JavaScript is disabled in your browser. Please enable JavaScript to view this website.
AB7771

Anti-Jagged1 抗体

Anti-Jagged1 antibody

4

(14 Reviews)

|

(109 Publications)

Rabbit Polyclonal Jagged1 antibody. Suitable for WB, IHC-P, ICC/IF and reacts with Mouse, Human samples. Cited in 109 publications. Immunogen corresponding to Synthetic Peptide within Human JAG1 aa 100-150 conjugated to Keyhole Limpet Haemocyanin.

別名を表示する

CD339, JAGL1, JAG1, Protein jagged-1, Jagged1, hJ1

4 Images
Immunocytochemistry/ Immunofluorescence - Anti-Jagged1 antibody (AB7771)
  • ICC/IF

Supplier Data

Immunocytochemistry/ Immunofluorescence - Anti-Jagged1 antibody (AB7771)

Staining of Human corneal epithelial cells with anti-Jagged1 (ab7771, 1/500). The Jagged1 (green staining) is localised to the cytoplasm and cell nucleus and is consistent with reports in the literature. The nucleus is stained with Bis benzimide (1/500, blue staining).

This image is courtesy of Aihua Ma, Univdersity of Cardiff

Immunohistochemistry (Formalin/PFA-fixed paraffin-embedded sections) - Anti-Jagged1 antibody (AB7771)
  • IHC-P

Collaborator

Immunohistochemistry (Formalin/PFA-fixed paraffin-embedded sections) - Anti-Jagged1 antibody (AB7771)

Formalin-fixed paraffin embedded IHC of normal human cervial tissues (40x magnification) stained with ab7771 (1/100 dilution). The slides were counterstained with hematoxylin

This image is courtesy of the Martin Kast Laboratory

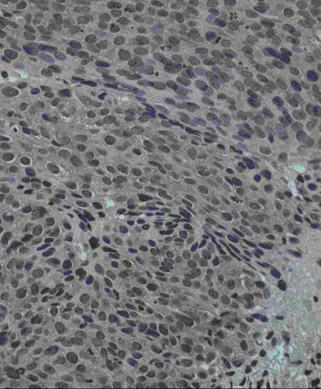
Immunohistochemistry (Formalin/PFA-fixed paraffin-embedded sections) - Anti-Jagged1 antibody (AB7771)
  • IHC-P

Unknown

Immunohistochemistry (Formalin/PFA-fixed paraffin-embedded sections) - Anti-Jagged1 antibody (AB7771)

Formalin-fixed paraffin embedded IHC of human cervical cancer tissues (40x magnification) stained with ab7771 (1/100 dilution). The slides were counterstained with hematoxylin

This image is courtesy of the Martin Kast Laboratory

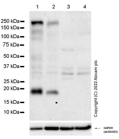
Western blot - Anti-Jagged1 antibody (AB7771)
  • WB

Unknown

Western blot - Anti-Jagged1 antibody (AB7771)

ab7771 Rabbit polyclonal to Jagged1 (1/500) with secondary Goat anti-rabbit IgG antibody ab6721 (1/5000)
Exposure time : 1 minute. Expected molecular weight : 134 kDa

Lanes 1 to 3 and 5 : 20μg of cell lysate per lane
Lane 4 : 20 μl of 1x LDS loading buffer

Lane 1 : Human Brain tissue lysate
Lane 2 : Human Kidney tissue Lysate
Lane 3 : Human liver tissue lysate
Lane 4 : 1x LDS loading buffer
Lane 5 : Mouse liver lysate

All lanes:

Western blot - Anti-Jagged1 antibody (ab7771)

Predicted band size: 134 kDa

false

Key facts

宿主種

Rabbit

クローン性

Polyclonal

アイソタイプ

IgG

キャリアフリー

No

交差種

Mouse, Human

アプリケーション

WB, ICC/IF, IHC-P

applications

免疫原

Synthetic Peptide within Human JAG1 aa 100-150 conjugated to Keyhole Limpet Haemocyanin. The exact immunogen used to generate this antibody is proprietary information.

P78504

特異性

A BLAST analysis was used to suggest cross reactivity with Jagged-1 protein from human, chimpanzee, rat and mouse based on 100% homology with the immunizing sequence. Partial reactivity is expected against dog (81%) and Xenopus laevis (85%) based on partial sequence homologies as indicated. Reactivity against homologues from other sources is not known.

Reactivity data

{ "title": "Reactivity Data", "filters": { "stats": ["", "Species", "Dilution Info", "Notes"], "tabs": { "all-applications": {"fullname" : "All Applications", "shortname": "All Applications"}, "WB" : {"fullname" : "Western blot", "shortname":"WB"}, "IHCP" : {"fullname" : "Immunohistochemistry (Formalin/PFA-fixed paraffin-embedded sections)", "shortname":"IHC-P"}, "ICCIF" : {"fullname" : "Immunocytochemistry/ Immunofluorescence", "shortname":"ICC/IF"} }, "product-promise": { "all": "all", "testedAndGuaranteed": "tested", "guaranteed": "expected", "predicted": "predicted", "notRecommended": "not-recommended" } }, "values": { "Human": { "WB-species-checked": "testedAndGuaranteed", "WB-species-dilution-info": "1/500 - 1/2000", "WB-species-notes": "<p>150 kDa in mouse liver lysate.</p>", "IHCP-species-checked": "testedAndGuaranteed", "IHCP-species-dilution-info": "1/100 - 1/500", "IHCP-species-notes": "<p></p>", "ICCIF-species-checked": "testedAndGuaranteed", "ICCIF-species-dilution-info": "1/200 - 1/1000", "ICCIF-species-notes": "<p></p>" }, "Mouse": { "WB-species-checked": "testedAndGuaranteed", "WB-species-dilution-info": "1/500 - 1/2000", "WB-species-notes": "<p>150 kDa in mouse liver lysate.</p>", "IHCP-species-checked": "guaranteed", "IHCP-species-dilution-info": "", "IHCP-species-notes": "", "ICCIF-species-checked": "guaranteed", "ICCIF-species-dilution-info": "", "ICCIF-species-notes": "" }, "Rat": { "WB-species-checked": "predicted", "WB-species-dilution-info": "", "WB-species-notes": "", "IHCP-species-checked": "predicted", "IHCP-species-dilution-info": "", "IHCP-species-notes": "", "ICCIF-species-checked": "predicted", "ICCIF-species-dilution-info": "", "ICCIF-species-notes": "" } } }

出荷温度及び保存条件

製品の状態
Liquid
精製方法
Affinity purification Protein A
精製に関する特記事項
This protein A purified antibody is directed against human Jagged-1 protein. The product was purified from mono-specific antiserum by affinity chromatography.
バッファー組成
pH: 7.2 Preservative: 0.01% Sodium azide Constituents: 0.88% Sodium chloride, 0.424% Potassium phosphate solution
出荷温度
Blue Ice
短期保存温度
+4°C
長期保存温度
-20°C
分注に関する情報
Upon delivery aliquot
保管に関する情報
Avoid freeze / thaw cycle

補足情報

This supplementary information is collated from multiple sources and compiled automatically.

Jagged1 also known as JAG1 or Jagged 1 protein is a transmembrane protein involved in the Notch signaling pathway. It has a mass of approximately 150 kDa and is expressed in various tissues including the cardiovascular system liver and mammary glands. Not only does it play a role in cell-cell communication but it also engages in controlling cell differentiation proliferation and apoptosis. Additionally researchers studying its molecular nature frequently employ Jagged1 ELISA kits to measure its expression and activity levels.
Biological function summary

The Jagged1 protein acts as a ligand binding to Notch receptors forming a large complex with other critical proteins within the pathway. This interaction initiates the signal transduction necessary for various cellular processes reinforcing the influence Jagged1 has on development and tissue homeostasis. Its role as a ligand amplifies its importance and scientists often use Jagged1 ELISA and Jag1 ELISA assays to explore these biological interactions further.

Pathways

Research shows that Jagged1 is an integral component of the Notch signaling and cardiovascular development pathways. It binds to Notch1 and Notch2 receptors facilitating important steps in both pathways which are related to embryonic development and adult tissue maintenance. This Notch-Jagged1 interaction also connects to Delta-like ligands creating an intricate network of proteins and pathways critical for a wide spectrum of cellular functions.

Jagged1 exhibits significant connections to Alagille syndrome and some cancers. Mutations in Jagged1 or disrupted interactions with Notch receptors often lead to the developmental defects characteristic of Alagille syndrome where both Jagged1 and Notch2 play significant roles. Additionally aberrant activation of the Notch signaling pathway involving Jagged1 has links to tumorigenesis in certain cancers opining avenues for potential therapeutic interventions against these diseases.

製品プロトコール

For this product, it's our understanding that no specific protocols are required. You can visit:

ターゲットの情報

Ligand for multiple Notch receptors and involved in the mediation of Notch signaling (PubMed : 18660822, PubMed : 20437614). May be involved in cell-fate decisions during hematopoiesis (PubMed : 9462510). Seems to be involved in early and late stages of mammalian cardiovascular development. Inhibits myoblast differentiation (By similarity). Enhances fibroblast growth factor-induced angiogenesis (in vitro).
See full target information JAG1

文献 (109)

Recent publications for all applications. Explore the full list and refine your search

Scientific reports 15:16205 PubMed40346122

2025

SHP1 and its downstream p38/SP1/PI3K/YAP/Notch-1 signaling in trophoblast cells suppressed the progression of Preeclampsia via inhibiting proliferation of SMCs.

Applications

Unspecified application

Species

Unspecified reactive species

Yan An,Chenyuan Cao,Shaosong Sun,Hongli Wu,Jinzhi Zhang,Rui Li,Yakun Zhao

Disease models & mechanisms 18: PubMed39910908

2025

Notch3 deletion regulates HIV-1 gene expression and systemic inflammation to ameliorate chronic kidney disease.

Applications

Unspecified application

Species

Unspecified reactive species

Mackenzie Thornton,Nicole Sommer,Mercedes McGonigle,Anil Kumar Ram,Sireesha Yerrathota,Henrietta Ehirim,Aakriti Chaturvedi,Johnny Dinh Phan,Anubhav Chakraborty,V Praveen Chakravarthi,Sumedha Gunewardena,Mudit Tyagi,Jaya Talreja,Tao Wang,Pravin Singhal,Pamela V Tran,Timothy A Fields,Patricio E Ray,Navneet K Dhillon,Madhulika Sharma

Cellular and molecular gastroenterology and hepatology 19:101414 PubMed39349250

2024

Androgen Effects on Alcohol-induced Liver Fibrosis Are Controlled by a Notch-dependent Epigenetic Switch.

Applications

Unspecified application

Species

Unspecified reactive species

Kruti Nataraj,Michael Schonfeld,Adriana Rodriguez,Madhulika Sharma,Steven Weinman,Irina Tikhanovich

Heliyon 10:e37226 PubMed39315206

2024

Antitumor effect of polyphyllin I (PPI) on colorectal cancer: Evidence from patient-derived organoids and Notch signaling suppression.

Applications

Unspecified application

Species

Unspecified reactive species

Yu Wang,Hao Ge,Yi Zhang,Pei Wang,Haoran Zhao,Lu Wang,Zhimin Fan

Environmental toxicology 39:4417-4430 PubMed38842024

2024

CircVCAN promotes glioma progression through the miR-488-3p/MEF2C-JAGGED1 axis.

Applications

Unspecified application

Species

Unspecified reactive species

Shude Yang,Shuo Gao,Zhiqiang Dong

PeerJ 11:e16523 PubMed38505381

2024

Circular RNA hsa_circ_0051246 acts as a microRNA-375 sponge to promote the progression of gastric cancer stem cells YAP1.

Applications

Unspecified application

Species

Unspecified reactive species

Minghui Deng,Yefeng Xu,Yongwei Yao,Yiqing Wang,Qingying Yan,Miao Cheng,YunXia Liu

Nature communications 15:438 PubMed38200007

2024

Disparate macrophage responses are linked to infection outcome of Hantan virus in humans or rodents.

Applications

Unspecified application

Species

Unspecified reactive species

Hongwei Ma,Yongheng Yang,Tiejian Nie,Rong Yan,Yue Si,Jing Wei,Mengyun Li,He Liu,Wei Ye,Hui Zhang,Linfeng Cheng,Liang Zhang,Xin Lv,Limin Luo,Zhikai Xu,Xijing Zhang,Yingfeng Lei,Fanglin Zhang

Communications biology 6:538 PubMed37202533

2023

Identification of acquired Notch3 dependency in metastatic Head and Neck Cancer.

Applications

Unspecified application

Species

Unspecified reactive species

Maria Kondratyev,Aleksandra Pesic,Troy Ketela,Natalie Stickle,Christine Beswick,Zvi Shalev,Stefano Marastoni,Soroush Samadian,Anna Dvorkin-Gheva,Azin Sayad,Mikhail Bashkurov,Pedro Boasquevisque,Alessandro Datti,Trevor J Pugh,Carl Virtanen,Jason Moffat,Reidar A Grénman,Marianne Koritzinsky,Bradly G Wouters

Neural regeneration research 18:2285-2290 PubMed37056149

2023

Astrocyte-neuron communication mediated by the Notch signaling pathway: focusing on glutamate transport and synaptic plasticity.

Applications

Unspecified application

Species

Unspecified reactive species

Ke-Xin Li,Meng Lu,Meng-Xu Cui,Xiao-Ming Wang,Yang Zheng

Environmental toxicology 38:1628-1640 PubMed36988346

2023

Di-(2-ethylhexyl) phthalate (DEHP) promoted hepatic lipid accumulation by activating Notch signaling pathway.

Applications

Unspecified application

Species

Unspecified reactive species

Yuezhu Zhang,Honghao Qian,Jia Wang,Ying Zhu,Xiaohan Miao,Xu Li,Jianli Yin,Ruxuan Zhang,Jiaming Ye,Chuanyi Huo,Weisen Zhao,Lin Ye
View all publications

Abcam product promise

当社は、高品質な試薬を通じてお客様の研究を力強くサポートすることをお約束いたします。ご使用いただく各段階で、常にお客様をサポートできる体制を整えております。万が一、製品が期待通りに機能しない場合は、「Abcam Product Promise」による当社保証制度に基づき、安心してご利用いただけます。
保証に関する詳細については利用規約をご確認ください。

Please note: All products are 'FOR RESEARCH USE ONLY. NOT FOR USE IN DIAGNOSTIC OR THERAPEUTIC PROCEDURES'.

For licensing inquiries, please contact partnerships@abcam.com