "tested", "guaranteed": "expected", "predicted": "predicted", "notRecommended": "not-recommended" } }, "values": { "Human": { "IHCP-species-checked": "guaranteed", "IHCP-species-dilution-info": "", "IHCP-species-notes": "", "ICCIF-species-checked": "testedAndGuaranteed", "ICCIF-species-dilution-info": "1/200", "ICCIF-species-notes": "<p></p>", "FlowCyt-species-checked": "testedAndGuaranteed", "FlowCyt-species-dilution-info": "1-20 µg/mL", "FlowCyt-species-notes": "<p></p>" }, "Mouse": { "IHCP-species-checked": "testedAndGuaranteed", "IHCP-species-dilution-info": "1/100 - 1/200", "IHCP-species-notes": "<p></p>", "ICCIF-species-checked": "guaranteed", "ICCIF-species-dilution-info": "", "ICCIF-species-notes": "", "FlowCyt-species-checked": "guaranteed", "FlowCyt-species-dilution-info": "", "FlowCyt-species-notes": "" } } }

下記製品もご検討ください

AB240190

Anti-KDEL antibody [EPR12668] - BSA and Azide free

0
0 Reviews
製品ページを見る
こちらの製品も推奨する理由

私たちは、より高品質な製品をお届けするために、製品構成を常に改善しています。今回ご紹介する代替製品は、性能の向上、使いやすさや利便性の向上、またはより早くお届けできる点などを踏まえて選定しています。

製品の詳細

出荷温度及び保存条件

製品の状態
Liquid
精製方法
Affinity purification Immunogen
バッファー組成
Preservative: 0.05% Sodium azide Constituents: 99% PBS
出荷温度
Blue Ice
短期保存期間
1-2 weeks
短期保存温度
+4°C
長期保存温度
-20°C
分注に関する情報
Upon delivery aliquot
保管に関する情報
Avoid freeze / thaw cycle

製品プロトコール

For this product, it's our understanding that no specific protocols are required. You can visit:

ターゲットの情報

See full target information KDEL

文献 (7)

Recent publications for all applications. Explore the full list and refine your search

Cell death & disease 14:297 PubMed37120609

2023

Perturbation of the host cell Ca homeostasis and ER-mitochondria contact sites by the SARS-CoV-2 structural proteins E and M.

Applications

Unspecified application

Species

Unspecified reactive species

Elena Poggio,Francesca Vallese,Andreas J W Hartel,Travis J Morgenstern,Scott A Kanner,Oliver Rauh,Flavia Giamogante,Lucia Barazzuol,Kenneth L Shepard,Henry M Colecraft,Oliver Biggs Clarke,Marisa Brini,Tito Calì

Cells 11: PubMed35626680

2022

Stable Integration of Inducible SPLICS Reporters Enables Spatio-Temporal Analysis of Multiple Organelle Contact Sites upon Modulation of Cholesterol Traffic.

Applications

Unspecified application

Species

Unspecified reactive species

Flavia Giamogante,Lucia Barazzuol,Elena Poggio,Marta Tromboni,Marisa Brini,Tito Calì

The Journal of biological chemistry 298:101904 PubMed35398096

2022

Carbamazepine promotes surface expression of mutant Kir6.2-A28V ATP-sensitive potassium channels by modulating Golgi retention and autophagy.

Applications

Unspecified application

Species

Unspecified reactive species

Ching-Han Lin,Yu-Chi Lin,Shi-Bing Yang,Pei-Chun Chen

FASEB journal : official publication of the Federation of American Societies for Experimental Biology 36:e22228 PubMed35218571

2022

TIMP2 mediates endoplasmic reticulum stress contributing to sepsis-induced acute kidney injury.

Applications

Unspecified application

Species

Unspecified reactive species

Nanhui Jiang,Rong Huang,Jiahao Zhang,Dongxue Xu,Tianlong Li,Zhongyi Sun,Lianjiu Su,Zhiyong Peng

The international journal of biochemistry & cell b 113:67-74 PubMed31185295

2019

N-Glycan-calnexin interactions in human factor VII secretion and deficiency.

Applications

Unspecified application

Species

Unspecified reactive species

Hao Wang,Lina Wang,Shuo Li,Ningzheng Dong,Qingyu Wu

Journal of proteomics 75:2855-68 PubMed22270009

2012

Proteomic analysis of human hepatoma cells expressing methionine adenosyltransferase I/III: Characterization of DDX3X as a target of S-adenosylmethionine.

Applications

Unspecified application

Species

Unspecified reactive species

Paul C Schröder,Joaquín Fernández-Irigoyen,Emilie Bigaud,Antonio Serna,Rubén Renández-Alcoceba,Shelly C Lu,José M Mato,Jesús Prieto,Fernando J Corrales

Molecular & cellular proteomics : MCP 10:M111.009126 PubMed21467216

2011

HSV-1 Cgal+ infection promotes quaking RNA binding protein production and induces nuclear-cytoplasmic shuttling of quaking I-5 isoform in human hepatoma cells.

Applications

WB

Species

Unspecified reactive species

Virginia Sánchez-Quiles,María I Mora,Victor Segura,Anna Greco,Alberto L Epstein,Maria Giovanna Foschini,Loïc Dayon,Jean-Charles Sanchez,Jesús Prieto,Fernando J Corrales,Enrique Santamaría
View all publications

Abcam product promise

当社は、高品質な試薬を通じてお客様の研究を力強くサポートすることをお約束いたします。ご使用いただく各段階で、常にお客様をサポートできる体制を整えております。万が一、製品が期待通りに機能しない場合は、「Abcam Product Promise」による当社保証制度に基づき、安心してご利用いただけます。
保証に関する詳細については利用規約をご確認ください。

関連製品

Select an associated product type
Alternative Product
Primary Antibodies

AB203420

Alexa Fluor® 555 Anti-KDEL antibody [EPR12668] - ER Marker

primary-antibodies

alexa-fluor-555-kdel-antibody-epr12668-er-marker-ab203420

0

(0 reviews)

Alternative Product
Primary Antibodies

AB184819

Alexa Fluor® 488 Anti-KDEL antibody [EPR12668] - ER Marker

primary-antibodies

alexa-fluor-488-kdel-antibody-epr12668-er-marker-ab184819

5

(1 reviews)

Alternative Product
Primary Antibodies

AB176333

Anti-KDEL antibody [EPR12668]

primary-antibodies

kdel-antibody-epr12668-ab176333

5

(3 reviews)

Alternative Product
Primary Antibodies

AB214714

Alexa Fluor® 647 Anti-KDEL antibody [EPR12668] - ER Marker

primary-antibodies

alexa-fluor-647-kdel-antibody-epr12668-er-marker-ab214714

0

(0 reviews)

Please note: All products are 'FOR RESEARCH USE ONLY. NOT FOR USE IN DIAGNOSTIC OR THERAPEUTIC PROCEDURES'.

For licensing inquiries, please contact partnerships@abcam.com