JavaScript is disabled in your browser. Please enable JavaScript to view this website.
AB3517

Anti-KAT13D / CLOCK 抗体

Anti-KAT13D / CLOCK antibody

4

(5 Reviews)

|

(77 Publications)

Anti-KAT13D / CLOCK antibody (ab3517) is a rabbit polyclonal antibody detecting KAT13D / CLOCK in Western Blot, IP, IHC-P, IHC-Fr, ICC/IF, EM, ChIP. Suitable for Human, Mouse.

- Over 50 publications
- Trusted since 2003

別名を表示する

Circadian locomoter output cycles protein kaput, mCLOCK

8 Images
Western blot - Anti-KAT13D / CLOCK antibody (AB3517)
  • WB

Supplier Data

Western blot - Anti-KAT13D / CLOCK antibody (AB3517)

Electrophoresis performed on a 4-12% BisTris gel and proteins transferred onto a nitrocellulose membrane.

All lanes:

Western blot - Anti-KAT13D / CLOCK antibody (ab3517) at 1/2000 dilution

Lane 1:

Mouse skeletal muscle tissue at 30 µg

Lane 2:

Mouse liver tissue at 30 µg

Secondary

Lane 1:

Goat anti-Rabbit IgG (H+L) Superclonal™ Recombinant Secondary Antibody, HRP at 1/4000 dilution

Lane 2:

oat anti-Rabbit IgG (H+L) Superclonal™ Recombinant Secondary Antibody, HRP at 1/4000 dilution

Predicted band size: 95 kDa

true

Immunocytochemistry/ Immunofluorescence - Anti-KAT13D / CLOCK antibody (AB3517)
  • ICC/IF

Supplier Data

Immunocytochemistry/ Immunofluorescence - Anti-KAT13D / CLOCK antibody (AB3517)

Immunocytochemistry/immunofluorescence analysis of U251 cells labeling KAT13D/CLOCK (green) with ab3517 at 1/100. Cells were fixed with formalin and permeabilized with 0.1% Triton X-100 in TBS for 5-10 minutes and blcoked with £% BSA in PBS for 30 minutes at room temperature. Cells were incubated with the primary antibody overnight at 4°C. A DyLight-conjugated secondary antibody was used. F-actin (red) was stained with phalloidin and nuclei (blue) were stained with Hoechst or DAPI. 60X magnification. Left - negative control.

Immunohistochemistry (Formalin/PFA-fixed paraffin-embedded sections) - Anti-KAT13D / CLOCK antibody (AB3517)
  • IHC-P

Supplier Data

Immunohistochemistry (Formalin/PFA-fixed paraffin-embedded sections) - Anti-KAT13D / CLOCK antibody (AB3517)

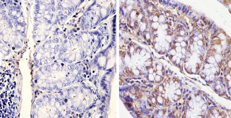
ab3517 labelling KAT13D in the nucleus and cytoplasm of Human colon tissue (right) compared with a negative control (left) by Immunohistochemistry (formalin/PFA-fixed paraffin-embedded sections). To expose target proteins, antigen retrieval method was performed using 10mM sodium citrate (pH 6.0) microwaved for 8-15 min. Following antigen retrieval, tissues were blocked in 3% H2O2-methanol for 15 min at room temperature. Thissue sections were incubated with the primary antibody (1 : 200 in 3% BSA-PBS) overnight at 4°C. A HRP-conjugated anti-rabbit IgG was used as the secondary antibody, followed by colorimetric detection using a DAB kit. Tissues were counterstained with hematoxylin and dehydrated with ethanol and xylene to prep for mounting.

Immunohistochemistry (Formalin/PFA-fixed paraffin-embedded sections) - Anti-KAT13D / CLOCK antibody (AB3517)
  • IHC-P

Supplier Data

Immunohistochemistry (Formalin/PFA-fixed paraffin-embedded sections) - Anti-KAT13D / CLOCK antibody (AB3517)

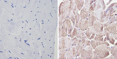
ab3517 labelling KAT13D in the nucleus and cytoplasm of Human skeletal muscle tissue (right) compared with a negative control (left) by Immunohistochemistry (formalin/PFA-fixed paraffin-embedded sections). To expose target proteins, antigen retrieval method was performed using 10mM sodium citrate (pH 6.0) microwaved for 8-15 min. Following antigen retrieval, tissues were blocked in 3% H2O2-methanol for 15 min at room temperature. Thissue sections were incubated with the primary antibody (1 : 200 in 3% BSA-PBS) overnight at 4°C. A HRP-conjugated anti-rabbit IgG was used as the secondary antibody, followed by colorimetric detection using a DAB kit. Tissues were counterstained with hematoxylin and dehydrated with ethanol and xylene to prep for mounting.

Immunohistochemistry (Formalin/PFA-fixed paraffin-embedded sections) - Anti-KAT13D / CLOCK antibody (AB3517)
  • IHC-P

Supplier Data

Immunohistochemistry (Formalin/PFA-fixed paraffin-embedded sections) - Anti-KAT13D / CLOCK antibody (AB3517)

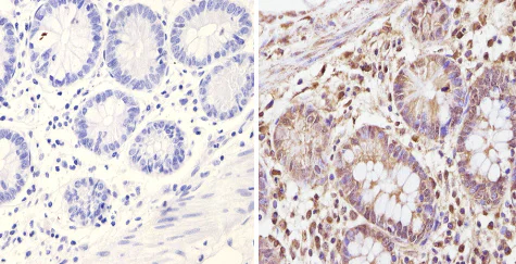
ab3517 labelling KAT13D in the nucleus and cytoplasm of Mouse colon tissue (right) compared with a negative control (left) by Immunohistochemistry (formalin/PFA-fixed paraffin-embedded sections). To expose target proteins, antigen retrieval method was performed using 10mM sodium citrate (pH 6.0) microwaved for 8-15 min. Following antigen retrieval, tissues were blocked in 3% H2O2-methanol for 15 min at room temperature. Thissue sections were incubated with the primary antibody (1 : 200 in 3% BSA-PBS) overnight at 4°C. A HRP-conjugated anti-rabbit IgG was used as the secondary antibody, followed by colorimetric detection using a DAB kit. Tissues were counterstained with hematoxylin and dehydrated with ethanol and xylene to prep for mounting.

Immunohistochemistry (Formalin/PFA-fixed paraffin-embedded sections) - Anti-KAT13D / CLOCK antibody (AB3517)
  • IHC-P

AbReview18129****

Immunohistochemistry (Formalin/PFA-fixed paraffin-embedded sections) - Anti-KAT13D / CLOCK antibody (AB3517)

ab3517 staining KAT13D/CLOCK in Mouse skeletal muscle tissue sections by IHC-P (Paraformaldehyde-fixed, paraffin-embedded tissue sections). Tissue was fixed with paraformaldehyde and blocked with 10% serum for 1 hour at 20°C; antigen retrieval was by heat mediation in citrate buffer pH6. Samples were incubated with primary antibody (1/400 in PBS) for 12 hours at 4°C. Undiluted ab64256 was used as the secondary antibody.

This image is courtesy of an anonymous Abreview

Western blot - Anti-KAT13D / CLOCK antibody (AB3517)
  • WB

Supplier Data

Western blot - Anti-KAT13D / CLOCK antibody (AB3517)

All lanes:

Western blot - Anti-KAT13D / CLOCK antibody (ab3517) at 1/4000 dilution

Lane 1:

HeLa cell lysate at 25 µg

Lane 2:

NIH-3T3 cell lysate at 25 µg

Predicted band size: 95 kDa

Observed band size: 100 kDa

false

Western blot - Anti-KAT13D / CLOCK antibody (AB3517)
  • WB

CiteAb

Western blot - Anti-KAT13D / CLOCK antibody (AB3517)

KAT13D / CLOCK western blot using anti-KAT13D / CLOCK antibody ab3517. Publication image and figure legend from Yao, Y., Ying, Y., et al., 2020, Front Physiol, PubMed 32390857.

ab3517 was used in this publication in western blot. This may not be the same as the application(s) guaranteed by Abcam. For a full list of applications guaranteed by Abcam for ab3517 please see the product overview.

A 40-Hz light flicker restores the expression levels of key players of central clock in the SCN of APP/PS1 mice. (A) mRNA expression of Bmal1, Clock, and Per2 in the SCN from control and APP/PSI mice with or without light exposure (n = 6). (B) Representative western blot showing protein expression levels of BMAL1, CLOCK, and PER2 of hypothalamus of mice with or without light exposure. Quantification was determined by five independent experiments. #p < 0.005, ##p < 0.01, ###p < 0.001 significantly different from the control group; *p < 0.005, ***p < 0.001, significantly different from the APP/PS1 group.

false

Key facts

宿主種

Rabbit

クローン性

Polyclonal

アイソタイプ

IgG

キャリアフリー

No

交差種

Mouse, Human

アプリケーション

ICC/IF, WB, EMSA, IHC-P, ChIP, IHC-Fr, Gel Shift Assay

applications

免疫原

Synthetic Peptide within Mouse Clock aa 1-50. The exact immunogen used to generate this antibody is proprietary information.

O08785

Reactivity data

{ "title": "Reactivity Data", "filters": { "stats": ["", "Species", "Dilution Info", "Notes"], "tabs": { "all-applications": {"fullname" : "All Applications", "shortname": "All Applications"}, "EMSA" : {"fullname" : "EMSA", "shortname":"EMSA"}, "ChIP" : {"fullname" : "ChIP", "shortname":"ChIP"}, "WB" : {"fullname" : "Western blot", "shortname":"WB"}, "IHCP" : {"fullname" : "Immunohistochemistry (Formalin/PFA-fixed paraffin-embedded sections)", "shortname":"IHC-P"}, "ICCIF" : {"fullname" : "Immunocytochemistry/ Immunofluorescence", "shortname":"ICC/IF"}, "IHCFr" : {"fullname" : "Immunohistochemistry (Frozen sections)", "shortname":"IHC-Fr"}, "GelShiftAssay" : {"fullname" : "Gel Shift Assay", "shortname":"Gel Shift Assay"} }, "product-promise": { "all": "all", "testedAndGuaranteed": "tested", "guaranteed": "expected", "predicted": "predicted", "notRecommended": "not-recommended" } }, "values": { "Human": { "EMSA-species-checked": "guaranteed", "EMSA-species-dilution-info": "", "EMSA-species-notes": "<p></p>", "ChIP-species-checked": "guaranteed", "ChIP-species-dilution-info": "", "ChIP-species-notes": "<p></p>", "WB-species-checked": "testedAndGuaranteed", "WB-species-dilution-info": "1/200 - 1/2000", "WB-species-notes": "<p></p>", "IHCP-species-checked": "testedAndGuaranteed", "IHCP-species-dilution-info": "1/100 - 1/1000", "IHCP-species-notes": "<p>Immunohistochemical staining of CLOCK in hamster brain results in the staining of the superchiasmatic nucleus.</p>", "ICCIF-species-checked": "testedAndGuaranteed", "ICCIF-species-dilution-info": "1/10 - 1/200", "ICCIF-species-notes": "<p></p>", "IHCFr-species-checked": "guaranteed", "IHCFr-species-dilution-info": "", "IHCFr-species-notes": "<p></p>", "GelShiftAssay-species-checked": "guaranteed", "GelShiftAssay-species-dilution-info": "", "GelShiftAssay-species-notes": "<p></p>" }, "Mouse": { "EMSA-species-checked": "guaranteed", "EMSA-species-dilution-info": "", "EMSA-species-notes": "<p></p>", "ChIP-species-checked": "guaranteed", "ChIP-species-dilution-info": "", "ChIP-species-notes": "<p></p>", "WB-species-checked": "testedAndGuaranteed", "WB-species-dilution-info": "1/200 - 1/2000", "WB-species-notes": "<p></p>", "IHCP-species-checked": "testedAndGuaranteed", "IHCP-species-dilution-info": "1/100 - 1/1000", "IHCP-species-notes": "<p>Immunohistochemical staining of CLOCK in hamster brain results in the staining of the superchiasmatic nucleus.</p>", "ICCIF-species-checked": "guaranteed", "ICCIF-species-dilution-info": "", "ICCIF-species-notes": "", "IHCFr-species-checked": "guaranteed", "IHCFr-species-dilution-info": "", "IHCFr-species-notes": "<p></p>", "GelShiftAssay-species-checked": "guaranteed", "GelShiftAssay-species-dilution-info": "", "GelShiftAssay-species-notes": "<p></p>" } } }

製品の詳細

What is this antibody validated in?
Anti-KAT13D / CLOCK antibody (ab3517) is a rabbit polyclonal antibody and is validated for use in Western Blot (WB), Immunoprecipitation (IP), Immunohistochemistry (IHC-P), Immunohistochemistry (IHC-Fr), Immunocytochemistry/immunofluorescence (ICC/IF), Electron microscopy (EM), ChIP in Human, Mouse samples.

What is the molecular weight of KAT13D / CLOCK?
Anti-KAT13D / CLOCK (ab3517) specifically detects a band for KAT13D / CLOCK (UniProt: O15516) at a molecular weight of 95kDa.

Trusted by the scientific community
Anti-KAT13D / CLOCK (ab3517) was first used in a scientific publication in 2003 and has been cited over 50 times in peer-reviewed journals.

Reviewed by scientists
Anti-KAT13D / CLOCK (ab3517) has over 5 independent reviews from customers.

出荷温度及び保存条件

製品の状態
Liquid
精製方法
Affinity purification Immunogen
バッファー組成
Preservative: 0.05% Sodium azide Constituents: PBS, 0.1% BSA
出荷温度
Blue Ice
短期保存期間
1-2 weeks
短期保存温度
+4°C
長期保存温度
-20°C
分注に関する情報
Upon delivery aliquot
保管に関する情報
Avoid freeze / thaw cycle

補足情報

This supplementary information is collated from multiple sources and compiled automatically.

KAT13D also known as CLOCK is a gene coding for a protein weighing approximately 97 kDa. The CLOCK protein mainly functions as a transcription factor with histone acetyltransferase activity hence its involvement in chromatin remodeling. This protein is highly expressed in the suprachiasmatic nucleus of the brain pancreas and heart. It regulates expression of genes through folding DNA and influencing transcriptional activity playing a significant role in maintaining circadian rhythms. Scientists often use phrases such as 'anti-CLOCK' 'anticlock' or 'anti-clock' when studying its mechanisms as these highlight the protein's regulatory role.
Biological function summary

The CLOCK protein acts as an important component of the circadian rhythm machinery. It forms a heterodimer complex with BMAL1 which activates transcription of other core clock genes. This process drives the rhythmic expression of various genes essential for physiological and behavioral rhythms. Through this function CLOCK influences the timing of many body systems such as sleep-wake cycles feeding and metabolism. By doing so it sets a steady rhythm to coordinate bodily processes with environmental light-dark cycles ensuring optimal biological activity during appropriate times of the day.

Pathways

The CLOCK protein plays an important role in the circadian signaling pathway where its function involves intricate feedback loops. It controls the oscillation of gene expression alongside other clock proteins like PER and CRY. This feedback mechanism is part of the circadian rhythm regulation pathway which directly influences processes such as hormone regulation and cell cycle progression. CLOCK’s relationship with BMAL1 PER and CRY in these pathways highlights its indispensable role in maintaining the synchronization of endogenous biological rhythms with external time cues.

Disruption of the CLOCK gene is associated with diseases such as sleep disorders and mood disorders. Alterations in CLOCK function can lead to irregular sleep patterns such as in the case of delayed sleep phase disorder owing to its role in the circadian timing system. Moreover irregular rhythms in CLOCK expression have been linked to mood disorders like bipolar disorder. The association between CLOCK dysfunction and these disorders highlights its importance alongside its interaction with proteins like CRY and PER in maintaining mental health stability.

製品プロトコール

For this product, it's our understanding that no specific protocols are required. You can visit:

ターゲットの情報

Transcriptional activator which forms a core component of the circadian clock. The circadian clock, an internal time-keeping system, regulates various physiological processes through the generation of approximately 24 hour circadian rhythms in gene expression, which are translated into rhythms in metabolism and behavior. It is derived from the Latin roots 'circa' (about) and 'diem' (day) and acts as an important regulator of a wide array of physiological functions including metabolism, sleep, body temperature, blood pressure, endocrine, immune, cardiovascular, and renal function. Consists of two major components : the central clock, residing in the suprachiasmatic nucleus (SCN) of the brain, and the peripheral clocks that are present in nearly every tissue and organ system. Both the central and peripheral clocks can be reset by environmental cues, also known as Zeitgebers (German for 'timegivers'). The predominant Zeitgeber for the central clock is light, which is sensed by retina and signals directly to the SCN. The central clock entrains the peripheral clocks through neuronal and hormonal signals, body temperature and feeding-related cues, aligning all clocks with the external light/dark cycle. Circadian rhythms allow an organism to achieve temporal homeostasis with its environment at the molecular level by regulating gene expression to create a peak of protein expression once every 24 hours to control when a particular physiological process is most active with respect to the solar day. Transcription and translation of core clock components (CLOCK, NPAS2, BMAL1, BMAL2, PER1, PER2, PER3, CRY1 and CRY2) plays a critical role in rhythm generation, whereas delays imposed by post-translational modifications (PTMs) are important for determining the period (tau) of the rhythms (tau refers to the period of a rhythm and is the length, in time, of one complete cycle). A diurnal rhythm is synchronized with the day/night cycle, while the ultradian and infradian rhythms have a period shorter and longer than 24 hours, respectively. Disruptions in the circadian rhythms contribute to the pathology of cardiovascular diseases, cancer, metabolic syndromes and aging. A transcription/translation feedback loop (TTFL) forms the core of the molecular circadian clock mechanism. Transcription factors, CLOCK or NPAS2 and BMAL1 or BMAL2, form the positive limb of the feedback loop, act in the form of a heterodimer and activate the transcription of core clock genes and clock-controlled genes (involved in key metabolic processes), harboring E-box elements (5'-CACGTG-3') within their promoters. The core clock genes : PER1/2/3 and CRY1/2 which are transcriptional repressors form the negative limb of the feedback loop and interact with the CLOCK|NPAS2-BMAL1|BMAL2 heterodimer inhibiting its activity and thereby negatively regulating their own expression. This heterodimer also activates nuclear receptors NR1D1/2 and RORA/B/G, which form a second feedback loop and which activate and repress BMAL1 transcription, respectively. Regulates the circadian expression of ICAM1, VCAM1, CCL2, THPO and MPL and also acts as an enhancer of the transactivation potential of NF-kappaB. Plays an important role in the homeostatic regulation of sleep. The CLOCK-BMAL1 heterodimer regulates the circadian expression of SERPINE1/PAI1, VWF, B3, CCRN4L/NOC, NAMPT, DBP, MYOD1, PPARGC1A, PPARGC1B, SIRT1, GYS2, F7, NGFR, GNRHR, BHLHE40/DEC1, ATF4, MTA1, KLF10 and also genes implicated in glucose and lipid metabolism. Promotes rhythmic chromatin opening, regulating the DNA accessibility of other transcription factors. May play a role in spermatogenesis; contributes to the chromatoid body assembly and physiology. The CLOCK-BMAL2 heterodimer activates the transcription of SERPINE1/PAI1 and BHLHE40/DEC1. The preferred binding motif for the CLOCK-BMAL1 heterodimer is 5'-CACGTGA-3', which contains a flanking adenine nucleotide at the 3-prime end of the canonical 6-nucleotide E-box sequence (By similarity). CLOCK specifically binds to the half-site 5'-CAC-3', while BMAL1 binds to the half-site 5'-GTGA-3' (By similarity). The CLOCK-BMAL1 heterodimer also recognizes the non-canonical E-box motifs 5'-AACGTGA-3' and 5'-CATGTGA-3'. CLOCK has an intrinsic acetyltransferase activity, which enables circadian chromatin remodeling by acetylating histones and nonhistone proteins, including its own partner BMAL1. Represses glucocorticoid receptor NR3C1/GR-induced transcriptional activity by reducing the association of NR3C1/GR to glucocorticoid response elements (GREs) via the acetylation of multiple lysine residues located in its hinge region. The acetyltransferase activity of CLOCK is as important as its transcription activity in circadian control. Acetylates metabolic enzymes IMPDH2 and NDUFA9 in a circadian manner (By similarity). Facilitated by BMAL1, rhythmically interacts and acetylates argininosuccinate synthase 1 (ASS1) leading to enzymatic inhibition of ASS1 as well as the circadian oscillation of arginine biosynthesis and subsequent ureagenesis (PubMed : 28985504). Drives the circadian rhythm of blood pressure through transcriptional activation of ATP1B1 (PubMed : 30012868).
See full target information Clock

文献 (77)

Recent publications for all applications. Explore the full list and refine your search

PLoS biology 23:e3003400 PubMed40997131

2025

O-GlcNAcylation of nuclear proteins in the mouse liver exhibit daily oscillations that are influenced by meal timing.

Applications

Unspecified application

Species

Unspecified reactive species

Xianhui Liu,Yao D Cai,Chunyan Hou,Xu Liu,Youcheng Luo,Aron Judd P Mendiola,Xuehan Xu,Yige Luo,Haiyan Zheng,Caifeng Zhao,Ching-Hsuan Chen,Yong Zhang,Yang K Xiang,Junfeng Ma,Joanna C Chiu

Histology and histopathology 40:1985-2009 PubMed40959856

2025

Differential expression of ferroptosis markers, circadian regulators, KLOTHO, and classical tumor suppressors in colorectal cancer according to tumor stage: Influence of age, anatomical location, and correlation patterns.

Applications

Unspecified application

Species

Unspecified reactive species

Miguel A Saez,Cielo Garcia-Montero,Oscar Fraile-Martinez,Ana M Minaya-Bravo,Diego Liviu Boaru,Diego De Leon-Oliva,Patricia De Castro-Martinez,Majd N Michael Alhaddadin,Silvestra Barrena-Blázquez,Laura Lopez-Gonzalez,Luis G Guijarro,Natalio Garcia-Honduvilla,Víctor Roberto Baena Romero,Carlos Daniel Padilla Ansala,Mar Royuela,María Del Val Toledo Lobo,Leonel Pekarek,Roberto Fernández-Baillo Gallego de la Sacristana,Mauricio Hernández-Fernández,Montserrat Chao Crecente,Melchor Alvarez-Mon,Raul Diaz-Pedrero,Miguel A Ortega

Journal of personalized medicine 15: PubMed40137423

2025

Dysregulation of Circadian Markers, HAT1 and Associated Epigenetic Proteins, and the Anti-Aging Protein KLOTHO in Placenta of Pregnant Women with Chronic Venous Disease.

Applications

Unspecified application

Species

Unspecified reactive species

Oscar Fraile-Martinez,Cielo García-Montero,Tatiana Pekarek,Julia Bujan,Silvestra Barrena-Blázquez,Eva Manuela Pena-Burgos,Laura López-González,Leonel Pekarek,Raul Díaz-Pedrero,Juan A De León-Luis,Coral Bravo,Melchor Álvarez-Mon,Miguel A Saez,Natalio García-Honduvilla,Miguel A Ortega

International journal of molecular sciences 25: PubMed39769319

2025

LncRNA-MSTRG.19083.1 Targets NTRK2 as a miR-429-y Sponge to Regulate Circadian Rhythm via the cAMP Pathway in Yak Testis and Cryptorchidism.

Applications

Unspecified application

Species

Unspecified reactive species

Tianan Li,Qiu Yan,Jinghong Nan,Xue Huang,Ruiqing Wang,Yong Zhang,Xingxu Zhao,Qi Wang

BMC biology 22:296 PubMed39710657

2024

Chronic sleep deprivation disturbs energy balance modulated by suprachiasmatic nucleus efferents in mice.

Applications

Unspecified application

Species

Unspecified reactive species

Tingting Du,Shuailing Liu,Honghong Yu,Tian Hu,Lina Huang,Lanyue Gao,Lihong Jia,Jiajin Hu,Yang Yu,Qi Sun

iScience 27:111179 PubMed39524327

2024

Core circadian transcription factor Bmal1 mediates β cell response and recovery from pro-inflammatory injury.

Applications

Unspecified application

Species

Unspecified reactive species

Kuntol Rakshit,Matthew R Brown,Naureen Javeed,Jeong-Heon Lee,Tamas Ordog,Aleksey V Matveyenko

Cell communication and signaling : CCS 22:375 PubMed39054537

2024

Olanzapine suppresses mPFC activity-norepinephrine releasing to alleviate CLOCK-enhanced cancer stemness under chronic stress.

Applications

Unspecified application

Species

Unspecified reactive species

Jinxin Lu,Xiaoyu Zhang,Keyu Su,Huandong Luo,Congcong Liu,Yuqing Yang,Bin He,Cenxin Wang,Zhuoran Zhao,Xianxian Liu,Xu Wang,Peixuan Meng,Dekang Lv,Chunli Wang,Keith W Kelley,Ling Wang,Bai Cui,Quentin Liu,Fei Peng

Diabetologia 67:2316-2328 PubMed38981930

2024

Molecular circadian clock disruption in the leukocytes of individuals with type 2 diabetes and overweight, and its relationship with leukocyte-endothelial interactions.

Applications

Unspecified application

Species

Unspecified reactive species

Clara Luna-Marco,Deédeni Devos,Julia Cacace,Meylin Fernandez-Reyes,Pedro Díaz-Pozo,Juan D Salazar,Eva Solá,Carlos Morillas,Milagros Rocha,Víctor M Víctor,Susana Rovira-Llopis

Nature communications 15:5537 PubMed38956413

2024

Environmental circadian disruption re-writes liver circadian proteomes.

Applications

Unspecified application

Species

Unspecified reactive species

Hao A Duong,Kenkichi Baba,Jason P DeBruyne,Alec J Davidson,Christopher Ehlen,Michael Powell,Gianluca Tosini

The world journal of men's health 42:797-809 PubMed38311375

2024

Uncovering the Penile Clock: Expression of Molecular Clock Proteins in Human Penile Cavernous Tissue.

Applications

Unspecified application

Species

Unspecified reactive species

Ilter Alkan,Begum Durkut,Melike Ucak,Muammer Bozkurt,Halil Lutfi Canat,Ciler Celik-Ozenci
View all publications

Abcam product promise

当社は、高品質な試薬を通じてお客様の研究を力強くサポートすることをお約束いたします。ご使用いただく各段階で、常にお客様をサポートできる体制を整えております。万が一、製品が期待通りに機能しない場合は、「Abcam Product Promise」による当社保証制度に基づき、安心してご利用いただけます。
保証に関する詳細については利用規約をご確認ください。

Please note: All products are 'FOR RESEARCH USE ONLY. NOT FOR USE IN DIAGNOSTIC OR THERAPEUTIC PROCEDURES'.

For licensing inquiries, please contact partnerships@abcam.com