JavaScript is disabled in your browser. Please enable JavaScript to view this website.
AB3523

Anti-iNOS 抗体

Anti-iNOS antibody

4

(34 Reviews)

|

(439 Publications)

Anti-iNOS antibody (ab3523) is a rabbit polyclonal antibody detecting iNOS in Western Blot, IHC-P, ICC/IF. Suitable for Human, Mouse.

- Over 340 publications
- Trusted since 2003

別名を表示する

NOS2A, NOS2, Hepatocyte NOS, Inducible NO synthase, NOS type II, Peptidyl-cysteine S-nitrosylase NOS2, HEP-NOS, Inducible NOS, iNOS

5 Images
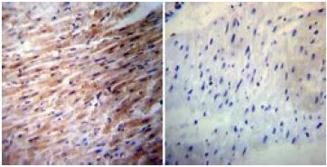
Immunohistochemistry (Formalin/PFA-fixed paraffin-embedded sections) - Anti-iNOS antibody (AB3523)
  • IHC-P

Supplier Data

Immunohistochemistry (Formalin/PFA-fixed paraffin-embedded sections) - Anti-iNOS antibody (AB3523)

Immunohistochemistry analysis of human heart tissue stained for iNOS without (negative control) or using ab3523 at 1/200 dilution overnight at 4°C in a humidified chamber, followed biotin-conjugated secondary antibody and SA-HRP, followed by colorimetric detection using DAB. Tissues were counterstained with hematoxylin and prepped for mounting. Tissues were washed extensively with PBST and endogenous peroxidase activity was quenched with a peroxidase suppressor.

To expose target proteins, heat induced antigen retrieval was performed using 10mM sodium citrate (pH6.0) buffer, microwaved for 8-15 minutes. Following antigen retrieval tissues were blocked in 3% BSA-PBS for 30 minutes at room temperature.

Immunocytochemistry/ Immunofluorescence - Anti-iNOS antibody (AB3523)
  • ICC/IF

Supplier Data

Immunocytochemistry/ Immunofluorescence - Anti-iNOS antibody (AB3523)

Immunofluorescence analysis of A549 (human lung carcinoma cell line) whole cells labelling iNOS (Left panel : green) without (control) or using ab3523 at 1/20 dilution overnight at 4°C, followed DyLight-488 conjugated secondary antibody. Counter stain : F-Actin staining with Phalloidin (red) and nuclei with DAPI (blue) is shown. Images were taken at 60X magnification.

Cells were grown on chamber slides and fixed with formaldehyde prior to staining.

Immunocytochemistry/ Immunofluorescence - Anti-iNOS antibody (AB3523)
  • ICC/IF

Supplier Data

Immunocytochemistry/ Immunofluorescence - Anti-iNOS antibody (AB3523)

Immunofluorescence analysis of NIH/3T3 (mouse embryo fibroblast cell line) whole cells labelling iNOS (Left panel : green) without (control) or using ab3523 at 1/20 dilution overnight at 4°C, followed DyLight-488 conjugated secondary antibody. Counter stain : F-Actin staining with Phalloidin (red) and nuclei with DAPI (blue) is shown. Images were taken at 60X magnification.

Cells were grown on chamber slides and fixed with formaldehyde prior to staining.

Western blot - Anti-iNOS antibody (AB3523)
  • WB

Supplier Data

Western blot - Anti-iNOS antibody (AB3523)

This was run using 4-12% Bis-Tris Protein Gel and a Nitrocellulose membrane. Observed band at 130kDa in LPS treated RAW 264.7 cells, and an uncharacterized band at ~60kDa.

All lanes:

Western blot - Anti-iNOS antibody (ab3523)

Lane 1:

Whole cell lysate of RAW 264.7 at 30 µg

Lane 2:

Whole cell lysate of RAW 264.7 treated with LPS at 30 µg

Secondary

All lanes:

Goat anti-Rabbit IgG (Heavy Chain) Superclonal™ Recombinant Secondary Antibody, HRP

false

Western blot - Anti-iNOS antibody (AB3523)
  • WB

Supplier Data

Western blot - Anti-iNOS antibody (AB3523)

Using 4-20% Tris-Glycine polyacrylamide gel and transferred to a nitrocellulose membrane, blocked with 5% Milk in TBST for at least 1 hour. The membrane was probed with ab3523 at 4°C overnight on a rocking platform, washed in TBST,  and probed with the secondary antibody for 1 hour.

All lanes:

Western blot - Anti-iNOS antibody (ab3523)

Lane 1:

RAW264 whole cell lysate untreated at 20 µg

Lane 2:

RAW264 whole cell lysate untreated stimulated with LPS at 1 µg/mL for 16 hours at 20 µg

Secondary

All lanes:

Goat anti-Rabbit IgG (Heavy Chain) Superclonal Secondary Antibody, HRP conjugate at 1/1000 dilution

false

Key facts

宿主種

Rabbit

クローン性

Polyclonal

アイソタイプ

IgG

キャリアフリー

No

交差種

Mouse, Human

アプリケーション

WB, IHC-P, ICC/IF

applications

免疫原

Synthetic Peptide within Mouse Nos2 aa 1-50. The exact immunogen used to generate this antibody is proprietary information.

P29477

特異性

This antibody detects iNOS. It does not detect other NOS isoforms. By western blot, this antibody detects an ~135 kDa protein representing recombinant human iNOS. By western blot, this antibody also detects purified recombinant mouse iNOS, mouse iNOS from cytokine stimulated RAW 264.7 cells.

Reactivity data

{ "title": "Reactivity Data", "filters": { "stats": ["", "Species", "Dilution Info", "Notes"], "tabs": { "all-applications": {"fullname" : "All Applications", "shortname": "All Applications"}, "IHCP" : {"fullname" : "Immunohistochemistry (Formalin/PFA-fixed paraffin-embedded sections)", "shortname":"IHC-P"}, "ICCIF" : {"fullname" : "Immunocytochemistry/ Immunofluorescence", "shortname":"ICC/IF"}, "WB" : {"fullname" : "Western blot", "shortname":"WB"} }, "product-promise": { "all": "all", "testedAndGuaranteed": "tested", "guaranteed": "expected", "predicted": "predicted", "notRecommended": "not-recommended" } }, "values": { "Human": { "IHCP-species-checked": "testedAndGuaranteed", "IHCP-species-dilution-info": "1/20", "IHCP-species-notes": "<p></p>", "ICCIF-species-checked": "testedAndGuaranteed", "ICCIF-species-dilution-info": "1/50", "ICCIF-species-notes": "<p></p>", "WB-species-checked": "guaranteed", "WB-species-dilution-info": "", "WB-species-notes": "" }, "Mouse": { "IHCP-species-checked": "guaranteed", "IHCP-species-dilution-info": "", "IHCP-species-notes": "", "ICCIF-species-checked": "testedAndGuaranteed", "ICCIF-species-dilution-info": "1/50", "ICCIF-species-notes": "<p></p>", "WB-species-checked": "testedAndGuaranteed", "WB-species-dilution-info": "", "WB-species-notes": "<p></p>" } } }

製品の詳細

Product Specifications

Anti-iNOS antibody (ab3523) is a rabbit polyclonal antibody and is validated for use in ICC/IF, IHC-P, WB in human, mouse samples.
Anti-iNOS antibody (ab3523) specifically detects iNOS (UniProt ID: P29477; Molecular weight: 131kDa) and is sold in 200 µL selling sizes.

Quality and Validation

Abcam's high quality validation processes ensure Anti-iNOS antibody (ab3523) has high sensitivity and specificity.
Anti-iNOS antibody (ab3523) has been cited over 347 times in peer reviewed journals and is trusted by the scientific community.
Anti-iNOS antibody (ab3523) has 31 independent reviews from customers.

出荷温度及び保存条件

製品の状態
Liquid
精製方法
Affinity purification Immunogen
バッファー組成
Preservative: 0.05% Sodium azide Constituents: PBS, 0.1% BSA
出荷温度
Blue Ice
短期保存期間
1-2 weeks
短期保存温度
+4°C
長期保存温度
-20°C
分注に関する情報
Upon delivery aliquot
保管に関する情報
Avoid freeze / thaw cycle

補足情報

This supplementary information is collated from multiple sources and compiled automatically.

Inducible Nitric Oxide Synthase commonly referred to as iNOS or NOS2 is an important enzyme in the production of nitric oxide (NO) from L-arginine. This enzyme has a molecular weight of approximately 130 kDa and is expressed in various cell types including macrophages and hepatocytes. iNOS becomes active in response to inflammatory stimuli and can produce large amounts of NO for extended periods. Western blotting and iNOS ELISA kits are frequently used methods to detect and quantify the presence and activity of iNOS in different biological samples.
Biological function summary

INOS plays a significant role in the immune system by participating in the defense against pathogens. The enzyme is part of a molecular complex that generates NO which acts as a signaling molecule and has antimicrobial properties. iNOS activity is induced during immune responses and contributes to the elimination of bacteria and viruses through the production of reactive nitrogen species. Its expression is tightly regulated by cytokines and other signaling molecules that modulate the extent of its action.

Pathways

INOS integrates into the nitric oxide signaling pathway and is closely associated with inflammatory pathways. NO serves as a messenger within the nitric oxide signaling pathway facilitating processes like vasodilation and neurotransmission. iNOS works alongside other proteins such as cytokines like interferon-gamma that elevate its activity during inflammation and immune responses. The regulation of iNOS expression and activity plays an essential role in maintaining immune homeostasis and ensuring proper response to infections.

INOS is linked to conditions characterized by excessive inflammation such as rheumatoid arthritis and sepsis. In these diseases overproduction of nitric oxide by iNOS can lead to tissue damage and exacerbate symptoms. Additionally iNOS is associated with the protein TNF-alpha as its expression is often driven by inflammatory mediators during disease states. Understanding the role of iNOS in such conditions provides insights into potential therapeutic targets for managing inflammatory diseases.

製品プロトコール

For this product, it's our understanding that no specific protocols are required. You can visit:

ターゲットの情報

Produces nitric oxide (NO) which is a messenger molecule with diverse functions throughout the body (PubMed : 7504305, PubMed : 7531687, PubMed : 7544004, PubMed : 7682706). In macrophages, NO mediates tumoricidal and bactericidal actions. Also has nitrosylase activity and mediates cysteine S-nitrosylation of cytoplasmic target proteins such PTGS2/COX2 (By similarity). As component of the iNOS-S100A8/9 transnitrosylase complex involved in the selective inflammatory stimulus-dependent S-nitrosylation of GAPDH on 'Cys-247' implicated in regulation of the GAIT complex activity and probably multiple targets including ANXA5, EZR, MSN and VIM (PubMed : 25417112). Involved in inflammation, enhances the synthesis of pro-inflammatory mediators such as IL6 and IL8 (PubMed : 19688109).
See full target information NOS2

文献 (439)

Recent publications for all applications. Explore the full list and refine your search

Scientific reports 15:32554 PubMed40954151

2025

Cranberry improves metabolic syndrome-related organ dysfunction in rats by modulating AMPK/SREBP1, ROCK1 and TGF-β1.

Applications

Unspecified application

Species

Unspecified reactive species

Sahar M Elashmony,Yosra Alhindi,Dina H Merzeban,Rehab A Mohammed,Asmaa Mohamed Elsayed,Marwa A Sofi,Rania H Mahmoud,Hanan A Shamardl,Dina Elsayed Shaker

Journal of neurochemistry 169:e70228 PubMed40931680

2025

14-3-3 Proteins Negatively Regulate Microglial Activation via Inhibition of the NF-κB Pathway.

Applications

Unspecified application

Species

Unspecified reactive species

William J Stone,Frank Sanders Pair,Roschongporn Ekkatine,Mary Gannon,Kasandra Scholz,Rudradip Pattanayak,Rohma Syed,Talene A Yacoubian

Cell biology and toxicology 41:126 PubMed40833519

2025

USP18 promotes ferroptosis in lipopolysaccharide-induced human kidney organoids by stabilizing STING1.

Applications

Unspecified application

Species

Unspecified reactive species

Hao Yang,Lingfei Zhao,Weiwei Kong,Shanshan Liu,Qin Zhou,Xiabing Lang,Lan Lan,Yucheng Wang

International journal of molecular sciences 26: PubMed40565142

2025

The Anti-Parkinsonian A2A Receptor Antagonist Istradefylline (KW-6002) Attenuates Behavioral Abnormalities, Neuroinflammation, and Neurodegeneration in Cerebral Ischemia: An Adenosinergic Signaling Link Between Stroke and Parkinson's Disease.

Applications

Unspecified application

Species

Unspecified reactive species

Michael G Zaki,Elisabet Jakova,Mahboubeh Pordeli,Elina Setork,Changiz Taghibiglou,Francisco S Cayabyab

Biological trace element research : PubMed40555954

2025

Protective Effect of Syringic Acid Against Cadmium-Induced Testicular Toxicity in Mice.

Applications

Unspecified application

Species

Unspecified reactive species

Yaşar Şahin,Mehmet Eray Alçiğir,Ebru Yildirim,Hatice Kübra Nur Boran,Seydi Ali Peker,Ömer Varişli,Hüsamettin Ekici,Merve Bişkin Türkmen

Frontiers in immunology 16:1592558 PubMed40519938

2025

Transcriptional profiling reveals -associated genes induced inflammatory cell infiltration and chemoresistance in gastric cancer.

Applications

Unspecified application

Species

Unspecified reactive species

Jinshui Tan,Zhengxin Wu,Yuankun Liu,Wei Wang,Wenjuan Qin,Guangchao Pan,Yubo Xiong,Jingsong Ma,Jiabao Zhao,Huiwen Zhou,ZhengJin Liu,Haijie Lu,Huiqin Zhuo,Xuehui Hong

Frontiers in transplantation 4:1595766 PubMed40520545

2025

Males and females respond differently to treatment during isolated kidney perfusion: combined effects of glucocorticoid and estradiol.

Applications

Unspecified application

Species

Unspecified reactive species

Marina Vidal-Dos-Santos,Roberto Armstrong-Jr,Mayara Munhoz de Assis Ramos,Lucas Ferreira da Anunciação,Fernanda Yamamoto Ricardo-da-Silva,Cristiano de Jesus Correia,Petra J Ottens,Luiz Felipe Pinho Moreira,Henri G D Leuvenink,Ana Cristina Breithaupt-Faloppa

European journal of pain (London, England) 29:e70047 PubMed40411263

2025

Astrocytic Inducible Nitric Oxide Synthase Upregulation Contributes to Chronic Below-Level Neuropathic Pain Following Spinal Cord Injury in Male Rats.

Applications

Unspecified application

Species

Unspecified reactive species

Youngkyung Kim,Hyunggoo Kang,Young Wook Yoon

PloS one 20:e0323222 PubMed40338892

2025

Sex differences in alcohol inhibits bone formation and promotes bone resorption in young male and female rats by altering intestinal flora, metabolites, and bone microenvironment.

Applications

Unspecified application

Species

Unspecified reactive species

Ming Cheng,Hua Lu,Yangling Wu,Long Jia,Tao Xiang,L I Deng,Guanlan Zhao,Junwei Feng

Skeletal muscle 15:11 PubMed40275384

2025

Pharmacology and macrophage modulation of HPGDS inhibitor PK007 demonstrate reduced disease severity in DMD-affected muscles of the mdx mouse model.

Applications

Unspecified application

Species

Unspecified reactive species

Sai Yarlagadda,Chynna-Loren Sheremeta,Sang Won Cheung,Alison Cuffe,Miranda D Grounds,Mark L Smythe,Peter G Noakes
View all publications

Abcam product promise

当社は、高品質な試薬を通じてお客様の研究を力強くサポートすることをお約束いたします。ご使用いただく各段階で、常にお客様をサポートできる体制を整えております。万が一、製品が期待通りに機能しない場合は、「Abcam Product Promise」による当社保証制度に基づき、安心してご利用いただけます。
保証に関する詳細については利用規約をご確認ください。

Please note: All products are 'FOR RESEARCH USE ONLY. NOT FOR USE IN DIAGNOSTIC OR THERAPEUTIC PROCEDURES'.

For licensing inquiries, please contact partnerships@abcam.com