JavaScript is disabled in your browser. Please enable JavaScript to view this website.
AB203122

Anti-Integrin beta 3 抗体

Anti-Integrin beta 3 antibody

Be the first to review this product! Submit a review

|

(1 Publication)

Rabbit Polyclonal Integrin beta 3 antibody. Suitable for WB, IHC-P and reacts with Mouse, Human samples. Cited in 1 publication. Immunogen corresponding to Synthetic Peptide within Human ITGB3 aa 1-100 conjugated to Keyhole Limpet Haemocyanin.

別名を表示する

CD61, GP3A, ITGB3, Integrin beta-3, Platelet membrane glycoprotein IIIa, GPIIIa

2 Images
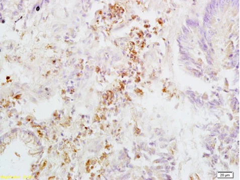
Immunohistochemistry (Formalin/PFA-fixed paraffin-embedded sections) - Anti-Integrin beta 3 antibody (AB203122)
  • IHC-P

Supplier Data

Immunohistochemistry (Formalin/PFA-fixed paraffin-embedded sections) - Anti-Integrin beta 3 antibody (AB203122)

Immunohistochemical analysis of formalin-fixed, paraffin embedded Human rectal carcinoma tissue labeling Integrin beta 3 with ab203122 at 1/200 dilution, followed by conjugation to the secondary antibody and DAB staining.

Western blot - Anti-Integrin beta 3 antibody (AB203122)
  • WB

Supplier Data

Western blot - Anti-Integrin beta 3 antibody (AB203122)

All lanes:

Western blot - Anti-Integrin beta 3 antibody (ab203122) at 1/300 dilution

All lanes:

Mouse placenta lysate

Secondary

All lanes:

Goat Anti-Rabbit IgG Antibody (H+L), HRP at 1/5000 dilution

Predicted band size: 87 kDa

false

Key facts

宿主種

Rabbit

クローン性

Polyclonal

アイソタイプ

IgG

キャリアフリー

No

交差種

Mouse, Human

アプリケーション

IHC-P, WB

applications

免疫原

Synthetic Peptide within Human ITGB3 aa 1-100 conjugated to Keyhole Limpet Haemocyanin. The exact immunogen used to generate this antibody is proprietary information.

P05106

Reactivity data

{ "title": "Reactivity Data", "filters": { "stats": ["", "Species", "Dilution Info", "Notes"], "tabs": { "all-applications": {"fullname" : "All Applications", "shortname": "All Applications"}, "WB" : {"fullname" : "Western blot", "shortname":"WB"}, "IHCP" : {"fullname" : "Immunohistochemistry (Formalin/PFA-fixed paraffin-embedded sections)", "shortname":"IHC-P"} }, "product-promise": { "all": "all", "testedAndGuaranteed": "tested", "guaranteed": "expected", "predicted": "predicted", "notRecommended": "not-recommended" } }, "values": { "Human": { "WB-species-checked": "guaranteed", "WB-species-dilution-info": "", "WB-species-notes": "", "IHCP-species-checked": "testedAndGuaranteed", "IHCP-species-dilution-info": "1/100 - 1/500", "IHCP-species-notes": "<p></p>" }, "Mouse": { "WB-species-checked": "testedAndGuaranteed", "WB-species-dilution-info": "1/100 - 1/1000", "WB-species-notes": "<p></p>", "IHCP-species-checked": "guaranteed", "IHCP-species-dilution-info": "", "IHCP-species-notes": "" } } }

出荷温度及び保存条件

製品の状態
Liquid
精製方法
Affinity purification Protein A
バッファー組成
pH: 7.4 Preservative: 0.02% Proclin 300 Constituents: 50% Glycerol (glycerin, glycerine), 48.98% TBS, 1X, 1% BSA
出荷温度
Blue Ice
短期保存期間
1-2 weeks
短期保存温度
+4°C
長期保存温度
-20°C
分注に関する情報
Upon delivery aliquot
保管に関する情報
Avoid freeze / thaw cycle

補足情報

This supplementary information is collated from multiple sources and compiled automatically.

Integrin beta 3 also known as ITGB3 beta 3 integrin or CD41/CD61 is a cell surface receptor that plays a role in cell adhesion and signal transduction. It is a member of the integrin family characterized by a heterodimer structure formed with an alpha subunit. This integrin has a molecular mass of approximately 88 kDa. Integrin beta 3 is expressed on platelets megakaryocytes and several other cell types such as endothelial cells and certain tumor cells.
Biological function summary

Integrins serve as the mechanical link between the extracellular matrix and the cytoskeleton. Beta 3 integrin forms a complex with different alpha subunits most notably alpha IIb to function as a receptor for fibrinogen fibronectin and vitronectin. This receptor complex is essential for platelet aggregation and normal hemostasis. Dysregulation can lead to altered cellular responses impacting processes like immune response and tumor progression.

Pathways

Integrin beta 3 participates in the signaling of outside-in and inside-out pathways that are fundamental in cellular dynamics. Of particular significance are the integrin-mediated signaling pathways and the TGF-beta signaling pathway which influence cellular proliferation and differentiation. Integrin beta 3 interacts with proteins such as talin and kindlin which are vital for activation and clustering of integrins during cell signaling processes.

Altered expression or function of integrin beta 3 is associated with bleeding disorders like Glanzmann's thrombasthenia where platelet aggregation is impaired. Additionally it plays a role in the progression of certain cancers due to its involvement in cell migration and invasion. The interaction of integrin beta 3 with proteins such as VEGF and MMPs is significant in the context of tumor angiogenesis and metastasis.

製品プロトコール

For this product, it's our understanding that no specific protocols are required. You can visit:

ターゲットの情報

Integrin alpha-V/beta-3 (ITGAV : ITGB3) is a receptor for cytotactin, fibronectin, laminin, matrix metalloproteinase-2, osteopontin, osteomodulin, prothrombin, thrombospondin, vitronectin and von Willebrand factor. Integrin alpha-IIb/beta-3 (ITGA2B : ITGB3) is a receptor for fibronectin, fibrinogen, plasminogen, prothrombin, thrombospondin and vitronectin. Integrins alpha-IIb/beta-3 and alpha-V/beta-3 recognize the sequence R-G-D in a wide array of ligands. Integrin alpha-IIb/beta-3 recognizes the sequence H-H-L-G-G-G-A-K-Q-A-G-D-V in fibrinogen gamma chain (By similarity). Following activation integrin alpha-IIb/beta-3 brings about platelet/platelet interaction through binding of soluble fibrinogen (PubMed : 9111081). This step leads to rapid platelet aggregation which physically plugs ruptured endothelial surface. Fibrinogen binding enhances SELP expression in activated platelets (By similarity). ITGAV : ITGB3 binds to fractalkine (CX3CL1) and acts as its coreceptor in CX3CR1-dependent fractalkine signaling (PubMed : 23125415, PubMed : 24789099). ITGAV : ITGB3 binds to NRG1 (via EGF domain) and this binding is essential for NRG1-ERBB signaling (PubMed : 20682778). ITGAV : ITGB3 binds to FGF1 and this binding is essential for FGF1 signaling (PubMed : 18441324). ITGAV : ITGB3 binds to FGF2 and this binding is essential for FGF2 signaling (PubMed : 28302677). ITGAV : ITGB3 binds to IGF1 and this binding is essential for IGF1 signaling (PubMed : 19578119). ITGAV : ITGB3 binds to IGF2 and this binding is essential for IGF2 signaling (PubMed : 28873464). ITGAV : ITGB3 binds to IL1B and this binding is essential for IL1B signaling (PubMed : 29030430). ITGAV : ITGB3 binds to PLA2G2A via a site (site 2) which is distinct from the classical ligand-binding site (site 1) and this induces integrin conformational changes and enhanced ligand binding to site 1 (PubMed : 18635536, PubMed : 25398877). ITGAV : ITGB3 acts as a receptor for fibrillin-1 (FBN1) and mediates R-G-D-dependent cell adhesion to FBN1 (PubMed : 12807887). In brain, plays a role in synaptic transmission and plasticity. Involved in the regulation of the serotonin neurotransmission, is required to localize to specific compartments within the synapse the serotonin receptor SLC6A4 and for an appropriate reuptake of serotonin. Controls excitatory synaptic strength by regulating GRIA2-containing AMPAR endocytosis, which affects AMPAR abundance and composition (By similarity). ITGAV : ITGB3 act as a receptor for CD40LG (PubMed : 31331973). ITGAV : ITGB3 acts as a receptor for IBSP and promotes cell adhesion and migration to IBSP (PubMed : 10640428).. (Microbial infection) Integrin ITGAV : ITGB3 acts as a receptor for Herpes virus 8/HHV-8.. (Microbial infection) Integrin ITGAV : ITGB3 acts as a receptor for Coxsackievirus A9.. (Microbial infection) Acts as a receptor for Hantaan virus.. (Microbial infection) Integrin ITGAV : ITGB3 acts as a receptor for Cytomegalovirus/HHV-5.. (Microbial infection) Integrin ITGA5 : ITGB3 acts as a receptor for Human metapneumovirus.. (Microbial infection) Integrin ITGAV : ITGB3 acts aP05556s a receptor for Human parechovirus 1.. (Microbial infection) Integrin ITGAV : ITGB3 acts as a receptor for West nile virus.. (Microbial infection) In case of HIV-1 infection, the interaction with extracellular viral Tat protein seems to enhance angiogenesis in Kaposi's sarcoma lesions.
See full target information ITGB3

文献 (1)

Recent publications for all applications. Explore the full list and refine your search

International journal of cancer 146:192-207 PubMed31107974

2019

Wnt/IL-1β/IL-8 autocrine circuitries control chemoresistance in mesothelioma initiating cells by inducing ABCB5.

Applications

Unspecified application

Species

Unspecified reactive species

Vladan Milosevic,Joanna Kopecka,Iris C Salaroglio,Roberta Libener,Francesca Napoli,Stefania Izzo,Sara Orecchia,Preeta Ananthanarayanan,Paolo Bironzo,Federica Grosso,Fabrizio Tabbò,Valentina Comunanza,Teodora Alexa-Stratulat,Federico Bussolino,Luisella Righi,Silvia Novello,Giorgio V Scagliotti,Chiara Riganti
View all publications

Abcam product promise

当社は、高品質な試薬を通じてお客様の研究を力強くサポートすることをお約束いたします。ご使用いただく各段階で、常にお客様をサポートできる体制を整えております。万が一、製品が期待通りに機能しない場合は、「Abcam Product Promise」による当社保証制度に基づき、安心してご利用いただけます。
保証に関する詳細については利用規約をご確認ください。

Please note: All products are 'FOR RESEARCH USE ONLY. NOT FOR USE IN DIAGNOSTIC OR THERAPEUTIC PROCEDURES'.

For licensing inquiries, please contact partnerships@abcam.com