JavaScript is disabled in your browser. Please enable JavaScript to view this website.
AB227974

Anti-INSL3 抗体 [EPR20739]

Anti-INSL3 antibody [EPR20739]

1

(3 Reviews)

|

(1 Publication)

Rabbit Recombinant Monoclonal INSL3 antibody. Suitable for IP, WB, IHC-P and reacts with Human samples. Cited in 1 publication.

別名を表示する

RLF, RLNL, INSL3, Insulin-like 3, Leydig insulin-like peptide, Relaxin-like factor, Ley-I-L

6 Images
Immunohistochemistry (Formalin/PFA-fixed paraffin-embedded sections) - Anti-INSL3 antibody [EPR20739] (AB227974)
  • IHC-P

Supplier Data

Immunohistochemistry (Formalin/PFA-fixed paraffin-embedded sections) - Anti-INSL3 antibody [EPR20739] (AB227974)

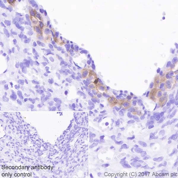
Immunohistochemical analysis of paraffin-embedded human ovary tissue labeling INSL3 with ab227974 at 1/1000 dilution, followed by Goat Anti-Rabbit IgG H&L (HRP) Ready to use. Cytoplasmic staining in thecal cells of human ovary is observed (PMID : 21138583). Counter stained with Hematoxylin.

Secondary antibody only control : Used PBS instead of primary antibody, secondary antibody is Goat Anti-Rabbit IgG H&L (HRP) Ready to use.

Perform heat mediated antigen retrieval with Tris/EDTA buffer pH 9.0 before commencing with IHC staining protocol.

Immunohistochemistry (Formalin/PFA-fixed paraffin-embedded sections) - Anti-INSL3 antibody [EPR20739] (AB227974)
  • IHC-P

Supplier Data

Immunohistochemistry (Formalin/PFA-fixed paraffin-embedded sections) - Anti-INSL3 antibody [EPR20739] (AB227974)

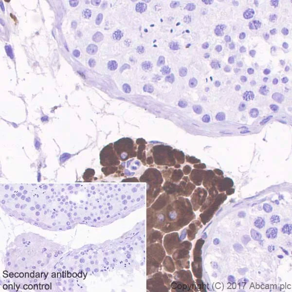
Immunohistochemical analysis of paraffin-embedded human Leydig tumor tissue labeling INSL3 with ab227974 at 1/1000 dilution, followed by Goat Anti-Rabbit IgG H&L (HRP) Ready to use. Cytoplasmic staining in human Leydig tumor cells is observed (PMID : 25609776). Counter stained with Hematoxylin.

Secondary antibody only control : Used PBS instead of primary antibody, secondary antibody is Goat Anti-Rabbit IgG H&L (HRP) Ready to use.

Perform heat mediated antigen retrieval with Tris/EDTA buffer pH 9.0 before commencing with IHC staining protocol.

Immunohistochemistry (Formalin/PFA-fixed paraffin-embedded sections) - Anti-INSL3 antibody [EPR20739] (AB227974)
  • IHC-P

Supplier Data

Immunohistochemistry (Formalin/PFA-fixed paraffin-embedded sections) - Anti-INSL3 antibody [EPR20739] (AB227974)

Immunohistochemical analysis of paraffin-embedded human testis tissue labeling INSL3 with ab227974 at 1/1000 dilution, followed by Goat Anti-Rabbit IgG H&L (HRP) Ready to use. Cytoplasmic staining in Leydig cells of human testis is observed (PMID : 19329805). Counter stained with Hematoxylin.

Secondary antibody only control : Used PBS instead of primary antibody, secondary antibody is Goat Anti-Rabbit IgG H&L (HRP) Ready to use.

Perform heat mediated antigen retrieval with Tris/EDTA buffer pH 9.0 before commencing with IHC staining protocol.

Immunoprecipitation - Anti-INSL3 antibody [EPR20739] (AB227974)
  • IP

Supplier Data

Immunoprecipitation - Anti-INSL3 antibody [EPR20739] (AB227974)

INSL3 was immunoprecipitated from 0.35 mg of human testis lysate with ab227974 at 1/30 dilution. Western blot was performed from the immunoprecipitate using ab227974 at 1/1000 dilution. VeriBlot for IP Detection Reagent (HRP) (ab131366), was used for detection at 1/10000 dilution.

Lane 1 : Human testis lysate 10 μg (Input).

Lane 2 : ab227974 IP in human testis lysate.

Lane 3 : Rabbit monoclonal IgG (ab172730) instead of ab227974 in human testis lysate.

Exposure time : 10 seconds.

Blocking and dilution buffer and concentration : 5% NFDM/TBST.

All lanes:

Immunoprecipitation - Anti-INSL3 antibody [EPR20739] (ab227974)

Predicted band size: 14 kDa

Observed band size: 15 kDa,30 kDa

true

Western blot - Anti-INSL3 antibody [EPR20739] (AB227974)
  • WB

Supplier Data

Western blot - Anti-INSL3 antibody [EPR20739] (AB227974)

Blocking/Dilution buffer : 5% NFDM/TBST.

All lanes:

Western blot - Anti-INSL3 antibody [EPR20739] (ab227974) at 1/10000 dilution

All lanes:

Human testis lysate at 10 µg

Secondary

All lanes:

Western blot - VeriBlot for IP Detection Reagent (HRP) (<a href='/products/reagents/veriblot-for-ip-detection-reagent-hrp-ab131366'>ab131366</a>) at 1/4000 dilution

Predicted band size: 14 kDa

Observed band size: 15 kDa

true

Exposure time: 3min

Western blot - Anti-INSL3 antibody [EPR20739] (AB227974)
  • WB

Supplier Data

Western blot - Anti-INSL3 antibody [EPR20739] (AB227974)

Bocking/Dilution buffer : 5% NFDM/TBST.

The 30kDa band is a dimer.

All lanes:

Western blot - Anti-INSL3 antibody [EPR20739] (ab227974) at 1/1000 dilution

Lane 1:

Untreated human testis lysate at 10 µg

Lane 2:

Human testis lysate treated with double DTT (100 mmol/L) at 10 µg

Secondary

All lanes:

Western blot - Goat Anti-Rabbit IgG H&L (HRP) (<a href='/products/secondary-antibodies/goat-rabbit-igg-h-l-hrp-ab97051'>ab97051</a>) at 1/20000 dilution

Predicted band size: 14 kDa

Observed band size: 15 kDa,30 kDa

true

Exposure time: 1s

関連する標識済み抗体及び組成の異なる製品 (1)

  • Carrier free

    Anti-INSL3 antibody [EPR20739] - BSA and Azide free

Key facts

宿主種

Rabbit

クローン性

Monoclonal

クローン番号

EPR20739

アイソタイプ

IgG

キャリアフリー

No

交差種

Human

アプリケーション

IP, IHC-P, WB

applications

免疫原

The exact immunogen used to generate this antibody is proprietary information.

特異性

This product recognises a different epitope compared to ab224643.

Reactivity data

{ "title": "Reactivity Data", "filters": { "stats": ["", "Species", "Dilution Info", "Notes"], "tabs": { "all-applications": {"fullname" : "All Applications", "shortname": "All Applications"}, "IP" : {"fullname" : "Immunoprecipitation", "shortname":"IP"}, "WB" : {"fullname" : "Western blot", "shortname":"WB"}, "IHCP" : {"fullname" : "Immunohistochemistry (Formalin/PFA-fixed paraffin-embedded sections)", "shortname":"IHC-P"} }, "product-promise": { "all": "all", "testedAndGuaranteed": "tested", "guaranteed": "expected", "predicted": "predicted", "notRecommended": "not-recommended" } }, "values": { "Human": { "IP-species-checked": "testedAndGuaranteed", "IP-species-dilution-info": "1/30", "IP-species-notes": "<p></p>", "WB-species-checked": "testedAndGuaranteed", "WB-species-dilution-info": "1/1000", "WB-species-notes": "<p></p>", "IHCP-species-checked": "testedAndGuaranteed", "IHCP-species-dilution-info": "1/1000", "IHCP-species-notes": "<p></p> Perform heat-mediated antigen retrieval with Tris/EDTA buffer pH 9.0 before commencing with IHC staining protocol." } } }

製品の詳細

Patented technology
Our RabMAb® technology is a patented hybridoma-based technology for making rabbit monoclonal antibodies. For details on our patents, please refer to RabMAb® patents.

What are the advantages of a recombinant monoclonal antibody?
This product is a recombinant monoclonal antibody, which offers several advantages including:

  • - High batch-to-batch consistency and reproducibility
  • - Improved sensitivity and specificity
  • - Long-term security of supply
  • - Animal-free batch production

For more information, read more on recombinant antibodies.

出荷温度及び保存条件

製品の状態
Liquid
精製方法
Affinity purification Protein A
バッファー組成
pH: 7.2 - 7.4 Preservative: 0.01% Sodium azide Constituents: PBS, 40% Glycerol (glycerin, glycerine), 0.05% BSA
出荷温度
Blue Ice
短期保存期間
1-2 weeks
短期保存温度
+4°C
長期保存温度
-20°C
分注に関する情報
Upon delivery aliquot
保管に関する情報
Avoid freeze / thaw cycle

補足情報

This supplementary information is collated from multiple sources and compiled automatically.

The INSL3 gene encodes insulin-like peptide 3 also known as Relaxin-like peptide. It is a hormone belonging to the insulin superfamily with a molecular mass of approximately 12 kDa. INSL3 is expressed primarily in the Leydig cells of the testes in males but can also be found in the theca cells of the ovaries in females. This peptide hormone plays a significant role in male and female reproductive physiology by acting through its receptor RXFP2 (Relaxin family peptide receptor 2).
Biological function summary

Insulin-like peptide 3 influences the development of male gonads and the descent of testes during embryonic development making it important for reproductive success. INSL3 also functions in ovarian follicle maturation in females. This hormone operates by binding to the RXFP2 receptor forming a complex that triggers signaling cascades leading to tissue development and differentiation. However the extent of its involvement in female reproductive processes remains under investigation.

Pathways

Insulin-like peptide 3 functions mainly through the cAMP signaling pathway via its interaction with RXFP2 which plays an important role in regulating cell proliferation and differentiation. INSL3 influences the reproductive hormone axis working alongside other hormones like testosterone and luteinizing hormone to coordinate testicular descent and manage reproductive function. Its signaling pathway impacts various stages of gonadal development and maturation.

Mutations or dysfunctions in the INSL3 or RXFP2 gene may result in cryptorchidism a condition where one or both testicles fail to descend properly affecting fertility. This condition involves the hormone-testosterone pathway highlighting the critical interactions between INSL3 and testosterone synthesis. Additionally altered levels of INSL3 could be linked to conditions related to ovarian function disorders reflecting its importance in both male and female reproductive health.

製品プロトコール

For this product, it's our understanding that no specific protocols are required. You can visit:

ターゲットの情報

Seems to play a role in testicular function. May be a trophic hormone with a role in testicular descent in fetal life. Is a ligand for LGR8 receptor.
See full target information INSL3

文献 (1)

Recent publications for all applications. Explore the full list and refine your search

International journal of molecular sciences 24: PubMed37175979

2023

The Air-Liquid Interface Reorganizes Membrane Lipids and Enhances the Recruitment of Slc26a3 to Lipid-Rich Domains in Human Colonoid Monolayers.

Applications

Unspecified application

Species

Unspecified reactive species

C Ming Tse,Zixin Zhang,Ruxian Lin,Rafiquel Sarker,Mark Donowitz,Varsha Singh
View all publications

Abcam product promise

当社は、高品質な試薬を通じてお客様の研究を力強くサポートすることをお約束いたします。ご使用いただく各段階で、常にお客様をサポートできる体制を整えております。万が一、製品が期待通りに機能しない場合は、「Abcam Product Promise」による当社保証制度に基づき、安心してご利用いただけます。
保証に関する詳細については利用規約をご確認ください。

Please note: All products are 'FOR RESEARCH USE ONLY. NOT FOR USE IN DIAGNOSTIC OR THERAPEUTIC PROCEDURES'.

For licensing inquiries, please contact partnerships@abcam.com