JavaScript is disabled in your browser. Please enable JavaScript to view this website.
AB184165

Anti-IMPA1 抗体 [EPR15404(B)]

Anti-IMPA1 antibody [EPR15404(B)]

5

(2 Reviews)

|

(6 Publications)

Rabbit Recombinant Monoclonal IMPA1 antibody. Suitable for IP, WB, ICC/IF, Flow Cyt (Intra) and reacts with Human samples. Cited in 6 publications.

別名を表示する

IMPA, IMPA1, Inositol monophosphatase 1, IMP 1, IMPase 1, D-galactose 1-phosphate phosphatase, Inositol-1(or 4)-monophosphatase 1, Lithium-sensitive myo-inositol monophosphatase A1

4 Images
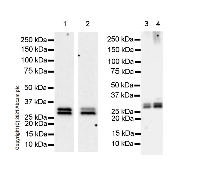
Western blot - Anti-IMPA1 antibody [EPR15404(B)] (AB184165)
  • WB

Supplier Data

Western blot - Anti-IMPA1 antibody [EPR15404(B)] (AB184165)

All lanes:

Western blot - Anti-IMPA1 antibody [EPR15404(B)] (ab184165) at 1/50000 dilution

Lane 1:

Human testis tissue lysate at 20 µg

Lane 2:

Jurkat cell lysate at 20 µg

Lane 3:

PC 3 cell lysate at 20 µg

Lane 4:

HCT116 cell lysate at 20 µg

Secondary

All lanes:

Goat Anti-Rabbit IgG, (H+L), Peroxidase conjugated at 1/1000 dilution

Predicted band size: 30 kDa

false

Flow Cytometry (Intracellular) - Anti-IMPA1 antibody [EPR15404(B)] (AB184165)
  • Flow Cyt (Intra)

Supplier Data

Flow Cytometry (Intracellular) - Anti-IMPA1 antibody [EPR15404(B)] (AB184165)

Intracellular flow cytometric analysis of PC3 cells (2% paraformaldehyde-fixed) labeling IMPA1 with ab184165 at 1/40 dilution (red) or a rabbit IgG (negative) (green), followed by Goat anti rabbit IgG (FITC) secondary at 1/150 dilution.

Immunocytochemistry/ Immunofluorescence - Anti-IMPA1 antibody [EPR15404(B)] (AB184165)
  • ICC/IF

Supplier Data

Immunocytochemistry/ Immunofluorescence - Anti-IMPA1 antibody [EPR15404(B)] (AB184165)

Immunofluorescent analysis of HCT116 cells (4% paraformaldehyde-fixed) labeling IMPA1 with ab184165 at 1/100 dilution followed by Goat anti rabbit IgG (Alexa Fluor® 555) secondary at 1/200 dilution and counter-stained with DAPI (blue).

Immunoprecipitation - Anti-IMPA1 antibody [EPR15404(B)] (AB184165)
  • IP

Unknown

Immunoprecipitation - Anti-IMPA1 antibody [EPR15404(B)] (AB184165)

Western blot analysis of immunoprecipitation pellet from Human testis tissue lysate (lane 1) or a PBS control (lane 2) immunoprecipitated using ab184165 at 1/50 dilution.
Secondary : Anti-Rabbit IgG (HRP), specific to the non-reduced form of IgG at 1/1500 dilution.

All lanes:

Immunoprecipitation - Anti-IMPA1 antibody [EPR15404(B)] (ab184165)

Predicted band size: 30 kDa

false

関連する標識済み抗体及び組成の異なる製品 (1)

  • Carrier free

    Anti-IMPA1 antibody [EPR15404(B)] - BSA and Azide free

Key facts

宿主種

Rabbit

クローン性

Monoclonal

クローン番号

EPR15404(B)

アイソタイプ

IgG

キャリアフリー

No

交差種

Human

アプリケーション

ICC/IF, IP, Flow Cyt (Intra), WB

applications

免疫原

The exact immunogen used to generate this antibody is proprietary information.

Reactivity data

{ "title": "Reactivity Data", "filters": { "stats": ["", "Species", "Dilution Info", "Notes"], "tabs": { "all-applications": {"fullname" : "All Applications", "shortname": "All Applications"}, "IP" : {"fullname" : "Immunoprecipitation", "shortname":"IP"}, "WB" : {"fullname" : "Western blot", "shortname":"WB"}, "ICCIF" : {"fullname" : "Immunocytochemistry/ Immunofluorescence", "shortname":"ICC/IF"}, "FlowCytIntra" : {"fullname" : "Flow Cytometry (Intracellular)", "shortname":"Flow Cyt (Intra)"} }, "product-promise": { "all": "all", "testedAndGuaranteed": "tested", "guaranteed": "expected", "predicted": "predicted", "notRecommended": "not-recommended" } }, "values": { "Human": { "IP-species-checked": "testedAndGuaranteed", "IP-species-dilution-info": "1/40 - 1/60", "IP-species-notes": "<p></p>", "WB-species-checked": "testedAndGuaranteed", "WB-species-dilution-info": "1/10000 - 1/50000", "WB-species-notes": "<p></p>", "ICCIF-species-checked": "testedAndGuaranteed", "ICCIF-species-dilution-info": "1/100", "ICCIF-species-notes": "<p></p>", "FlowCytIntra-species-checked": "testedAndGuaranteed", "FlowCytIntra-species-dilution-info": "1/40", "FlowCytIntra-species-notes": "<p><a href='/products/primary-antibodies/rabbit-igg-monoclonal-epr25a-isotype-control-ab172730'>ab172730</a> - Rabbit monoclonal IgG, is suitable for use as an isotype control with this antibody.</p>" }, "Mouse": { "IP-species-checked": "predicted", "IP-species-dilution-info": "", "IP-species-notes": "", "WB-species-checked": "predicted", "WB-species-dilution-info": "", "WB-species-notes": "", "ICCIF-species-checked": "predicted", "ICCIF-species-dilution-info": "", "ICCIF-species-notes": "", "FlowCytIntra-species-checked": "predicted", "FlowCytIntra-species-dilution-info": "", "FlowCytIntra-species-notes": "" }, "Rat": { "IP-species-checked": "predicted", "IP-species-dilution-info": "", "IP-species-notes": "", "WB-species-checked": "predicted", "WB-species-dilution-info": "", "WB-species-notes": "", "ICCIF-species-checked": "predicted", "ICCIF-species-dilution-info": "", "ICCIF-species-notes": "", "FlowCytIntra-species-checked": "predicted", "FlowCytIntra-species-dilution-info": "", "FlowCytIntra-species-notes": "" } } }

製品の詳細

Patented technology
Our RabMAb® technology is a patented hybridoma-based technology for making rabbit monoclonal antibodies. For details on our patents, please refer to RabMAb® patents.

What are the advantages of a recombinant monoclonal antibody?
This product is a recombinant monoclonal antibody, which offers several advantages including:

  • - High batch-to-batch consistency and reproducibility
  • - Improved sensitivity and specificity
  • - Long-term security of supply
  • - Animal-free batch production

For more information, read more on recombinant antibodies.

出荷温度及び保存条件

製品の状態
Liquid
精製方法
Affinity purification Protein A
バッファー組成
pH: 7.2 Preservative: 0.01% Sodium azide Constituents: 59% PBS, 40% Glycerol (glycerin, glycerine), 0.05% BSA
出荷温度
Blue Ice
短期保存期間
1-2 weeks
短期保存温度
+4°C
長期保存温度
-20°C
分注に関する情報
Upon delivery aliquot
保管に関する情報
Avoid freeze / thaw cycle

補足情報

This supplementary information is collated from multiple sources and compiled automatically.

The inositol monophosphatase 1 (IMPA1) also known by its alternative names Inositol-1(or 4)-monophosphatase and IMPase 1 is an enzyme that dephosphorylates inositol monophosphate to produce free inositol. IMPA1 has a molecular mass of approximately 29 kDa. Expression of IMPA1 occurs broadly in mammalian tissues with high levels in brain and kidney. The enzyme requires magnesium ions for its activity and operates efficiently under low lithium concentration.
Biological function summary

The enzyme holds importance for phosphatidylinositol signaling and plays an important role in cellular inositol recycling. IMPA1 functions as part of a monomer or dimer but does not require complex formation with other proteins to operate effectively. Its enzyme activity maintains intracellular inositol levels which is important for cell membrane phospholipid integrity and secondary messenger systems.

Pathways

IMPA1 is integral to the phosphoinositide signaling pathway contributing to the regeneration of inositol triphosphate (IP3) and aiding in cell signal transduction processes. It also participates in the synthesis of myo-inositol by catalyzing the final step of inositol phosphate metabolism. Within these pathways it works closely with proteins like inositol polyphosphate 1-phosphatase (INPP1) and inositol polyphosphate 5-phosphatase (INPP5).

IMPA1 has associations with bipolar disorder and schizophrenia. Lithium a common medication for bipolar disorder inhibits IMPA1 activity which affects inositol signaling. The enzyme's function and regulation impact synaptic transmission and neurochemical signaling with connections to proteins like glycogen synthase kinase 3 beta (GSK3B) in these disorders. Understanding of IMPA1's role provides insights into its potential therapeutic targets for mood disorders and other neuropsychiatric conditions.

製品プロトコール

For this product, it's our understanding that no specific protocols are required. You can visit:

ターゲットの情報

Responsible for the provision of inositol required for synthesis of phosphatidylinositol and polyphosphoinositides and has been implicated as the pharmacological target for lithium action in brain. Has broad substrate specificity and can use myo-inositol monophosphates, myo-inositol 1,3-diphosphate, myo-inositol 1,4-diphosphate, scyllo-inositol-phosphate, D-galactose 1-phosphate, glucose-1-phosphate, glucose-6-phosphate, fructose-1-phosphate, beta-glycerophosphate, and 2'-AMP as substrates.
See full target information IMPA1

文献 (6)

Recent publications for all applications. Explore the full list and refine your search

Life science alliance 7: PubMed38056909

2023

IMPA1 dependent regulation of phosphatidylinositol 4,5-bisphosphate and calcium signalling by lithium.

Applications

Unspecified application

Species

Unspecified reactive species

Sankhanil Saha,Harini Krishnan,Padinjat Raghu

Cancer medicine 12:1602-1615 PubMed35796646

2022

Inositol monophosphatase 1 (IMPA1) promotes triple-negative breast cancer progression through regulating mTOR pathway and EMT process.

Applications

Unspecified application

Species

Unspecified reactive species

Shao-Ying Yang,Yi-Fan Xie,Tai-Mei Zhang,Ling Deng,Li Liao,Shu-Yuan Hu,Yin-Ling Zhang,Fang-Lin Zhang,Da-Qiang Li

STAR protocols 2:101001 PubMed34950884

2021

A detailed protocol for RNA cleavage assay in sympathetic neurons.

Applications

Unspecified application

Species

Unspecified reactive species

Catia Andreassi,Antonella Riccio

Cell reports 34:108778 PubMed33626357

2021

Cytoplasmic cleavage of IMPA1 3' UTR is necessary for maintaining axon integrity.

Applications

Unspecified application

Species

Unspecified reactive species

Catia Andreassi,Raphaëlle Luisier,Hamish Crerar,Marousa Darsinou,Sasja Blokzijl-Franke,Tchern Lenn,Nicholas M Luscombe,Giovanni Cuda,Marco Gaspari,Adolfo Saiardi,Antonella Riccio

The Journal of clinical endocrinology and metabolism 106:e875-e890 PubMed33165596

2020

Placental Inositol Reduced in Gestational Diabetes as Glucose Alters Inositol Transporters and IMPA1 Enzyme Expression.

Applications

Unspecified application

Species

Unspecified reactive species

Reshma A Pillai,Mohammed O Islam,Preben Selvam,Neha Sharma,Anne H Y Chu,Oliver C Watkins,Keith M Godfrey,Rohan M Lewis,Shiao Y Chan

The Journal of biological chemistry 292:13599-13614 PubMed28673965

2017

Accumulation of autophagosomes confers cytotoxicity.

Applications

Unspecified application

Species

Unspecified reactive species

Robert W Button,Sheridan L Roberts,Thea L Willis,C Oliver Hanemann,Shouqing Luo
View all publications

Abcam product promise

当社は、高品質な試薬を通じてお客様の研究を力強くサポートすることをお約束いたします。ご使用いただく各段階で、常にお客様をサポートできる体制を整えております。万が一、製品が期待通りに機能しない場合は、「Abcam Product Promise」による当社保証制度に基づき、安心してご利用いただけます。
保証に関する詳細については利用規約をご確認ください。

Please note: All products are 'FOR RESEARCH USE ONLY. NOT FOR USE IN DIAGNOSTIC OR THERAPEUTIC PROCEDURES'.

For licensing inquiries, please contact partnerships@abcam.com