JavaScript is disabled in your browser. Please enable JavaScript to view this website.
AB134101

Anti-IRS2 抗体 [EPR904(2)]

Anti-IRS2 antibody [EPR904(2)]

Be the first to review this product! Submit a review

|

(30 Publications)

Rabbit Recombinant Monoclonal IRS2 antibody. Suitable for IHC-P, WB, ICC/IF, Flow Cyt (Intra) and reacts with Rat, Human, Mouse samples. Cited in 30 publications.

別名を表示する

Insulin receptor substrate 2, IRS-2, IRS2

12 Images
Western blot - Anti-IRS2 antibody [EPR904(2)] (AB134101)
  • WB

Lab

Western blot - Anti-IRS2 antibody [EPR904(2)] (AB134101)

Blocking/Diluting buffer and concentration : 5% NFDM/TBST.

Exposure time :

Left image : 180 seconds

Right image : 40 seconds

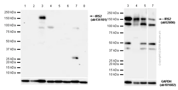
Although some papers support the expression in liver (PMID : 30202052), A549 (PMID : 30988063), NCI-H1299 (PMID : 30988063), LADMAC (PMID : 29115630), MDA-MB-231 (PMID : 29685905) and MEF (PMID : 30679431), ab134101 can't detect the target band in these samples, even at the dilution of 1 : 200.

All lanes:

Western blot - Anti-IRS2 antibody [EPR904(2)] (ab134101) at 1/1000 dilution

Lane 1:

Rat liver lysates at 20 µg

Lane 2:

Human liver lysates at 20 µg

Lane 3:

A375 (human malignant melanoma epithelial cell) whole cell lysates at 20 µg

Lane 4:

A549 (human lung carcinoma epithelial cell) whole cell lysates at 20 µg

Lane 5:

NCI-H1299 (human lung carcinoma epithelial cell) whole cell lysates at 20 µg

Lane 6:

LADMAC (Mouse bone marrow monocyte macrophage) whole cell lysates at 20 µg

Lane 7:

MDA-MB-231 (human breast adenocarcinoma epithelial cell) whole cell lysates at 20 µg

Lane 8:

MEF (Mouse embryonic fibroblast) whole cell lysates at 20 µg

Secondary

All lanes:

Western blot - Goat Anti-Rabbit IgG H&L (HRP) (<a href='/products/secondary-antibodies/goat-rabbit-igg-h-l-hrp-ab97051'>ab97051</a>) at 1/20000 dilution

Predicted band size: 137 kDa

Observed band size: 170-185 kDa

true

Immunocytochemistry/ Immunofluorescence - Anti-IRS2 antibody [EPR904(2)] (AB134101)
  • ICC/IF

Lab

Immunocytochemistry/ Immunofluorescence - Anti-IRS2 antibody [EPR904(2)] (AB134101)

Immunocytochemistry/Immunofluorescence analysis of SH-SY5Y cells labelling IRS2 with purified ab134101 at 1/300. Cells were fixed with 4% paraformaldehyde and permeabilized with 0.1% Triton X-100. ab150077, an Alexa Fluor® 488-conjugated goat anti-rabbit IgG (1/1000) was used as the secondary antibody. DAPI (blue) was used as the nuclear counterstain. ab7291, a mouse anti-tubulin (1/1000) and ab150120, an Alexa Fluor® 594-conjugated goat anti-mouse IgG (1/1000) were also used.

Control 1 : primary antibody (1/300) and secondary antibody, ab150120, an Alexa Fluor® 594-conjugated goat anti-mouse IgG (1/1000).

Control 2 : ab7291 (1/1000) and secondary antibody, ab150077, an Alexa Fluor® 488-conjugated goat anti-rabbit IgG (1/1000).

Flow Cytometry (Intracellular) - Anti-IRS2 antibody [EPR904(2)] (AB134101)
  • Flow Cyt (Intra)

Lab

Flow Cytometry (Intracellular) - Anti-IRS2 antibody [EPR904(2)] (AB134101)

Intracellular Flow Cytometry analysis of HeLa cells labelling IRS2 with purified ab134101 at 1/120 (red). Cells were fixed with 2% paraformaldehyde. A FITC-conjugated goat anti-rabbit IgG (1/500) was used as the secondary antibody. Black - Isotype control, rabbit monoclonal IgG. Blue - Unlabelled control, cells without incubation with primary and secondary antibodies.

Immunohistochemistry (Formalin/PFA-fixed paraffin-embedded sections) - Anti-IRS2 antibody [EPR904(2)] (AB134101)
  • IHC-P

Unknown

Immunohistochemistry (Formalin/PFA-fixed paraffin-embedded sections) - Anti-IRS2 antibody [EPR904(2)] (AB134101)

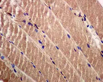
Immunohistochemistry (Formalin/PFA-fixed paraffin-embedded sections) analysis of human muscle tissue labelling IRS2 with unpurified ab134101 at a dilution of 1/50.

Perform heat mediated antigen retrieval with citrate buffer pH 6 before commencing with IHC staining protocol.

Immunocytochemistry/ Immunofluorescence - Anti-IRS2 antibody [EPR904(2)] (AB134101)
  • ICC/IF

Lab

Immunocytochemistry/ Immunofluorescence - Anti-IRS2 antibody [EPR904(2)] (AB134101)

ab134101 staining IRS2 in wild-type HEK293 cells (top panel) and IRS2 knockout HEK293 cells (bottom panel). The cells were fixed with 4% paraformaldehyde (10 min) permeabilized with 0.1% Triton X-100 for 5 minutes and then blocked with 1% BSA/10% normal goat serum/0.3M glycine in 0.1% PBS-Tween for 1h. The cells were then incubated with ab134101 at 1/500 and ab7291 (Mouse monoclonal to alpha Tubulin) at 1/1000 dilution overnight at +4°C, followed by a further incubation at room temperature for 1h with a goat secondary antibody to rabbit IgG (Alexa Fluor® 488) (ab150081) at 2 μg/ml (shown in green) and a goat secondary antibody to mouse IgG (Alexa Fluor® 594) (ab150120) at 2 μg/ml (shown in red). Nuclear DNA was labelled in blue with DAPI.

Image was taken with a confocal microscope (Leica-Microsystems, TCS SP8).

Immunohistochemistry (Formalin/PFA-fixed paraffin-embedded sections) - Anti-IRS2 antibody [EPR904(2)] (AB134101)
  • IHC-P

Unknown

Immunohistochemistry (Formalin/PFA-fixed paraffin-embedded sections) - Anti-IRS2 antibody [EPR904(2)] (AB134101)

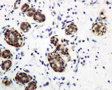
Immunohistochemistry (Formalin/PFA-fixed paraffin-embedded sections) analysis of human breast tissue labelling IRS2 with unpurified ab134101 at a dilution of 1/50.

Perform heat mediated antigen retrieval with citrate buffer pH 6 before commencing with IHC staining protocol.

Immunohistochemistry (Formalin/PFA-fixed paraffin-embedded sections) - Anti-IRS2 antibody [EPR904(2)] (AB134101)
  • IHC-P

Lab

Immunohistochemistry (Formalin/PFA-fixed paraffin-embedded sections) - Anti-IRS2 antibody [EPR904(2)] (AB134101)

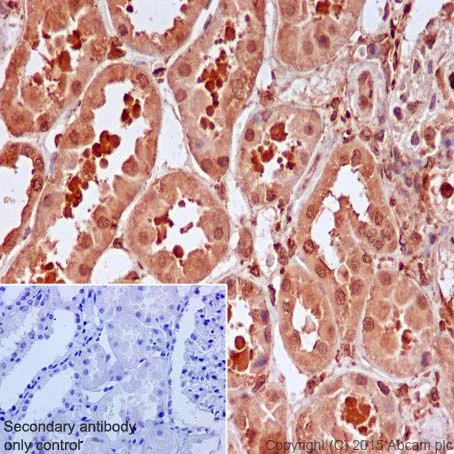
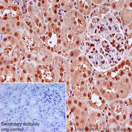
Immunohistochemistry (Formalin/PFA-fixed paraffin-embedded sections) analysis of rat kidney tissue labelling IRS2 with purified ab134101 at 1/500. Heat mediated antigen retrieval was performed using Tris/EDTA buffer pH 9. ab97051, a HRP-conjugated goat anti-rabbit IgG (H+L) was used as the secondary antibody (1/500). Negative control using PBS instead of primary antibody. Counterstained with hematoxylin.

Flow Cytometry (Intracellular) - Anti-IRS2 antibody [EPR904(2)] (AB134101)
  • Flow Cyt (Intra)

Unknown

Flow Cytometry (Intracellular) - Anti-IRS2 antibody [EPR904(2)] (AB134101)

Overlay histogram showing HeLa cells stained with unpurified ab134101 (red line). The cells were fixed with 80% methanol (5 min) and then permeabilized with 0.1% PBS-Tween for 20 min. The cells were then incubated in 1x PBS / 10% normal goat serum / 0.3M glycine to block non-specific protein-protein interactions followed by the antibody (unpurified ab134101, 1/1000 dilution) for 30 min at 22°C. The secondary antibody used was Alexa Fluor® 488 goat anti-rabbit IgG (H&L) (ab150077) at 1/2000 dilution for 30 min at 22°C. Isotype control antibody (black line) was rabbit IgG (monoclonal) (0.1μg/1x106 cells) used under the same conditions. Unlabelled sample (blue line) was also used as a control. Acquisition of >5,000 events were collected using a 20mW Argon ion laser (488nm) and 525/30 bandpass filter. This antibody gave a positive signal in HeLa cells fixed with 4% paraformaldehyde (10 min)/permeabilized with 0.1% PBS-Tween for 20 min used under the same conditions.

Immunohistochemistry (Formalin/PFA-fixed paraffin-embedded sections) - Anti-IRS2 antibody [EPR904(2)] (AB134101)
  • IHC-P

Lab

Immunohistochemistry (Formalin/PFA-fixed paraffin-embedded sections) - Anti-IRS2 antibody [EPR904(2)] (AB134101)

Immunohistochemistry (Formalin/PFA-fixed paraffin-embedded sections) analysis of human kidney tissue labelling IRS2 with purified ab134101 at 1/500. Heat mediated antigen retrieval was performed using Tris/EDTA buffer pH 9. ab97051, a HRP-conjugated goat anti-rabbit IgG (H+L) was used as the secondary antibody (1/500). Negative control using PBS instead of primary antibody. Counterstained with hematoxylin.

Western blot - Anti-IRS2 antibody [EPR904(2)] (AB134101)
  • WB

Lab

Western blot - Anti-IRS2 antibody [EPR904(2)] (AB134101)

Lanes 1 - 4 : Merged signal (red and green). Green - ab134101 observed at 160 kDa. Red - loading control ab7291 (Mouse anti-Alpha Tubulin [DM1A]) observed at 55kDa.

ab134101 was shown to react with IRS2 in wild-type HEK-293 cells in western blot with loss of signal observed in IRS2 knockout sample. Wild-type and IRS2 knockout HEK-293 cell lysates were subjected to SDS-PAGE. Membranes were blocked in 3% milk in TBS-T (0.1% Tween®) before incubation with ab134101 and ab7291 (Mouse anti-Alpha Tubulin [DM1A]) overnight at 4°C at a 1 in 1000 Dilution and a 1 in 20000 dilution respectively. Blots were incubated with Goat anti-Rabbit IgG H&L (IRDye® 800CW) preabsorbed (ab216773) and Goat anti-Mouse IgG H&L (IRDye® 680RD) preabsorbed (ab216776) secondary antibodies at 1 in 20000 dilution for 1 hour at room temperature before imaging.

All lanes:

Western blot - Anti-IRS2 antibody [EPR904(2)] (ab134101) at 1/1000 dilution

Lane 1:

Wild-type HEK-293 (Human epithelial cell line from embryonic kidney) whole cell lysate at 20 µg

Lane 2:

IRS2 knockout HEK-293 (Human epithelial cell line from embryonic kidney) whole cell lysate at 20 µg

Lane 2:

Western blot - Human IRS2 knockout HEK-293 cell line (<a href='/products/cell-lines/human-irs2-knockout-hek-293-cell-line-ab264013'>ab264013</a>)

Lane 3:

A-375 cell lysate at 20 µg

Lane 4:

A549 (Human lung carcinoma cell line) whole cell lysate at 20 µg

Predicted band size: 137 kDa,25 kDa

Observed band size: 160 kDa

false

Western blot - Anti-IRS2 antibody [EPR904(2)] (AB134101)
  • WB

Lab

Western blot - Anti-IRS2 antibody [EPR904(2)] (AB134101)

Blocking and dilution buffer : 5% NFDM/TBST.

All lanes:

Western blot - Anti-IRS2 antibody [EPR904(2)] (ab134101) at 1/5000 dilution

All lanes:

NIH/3T3 whole cell lysate - treated with insulin at 20 µg

Secondary

All lanes:

Western blot - Goat Anti-Rabbit IgG H&L (HRP) (<a href='/products/secondary-antibodies/goat-rabbit-igg-h-l-hrp-ab97051'>ab97051</a>) at 1/50000 dilution

Predicted band size: 137 kDa

Observed band size: 170-185 kDa

false

Western blot - Anti-IRS2 antibody [EPR904(2)] (AB134101)
  • WB

Lab

Western blot - Anti-IRS2 antibody [EPR904(2)] (AB134101)

Blocking and dilution buffer : 5% NFDM/TBST.

All lanes:

Western blot - Anti-IRS2 antibody [EPR904(2)] (ab134101) at 20 µg

Lane 1:

HEK293 whole cell lysate - untreated at 20 µg

Lane 2:

HEK293 whole cell lysate - treated with insulin at 20 µg

Lane 3:

SH-SY5Y whole cell lysate at 20 µg

Secondary

All lanes:

Western blot - Goat Anti-Rabbit IgG H&L (HRP) (<a href='/products/secondary-antibodies/goat-rabbit-igg-h-l-hrp-ab97051'>ab97051</a>) at 1/50000 dilution

Predicted band size: 137 kDa

Observed band size: 170-185 kDa

false

関連する標識済み抗体及び組成の異なる製品 (3)

  • 519 Alexa Fluor® 488

    Alexa Fluor® 488 Anti-IRS2 antibody [EPR904(2)]

  • Carrier free

    Anti-IRS2 antibody [EPR904(2)] - BSA and Azide free

  • 660 APC

    APC Anti-IRS2 antibody [EPR904(2)]

Key facts

宿主種

Rabbit

クローン性

Monoclonal

クローン番号

EPR904(2)

アイソタイプ

IgG

キャリアフリー

No

交差種

Mouse, Rat, Human

アプリケーション

IHC-P, ICC/IF, WB, Flow Cyt (Intra)

applications

免疫原

The exact immunogen used to generate this antibody is proprietary information.

Reactivity data

{ "title": "Reactivity Data", "filters": { "stats": ["", "Species", "Dilution Info", "Notes"], "tabs": { "all-applications": {"fullname" : "All Applications", "shortname": "All Applications"}, "IHCP" : {"fullname" : "Immunohistochemistry (Formalin/PFA-fixed paraffin-embedded sections)", "shortname":"IHC-P"}, "WB" : {"fullname" : "Western blot", "shortname":"WB"}, "ICCIF" : {"fullname" : "Immunocytochemistry/ Immunofluorescence", "shortname":"ICC/IF"}, "FlowCytIntra" : {"fullname" : "Flow Cytometry (Intracellular)", "shortname":"Flow Cyt (Intra)"} }, "product-promise": { "all": "all", "testedAndGuaranteed": "tested", "guaranteed": "expected", "predicted": "predicted", "notRecommended": "not-recommended" } }, "values": { "Human": { "IHCP-species-checked": "testedAndGuaranteed", "IHCP-species-dilution-info": "1/50 - 1/500", "IHCP-species-notes": "<p></p> Perform heat-mediated antigen retrieval with citrate buffer pH 6 before commencing with IHC staining protocol.", "WB-species-checked": "testedAndGuaranteed", "WB-species-dilution-info": "1/1000 - 1/10000", "WB-species-notes": "<p>Although some papers support the expression in liver (PMID: 30202052), A549 (PMID: 30988063), NCI-H1299 (PMID: 30988063), LADMAC (PMID: 29115630), MDA-MB-231 (PMID: 29685905) and MEF (PMID: 30679431), ab134101 can't detect the target band in these samples, even at the dilution of 1:200</p>", "ICCIF-species-checked": "testedAndGuaranteed", "ICCIF-species-dilution-info": "1/300", "ICCIF-species-notes": "<p></p>", "FlowCytIntra-species-checked": "testedAndGuaranteed", "FlowCytIntra-species-dilution-info": "1/100 - 1/1000", "FlowCytIntra-species-notes": "<p><a href='/products/primary-antibodies/rabbit-igg-monoclonal-epr25a-isotype-control-ab172730'>ab172730</a> - Rabbit monoclonal IgG, is suitable for use as an isotype control with this antibody.</p>" }, "Mouse": { "IHCP-species-checked": "guaranteed", "IHCP-species-dilution-info": "", "IHCP-species-notes": "", "WB-species-checked": "testedAndGuaranteed", "WB-species-dilution-info": "1/1000 - 1/10000", "WB-species-notes": "<p>Although some papers support the expression in liver (PMID: 30202052), A549 (PMID: 30988063), NCI-H1299 (PMID: 30988063), LADMAC (PMID: 29115630), MDA-MB-231 (PMID: 29685905) and MEF (PMID: 30679431), ab134101 can't detect the target band in these samples, even at the dilution of 1:200</p>", "ICCIF-species-checked": "guaranteed", "ICCIF-species-dilution-info": "", "ICCIF-species-notes": "", "FlowCytIntra-species-checked": "guaranteed", "FlowCytIntra-species-dilution-info": "", "FlowCytIntra-species-notes": "" }, "Rat": { "IHCP-species-checked": "testedAndGuaranteed", "IHCP-species-dilution-info": "1/50 - 1/500", "IHCP-species-notes": "<p></p> Perform heat-mediated antigen retrieval with citrate buffer pH 6 before commencing with IHC staining protocol.", "WB-species-checked": "testedAndGuaranteed", "WB-species-dilution-info": "1/1000 - 1/10000", "WB-species-notes": "<p>Although some papers support the expression in liver (PMID: 30202052), A549 (PMID: 30988063), NCI-H1299 (PMID: 30988063), LADMAC (PMID: 29115630), MDA-MB-231 (PMID: 29685905) and MEF (PMID: 30679431), ab134101 can't detect the target band in these samples, even at the dilution of 1:200</p>", "ICCIF-species-checked": "guaranteed", "ICCIF-species-dilution-info": "", "ICCIF-species-notes": "", "FlowCytIntra-species-checked": "guaranteed", "FlowCytIntra-species-dilution-info": "", "FlowCytIntra-species-notes": "" } } }

下記製品にもご興味をお持ちいただけるかもしれません:

AB65333

Glucose Assay Kit

0

0 Reviews

製品ページを見る
こちらの製品も推奨する理由

この製品は、同様の実験や関連する研究で広く使用されていることから推奨させていただいております。

お客様の実験に適するかご確認いただくため、必ず製品データシートをご確認いただくことをお勧めいたします。ご不明点等ございましたら、テクニカルサポートチームまでお問い合わせください。

製品の詳細

出荷温度及び保存条件

製品の状態
Liquid
精製方法
Affinity purification Protein A
バッファー組成
pH: 7.2 - 7.4 Preservative: 0.01% Sodium azide Constituents: 59% PBS, 40% Glycerol (glycerin, glycerine), 0.05% BSA
出荷温度
Blue Ice
短期保存期間
1-2 weeks
短期保存温度
+4°C
長期保存温度
-20°C
分注に関する情報
Upon delivery aliquot
保管に関する情報
Stable for 12 months at -20°C

補足情報

This supplementary information is collated from multiple sources and compiled automatically.

Insulin Receptor Substrate 2 (IRS2) is an important cytoplasmic adaptor protein involved in insulin signaling. Alternate names for IRS2 include IRS-2 or HEK293 products IRS2. It plays a role in transducing signals from the insulin receptor tyrosine kinase to downstream effectors. IRS2 has a molecular mass of approximately 180 kDa. Expression of IRS2 occurs in many tissues with significant presence in liver and skeletal muscle indicating its broad physiological role.
Biological function summary

IRS2 acts in signal transduction and is a part of the insulin and insulin-like growth factor signaling pathways. IRS2 does not function alone but interacts with other molecules to propagate signals that regulate cellular processes. It is essential for glucose homeostasis and lipid metabolism playing a critical role in maintaining energy balance within the organism. IRS2 also mediates other biological processes like cell growth and differentiation.

Pathways

With regards to pathways IRS2 is involved in the insulin signaling and mTOR pathways. It serves as an important junction between metabolic and growth-promoting signals. Activation of IRS2 through insulin receptors leads to downstream signaling involving PI3K and Akt essential for mediating metabolic actions of insulin. It also interacts with mTOR a central protein in cell growth regulation. These pathways illustrate the integration of IRS2 in broader cellular responses to growth signals and energy availability.

IRS2 is linked to conditions like type 2 diabetes and obesity. Dysregulation of IRS2-mediated signaling can contribute to insulin resistance a characteristic feature of type 2 diabetes. In such disorders IRS2 signaling may be impaired or altered affecting its interaction with proteins like PI3K and Akt which are also implicated in these conditions. Furthermore chronic imbalance in IRS2 activity may contribute to obesity as it affects key metabolic pathways that regulate fat storage and energy expenditure.

製品プロトコール

For this product, it's our understanding that no specific protocols are required. You can visit:

ターゲットの情報

Signaling adapter protein that participates in the signal transduction from two prominent receptor tyrosine kinases, insulin receptor/INSR and insulin-like growth factor I receptor/IGF1R (PubMed : 25879670). Plays therefore an important role in development, growth, glucose homeostasis as well as lipid metabolism (PubMed : 24616100). Upon phosphorylation by the insulin receptor, functions as a signaling scaffold that propagates insulin action through binding to SH2 domain-containing proteins including the p85 regulatory subunit of PI3K, NCK1, NCK2, GRB2 or SHP2 (PubMed : 15316008, PubMed : 19109239). Recruitment of GRB2 leads to the activation of the guanine nucleotide exchange factor SOS1 which in turn triggers the Ras/Raf/MEK/MAPK signaling cascade (By similarity). Activation of the PI3K/AKT pathway is responsible for most of insulin metabolic effects in the cell, and the Ras/Raf/MEK/MAPK is involved in the regulation of gene expression and in cooperation with the PI3K pathway regulates cell growth and differentiation. Acts a positive regulator of the Wnt/beta-catenin signaling pathway through suppression of DVL2 autophagy-mediated degradation leading to cell proliferation (PubMed : 24616100). Plays a role in cell cycle progression by promoting a robust spindle assembly checkpoint (SAC) during M-phase (PubMed : 32554797). In macrophages, IL4-induced tyrosine phosphorylation of IRS2 leads to the recruitment and activation of phosphoinositide 3-kinase (PI3K) (PubMed : 19109239).
See full target information Insulin receptor substrate 2

文献 (30)

Recent publications for all applications. Explore the full list and refine your search

Journal of pineal research 75:e12897 PubMed37391878

2023

Amelioration of gamma irradiation-induced salivary gland damage in mice using melatonin.

Applications

Unspecified application

Species

Unspecified reactive species

Jingming Ren,Tong Zhu,Zhouxuan Wang,Lu Lu,Saijun Fan

Liver international : official journal of the International Association for the Study of the Liver 43:2560-2570 PubMed37337778

2023

Steatotic hepatocyte-derived extracellular vesicles promote β-cell apoptosis and diabetes via microRNA-126a-3p.

Applications

Unspecified application

Species

Unspecified reactive species

Qi Chen,Fang-Jie Jiang,Xin Gao,Xiao-Ying Li,Pu Xia

Cancers 15: PubMed36900240

2023

High Expression of IRS-1, RUNX3 and SMAD4 Are Positive Prognostic Factors in Stage I-III Colon Cancer.

Applications

Unspecified application

Species

Unspecified reactive species

Hallgeir Selven,Lill-Tove Rasmussen Busund,Sigve Andersen,Mona Irene Pedersen,Ana Paola Giometti Lombardi,Thomas Karsten Kilvaer

Clinical and experimental pharmacology & physiology 49:1307-1318 PubMed35986631

2022

β-Carotene regulates glucose transport and insulin resistance in gestational diabetes mellitus by increasing the expression of SHBG.

Applications

Unspecified application

Species

Unspecified reactive species

Xinli Liu,Nan Wang,Zhou Gao

PloS one 17:e0270830 PubMed35816477

2022

MPA alters metabolic phenotype of endometrial cancer-associated fibroblasts from obese women via IRS2 signaling.

Applications

Unspecified application

Species

Unspecified reactive species

Intan Sofia Omar,Amira Hajirah Abd Jamil,Noor Azmi Mat Adenan,Ivy Chung

International journal of environmental research and public health 18: PubMed34948750

2021

Effects of Different Intensity Exercise on Glucose Metabolism and Hepatic IRS/PI3K/AKT Pathway in SD Rats Exposed with TCDD.

Applications

Unspecified application

Species

Unspecified reactive species

Huohuo Wang,Juanjuan Wang,Yihua Zhu,Huiping Yan,Yifan Lu

Chinese medicine 16:128 PubMed34857022

2021

Shen-Zhi-Ling oral liquid ameliorates cerebral glucose metabolism disorder in early AD via insulin signal transduction pathway in vivo and in vitro.

Applications

Unspecified application

Species

Unspecified reactive species

Gaofeng Qin,Yunfang Dong,Zhenhong Liu,Zhuoyan Gong,Chenyan Gao,Mingcui Zheng,Meijing Tian,Yannan He,Liqun Zhong,Pengwen Wang

Metabolism: clinical and experimental 127:154936 PubMed34801581

2021

Sodium/glucose cotransporter 2 (SGLT2) inhibitors improve cardiac function by reducing JunD expression in human diabetic hearts.

Applications

Unspecified application

Species

Unspecified reactive species

Raffaele Marfella,Nunzia D'Onofrio,Maria Consiglia Trotta,Celestino Sardu,Lucia Scisciola,Cristiano Amarelli,Maria Luisa Balestrieri,Vincenzo Grimaldi,Gelsomina Mansueto,Salvatore Esposito,Michele D'Amico,Paolo Golino,Giuseppe Signoriello,Marisa De Feo,Ciro Maiello,Claudio Napoli,Giuseppe Paolisso

Molecular and cellular biology 42:e0032721 PubMed34694913

2021

Free Fatty Acid Impairs Myogenic Differentiation through the AMPKα-MicroRNA 206 Pathway.

Applications

Unspecified application

Species

Unspecified reactive species

Aiwen Jiang,Hongyun Guo,Liangliang Zhang,Xiaoyu Jiang,Xiying Zhang,Wangjun Wu,Honglin Liu

Cell & bioscience 11:141 PubMed34294142

2021

Dexibuprofen ameliorates peripheral and central risk factors associated with Alzheimer's disease in metabolically stressed APPswe/PS1dE9 mice.

Applications

Unspecified application

Species

Unspecified reactive species

Miren Ettcheto,Elena Sánchez-Lopez,Amanda Cano,Marina Carrasco,Katherine Herrera,Patricia R Manzine,Triana Espinosa-Jimenez,Oriol Busquets,Ester Verdaguer,Jordi Olloquequi,Carme Auladell,Jaume Folch,Antoni Camins
View all publications

Abcam product promise

当社は、高品質な試薬を通じてお客様の研究を力強くサポートすることをお約束いたします。ご使用いただく各段階で、常にお客様をサポートできる体制を整えております。万が一、製品が期待通りに機能しない場合は、「Abcam Product Promise」による当社保証制度に基づき、安心してご利用いただけます。
保証に関する詳細については利用規約をご確認ください。

関連製品

Select an associated product type
Alternative Product
Primary Antibodies

AB245386

Anti-IRS2 antibody

primary-antibodies

irs2-antibody-ab245386

0

(0 reviews)

Alternative Product
Primary Antibodies

AB133276

Anti-IRS2 antibody [EPR1650(2)]

primary-antibodies

irs2-antibody-epr16502-ab133276

0

(0 reviews)

Please note: All products are 'FOR RESEARCH USE ONLY. NOT FOR USE IN DIAGNOSTIC OR THERAPEUTIC PROCEDURES'.

For licensing inquiries, please contact partnerships@abcam.com