JavaScript is disabled in your browser. Please enable JavaScript to view this website.
AB109287

Anti-KAP1 抗体 [EPR5216]

Anti-KAP1 antibody [EPR5216]

5

(4 Reviews)

|

(3 Publications)

Rabbit Recombinant Monoclonal KAP1 antibody. Suitable for IHC-P, WB, ICC/IF and reacts with Human, Mouse, Rat samples. Cited in 3 publications.

別名を表示する

KAP1, RNF96, TIF1B, TRIM28, Transcription intermediary factor 1-beta, TIF1-beta, E3 SUMO-protein ligase TRIM28, KRAB-associated protein 1, KRAB-interacting protein 1, Nuclear corepressor KAP-1, RING finger protein 96, RING-type E3 ubiquitin transferase TIF1-beta, Tripartite motif-containing protein 28, KAP-1, KRIP-1

5 Images
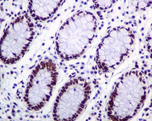
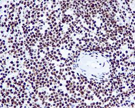
Immunohistochemistry (Formalin/PFA-fixed paraffin-embedded sections) - Anti-KAP1 antibody [EPR5216] (AB109287)
  • IHC-P

Unknown

Immunohistochemistry (Formalin/PFA-fixed paraffin-embedded sections) - Anti-KAP1 antibody [EPR5216] (AB109287)

Immunohistochemical analysis of paraffin-embedded Human colon tissue using 1/250 ab109287.

Perform heat mediated antigen retrieval before commencing with IHC staining protocol.

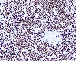
Immunocytochemistry/ Immunofluorescence - Anti-KAP1 antibody [EPR5216] (AB109287)
  • ICC/IF

Unknown

Immunocytochemistry/ Immunofluorescence - Anti-KAP1 antibody [EPR5216] (AB109287)

Immunofluorescent staining of HeLa cells using 1/100 ab109287.

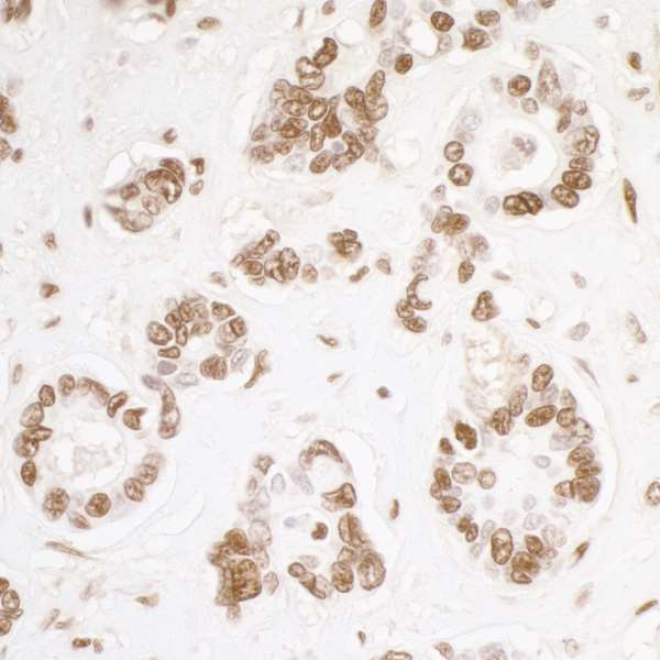
Immunohistochemistry (Formalin/PFA-fixed paraffin-embedded sections) - Anti-KAP1 antibody [EPR5216] (AB109287)
  • IHC-P

Unknown

Immunohistochemistry (Formalin/PFA-fixed paraffin-embedded sections) - Anti-KAP1 antibody [EPR5216] (AB109287)

Immunohistochemical analysis of paraffin-embedded Human breast carcinoma tissue using 1/250 ab109287.

Perform heat mediated antigen retrieval before commencing with IHC staining protocol.

Western blot - Anti-KAP1 antibody [EPR5216] (AB109287)
  • WB

Unknown

Western blot - Anti-KAP1 antibody [EPR5216] (AB109287)

All lanes:

Western blot - Anti-KAP1 antibody [EPR5216] (ab109287) at 1/10000 dilution

Lane 1:

HeLa cell lysate at 10 µg

Lane 2:

A431 cell lysate at 10 µg

Lane 3:

PC-3 cell lysate at 10 µg

Lane 4:

MCF-7 cell lysate at 10 µg

Predicted band size: 88 kDa

false

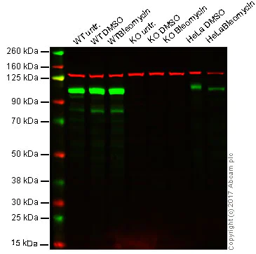
Western blot - Anti-KAP1 antibody [EPR5216] (AB109287)
  • WB

Lab

Western blot - Anti-KAP1 antibody [EPR5216] (AB109287)

Lane 1 : Wild type HAP1 whole cell lysate (20 μg)
Lane 2 : Wild type HAP1 + DMSO whole cell lysate (20 μg)
Lane 3 : Wild type HAP1 + Blaomycin whole cell lysate (20 μg)
Lane 4 : TRIM28 knockout HAP1 whole cell lysate (20 μg)
Lane 5 : TRIM28 knockout HAP1 + DMSO whole cell lysate (20 μg)
Lane 6 : TRIM28 knockout HAP1 + Blaomycin whole cell lysate (20 μg)
Lane 7 : HeLa + DMSO whole cell lysate (20 μg)
Lane 8 : HeLa + Blaomycin whole cell lysate (20 μg)

Lanes 1 - 8 : Merged signal (red and green). Green - ab109287 observed at 110 kDa. Red - loading control, ab8245, observed at 37 kDa.

ab109287 was shown to specifically react with KAP1 in wild type cells as signal was lost in KAP1 knockout cells. Wild-type and KAP1 knockout samples were subjected to SDS-PAGE. ab109287 and ab8245 (Mouse anti-GAPDH loading control) were incubated overnight at 4°C at 1/10000 dilution and 1/20000 dilution respectively. Blots were developed with Goat anti-Rabbit IgG H&L (IRDye® 800CW) preabsorbed ab216773 and Goat anti-Mouse IgG H&L (IRDye® 680RD) preabsorbed ab216776 secondary antibodies at 1/20000 dilution for 1 hour at room temperature before imaging.

All lanes:

Western blot - Anti-KAP1 antibody [EPR5216] (ab109287)

Predicted band size: 88 kDa

false

関連する標識済み抗体及び組成の異なる製品 (3)

Key facts

宿主種

Rabbit

クローン性

Monoclonal

クローン番号

EPR5216

アイソタイプ

IgG

キャリアフリー

No

交差種

Mouse, Human

アプリケーション

ICC/IF, WB, IHC-P

applications

免疫原

The exact immunogen used to generate this antibody is proprietary information.

Reactivity data

{ "title": "Reactivity Data", "filters": { "stats": ["", "Species", "Dilution Info", "Notes"], "tabs": { "all-applications": {"fullname" : "All Applications", "shortname": "All Applications"}, "IHCP" : {"fullname" : "Immunohistochemistry (Formalin/PFA-fixed paraffin-embedded sections)", "shortname":"IHC-P"}, "IP" : {"fullname" : "Immunoprecipitation", "shortname":"IP"}, "WB" : {"fullname" : "Western blot", "shortname":"WB"}, "ICCIF" : {"fullname" : "Immunocytochemistry/ Immunofluorescence", "shortname":"ICC/IF"} }, "product-promise": { "all": "all", "testedAndGuaranteed": "tested", "guaranteed": "expected", "predicted": "predicted", "notRecommended": "not-recommended" } }, "values": { "Human": { "IHCP-species-checked": "testedAndGuaranteed", "IHCP-species-dilution-info": "1/250 - 1/500", "IHCP-species-notes": "<p>Heat up to 98 degrees C, below boiling, and then let cool for 10-20 min.</p>", "IP-species-checked": "notRecommended", "IP-species-dilution-info": "", "IP-species-notes": "<p></p>", "WB-species-checked": "testedAndGuaranteed", "WB-species-dilution-info": "1/10000 - 1/50000", "WB-species-notes": "<p></p>", "ICCIF-species-checked": "testedAndGuaranteed", "ICCIF-species-dilution-info": "1/100 - 1/250", "ICCIF-species-notes": "<p></p>" }, "Mouse": { "IHCP-species-checked": "guaranteed", "IHCP-species-dilution-info": "1/250 - 1/500", "IHCP-species-notes": "<p>Heat up to 98 degrees C, below boiling, and then let cool for 10-20 min.</p>", "IP-species-checked": "notRecommended", "IP-species-dilution-info": "", "IP-species-notes": "<p></p>", "WB-species-checked": "guaranteed", "WB-species-dilution-info": "1/10000 - 1/50000", "WB-species-notes": "<p></p>", "ICCIF-species-checked": "guaranteed", "ICCIF-species-dilution-info": "1/100 - 1/250", "ICCIF-species-notes": "<p></p>" }, "Rat": { "IHCP-species-checked": "guaranteed", "IHCP-species-dilution-info": "1/250 - 1/500", "IHCP-species-notes": "<p>Heat up to 98 degrees C, below boiling, and then let cool for 10-20 min.</p>", "IP-species-checked": "notRecommended", "IP-species-dilution-info": "", "IP-species-notes": "<p></p>", "WB-species-checked": "guaranteed", "WB-species-dilution-info": "1/10000 - 1/50000", "WB-species-notes": "<p></p>", "ICCIF-species-checked": "guaranteed", "ICCIF-species-dilution-info": "1/100 - 1/250", "ICCIF-species-notes": "<p></p>" } } }

製品の詳細

Patented technology
Our RabMAb® technology is a patented hybridoma-based technology for making rabbit monoclonal antibodies. For details on our patents, please refer to RabMAb® patents.

What are the advantages of a recombinant monoclonal antibody?
This product is a recombinant monoclonal antibody, which offers several advantages including:

  • - High batch-to-batch consistency and reproducibility
  • - Improved sensitivity and specificity
  • - Long-term security of supply
  • - Animal-free batch production

For more information, read more on recombinant antibodies.

出荷温度及び保存条件

製品の状態
Liquid
精製方法
Affinity purification Protein A
バッファー組成
pH: 7.2 - 7.4 Preservative: 0.05% Sodium azide Constituents: 50% Tissue culture supernatant, 40% Glycerol (glycerin, glycerine), 9.85% Tris glycine, 0.1% BSA
出荷温度
Blue Ice
短期保存温度
+4°C
長期保存温度
-20°C
保管に関する情報
Stable for 12 months at -20°C

補足情報

This supplementary information is collated from multiple sources and compiled automatically.

KAP1 also known as TRIM28 or TIF1β is a multifunctional protein involved in transcriptional regulation. It has a molecular weight of approximately 87 kDa. This protein is expressed in a wide variety of human tissues where it plays a role as a co-repressor for KRAB domain-containing zinc finger proteins. KAP1 recruits various epigenetic modifiers to silence transcription and this activity depends on its phosphorylation status. You might explore KAP1 using KAP1 ELISA kits and study its post-translational modifications like phosphorylation in various conditions.
Biological function summary

KAP1 acts as a scaffold protein facilitating the assembly of large protein complexes that include chromatin remodelers and histone deacetylases. It is significant in maintaining chromatin structure and mediating gene silencing. KAP1 phosphorylation serves as a switch between its roles in transcriptional repression and activation. This protein also interacts with heterochromatin protein 1 (HP1) and other TRIM family proteins playing an important role in genomic stability by controlling gene expression and repair mechanisms.

Pathways

KAP1 participates actively in p53 and DNA damage response pathways. In the p53 pathway KAP1 regulates genes involved in the cell cycle and apoptosis acting in conjunction with the p53 protein. Within the DNA damage response KAP1 modulates the repair of double-strand breaks by interacting with proteins like ATM kinase influencing cellular sensitivity to genotoxic stress. These pathways highlight its importance in maintaining cellular homeostasis and response to external stimuli.

KAP1 has known connections with cancer and neurological disorders due to its regulatory effects on gene expression and genome stability. In cancer aberrant KAP1 activity can lead to unregulated cell proliferation and survival often involving changes in its interaction with the p53 protein. In neurological disorders dysregulation of KAP1 is associated with impaired neural development and neurodegeneration. Altogether these associations highlight KAP1 as a potential target for therapeutic interventions in related diseases.

製品プロトコール

For this product, it's our understanding that no specific protocols are required. You can visit:

ターゲットの情報

Nuclear corepressor for KRAB domain-containing zinc finger proteins (KRAB-ZFPs). Mediates gene silencing by recruiting CHD3, a subunit of the nucleosome remodeling and deacetylation (NuRD) complex, and SETDB1 (which specifically methylates histone H3 at 'Lys-9' (H3K9me)) to the promoter regions of KRAB target genes. Enhances transcriptional repression by coordinating the increase in H3K9me, the decrease in histone H3 'Lys-9 and 'Lys-14' acetylation (H3K9ac and H3K14ac, respectively) and the disposition of HP1 proteins to silence gene expression. Recruitment of SETDB1 induces heterochromatinization. May play a role as a coactivator for CEBPB and NR3C1 in the transcriptional activation of ORM1. Also a corepressor for ERBB4. Inhibits E2F1 activity by stimulating E2F1-HDAC1 complex formation and inhibiting E2F1 acetylation. May serve as a partial backup to prevent E2F1-mediated apoptosis in the absence of RB1. Important regulator of CDKN1A/p21(CIP1). Has E3 SUMO-protein ligase activity toward itself via its PHD-type zinc finger. Also specifically sumoylates IRF7, thereby inhibiting its transactivation activity. Ubiquitinates p53/TP53 leading to its proteasomal degradation; the function is enhanced by MAGEC2 and MAGEA2, and possibly MAGEA3 and MAGEA6. Mediates the nuclear localization of KOX1, ZNF268 and ZNF300 transcription factors. In association with isoform 2 of ZFP90, is required for the transcriptional repressor activity of FOXP3 and the suppressive function of regulatory T-cells (Treg) (PubMed : 23543754). Probably forms a corepressor complex required for activated KRAS-mediated promoter hypermethylation and transcriptional silencing of tumor suppressor genes (TSGs) or other tumor-related genes in colorectal cancer (CRC) cells (PubMed : 24623306). Required to maintain a transcriptionally repressive state of genes in undifferentiated embryonic stem cells (ESCs) (PubMed : 24623306). In ESCs, in collaboration with SETDB1, is also required for H3K9me3 and silencing of endogenous and introduced retroviruses in a DNA-methylation independent-pathway (By similarity). Associates at promoter regions of tumor suppressor genes (TSGs) leading to their gene silencing (PubMed : 24623306). The SETDB1-TRIM28-ZNF274 complex may play a role in recruiting ATRX to the 3'-exons of zinc-finger coding genes with atypical chromatin signatures to establish or maintain/protect H3K9me3 at these transcriptionally active regions (PubMed : 27029610).. (Microbial infection) Plays a critical role in the shutdown of lytic gene expression during the early stage of herpes virus 8 primary infection. This inhibition is mediated through interaction with herpes virus 8 protein LANA1.
See full target information TRIM28

文献 (3)

Recent publications for all applications. Explore the full list and refine your search

Nature cancer 4:181-202 PubMed36732634

2023

Integrative multi-omics networks identify PKCδ and DNA-PK as master kinases of glioblastoma subtypes and guide targeted cancer therapy.

Applications

Unspecified application

Species

Unspecified reactive species

Simona Migliozzi,Young Taek Oh,Mohammad Hasanain,Luciano Garofano,Fulvio D'Angelo,Ryan D Najac,Alberto Picca,Franck Bielle,Anna Luisa Di Stefano,Julie Lerond,Jann N Sarkaria,Michele Ceccarelli,Marc Sanson,Anna Lasorella,Antonio Iavarone

Antioxidants (Basel, Switzerland) 11: PubMed36421463

2022

Irregular Expression of Cellular Stress Response Markers in the Placenta of Women with Chronic Venous Disease.

Applications

Unspecified application

Species

Unspecified reactive species

Cielo García-Montero,Oscar Fraile-Martinez,Sonia Rodriguez-Martín,Rosa M Funes Moñux,Jose V Saz,Coral Bravo,Juan A De Leon-Luis,María Ruiz-Minaya,Leonel Pekarek,Miguel A Saez,Alberto García-Lledo,Melchor Alvarez-Mon,Julia Bujan,Natalio García-Honduvilla,Miguel A Ortega

ChemMedChem 14:1701-1709 PubMed31325352

2019

An Angle on MK2 Inhibition-Optimization and Evaluation of Prevention of Activation Inhibitors.

Applications

Unspecified application

Species

Unspecified reactive species

Ulf Hedström,Monica Norberg,Emma Evertsson,Sarah R Lever,Magnus Munck Af Rosenschöld,Hans Lönn,Peter Bold,Helena Käck,Pia Berntsson,Johanna Vinblad,Jianming Liu,Anette Welinder,Johan Karlsson,Arjan Snijder,Katerina Pardali,Ulf Andersson,Andrew M Davis,Mickael Mogemark
View all publications

Abcam product promise

当社は、高品質な試薬を通じてお客様の研究を力強くサポートすることをお約束いたします。ご使用いただく各段階で、常にお客様をサポートできる体制を整えております。万が一、製品が期待通りに機能しない場合は、「Abcam Product Promise」による当社保証制度に基づき、安心してご利用いただけます。
保証に関する詳細については利用規約をご確認ください。

関連製品

Select an associated product type
Alternative Product
Primary Antibodies

AB3831

Anti-KAP1 antibody

primary-antibodies

kap1-antibody-ab3831

5

(4 reviews)

Alternative Product
Primary Antibodies

AB22553

Anti-KAP1 antibody [20C1]

primary-antibodies

kap1-antibody-20c1-ab22553

4

(14 reviews)

Alternative Product
Primary Antibodies

AB10483

Anti-KAP1 antibody

primary-antibodies

kap1-antibody-ab10483

3

(7 reviews)

Alternative Product
Primary Antibodies

AB10484

Anti-KAP1 antibody

primary-antibodies

kap1-antibody-ab10484

5

(6 reviews)

Alternative Product
Primary Antibodies

AB243871

Anti-KAP1 antibody [BL-248-2G6]

primary-antibodies

kap1-antibody-bl-248-2g6-ab243871

0

(0 reviews)

Alternative Product
Primary Antibodies

AB243870

Anti-KAP1 (phospho S824) antibody [BL-246-7B5]

primary-antibodies

kap1-phospho-s824-antibody-bl-246-7b5-ab243870

0

(0 reviews)

Alternative Product
Primary Antibodies

AB272068

Anti-KAP1 (phospho S824) antibody [BL-246-7B5] - BSA free

primary-antibodies

kap1-phospho-s824-antibody-bl-246-7b5-bsa-free-ab272068

0

(0 reviews)

Alternative Product
Primary Antibodies

AB109545

Anti-KAP1 antibody [EPR5249]

primary-antibodies

kap1-antibody-epr5249-ab109545

2

(1 reviews)

Alternative Product
Primary Antibodies

AB109289

Anti-KAP1 antibody [EPR5217]

primary-antibodies

kap1-antibody-epr5217-ab109289

0

(0 reviews)

Alternative Product
Primary Antibodies

AB133440

Anti-KAP1 (phospho S824) antibody [EPR5248]

primary-antibodies

kap1-phospho-s824-antibody-epr5248-ab133440

5

(1 reviews)

Alternative Product
Primary Antibodies

AB215549

Anti-KAP1 (phospho S824) antibody [EPR5248] - BSA and Azide free

primary-antibodies

kap1-phospho-s824-antibody-epr5248-bsa-and-azide-free-ab215549

0

(0 reviews)

Alternative Product
Primary Antibodies

AB215550

Anti-KAP1 antibody [EPR5217] - BSA and Azide free

primary-antibodies

kap1-antibody-epr5217-bsa-and-azide-free-ab215550

0

(0 reviews)

Alternative Product
Primary Antibodies

AB84077

Anti-KAP1 (phospho S824) antibody

primary-antibodies

kap1-phospho-s824-antibody-ab84077

0

(0 reviews)

Alternative Product
Primary Antibodies

AB70369

Anti-KAP1 (phospho S824) antibody

primary-antibodies

kap1-phospho-s824-antibody-ab70369

5

(6 reviews)

Alternative Product
Primary Antibodies

AB190178

Anti-KAP1 antibody

primary-antibodies

kap1-antibody-ab190178

0

(0 reviews)

Please note: All products are 'FOR RESEARCH USE ONLY. NOT FOR USE IN DIAGNOSTIC OR THERAPEUTIC PROCEDURES'.

For licensing inquiries, please contact partnerships@abcam.com