JavaScript is disabled in your browser. Please enable JavaScript to view this website.
AB228468

Anti-Indoleamine 2, 3-dioxygenase 抗体 [SP260] - C-terminal

Anti-Indoleamine 2, 3-dioxygenase antibody [SP260] - C-terminal

Be the first to review this product! Submit a review

|

(9 Publications)

Knockout Tested Rabbit Recombinant Monoclonal Indoleamine 2, 3-dioxygenase antibody. C-terminal. Suitable for WB, Flow Cyt (Intra), IHC-P, ICC/IF and reacts with Human samples. Cited in 9 publications.

別名を表示する

IDO, INDO, IDO1, IDO-1

11 Images
Immunohistochemistry (Formalin/PFA-fixed paraffin-embedded sections) - Anti-Indoleamine 2, 3-dioxygenase antibody [SP260] - C-terminal (AB228468)
  • IHC-P

Supplier Data

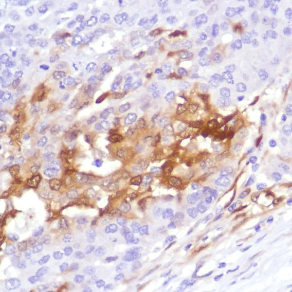
Immunohistochemistry (Formalin/PFA-fixed paraffin-embedded sections) - Anti-Indoleamine 2, 3-dioxygenase antibody [SP260] - C-terminal (AB228468)

Formalin-fixed paraffin-embedded human endometrial adenocarcinoma tissue stained for Indoleamine 2 3-dioxygenase with ab228468 at 1/100 dilution in immunohistochemical analysis.

Immunocytochemistry/ Immunofluorescence - Anti-Indoleamine 2, 3-dioxygenase antibody [SP260] - C-terminal (AB228468)
  • ICC/IF

Unknown

Immunocytochemistry/ Immunofluorescence - Anti-Indoleamine 2, 3-dioxygenase antibody [SP260] - C-terminal (AB228468)

Immunocytochemistry/ Immunofluorescence analysis of HeLa (human cervix adenocarcinoma epithelial cell) treated with 50 ng/ml IFN-gamma for 16 h cells labeling Indoleamine 2, 3-dioxygenase with purified ab228468 at 1/15 (9.4μg/ml). Cells were fixed in 4% paraformaldehyde and permeabilized with 0.1% Triton X-100. Cells were counterstained with ab195889 Anti-alpha Tubulin antibody [DM1A] - Microtubule Marker (Alexa Fluor® 594) 1/200 (2.5 μg/ml). Goat anti rabbit IgG (Alexa Fluor® 488, ab150077) was used as the secondary antibody at 1/1000 (2 μg/ml) dilution. DAPI was used as nuclear counterstain. PBS instead of the primary antibody was used as the secondary antibody only control.

Flow Cytometry (Intracellular) - Anti-Indoleamine 2, 3-dioxygenase antibody [SP260] - C-terminal (AB228468)
  • Flow Cyt (Intra)

Unknown

Flow Cytometry (Intracellular) - Anti-Indoleamine 2, 3-dioxygenase antibody [SP260] - C-terminal (AB228468)

Flow cytometry analysis of HeLa cells treated with 50ng/ml IFN-gamma for 16hours labeling Indoleamine 2, 3-dioxygenase with purified ab228468 at 1/200 dilution (0.705 μg/ml) (red). Cells were fixed with 4% paraformaldehyde and permeabilised with 90% methanol. Goat anti rabbit IgG (Alexa Fluor® 488, ab150077) at 1/2000 dilution was used as a secondary antibody. Isotype control -Rabbit monoclonal IgG (ab172730) / Black. Unlableled control -Unlabelled cells / blue.Untreated cells (Green).

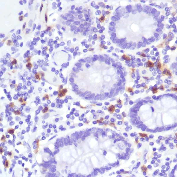
Immunohistochemistry (Formalin/PFA-fixed paraffin-embedded sections) - Anti-Indoleamine 2, 3-dioxygenase antibody [SP260] - C-terminal (AB228468)
  • IHC-P

Supplier Data

Immunohistochemistry (Formalin/PFA-fixed paraffin-embedded sections) - Anti-Indoleamine 2, 3-dioxygenase antibody [SP260] - C-terminal (AB228468)

Formalin-fixed paraffin-embedded human colon tissue stained for Indoleamine 2 3-dioxygenase with ab228468 at 1/100 dilution in immunohistochemical analysis.

Flow Cytometry (Intracellular) - Anti-Indoleamine 2, 3-dioxygenase antibody [SP260] - C-terminal (AB228468)
  • Flow Cyt (Intra)

Supplier Data

Flow Cytometry (Intracellular) - Anti-Indoleamine 2, 3-dioxygenase antibody [SP260] - C-terminal (AB228468)

Flow Cytometry analysis of IFN-gamma treated HeLa (human epithelial cell line from cervix adenocarcinoma) cells, labeling Indoleamine 2, 3-dioxygenase with ab228468 1/400 dilution (green) compared to a negative control rabbit IgG (blue).

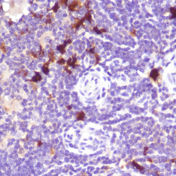
Immunohistochemistry (Formalin/PFA-fixed paraffin-embedded sections) - Anti-Indoleamine 2, 3-dioxygenase antibody [SP260] - C-terminal (AB228468)
  • IHC-P

Supplier Data

Immunohistochemistry (Formalin/PFA-fixed paraffin-embedded sections) - Anti-Indoleamine 2, 3-dioxygenase antibody [SP260] - C-terminal (AB228468)

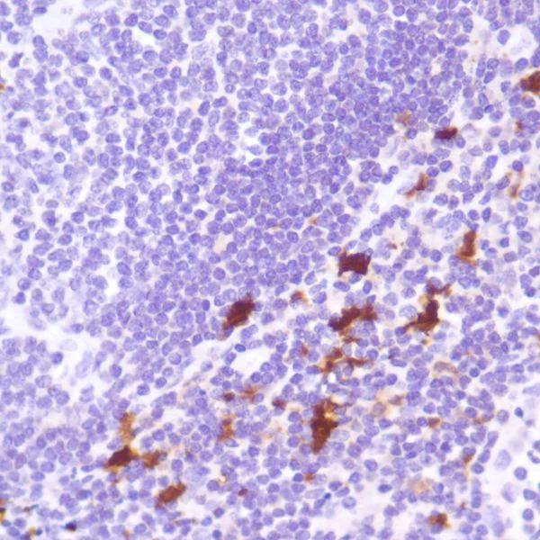
Formalin-fixed paraffin-embedded human thymus tissue stained for Indoleamine 2 3-dioxygenase with ab228468 at 1/100 dilution in immunohistochemical analysis.

Immunohistochemistry (Formalin/PFA-fixed paraffin-embedded sections) - Anti-Indoleamine 2, 3-dioxygenase antibody [SP260] - C-terminal (AB228468)
  • IHC-P

Supplier Data

Immunohistochemistry (Formalin/PFA-fixed paraffin-embedded sections) - Anti-Indoleamine 2, 3-dioxygenase antibody [SP260] - C-terminal (AB228468)

Formalin-fixed paraffin-embedded human tonsil tissue stained for Indoleamine 2 3-dioxygenase with ab228468 at 1/100 dilution in immunohistochemical analysis.

Immunohistochemistry (Formalin/PFA-fixed paraffin-embedded sections) - Anti-Indoleamine 2, 3-dioxygenase antibody [SP260] - C-terminal (AB228468)
  • IHC-P

Supplier Data

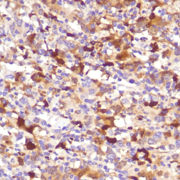
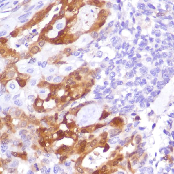
Immunohistochemistry (Formalin/PFA-fixed paraffin-embedded sections) - Anti-Indoleamine 2, 3-dioxygenase antibody [SP260] - C-terminal (AB228468)

Formalin-fixed paraffin-embedded human pancreatic adenocarcinoma tissue stained for Indoleamine 2 3-dioxygenase with ab228468 at 1/100 dilution in immunohistochemical analysis.

Immunohistochemistry (Formalin/PFA-fixed paraffin-embedded sections) - Anti-Indoleamine 2, 3-dioxygenase antibody [SP260] - C-terminal (AB228468)
  • IHC-P

Supplier Data

Immunohistochemistry (Formalin/PFA-fixed paraffin-embedded sections) - Anti-Indoleamine 2, 3-dioxygenase antibody [SP260] - C-terminal (AB228468)

Formalin-fixed paraffin-embedded human stomach adenocarcinoma tissue stained for Indoleamine 2 3-dioxygenase with ab228468 at 1/100 dilution in immunohistochemical analysis.

Immunohistochemistry (Formalin/PFA-fixed paraffin-embedded sections) - Anti-Indoleamine 2, 3-dioxygenase antibody [SP260] - C-terminal (AB228468)
  • IHC-P

Supplier Data

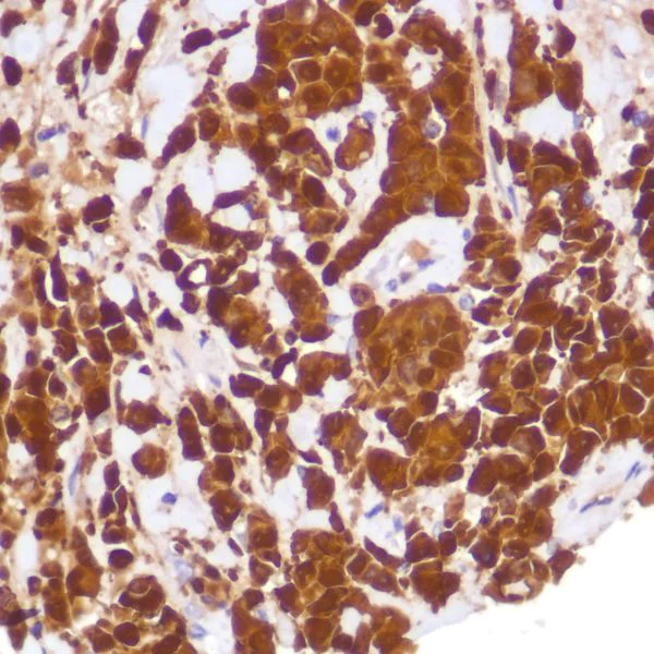
Immunohistochemistry (Formalin/PFA-fixed paraffin-embedded sections) - Anti-Indoleamine 2, 3-dioxygenase antibody [SP260] - C-terminal (AB228468)

Formalin-fixed, paraffin-embedded human ovarian adenocarcinoma tissue stained for Indoleamine 2, 3-dioxygenase with ab228468 at 1/100 dilution in immunohistochemical analysis.

Western blot - Anti-Indoleamine 2, 3-dioxygenase antibody [SP260] - C-terminal (AB228468)
  • WB

Lab

Western blot - Anti-Indoleamine 2, 3-dioxygenase antibody [SP260] - C-terminal (AB228468)

Western blot : Anti-IDO1 antibody [SP260] (ab228468) staining at 1/1000 dilution, shown in green; Mouse anti-CANX [CANX/1543] (ab238078) loading control staining at 1/20000 dilution, shown in magenta. In Western blot, ab228468 was shown to bind specifically to IDO1. A band was observed at 42 kDa in treated wild-type A549 cell lysates with no signal observed at this size in IDO1 knockout cell line. To generate this image, wild-type and IDO1 knockout A549 cell lysates were analysed. First, samples were run on an SDS-PAGE gel then transferred onto a nitrocellulose membrane. Membranes were blocked in 3 % milk in TBS-0.1 % Tween® 20 (TBS-T) before incubation with primary antibodies overnight at 4 °C. Blots were washed four times in TBS-T, incubated with secondary antibodies for 1 h at room temperature, washed again four times then imaged. Secondary antibodies used were Goat anti-Rabbit IgG H&L 800CW and Goat anti-Mouse IgG H&L 680RD at 1/20000 dilution.

All lanes:

Western blot - Anti-Indoleamine 2, 3-dioxygenase antibody [SP260] - C-terminal (ab228468) at 1/1000 dilution

Lane 1:

Wild-type A549 Treated IFN gamma (25 ng/mL, 48 h) ab281500 cell lysate at 20 µg

Lane 2:

Wild-type A549 Vehicle Control IFN gamma (0 ng/mL, 48 h) ab255554 cell lysate at 20 µg

Lane 3:

IDO1 knockout A549 Treated IFN gamma (25 ng/mL, 48 h) ab281489 cell lysate at 20 µg

Lane 4:

IDO1 knockout A549 Vehicle Control IFN gamma (0 ng/mL, 48 h) ab263515 cell lysate at 20 µg

Secondary

All lanes:

Goat anti-Rabbit IgG H&L 800CW and Goat anti-Mouse IgG H&L 680RD at 1/20000 dilution

Predicted band size: 45 kDa

Observed band size: 42 kDa

false

関連する標識済み抗体及び組成の異なる製品 (10)

  • 775 Alexa Fluor® 750

    Alexa Fluor® 750 Anti-Indoleamine 2, 3-dioxygenase antibody [SP260] - C-terminal

  • 519 Alexa Fluor® 488

    Alexa Fluor® 488 Anti-Indoleamine 2, 3-dioxygenase antibody [SP260]

  • 665 Alexa Fluor® 647

    Alexa Fluor® 647 Anti-Indoleamine 2, 3-dioxygenase antibody [SP260] - C-terminal

  • Carrier free

    Anti-Indoleamine 2, 3-dioxygenase antibody [SP260] - BSA and Azide free

  • 578 PE

    PE Anti-Indoleamine 2, 3-dioxygenase antibody [SP260] (C-terminal)

  • 660 APC

    APC Anti-Indoleamine 2, 3-dioxygenase antibody [SP260] (C-terminal)

  • HRP

    HRP Anti-Indoleamine 2, 3-dioxygenase antibody [SP260] (C-terminal)

  • 617 Alexa Fluor® 594

    Alexa Fluor® 594 Anti-Indoleamine 2, 3-dioxygenase antibody [SP260] - C-terminal

  • 565 Alexa Fluor® 555

    Alexa Fluor® 555 Anti-Indoleamine 2, 3-dioxygenase antibody [SP260] - C-terminal

  • 603 Alexa Fluor® 568

    Alexa Fluor® 568 Anti-Indoleamine 2, 3-dioxygenase antibody [SP260] - C-terminal

Key facts

宿主種

Rabbit

クローン性

Monoclonal

クローン番号

SP260

アイソタイプ

IgG

キャリアフリー

No

交差種

Human

アプリケーション

Flow Cyt (Intra), ICC/IF, WB, IHC-P

applications

免疫原

The exact immunogen used to generate this antibody is proprietary information.

Reactivity data

{ "title": "Reactivity Data", "filters": { "stats": ["", "Species", "Dilution Info", "Notes"], "tabs": { "all-applications": {"fullname" : "All Applications", "shortname": "All Applications"}, "WB" : {"fullname" : "Western blot", "shortname":"WB"}, "FlowCytIntra" : {"fullname" : "Flow Cytometry (Intracellular)", "shortname":"Flow Cyt (Intra)"}, "IHCP" : {"fullname" : "Immunohistochemistry (Formalin/PFA-fixed paraffin-embedded sections)", "shortname":"IHC-P"}, "ICCIF" : {"fullname" : "Immunocytochemistry/ Immunofluorescence", "shortname":"ICC/IF"} }, "product-promise": { "all": "all", "testedAndGuaranteed": "tested", "guaranteed": "expected", "predicted": "predicted", "notRecommended": "not-recommended" } }, "values": { "Human": { "WB-species-checked": "testedAndGuaranteed", "WB-species-dilution-info": "1/1000", "WB-species-notes": "<p></p>", "FlowCytIntra-species-checked": "testedAndGuaranteed", "FlowCytIntra-species-dilution-info": "1/400", "FlowCytIntra-species-notes": "<p>Incubate for 30 minutes at 4°C.</p>", "IHCP-species-checked": "testedAndGuaranteed", "IHCP-species-dilution-info": "1/100", "IHCP-species-notes": "<p>Boil tissue section in EDTA buffer, pH 8.0 for 10 minutes followed by cooling at room temperature for 20 minutes.</p><p>Incubate for 10 minutes at room temperature.</p>", "ICCIF-species-checked": "testedAndGuaranteed", "ICCIF-species-dilution-info": "1/15", "ICCIF-species-notes": "<p></p>" } } }

製品の詳細

What are the advantages of a recombinant monoclonal antibody?
This product is a recombinant monoclonal antibody, which offers several advantages including:

  • - High batch-to-batch consistency and reproducibility
  • - Improved sensitivity and specificity
  • - Long-term security of supply
  • - Animal-free batch production

For more information, read more on recombinant antibodies.

出荷温度及び保存条件

製品の状態
Liquid
精製方法
Affinity purification Protein A/G
精製に関する特記事項
Purified from TCS by protein A/G.
バッファー組成
pH: 7.6 Preservative: 0.1% Sodium azide Constituents: PBS, 1% BSA
出荷温度
Blue Ice
短期保存期間
1-2 weeks
短期保存温度
+4°C
長期保存温度
-20°C
分注に関する情報
Upon delivery aliquot
保管に関する情報
Avoid freeze / thaw cycle

補足情報

This supplementary information is collated from multiple sources and compiled automatically.

Indoleamine 2 3-dioxygenase (IDO) also known as IDO1 is an enzyme involved in the catabolism of tryptophan to kynurenine. It weighs approximately 45 kDa and it is an important target in immunoregulatory processes. IDO is highly expressed in antigen-presenting cells such as dendritic cells and macrophages as well as in various tumor cells where it helps modulate immune responses. This enzyme can also be measured by using assays like IDO ELISA.
Biological function summary

IDO plays a role in immune response regulation by degrading tryptophan an essential amino acid needed for T-cell proliferation. The depletion of tryptophan and the accumulation of its metabolites such as kynurenine cause immunosuppressive effects within the tissue microenvironment. While IDO functions mostly as a standalone enzyme its activity influences the cellular surroundings by altering the balance of local immune reactions.

Pathways

IDO integrates into the tryptophan metabolism pathway and is important in the kynurenine pathway. Through this pathway it maintains immune homeostasis and cell defense mechanisms. Proteins like kynureninase and kynurenine 3-monooxygenase also participate in the same metabolic processes which further extend the effects of tryptophan metabolism on immune cell behavior.

IDO is linked with cancer and chronic inflammatory conditions. In cancer elevated IDO expression suppresses anti-tumor immunity aiding tumor cells to evade immune surveillance. It also plays a role in autoimmune disorders by regulating excessive immune activity. During cancer progression IDO often works in conjunction with immune checkpoint proteins like PD-L1 which further enhances its immunosuppressive capabilities within the tumor microenvironment.

製品プロトコール

For this product, it's our understanding that no specific protocols are required. You can visit:

ターゲットの情報

Catalyzes the first and rate limiting step of the catabolism of the essential amino acid tryptophan along the kynurenine pathway (PubMed : 17671174). Involved in the peripheral immune tolerance, contributing to maintain homeostasis by preventing autoimmunity or immunopathology that would result from uncontrolled and overreacting immune responses (PubMed : 25691885). Tryptophan shortage inhibits T lymphocytes division and accumulation of tryptophan catabolites induces T-cell apoptosis and differentiation of regulatory T-cells (PubMed : 25691885). Acts as a suppressor of anti-tumor immunity (PubMed : 14502282, PubMed : 23103127, PubMed : 25157255, PubMed : 25691885). Limits the growth of intracellular pathogens by depriving tryptophan (PubMed : 25691885). Protects the fetus from maternal immune rejection (PubMed : 25691885).
See full target information IDO1

文献 (9)

Recent publications for all applications. Explore the full list and refine your search

Nature medicine 29:2939-2953 PubMed37903863

2023

An integrated gene-to-outcome multimodal database for metabolic dysfunction-associated steatotic liver disease.

Applications

Unspecified application

Species

Unspecified reactive species

Timothy J Kendall,Maria Jimenez-Ramos,Frances Turner,Prakash Ramachandran,Jessica Minnier,Michael D McColgan,Masood Alam,Harriet Ellis,Donald R Dunbar,Gabriele Kohnen,Prakash Konanahalli,Karin A Oien,Lucia Bandiera,Filippo Menolascina,Anna Juncker-Jensen,Douglas Alexander,Charlie Mayor,Indra Neil Guha,Jonathan A Fallowfield

Hepatology international 17:927-941 PubMed37031334

2023

Development of a deep pathomics score for predicting hepatocellular carcinoma recurrence after liver transplantation.

Applications

Unspecified application

Species

Unspecified reactive species

Wei-Feng Qu,Meng-Xin Tian,Hong-Wei Lu,Yu-Fu Zhou,Wei-Ren Liu,Zheng Tang,Zhao Yao,Run Huang,Gui-Qi Zhu,Xi-Fei Jiang,Chen-Yang Tao,Yuan Fang,Jun Gao,Xiao-Ling Wu,Jia-Feng Chen,Qian-Fu Zhao,Rui Yang,Tian-Hao Chu,Jian Zhou,Jia Fan,Jin-Hua Yu,Ying-Hong Shi

Clinical cancer research : an official journal of the American Association for Cancer Research 27:5828-5837 PubMed34135021

2021

Phase I Study of Entinostat and Nivolumab with or without Ipilimumab in Advanced Solid Tumors (ETCTN-9844).

Applications

Unspecified application

Species

Unspecified reactive species

Evanthia T Roussos Torres,Christine Rafie,Chenguang Wang,David Lim,Adam Brufsky,Patricia LoRusso,Joseph Paul Eder,Vincent Chung,Melinda Downs,Molly Geare,Richard Piekarz,Howard Streicher,Leslie Anforth,Michelle A Rudek,Qingfeng Zhu,Sepideh Besharati,Ashley Cimino-Mathews,Robert A Anders,Vered Stearns,Elizabeth M Jaffee,Roisin M Connolly

Cell reports. Medicine 2:100166 PubMed33521697

2021

A distinct innate immune signature marks progression from mild to severe COVID-19.

Applications

Unspecified application

Species

Unspecified reactive species

Stéphane Chevrier,Yves Zurbuchen,Carlo Cervia,Sarah Adamo,Miro E Raeber,Natalie de Souza,Sujana Sivapatham,Andrea Jacobs,Esther Bachli,Alain Rudiger,Melina Stüssi-Helbling,Lars C Huber,Dominik J Schaer,Jakob Nilsson,Onur Boyman,Bernd Bodenmiller

Science advances 5:eaax5851 PubMed31633026

2019

MIBI-TOF: A multiplexed imaging platform relates cellular phenotypes and tissue structure.

Applications

Mass Cytometry

Species

Unspecified reactive species

Leeat Keren,Marc Bosse,Steve Thompson,Tyler Risom,Kausalia Vijayaragavan,Erin McCaffrey,Diana Marquez,Roshan Angoshtari,Noah F Greenwald,Harris Fienberg,Jennifer Wang,Neeraja Kambham,David Kirkwood,Garry Nolan,Thomas J Montine,Stephen J Galli,Robert West,Sean C Bendall,Michael Angelo

Cancer immunology research 7:805-812 PubMed30902819

2019

Multiple Immune-Suppressive Mechanisms in Fibrolamellar Carcinoma.

Applications

Unspecified application

Species

Unspecified reactive species

Amy K Kim,Faiz Gani,Andrew J Layman,Sepideh Besharati,Qingfeng Zhu,Farah Succaria,Elizabeth L Engle,Feriyl Bhaijee,Maria B Goggins,Nicolas J Llosa,Timothy M Pawlik,Mark Yarchoan,Elizabeth M Jaffee,Howard C Simons,Janis M Taube,Robert A Anders

Cell 174:1373-1387.e19 PubMed30193111

2018

A Structured Tumor-Immune Microenvironment in Triple Negative Breast Cancer Revealed by Multiplexed Ion Beam Imaging.

Applications

Mass Cytometry

Species

Unspecified reactive species

Leeat Keren,Marc Bosse,Diana Marquez,Roshan Angoshtari,Samir Jain,Sushama Varma,Soo-Ryum Yang,Allison Kurian,David Van Valen,Robert West,Sean C Bendall,Michael Angelo

Clinical cancer research : an official journal of 24:5250-5260 PubMed30021908

2018

Quantitative Spatial Profiling of PD-1/PD-L1 Interaction and HLA-DR/IDO-1 Predicts Improved Outcomes of Anti-PD-1 Therapies in Metastatic Melanoma.

Applications

IHC-P

Species

Unspecified reactive species

Douglas B Johnson,Jennifer Bordeaux,Ju Young Kim,Christine Vaupel,David L Rimm,Thai H Ho,Richard W Joseph,Adil I Daud,Robert M Conry,Elizabeth M Gaughan,Leonel F Hernandez-Aya,Anastasios Dimou,Pauline Funchain,James Smithy,John S Witte,Svetlana B McKee,Jennifer Ko,John M Wrangle,Bashar Dabbas,Shabnam Tangri,Jelveh Lameh,Jeffrey Hall,Joseph Markowitz,Justin M Balko,Naveen Dakappagari

Journal of thoracic oncology : official publicatio 13:779-791 PubMed29526824

2018

Immunohistochemical and Image Analysis-Based Study Shows That Several Immune Checkpoints are Co-expressed in Non-Small Cell Lung Carcinoma Tumors.

Applications

Unspecified application

Species

Unspecified reactive species

Edwin Roger Parra,Pamela Villalobos,Jiexin Zhang,Carmen Behrens,Barbara Mino,Stephen Swisher,Boris Sepesi,Annika Weissferdt,Neda Kalhor,John Victor Heymach,Cesar Moran,Jianjun Zhang,Jack Lee,Jaime Rodriguez-Canales,Don Gibbons,Ignacio I Wistuba
View all publications

Abcam product promise

当社は、高品質な試薬を通じてお客様の研究を力強くサポートすることをお約束いたします。ご使用いただく各段階で、常にお客様をサポートできる体制を整えております。万が一、製品が期待通りに機能しない場合は、「Abcam Product Promise」による当社保証制度に基づき、安心してご利用いただけます。
保証に関する詳細については利用規約をご確認ください。

Please note: All products are 'FOR RESEARCH USE ONLY. NOT FOR USE IN DIAGNOSTIC OR THERAPEUTIC PROCEDURES'.

For licensing inquiries, please contact partnerships@abcam.com