JavaScript is disabled in your browser. Please enable JavaScript to view this website.
AB186422

Anti-intestinal alkaline phosphatase 抗体 [EPR15201(B)]

Anti-intestinal alkaline phosphatase antibody [EPR15201(B)]

1

(1 Review)

|

(9 Publications)

Rabbit Recombinant Monoclonal PPBI antibody. Suitable for WB, IHC-P and reacts with Human, Mouse samples. Cited in 9 publications.

別名を表示する

Intestinal-type alkaline phosphatase, IAP, Intestinal alkaline phosphatase, ALPI

6 Images
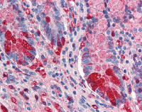
Immunohistochemistry (Formalin/PFA-fixed paraffin-embedded sections) - Anti-intestinal alkaline phosphatase antibody [EPR15201(B)] (AB186422)
  • IHC-P

Supplier Data

Immunohistochemistry (Formalin/PFA-fixed paraffin-embedded sections) - Anti-intestinal alkaline phosphatase antibody [EPR15201(B)] (AB186422)

Immunohistochemical analysis of paraffin-embedded Human small intestine tissue labeling Alkaline Phosphatase with ab186422 at 1/500 dilution followed by prediluted HRP Polymer for Rabbit IgG. Counter stained with Hematoxylin.

Perform heat mediated antigen retrieval with EDTA buffer pH 9 before commencing with IHC staining protocol.

Immunohistochemistry (Formalin/PFA-fixed paraffin-embedded sections) - Anti-intestinal alkaline phosphatase antibody [EPR15201(B)] (AB186422)
  • IHC-P

Lab

Immunohistochemistry (Formalin/PFA-fixed paraffin-embedded sections) - Anti-intestinal alkaline phosphatase antibody [EPR15201(B)] (AB186422)

Immunohistochemical analysis of paraffin-embedded mouse small intestine tissue labeling intestinal alkaline phosphatase with ab186422 at 1/100 dilution.

Negative control : no staining on mouse skeletal muscle.

The section was incubated with ab186422 for 30 mins at room temperature. The immunostaining was performed on a Leica Biosystems BOND® RX instrument. Counterstained with Hematoxylin.

Heat mediated antigen retrieval was performed with Tris-EDTA buffer (pH 9.0, Epitope Retrieval Solution2) for 20 mins.

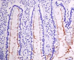
Immunohistochemistry (Formalin/PFA-fixed paraffin-embedded sections) - Anti-intestinal alkaline phosphatase antibody [EPR15201(B)] (AB186422)
  • IHC-P

Lab

Immunohistochemistry (Formalin/PFA-fixed paraffin-embedded sections) - Anti-intestinal alkaline phosphatase antibody [EPR15201(B)] (AB186422)

Immunohistochemical analysis of paraffin-embedded mouse small intestine tissue labeling intestinal alkaline phosphatase with ab186422 at 1/100 dilution.

Positive staining on brush border of mouse small intestine.

The section was incubated with ab186422 for 30 mins at room temperature. The immunostaining was performed on a Leica Biosystems BOND® RX instrument. Counterstained with Hematoxylin.

Heat mediated antigen retrieval was performed with Tris-EDTA buffer (pH 9.0, Epitope Retrieval Solution2) for 20 mins.

Western blot - Anti-intestinal alkaline phosphatase antibody [EPR15201(B)] (AB186422)
  • WB

Lab

Western blot - Anti-intestinal alkaline phosphatase antibody [EPR15201(B)] (AB186422)

Blocking and Diluting buffer : 5% NFDM/TBST

This antibody does not work in Caco-2 cells which should be positive (PMID : 20660763).

All lanes:

Western blot - Anti-intestinal alkaline phosphatase antibody [EPR15201(B)] (ab186422) at 1/1000 dilution

Lane 1:

Caco-2 (Human colorectal adenocarcinoma epithelial cell) whole cell lysates at 15 µg

Lane 2:

Human placenta lysates at 15 µg

Secondary

All lanes:

Western blot - Goat Anti-Rabbit IgG H&L (HRP) (<a href='/products/secondary-antibodies/goat-rabbit-igg-h-l-hrp-ab97051'>ab97051</a>) at 1/20000 dilution

Predicted band size: 57 kDa

Observed band size: 57 kDa

false

Exposure time: 15s

Western blot - Anti-intestinal alkaline phosphatase antibody [EPR15201(B)] (AB186422)
  • WB

Supplier Data

Western blot - Anti-intestinal alkaline phosphatase antibody [EPR15201(B)] (AB186422)

All lanes:

Western blot - Anti-intestinal alkaline phosphatase antibody [EPR15201(B)] (ab186422) at 1/1000 dilution

Lane 1:

JAR cell lysate at 10 µg

Lane 2:

Human placenta lysate at 10 µg

Secondary

All lanes:

Goat Anti-Rabbit IgG, (H+L), Peroxidase conjugate at 1/1000 dilution

Predicted band size: 57 kDa

false

Western blot - Anti-intestinal alkaline phosphatase antibody [EPR15201(B)] (AB186422)
  • WB

Supplier Data

Western blot - Anti-intestinal alkaline phosphatase antibody [EPR15201(B)] (AB186422)

All lanes:

Western blot - Anti-intestinal alkaline phosphatase antibody [EPR15201(B)] (ab186422) at 1/10000 dilution

All lanes:

HeLa cell lysate at 20 µg

Secondary

All lanes:

Goat Anti-Rabbit IgG, (H+L), Peroxidase conjugate at 1/1000 dilution

Predicted band size: 57 kDa

false

関連する標識済み抗体及び組成の異なる製品 (1)

  • Carrier free

    Anti-intestinal alkaline phosphatase antibody [EPR15201(B)] - BSA and Azide free

Key facts

宿主種

Rabbit

クローン性

Monoclonal

クローン番号

EPR15201(B)

アイソタイプ

IgG

キャリアフリー

No

交差種

Human, Mouse

アプリケーション

WB, IHC-P

applications

免疫原

The exact immunogen used to generate this antibody is proprietary information.

特異性

The immunogen used for this product shares 85.7% homology with ALPPL2 (Alkaline phosphatase placental-like). Cross-reactivity with this protein has not been confirmed experimentally.

Reactivity data

{ "title": "Reactivity Data", "filters": { "stats": ["", "Species", "Dilution Info", "Notes"], "tabs": { "all-applications": {"fullname" : "All Applications", "shortname": "All Applications"}, "WB" : {"fullname" : "Western blot", "shortname":"WB"}, "IHCP" : {"fullname" : "Immunohistochemistry (Formalin/PFA-fixed paraffin-embedded sections)", "shortname":"IHC-P"} }, "product-promise": { "all": "all", "testedAndGuaranteed": "tested", "guaranteed": "expected", "predicted": "predicted", "notRecommended": "not-recommended" } }, "values": { "Human": { "WB-species-checked": "testedAndGuaranteed", "WB-species-dilution-info": "1/1000 - 1/10000", "WB-species-notes": "<p></p>", "IHCP-species-checked": "testedAndGuaranteed", "IHCP-species-dilution-info": "1/100 - 1/500", "IHCP-species-notes": "<p></p>" }, "Mouse": { "WB-species-checked": "notRecommended", "WB-species-dilution-info": "", "WB-species-notes": "<p></p>", "IHCP-species-checked": "testedAndGuaranteed", "IHCP-species-dilution-info": "1/100", "IHCP-species-notes": "<p></p>" } } }

製品の詳細

Patented technology
Our RabMAb® technology is a patented hybridoma-based technology for making rabbit monoclonal antibodies. For details on our patents, please refer to RabMAb® patents.

What are the advantages of a recombinant monoclonal antibody?
This product is a recombinant monoclonal antibody, which offers several advantages including:

  • - High batch-to-batch consistency and reproducibility
  • - Improved sensitivity and specificity
  • - Long-term security of supply
  • - Animal-free batch production

For more information, read more on recombinant antibodies.

出荷温度及び保存条件

製品の状態
Liquid
精製方法
Affinity purification Protein A
バッファー組成
pH: 7.2 - 7.4 Preservative: 0.01% Sodium azide Constituents: PBS, 40% Glycerol (glycerin, glycerine), 0.05% BSA
出荷温度
Blue Ice
短期保存期間
1-2 weeks
短期保存温度
+4°C
長期保存温度
-20°C
分注に関する情報
Upon delivery aliquot
保管に関する情報
Avoid freeze / thaw cycle

補足情報

This supplementary information is collated from multiple sources and compiled automatically.

Intestinal alkaline phosphatase also known as alkaline phosphatase intestinal or intestinal ALP is an enzyme that plays an important mechanical role in dephosphorylation processes. This enzyme with a molecular weight (mw) of approximately 57 kDa is primarily expressed in the brush border of enterocytes lining the intestinal tract. It exhibits phosphatase activity by removing phosphate groups from various molecules including nucleotides proteins and alkaloids to regulate diverse physiological processes.
Biological function summary

Intestinal alkaline phosphatase is involved in maintaining gut health and homeostasis. It participates in the detoxification of lipopolysaccharides (LPS) and modulation of gut microbiota thereby reducing inflammation and protecting intestinal barrier function. This enzyme does not form part of a complex; instead it operates as a monomeric protein to execute its functions. By dephosphorylating toxins it contributes to the defense mechanisms of the intestinal mucosa aiding in the preservation of a balanced intestinal environment.

Pathways

Intestinal alkaline phosphatase is integrated into the digestive and immune pathways. Its function is closely linked with the regulation of the Toll-like receptor signaling pathway by detoxifying LPS a major outer membrane component of Gram-negative bacteria. Through this pathway it associates with proteins such as TLR4 thereby influencing immune responses and cytokine production. Additionally it plays a role in the absorption of nutrients by interacting with other digestive enzymes contributing to efficient nutrient uptake and utilization.

Intestinal alkaline phosphatase has been implicated in conditions such as inflammatory bowel disease (IBD) and metabolic syndrome. In inflammatory bowel disease the enzyme's ability to dephosphorylate and detoxify LPS is significant in ameliorating intestinal inflammation. Moreover an association exists between inadequate intestinal alkaline phosphatase activity and metabolic syndrome linking it to proteins such as LPS-binding protein (LBP) involved in inflammation and metabolism. Consequently this enzyme emerges as a potential therapeutic target in managing these disorders.

製品プロトコール

For this product, it's our understanding that no specific protocols are required. You can visit:

ターゲットの情報

Alkaline phosphatase that can hydrolyze various phosphate compounds.
See full target information ALPI

文献 (9)

Recent publications for all applications. Explore the full list and refine your search

Animals : an open access journal from MDPI 15: PubMed40804973

2025

Intestinal Alkaline Phosphatase Expression in Response to Infection in Nursery Pigs.

Applications

Unspecified application

Species

Unspecified reactive species

Sireethon Maksin,Attapon Kamlangdee,Alongkot Boonsoongnern,Prapassorn Boonsoongnern

Cells 14: PubMed40072089

2025

Skim Milk Culture of SBT0309 Increases Intestinal Alkaline Phosphatase Activity and Inhibits Lipopolysaccharide-Induced Interleukin-8 Production in Intestinal Epithelial Cells.

Applications

Unspecified application

Species

Unspecified reactive species

Michio Kawano,Toshinobu Arai,Toshihide Kabuki

Pediatric research 91:129-136 PubMed34465872

2021

Lipocalin-2 and calprotectin as stool biomarkers for predicting necrotizing enterocolitis in premature neonates.

Applications

Unspecified application

Species

Unspecified reactive species

Marie-Pier Thibault,Éric Tremblay,Chantal Horth,Aube Fournier-Morin,David Grynspan,Corentin Babakissa,Emile Levy,Emanuela Ferretti,Valérie Bertelle,Jean-François Beaulieu

Nutrients 12: PubMed32961978

2020

IIAEK Targets Intestinal Alkaline Phosphatase (IAP) to Improve Cholesterol Metabolism with a Specific Activation of IAP and Downregulation of ABCA1.

Applications

Unspecified application

Species

Unspecified reactive species

Asahi Takeuchi,Kentaro Hisamatsu,Natsuki Okumura,Yuki Sugimitsu,Emiko Yanase,Yoshihito Ueno,Satoshi Nagaoka

Advanced science (Weinheim, Baden-Wurttemberg, Ger 6:1900143 PubMed31179220

2019

Aptameric Probe Specifically Binding Protein Heterodimer Rather Than Monomers.

Applications

Unspecified application

Species

Unspecified reactive species

Tao Bing,Luyao Shen,Junyan Wang,Linlin Wang,Xiangjun Liu,Nan Zhang,Xiao Xiao,Dihua Shangguan

Science advances 5:eaau4255 PubMed30854425

2019

Type III interferon signaling restricts enterovirus 71 infection of goblet cells.

Applications

Unspecified application

Species

Unspecified reactive species

Charles Good,Alexandra I Wells,Carolyn B Coyne

International journal of molecular medicine 41:3433-3447 PubMed29512684

2018

Valproic acid prevents glucocorticoid‑induced osteonecrosis of the femoral head of rats.

Applications

Unspecified application

Species

Unspecified reactive species

Ding Zhou,Yi-Xuan Chen,Jun-Hui Yin,Shi-Cong Tao,Shang-Chun Guo,Zhan-Ying Wei,Yong Feng,Chang-Qing Zhang

International journal of molecular medicine 39:135-143 PubMed28004120

2016

Genetic differences in osteogenic differentiation potency in the thoracic ossification of the ligamentum flavum under cyclic mechanical stress.

Applications

Unspecified application

Species

Unspecified reactive species

Shanglong Ning,Zhongqiang Chen,Dongwei Fan,Chuiguo Sun,Chi Zhang,Yan Zeng,Weishi Li,Xiaofei Hou,Xiaochen Qu,Yunlong Ma,Huilei Yu

Cellular physiology and biochemistry : internation 39:1347-59 PubMed27607236

2016

Silencing of Long Non-Coding RNA NONHSAT009968 Ameliorates the Staphylococcal Protein A-Inhibited Osteogenic Differentiation in Human Bone Mesenchymal Stem Cells.

Applications

Unspecified application

Species

Unspecified reactive species

Yi Cui,Sheng Lu,Hongbo Tan,Jun Li,Min Zhu,Yongqing Xu
View all publications

Abcam product promise

当社は、高品質な試薬を通じてお客様の研究を力強くサポートすることをお約束いたします。ご使用いただく各段階で、常にお客様をサポートできる体制を整えております。万が一、製品が期待通りに機能しない場合は、「Abcam Product Promise」による当社保証制度に基づき、安心してご利用いただけます。
保証に関する詳細については利用規約をご確認ください。

Please note: All products are 'FOR RESEARCH USE ONLY. NOT FOR USE IN DIAGNOSTIC OR THERAPEUTIC PROCEDURES'.

For licensing inquiries, please contact partnerships@abcam.com