JavaScript is disabled in your browser. Please enable JavaScript to view this website.
AB311847

Anti-Indoleamine 2, 3-dioxygenase 抗体 [EPR28349-89]

Anti-Indoleamine 2, 3-dioxygenase antibody [EPR28349-89]

  • BOND RX™ Validated
  • 20ul selling size
  • KO Validated
  • RabMAb
  • Recombinant
  • 詳細を見る

Be the first to review this product! Submit a review

|

(2 Publications)

Rabbit Recombinant Monoclonal Indoleamine 2, 3-dioxygenase antibody. Suitable for IP, Flow Cyt (Intra), IHC-P, WB and reacts with Mouse, Rat, Transfected cell line, Human samples. Cited in 2 publications.

別名を表示する

Ido, Indo, Ido1, IDO-1

17 Images
Flow Cytometry (Intracellular) - Anti-Indoleamine 2, 3-dioxygenase antibody [EPR28349-89] (AB311847)
  • Flow Cyt (Intra)

Supplier Data

Flow Cytometry (Intracellular) - Anti-Indoleamine 2, 3-dioxygenase antibody [EPR28349-89] (AB311847)

Flow cytometric analysis of 4% paraformaldehyde fixed 90% methanol permeabilized Isotype control (Left) / HEK-293T (human embryonic kidney epithelial cell) transfected with an IDO1 expression vector containing a his tag (Middle) / HEK-293T transfected with IDO2 expression vector containing a his tag (Right) cells labelling Indoleamine 2, 3-dioxygenase with ab311847 at 1/500 dilution (0.1 ug)/Right (Red) compared with a Rabbit monoclonal IgG (ab172730) / Left isotype control and an unlabelled control (cells without incubation with primary antibody and secondary antibody) (Blue). A Goat Anti-Rabbit IgG (Alexa Fluor® 488, ab150081) at 1/5000 dilution was used as the secondary antibody.

Immunohistochemistry (Formalin/PFA-fixed paraffin-embedded sections) - Anti-Indoleamine 2, 3-dioxygenase antibody [EPR28349-89] (AB311847)
  • IHC-P

Supplier Data

Immunohistochemistry (Formalin/PFA-fixed paraffin-embedded sections) - Anti-Indoleamine 2, 3-dioxygenase antibody [EPR28349-89] (AB311847)

Immunohistochemical analysis of paraffin-embedded (A) HEK-293T (human tissue labeling Indoleamine 2, 3-dioxygenase with ab311847 at 1/2000 (0.254 ug/ml) followed by a ready to use LeicaDS9800 (Bond™ Polymer Refine Detection). Positive staining on (A) HEK-293T transfected with an IDO1 expression vector containing a his tag. No staining on (B) HEK-293T transfected with IDO2 expression vector containing a his tag. The section was incubated with ab311847 for 30 mins at room temperature. The immunostaining was performed on a Leica Biosystems BOND® RX instrument incubate slides with 3% Hydrogen Peroxide for 10 mins at room temperature after secondary antibody incubation to reduce the background. Counterstained with Hematoxylin. Secondary antibody only control : Secondary antibody is a ready to use LeicaDS9800 (Bond™ Polymer Refine Detection). Heat mediated antigen retrieval was performed with Tris-EDTA buffer (pH 9.0, Epitope Retrieval Solution2) for 20 mins.

Immunohistochemistry (Formalin/PFA-fixed paraffin-embedded sections) - Anti-Indoleamine 2, 3-dioxygenase antibody [EPR28349-89] (AB311847)
  • IHC-P

Supplier Data

Immunohistochemistry (Formalin/PFA-fixed paraffin-embedded sections) - Anti-Indoleamine 2, 3-dioxygenase antibody [EPR28349-89] (AB311847)

Immunohistochemical analysis of paraffin-embedded Mouse liver tissue labeling Indoleamine 2, 3-dioxygenase with ab311847 at 1/2000 (0.254 ug/ml) followed by a ready to use LeicaDS9800 (Bond™ Polymer Refine Detection). Negative control : no staining on mouse liver (PMID : 19741271). The section was incubated with ab311847 for 30 mins at room temperature. The immunostaining was performed on a Leica Biosystems BOND® RX instrument incubate slides with 3% Hydrogen Peroxide for 10 mins at room temperature after secondary antibody incubation to reduce the background. Counterstained with Hematoxylin. Secondary antibody only control : Secondary antibody is a ready to use LeicaDS9800 (Bond™ Polymer Refine Detection). Heat mediated antigen retrieval was performed with Tris-EDTA buffer (pH 9.0, Epitope Retrieval Solution2) for 20 mins.

Immunohistochemistry (Formalin/PFA-fixed paraffin-embedded sections) - Anti-Indoleamine 2, 3-dioxygenase antibody [EPR28349-89] (AB311847)
  • IHC-P

Supplier Data

Immunohistochemistry (Formalin/PFA-fixed paraffin-embedded sections) - Anti-Indoleamine 2, 3-dioxygenase antibody [EPR28349-89] (AB311847)

Immunohistochemical analysis of paraffin-embedded (A) C2C12 (mouse myo tissue labelling Indoleamine 2, 3-dioxygenase with ab311847 at 1/500 (1.016 ug/ml) followed by a ready to use LeicaDS9800 (Bond™ Polymer Refine Detection). Positive staining on (A) C2C12 treated with 50uM IFN-gamma for 24 hours cell pellet (treated). No staining on (B) C2C12 cell pellet (untreated). The section was incubated with ab311847 for 30 mins at room temperature. The immunostaining was performed on a Leica Biosystems BOND® RX instrument incubate slides with 3% Hydrogen Peroxide for 10 mins at room temperature after secondary antibody incubation to reduce the background. Counterstained with Hematoxylin. Secondary antibody only control : Secondary antibody is a ready to use LeicaDS9800 (Bond™ Polymer Refine Detection). Heat mediated antigen retrieval was performed with Tris-EDTA buffer (pH 9.0, Epitope Retrieval Solution2) for 20 mins.

Flow Cytometry (Intracellular) - Anti-Indoleamine 2, 3-dioxygenase antibody [EPR28349-89] (AB311847)
  • Flow Cyt (Intra)

Supplier Data

Flow Cytometry (Intracellular) - Anti-Indoleamine 2, 3-dioxygenase antibody [EPR28349-89] (AB311847)

Flow cytometric analysis of 4% paraformaldehyde fixed 90% methanol permeabilized Isotype control (Left) /RAW 264.7 (mouse Abelson murine leukaemia virus-induced tumor macrophage) treated with 50ng/ml IFN-γ for 24h (Middle) / Untreated RAW 264.7 (Right) cells labelling Indoleamine 2, 3-dioxygenase with ab311847 at 1/500 dilution (0.1 ug)/Right (Red) compared with a Rabbit monoclonal IgG (ab172730) / Left isotype control and an unlabelled control (cells without incubation with primary antibody and secondary antibody) (Blue). A Goat Anti-Rabbit IgG (Alexa Fluor® 488, ab150081) at 1/5000 dilution was used as the secondary antibody.

Immunohistochemistry (Formalin/PFA-fixed paraffin-embedded sections) - Anti-Indoleamine 2, 3-dioxygenase antibody [EPR28349-89] (AB311847)
  • IHC-P

Supplier Data

Immunohistochemistry (Formalin/PFA-fixed paraffin-embedded sections) - Anti-Indoleamine 2, 3-dioxygenase antibody [EPR28349-89] (AB311847)

Immunohistochemical analysis of paraffin-embedded Rat epididymis tissue labeling Indoleamine 2, 3-dioxygenase with ab311847 at 1/2000 (0.254 ug/ml) followed by a ready to use LeicaDS9800 (Bond™ Polymer Refine Detection). Positive staining on rat epididymis. The section was incubated with ab311847 for 30 mins at room temperature. The immunostaining was performed on a Leica Biosystems BOND® RX instrument incubate slides with 3% Hydrogen Peroxide for 10 mins at room temperature after secondary antibody incubation to reduce the background. Counterstained with Hematoxylin. Secondary antibody only control : Secondary antibody is a ready to use LeicaDS9800 (Bond™ Polymer Refine Detection). Heat mediated antigen retrieval was performed with Tris-EDTA buffer (pH 9.0, Epitope Retrieval Solution2) for 20 mins.

Immunohistochemistry (Formalin/PFA-fixed paraffin-embedded sections) - Anti-Indoleamine 2, 3-dioxygenase antibody [EPR28349-89] (AB311847)
  • IHC-P

Supplier Data

Immunohistochemistry (Formalin/PFA-fixed paraffin-embedded sections) - Anti-Indoleamine 2, 3-dioxygenase antibody [EPR28349-89] (AB311847)

Immunohistochemical analysis of paraffin-embedded Mouse epididymis tissue labeling Indoleamine 2, 3-dioxygenase with ab311847 at 1/2000 (0.254 ug/ml) followed by a ready to use LeicaDS9800 (Bond™ Polymer Refine Detection). Positive staining on mouse epididymis (PMID : 19741271). The section was incubated with ab311847 for 30 mins at room temperature. The immunostaining was performed on a Leica Biosystems BOND® RX instrument incubate slides with 3% Hydrogen Peroxide for 10 mins at room temperature after secondary antibody incubation to reduce the background. Counterstained with Hematoxylin. Secondary antibody only control : Secondary antibody is a ready to use LeicaDS9800 (Bond™ Polymer Refine Detection). Heat-mediated antigen retrieval was performed with Tris-EDTA buffer (pH 9.0, Epitope Retrieval Solution2) for 20 mins.

Immunohistochemistry (Formalin/PFA-fixed paraffin-embedded sections) - Anti-Indoleamine 2, 3-dioxygenase antibody [EPR28349-89] (AB311847)
  • IHC-P

Supplier Data

Immunohistochemistry (Formalin/PFA-fixed paraffin-embedded sections) - Anti-Indoleamine 2, 3-dioxygenase antibody [EPR28349-89] (AB311847)

Immunohistochemical analysis of paraffin-embedded Mouse small intestine tissue labelling Indoleamine 2, 3-dioxygenase with ab311847 at 1/2000 (0.254 ug/ml) followed by a ready to use LeicaDS9800 (Bond™ Polymer Refine Detection). Positive staining on mouse small intestinal secretory epithelial cells (PMID : 31325428). The section was incubated with ab311847 for 30 mins at room temperature. The immunostaining was performed on a Leica Biosystems BOND® RX instrument incubate slides with 3% Hydrogen Peroxide for 10 mins at room temperature after secondary antibody incubation to reduce the background. Counterstained with Hematoxylin. Secondary antibody only control : Secondary antibody is a ready to use LeicaDS9800 (Bond™ Polymer Refine Detection). Heat mediated antigen retrieval was performed with Tris-EDTA buffer (pH 9.0, Epitope Retrieval Solution2) for 20 mins.

Immunohistochemistry (Formalin/PFA-fixed paraffin-embedded sections) - Anti-Indoleamine 2, 3-dioxygenase antibody [EPR28349-89] (AB311847)
  • IHC-P

Supplier Data

Immunohistochemistry (Formalin/PFA-fixed paraffin-embedded sections) - Anti-Indoleamine 2, 3-dioxygenase antibody [EPR28349-89] (AB311847)

Immunohistochemical analysis of paraffin-embedded Rat liver tissue labeling Indoleamine 2, 3-dioxygenase with ab311847 at 1/2000 (0.254 ug/ml) followed by a ready to use LeicaDS9800 (Bond™ Polymer Refine Detection). Negative control : no staining on rat liver. The section was incubated with ab311847 for 30 mins at room temperature. The immunostaining was performed on a Leica Biosystems BOND® RX instrument incubate slides with 3% Hydrogen Peroxide for 10 mins at room temperature after secondary antibody incubation to reduce the background. Counterstained with Hematoxylin. Secondary antibody only control : Secondary antibody is a ready to use LeicaDS9800 (Bond™ Polymer Refine Detection). Heat mediated antigen retrieval was performed with Tris-EDTA buffer (pH 9.0, Epitope Retrieval Solution2) for 20 mins.

Flow Cytometry (Intracellular) - Anti-Indoleamine 2, 3-dioxygenase antibody [EPR28349-89] (AB311847)
  • Flow Cyt (Intra)

Supplier Data

Flow Cytometry (Intracellular) - Anti-Indoleamine 2, 3-dioxygenase antibody [EPR28349-89] (AB311847)

Flow cytometric analysis of 4% paraformaldehyde fixed 90% methanol permeabilized Isotype control (Left) / C2C12 (mouse myoblast) treated with 50ng/ml IFN-γ for 24h (Middle) / Untreated C2C12 (Right) cells labelling Indoleamine 2, 3-dioxygenase with ab311847 at 1/500 dilution (0.1 ug)/Right (Red) compared with a Rabbit monoclonal IgG (ab172730) / Left isotype control and an unlabelled control (cells without incubation with primary antibody and secondary antibody) (Blue). A Goat Anti-Rabbit IgG (Alexa Fluor® 488, ab150081) at 1/5000 dilution was used as the secondary antibody.

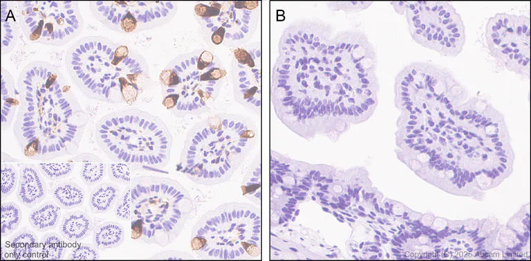
Immunohistochemistry (Formalin/PFA-fixed paraffin-embedded sections) - Anti-Indoleamine 2, 3-dioxygenase antibody [EPR28349-89] (AB311847)
  • IHC-P

Lab

Immunohistochemistry (Formalin/PFA-fixed paraffin-embedded sections) - Anti-Indoleamine 2, 3-dioxygenase antibody [EPR28349-89] (AB311847)

Immunohistochemical analysis of paraffin-embedded (A) Colon tissue from wild-type C57BL/6J mice and (B) Colon tissue from Indoleamine 2, 3-dioxygenase knockout mice tissue labeling Indoleamine 2, 3-dioxygenase with ab311847 at 1/2000 dilution.

Positive staining on (A) Colon tissue from wild-type C57BL/6J mice, no staining on (B) Colon tissue from Indoleamine 2, 3-dioxygenase knockout mice.

The primary antibody was incubated for 30 mins at room temperature, incubate slides with 3% Hydrogen Peroxide for 10 mins at room temperature after secondary antibody incubation to reduce the background.

The immunostaining was performed on a Leica Biosystems BOND® RX instrument.

Counterstained with Hematoxylin.

Heat mediated antigen retrieval was performed with Tris-EDTA buffer (pH 9.0, Epitope Retrieval Solution2) for 20 mins.

The tissue samples were kindly provided by GemPharmatech. C57BL/6JGpt wildtype mice and Ido1-KO homozygous mice (Strain ID : T011654).

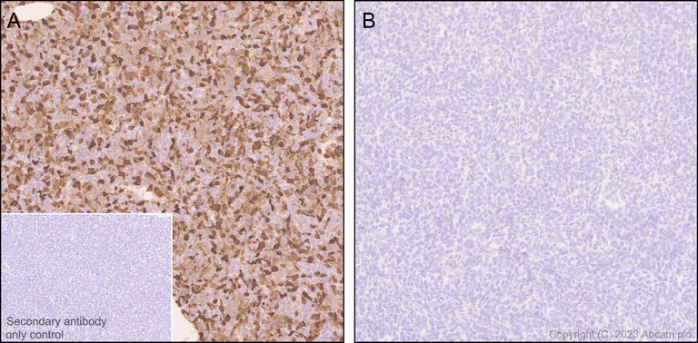
Immunohistochemistry (Formalin/PFA-fixed paraffin-embedded sections) - Anti-Indoleamine 2, 3-dioxygenase antibody [EPR28349-89] (AB311847)
  • IHC-P

Lab

Immunohistochemistry (Formalin/PFA-fixed paraffin-embedded sections) - Anti-Indoleamine 2, 3-dioxygenase antibody [EPR28349-89] (AB311847)

Immunohistochemical analysis of paraffin-embedded (A) Ileum tissue from wild-type C57BL/6J mice and (B) Ileum tissue from Indoleamine 2, 3-dioxygenase knockout mice tissue labeling Indoleamine 2, 3-dioxygenase with ab311847 at 1/2000 dilution, followed by a ready to use LeicaDS9800 (Bond Polymer Refine Detection).

Positive staining on (A) Ileum tissue from wild-type C57BL/6J mice, no staining on (B) Ileum tissue from Indoleamine 2, 3-dioxygenase knockout mice.

The primary antibody was incubated for 30 mins at room temperature, incubate slides with 3% Hydrogen Peroxide for 10 mins at room temperature after secondary antibody incubation to reduce the background.

The immunostaining was performed on a Leica Biosystems BOND® RX instrument.

Counterstained with Hematoxylin.

Secondary antibody only control : Secondary antibody is a ready to use LeicaDS9800 (Bond Polymer Refine Detection).

Heat mediated antigen retrieval was performed with Tris-EDTA buffer (pH 9.0, Epitope Retrieval Solution2) for 20 mins.

The tissue samples were kindly provided by GemPharmatech. C57BL/6JGpt wildtype mice and Ido1-KO homozygous mice (Strain ID : T011654).

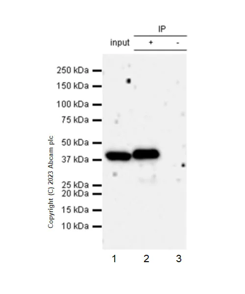
Immunoprecipitation - Anti-Indoleamine 2, 3-dioxygenase antibody [EPR28349-89] (AB311847)
  • IP

Supplier Data

Immunoprecipitation - Anti-Indoleamine 2, 3-dioxygenase antibody [EPR28349-89] (AB311847)

Indoleamine 2, 3-dioxygenase was immunoprecipitated from 0.35 mg C2C12 (mouse myoblast) treated with 50 ng/ml IFN gamma for 24 h, whole cell lysate with ab311847 at 1/30 dilution (2ug in 0.35mg lysates). Western blot was performed on the immunoprecipitate using ab311847 at 1/1000 dilution. VeriBlot for IP secondary antibody(HRP)(ab131366) was used at 1/5000 dilution. Lane 1 : C2C12 (mouse myoblast) treated with 50 ng/ml IFN gamma for 24 h, whole cell lysate Lane 2 : C2C12 (mouse myoblast) treated with 50 ng/ml IFN gamma for 24 h, whole cell lysate Lane 3 : Rabbit monoclonal IgG (ab172730) instead of ab311847 in C2C12 treated with 50 ng/ml IFN gamma for 24 h whole cell lysate Blocking and dilution buffer and concentration : 5% NFDM/TBST. Exposure time : 180 seconds

All lanes:

Immunoprecipitation - Anti-Indoleamine 2, 3-dioxygenase antibody [EPR28349-89] (ab311847) at 1/30 dilution

All lanes:

C2C12 (mouse myoblast) treated with 50 ng/ml IFN gamma for 24 h, whole cell lysate at 20 µg

Secondary

All lanes:

Immunoprecipitation - VeriBlot for IP Detection Reagent (HRP) (<a href='/products/reagents/veriblot-for-ip-detection-reagent-hrp-ab131366'>ab131366</a>) at 1/5000 dilution

Observed band size: 45 kDa

false

Exposure time: 180s

Western blot - Anti-Indoleamine 2, 3-dioxygenase antibody [EPR28349-89] (AB311847)
  • WB

Lab

Western blot - Anti-Indoleamine 2, 3-dioxygenase antibody [EPR28349-89] (AB311847)

Western blot : Anti-IDO1 antibody [EPR28349-89] (ab311847) staining at 1/1000 dilution, shown in green; Mouse anti-CANX [CANX/1543] (ab238078) loading control staining at 1/20000 dilution, shown in magenta. In Western blot, ab311847 was shown to bind specifically to IDO1. A band was observed at 42 kDa in treated wild-type A549 cell lysates with no signal observed at this size in IDO1 knockout cell line. To generate this image, wild-type and IDO1 knockout A549 cell lysates were analysed. First, samples were run on an SDS-PAGE gel then transferred onto a nitrocellulose membrane. Membranes were blocked in 3 % milk in TBS-0.1 % Tween® 20 (TBS-T) before incubation with primary antibodies overnight at 4 °C. Blots were washed four times in TBS-T, incubated with secondary antibodies for 1 h at room temperature, washed again four times then imaged. Secondary antibodies used were Goat anti-Rabbit IgG H&L 800CW and Goat anti-Mouse IgG H&L 680RD at 1/20000 dilution.

All lanes:

Western blot - Anti-Indoleamine 2, 3-dioxygenase antibody [EPR28349-89] (ab311847) at 1/1000 dilution

Lane 1:

Wild-type A549 Treated IFN gamma (25 ng/mL, 48 h) ab281500 cell lysate at 20 µg

Lane 2:

Wild-type A549 Vehicle Control IFN gamma (0 ng/mL, 48 h) ab255554 cell lysate at 20 µg

Lane 3:

IDO1 knockout A549 Treated IFN gamma (25 ng/mL, 48 h) ab281489 cell lysate at 20 µg

Lane 4:

IDO1 knockout A549 Vehicle Control IFN gamma (0 ng/mL, 48 h) ab263515 cell lysate at 20 µg

Secondary

All lanes:

Goat anti-Rabbit IgG H&L 800CW and Goat anti-Mouse IgG H&L 680RD at 1/20000 dilution

Predicted band size: 45 kDa

Observed band size: 42 kDa

false

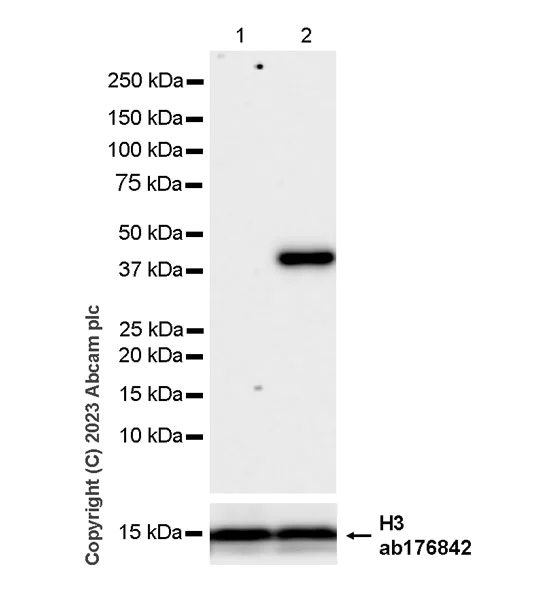
Western blot - Anti-Indoleamine 2, 3-dioxygenase antibody [EPR28349-89] (AB311847)
  • WB

Supplier Data

Western blot - Anti-Indoleamine 2, 3-dioxygenase antibody [EPR28349-89] (AB311847)

Blocking and diluting buffer and concentration : 5% NFDM/TBST The expression of Indoleamine 2, 3-dioxygenase is upregulated in response to IFN gamma treatment (PMID : 30809284, 34735466). In Western blot, anti-H3 antibody (ab176842) loading control staining at 1/100000 dilution. Exposure time : 180 seconds

All lanes:

Western blot - Anti-Indoleamine 2, 3-dioxygenase antibody [EPR28349-89] (ab311847) at 1/1000 dilution

Lane 1:

Untreated C2C12 (mouse myoblast) whole cell lysate at 20 µg

Lane 2:

C2C12 treated with /ml IFN gamma for 24 h, whole cell lysate at 20 µg

Secondary

All lanes:

Western blot - Goat Anti-Rabbit IgG H&L (HRP) (<a href='/products/secondary-antibodies/goat-rabbit-igg-h-l-hrp-ab97051'>ab97051</a>) at 1/100000 dilution

Observed band size: 45 kDa

false

Exposure time: 180s

Western blot - Anti-Indoleamine 2, 3-dioxygenase antibody [EPR28349-89] (AB311847)
  • WB

Supplier Data

Western blot - Anti-Indoleamine 2, 3-dioxygenase antibody [EPR28349-89] (AB311847)

Blocking and diluting buffer and concentration : 5% NFDM/TBST The expression of Indoleamine 2, 3-dioxygenase is upregulated in response to IFN gamma treatment (PMID : 30809284, 34735466). In Western blot, anti-GAPDH antibody (ab181602) loading control staining at 1/200000 dilution. Exposure time : 180 seconds

All lanes:

Western blot - Anti-Indoleamine 2, 3-dioxygenase antibody [EPR28349-89] (ab311847) at 1/1000 dilution

Lane 1:

Untreated RAW264.7 (mouse Abelson murine leukemia virus-induced tumor macrophage) whole cell lysate at 20 µg

Lane 2:

RAW264.7 treated with /ml IFN gamma for 24 h, whole cell lysate at 20 µg

Secondary

All lanes:

Western blot - Goat Anti-Rabbit IgG H&L (HRP) (<a href='/products/secondary-antibodies/goat-rabbit-igg-h-l-hrp-ab97051'>ab97051</a>) at 1/100000 dilution

Observed band size: 45 kDa

false

Exposure time: 180s

Western blot - Anti-Indoleamine 2, 3-dioxygenase antibody [EPR28349-89] (AB311847)
  • WB

Lab

Western blot - Anti-Indoleamine 2, 3-dioxygenase antibody [EPR28349-89] (AB311847)

Exposure time : Lane 1-4 : 1 second; Lane 5-8 : 6 seconds; Lane 9-12 : 15 seconds.

Blocking and diluting buffer and concentration : 5% NFDM/TBST.

In Western blot, Anti-Vinculin antibody [EPR8185] - Loading Control (ab129002) staining at 1/5000 dilution.

The tissue samples were kindly provided by GemPharmatech. C57BL/6JGpt wildtype mice and Ido1-KO homozygous mice (Strain ID : T011654).

All lanes:

Western blot - Anti-Indoleamine 2, 3-dioxygenase antibody [EPR28349-89] (ab311847) at 1/1000 dilution

Lane 1:

Wild-type mouse epididymis tissue lysate (male case1) at 40 µg

Lane 2:

Wild-type mouse epididymis tissue lysate (male case2) at 40 µg

Lane 3:

Ido1 knockout mouse epididymis tissue lysate (male case1) at 40 µg

Lane 4:

Ido1 knockout mouse epididymis tissue lysate (male case2) at 40 µg

Lane 5:

Wild-type mouse ileum tissue lysate (female case) at 40 µg

Lane 6:

Wild-type mouse ileum tissue lysate (male case) at 40 µg

Lane 7:

Ido1 knockout mouse ileum tissue lysate (male case1) at 40 µg

Lane 8:

Ido1 knockout mouse ileum tissue lysate (male case2) at 40 µg

Lane 9:

Wild-type mouse colon tissue lysate (female case) at 40 µg

Lane 10:

Wild-type mouse colon tissue lysate (male case) at 40 µg

Lane 11:

Ido1 knockout mouse colon tissue lysate (male case1) at 40 µg

Lane 12:

Ido1 knockout mouse colon tissue lysate (male case2) at 40 µg

Secondary

All lanes:

Western blot - Goat Anti-Rabbit IgG H&L (HRP) (<a href='/products/secondary-antibodies/goat-rabbit-igg-h-l-hrp-ab97051'>ab97051</a>) at 1/20000 dilution

Observed band size: 45 kDa

false

Key facts

宿主種

Rabbit

クローン性

Monoclonal

クローン番号

EPR28349-89

アイソタイプ

IgG

キャリアフリー

No

交差種

Human, Rat, Mouse

アプリケーション

WB, IHC-P, IP, Flow Cyt (Intra)

applications

免疫原

The exact immunogen used to generate this antibody is proprietary information.

Reactivity data

{ "title": "Reactivity Data", "filters": { "stats": ["", "Species", "Dilution Info", "Notes"], "tabs": { "all-applications": {"fullname" : "All Applications", "shortname": "All Applications"}, "IP" : {"fullname" : "Immunoprecipitation", "shortname":"IP"}, "ICCIF" : {"fullname" : "Immunocytochemistry/ Immunofluorescence", "shortname":"ICC/IF"}, "FlowCytIntra" : {"fullname" : "Flow Cytometry (Intracellular)", "shortname":"Flow Cyt (Intra)"}, "IHCP" : {"fullname" : "Immunohistochemistry (Formalin/PFA-fixed paraffin-embedded sections)", "shortname":"IHC-P"}, "WB" : {"fullname" : "Western blot", "shortname":"WB"} }, "product-promise": { "all": "all", "testedAndGuaranteed": "tested", "guaranteed": "expected", "predicted": "predicted", "notRecommended": "not-recommended" } }, "values": { "Human": { "IP-species-checked": "notRecommended", "IP-species-dilution-info": "", "IP-species-notes": "<p></p>", "ICCIF-species-checked": "notRecommended", "ICCIF-species-dilution-info": "", "ICCIF-species-notes": "<p></p>", "FlowCytIntra-species-checked": "notRecommended", "FlowCytIntra-species-dilution-info": "", "FlowCytIntra-species-notes": "<p></p>", "IHCP-species-checked": "notRecommended", "IHCP-species-dilution-info": "", "IHCP-species-notes": "<p></p>", "WB-species-checked": "testedAndGuaranteed", "WB-species-dilution-info": "", "WB-species-notes": "<p>(0.508ug/ml)</p>" }, "Mouse": { "IP-species-checked": "testedAndGuaranteed", "IP-species-dilution-info": "1/30", "IP-species-notes": "<p></p>", "ICCIF-species-checked": "notRecommended", "ICCIF-species-dilution-info": "", "ICCIF-species-notes": "<p></p>", "FlowCytIntra-species-checked": "testedAndGuaranteed", "FlowCytIntra-species-dilution-info": "1/500", "FlowCytIntra-species-notes": "<p></p>", "IHCP-species-checked": "testedAndGuaranteed", "IHCP-species-dilution-info": "1/500", "IHCP-species-notes": "<p></p> Perform heat-mediated antigen retrieval with Tris/EDTA buffer pH 9.0 before commencing with IHC staining protocol.", "WB-species-checked": "testedAndGuaranteed", "WB-species-dilution-info": "1/1000", "WB-species-notes": "<p>(0.508ug/ml)</p>" }, "Rat": { "IP-species-checked": "guaranteed", "IP-species-dilution-info": "", "IP-species-notes": "", "ICCIF-species-checked": "notRecommended", "ICCIF-species-dilution-info": "", "ICCIF-species-notes": "", "FlowCytIntra-species-checked": "guaranteed", "FlowCytIntra-species-dilution-info": "", "FlowCytIntra-species-notes": "", "IHCP-species-checked": "testedAndGuaranteed", "IHCP-species-dilution-info": "1/500", "IHCP-species-notes": "<p></p> Perform heat-mediated antigen retrieval with Tris/EDTA buffer pH 9.0 before commencing with IHC staining protocol.", "WB-species-checked": "notRecommended", "WB-species-dilution-info": "", "WB-species-notes": "<p>(0.508ug/ml)</p>" }, "Transfected cell line": { "IP-species-checked": "notRecommended", "IP-species-dilution-info": "", "IP-species-notes": "", "ICCIF-species-checked": "notRecommended", "ICCIF-species-dilution-info": "", "ICCIF-species-notes": "", "FlowCytIntra-species-checked": "testedAndGuaranteed", "FlowCytIntra-species-dilution-info": "1/500", "FlowCytIntra-species-notes": "<p></p>", "IHCP-species-checked": "testedAndGuaranteed", "IHCP-species-dilution-info": "1/2000", "IHCP-species-notes": "<p></p> Perform heat-mediated antigen retrieval with Tris/EDTA buffer pH 9.0 before commencing with IHC staining protocol.", "WB-species-checked": "notRecommended", "WB-species-dilution-info": "", "WB-species-notes": "" } } }

製品の詳細

Patented technology
Our RabMAb® technology is a patented hybridoma-based technology for making rabbit monoclonal antibodies. For details on our patents, please refer to RabMAb® patents.

What are the advantages of a recombinant monoclonal antibody?
This product is a recombinant monoclonal antibody, which offers several advantages including:

  • - High batch-to-batch consistency and reproducibility
  • - Improved sensitivity and specificity
  • - Long-term security of supply
  • - Animal-free batch production

For more information, read more on recombinant antibodies.

出荷温度及び保存条件

製品の状態
Liquid
精製方法
Affinity purification Protein A
バッファー組成
pH: 7.2 - 7.4 Preservative: 0.01% Sodium azide Constituents: PBS, 40% Glycerol (glycerin, glycerine), 0.05% BSA
出荷温度
Blue Ice
短期保存期間
1-2 weeks
短期保存温度
+4°C
長期保存温度
-20°C
分注に関する情報
Upon delivery aliquot
保管に関する情報
Avoid freeze / thaw cycle

補足情報

This supplementary information is collated from multiple sources and compiled automatically.

Indoleamine 2 3-dioxygenase (IDO) also known as IDO1 is an enzyme involved in the catabolism of tryptophan to kynurenine. It weighs approximately 45 kDa and it is an important target in immunoregulatory processes. IDO is highly expressed in antigen-presenting cells such as dendritic cells and macrophages as well as in various tumor cells where it helps modulate immune responses. This enzyme can also be measured by using assays like IDO ELISA.
Biological function summary

IDO plays a role in immune response regulation by degrading tryptophan an essential amino acid needed for T-cell proliferation. The depletion of tryptophan and the accumulation of its metabolites such as kynurenine cause immunosuppressive effects within the tissue microenvironment. While IDO functions mostly as a standalone enzyme its activity influences the cellular surroundings by altering the balance of local immune reactions.

Pathways

IDO integrates into the tryptophan metabolism pathway and is important in the kynurenine pathway. Through this pathway it maintains immune homeostasis and cell defense mechanisms. Proteins like kynureninase and kynurenine 3-monooxygenase also participate in the same metabolic processes which further extend the effects of tryptophan metabolism on immune cell behavior.

IDO is linked with cancer and chronic inflammatory conditions. In cancer elevated IDO expression suppresses anti-tumor immunity aiding tumor cells to evade immune surveillance. It also plays a role in autoimmune disorders by regulating excessive immune activity. During cancer progression IDO often works in conjunction with immune checkpoint proteins like PD-L1 which further enhances its immunosuppressive capabilities within the tumor microenvironment.

製品プロトコール

For this product, it's our understanding that no specific protocols are required. You can visit:

ターゲットの情報

Catalyzes the first and rate limiting step of the catabolism of the essential amino acid tryptophan along the kynurenine pathway. Involved in the peripheral immune tolerance, contributing to maintain homeostasis by preventing autoimmunity or immunopathology that would result from uncontrolled and overreacting immune responses. Tryptophan shortage inhibits T lymphocytes division and accumulation of tryptophan catabolites induces T-cell apoptosis and differentiation of regulatory T-cells. Acts as a suppressor of anti-tumor immunity (PubMed : 25691885). Limits the growth of intracellular pathogens by depriving tryptophan. Protects the fetus from maternal immune rejection (PubMed : 15063630).
See full target information Ido1

文献 (2)

Recent publications for all applications. Explore the full list and refine your search

Pharmacology research & perspectives 13:e70079 PubMed39996441

2025

Psilocin, A Psychedelic Drug, Exerts Anticonvulsant Effects Against PTZ- and MES-Induced Seizures in Mice via 5-HT1A and CB1 Receptors: Involvement of Nitrergic, Opioidergic, and Kynurenine Pathways.

Applications

Unspecified application

Species

Unspecified reactive species

Mohammad Balabandian,Mohammad Amin Manavi,Ali Lesani,Razieh Mohammad Jafari,Hamed Shafaroodi,Navid Heidari,Javad Mirnajafi-Zadeh,Alireza Foroumadi,Arya Afrooghe,Ahmad Reza Dehpour

Cell transplantation 33:9636897241245796 PubMed38629748

2024

Mechanism Exploration on the Immunoregulation of Allogeneic Heart Transplantation Rejection in Rats With Exosome miRNA and Proteins From Overexpressed IDO1 BMSCs.

Applications

Unspecified application

Species

Unspecified reactive species

Rui Zheng,Xinxin Wu,Si Li,Xinhao Chen,Dan Yan,Jigang He
View all publications

Abcam product promise

当社は、高品質な試薬を通じてお客様の研究を力強くサポートすることをお約束いたします。ご使用いただく各段階で、常にお客様をサポートできる体制を整えております。万が一、製品が期待通りに機能しない場合は、「Abcam Product Promise」による当社保証制度に基づき、安心してご利用いただけます。
保証に関する詳細については利用規約をご確認ください。

Please note: All products are 'FOR RESEARCH USE ONLY. NOT FOR USE IN DIAGNOSTIC OR THERAPEUTIC PROCEDURES'.

For licensing inquiries, please contact partnerships@abcam.com