JavaScript is disabled in your browser. Please enable JavaScript to view this website.
AB183825

Anti-Kappa Opioid Receptor 抗体 [EPR18881]

Anti-Kappa Opioid Receptor antibody [EPR18881]

Be the first to review this product! Submit a review

|

(11 Publications)

Rabbit Recombinant Monoclonal Kappa Opioid Receptor antibody. Suitable for IP, WB, IHC-P and reacts with Mouse, Rat samples. Cited in 11 publications.

別名を表示する

Kappa-type opioid receptor, K-OR-1, KOR-1, MSL-1, Oprk1

7 Images
Immunohistochemistry (Formalin/PFA-fixed paraffin-embedded sections) - Anti-Kappa Opioid Receptor antibody [EPR18881] (AB183825)
  • IHC-P

Supplier Data

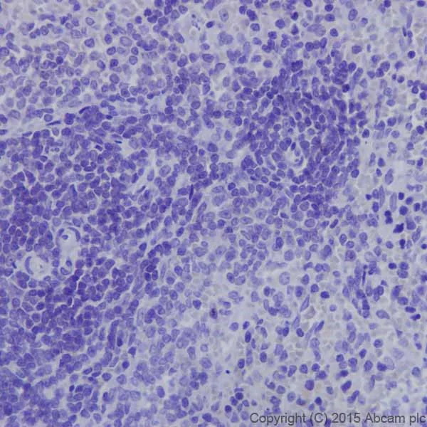
Immunohistochemistry (Formalin/PFA-fixed paraffin-embedded sections) - Anti-Kappa Opioid Receptor antibody [EPR18881] (AB183825)

Immunohistochemical analysis of paraffin-embedded Rat spleen tissue labeling Kappa Opioid Receptor with ab183825 at 1/100 dilution, followed by Goat Anti-Rabbit IgG H&L (HRP) (ab97051) at 1/500 dilution.

Negative staining on rat spleen.

Counter stained with Hematoxylin.

Perform heat mediated antigen retrieval with Tris/EDTA buffer pH 9.0 before commencing with IHC staining protocol.

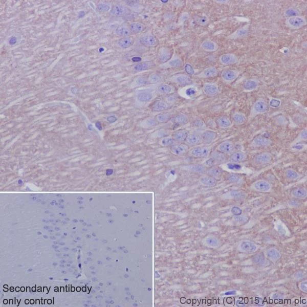
Immunohistochemistry (Formalin/PFA-fixed paraffin-embedded sections) - Anti-Kappa Opioid Receptor antibody [EPR18881] (AB183825)
  • IHC-P

Supplier Data

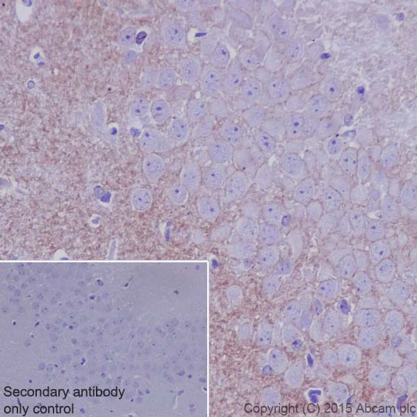
Immunohistochemistry (Formalin/PFA-fixed paraffin-embedded sections) - Anti-Kappa Opioid Receptor antibody [EPR18881] (AB183825)

Immunohistochemical analysis of paraffin-embedded Mouse hippocampus tissue labeling Kappa Opioid Receptor with ab183825 at 1/100 dilution, followed by Goat Anti-Rabbit IgG H&L (HRP) (ab97051) at 1/500 dilution.

Mainly membrane staining on neuron cell of mouse hippocampus is observed.

Counter stained with Hematoxylin.

Secondary antibody only control : Used PBS instead of primary antibody, secondary antibody is Goat Anti-Rabbit IgG H&L (HRP) (ab97051) at 1/500 dilution.

Perform heat mediated antigen retrieval with Tris/EDTA buffer pH 9.0 before commencing with IHC staining protocol.

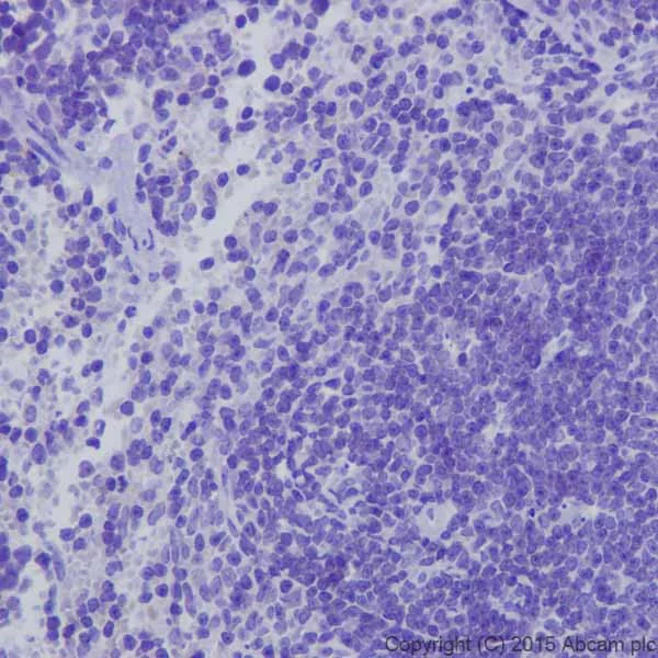
Immunohistochemistry (Formalin/PFA-fixed paraffin-embedded sections) - Anti-Kappa Opioid Receptor antibody [EPR18881] (AB183825)
  • IHC-P

Supplier Data

Immunohistochemistry (Formalin/PFA-fixed paraffin-embedded sections) - Anti-Kappa Opioid Receptor antibody [EPR18881] (AB183825)

Immunohistochemical analysis of paraffin-embedded Mouse spleen tissue labeling Kappa Opioid Receptor with ab183825 at 1/100 dilution, followed by Goat Anti-Rabbit IgG H&L (HRP) (ab97051) at 1/500 dilution.

Negative staining on mouse spleen.

Counter stained with Hematoxylin.

Perform heat mediated antigen retrieval with Tris/EDTA buffer pH 9.0 before commencing with IHC staining protocol.

Immunohistochemistry (Formalin/PFA-fixed paraffin-embedded sections) - Anti-Kappa Opioid Receptor antibody [EPR18881] (AB183825)
  • IHC-P

Supplier Data

Immunohistochemistry (Formalin/PFA-fixed paraffin-embedded sections) - Anti-Kappa Opioid Receptor antibody [EPR18881] (AB183825)

Immunohistochemical analysis of paraffin-embedded Rat hippocampus tissue labeling Kappa Opioid Receptor with ab183825 at 1/100 dilution, followed by Goat Anti-Rabbit IgG H&L (HRP) (ab97051) at 1/500 dilution.

Mainly membrane staining on neuron cells of rat hippocampus is observed.

Counter stained with Hematoxylin.

Secondary antibody only control : Used PBS instead of primary antibody, secondary antibody is Goat Anti-Rabbit IgG H&L (HRP) (ab97051) at 1/500 dilution.

Perform heat mediated antigen retrieval with Tris/EDTA buffer pH 9.0 before commencing with IHC staining protocol.

Immunoprecipitation - Anti-Kappa Opioid Receptor antibody [EPR18881] (AB183825)
  • IP

Supplier Data

Immunoprecipitation - Anti-Kappa Opioid Receptor antibody [EPR18881] (AB183825)

Kappa Opioid Receptor was immunoprecipitated from 1mg of Mouse brain whole cell lysate with ab183825 at 1/100 dilution.

Western blot was performed from the immunoprecipitate using ab183825 at 1/1000 dilution.

VeriBlot for IP Detection Reagent (HRP) (ab131366), was used for detection at 1/1000 dilution.

Lane 1 : Mouse brain whole cell lysate 10μg (Input).

Lane 2 : ab183825 IP in Mouse brain whole cell lysate.

Lane 3 : Rabbit monoclonal IgG (ab172730) instead of ab183825 in Mouse brain whole cell lysate.

Blocking and dilution buffer and concentration : 5% NFDM/TBST.

Exposure time : 5 seconds.

All lanes:

Immunoprecipitation - Anti-Kappa Opioid Receptor antibody [EPR18881] (ab183825)

Predicted band size: 42 kDa

false

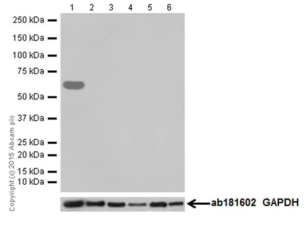
Western blot - Anti-Kappa Opioid Receptor antibody [EPR18881] (AB183825)
  • WB

Supplier Data

Western blot - Anti-Kappa Opioid Receptor antibody [EPR18881] (AB183825)

Blocking/Dilution buffer : 5% NFDM/TBST.

The molecular weight observed is consistent with what has been described in the literature (PMID : 20574683).

All lanes:

Western blot - Anti-Kappa Opioid Receptor antibody [EPR18881] (ab183825) at 1/1000 dilution

Lane 1:

Rat brain lysate at 10 µg

Lane 2:

Rat heart lysate at 10 µg

Lane 3:

Rat kidney lysate at 10 µg

Lane 4:

Rat spleen lysate at 10 µg

Lane 5:

C6 (Rat glial tumor cells) whole cell lysate at 10 µg

Lane 6:

PC-12 (Rat adrenal gland pheochromocytoma) whole cell lysate at 10 µg

Secondary

All lanes:

Western blot - Goat Anti-Rabbit IgG H&L (HRP) (<a href='/products/secondary-antibodies/goat-rabbit-igg-h-l-hrp-ab97051'>ab97051</a>) at 1/100000 dilution

Predicted band size: 42 kDa

Observed band size: 58 kDa

false

Exposure time: 30s

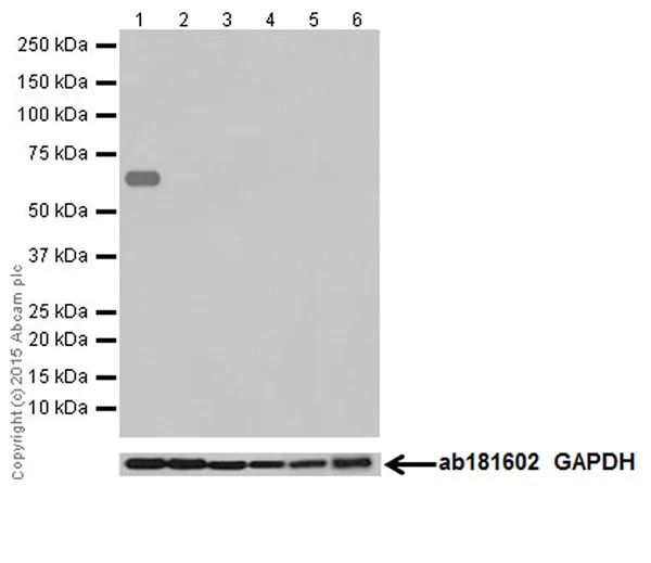
Western blot - Anti-Kappa Opioid Receptor antibody [EPR18881] (AB183825)
  • WB

Unknown

Western blot - Anti-Kappa Opioid Receptor antibody [EPR18881] (AB183825)

Blocking/Dilution buffer : 5% NFDM/TBST.

The molecular weight observed is consistent with what has been described in the literature (PMID : 20574683).

All lanes:

Western blot - Anti-Kappa Opioid Receptor antibody [EPR18881] (ab183825) at 1/1000 dilution

Lane 1:

Mouse brain lysate at 10 µg

Lane 2:

Mouse heart lysate at 10 µg

Lane 3:

Mouse kidney lysate at 10 µg

Lane 4:

Mouse spleen lysate at 10 µg

Lane 5:

NIH/3T3 (Mouse embyro fibroblast cells) whole cell lysate at 10 µg

Lane 6:

Neuro-2a (Mouse neuroblastoma cells) whole cell lysate at 10 µg

Secondary

All lanes:

Western blot - Goat Anti-Rabbit IgG H&L (HRP) (<a href='/products/secondary-antibodies/goat-rabbit-igg-h-l-hrp-ab97051'>ab97051</a>) at 1/100000 dilution

Predicted band size: 42 kDa

Observed band size: 58 kDa

false

Exposure time: 3min

関連する標識済み抗体及び組成の異なる製品 (8)

  • Carrier free

    Anti-Kappa Opioid Receptor antibody [EPR18881] - BSA and Azide free

  • 665 Alexa Fluor® 647

    Alexa Fluor® 647 Anti-Kappa Opioid Receptor antibody [EPR18881]

  • 617 Alexa Fluor® 594

    Alexa Fluor® 594 Anti-Kappa Opioid Receptor antibody [EPR18881]

  • 565 Alexa Fluor® 555

    Alexa Fluor® 555 Anti-Kappa Opioid Receptor antibody [EPR18881]

  • 519 Alexa Fluor® 488

    Alexa Fluor® 488 Anti-Kappa Opioid Receptor antibody [EPR18881]

  • 660 APC

    APC Anti-Kappa Opioid Receptor antibody [EPR18881]

  • 578 PE

    PE Anti-Kappa Opioid Receptor antibody [EPR18881]

  • 775 Alexa Fluor® 750

    Alexa Fluor® 750 Anti-Kappa Opioid Receptor antibody [EPR18881]

Key facts

宿主種

Rabbit

クローン性

Monoclonal

クローン番号

EPR18881

アイソタイプ

IgG

キャリアフリー

No

交差種

Mouse, Rat

アプリケーション

IHC-P, WB, IP

applications

免疫原

The exact immunogen used to generate this antibody is proprietary information.

Reactivity data

{ "title": "Reactivity Data", "filters": { "stats": ["", "Species", "Dilution Info", "Notes"], "tabs": { "all-applications": {"fullname" : "All Applications", "shortname": "All Applications"}, "IP" : {"fullname" : "Immunoprecipitation", "shortname":"IP"}, "WB" : {"fullname" : "Western blot", "shortname":"WB"}, "IHCP" : {"fullname" : "Immunohistochemistry (Formalin/PFA-fixed paraffin-embedded sections)", "shortname":"IHC-P"} }, "product-promise": { "all": "all", "testedAndGuaranteed": "tested", "guaranteed": "expected", "predicted": "predicted", "notRecommended": "not-recommended" } }, "values": { "Mouse": { "IP-species-checked": "testedAndGuaranteed", "IP-species-dilution-info": "1/50", "IP-species-notes": "<p></p>", "WB-species-checked": "testedAndGuaranteed", "WB-species-dilution-info": "1/1000", "WB-species-notes": "<p></p>", "IHCP-species-checked": "testedAndGuaranteed", "IHCP-species-dilution-info": "1/100", "IHCP-species-notes": "<p></p>" }, "Rat": { "IP-species-checked": "guaranteed", "IP-species-dilution-info": "", "IP-species-notes": "", "WB-species-checked": "testedAndGuaranteed", "WB-species-dilution-info": "1/1000", "WB-species-notes": "<p></p>", "IHCP-species-checked": "testedAndGuaranteed", "IHCP-species-dilution-info": "1/100", "IHCP-species-notes": "<p></p>" } } }

製品の詳細

Patented technology
Our RabMAb® technology is a patented hybridoma-based technology for making rabbit monoclonal antibodies. For details on our patents, please refer to RabMAb® patents.

What are the advantages of a recombinant monoclonal antibody?
This product is a recombinant monoclonal antibody, which offers several advantages including:

  • - High batch-to-batch consistency and reproducibility
  • - Improved sensitivity and specificity
  • - Long-term security of supply
  • - Animal-free batch production

For more information, read more on recombinant antibodies.

出荷温度及び保存条件

製品の状態
Liquid
精製方法
Affinity purification Protein A
バッファー組成
pH: 7.2 Preservative: 0.01% Sodium azide Constituents: PBS, 40% Glycerol (glycerin, glycerine), 0.05% BSA
出荷温度
Blue Ice
短期保存期間
1-2 weeks
短期保存温度
+4°C
長期保存温度
-20°C
分注に関する情報
Upon delivery aliquot
保管に関する情報
Avoid freeze / thaw cycle

補足情報

This supplementary information is collated from multiple sources and compiled automatically.

The Kappa Opioid Receptor also known as KOR or kappa receptors is a type of opioid receptor that plays an important role in the nervous system. It is a protein with an approximate mass of 43 kDa. This receptor mainly expresses in the human brain especially in regions involved in pain and stress responses such as the hypothalamus and thalamus. Kappa receptors are involved in modulating neurotransmitter release and can affect synaptic transmission.
Biological function summary

Kappa opioid receptors mediate pain perception mood regulation and stress response. They form part of a larger receptor family the G-protein coupled receptors (GPCRs) which are critical in cellular signaling. Activation of these receptors can produce analgesic effects differing from other opioid receptors due to their unique mechanism of action. Kappa receptors interact with endogenous ligands called dynorphins which are peptide neurotransmitters involved in natural pain relief processes.

Pathways

Kappa opioid receptors are integral to the dopaminergic and serotonergic pathways. In the dopaminergic pathway kappa receptors reduce dopamine release influencing the reward system and potentially affecting addiction behaviors. In the serotonergic pathway they modulate serotonin levels connecting to mood and anxiety regulation. These pathways also involve proteins like the mu-opioid receptor and delta-opioid receptor which along with kappa receptors form a complex regulatory network.

Kappa opioid receptors have been linked to depression and drug addiction. In depression dysfunctional kappa receptor activity may disrupt mood regulation contributing to depressive symptoms. The associated protein dynorphin plays a role in this condition by interacting with kappa receptors. In drug addiction these receptors influence the brain's reward circuits impacting addiction severity through altered dopamine signaling. Understanding kappa receptors can offer insights into new therapeutic approaches for these conditions.

製品プロトコール

For this product, it's our understanding that no specific protocols are required. You can visit:

ターゲットの情報

G-protein coupled opioid receptor that functions as a receptor for endogenous alpha-neoendorphins and dynorphins, but has low affinity for beta-endorphins. Also functions as a receptor for various synthetic opioids and for the psychoactive diterpene salvinorin A. Ligand binding causes a conformation change that triggers signaling via guanine nucleotide-binding proteins (G proteins) and modulates the activity of down-stream effectors, such as adenylate cyclase. Signaling leads to the inhibition of adenylate cyclase activity. Inhibits neurotransmitter release by reducing calcium ion currents and increasing potassium ion conductance. Plays a role in the perception of pain. Plays a role in mediating reduced physical activity upon treatment with synthetic opioids. Plays a role in the regulation of salivation in response to synthetic opioids. May play a role in arousal and regulation of autonomic and neuroendocrine functions.
See full target information Oprk1

文献 (11)

Recent publications for all applications. Explore the full list and refine your search

Evidence-based complementary and alternative medicine : eCAM 2023:6058951 PubMed37790739

2023

Angelica Yinzi Alleviates Pruritus-Related Atopic Dermatitis through Skin Repair, Antioxidation, and Balancing Peripheral - and -opioid Receptors.

Applications

Unspecified application

Species

Unspecified reactive species

Wei Liu,Yang Luo,Wanci Song,Hanxiong Dan,Li Li,Daonian Zhou,Pengtao You

The Journal of clinical investigation 133: PubMed37561576

2023

Nucleus accumbens D1/D2 circuits control opioid withdrawal symptoms in mice.

Applications

Unspecified application

Species

Unspecified reactive species

Yongsheng Zhu,Kejia Wang,Tengfei Ma,Yuanyuan Ji,Yin Lou,Xiaoyu Fu,Ye Lu,Yige Liu,Wei Dang,Qian Zhang,Fangyuan Yin,Kena Wang,Bing Yu,Hongbo Zhang,Jianghua Lai,Yunpeng Wang

Current research in neurobiology 5:100107 PubMed38020805

2023

Δ9-Tetrahydrocannabinol does not upregulate an aversive dopamine receptor mechanism in adolescent brain unlike in adults.

Applications

Unspecified application

Species

Unspecified reactive species

Marie-Eve Di Raddo,Marija Milenkovic,Meenalochani Sivasubramanian,Ahmed Hasbi,Jack Bergman,Sarah Withey,Bertha K Madras,Susan R George

iScience 26:107536 PubMed37636073

2023

Kappa opioid receptor in nucleus accumbens regulates depressive-like behaviors following prolonged morphine withdrawal in mice.

Applications

Unspecified application

Species

Unspecified reactive species

Jinyu Zhang,Ye Lu,Min Jia,Yuying Bai,Lulu Sun,Ziqing Dong,Wenrong Tian,Fangyuan Yin,Shuguang Wei,Yunpeng Wang

BMC neuroscience 23:58 PubMed36217122

2022

Morphine-induced changes in the function of microglia and macrophages after acute spinal cord injury.

Applications

Unspecified application

Species

Unspecified reactive species

Mabel N Terminel,Carla Bassil,Josephina Rau,Amanda Trevino,Cristina Ruiz,Robert Alaniz,Michelle A Hook

Frontiers in cellular neuroscience 16:894886 PubMed35726232

2022

The Basolateral Amygdala to Ventral Hippocampus Circuit Controls Anxiety-Like Behaviors Induced by Morphine Withdrawal.

Applications

Unspecified application

Species

Unspecified reactive species

Cuola Deji,Peng Yan,Yuanyuan Ji,Xinyue Yan,Yue Feng,Jincen Liu,Yige Liu,Shuguang Wei,Yongsheng Zhu,Jianghua Lai

Journal of neuroimmune pharmacology : the official journal of the Society on NeuroImmune Pharmacology 17:350-366 PubMed34596819

2021

Intranasal Salvinorin A Improves Long-term Neurological Function via Immunomodulation in a Mouse Ischemic Stroke Model.

Applications

Unspecified application

Species

Unspecified reactive species

Dilidaer Misilimu,Wei Li,Di Chen,Pengju Wei,Yichen Huang,Sicheng Li,John Grothusen,Yanqin Gao

Theranostics 11:2822-2844 PubMed33456575

2021

Roles of CatSper channels in the pathogenesis of asthenozoospermia and the therapeutic effects of acupuncture-like treatment on asthenozoospermia.

Applications

Unspecified application

Species

Unspecified reactive species

Zi-Run Jin,Dong Fang,Bo-Heng Liu,Jie Cai,Wen-Hao Tang,Hui Jiang,Guo-Gang Xing

Frontiers in neuroscience 13:1392 PubMed31998063

2020

Escalated Oxycodone Self-Administration and Punishment: Differential Expression of Opioid Receptors and Immediate Early Genes in the Rat Dorsal Striatum and Prefrontal Cortex.

Applications

Unspecified application

Species

Unspecified reactive species

Christopher A Blackwood,Michael T McCoy,Bruce Ladenheim,Jean Lud Cadet

International immunopharmacology 73:23-40 PubMed31078923

2019

Methionine enkephalin (MENK) regulates the immune pathogenesis of type 2 diabetes mellitus via the IL-33/ST2 pathway.

Applications

Unspecified application

Species

Unspecified reactive species

Keying Zhang,Jing Yang,Na Ao,Shi Jin,Ruiqun Qi,Fengping Shan,Jian Du
View all publications

Abcam product promise

当社は、高品質な試薬を通じてお客様の研究を力強くサポートすることをお約束いたします。ご使用いただく各段階で、常にお客様をサポートできる体制を整えております。万が一、製品が期待通りに機能しない場合は、「Abcam Product Promise」による当社保証制度に基づき、安心してご利用いただけます。
保証に関する詳細については利用規約をご確認ください。

Please note: All products are 'FOR RESEARCH USE ONLY. NOT FOR USE IN DIAGNOSTIC OR THERAPEUTIC PROCEDURES'.

For licensing inquiries, please contact partnerships@abcam.com