JavaScript is disabled in your browser. Please enable JavaScript to view this website.
AB181553

Anti-IRF5 抗体 [EPR17067]

Anti-IRF5 antibody [EPR17067]

3

(2 Reviews)

|

(43 Publications)

Anti-IRF5 antibody [EPR17067] (ab181553) is a rabbit monoclonal antibody detecting IRF5 in Western Blot, Flow Cytometry (Intra), Flow Cytometry, IP, IHC-P, ICC/IF. Suitable for Human, Mouse, Rat.

- KO validated for confirmed specificity
- Biophysical QC for unrivalled batch-batch consistency
- Over 20 publications

別名を表示する

Interferon regulatory factor 5, IRF-5, IRF5

19 Images
Western blot - Anti-IRF5 antibody [EPR17067] (AB181553)
  • WB

Lab

Western blot - Anti-IRF5 antibody [EPR17067] (AB181553)

Lanes 1 - 2 : Merged signal (red and green). Green - ab181553 observed at 56 kDa. Red - loading control, ab9484, observed at 37 kDa.

ab181553 was shown to specifically react with IRF5 in wild-type HAP1 cells as signal was lost in IRF5 knockout cells. Wild-type and IRF5 knockout samples were subjected to SDS-PAGE. ab181553 and ab9484 (Mouse anti-GAPDH loading control) were incubated overnight at 4°C at 1/1000 dilution and 1/20000 dilution respectively. Blots were developed with Goat anti-Rabbit IgG H&L (IRDye® 800CW) preabsorbed ab216773 and Goat anti-Mouse IgG H&L (IRDye® 680RD) preabsorbed ab216776 secondary antibodies at 1/20000 dilution for 1 hour at room temperature before imaging.

All lanes:

Western blot - Anti-IRF5 antibody [EPR17067] (ab181553) at 1/1000 dilution

Lane 1:

Wild-type HAP1 whole cell lysate at 20 µg

Lane 2:

IRF5 knockout HAP1 whole cell lysate at 20 µg

Predicted band size: 56 kDa

false

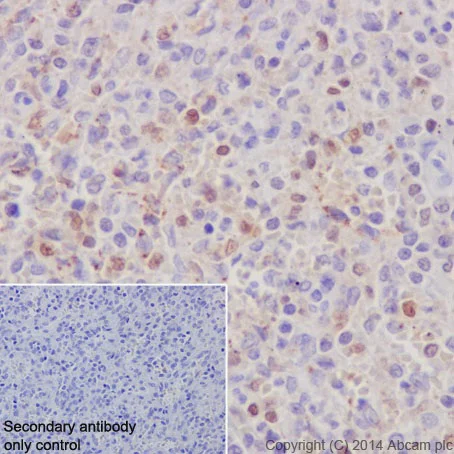
Immunohistochemistry (Formalin/PFA-fixed paraffin-embedded sections) - Anti-IRF5 antibody [EPR17067] (AB181553)
  • IHC-P

Supplier Data

Immunohistochemistry (Formalin/PFA-fixed paraffin-embedded sections) - Anti-IRF5 antibody [EPR17067] (AB181553)

Immunohistochemical analysis of paraffin-embedded Human spleen tissue labeling IRF5 with ab181553 at 1/500 dilution, followed by Goat Anti-Rabbit IgG H&L (HRP) (ab97051) secondary antibody at 1/500 dilution. Nuclear and cytoplasmic staining on leukocytes of Human spleen is observed. Counter stained with Hematoxylin.

Secondary antibody only control : Used PBS instead of primary antibody, secondary antibody is Goat Anti-Rabbit IgG H&L (HRP) (ab97051) at 1/500 dilution.

Perform heat mediated antigen retrieval with Tris/EDTA buffer pH 9.0 before commencing with IHC staining protocol.

Flow Cytometry (Intracellular) - Anti-IRF5 antibody [EPR17067] (AB181553)
  • Flow Cyt (Intra)

Supplier Data

Flow Cytometry (Intracellular) - Anti-IRF5 antibody [EPR17067] (AB181553)

Intracellular flow cytometric analysis of 2% paraformaldehyde-fixed THP-1 (Human monocytic leukemia cells) cells labeling IRF5with ab181553 at 1/50 dilution (red) compared with a rabbit monoclonal IgG isotype control (ab172730;black) and an unlabelled control (cells without incubation with primary antibody and secondary antibody; blue). Goat anti rabbit IgG (FITC) at 1/150 dilution was used as the secondary antibody.

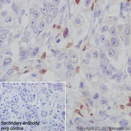
Immunohistochemistry (Formalin/PFA-fixed paraffin-embedded sections) - Anti-IRF5 antibody [EPR17067] (AB181553)
  • IHC-P

Supplier Data

Immunohistochemistry (Formalin/PFA-fixed paraffin-embedded sections) - Anti-IRF5 antibody [EPR17067] (AB181553)

Immunohistochemical analysis of paraffin-embedded Human lung cancer tissue labeling IRF5 with ab181553 at 1/500 dilution, followed by Goat Anti-Rabbit IgG H&L (HRP) (ab97051) secondary antibody at 1/500 dilution. Nucleus staining on cancer cells of Human lung cancer is observed. Counter stained with Hematoxylin.

Secondary antibody only control : Used PBS instead of primary antibody, secondary antibody is Goat Anti-Rabbit IgG H&L (HRP) (ab97051) at 1/500 dilution.

Perform heat mediated antigen retrieval with Tris/EDTA buffer pH 9.0 before commencing with IHC staining protocol.

Immunohistochemistry (Formalin/PFA-fixed paraffin-embedded sections) - Anti-IRF5 antibody [EPR17067] (AB181553)
  • IHC-P

Unknown

Immunohistochemistry (Formalin/PFA-fixed paraffin-embedded sections) - Anti-IRF5 antibody [EPR17067] (AB181553)

Anti-IRF5 antibody [EPR17067] (ab181553)
Immunohistochemistry (Formalin/PFA-fixed paraffin-embedded sections) analysis of human tonsil tissue labelling IRF5 with ab181553 at a dilution of 1 : 500. Heat mediated antigen retrieval was performed using AR9 antigen retrieval solution, and microwave treatment for 15 min at 20% power. Anti-Rabbit/Mouse HRP polymer (PerkinElmer Opal Polymer HRP Ms Plus Rb) was used as secondary antibody. Opal tyramide amplification was performed using Opal 520 fluorophore. Counterstained with DAPI stain. Image scanned with Vectra 3.0 and analyzed via Phenochart software.
This image was courteously provided by Dr. Houssein Abdul Sater, Georgia Cancer Center.

Immunocytochemistry/ Immunofluorescence - Anti-IRF5 antibody [EPR17067] (AB181553)
  • ICC/IF

Lab

Immunocytochemistry/ Immunofluorescence - Anti-IRF5 antibody [EPR17067] (AB181553)

Immunofluorescent analysis of 4% paraformaldehyde-fixed, 0.1% Triton X-100 permeabilized THP-1 (Human monocytic leukemia cells) cells labeling IRF5 with ab181553 at 1/1000 dilution, followed by Goat anti-rabbit IgG (Alexa Fluor® 488) (ab150077) secondary antibody at 1/500 dilution (green). Confocal image showing cytoplasmic and weakly nuclear staining on THP-1 cells. The nuclear counter stain is DAPI (blue). Tubulin is detected with ab7291 (anti-Tubulin mouse mAb) at 1/1000 dilution and ab150120 (AlexaFluor®594 Goat anti-Mouse secondary) at 1/500 dilution (red).
The negative controls are as follows :
-ve control 1 : ab181553 at 1/1000 dilution followed by ab150120 (AlexaFluor®594 Goat anti-Mouse secondary) at 1/500 dilution.
-ve control 2 : ab7291 (anti-Tubulin mouse mAb) at 1/1000 dilution followed by ab150077 (Alexa Fluor®488 Goat Anti-Rabbit IgG H&L) at 1/500 dilution.

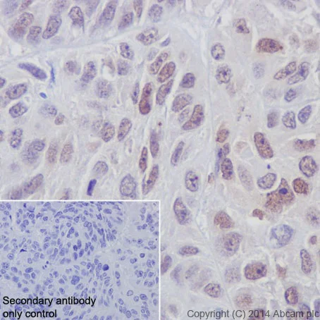
Immunohistochemistry (Formalin/PFA-fixed paraffin-embedded sections) - Anti-IRF5 antibody [EPR17067] (AB181553)
  • IHC-P

Supplier Data

Immunohistochemistry (Formalin/PFA-fixed paraffin-embedded sections) - Anti-IRF5 antibody [EPR17067] (AB181553)

Immunohistochemical analysis of paraffin-embedded Human breast cancer tissue labeling IRF5 with ab181553 at 1/500 dilution, followed by Goat Anti-Rabbit IgG H&L (HRP) (ab97051) secondary antibody at 1/500 dilution. Nuclear and cytoplasmic staining on leukocyte of Human breast cancer stroma is observed. Counter stained with Hematoxylin.

Secondary antibody only control : Used PBS instead of primary antibody, secondary antibody is Goat Anti-Rabbit IgG H&L (HRP) (ab97051) at 1/500 dilution.

Perform heat mediated antigen retrieval with Tris/EDTA buffer pH 9.0 before commencing with IHC staining protocol.

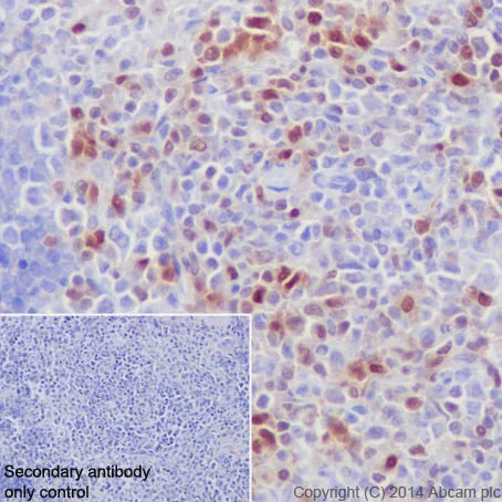
Immunohistochemistry (Formalin/PFA-fixed paraffin-embedded sections) - Anti-IRF5 antibody [EPR17067] (AB181553)
  • IHC-P

Supplier Data

Immunohistochemistry (Formalin/PFA-fixed paraffin-embedded sections) - Anti-IRF5 antibody [EPR17067] (AB181553)

Immunohistochemical analysis of paraffin-embedded Rat spleen tissue labeling IRF5 with ab181553 at 1/500 dilution, followed by Goat Anti-Rabbit IgG H&L (HRP) (ab97051) secondary antibody at 1/500 dilution. Nuclear and cytoplasmic staining on lymphocytes of rat spleen is observed. Counter stained with Hematoxylin.

Secondary antibody only control : Used PBS instead of primary antibody, secondary antibody is Goat Anti-Rabbit IgG H&L (HRP) (ab97051) at 1/500 dilution.

Perform heat mediated antigen retrieval with Tris/EDTA buffer pH 9.0 before commencing with IHC staining protocol.

Immunocytochemistry/ Immunofluorescence - Anti-IRF5 antibody [EPR17067] (AB181553)
  • ICC/IF

Lab

Immunocytochemistry/ Immunofluorescence - Anti-IRF5 antibody [EPR17067] (AB181553)

Immunofluorescent analysis of 4% paraformaldehyde-fixed, 0.1% Triton X-100 permeabilized RAW 264.7 (Mouse macrophage cells transformed with Abelson murine leukemia virus) cells labeling IRF5 with ab181553 at 1/1000 dilution, followed by Goat anti-rabbit IgG (Alexa Fluor® 488) (ab150077) secondary antibody at 1/500 dilution (green). Confocal image showing cytoplasmic and weakly nuclear staining on RAW 264.7 cells. The nuclear counter stain is DAPI (blue). Tubulin is detected with ab7291 (anti-Tubulin mouse mAb) at 1/1000 dilution and ab150120 (AlexaFluor®594 Goat anti-Mouse secondary) at 1/500 dilution (red).
The negative controls are as follows :
-ve control 1 : ab181553 at 1/1000 dilution followed by ab150120 (AlexaFluor®594 Goat anti-Mouse secondary) at 1/500 dilution.
-ve control 2 : ab7291 (anti-Tubulin mouse mAb) at 1/1000 dilution followed by ab150077 (Alexa Fluor®488 Goat Anti-Rabbit IgG H&L) at 1/500 dilution.

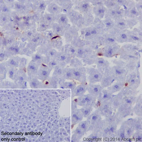
Immunohistochemistry (Formalin/PFA-fixed paraffin-embedded sections) - Anti-IRF5 antibody [EPR17067] (AB181553)
  • IHC-P

Supplier Data

Immunohistochemistry (Formalin/PFA-fixed paraffin-embedded sections) - Anti-IRF5 antibody [EPR17067] (AB181553)

Immunohistochemical analysis of paraffin-embedded Mouse liver tissue labeling IRF5 with ab181553 at 1/500 dilution, followed by Goat Anti-Rabbit IgG H&L (HRP) (ab97051) secondary antibody at 1/500 dilution. Nuclear staining on kupffer cells of mouse liver is observed. Counter stained with Hematoxylin.

Secondary antibody only control : Used PBS instead of primary antibody, secondary antibody is Goat Anti-Rabbit IgG H&L (HRP) (ab97051) at 1/500 dilution.

Perform heat mediated antigen retrieval with Tris/EDTA buffer pH 9.0 before commencing with IHC staining protocol.

Immunoprecipitation - Anti-IRF5 antibody [EPR17067] (AB181553)
  • IP

Supplier Data

Immunoprecipitation - Anti-IRF5 antibody [EPR17067] (AB181553)

IRF5 was immunoprecipitated from 1mg of RAW 264.7 (Mouse macrophage cells transformed with Abelson murine leukemia virus) whole cell lysate with ab181553 at 1/150 dilution. Western blot was performed from the immunoprecipitate using ab181553 at 1/1000 dilution. Anti-Rabbit IgG (HRP), specific to the non-reduced form of IgG, was used as secondary antibody at 1/1500 dilution.

Lane 1 : RAW 264.7 whole cell lysate 10 μg (Input).

Lane 2 : ab181553 IP in RAW 264.7 whole cell lysate.

Lane 3 : Rabbit monoclonal IgG (ab172730) instead of ab181553 in RAW 264.7 whole cell lysate.

Blocking and dilution buffer and concentration : 5% NFDM/TBST.

All lanes:

Immunoprecipitation - Anti-IRF5 antibody [EPR17067] (ab181553)

Predicted band size: 56 kDa

false

Western blot - Anti-IRF5 antibody [EPR17067] (AB181553)
  • WB

Supplier Data

Western blot - Anti-IRF5 antibody [EPR17067] (AB181553)

Blocking/Dilution buffer : 5% NFDM/TBST.

All lanes:

Western blot - Anti-IRF5 antibody [EPR17067] (ab181553) at 1/2000 dilution

All lanes:

Ramos (Human Burkitt's lymphoma cell line) whole cell lysate at 10 µg

Secondary

All lanes:

Goat Anti-Rabbit IgG, (H+L),Peroxidase conjugated at 1/1000 dilution

Predicted band size: 106 kDa,113 kDa,193 kDa,27 kDa,56 kDa,91 kDa

Observed band size: 106 kDa,113 kDa,193 kDa,27 kDa,30 kDa,55 kDa

false

Exposure time: 1min

Western blot - Anti-IRF5 antibody [EPR17067] (AB181553)
  • WB

Lab

Western blot - Anti-IRF5 antibody [EPR17067] (AB181553)

Western blot : Anti-IRF5 antibody [EPR17067] (ab181553) staining at 1/1000 dilution, shown in green; Mouse anti-GAPDH antibody [6C5] (ab8245) loading control staining at 1/20000 dilution, shown in magenta. In Western blot, ab181553 was shown to bind specifically to IRF5. A band was observed at 50-70 kDa in wild-type A549 cell lysates with no signal observed at this size in IRF5 knockout cell line. To generate this image, wild-type and IRF5 knockout A549 cell lysates were analysed. First, samples were run on an SDS-PAGE gel then transferred onto a nitrocellulose membrane. Membranes were blocked in 3 % milk in TBS-0.1 % Tween® 20 (TBS-T) before incubation with primary antibodies overnight at 4 °C. Blots were washed four times in TBS-T, incubated with secondary antibodies for 1 h at room temperature, washed again four times then imaged. Secondary antibodies used were Goat anti-Rabbit IgG H&L 800CW and Goat anti-Mouse IgG H&L 680RD at 1/20000 dilution.

All lanes:

Western blot - Anti-IRF5 antibody [EPR17067] (ab181553) at 1/1000 dilution

Lane 1:

Wild-type A549 cell lysate at 20 µg

Lane 2:

IRF5 knockout A549 cell lysate at 20 µg

Secondary

All lanes:

Goat anti-Rabbit IgG H&L 800CW and Goat anti-Mouse IgG H&L 680RD at 1/20000 dilution

Observed band size: 50 kDa,70 kDa

false

Western blot - Anti-IRF5 antibody [EPR17067] (AB181553)
  • WB

Supplier Data

Western blot - Anti-IRF5 antibody [EPR17067] (AB181553)

Blocking/Dilution buffer : 5% NFDM/TBST.

All lanes:

Western blot - Anti-IRF5 antibody [EPR17067] (ab181553) at 1/50000 dilution

Lane 1:

THP-1 (Human monocytic leukemia cells) whole cell lysate at 10 µg

Lane 2:

A20 (Mouse reticulum cell sarcoma cell line) whole cell lysate at 10 µg

Secondary

All lanes:

Goat Anti-Rabbit IgG, (H+L),Peroxidase conjugated at 1/1000 dilution

Predicted band size: 56 kDa

Observed band size: 55 kDa

false

Exposure time: 1min

Western blot - Anti-IRF5 antibody [EPR17067] (AB181553)
  • WB

Supplier Data

Western blot - Anti-IRF5 antibody [EPR17067] (AB181553)

Blocking/Dilution buffer : 5% NFDM/TBST.

All lanes:

Western blot - Anti-IRF5 antibody [EPR17067] (ab181553) at 1/2000 dilution

Lane 1:

Mouse spleen lysate at 10 µg

Lane 2:

Rat spleen lysate at 10 µg

Secondary

All lanes:

Goat Anti-Rabbit IgG, (H+L),Peroxidase conjugated at 1/1000 dilution

Predicted band size: 21 kDa,22 kDa,46 kDa,56 kDa

Observed band size: 21 kDa,46 kDa,55 kDa

false

Exposure time: 30s

Western blot - Anti-IRF5 antibody [EPR17067] (AB181553)
  • WB

Supplier Data

Western blot - Anti-IRF5 antibody [EPR17067] (AB181553)

Blocking/Dilution buffer : 5% NFDM/TBST.

All lanes:

Western blot - Anti-IRF5 antibody [EPR17067] (ab181553) at 1/2000 dilution

Lane 1:

Mouse thymus lysate at 10 µg

Lane 2:

Rat thymus lysate at 10 µg

Secondary

All lanes:

Goat Anti-Rabbit IgG, (H+L),Peroxidase conjugated at 1/1000 dilution

Predicted band size: 56 kDa

Observed band size: 55 kDa

false

Exposure time: 1min

Western blot - Anti-IRF5 antibody [EPR17067] (AB181553)
  • WB

Supplier Data

Western blot - Anti-IRF5 antibody [EPR17067] (AB181553)

Blocking/Dilution buffer : 5% NFDM/TBST.

All lanes:

Western blot - Anti-IRF5 antibody [EPR17067] (ab181553) at 1/5000 dilution

All lanes:

RAW 264.7(Mouse macrophage cells transformed with Abelson murine leukemia virus ) whole cell lysate at 10 µg

Secondary

All lanes:

Goat Anti-Rabbit IgG, (H+L),Peroxidase conjugated at 1/1000 dilution

Predicted band size: 56 kDa

Observed band size: 55 kDa

false

Exposure time: 5s

Western blot - Anti-IRF5 antibody [EPR17067] (AB181553)
  • WB

Supplier Data

Western blot - Anti-IRF5 antibody [EPR17067] (AB181553)

Transfected lysate from abcam (Cat# : ab94265).

Blocking/Dilution buffer : 5% NFDM/TBST.

All lanes:

Western blot - Anti-IRF5 antibody [EPR17067] (ab181553) at 1/5000 dilution

Lane 1:

Non-transfected HEK293T (Human epithelial cells from embryonic kidney) whole cell lysate at 10 µg

Lane 2:

IRF5 transfected HEK293T (Human epithelial cells from embryonic kidney) whole cell lysate at 10 µg

Secondary

All lanes:

Goat Anti-Rabbit IgG, (H+L),Peroxidase conjugated at 1/1000 dilution

Predicted band size: 56 kDa

Observed band size: 55 kDa

false

Exposure time: 1min

Western blot - Anti-IRF5 antibody [EPR17067] (AB181553)
  • WB

Supplier Data

Western blot - Anti-IRF5 antibody [EPR17067] (AB181553)

Blocking and diluting buffer and concentration : 5% NFDM/TBST In Western blot, anti-IRF5 antibody (ab181553) staining at 1/1000 dilution. Anti-GAPDH antibody (ab181602) loading control staining at 1/200000 dilution.

All lanes:

Western blot - Anti-IRF5 (phospho S446) antibody [EPR26132-254] (<a href='/products/primary-antibodies/irf5-phospho-s446-antibody-epr26132-254-ab309088'>ab309088</a>) at 1/1000 dilution

Lane 1:

293T cells transfected with a human IRF5 expression vector containing a His-tag whole cell lysate (untreated membrane) at 20 µg

Lane 2:

293T cells transfected with a human IRF5 expression vector containing a His-tag whole cell lysate (phosphatase treated membrane) at 20 µg

Secondary

All lanes:

Western blot - Goat Anti-Rabbit IgG H&L (HRP) (<a href='/products/secondary-antibodies/goat-rabbit-igg-h-l-hrp-ab97051'>ab97051</a>) at 1/20000 dilution

Observed band size: 56 kDa

false

Exposure time: 180s

関連する標識済み抗体及び組成の異なる製品 (2)

Key facts

宿主種

Rabbit

クローン性

Monoclonal

クローン番号

EPR17067

アイソタイプ

IgG

キャリアフリー

No

交差種

Mouse, Rat, Human

アプリケーション

Flow Cyt (Intra), IP, ICC/IF, IHC-P, WB

applications

免疫原

The exact immunogen used to generate this antibody is proprietary information.

Reactivity data

{ "title": "Reactivity Data", "filters": { "stats": ["", "Species", "Dilution Info", "Notes"], "tabs": { "all-applications": {"fullname" : "All Applications", "shortname": "All Applications"}, "IP" : {"fullname" : "Immunoprecipitation", "shortname":"IP"}, "WB" : {"fullname" : "Western blot", "shortname":"WB"}, "ICCIF" : {"fullname" : "Immunocytochemistry/ Immunofluorescence", "shortname":"ICC/IF"}, "FlowCytIntra" : {"fullname" : "Flow Cytometry (Intracellular)", "shortname":"Flow Cyt (Intra)"}, "IHCP" : {"fullname" : "Immunohistochemistry (Formalin/PFA-fixed paraffin-embedded sections)", "shortname":"IHC-P"} }, "product-promise": { "all": "all", "testedAndGuaranteed": "tested", "guaranteed": "expected", "predicted": "predicted", "notRecommended": "not-recommended" } }, "values": { "Human": { "IP-species-checked": "guaranteed", "IP-species-dilution-info": "", "IP-species-notes": "", "WB-species-checked": "testedAndGuaranteed", "WB-species-dilution-info": "1/1000", "WB-species-notes": "<p></p>", "ICCIF-species-checked": "testedAndGuaranteed", "ICCIF-species-dilution-info": "1/1000", "ICCIF-species-notes": "<p></p>", "FlowCytIntra-species-checked": "testedAndGuaranteed", "FlowCytIntra-species-dilution-info": "1/50", "FlowCytIntra-species-notes": "<p><a href='/products/primary-antibodies/rabbit-igg-monoclonal-epr25a-isotype-control-ab172730'>ab172730</a> - Rabbit monoclonal IgG, is suitable for use as an isotype control with this antibody.</p>", "IHCP-species-checked": "testedAndGuaranteed", "IHCP-species-dilution-info": "1/500", "IHCP-species-notes": "<p></p> Perform heat-mediated antigen retrieval with Tris/EDTA buffer pH 9.0 before commencing with IHC staining protocol." }, "Mouse": { "IP-species-checked": "testedAndGuaranteed", "IP-species-dilution-info": "1/150", "IP-species-notes": "<p></p>", "WB-species-checked": "testedAndGuaranteed", "WB-species-dilution-info": "1/1000", "WB-species-notes": "<p></p>", "ICCIF-species-checked": "testedAndGuaranteed", "ICCIF-species-dilution-info": "1/1000", "ICCIF-species-notes": "<p></p>", "FlowCytIntra-species-checked": "guaranteed", "FlowCytIntra-species-dilution-info": "", "FlowCytIntra-species-notes": "", "IHCP-species-checked": "testedAndGuaranteed", "IHCP-species-dilution-info": "1/500", "IHCP-species-notes": "<p></p> Perform heat-mediated antigen retrieval with Tris/EDTA buffer pH 9.0 before commencing with IHC staining protocol." }, "Rat": { "IP-species-checked": "guaranteed", "IP-species-dilution-info": "", "IP-species-notes": "", "WB-species-checked": "guaranteed", "WB-species-dilution-info": "", "WB-species-notes": "", "ICCIF-species-checked": "guaranteed", "ICCIF-species-dilution-info": "", "ICCIF-species-notes": "", "FlowCytIntra-species-checked": "guaranteed", "FlowCytIntra-species-dilution-info": "", "FlowCytIntra-species-notes": "", "IHCP-species-checked": "testedAndGuaranteed", "IHCP-species-dilution-info": "1/500", "IHCP-species-notes": "<p></p> Perform heat-mediated antigen retrieval with Tris/EDTA buffer pH 9.0 before commencing with IHC staining protocol." } } }

製品の詳細

Product Specifications
Anti-IRF5 antibody [EPR17067] (ab181553) was developed by Abcam using patented rabbit monoclonal antibody technology and is validated for use in Flow Cyt (Intra), ICC/IF, IHC-P, IP, WB in human, mouse, rat samples.
Anti-IRF5 antibody [EPR17067] (ab181553) specifically detects IRF5 (UniProt ID: Q13568; Molecular weight: 56kDa) and is sold in 100 µL and 1 mL selling sizes.

Quality and Validation
Abcam's high quality manufacturing and validation processes ensure Anti-IRF5 antibody [EPR17067] (ab181553) has high sensitivity and specificity alongside high lot-to-lot consistency and reproducibility.
The specificity of Anti-IRF5 antibody [EPR17067] (ab181553) has been confirmed by testing in knockout samples.
Anti-IRF5 antibody [EPR17067] (ab181553) has been cited over 24 times in peer reviewed journals and is trusted by the scientific community.

Related Products
Antibody clone EPR17067 is also available pre-conjugated to a variety of labels for your convenience - Alexa Fluor® 488 (ab208271).

Patented technology
Our RabMAb® technology is a patented hybridoma-based technology for making rabbit monoclonal antibodies. For details on our patents, please refer to RabMAb® patents.

What are the advantages of a recombinant monoclonal antibody?
This product is a recombinant monoclonal antibody, which offers several advantages including:

  • - High batch-to-batch consistency and reproducibility
  • - Improved sensitivity and specificity
  • - Long-term security of supply
  • - Animal-free batch production

For more information, read more on recombinant antibodies.

出荷温度及び保存条件

製品の状態
Liquid
精製方法
Affinity purification Protein A
バッファー組成
Preservative: 0.01% Sodium azide Constituents: PBS, 40% Glycerol (glycerin, glycerine), 0.05% BSA
出荷温度
Blue Ice
短期保存期間
1-2 weeks
短期保存温度
+4°C
長期保存温度
-20°C
分注に関する情報
Upon delivery aliquot
保管に関する情報
Avoid freeze / thaw cycle

製品プロトコール

For this product, it's our understanding that no specific protocols are required. You can visit:

ターゲットの情報

Transcription factor that plays a critical role in innate immunity by activating expression of type I interferon (IFN) IFNA and INFB and inflammatory cytokines downstream of endolysosomal toll-like receptors TLR7, TLR8 and TLR9 (PubMed : 11303025, PubMed : 15695821, PubMed : 22412986, PubMed : 25326418, PubMed : 32433612). Regulates the transcription of type I IFN genes (IFN-alpha and IFN-beta) and IFN-stimulated genes (ISG) by binding to an interferon-stimulated response element (ISRE) in their promoters (By similarity). Can efficiently activate both the IFN-beta (IFNB) and the IFN-alpha (IFNA) genes and mediate their induction downstream of the TLR-activated, MyD88-dependent pathway (By similarity). Key transcription factor regulating the IFN response during SARS-CoV-2 infection (PubMed : 33440148).
See full target information IRF5

文献 (43)

Recent publications for all applications. Explore the full list and refine your search

Biomedicines 13: PubMed41007813

2025

Interferon Regulator Factor 5: A Novel Inflammatory Marker and Promising Therapeutic Target in Ulcerative Colitis.

Applications

Unspecified application

Species

Unspecified reactive species

Karima Farrag,Aysegül Aksan,Marina Korotkova,Helena Idborg,Per-Johan Jakobsson,Andreas Weigert,Michael Vieth,Stefan Zeuzem,Irina Blumenstein,Jürgen Stein

Life science alliance 8: PubMed40639948

2025

TLR-induced STK25 activation promotes IRF5-mediated inflammation.

Applications

Unspecified application

Species

Unspecified reactive species

Matthew R Rice,Bharati Matta,Loretta Wang,Qi Luo,Jeremy De Guzman,Dinesh Srinivasan,Katelyn R Ludwig,Surya Indukuri,Leianna Brune,Seng-Lai Tan,Betsy J Barnes

International journal of molecular sciences 26: PubMed40332339

2025

IRF5 Mediates Artery Inflammation in Salt-Sensitive Hypertension by Regulating STAT1 and STAT2 Phosphorylation to Increase ESM1 Transcription: Insights from Bioinformatics and Mechanistic Analysis.

Applications

Unspecified application

Species

Unspecified reactive species

Qiaoyu Shao,Hao Wang,Shicheng Li,Mengying Zeng,Shuyang Zhang,Xiaowei Yan

JCO oncology advances 2:e2400083 PubMed40330144

2025

Phase II Study of Pexidartinib Plus Sirolimus in Unresectable Malignant Peripheral Nerve Sheath Tumors Identifies M2 Macrophage Activation.

Applications

Unspecified application

Species

Unspecified reactive species

Gulam A Manji,Liam J Stanton,Angela C Hirbe,Liner Ge,Sarah Sta Ana,Shiny Titus,Brian W Labadie,Michael S May,Yang Lyu,John S A Chrisinger,Naomi Sender,Varun Monga,Mohammed Milhem,Rashmi Chugh,Peter Sims,Aik Choon Tan,Shing Lee,Brian A Van Tine,Gary K Schwartz

Discover oncology 16:489 PubMed40198509

2025

Acinar cells modulate the tumor microenvironment through the promotion of M1 macrophage polarization via macrophage endocytosis in pancreatic cancer.

Applications

Unspecified application

Species

Unspecified reactive species

Congjia Ma,Wenbo Zhu,Xiulin Hu,Deli Wu,Xintong Zhao,Yiqi Du,Xiangyu Kong

Cellular and molecular life sciences : CMLS 82:131 PubMed40137979

2025

Microglia regulate myelin clearance and cholesterol metabolism after demyelination via interferon regulatory factor 5.

Applications

Unspecified application

Species

Unspecified reactive species

Alejandro Montilla,Alazne Zabala,Ibai Calvo,Marina Bosch-Juan,Irene Tomé-Velasco,Paloma Mata,Mirjam Koster,Amanda Sierra,Susanne M Kooistra,Federico N Soria,Bart J L Eggen,Olatz Fresnedo,José Andrés Fernández,Vanja Tepavcevic,Carlos Matute,María Domercq

Scientific reports 15:4015 PubMed39893238

2025

Atractylenolide I prevents acute liver failure in mouse by regulating M1 macrophage polarization.

Applications

Unspecified application

Species

Unspecified reactive species

Hui Zhang,Min Gao,Haiyan Wang,Junfeng Zhang,Lin Wang,Guanjun Dong,Qun Ma,Chunxia Li,Jun Dai,Zhihua Li,Fenglian Yan,Huabao Xiong

Nature communications 16:967 PubMed39856058

2025

The TLR7/9 adaptors TASL and TASL2 mediate IRF5-dependent antiviral responses and autoimmunity in mouse.

Applications

Unspecified application

Species

Unspecified reactive species

Ales Drobek,Léa Bernaleau,Maeva Delacrétaz,Sandra Calderon Copete,Claire Royer-Chardon,Mélissa Longepierre,Marta Monguió-Tortajada,Jakub Korzeniowski,Samuel Rotman,Julien Marquis,Manuele Rebsamen

Nature communications 16:968 PubMed39856038

2025

An essential role for TASL in mouse autoimmune pathogenesis and Toll-like receptor signaling.

Applications

Unspecified application

Species

Unspecified reactive species

Laura Lau,Taryn A Cariaga,Abraham B Chang,Joan H Lane,Whitney E Purtha,Aaron S Rapaport,Ruozhen Hu,Hiroyasu Konno,Daryl N Bulloch,Matthew J Rardin,Bradford W Gibson,Jason Devoss,Wenjun Ouyang,Paolo S Manzanillo

The Journal of experimental medicine 222: PubMed39656203

2024

CCDC134 controls TLR biogenesis through the ER chaperone Gp96.

Applications

Unspecified application

Species

Unspecified reactive species

Léa Bernaleau,Michaela Drobek,Fenja Blank,Philipp Walch,Maeva Delacrétaz,Ales Drobek,Marta Monguió-Tortajada,Petr Broz,Olivia Majer,Manuele Rebsamen
View all publications

Abcam product promise

当社は、高品質な試薬を通じてお客様の研究を力強くサポートすることをお約束いたします。ご使用いただく各段階で、常にお客様をサポートできる体制を整えております。万が一、製品が期待通りに機能しない場合は、「Abcam Product Promise」による当社保証制度に基づき、安心してご利用いただけます。
保証に関する詳細については利用規約をご確認ください。

Please note: All products are 'FOR RESEARCH USE ONLY. NOT FOR USE IN DIAGNOSTIC OR THERAPEUTIC PROCEDURES'.

For licensing inquiries, please contact partnerships@abcam.com